JavaScript is disabled in your browser. Please enable JavaScript to view this website.
AB60844

Recombinant human PKC delta protein

Be the first to review this product! Submit a review

|

(2 Publications)

Recombinant human PKC delta protein is a Human Full Length protein, expressed in Baculovirus infected Sf9 cells, with >90%, suitable for SDS-PAGE, WB, FuncS.

View Alternative Names

PKCD, PRKCD, Protein kinase C delta type, Tyrosine-protein kinase PRKCD, nPKC-delta

15 Images
Western blot - Recombinant human PKC delta protein (AB60844)
  • WB

Lab

Western blot - Recombinant human PKC delta protein (AB60844)

Blocking and dilution buffer : 5% NFDM/TBST. Active human PKC alpha full length protein (ab55672) contains aa1-672 with GST-tag. Active human PKC beta 1 full length protein (ab60840) contains aa1-671 with GST-tag. Active human PKC beta 2 full length protein (ab60841) contains aa1-673 with GST-tag. Active human PKC delta full length protein (ab60844) contains aa1-676 with GST-tag. Active human PKC eta full length protein (ab60849) contains aa1-683 with GST-tag. Active human PKC epsilon full length protein (ab60847) contains aa1-737 with GST-tag. Active human PKC theta full length protein (ab56641) contains aa1-706 with GST-tag. Active human PKC mu full length protein (ab60873) contains aa1-912 with GST-tag.

All lanes:

Western blot - Anti-PKC (phospho S660) antibody [EP1902Y] (<a href='/en-us/products/primary-antibodies/pkc-phospho-s660-antibody-ep1902y-ab75837'>ab75837</a>) at 1/20000 dilution

Lane 1:

Western blot - Recombinant human PKC alpha protein (Active) (<a href='/en-us/products/proteins-peptides/recombinant-human-pkc-alpha-protein-active-ab55672'>ab55672</a>)

Lane 2:

Western blot - Recombinant human PKC beta 1 protein (<a href='/en-us/products/proteins-peptides/recombinant-human-pkc-beta-1-protein-ab60840'>ab60840</a>)

Lane 3:

Western blot - Recombinant human PKC beta 2 protein (<a href='/en-us/products/proteins-peptides/recombinant-human-pkc-beta-2-protein-ab60841'>ab60841</a>)

Lane 4:

Western blot - Recombinant human PKC delta protein (ab60844)

Lane 5:

Western blot - Recombinant human PKC eta protein (<a href='/en-us/products/proteins-peptides/recombinant-human-pkc-eta-protein-ab60849'>ab60849</a>)

Lane 6:

Western blot - Recombinant human PKC epsilon protein (<a href='/en-us/products/proteins-peptides/recombinant-human-pkc-epsilon-protein-ab60847'>ab60847</a>)

Lane 7:

Western blot - Recombinant human PKC theta/PRKCQ protein (<a href='/en-us/products/proteins-peptides/recombinant-human-pkc-theta-prkcq-protein-ab56641'>ab56641</a>)

Lane 8:

Western blot - Recombinant human PKC mu/PKD protein (<a href='/en-us/products/proteins-peptides/recombinant-human-pkc-mu-pkd-protein-ab60873'>ab60873</a>)

Secondary

All lanes:

Western blot - Goat Anti-Rabbit IgG H&L (HRP) (<a href='/en-us/products/secondary-antibodies/goat-rabbit-igg-h-l-hrp-ab97051'>ab97051</a>) at 1/20000 dilution

Predicted band size: 77 kDa

Observed band size: 100-150 kDa

false

Exposure time: 1s

Western blot - Recombinant human PKC delta protein (AB60844)
  • WB

Lab

Western blot - Recombinant human PKC delta protein (AB60844)

Blocking and dilution buffer : 5% NFDM/TBST.

ab109539 could detect PKC gamma (pT514), PKC alpha (pT497), PKC beta (pT500), PKC delta (pT507), PKC eta (pT513), PKC epsilon (pT566) and PKC theta (pT538).

Active human PKC alpha full length protein (Catalog#ab55672) contains aa1-672 with GST-tag;
Active human PKC beta 1 full length protein (Catalog#ab60840) contains aa1-671 with GST-tag;
Active human PKC beta 2 full length protein (Catalog#ab60841) contains aa1-673 with GST-tag;
Active human PKC delta full length protein (Catalog#ab60844) contains aa1-676 with GST-tag;
Active human PKC eta full length protein (Catalog#ab60849) contains aa1-683 with GST-tag;
Active human PKC epsilon full length protein (Catalog#ab60847) contains aa1-737 with GST-tag;
Active human PKC theta full length protein (Catalog#ab56641) contains aa1-706 with GST-tag;
Active human PKC mu full length protein (Catalog#ab60873) contains aa1-912 with GST-tag;
Active human PKC gamma full length protein (Catalog#ab60842) contains aa1-697 with GST-tag.

All lanes:

Western blot - Anti-PKC (phospho T514) antibody [EP2730Y] (<a href='/en-us/products/primary-antibodies/pkc-phospho-t514-antibody-ep2730y-ab109539'>ab109539</a>) at 1/1000 dilution

Lane 1:

Western blot - Recombinant human PKC alpha protein (Active) (<a href='/en-us/products/proteins-peptides/recombinant-human-pkc-alpha-protein-active-ab55672'>ab55672</a>) at 0.5 µg

Lane 2:

Western blot - Recombinant human PKC beta 1 protein (<a href='/en-us/products/proteins-peptides/recombinant-human-pkc-beta-1-protein-ab60840'>ab60840</a>) at 0.2 µg

Lane 3:

Active human PKC beta 2 full length protein at 0.2 µg

Lane 4:

Western blot - Recombinant human PKC delta protein (ab60844) at 0.05 µg

Lane 5:

