JavaScript is disabled in your browser. Please enable JavaScript to view this website.
AB60847

Recombinant human PKC epsilon protein

Be the first to review this product! Submit a review

|

(0 Publication)

Recombinant human PKC epsilon protein is a Human Full Length protein, expressed in Baculovirus infected Sf9 cells, with >90%, suitable for SDS-PAGE, WB, FuncS.

View Alternative Names

PKCE, PRKCE, Protein kinase C epsilon type, nPKC-epsilon

12 Images
Western blot - Recombinant human PKC epsilon protein (AB60847)
  • WB

Lab

Western blot - Recombinant human PKC epsilon protein (AB60847)

Blocking and dilution buffer : 5% NFDM/TBST. Active human PKC alpha full length protein (ab55672) contains aa1-672 with GST-tag. Active human PKC beta 1 full length protein (ab60840) contains aa1-671 with GST-tag. Active human PKC beta 2 full length protein (ab60841) contains aa1-673 with GST-tag. Active human PKC delta full length protein (ab60844) contains aa1-676 with GST-tag. Active human PKC eta full length protein (ab60849) contains aa1-683 with GST-tag. Active human PKC epsilon full length protein (ab60847) contains aa1-737 with GST-tag. Active human PKC theta full length protein (ab56641) contains aa1-706 with GST-tag. Active human PKC mu full length protein (ab60873) contains aa1-912 with GST-tag.

All lanes:

Western blot - Anti-PKC (phospho S660) antibody [EP1902Y] (<a href='/en-us/products/primary-antibodies/pkc-phospho-s660-antibody-ep1902y-ab75837'>ab75837</a>) at 1/20000 dilution

Lane 1:

Western blot - Recombinant human PKC alpha protein (Active) (<a href='/en-us/products/proteins-peptides/recombinant-human-pkc-alpha-protein-active-ab55672'>ab55672</a>)

Lane 2:

Western blot - Recombinant human PKC beta 1 protein (<a href='/en-us/products/proteins-peptides/recombinant-human-pkc-beta-1-protein-ab60840'>ab60840</a>)

Lane 3:

Western blot - Recombinant human PKC beta 2 protein (<a href='/en-us/products/proteins-peptides/recombinant-human-pkc-beta-2-protein-ab60841'>ab60841</a>)

Lane 4:

Western blot - Recombinant human PKC delta protein (<a href='/en-us/products/proteins-peptides/recombinant-human-pkc-delta-protein-ab60844'>ab60844</a>)

Lane 5:

Western blot - Recombinant human PKC eta protein (<a href='/en-us/products/proteins-peptides/recombinant-human-pkc-eta-protein-ab60849'>ab60849</a>)

Lane 6:

Western blot - Recombinant human PKC epsilon protein (ab60847)

Lane 7:

Western blot - Recombinant human PKC theta/PRKCQ protein (<a href='/en-us/products/proteins-peptides/recombinant-human-pkc-theta-prkcq-protein-ab56641'>ab56641</a>)

Lane 8:

Western blot - Recombinant human PKC mu/PKD protein (<a href='/en-us/products/proteins-peptides/recombinant-human-pkc-mu-pkd-protein-ab60873'>ab60873</a>)

Secondary

All lanes:

Western blot - Goat Anti-Rabbit IgG H&L (HRP) (<a href='/en-us/products/secondary-antibodies/goat-rabbit-igg-h-l-hrp-ab97051'>ab97051</a>) at 1/20000 dilution

Predicted band size: 77 kDa

Observed band size: 100-150 kDa

false

Exposure time: 1s

Western blot - Recombinant human PKC epsilon protein (AB60847)
  • WB

Lab

Western blot - Recombinant human PKC epsilon protein (AB60847)

Blocking and dilution buffer : 5% NFDM/TBST.

ab109539 could detect PKC gamma (pT514), PKC alpha (pT497), PKC beta (pT500), PKC delta (pT507), PKC eta (pT513), PKC epsilon (pT566) and PKC theta (pT538).

Active human PKC alpha full length protein (Catalog#ab55672) contains aa1-672 with GST-tag;
Active human PKC beta 1 full length protein (Catalog#ab60840) contains aa1-671 with GST-tag;
Active human PKC beta 2 full length protein (Catalog#ab60841) contains aa1-673 with GST-tag;
Active human PKC delta full length protein (Catalog#ab60844) contains aa1-676 with GST-tag;
Active human PKC eta full length protein (Catalog#ab60849) contains aa1-683 with GST-tag;
Active human PKC epsilon full length protein (Catalog#ab60847) contains aa1-737 with GST-tag;
Active human PKC theta full length protein (Catalog#ab56641) contains aa1-706 with GST-tag;
Active human PKC mu full length protein (Catalog#ab60873) contains aa1-912 with GST-tag;
Active human PKC gamma full length protein (Catalog#ab60842) contains aa1-697 with GST-tag.

