JavaScript is disabled in your browser. Please enable JavaScript to view this website.
AB140590

Recombinant Human PARK7/DJ1 protein

Be the first to review this product! Submit a review

|

(0 Publication)

Recombinant Human PARK7/DJ1 protein is a Human Fragment protein, in the 19 to 189 aa range, expressed in Escherichia coli, with >85%, suitable for SDS-PAGE, WB.

View Alternative Names

Parkinson disease protein 7, Maillard deglycase, Oncogene DJ1, Parkinsonism-associated deglycase, Protein DJ-1, Protein/nucleic acid deglycase DJ-1, DJ-1, PARK7

1 Images
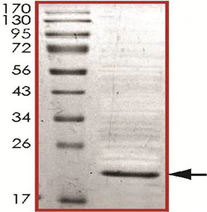
SDS-PAGE - Recombinant Human PARK7/DJ1 protein (AB140590)
  • SDS-PAGE

Unknown

SDS-PAGE - Recombinant Human PARK7/DJ1 protein (AB140590)

Sample Purity Data

Key facts

Purity

>85% SDS-PAGE

Expression system

Escherichia coli

Tags

His tag N-Terminus

Applications

SDS-PAGE, WB

applications

Biologically active

No

Accession

Q99497

Animal free

No

Carrier free

No

Species

Human

Storage buffer

pH: 7 Preservative: 1.02% Imidazole Constituents: 25% Glycerol (glycerin, glycerine), 1.76% Sodium chloride, 0.82% Sodium phosphate, 0.004% (R*,R*)-1,4-Dimercaptobutan-2,3-diol, 0.002% PMSF

storage-buffer

Reactivity data

{ "title": "Reactivity Data", "filters": { "stats": ["", "Reactivity", "Dilution Info", "Notes"] }, "values": { "SDS-PAGE": { "reactivity":"TESTED_AND_REACTS", "dilution-info":"", "notes":"<p></p>" }, "WB": { "reactivity":"TESTED_AND_REACTS", "dilution-info":"", "notes":"<p></p>" } } }

Sequence info

[{"sequence":"TVIPVDVMRRAGIKVTVAGLAGKDPVQCSRDVVICPDASLEDAKKEGPYDVVVLPGGNLGAQNLSESAAVKEILKEQENRKGLIAAICAGPTALLAHEIGFGSKVTTHPLAKDKMMNGGHYTYSENRVEKDGLILTSRGPGTSFEFALAIVEALNGKEVAAQVKAPLVLKD","proteinLength":"Fragment","predictedMolecularWeight":"22 kDa","actualMolecularWeight":null,"aminoAcidEnd":189,"aminoAcidStart":19,"nature":"Recombinant","expressionSystem":"Escherichia coli","accessionNumber":"Q99497","tags":[{"tag":"His","terminus":"N-Terminus"}]}]

Properties and storage information

Shipped at conditions
Dry Ice
Appropriate short-term storage conditions
-80°C
Appropriate long-term storage conditions
-80°C
Aliquoting information
Upon delivery aliquot
Storage information
Avoid freeze / thaw cycle
False