Western blot - Recombinant human PKC eta protein (<a href='/en-us/products/proteins-peptides/recombinant-human-pkc-eta-protein-ab60849'>ab60849</a>) at 0.5 µg

Lane 6:

Western blot - Recombinant human PKC epsilon protein (<a href='/en-us/products/proteins-peptides/recombinant-human-pkc-epsilon-protein-ab60847'>ab60847</a>) at 1 µg

Lane 7:

Western blot - Recombinant human PKC theta/PRKCQ protein (<a href='/en-us/products/proteins-peptides/recombinant-human-pkc-theta-prkcq-protein-ab56641'>ab56641</a>) at 0.2 µg

Lane 8:

Western blot - Recombinant human PKC mu/PKD protein (<a href='/en-us/products/proteins-peptides/recombinant-human-pkc-mu-pkd-protein-ab60873'>ab60873</a>) at 1 µg

Lane 9:

Western blot - Recombinant human PKC gamma protein (<a href='/en-us/products/proteins-peptides/recombinant-human-pkc-gamma-protein-ab60842'>ab60842</a>) at 0.1 µg

Secondary

All lanes:

Western blot - Goat Anti-Rabbit IgG H&L (HRP) (<a href='/en-us/products/secondary-antibodies/goat-rabbit-igg-h-l-hrp-ab97051'>ab97051</a>) at 1/100000 dilution

Predicted band size: 77 kDa

Observed band size: 80 kDa

false

Exposure time: 180s

Functional Studies - Recombinant human PKC delta protein (AB60844)
  • FuncS

Unknown

Functional Studies - Recombinant human PKC delta protein (AB60844)

The specific activity of PKC delta (ab60844) was determined to be 250 nmol/min/mg as per activity assay protocol

Functional Studies - Recombinant human PKC delta protein (AB60844)
  • FuncS

Unknown

Functional Studies - Recombinant human PKC delta protein (AB60844)

Sample Kinase Activity Plot.

Western blot - Recombinant human PKC delta protein (AB60844)
  • WB

Supplier Data

Western blot - Recombinant human PKC delta protein (AB60844)

This data was developed using ab53295, the same antibody clone in a different buffer formulation.

Blocking and diluting buffer and concentration : 5% NFDM/TBST.

All lanes:

Western blot - Anti-PKC delta (phospho T507) antibody [EPR1485Y] (<a href='/en-us/products/primary-antibodies/pkc-delta-phospho-t507-antibody-epr1485y-ab53295'>ab53295</a>) at 1/1000 dilution

Lane 1:

Western blot - Recombinant human PKC alpha protein (Active) (<a href='/en-us/products/proteins-peptides/recombinant-human-pkc-alpha-protein-active-ab55672'>ab55672</a>)

Lane 2:

Western blot - Recombinant human PKC beta 1 protein (<a href='/en-us/products/proteins-peptides/recombinant-human-pkc-beta-1-protein-ab60840'>ab60840</a>)

Lane 3:

Western blot - Recombinant human PKC beta 2 protein (<a href='/en-us/products/proteins-peptides/recombinant-human-pkc-beta-2-protein-ab60841'>ab60841</a>)

Lane 4:

Western blot - Recombinant human PKC gamma protein (<a href='/en-us/products/proteins-peptides/recombinant-human-pkc-gamma-protein-ab60842'>ab60842</a>)

Lane 5:

Western blot - Recombinant human PKC delta protein (ab60844)

Lane 6:

Western blot - Recombinant human PKC zeta protein (<a href='/en-us/products/proteins-peptides/recombinant-human-pkc-zeta-protein-ab60848'>ab60848</a>)

Lane 7:

Western blot - Recombinant human PKC eta protein (<a href='/en-us/products/proteins-peptides/recombinant-human-pkc-eta-protein-ab60849'>ab60849</a>)

Lane 8:

Western blot - Recombinant human PKC theta/PRKCQ protein (<a href='/en-us/products/proteins-peptides/recombinant-human-pkc-theta-prkcq-protein-ab56641'>ab56641</a>)

Lane 9:

Western blot - Recombinant human PKC iota protein (<a href='/en-us/products/proteins-peptides/recombinant-human-pkc-iota-protein-ab60850'>ab60850</a>)

Secondary

All lanes:

Western blot - Goat Anti-Rabbit IgG H&L (HRP) (<a href='/en-us/products/secondary-antibodies/goat-rabbit-igg-h-l-hrp-ab97051'>ab97051</a>) at 1/20000 dilution

Predicted band size: 78 kDa

Observed band size: 105 kDa

false

Exposure time: 180s

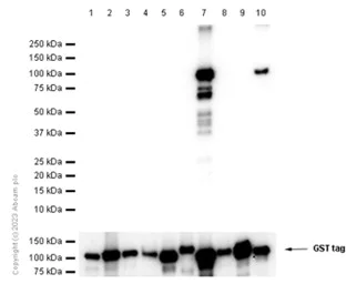
Western blot - Recombinant human PKC delta protein (AB60844)
  • WB

Supplier Data

Western blot - Recombinant human PKC delta protein (AB60844)

This data was developed using ab76129, the same antibody clone in a different buffer formulation.

Blocking and diluting buffer and concentration : 5% NFDM/TBST.

Exposure time : Lane 1-4 : 180 seconds; Lane 5-6 : 60 seconds; Lane 7-10 : 5 seconds.