All lanes:

Western blot - Anti-PKC (phospho T514) antibody [EP2730Y] (<a href='/en-us/products/primary-antibodies/pkc-phospho-t514-antibody-ep2730y-ab109539'>ab109539</a>) at 1/1000 dilution

Lane 1:

Western blot - Recombinant human PKC alpha protein (Active) (<a href='/en-us/products/proteins-peptides/recombinant-human-pkc-alpha-protein-active-ab55672'>ab55672</a>) at 0.5 µg

Lane 2:

Western blot - Recombinant human PKC beta 1 protein (<a href='/en-us/products/proteins-peptides/recombinant-human-pkc-beta-1-protein-ab60840'>ab60840</a>) at 0.2 µg

Lane 3:

Active human PKC beta 2 full length protein at 0.2 µg

Lane 4:

Western blot - Recombinant human PKC delta protein (<a href='/en-us/products/proteins-peptides/recombinant-human-pkc-delta-protein-ab60844'>ab60844</a>) at 0.05 µg

Lane 5:

Western blot - Recombinant human PKC eta protein (<a href='/en-us/products/proteins-peptides/recombinant-human-pkc-eta-protein-ab60849'>ab60849</a>) at 0.5 µg

Lane 6:

Western blot - Recombinant human PKC epsilon protein (ab60847) at 1 µg

Lane 7:

Western blot - Recombinant human PKC theta/PRKCQ protein (<a href='/en-us/products/proteins-peptides/recombinant-human-pkc-theta-prkcq-protein-ab56641'>ab56641</a>) at 0.2 µg

Lane 8:

Western blot - Recombinant human PKC mu/PKD protein (<a href='/en-us/products/proteins-peptides/recombinant-human-pkc-mu-pkd-protein-ab60873'>ab60873</a>) at 1 µg

Lane 9:

Western blot - Recombinant human PKC gamma protein (<a href='/en-us/products/proteins-peptides/recombinant-human-pkc-gamma-protein-ab60842'>ab60842</a>) at 0.1 µg

Secondary

All lanes:

Western blot - Goat Anti-Rabbit IgG H&L (HRP) (<a href='/en-us/products/secondary-antibodies/goat-rabbit-igg-h-l-hrp-ab97051'>ab97051</a>) at 1/100000 dilution

Predicted band size: 77 kDa

Observed band size: 80 kDa

false

Exposure time: 180s

Functional Studies - Recombinant human PKC epsilon protein (AB60847)
  • FuncS

Unknown

Functional Studies - Recombinant human PKC epsilon protein (AB60847)

Sample Kinase Activity Plot.

Functional Studies - Recombinant human PKC epsilon protein (AB60847)
  • FuncS

Unknown

Functional Studies - Recombinant human PKC epsilon protein (AB60847)

The specific activity of PKC epsilon (ab60847) was determined to be 1122 nmol/min/mg as per activity assay protocol and was equivalent to 1398 nmol/min/mg as per radiometric assay

Western blot - Recombinant human PKC epsilon protein (AB60847)
  • WB

Supplier Data

Western blot - Recombinant human PKC epsilon protein (AB60847)

This data was developed using ab76129, the same antibody clone in a different buffer formulation.

Blocking and diluting buffer and concentration : 5% NFDM/TBST.

Exposure time : Lane 1-4 : 180 seconds; Lane 5-6 : 60 seconds; Lane 7-10 : 5 seconds.

All lanes:

Western blot - Anti-PKC zeta (phospho T410) + PKC iota (phospho T412) antibody [EP1491Y] (<a href='/en-us/products/primary-antibodies/pkc-zeta-phospho-t410-pkc-iota-phospho-t412-antibody-ep1491y-ab76129'>ab76129</a>) at 1/1000 dilution

Lane 1:

Western blot - Recombinant human PKC alpha protein (Active) (<a href='/en-us/products/proteins-peptides/recombinant-human-pkc-alpha-protein-active-ab55672'>ab55672</a>)

Lane 2:

Western blot - Recombinant human PKC beta 1 protein (<a href='/en-us/products/proteins-peptides/recombinant-human-pkc-beta-1-protein-ab60840'>ab60840</a>)

Lane 3:

Western blot - Recombinant human PKC beta 2 protein (<a href='/en-us/products/proteins-peptides/recombinant-human-pkc-beta-2-protein-ab60841'>ab60841</a>)

Lane 4:

Western blot - Recombinant human PKC gamma protein (<a href='/en-us/products/proteins-peptides/recombinant-human-pkc-gamma-protein-ab60842'>ab60842</a>)