Specifications

Form

Liquid

General info

Function

Multifunctional protein with controversial molecular function which plays an important role in cell protection against oxidative stress and cell death acting as oxidative stress sensor and redox-sensitive chaperone and protease (PubMed : 12796482, PubMed : 17015834, PubMed : 18711745, PubMed : 19229105, PubMed : 20304780, PubMed : 25416785, PubMed : 26995087, PubMed : 28993701). It is involved in neuroprotective mechanisms like the stabilization of NFE2L2 and PINK1 proteins, male fertility as a positive regulator of androgen signaling pathway as well as cell growth and transformation through, for instance, the modulation of NF-kappa-B signaling pathway (PubMed : 12612053, PubMed : 14749723, PubMed : 15502874, PubMed : 17015834, PubMed : 18711745, PubMed : 21097510). Has been described as a protein and nucleotide deglycase that catalyzes the deglycation of the Maillard adducts formed between amino groups of proteins or nucleotides and reactive carbonyl groups of glyoxals (PubMed : 25416785, PubMed : 28596309). But this function is rebuted by other works (PubMed : 27903648, PubMed : 31653696). As a protein deglycase, repairs methylglyoxal- and glyoxal-glycated proteins, and releases repaired proteins and lactate or glycolate, respectively. Deglycates cysteine, arginine and lysine residues in proteins, and thus reactivates these proteins by reversing glycation by glyoxals. Acts on early glycation intermediates (hemithioacetals and aminocarbinols), preventing the formation of advanced glycation endproducts (AGE) that cause irreversible damage (PubMed : 25416785, PubMed : 26995087, PubMed : 28013050). Also functions as a nucleotide deglycase able to repair glycated guanine in the free nucleotide pool (GTP, GDP, GMP, dGTP) and in DNA and RNA. Is thus involved in a major nucleotide repair system named guanine glycation repair (GG repair), dedicated to reversing methylglyoxal and glyoxal damage via nucleotide sanitization and direct nucleic acid repair (PubMed : 28596309). Protects histones from adduction by methylglyoxal, controls the levels of methylglyoxal-derived argininine modifications on chromatin (PubMed : 30150385). Able to remove the glycations and restore histone 3, histone glycation disrupts both local and global chromatin architecture by altering histone-DNA interactions as well as histone acetylation and ubiquitination levels (PubMed : 30150385, PubMed : 30894531). Displays a very low glyoxalase activity that may reflect its deglycase activity (PubMed : 22523093, PubMed : 28993701, PubMed : 31653696). Eliminates hydrogen peroxide and protects cells against hydrogen peroxide-induced cell death (PubMed : 16390825). Required for correct mitochondrial morphology and function as well as for autophagy of dysfunctional mitochondria (PubMed : 16632486, PubMed : 19229105). Plays a role in regulating expression or stability of the mitochondrial uncoupling proteins SLC25A14 and SLC25A27 in dopaminergic neurons of the substantia nigra pars compacta and attenuates the oxidative stress induced by calcium entry into the neurons via L-type channels during pacemaking (PubMed : 18711745). Regulates astrocyte inflammatory responses, may modulate lipid rafts-dependent endocytosis in astrocytes and neuronal cells (PubMed : 23847046). In pancreatic islets, involved in the maintenance of mitochondrial reactive oxygen species (ROS) levels and glucose homeostasis in an age- and diet dependent manner. Protects pancreatic beta cells from cell death induced by inflammatory and cytotoxic setting (By similarity). Binds to a number of mRNAs containing multiple copies of GG or CC motifs and partially inhibits their translation but dissociates following oxidative stress (PubMed : 18626009). Metal-binding protein able to bind copper as well as toxic mercury ions, enhances the cell protection mechanism against induced metal toxicity (PubMed : 23792957). In macrophages, interacts with the NADPH oxidase subunit NCF1 to direct NADPH oxidase-dependent ROS production, and protects against sepsis (By similarity).

Sequence similarities

Belongs to the peptidase C56 family.

Post-translational modifications

Sumoylated on Lys-130 by PIAS2 or PIAS4; which is enhanced after ultraviolet irradiation and essential for cell-growth promoting activity and transforming activity.. Cys-106 is easily oxidized to sulfinic acid.. Undergoes cleavage of a C-terminal peptide and subsequent activation of protease activity in response to oxidative stress.