All lanes:

Western blot - Anti-PKC zeta (phospho T410) + PKC iota (phospho T412) antibody [EP1491Y] (<a href='/en-us/products/primary-antibodies/pkc-zeta-phospho-t410-pkc-iota-phospho-t412-antibody-ep1491y-ab76129'>ab76129</a>) at 1/1000 dilution

Lane 1:

Western blot - Recombinant human PKC alpha protein (Active) (<a href='/en-us/products/proteins-peptides/recombinant-human-pkc-alpha-protein-active-ab55672'>ab55672</a>)

Lane 2:

Western blot - Recombinant human PKC beta 1 protein (<a href='/en-us/products/proteins-peptides/recombinant-human-pkc-beta-1-protein-ab60840'>ab60840</a>)

Lane 3:

Western blot - Recombinant human PKC beta 2 protein (<a href='/en-us/products/proteins-peptides/recombinant-human-pkc-beta-2-protein-ab60841'>ab60841</a>)

Lane 4:

Western blot - Recombinant human PKC gamma protein (<a href='/en-us/products/proteins-peptides/recombinant-human-pkc-gamma-protein-ab60842'>ab60842</a>)

Lane 5:

Western blot - Recombinant human PKC delta protein (ab60844)

Lane 6:

Western blot - Recombinant human PKC epsilon protein (<a href='/en-us/products/proteins-peptides/recombinant-human-pkc-epsilon-protein-ab60847'>ab60847</a>)

Lane 7:

Western blot - Recombinant human PKC zeta protein (<a href='/en-us/products/proteins-peptides/recombinant-human-pkc-zeta-protein-ab60848'>ab60848</a>)

Lane 8:

Western blot - Recombinant human PKC eta protein (<a href='/en-us/products/proteins-peptides/recombinant-human-pkc-eta-protein-ab60849'>ab60849</a>)

Lane 9:

Western blot - Recombinant human PKC theta/PRKCQ protein (<a href='/en-us/products/proteins-peptides/recombinant-human-pkc-theta-prkcq-protein-ab56641'>ab56641</a>)

Lane 10:

Western blot - Recombinant human PKC iota protein (<a href='/en-us/products/proteins-peptides/recombinant-human-pkc-iota-protein-ab60850'>ab60850</a>)

Secondary

All lanes:

Western blot - Goat Anti-Rabbit IgG H&L (HRP) (<a href='/en-us/products/secondary-antibodies/goat-rabbit-igg-h-l-hrp-ab97051'>ab97051</a>) at 1/20000 dilution

Observed band size: 105 kDa

false

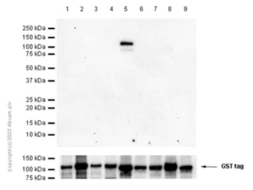
Western blot - Recombinant human PKC delta protein (AB60844)
  • WB

Unknown

Western blot - Recombinant human PKC delta protein (AB60844)

All lanes:

Anti-PKC delta antibody (<a href='/en-us/products/unavailable/pkc-delta-antibody-ab86800'>ab86800</a>) at 1 µg/mL

All lanes:

Western blot - Recombinant human PKC delta protein (ab60844) at 0.1 µg

Secondary

All lanes:

Goat polyclonal to Rabbit IgG - H&L - Pre-Adsorbed (HRP) (ab65484) at 1/5000 dilution

true

Exposure time: 4min

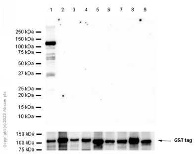
Western blot - Recombinant human PKC delta protein (AB60844)
  • WB

Lab

Western blot - Recombinant human PKC delta protein (AB60844)

5% NFDM/TBST

All lanes:

Western blot - Anti-PKC alpha antibody [133] (<a href='/en-us/products/primary-antibodies/pkc-alpha-antibody-133-ab11723'>ab11723</a>) at 1/1000 dilution

Lane 1:

Western blot - Recombinant human PKC alpha protein (Active) (<a href='/en-us/products/proteins-peptides/recombinant-human-pkc-alpha-protein-active-ab55672'>ab55672</a>)

Lane 2:

Western blot - Recombinant human PKC delta protein (ab60844)

Secondary

All lanes:

Peroxidase-Conjugated Goat anti-Mouse IgG (H+L) at 1/5000 dilution

Predicted band size: 76 kDa

false

Exposure time: 180s

Western blot - Recombinant human PKC delta protein (AB60844)
  • WB

Supplier Data

Western blot - Recombinant human PKC delta protein (AB60844)

This data was developed using ab180848, the same antibody clone in a different buffer formulation.

Blocking and diluting buffer and concentration : 5% NFDM/TBST.

All lanes:

Western blot - Anti-PKC alpha (phospho S657) antibody [EPR1901(2)] (<a href='/en-us/products/primary-antibodies/pkc-alpha-phospho-s657-antibody-epr19012-ab180848'>ab180848</a>) at 1/1000 dilution

Lane 1:

Western blot - Recombinant human PKC alpha protein (Active) (<a href='/en-us/products/proteins-peptides/recombinant-human-pkc-alpha-protein-active-ab55672'>ab55672</a>)

Lane 2:

Western blot - Recombinant human PKC beta 1 protein (<a href='/en-us/products/proteins-peptides/recombinant-human-pkc-beta-1-protein-ab60840'>ab60840</a>)

Lane 3:

Western blot - Recombinant human PKC beta 2 protein (<a href='/en-us/products/proteins-peptides/recombinant-human-pkc-beta-2-protein-ab60841'>ab60841</a>)

Lane 4:

Western blot - Recombinant human PKC gamma protein (<a href='/en-us/products/proteins-peptides/recombinant-human-pkc-gamma-protein-ab60842'>ab60842</a>)

Lane 5:

Western blot - Recombinant human PKC delta protein (ab60844)

Lane 6:

Western blot - Recombinant human PKC epsilon protein (<a href='/en-us/products/proteins-peptides/recombinant-human-pkc-epsilon-protein-ab60847'>ab60847</a>)

Lane 7:

Western blot - Recombinant human PKC zeta protein (<a href='/en-us/products/proteins-peptides/recombinant-human-pkc-zeta-protein-ab60848'>ab60848</a>)

Lane 8:

Western blot - Recombinant human PKC eta protein (<a href='/en-us/products/proteins-peptides/recombinant-human-pkc-eta-protein-ab60849'>ab60849</a>)

Lane 9:

Western blot - Recombinant human PKC theta/PRKCQ protein (<a href='/en-us/products/proteins-peptides/recombinant-human-pkc-theta-prkcq-protein-ab56641'>ab56641</a>)

Lane 10:

Western blot - Recombinant human PKC iota protein (<a href='/en-us/products/proteins-peptides/recombinant-human-pkc-iota-protein-ab60850'>ab60850</a>)

Secondary

All lanes:

Western blot - Goat Anti-Rabbit IgG H&L (HRP) (<a href='/en-us/products/secondary-antibodies/goat-rabbit-igg-h-l-hrp-ab97051'>ab97051</a>) at 1/20000 dilution

Predicted band size: 76 kDa

Observed band size: 105 kDa

false

Exposure time: 60s

SDS-PAGE - Recombinant human PKC delta protein (AB60844)
  • SDS-PAGE

Unknown

SDS-PAGE - Recombinant human PKC delta protein (AB60844)

ab60844 on SDS-PAGE, MW ~104 kDa.

SDS-PAGE - Recombinant human PKC delta protein (AB60844)
  • SDS-PAGE

Unknown

SDS-PAGE - Recombinant human PKC delta protein (AB60844)

SDS PAGE analysis of ab60844

Western blot - Recombinant human PKC delta protein (AB60844)
  • WB

Supplier Data

Western blot - Recombinant human PKC delta protein (AB60844)

This data was developed using the same antibody clone in a different buffer formulation containing PBS, BSA, glycerol, and sodium azide (ab32376).

Blocking and diluting buffer and concentration : 5% NFDM/TBST.

All lanes:

Western blot - Anti-PKC alpha antibody [Y124] (<a href='/en-us/products/primary-antibodies/pkc-alpha-antibody-y124-ab32376'>ab32376</a>) at 1/2000 dilution

Lane 1:

Western blot - Recombinant human PKC alpha protein (Active) (<a href='/en-us/products/proteins-peptides/recombinant-human-pkc-alpha-protein-active-ab55672'>ab55672</a>)

Lane 2:

Western blot - Recombinant human PKC beta 1 protein (<a href='/en-us/products/proteins-peptides/recombinant-human-pkc-beta-1-protein-ab60840'>ab60840</a>)

Lane 3:

Western blot - Recombinant human PKC beta 2 protein (<a href='/en-us/products/proteins-peptides/recombinant-human-pkc-beta-2-protein-ab60841'>ab60841</a>)

Lane 4:

Western blot - Recombinant human PKC gamma protein (<a href='/en-us/products/proteins-peptides/recombinant-human-pkc-gamma-protein-ab60842'>ab60842</a>)

Lane 5:

Western blot - Recombinant human PKC delta protein (ab60844)

Lane 6:

Western blot - Recombinant human PKC epsilon protein (<a href='/en-us/products/proteins-peptides/recombinant-human-pkc-epsilon-protein-ab60847'>ab60847</a>)

Lane 7:

Western blot - Recombinant human PKC zeta protein (<a href='/en-us/products/proteins-peptides/recombinant-human-pkc-zeta-protein-ab60848'>ab60848</a>)

Lane 8:

Western blot - Recombinant human PKC eta protein (<a href='/en-us/products/proteins-peptides/recombinant-human-pkc-eta-protein-ab60849'>ab60849</a>)

Lane 9:

Western blot - Recombinant human PKC theta/PRKCQ protein (<a href='/en-us/products/proteins-peptides/recombinant-human-pkc-theta-prkcq-protein-ab56641'>ab56641</a>)

Lane 10:

Western blot - Recombinant human PKC iota protein (<a href='/en-us/products/proteins-peptides/recombinant-human-pkc-iota-protein-ab60850'>ab60850</a>)

Secondary

All lanes:

Western blot - Goat Anti-Rabbit IgG H&L (HRP) (<a href='/en-us/products/secondary-antibodies/goat-rabbit-igg-h-l-hrp-ab97051'>ab97051</a>) at 1/20000 dilution

Predicted band size: 76 kDa

Observed band size: 105 kDa

false

Exposure time: 20s

Western blot - Recombinant human PKC delta protein (AB60844)
  • WB

Supplier Data

Western blot - Recombinant human PKC delta protein (AB60844)

This data was developed using ab32502, the same antibody clone in a different buffer formulation.

Blocking and diluting buffer and concentration : 5% NFDM/TBST.

All lanes:

Western blot - Anti-PKC alpha (phospho T638) antibody [E195] (<a href='/en-us/products/primary-antibodies/pkc-alpha-phospho-t638-antibody-e195-ab32502'>ab32502</a>) at 1/1000 dilution

Lane 1:

Western blot - Recombinant human PKC alpha protein (Active) (<a href='/en-us/products/proteins-peptides/recombinant-human-pkc-alpha-protein-active-ab55672'>ab55672</a>)

Lane 2:

Western blot - Recombinant human PKC beta 1 protein (<a href='/en-us/products/proteins-peptides/recombinant-human-pkc-beta-1-protein-ab60840'>ab60840</a>)

Lane 3:

Western blot - Recombinant human PKC beta 2 protein (<a href='/en-us/products/proteins-peptides/recombinant-human-pkc-beta-2-protein-ab60841'>ab60841</a>)

Lane 4:

Western blot - Recombinant human PKC gamma protein (<a href='/en-us/products/proteins-peptides/recombinant-human-pkc-gamma-protein-ab60842'>ab60842</a>)

Lane 5:

Western blot - Recombinant human PKC delta protein (ab60844)

Lane 6:

Western blot - Recombinant human PKC zeta protein (<a href='/en-us/products/proteins-peptides/recombinant-human-pkc-zeta-protein-ab60848'>ab60848</a>)

Lane 7:

Western blot - Recombinant human PKC eta protein (<a href='/en-us/products/proteins-peptides/recombinant-human-pkc-eta-protein-ab60849'>ab60849</a>)

Lane 8:

Western blot - Recombinant human PKC theta/PRKCQ protein (<a href='/en-us/products/proteins-peptides/recombinant-human-pkc-theta-prkcq-protein-ab56641'>ab56641</a>)

Lane 9:

Western blot - Recombinant human PKC iota protein (<a href='/en-us/products/proteins-peptides/recombinant-human-pkc-iota-protein-ab60850'>ab60850</a>)

Secondary

All lanes:

Western blot - Goat Anti-Rabbit IgG H&L (HRP) (<a href='/en-us/products/secondary-antibodies/goat-rabbit-igg-h-l-hrp-ab97051'>ab97051</a>) at 1/20000 dilution

Predicted band size: 76 kDa

Observed band size: 105 kDa

false

Exposure time: 60s

Western blot - Recombinant human PKC delta protein (AB60844)
  • WB

Supplier Data

Western blot - Recombinant human PKC delta protein (AB60844)

This data was developed using the same antibody clone in a different buffer formulation containing PBS, BSA, glycerol, and sodium azide (ab62372).

Blocking and diluting buffer and concentration : 5% NFDM/TBST.

All lanes:

Western blot - Anti-PKC zeta (phospho T560) antibody [EP2037AY] (<a href='/en-us/products/primary-antibodies/pkc-zeta-phospho-t560-antibody-ep2037ay-ab62372'>ab62372</a>) at 1/1000 dilution

Lane 1:

Western blot - Recombinant human PKC alpha protein (Active) (<a href='/en-us/products/proteins-peptides/recombinant-human-pkc-alpha-protein-active-ab55672'>ab55672</a>)

Lane 2:

Western blot - Recombinant human PKC beta 1 protein (<a href='/en-us/products/proteins-peptides/recombinant-human-pkc-beta-1-protein-ab60840'>ab60840</a>)

Lane 3:

Western blot - Recombinant human PKC beta 2 protein (<a href='/en-us/products/proteins-peptides/recombinant-human-pkc-beta-2-protein-ab60841'>ab60841</a>)

Lane 4:

Western blot - Recombinant human PKC gamma protein (<a href='/en-us/products/proteins-peptides/recombinant-human-pkc-gamma-protein-ab60842'>ab60842</a>)

Lane 5:

Western blot - Recombinant human PKC delta protein (ab60844)

Lane 6:

Western blot - Recombinant human PKC epsilon protein (<a href='/en-us/products/proteins-peptides/recombinant-human-pkc-epsilon-protein-ab60847'>ab60847</a>)

Lane 7:

Western blot - Recombinant human PKC zeta protein (<a href='/en-us/products/proteins-peptides/recombinant-human-pkc-zeta-protein-ab60848'>ab60848</a>)

Lane 8:

Western blot - Recombinant human PKC eta protein (<a href='/en-us/products/proteins-peptides/recombinant-human-pkc-eta-protein-ab60849'>ab60849</a>)

Lane 9:

Western blot - Recombinant human PKC theta/PRKCQ protein (<a href='/en-us/products/proteins-peptides/recombinant-human-pkc-theta-prkcq-protein-ab56641'>ab56641</a>)

Lane 10:

Western blot - Recombinant human PKC iota protein (<a href='/en-us/products/proteins-peptides/recombinant-human-pkc-iota-protein-ab60850'>ab60850</a>)

Secondary

All lanes:

Western blot - Goat Anti-Rabbit IgG H&L (HRP) (<a href='/en-us/products/secondary-antibodies/goat-rabbit-igg-h-l-hrp-ab97051'>ab97051</a>) at 1/20000 dilution

Predicted band size: 68 kDa

Observed band size: 105 kDa

false

Exposure time: 5s

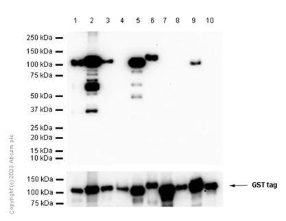
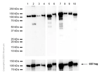
Western blot - Recombinant human PKC delta protein (AB60844)
  • WB

Lab

Western blot - Recombinant human PKC delta protein (AB60844)

Blocking and diluting buffer and concentration : 5% NFDM/TBST. ab235384 was used to detect GST tag.

All lanes:

Western blot - Anti-PKC beta 2 antibody [Y125] (<a href='/en-us/products/primary-antibodies/pkc-beta-2-antibody-y125-ab32026'>ab32026</a>) at 1/1000 dilution

Lane 1:

Western blot - Recombinant human PKC beta 2 protein (<a href='/en-us/products/proteins-peptides/recombinant-human-pkc-beta-2-protein-ab60841'>ab60841</a>) at 10 ng

Lane 2:

Western blot - Recombinant human PKC beta 1 protein (<a href='/en-us/products/proteins-peptides/recombinant-human-pkc-beta-1-protein-ab60840'>ab60840</a>) at 10 ng

Lane 3:

Western blot - Recombinant human PKC delta protein (ab60844) at 10 ng

Lane 4:

Western blot - Recombinant human PKC eta protein (<a href='/en-us/products/proteins-peptides/recombinant-human-pkc-eta-protein-ab60849'>ab60849</a>) at 10 ng

Lane 5:

Western blot - Recombinant human PKC epsilon protein (<a href='/en-us/products/proteins-peptides/recombinant-human-pkc-epsilon-protein-ab60847'>ab60847</a>) at 10 ng

Lane 6:

Western blot - Recombinant human PKC theta/PRKCQ protein (<a href='/en-us/products/proteins-peptides/recombinant-human-pkc-theta-prkcq-protein-ab56641'>ab56641</a>) at 10 ng