Lane 5:

Western blot - Recombinant human PKC delta protein (<a href='/en-us/products/proteins-peptides/recombinant-human-pkc-delta-protein-ab60844'>ab60844</a>)

Lane 6:

Western blot - Recombinant human PKC epsilon protein (ab60847)

Lane 7:

Western blot - Recombinant human PKC zeta protein (<a href='/en-us/products/proteins-peptides/recombinant-human-pkc-zeta-protein-ab60848'>ab60848</a>)

Lane 8:

Western blot - Recombinant human PKC eta protein (<a href='/en-us/products/proteins-peptides/recombinant-human-pkc-eta-protein-ab60849'>ab60849</a>)

Lane 9:

Western blot - Recombinant human PKC theta/PRKCQ protein (<a href='/en-us/products/proteins-peptides/recombinant-human-pkc-theta-prkcq-protein-ab56641'>ab56641</a>)

Lane 10:

Western blot - Recombinant human PKC iota protein (<a href='/en-us/products/proteins-peptides/recombinant-human-pkc-iota-protein-ab60850'>ab60850</a>)

Secondary

All lanes:

Western blot - Goat Anti-Rabbit IgG H&L (HRP) (<a href='/en-us/products/secondary-antibodies/goat-rabbit-igg-h-l-hrp-ab97051'>ab97051</a>) at 1/20000 dilution

Observed band size: 105 kDa

false

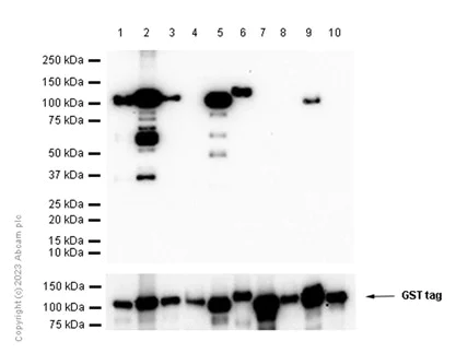
Western blot - Recombinant human PKC epsilon protein (AB60847)
  • WB

Supplier Data

Western blot - Recombinant human PKC epsilon protein (AB60847)

This data was developed using ab180848, the same antibody clone in a different buffer formulation.

Blocking and diluting buffer and concentration : 5% NFDM/TBST.

All lanes:

Western blot - Anti-PKC alpha (phospho S657) antibody [EPR1901(2)] (<a href='/en-us/products/primary-antibodies/pkc-alpha-phospho-s657-antibody-epr19012-ab180848'>ab180848</a>) at 1/1000 dilution

Lane 1:

Western blot - Recombinant human PKC alpha protein (Active) (<a href='/en-us/products/proteins-peptides/recombinant-human-pkc-alpha-protein-active-ab55672'>ab55672</a>)

Lane 2:

Western blot - Recombinant human PKC beta 1 protein (<a href='/en-us/products/proteins-peptides/recombinant-human-pkc-beta-1-protein-ab60840'>ab60840</a>)

Lane 3:

Western blot - Recombinant human PKC beta 2 protein (<a href='/en-us/products/proteins-peptides/recombinant-human-pkc-beta-2-protein-ab60841'>ab60841</a>)

Lane 4:

Western blot - Recombinant human PKC gamma protein (<a href='/en-us/products/proteins-peptides/recombinant-human-pkc-gamma-protein-ab60842'>ab60842</a>)

Lane 5:

Western blot - Recombinant human PKC delta protein (<a href='/en-us/products/proteins-peptides/recombinant-human-pkc-delta-protein-ab60844'>ab60844</a>)

Lane 6:

Western blot - Recombinant human PKC epsilon protein (ab60847)

Lane 7:

Western blot - Recombinant human PKC zeta protein (<a href='/en-us/products/proteins-peptides/recombinant-human-pkc-zeta-protein-ab60848'>ab60848</a>)

Lane 8:

Western blot - Recombinant human PKC eta protein (<a href='/en-us/products/proteins-peptides/recombinant-human-pkc-eta-protein-ab60849'>ab60849</a>)

Lane 9:

Western blot - Recombinant human PKC theta/PRKCQ protein (<a href='/en-us/products/proteins-peptides/recombinant-human-pkc-theta-prkcq-protein-ab56641'>ab56641</a>)

Lane 10:

Western blot - Recombinant human PKC iota protein (<a href='/en-us/products/proteins-peptides/recombinant-human-pkc-iota-protein-ab60850'>ab60850</a>)

Secondary

All lanes:

Western blot - Goat Anti-Rabbit IgG H&L (HRP) (<a href='/en-us/products/secondary-antibodies/goat-rabbit-igg-h-l-hrp-ab97051'>ab97051</a>) at 1/20000 dilution