Subcellular localisation

Nucleus

Product protocols

Target data

Multifunctional protein with controversial molecular function which plays an important role in cell protection against oxidative stress and cell death acting as oxidative stress sensor and redox-sensitive chaperone and protease (PubMed : 12796482, PubMed : 17015834, PubMed : 18711745, PubMed : 19229105, PubMed : 20304780, PubMed : 25416785, PubMed : 26995087, PubMed : 28993701). It is involved in neuroprotective mechanisms like the stabilization of NFE2L2 and PINK1 proteins, male fertility as a positive regulator of androgen signaling pathway as well as cell growth and transformation through, for instance, the modulation of NF-kappa-B signaling pathway (PubMed : 12612053, PubMed : 14749723, PubMed : 15502874, PubMed : 17015834, PubMed : 18711745, PubMed : 21097510). Has been described as a protein and nucleotide deglycase that catalyzes the deglycation of the Maillard adducts formed between amino groups of proteins or nucleotides and reactive carbonyl groups of glyoxals (PubMed : 25416785, PubMed : 28596309). But this function is rebuted by other works (PubMed : 27903648, PubMed : 31653696). As a protein deglycase, repairs methylglyoxal- and glyoxal-glycated proteins, and releases repaired proteins and lactate or glycolate, respectively. Deglycates cysteine, arginine and lysine residues in proteins, and thus reactivates these proteins by reversing glycation by glyoxals. Acts on early glycation intermediates (hemithioacetals and aminocarbinols), preventing the formation of advanced glycation endproducts (AGE) that cause irreversible damage (PubMed : 25416785, PubMed : 26995087, PubMed : 28013050). Also functions as a nucleotide deglycase able to repair glycated guanine in the free nucleotide pool (GTP, GDP, GMP, dGTP) and in DNA and RNA. Is thus involved in a major nucleotide repair system named guanine glycation repair (GG repair), dedicated to reversing methylglyoxal and glyoxal damage via nucleotide sanitization and direct nucleic acid repair (PubMed : 28596309). Protects histones from adduction by methylglyoxal, controls the levels of methylglyoxal-derived argininine modifications on chromatin (PubMed : 30150385). Able to remove the glycations and restore histone 3, histone glycation disrupts both local and global chromatin architecture by altering histone-DNA interactions as well as histone acetylation and ubiquitination levels (PubMed : 30150385, PubMed : 30894531). Displays a very low glyoxalase activity that may reflect its deglycase activity (PubMed : 22523093, PubMed : 28993701, PubMed : 31653696). Eliminates hydrogen peroxide and protects cells against hydrogen peroxide-induced cell death (PubMed : 16390825). Required for correct mitochondrial morphology and function as well as for autophagy of dysfunctional mitochondria (PubMed : 16632486, PubMed : 19229105). Plays a role in regulating expression or stability of the mitochondrial uncoupling proteins SLC25A14 and SLC25A27 in dopaminergic neurons of the substantia nigra pars compacta and attenuates the oxidative stress induced by calcium entry into the neurons via L-type channels during pacemaking (PubMed : 18711745). Regulates astrocyte inflammatory responses, may modulate lipid rafts-dependent endocytosis in astrocytes and neuronal cells (PubMed : 23847046). In pancreatic islets, involved in the maintenance of mitochondrial reactive oxygen species (ROS) levels and glucose homeostasis in an age- and diet dependent manner. Protects pancreatic beta cells from cell death induced by inflammatory and cytotoxic setting (By similarity). Binds to a number of mRNAs containing multiple copies of GG or CC motifs and partially inhibits their translation but dissociates following oxidative stress (PubMed : 18626009). Metal-binding protein able to bind copper as well as toxic mercury ions, enhances the cell protection mechanism against induced metal toxicity (PubMed : 23792957). In macrophages, interacts with the NADPH oxidase subunit NCF1 to direct NADPH oxidase-dependent ROS production, and protects against sepsis (By similarity).
See full target information PARK7

Product promise

We are committed to supporting your work with high-quality reagents, and we're here for you every step of the way. In the unlikely event that one of our products does not perform as expected, you're protected by our Product Promise.
For full details, please see our Terms & Conditions

Please note: All products are 'FOR RESEARCH USE ONLY. NOT FOR USE IN DIAGNOSTIC OR THERAPEUTIC PROCEDURES'.

For licensing inquiries, please contact partnerships@abcam.com