Lane 7:

Western blot - Recombinant human PKC mu/PKD protein (<a href='/en-us/products/proteins-peptides/recombinant-human-pkc-mu-pkd-protein-ab60873'>ab60873</a>) at 10 ng

Lane 8:

Western blot - Recombinant human PKC alpha protein (Active) (<a href='/en-us/products/proteins-peptides/recombinant-human-pkc-alpha-protein-active-ab55672'>ab55672</a>) at 10 ng

Lane 9:

Western blot - Goat Anti-Rabbit IgG H&L (HRP) (<a href='/en-us/products/secondary-antibodies/goat-rabbit-igg-h-l-hrp-ab97051'>ab97051</a>) at 10 ng

Secondary

All lanes:

Western blot - Goat Anti-Rabbit IgG H&L (HRP) (<a href='/en-us/products/secondary-antibodies/goat-rabbit-igg-h-l-hrp-ab97051'>ab97051</a>) at 1/20000 dilution

Predicted band size: 77 kDa

Observed band size: 100 kDa

false

Key facts

Purity

>90% Densitometry

Expression system

Baculovirus infected Sf9 cells

Tags

GST tag N-Terminus

Applications

FuncS, SDS-PAGE, WB

applications

Biologically active

Yes

Biological activity

Specific Activity: 302 nmol/min/mg.

Accession

Q05655

Animal free

No

Carrier free

No

Species

Human

Storage buffer

pH: 7.5 Constituents: 25% Glycerol (glycerin, glycerine), 0.87% Sodium chloride, 0.79% Tris HCl, 0.00385% (R*,R*)-1,4-Dimercaptobutan-2,3-diol, 0.0038% EGTA, 0.00292% EDTA, 0.00174% PMSF

storage-buffer

Reactivity data

{ "title": "Reactivity Data", "filters": { "stats": ["", "Reactivity", "Dilution Info", "Notes"] }, "values": { "SDS-PAGE": { "reactivity":"TESTED_AND_REACTS", "dilution-info":"", "notes":"<p></p>" }, "WB": { "reactivity":"TESTED_AND_REACTS", "dilution-info":"", "notes":"<p>ab60844 can be used as a WB positive control in conjunction with <a href='/en-us/products/unavailable/pkc-delta-antibody-ab86800'>ab86800</a>.</p>" }, "FuncS": { "reactivity":"TESTED_AND_REACTS", "dilution-info":"", "notes":"<p>Kinase assay.</p>" } } }

Product details

Phosphatidylinositol is the most potent activator of PKC delta.

ab204856 (CREB peptide) can be utilized as a substrate for assessing kinase activity

Sequence info

[{"sequence":"","proteinLength":"Full Length","predictedMolecularWeight":null,"actualMolecularWeight":null,"aminoAcidEnd":0,"aminoAcidStart":0,"nature":"Recombinant","expressionSystem":null,"accessionNumber":"Q05655","tags":[{"tag":"GST","terminus":"N-Terminus"}]}]

Properties and storage information

Shipped at conditions
Dry Ice
Appropriate short-term storage conditions
-80°C
Appropriate long-term storage conditions
-80°C
Aliquoting information
Upon delivery aliquot
Storage information
Avoid freeze / thaw cycle
True

Supplementary information

This supplementary information is collated from multiple sources and compiled automatically.

Protein kinase C delta (PKC delta) often called PKCδ belongs to the novel PKC subfamily. It weighs approximately 78 kDa and functions in various cellular processes. This enzyme exhibits serine/threonine kinase activity and is expressed across numerous tissues including the brain heart and lymphoid organs. PKC delta activation mainly relies on diacylglycerol and phospholipids though it does not require calcium for activation. This target has multiple known phosphorylation sites such as delta 1485 and delta 647 that modulate its enzymatic activity and localization.
Biological function summary

PKC delta influences cell growth apoptosis and differentiation through its kinase activity. It acts as an important regulator in the signaling pathways that control these processes. PKC delta is not a part of a traditional complex but interacts with several proteins influencing signaling cascades. In cellular contexts PKC delta positively influences tumor necrosis factor-related pathways and also initiates apoptosis in response to DNA damage.

Pathways

PKC delta plays an essential role in the regulation of mitogen-activated protein kinase (MAPK) and Janus kinase (JAK) pathways. Within the MAPK pathway PKC delta interacts with proteins like c-Jun N-terminal kinase (JNK) facilitating stress-responsive pathways related to cell death and survival. In the JAK pathway its regulation can impact cytokine signaling and immune responses. PKC delta's function within these pathways positions it as an important mediator and influencer of diverse cellular responses.

PKC delta has significant implications for cancer and cardiovascular diseases. PKC delta promotes tumor cell proliferation in some cancers by altering cell cycle regulation and resist apoptosis. In cardiovascular disorders this protein mediates cardiac hypertrophy and heart failure through its influence on myocyte apoptosis and fibrosis. PKC delta’s interaction with specific proteins like Bcl-2 in cancer and troponin in cardiac conditions highlights its role in pathophysiological processes making it a significant target for therapeutic intervention.

Specifications

Form

Liquid

Additional notes

Affinity purified.