Predicted band size: 76 kDa

Observed band size: 105 kDa

false

Exposure time: 60s

Western blot - Recombinant human PKC epsilon protein (AB60847)
  • WB

Supplier Data

Western blot - Recombinant human PKC epsilon protein (AB60847)

5% NFDM/TBST All positive controls 10 ng

All lanes:

Western blot - Anti-PKC alpha antibody [133] (<a href='/en-us/products/primary-antibodies/pkc-alpha-antibody-133-ab11723'>ab11723</a>) at 1/1000 dilution

Lane 1:

Western blot - Recombinant human PKC alpha protein (Active) (<a href='/en-us/products/proteins-peptides/recombinant-human-pkc-alpha-protein-active-ab55672'>ab55672</a>)

Lane 2:

Western blot - Recombinant human PKC beta 1 protein (<a href='/en-us/products/proteins-peptides/recombinant-human-pkc-beta-1-protein-ab60840'>ab60840</a>)

Lane 3:

Western blot - Recombinant human PKC beta 2 protein (<a href='/en-us/products/proteins-peptides/recombinant-human-pkc-beta-2-protein-ab60841'>ab60841</a>)

Lane 4:

Western blot - Recombinant human PKC eta protein (<a href='/en-us/products/proteins-peptides/recombinant-human-pkc-eta-protein-ab60849'>ab60849</a>)

Lane 5:

Western blot - Recombinant human PKC epsilon protein (ab60847)

Lane 6:

Western blot - Recombinant human PKC theta/PRKCQ protein (<a href='/en-us/products/proteins-peptides/recombinant-human-pkc-theta-prkcq-protein-ab56641'>ab56641</a>)

Lane 7:

Western blot - Recombinant human PKC mu/PKD protein (<a href='/en-us/products/proteins-peptides/recombinant-human-pkc-mu-pkd-protein-ab60873'>ab60873</a>)

Lane 8:

Western blot - Recombinant human PKC zeta protein (<a href='/en-us/products/proteins-peptides/recombinant-human-pkc-zeta-protein-ab60848'>ab60848</a>)

Lane 9:

Western blot - Recombinant human PKC iota protein (<a href='/en-us/products/proteins-peptides/recombinant-human-pkc-iota-protein-ab60850'>ab60850</a>)

Lane 10:

Western blot - Recombinant human PKC gamma protein (<a href='/en-us/products/proteins-peptides/recombinant-human-pkc-gamma-protein-ab60842'>ab60842</a>)

Secondary

All lanes:

Peroxidase-Conjugated Goat anti-Mouse IgG (H+L) at 1/5000 dilution

Predicted band size: 76 kDa

false

SDS-PAGE - Recombinant human PKC epsilon protein (AB60847)
  • SDS-PAGE

Unknown

SDS-PAGE - Recombinant human PKC epsilon protein (AB60847)

SDS PAGE analysis of ab60847

SDS-PAGE - Recombinant human PKC epsilon protein (AB60847)
  • SDS-PAGE

Unknown

SDS-PAGE - Recombinant human PKC epsilon protein (AB60847)

ab60847 on SDS-PAGE, MW ~110 kDa.

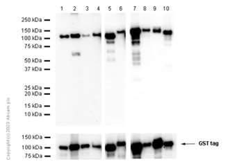
Western blot - Recombinant human PKC epsilon protein (AB60847)
  • WB

Supplier Data

Western blot - Recombinant human PKC epsilon protein (AB60847)

This data was developed using the same antibody clone in a different buffer formulation containing PBS, BSA, glycerol, and sodium azide (ab62372).

Blocking and diluting buffer and concentration : 5% NFDM/TBST.

All lanes:

Western blot - Anti-PKC zeta (phospho T560) antibody [EP2037AY] (<a href='/en-us/products/primary-antibodies/pkc-zeta-phospho-t560-antibody-ep2037ay-ab62372'>ab62372</a>) at 1/1000 dilution

Lane 1:

Western blot - Recombinant human PKC alpha protein (Active) (<a href='/en-us/products/proteins-peptides/recombinant-human-pkc-alpha-protein-active-ab55672'>ab55672</a>)

Lane 2:

Western blot - Recombinant human PKC beta 1 protein (<a href='/en-us/products/proteins-peptides/recombinant-human-pkc-beta-1-protein-ab60840'>ab60840</a>)

Lane 3:

Western blot - Recombinant human PKC beta 2 protein (<a href='/en-us/products/proteins-peptides/recombinant-human-pkc-beta-2-protein-ab60841'>ab60841</a>)

Lane 4:

Western blot - Recombinant human PKC gamma protein (<a href='/en-us/products/proteins-peptides/recombinant-human-pkc-gamma-protein-ab60842'>ab60842</a>)

