JavaScript is disabled in your browser. Please enable JavaScript to view this website.
AB95927

Recombinant human NEDD4 protein (DDDDK tag N-Terminus)

Be the first to review this product! Submit a review

|

(0 Publication)

Recombinant human NEDD4 protein (DDDDK tag N-Terminus) is a Human Fragment protein, in the 150 to 900 aa range, expressed in Baculovirus infected insect cells, with >60%, suitable for SDS-PAGE, FuncS.

View Alternative Names

KIAA0093, NEDD4-1, RPF1, PIG53, NEDD4, E3 ubiquitin-protein ligase NEDD4, Cell proliferation-inducing gene 53 protein, HECT-type E3 ubiquitin transferase NEDD4, Neural precursor cell expressed developmentally down-regulated protein 4, NEDD-4

2 Images
Functional Studies - Recombinant human NEDD4 protein (DDDDK tag N-Terminus) (AB95927)
  • FuncS

Unknown

Functional Studies - Recombinant human NEDD4 protein (DDDDK tag N-Terminus) (AB95927)

Image showing specific activity of ab95927.

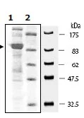
SDS-PAGE - Recombinant human NEDD4 protein (DDDDK tag N-Terminus) (AB95927)
  • SDS-PAGE

Unknown

SDS-PAGE - Recombinant human NEDD4 protein (DDDDK tag N-Terminus) (AB95927)

10% SDS-PAGE analysis
Lane 1 : ab95927 (4μg)
Lane 2 : Molecular weight markers

Key facts

Purity

>60% SDS-PAGE

Expression system

Baculovirus infected insect cells

Tags

DDDDK tag N-Terminus

Applications

FuncS, SDS-PAGE

applications

Biologically active

Yes

Biological activity

Specific Activity: 0.0027 pmol/min/μg. Assay conditions: 50 μl reaction mix (4mM ATP, 5mM MgCl2, 1mM DTT, E1 (0.5 μg), E2 (2.8 μg), Biotin-Ubiquitin (0.5 μg) and NEDD4 (0-2 μg) in 50mM Tris pH 7.4) incubate for 30min at 37°C, then add to streptavidin coated plates and incubate for 30min at 37°C. Add antibody against NEDD4, incubate 1h. Finally, incubate 1h with the Europeum-labeled secondary antibody. Time resolved fluorescence measured at room temperature (Lambda exc=330 nm, Lambda em=620 nm). Specific Activity: 0.0027 pmol/min/μg. Assay conditions: 50 μl reaction mix (4mM ATP, 5mM MgCl2, 1mM DTT, E1 (0.5 μg), E2 (2.8 μg), Biotin-Ubiquitin (0.5 μg) and NEDD4 (0-2 μg) in 50mM Tris pH 7.4) incubate for 30min at 37°C, then add to streptavidin coated plates and incubate for 30min at 37°C. Add antibody against NEDD4, incubate 1h. Finally, incubate 1h with the Europeum-labeled secondary antibody. Time resolved fluorescence measured at room temperature (Lambda exc=330 nm, Lambda em=620 nm).

Accession

P46934

Animal free

No

Carrier free

No

Species

Human

Storage buffer

pH: 8 Constituents: 20% Glycerol (glycerin, glycerine), 0.58% Sodium chloride, 0.395% Tris HCl, 0.05% Sorbitan monolaurate, ethoxylated, 0.0462% (R*,R*)-1,4-Dimercaptobutan-2,3-diol

storage-buffer

Reactivity data

{ "title": "Reactivity Data", "filters": { "stats": ["", "Reactivity", "Dilution Info", "Notes"] }, "values": { "SDS-PAGE": { "reactivity":"TESTED_AND_REACTS", "dilution-info":"", "notes":"<p></p>" }, "FuncS": { "reactivity":"TESTED_AND_REACTS", "dilution-info":"", "notes":"<p></p>" } } }

Sequence info

[{"sequence":"","proteinLength":"Fragment","predictedMolecularWeight":"86 kDa","actualMolecularWeight":null,"aminoAcidEnd":900,"aminoAcidStart":150,"nature":"Recombinant","expressionSystem":null,"accessionNumber":"P46934","tags":[{"tag":"DDDDK","terminus":"N-Terminus"}]}]

Properties and storage information

Shipped at conditions
Dry Ice
Appropriate short-term storage conditions
-80°C
Appropriate long-term storage conditions
-80°C
True

Supplementary information

This supplementary information is collated from multiple sources and compiled automatically.

NEDD4 protein also called NEDD4-1 is an E3 ubiquitin-protein ligase. It has a role in tagging proteins with ubiquitin molecules marking them for degradation by the proteasome. This protein has a molecular mass of approximately 120 kDa. High expression of NEDD4 occurs in tissues like the brain heart and skeletal muscle. The activity of NEDD4 impacts various processes ensuring protein quality control and regulation within cells.
Biological function summary

The impact of NEDD4 protein extends beyond its basic mechanical function. It plays an important role in cell signaling development and even adjusting cell volume. NEDD4 participates in forming a ubiquitin-protein ligase complex engaging with multiple substrates to transfer ubiquitin. It modulates key signaling pathways influencing cellular responses and maintaining healthy cell functioning.