General info

Function

Calcium-independent, phospholipid- and diacylglycerol (DAG)-dependent serine/threonine-protein kinase that plays contrasting roles in cell death and cell survival by functioning as a pro-apoptotic protein during DNA damage-induced apoptosis, but acting as an anti-apoptotic protein during cytokine receptor-initiated cell death, is involved in tumor suppression as well as survival of several cancers, is required for oxygen radical production by NADPH oxidase and acts as positive or negative regulator in platelet functional responses (PubMed : 21406692, PubMed : 21810427). Negatively regulates B cell proliferation and also has an important function in self-antigen induced B cell tolerance induction (By similarity). Upon DNA damage, activates the promoter of the death-promoting transcription factor BCLAF1/Btf to trigger BCLAF1-mediated p53/TP53 gene transcription and apoptosis (PubMed : 21406692, PubMed : 21810427). In response to oxidative stress, interact with and activate CHUK/IKKA in the nucleus, causing the phosphorylation of p53/TP53 (PubMed : 21406692, PubMed : 21810427). In the case of ER stress or DNA damage-induced apoptosis, can form a complex with the tyrosine-protein kinase ABL1 which trigger apoptosis independently of p53/TP53 (PubMed : 21406692, PubMed : 21810427). In cytosol can trigger apoptosis by activating MAPK11 or MAPK14, inhibiting AKT1 and decreasing the level of X-linked inhibitor of apoptosis protein (XIAP), whereas in nucleus induces apoptosis via the activation of MAPK8 or MAPK9. Upon ionizing radiation treatment, is required for the activation of the apoptosis regulators BAX and BAK, which trigger the mitochondrial cell death pathway. Can phosphorylate MCL1 and target it for degradation which is sufficient to trigger for BAX activation and apoptosis. Is required for the control of cell cycle progression both at G1/S and G2/M phases. Mediates phorbol 12-myristate 13-acetate (PMA)-induced inhibition of cell cycle progression at G1/S phase by up-regulating the CDK inhibitor CDKN1A/p21 and inhibiting the cyclin CCNA2 promoter activity. In response to UV irradiation can phosphorylate CDK1, which is important for the G2/M DNA damage checkpoint activation (By similarity). Can protect glioma cells from the apoptosis induced by TNFSF10/TRAIL, probably by inducing increased phosphorylation and subsequent activation of AKT1 (PubMed : 15774464). Is highly expressed in a number of cancer cells and promotes cell survival and resistance against chemotherapeutic drugs by inducing cyclin D1 (CCND1) and hyperphosphorylation of RB1, and via several pro-survival pathways, including NF-kappa-B, AKT1 and MAPK1/3 (ERK1/2). Involved in antifungal immunity by mediating phosphorylation and activation of CARD9 downstream of C-type lectin receptors activation, promoting interaction between CARD9 and BCL10, followed by activation of NF-kappa-B and MAP kinase p38 pathways (By similarity). Can also act as tumor suppressor upon mitogenic stimulation with PMA or TPA. In N-formyl-methionyl-leucyl-phenylalanine (fMLP)-treated cells, is required for NCF1 (p47-phox) phosphorylation and activation of NADPH oxidase activity, and regulates TNF-elicited superoxide anion production in neutrophils, by direct phosphorylation and activation of NCF1 or indirectly through MAPK1/3 (ERK1/2) signaling pathways (PubMed : 19801500). May also play a role in the regulation of NADPH oxidase activity in eosinophil after stimulation with IL5, leukotriene B4 or PMA (PubMed : 11748588). In collagen-induced platelet aggregation, acts a negative regulator of filopodia formation and actin polymerization by interacting with and negatively regulating VASP phosphorylation (PubMed : 16940418). Downstream of PAR1, PAR4 and CD36/GP4 receptors, regulates differentially platelet dense granule secretion; acts as a positive regulator in PAR-mediated granule secretion, whereas it negatively regulates CD36/GP4-mediated granule release (PubMed : 19587372). Phosphorylates MUC1 in the C-terminal and regulates the interaction between MUC1 and beta-catenin (PubMed : 11877440). The catalytic subunit phosphorylates 14-3-3 proteins (YWHAB, YWHAZ and YWHAH) in a sphingosine-dependent fashion (By similarity). Phosphorylates ELAVL1 in response to angiotensin-2 treatment (PubMed : 18285462). Phosphorylates mitochondrial phospholipid scramblase 3 (PLSCR3), resulting in increased cardiolipin expression on the mitochondrial outer membrane which facilitates apoptosis (PubMed : 12649167). Phosphorylates SMPD1 which induces SMPD1 secretion (PubMed : 17303575).

Sequence similarities

Belongs to the protein kinase superfamily. AGC Ser/Thr protein kinase family. PKC subfamily.

Post-translational modifications

Autophosphorylated and/or phosphorylated at Thr-507, within the activation loop; phosphorylation at Thr-507 is not a prerequisite for enzymatic activity (PubMed:19801500). Autophosphorylated at Ser-299, Ser-302 and Ser-304 (PubMed:17603046). Upon TNFSF10/TRAIL treatment, phosphorylated at Tyr-155; phosphorylation is required for its translocation to the endoplasmic reticulum and cleavage by caspase-3 (PubMed:15774464). Phosphorylated at Tyr-313, Tyr-334 and Tyr-567; phosphorylation of Tyr-313 and Tyr-567 following thrombin or zymosan stimulation potentiates its kinase activity (PubMed:17570831). Phosphorylated by protein kinase PDPK1; phosphorylation is inhibited by the apoptotic C-terminal cleavage product of PKN2 (PubMed:11781095). Phosphorylated at Tyr-313 through a SYK and SRC mechanism downstream of C-type lectin receptors activation, promoting its activation (By similarity).. Proteolytically cleaved into a catalytic subunit and a regulatory subunit by caspase-3 during apoptosis which results in kinase activation.