Lane 5:

Western blot - Recombinant human PKC delta protein (<a href='/en-us/products/proteins-peptides/recombinant-human-pkc-delta-protein-ab60844'>ab60844</a>)

Lane 6:

Western blot - Recombinant human PKC epsilon protein (ab60847)

Lane 7:

Western blot - Recombinant human PKC zeta protein (<a href='/en-us/products/proteins-peptides/recombinant-human-pkc-zeta-protein-ab60848'>ab60848</a>)

Lane 8:

Western blot - Recombinant human PKC eta protein (<a href='/en-us/products/proteins-peptides/recombinant-human-pkc-eta-protein-ab60849'>ab60849</a>)

Lane 9:

Western blot - Recombinant human PKC theta/PRKCQ protein (<a href='/en-us/products/proteins-peptides/recombinant-human-pkc-theta-prkcq-protein-ab56641'>ab56641</a>)

Lane 10:

Western blot - Recombinant human PKC iota protein (<a href='/en-us/products/proteins-peptides/recombinant-human-pkc-iota-protein-ab60850'>ab60850</a>)

Secondary

All lanes:

Western blot - Goat Anti-Rabbit IgG H&L (HRP) (<a href='/en-us/products/secondary-antibodies/goat-rabbit-igg-h-l-hrp-ab97051'>ab97051</a>) at 1/20000 dilution

Predicted band size: 68 kDa

Observed band size: 105 kDa

false

Exposure time: 5s

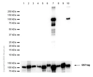
Western blot - Recombinant human PKC epsilon protein (AB60847)
  • WB

Supplier Data

Western blot - Recombinant human PKC epsilon protein (AB60847)

This data was developed using the same antibody clone in a different buffer formulation containing PBS, BSA, glycerol, and sodium azide (ab32376).

Blocking and diluting buffer and concentration : 5% NFDM/TBST.

All lanes:

Western blot - Anti-PKC alpha antibody [Y124] (<a href='/en-us/products/primary-antibodies/pkc-alpha-antibody-y124-ab32376'>ab32376</a>) at 1/2000 dilution

Lane 1:

Western blot - Recombinant human PKC alpha protein (Active) (<a href='/en-us/products/proteins-peptides/recombinant-human-pkc-alpha-protein-active-ab55672'>ab55672</a>)

Lane 2:

Western blot - Recombinant human PKC beta 1 protein (<a href='/en-us/products/proteins-peptides/recombinant-human-pkc-beta-1-protein-ab60840'>ab60840</a>)

Lane 3:

Western blot - Recombinant human PKC beta 2 protein (<a href='/en-us/products/proteins-peptides/recombinant-human-pkc-beta-2-protein-ab60841'>ab60841</a>)

Lane 4:

Western blot - Recombinant human PKC gamma protein (<a href='/en-us/products/proteins-peptides/recombinant-human-pkc-gamma-protein-ab60842'>ab60842</a>)

Lane 5:

Western blot - Recombinant human PKC delta protein (<a href='/en-us/products/proteins-peptides/recombinant-human-pkc-delta-protein-ab60844'>ab60844</a>)

Lane 6:

Western blot - Recombinant human PKC epsilon protein (ab60847)

Lane 7:

Western blot - Recombinant human PKC zeta protein (<a href='/en-us/products/proteins-peptides/recombinant-human-pkc-zeta-protein-ab60848'>ab60848</a>)

Lane 8:

Western blot - Recombinant human PKC eta protein (<a href='/en-us/products/proteins-peptides/recombinant-human-pkc-eta-protein-ab60849'>ab60849</a>)

Lane 9:

Western blot - Recombinant human PKC theta/PRKCQ protein (<a href='/en-us/products/proteins-peptides/recombinant-human-pkc-theta-prkcq-protein-ab56641'>ab56641</a>)

Lane 10:

Western blot - Recombinant human PKC iota protein (<a href='/en-us/products/proteins-peptides/recombinant-human-pkc-iota-protein-ab60850'>ab60850</a>)

Secondary

All lanes:

Western blot - Goat Anti-Rabbit IgG H&L (HRP) (<a href='/en-us/products/secondary-antibodies/goat-rabbit-igg-h-l-hrp-ab97051'>ab97051</a>) at 1/20000 dilution