Pathways

NEDD4 activity is embedded in key cellular processes. It is especially integral in the PI3K/AKT signaling and Wnt signaling pathways where it can influence signal transduction and cellular growth. NEDD4 ubiquitin ligase family members like NEDD4-2 are often seen working alongside it. These pathways involve other proteins such as PTEN which NEDD4 regulates affecting cell proliferation and survival.

NEDD4 holds significant connections to cancer and neurodegenerative diseases. Elevated levels of NEDD4 can contribute to oncogenesis particularly in cancers where dysregulation in protein degradation occurs. The aberrant activity of NEDD4 links to neurodegenerative diseases as it affects the turnover of neuronal proteins. It shares a complex relationship with PTEN in diseases considering their interaction can alter cellular pathways often distorted in pathological conditions.

Specifications

Form

Liquid

Additional notes

Affinity purified.

General info

Function

E3 ubiquitin-protein ligase which accepts ubiquitin from an E2 ubiquitin-conjugating enzyme in the form of a thioester and then directly transfers the ubiquitin to targeted substrates. Specifically ubiquitinates 'Lys-63' in target proteins (PubMed : 19920177, PubMed : 21399620, PubMed : 23644597). Involved in the pathway leading to the degradation of VEGFR-2/KDFR, independently of its ubiquitin-ligase activity. Monoubiquitinates IGF1R at multiple sites, thus leading to receptor internalization and degradation in lysosomes (By similarity). Ubiquitinates FGFR1, leading to receptor internalization and degradation in lysosomes (PubMed : 21765395). Promotes ubiquitination of RAPGEF2 (PubMed : 11598133). According to PubMed : 18562292 the direct link between NEDD4 and PTEN regulation through polyubiquitination described in PubMed : 17218260 is questionable. Involved in ubiquitination of ERBB4 intracellular domain E4ICD (By similarity). Part of a signaling complex composed of NEDD4, RAP2A and TNIK which regulates neuronal dendrite extension and arborization during development (By similarity). Ubiquitinates TNK2 and regulates EGF-induced degradation of EGFR and TNF2 (PubMed : 20086093). Ubiquitinates BRAT1 and this ubiquitination is enhanced in the presence of NDFIP1 (PubMed : 25631046). Ubiquitinates DAZAP2, leading to its proteasomal degradation (PubMed : 11342538). Ubiquitinates POLR2A (PubMed : 19920177). Functions as a platform to recruit USP13 to form an NEDD4-USP13 deubiquitination complex that plays a critical role in cleaving the 'Lys-48'-linked ubiquitin chains of VPS34 and then stabilizing VPS34, thus promoting the formation of autophagosomes (PubMed : 32101753).. (Microbial infection) Involved in the ubiquitination of Ebola virus protein VP40 which plays a role in viral budding.

Post-translational modifications

Undergoes 'Lys-29'-linked auto-ubiquitination at Lys-1279 and serves as a scaffold for recruiting USP13 to form an NEDD4-USP13 deubiquitination complex.

Product protocols

Target data

E3 ubiquitin-protein ligase which accepts ubiquitin from an E2 ubiquitin-conjugating enzyme in the form of a thioester and then directly transfers the ubiquitin to targeted substrates. Specifically ubiquitinates 'Lys-63' in target proteins (PubMed : 19920177, PubMed : 21399620, PubMed : 23644597). Involved in the pathway leading to the degradation of VEGFR-2/KDFR, independently of its ubiquitin-ligase activity. Monoubiquitinates IGF1R at multiple sites, thus leading to receptor internalization and degradation in lysosomes (By similarity). Ubiquitinates FGFR1, leading to receptor internalization and degradation in lysosomes (PubMed : 21765395). Promotes ubiquitination of RAPGEF2 (PubMed : 11598133). According to PubMed : 18562292 the direct link between NEDD4 and PTEN regulation through polyubiquitination described in PubMed : 17218260 is questionable. Involved in ubiquitination of ERBB4 intracellular domain E4ICD (By similarity). Part of a signaling complex composed of NEDD4, RAP2A and TNIK which regulates neuronal dendrite extension and arborization during development (By similarity). Ubiquitinates TNK2 and regulates EGF-induced degradation of EGFR and TNF2 (PubMed : 20086093). Ubiquitinates BRAT1 and this ubiquitination is enhanced in the presence of NDFIP1 (PubMed : 25631046). Ubiquitinates DAZAP2, leading to its proteasomal degradation (PubMed : 11342538). Ubiquitinates POLR2A (PubMed : 19920177). Functions as a platform to recruit USP13 to form an NEDD4-USP13 deubiquitination complex that plays a critical role in cleaving the 'Lys-48'-linked ubiquitin chains of VPS34 and then stabilizing VPS34, thus promoting the formation of autophagosomes (PubMed : 32101753).. (Microbial infection) Involved in the ubiquitination of Ebola virus protein VP40 which plays a role in viral budding.
See full target information NEDD4

Product promise

We are committed to supporting your work with high-quality reagents, and we're here for you every step of the way. In the unlikely event that one of our products does not perform as expected, you're protected by our Product Promise.
For full details, please see our Terms & Conditions

Please note: All products are 'FOR RESEARCH USE ONLY. NOT FOR USE IN DIAGNOSTIC OR THERAPEUTIC PROCEDURES'.

For licensing inquiries, please contact partnerships@abcam.com