Subcellular localisation

Nucleus

Product protocols

Target data

Calcium-independent, phospholipid- and diacylglycerol (DAG)-dependent serine/threonine-protein kinase that plays contrasting roles in cell death and cell survival by functioning as a pro-apoptotic protein during DNA damage-induced apoptosis, but acting as an anti-apoptotic protein during cytokine receptor-initiated cell death, is involved in tumor suppression as well as survival of several cancers, is required for oxygen radical production by NADPH oxidase and acts as positive or negative regulator in platelet functional responses (PubMed : 21406692, PubMed : 21810427). Negatively regulates B cell proliferation and also has an important function in self-antigen induced B cell tolerance induction (By similarity). Upon DNA damage, activates the promoter of the death-promoting transcription factor BCLAF1/Btf to trigger BCLAF1-mediated p53/TP53 gene transcription and apoptosis (PubMed : 21406692, PubMed : 21810427). In response to oxidative stress, interact with and activate CHUK/IKKA in the nucleus, causing the phosphorylation of p53/TP53 (PubMed : 21406692, PubMed : 21810427). In the case of ER stress or DNA damage-induced apoptosis, can form a complex with the tyrosine-protein kinase ABL1 which trigger apoptosis independently of p53/TP53 (PubMed : 21406692, PubMed : 21810427). In cytosol can trigger apoptosis by activating MAPK11 or MAPK14, inhibiting AKT1 and decreasing the level of X-linked inhibitor of apoptosis protein (XIAP), whereas in nucleus induces apoptosis via the activation of MAPK8 or MAPK9. Upon ionizing radiation treatment, is required for the activation of the apoptosis regulators BAX and BAK, which trigger the mitochondrial cell death pathway. Can phosphorylate MCL1 and target it for degradation which is sufficient to trigger for BAX activation and apoptosis. Is required for the control of cell cycle progression both at G1/S and G2/M phases. Mediates phorbol 12-myristate 13-acetate (PMA)-induced inhibition of cell cycle progression at G1/S phase by up-regulating the CDK inhibitor CDKN1A/p21 and inhibiting the cyclin CCNA2 promoter activity. In response to UV irradiation can phosphorylate CDK1, which is important for the G2/M DNA damage checkpoint activation (By similarity). Can protect glioma cells from the apoptosis induced by TNFSF10/TRAIL, probably by inducing increased phosphorylation and subsequent activation of AKT1 (PubMed : 15774464). Is highly expressed in a number of cancer cells and promotes cell survival and resistance against chemotherapeutic drugs by inducing cyclin D1 (CCND1) and hyperphosphorylation of RB1, and via several pro-survival pathways, including NF-kappa-B, AKT1 and MAPK1/3 (ERK1/2). Involved in antifungal immunity by mediating phosphorylation and activation of CARD9 downstream of C-type lectin receptors activation, promoting interaction between CARD9 and BCL10, followed by activation of NF-kappa-B and MAP kinase p38 pathways (By similarity). Can also act as tumor suppressor upon mitogenic stimulation with PMA or TPA. In N-formyl-methionyl-leucyl-phenylalanine (fMLP)-treated cells, is required for NCF1 (p47-phox) phosphorylation and activation of NADPH oxidase activity, and regulates TNF-elicited superoxide anion production in neutrophils, by direct phosphorylation and activation of NCF1 or indirectly through MAPK1/3 (ERK1/2) signaling pathways (PubMed : 19801500). May also play a role in the regulation of NADPH oxidase activity in eosinophil after stimulation with IL5, leukotriene B4 or PMA (PubMed : 11748588). In collagen-induced platelet aggregation, acts a negative regulator of filopodia formation and actin polymerization by interacting with and negatively regulating VASP phosphorylation (PubMed : 16940418). Downstream of PAR1, PAR4 and CD36/GP4 receptors, regulates differentially platelet dense granule secretion; acts as a positive regulator in PAR-mediated granule secretion, whereas it negatively regulates CD36/GP4-mediated granule release (PubMed : 19587372). Phosphorylates MUC1 in the C-terminal and regulates the interaction between MUC1 and beta-catenin (PubMed : 11877440). The catalytic subunit phosphorylates 14-3-3 proteins (YWHAB, YWHAZ and YWHAH) in a sphingosine-dependent fashion (By similarity). Phosphorylates ELAVL1 in response to angiotensin-2 treatment (PubMed : 18285462). Phosphorylates mitochondrial phospholipid scramblase 3 (PLSCR3), resulting in increased cardiolipin expression on the mitochondrial outer membrane which facilitates apoptosis (PubMed : 12649167). Phosphorylates SMPD1 which induces SMPD1 secretion (PubMed : 17303575).
See full target information PRKCD

Publications (2)

Recent publications for all applications. Explore the full list and refine your search

Nature communications 15:2789 PubMed38555386

2024

PCSK9 stimulates Syk, PKCδ, and NF-κB, leading to atherosclerosis progression independently of LDL receptor.

Applications

Unspecified application

Species

Unspecified reactive species

Dasom Shin,Soungchan Kim,Hwan Lee,Hyun-Chae Lee,Jaewon Lee,Hyun-Woo Park,Mina Fukai,EunByule Choi,Subin Choi,Bon-Jun Koo,Ji-Hoon Yu,Gyurae No,Sungyoon Cho,Chan Woo Kim,Dohyun Han,Hyun-Duk Jang,Hyo-Soo Kim

The Journal of cell biology 220: PubMed33411917

2021

Phosphorylation of PKCδ by FER tips the balance from EGFR degradation to recycling.

Applications

Unspecified application

Species

Unspecified reactive species

Ana Lonic,Freya Gehling,Leila Belle,Xiaochun Li,Nicole L Schieber,Elizabeth V Nguyen,Gregory J Goodall,Robert G Parton,Roger J Daly,Yeesim Khew-Goodall
View all publications

Product promise

We are committed to supporting your work with high-quality reagents, and we're here for you every step of the way. In the unlikely event that one of our products does not perform as expected, you're protected by our Product Promise.
For full details, please see our Terms & Conditions

Please note: All products are 'FOR RESEARCH USE ONLY. NOT FOR USE IN DIAGNOSTIC OR THERAPEUTIC PROCEDURES'.

For licensing inquiries, please contact partnerships@abcam.com