Predicted band size: 76 kDa

Observed band size: 105 kDa

false

Exposure time: 20s

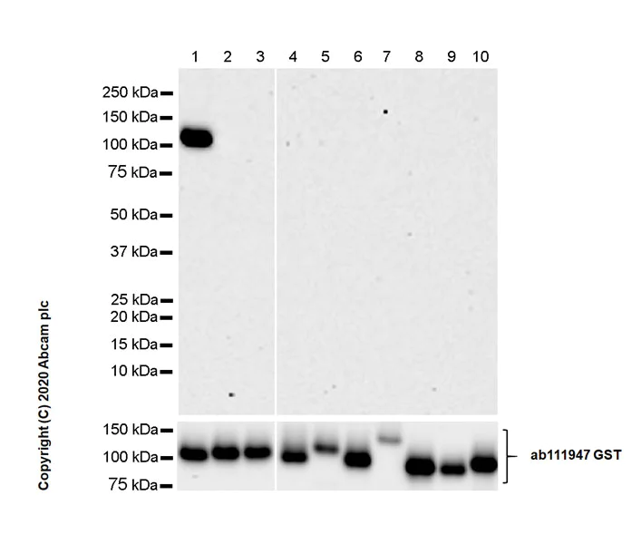
Western blot - Recombinant human PKC epsilon protein (AB60847)
  • WB

Lab

Western blot - Recombinant human PKC epsilon protein (AB60847)

Blocking and diluting buffer and concentration : 5% NFDM/TBST. ab235384 was used to detect GST tag.

All lanes:

Western blot - Anti-PKC beta 2 antibody [Y125] (<a href='/en-us/products/primary-antibodies/pkc-beta-2-antibody-y125-ab32026'>ab32026</a>) at 1/1000 dilution

Lane 1:

Western blot - Recombinant human PKC beta 2 protein (<a href='/en-us/products/proteins-peptides/recombinant-human-pkc-beta-2-protein-ab60841'>ab60841</a>) at 10 ng

Lane 2:

Western blot - Recombinant human PKC beta 1 protein (<a href='/en-us/products/proteins-peptides/recombinant-human-pkc-beta-1-protein-ab60840'>ab60840</a>) at 10 ng

Lane 3:

Western blot - Recombinant human PKC delta protein (<a href='/en-us/products/proteins-peptides/recombinant-human-pkc-delta-protein-ab60844'>ab60844</a>) at 10 ng

Lane 4:

Western blot - Recombinant human PKC eta protein (<a href='/en-us/products/proteins-peptides/recombinant-human-pkc-eta-protein-ab60849'>ab60849</a>) at 10 ng

Lane 5:

Western blot - Recombinant human PKC epsilon protein (ab60847) at 10 ng

Lane 6:

Western blot - Recombinant human PKC theta/PRKCQ protein (<a href='/en-us/products/proteins-peptides/recombinant-human-pkc-theta-prkcq-protein-ab56641'>ab56641</a>) at 10 ng

Lane 7:

Western blot - Recombinant human PKC mu/PKD protein (<a href='/en-us/products/proteins-peptides/recombinant-human-pkc-mu-pkd-protein-ab60873'>ab60873</a>) at 10 ng

Lane 8:

Western blot - Recombinant human PKC alpha protein (Active) (<a href='/en-us/products/proteins-peptides/recombinant-human-pkc-alpha-protein-active-ab55672'>ab55672</a>) at 10 ng

Lane 9:

Western blot - Goat Anti-Rabbit IgG H&L (HRP) (<a href='/en-us/products/secondary-antibodies/goat-rabbit-igg-h-l-hrp-ab97051'>ab97051</a>) at 10 ng

Secondary

All lanes:

Western blot - Goat Anti-Rabbit IgG H&L (HRP) (<a href='/en-us/products/secondary-antibodies/goat-rabbit-igg-h-l-hrp-ab97051'>ab97051</a>) at 1/20000 dilution

Predicted band size: 77 kDa

Observed band size: 100 kDa

false

Key facts

Purity

>90% Densitometry

Expression system

Baculovirus infected Sf9 cells

Tags

GST tag N-Terminus

Applications

SDS-PAGE, FuncS, WB

applications

Biologically active

Yes

Biological activity

Active

Accession

Q02156

Animal free

No

Carrier free

No

Species

Human

Storage buffer

pH: 7.5 Constituents: 25% Glycerol (glycerin, glycerine), 1.74% PMSF, 0.87% Sodium chloride, 0.79% Tris HCl, 0.00385% (R*,R*)-1,4-Dimercaptobutan-2,3-diol, 0.0038% EGTA, 0.00292% EDTA

storage-buffer

Reactivity data

{ "title": "Reactivity Data", "filters": { "stats": ["", "Reactivity", "Dilution Info", "Notes"] }, "values": { "SDS-PAGE": { "reactivity":"TESTED_AND_REACTS", "dilution-info":"", "notes":"<p></p>" }, "WB": { "reactivity":"TESTED_AND_REACTS", "dilution-info":"", "notes":"<p>ab60847 can be used as a WB positive control in conjunction with <a href='/en-us/products/primary-antibodies/pkc-epsilon-antibody-ab63638'>ab63638</a>.</p>" }, "FuncS": { "reactivity":"TESTED_AND_REACTS", "dilution-info":"", "notes":"<p>Kinase assay: Use at an assay dependent dilution. Specific Activity: 1258 nmol/min/mg.</p>" } } }

