JavaScript is disabled in your browser. Please enable JavaScript to view this website.
AB125602

Recombinant Human PDHA1 protein

Be the first to review this product! Submit a review

|

(0 Publication)

Recombinant Human PDHA1 protein is a Human Full Length protein, in the 30 to 390 aa range, expressed in Escherichia coli, with >85%, suitable for SDS-PAGE, WB, FuncS.

View Alternative Names

PHE1A, PDHA1, PDHE1-A type I

1 Images
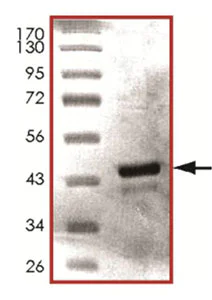
SDS-PAGE - Recombinant Human PDHA1 protein (AB125602)
  • SDS-PAGE

Unknown

SDS-PAGE - Recombinant Human PDHA1 protein (AB125602)

Key facts

Purity

>85% Densitometry

Expression system

Escherichia coli

Tags

His tag N-Terminus

Applications

WB, FuncS, SDS-PAGE

applications

Biologically active

No

Accession

P08559

Animal free

No

Carrier free

No

Species

Human

Storage buffer

pH: 7 Preservative: 1.02% Imidazole Constituents: 25% Glycerol (glycerin, glycerine), 1.75% Sodium chloride, 0.81% Sodium phosphate, 0.004% (R*,R*)-1,4-Dimercaptobutan-2,3-diol, 0.002% PMSF

storage-buffer

Reactivity data

{ "title": "Reactivity Data", "filters": { "stats": ["", "Reactivity", "Dilution Info", "Notes"] }, "values": { "SDS-PAGE": { "reactivity":"TESTED_AND_REACTS", "dilution-info":"", "notes":"<p></p>" }, "WB": { "reactivity":"TESTED_AND_REACTS", "dilution-info":"", "notes":"<p></p>" }, "FuncS": { "reactivity":"TESTED_AND_REACTS", "dilution-info":"", "notes":"<p></p>" } } }

Product details

ab125602 (Human Pyruvate Dehydrogenase E1-alpha subunit full length protein) can be utilized as a substrate for the following active protein Kinases:

ab125560 (Active human PDK4 full length protein)

ab125580 (Active human Mitochondrial Pyruvate dehydrogenase kinase 1 full length protein)
ab125592 (Active human PDK2 full length protein)
ab125606 (Active human PDK3 full length protein)

Sequence info

[{"sequence":"","proteinLength":"Full Length","predictedMolecularWeight":"47 kDa","actualMolecularWeight":null,"aminoAcidEnd":390,"aminoAcidStart":30,"nature":"Recombinant","expressionSystem":null,"accessionNumber":"P08559","tags":[{"tag":"His","terminus":"N-Terminus"}]}]

Properties and storage information

Shipped at conditions
Dry Ice
Appropriate short-term storage conditions
-80°C
Appropriate long-term storage conditions
-80°C
Aliquoting information
Upon delivery aliquot
Storage information
Avoid freeze / thaw cycle
False

Supplementary information

This supplementary information is collated from multiple sources and compiled automatically.

PDHA1 also known as the pyruvate dehydrogenase E1 alpha subunit plays a mechanical role in cellular metabolism. It forms part of the larger pyruvate dehydrogenase (PDH) complex where it serves as a critical catalytic component. PDHA1 is expressed ubiquitously across different tissue types reflecting its fundamental function in energy production. The molecular weight of the PDHA1 protein is approximately 43 kDa. Alternate names for this protein include the PDH E1 component and it partners closely with other components in the PDH complex to facilitate its role.
Biological function summary

PDHA1 engages in the conversion of pyruvate into acetyl-CoA an important step in cellular respiration. This protein is part of the PDH complex which consists of multiple copies of three catalytic and two regulatory subunits. The conversion process is essential for linking glycolysis to the citric acid cycle efficiently channeling energy substrates within the cell. Furthermore the functional activity of PDHA1 is regulated through phosphorylation by the pyruvate dehydrogenase kinases (PDKs) and dephosphorylation by PDH phosphatases.

Pathways

PDHA1 is integral to the metabolic pathway of cellular respiration and energy production. It enables the transition between glycolysis and the citric acid cycle by facilitating the conversion of pyruvate to acetyl-CoA which enters the citric acid cycle. Related proteins in this pathway include PDHA2 and the regulatory PDKs that modulate PDHA1 activity. These interactions ensure energy metabolism adapts to various cellular conditions influencing energy balance and substrate utilization.

Mutations or dysfunctions in PDHA1 can lead to disorders such as pyruvate dehydrogenase deficiency and Leigh syndrome. These conditions result from impaired energy metabolism leading to severe neurological symptoms and overall energy deficits in tissues with high metabolic demands. The link between PDHA1 and diseases highlights the importance of maintaining its function. Additionally altered interaction with proteins involved in phosphorylation such as the PDKs can exacerbate pathogenic conditions by further disbalancing metabolic activities.

Specifications

Form

Liquid

General info

Function

The pyruvate dehydrogenase complex catalyzes the overall conversion of pyruvate to acetyl-CoA and CO(2), and thereby links the glycolytic pathway to the tricarboxylic cycle.

Post-translational modifications

Phosphorylation at Ser-232, Ser-293 and Ser-300 by PDK family kinases inactivates the enzyme; for this phosphorylation at a single site is sufficient. Dephosphorylation at all three sites, i.e. at Ser-232, Ser-293 and Ser-300, is required for reactivation.. Acetylation alters the phosphorylation pattern. Deacetylated by SIRT3 (By similarity).

Subcellular localisation

Mitochondrion matrix

Product protocols

Target data

The pyruvate dehydrogenase complex catalyzes the overall conversion of pyruvate to acetyl-CoA and CO(2), and thereby links the glycolytic pathway to the tricarboxylic cycle.
See full target information PDHA1

Product promise

We are committed to supporting your work with high-quality reagents, and we're here for you every step of the way. In the unlikely event that one of our products does not perform as expected, you're protected by our Product Promise.
For full details, please see our Terms & Conditions

Please note: All products are 'FOR RESEARCH USE ONLY. NOT FOR USE IN DIAGNOSTIC OR THERAPEUTIC PROCEDURES'.

For licensing inquiries, please contact partnerships@abcam.com