JavaScript is disabled in your browser. Please enable JavaScript to view this website.
AB185395

Recombinant Human MGMT protein (His tag)

Be the first to review this product! Submit a review

|

(0 Publication)

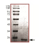
Recombinant Human MGMT protein (His tag) is a Human Full Length protein, in the 1 to 207 aa range, expressed in Escherichia coli, with >95%, < 1 EU/µg endotoxin level, suitable for SDS-PAGE, HPLC.

View Alternative Names

Methylated-DNA--protein-cysteine methyltransferase, 6-O-methylguanine-DNA methyltransferase, O-6-methylguanine-DNA-alkyltransferase, MGMT

Key facts

Purity

>95% SDS-PAGE

Endotoxin level

< 1 EU/µg

Expression system

Escherichia coli

Tags

His tag N-Terminus

Applications

SDS-PAGE, HPLC

applications

Biologically active

No

Accession

P16455

Animal free

No

Carrier free

No

Species

Human

Storage buffer

pH: 8 Constituents: 0.32% Tris-HCl buffer, 0.03% EDTA

storage-buffer

Reactivity data

{ "title": "Reactivity Data", "filters": { "stats": ["", "Reactivity", "Dilution Info", "Notes"] }, "values": { "SDS-PAGE": { "reactivity":"TESTED_AND_REACTS", "dilution-info":"", "notes":"<p></p>" }, "HPLC": { "reactivity":"TESTED_AND_REACTS", "dilution-info":"", "notes":"<p></p>" } } }

Sequence info

[{"sequence":"MGSSHHHHHHSSGLVPRGSHMDKDCEMKRTTLDSPLGKLELSGCEQGLHEIKLLGKGTSAADAVEVPAPAAVLGGPEPLMQCTAWLNAYFHQPEAIEEFPVPALHHPVFQQESFTRQVLWKLLKVVKFGEVISYQQLAALAGNPKAARAVGGAMRGNPVPILIPCHRVVCSSGAVGNYSGGLAVKEWLLAHEGHRLGKPGLGGSSGLAGAWLKGAGATSGSPPAGRN","proteinLength":"Full Length","predictedMolecularWeight":"24 kDa","actualMolecularWeight":null,"aminoAcidEnd":207,"aminoAcidStart":1,"nature":"Recombinant","expressionSystem":"Escherichia coli","accessionNumber":"P16455","tags":[{"tag":"His","terminus":"N-Terminus"}]}]

Properties and storage information

Shipped at conditions
Dry Ice
Appropriate short-term storage conditions
-20°C
Appropriate long-term storage conditions
-20°C
Storage information
Avoid freeze / thaw cycle
False

Supplementary information

This supplementary information is collated from multiple sources and compiled automatically.

MGMT also known as O-6-methylguanine-DNA methyltransferase is an enzyme with a significant role in DNA repair. MGMT protein has a molecular weight of about 22 kDa. This protein is typically expressed in various tissues including the liver kidney and brain where it functions to protect cells from mutagenic and cytotoxic alterations. MGMT works by transferring alkyl groups from the O6 position of guanine to a cysteine residue within its active site. This mechanism directly reverses DNA damage maintaining genomic stability.
Biological function summary

MGMT prevents mutations by reversing alkylation damage playing a significant role in preserving DNA integrity. It acts independently and does not form part of any larger protein complexes. This enzyme-mediated repair is central to cellular defense against mutagenic threats such as alkylating agents. By curbing DNA damage MGMT can thwart the onset of harmful genetic mutations that might lead to issues like cancer development.

Pathways

MGMT is intimately involved in DNA damage response and repair pathways. Notably it interacts with base excision repair and direct reversal repair pathways. MGMT's function is distinct but complementary to the activities of other DNA repair proteins like XRCC1 and APE1 which are involved in the base excision repair pathway. The presence of MGMT bolsters cellular resilience by ensuring that DNA lesions caused by alkylating agents are addressed promptly and effectively.

MGMT has a profound association with several types of cancer such as glioblastoma and colorectal cancer. Reduced MGMT expression or activity can lead to enhanced susceptibility to the carcinogenic effects of alkylating agents making cancer development more likely. Additionally MGMT inhibitors such as lomeguatrib are used therapeutically to enhance the effectiveness of alkylating chemotherapy. Within this context MGMT interacts with proteins involved in tumor suppression and cell cycle regulation including p53 influencing both cancer progression and treatment outcomes.

Specifications

Form

Liquid

Additional notes

Purity is determined by SEC-HPLC and reducing SDS-PAGE.

General info

Function

Involved in the cellular defense against the biological effects of O6-methylguanine (O6-MeG) and O4-methylthymine (O4-MeT) in DNA. Repairs the methylated nucleobase in DNA by stoichiometrically transferring the methyl group to a cysteine residue in the enzyme. This is a suicide reaction : the enzyme is irreversibly inactivated.

Sequence similarities

Belongs to the MGMT family.

Subcellular localisation

Nucleus

Product protocols

Target data

Involved in the cellular defense against the biological effects of O6-methylguanine (O6-MeG) and O4-methylthymine (O4-MeT) in DNA. Repairs the methylated nucleobase in DNA by stoichiometrically transferring the methyl group to a cysteine residue in the enzyme. This is a suicide reaction : the enzyme is irreversibly inactivated.
See full target information MGMT

Product promise

We are committed to supporting your work with high-quality reagents, and we're here for you every step of the way. In the unlikely event that one of our products does not perform as expected, you're protected by our Product Promise.
For full details, please see our Terms & Conditions

Please note: All products are 'FOR RESEARCH USE ONLY. NOT FOR USE IN DIAGNOSTIC OR THERAPEUTIC PROCEDURES'.

For licensing inquiries, please contact partnerships@abcam.com