Product details

ab204875 (PKC epsilon peptide) can be utilized as a substrate for assessing kinase activity

Sequence info

[{"sequence":"","proteinLength":"Full Length","predictedMolecularWeight":null,"actualMolecularWeight":null,"aminoAcidEnd":0,"aminoAcidStart":0,"nature":"Recombinant","expressionSystem":null,"accessionNumber":"Q02156","tags":[{"tag":"GST","terminus":"N-Terminus"}]}]

Properties and storage information

Shipped at conditions
Dry Ice
Appropriate short-term storage conditions
-80°C
Appropriate long-term storage conditions
-80°C
Aliquoting information
Upon delivery aliquot
Storage information
Avoid freeze / thaw cycle
True

Supplementary information

This supplementary information is collated from multiple sources and compiled automatically.

Protein kinase C epsilon (PKC epsilon) also known as PKCε or epsilon protein is an important serine/threonine kinase involved in various cellular processes. It has a molecular weight of about 87 kDa. PKC epsilon is widely expressed in different tissues prominently in the brain heart skeletal muscle and endocrine tissues. It belongs to the novel PKC subfamily that responds to diacylglycerol and phospholipids without requiring calcium for activation.
Biological function summary

PKC epsilon plays roles in regulating cell survival migration and apoptosis. It is involved in forming signalling complexes with proteins such as receptor for activated C kinase (RACK) and frequently associates with scaffolding proteins. PKC epsilon contributes to the modulation of cytoskeletal reorganization exocytosis and neurotransmitter release impacting cellular communication and function significantly.

Pathways

PKC epsilon is integrated into significant signalling cascades including the MAPK/ERK and PI3K/Akt pathways. These pathways influence cell proliferation differentiation and survival. PKC epsilon interacts with proteins like Raf-1 and Akt further modulating signals for cellular responses. Its activity and interactions within these pathways highlight its importance in maintaining cellular homeostasis.

PKC epsilon has connections to cancer and cardiovascular diseases. It plays a part in oncogenic processes such as tumorigenesis and metastasis often working alongside proteins like PI3K in these contexts. In cardiovascular conditions PKC epsilon influences cardiac hypertrophy and ischemic heart damage. Its role associating with proteins such as endothelial nitric oxide synthase (eNOS) illustrates its involvement in disease mechanisms where blood flow and myocardial function are affected.

Specifications

Form

Liquid

Additional notes

Affinity purified.

General info

Function

Calcium-independent, phospholipid- and diacylglycerol (DAG)-dependent serine/threonine-protein kinase that plays essential roles in the regulation of multiple cellular processes linked to cytoskeletal proteins, such as cell adhesion, motility, migration and cell cycle, functions in neuron growth and ion channel regulation, and is involved in immune response, cancer cell invasion and regulation of apoptosis. Mediates cell adhesion to the extracellular matrix via integrin-dependent signaling, by mediating angiotensin-2-induced activation of integrin beta-1 (ITGB1) in cardiac fibroblasts. Phosphorylates MARCKS, which phosphorylates and activates PTK2/FAK, leading to the spread of cardiomyocytes. Involved in the control of the directional transport of ITGB1 in mesenchymal cells by phosphorylating vimentin (VIM), an intermediate filament (IF) protein. In epithelial cells, associates with and phosphorylates keratin-8 (KRT8), which induces targeting of desmoplakin at desmosomes and regulates cell-cell contact. Phosphorylates IQGAP1, which binds to CDC42, mediating epithelial cell-cell detachment prior to migration. In HeLa cells, contributes to hepatocyte growth factor (HGF)-induced cell migration, and in human corneal epithelial cells, plays a critical role in wound healing after activation by HGF. During cytokinesis, forms a complex with YWHAB, which is crucial for daughter cell separation, and facilitates abscission by a mechanism which may implicate the regulation of RHOA. In cardiac myocytes, regulates myofilament function and excitation coupling at the Z-lines, where it is indirectly associated with F-actin via interaction with COPB1. During endothelin-induced cardiomyocyte hypertrophy, mediates activation of PTK2/FAK, which is critical for cardiomyocyte survival and regulation of sarcomere length. Plays a role in the pathogenesis of dilated cardiomyopathy via persistent phosphorylation of troponin I (TNNI3). Involved in nerve growth factor (NFG)-induced neurite outgrowth and neuron morphological change independently of its kinase activity, by inhibition of RHOA pathway, activation of CDC42 and cytoskeletal rearrangement. May be involved in presynaptic facilitation by mediating phorbol ester-induced synaptic potentiation. Phosphorylates gamma-aminobutyric acid receptor subunit gamma-2 (GABRG2), which reduces the response of GABA receptors to ethanol and benzodiazepines and may mediate acute tolerance to the intoxicating effects of ethanol. Upon PMA treatment, phosphorylates the capsaicin- and heat-activated cation channel TRPV1, which is required for bradykinin-induced sensitization of the heat response in nociceptive neurons. Is able to form a complex with PDLIM5 and N-type calcium channel, and may enhance channel activities and potentiates fast synaptic transmission by phosphorylating the pore-forming alpha subunit CACNA1B (CaV2.2). In prostate cancer cells, interacts with and phosphorylates STAT3, which increases DNA-binding and transcriptional activity of STAT3 and seems to be essential for prostate cancer cell invasion. Downstream of TLR4, plays an important role in the lipopolysaccharide (LPS)-induced immune response by phosphorylating and activating TICAM2/TRAM, which in turn activates the transcription factor IRF3 and subsequent cytokines production. In differentiating erythroid progenitors, is regulated by EPO and controls the protection against the TNFSF10/TRAIL-mediated apoptosis, via BCL2. May be involved in the regulation of the insulin-induced phosphorylation and activation of AKT1. Phosphorylates NLRP5/MATER and may thereby modulate AKT pathway activation in cumulus cells (PubMed : 19542546). Phosphorylates and activates LRRK1, which phosphorylates RAB proteins involved in intracellular trafficking (PubMed : 36040231).

Sequence similarities

Belongs to the protein kinase superfamily. AGC Ser/Thr protein kinase family. PKC subfamily.

Post-translational modifications

Phosphorylation on Thr-566 by PDPK1 triggers autophosphorylation on Ser-729. Phosphorylation in the hinge domain at Ser-350 by MAPK11 or MAPK14, Ser-346 by GSK3B and Ser-368 by autophosphorylation is required for interaction with YWHAB.

Subcellular localisation

Cytoskeleton

Product protocols

Target data

Calcium-independent, phospholipid- and diacylglycerol (DAG)-dependent serine/threonine-protein kinase that plays essential roles in the regulation of multiple cellular processes linked to cytoskeletal proteins, such as cell adhesion, motility, migration and cell cycle, functions in neuron growth and ion channel regulation, and is involved in immune response, cancer cell invasion and regulation of apoptosis. Mediates cell adhesion to the extracellular matrix via integrin-dependent signaling, by mediating angiotensin-2-induced activation of integrin beta-1 (ITGB1) in cardiac fibroblasts. Phosphorylates MARCKS, which phosphorylates and activates PTK2/FAK, leading to the spread of cardiomyocytes. Involved in the control of the directional transport of ITGB1 in mesenchymal cells by phosphorylating vimentin (VIM), an intermediate filament (IF) protein. In epithelial cells, associates with and phosphorylates keratin-8 (KRT8), which induces targeting of desmoplakin at desmosomes and regulates cell-cell contact. Phosphorylates IQGAP1, which binds to CDC42, mediating epithelial cell-cell detachment prior to migration. In HeLa cells, contributes to hepatocyte growth factor (HGF)-induced cell migration, and in human corneal epithelial cells, plays a critical role in wound healing after activation by HGF. During cytokinesis, forms a complex with YWHAB, which is crucial for daughter cell separation, and facilitates abscission by a mechanism which may implicate the regulation of RHOA. In cardiac myocytes, regulates myofilament function and excitation coupling at the Z-lines, where it is indirectly associated with F-actin via interaction with COPB1. During endothelin-induced cardiomyocyte hypertrophy, mediates activation of PTK2/FAK, which is critical for cardiomyocyte survival and regulation of sarcomere length. Plays a role in the pathogenesis of dilated cardiomyopathy via persistent phosphorylation of troponin I (TNNI3). Involved in nerve growth factor (NFG)-induced neurite outgrowth and neuron morphological change independently of its kinase activity, by inhibition of RHOA pathway, activation of CDC42 and cytoskeletal rearrangement. May be involved in presynaptic facilitation by mediating phorbol ester-induced synaptic potentiation. Phosphorylates gamma-aminobutyric acid receptor subunit gamma-2 (GABRG2), which reduces the response of GABA receptors to ethanol and benzodiazepines and may mediate acute tolerance to the intoxicating effects of ethanol. Upon PMA treatment, phosphorylates the capsaicin- and heat-activated cation channel TRPV1, which is required for bradykinin-induced sensitization of the heat response in nociceptive neurons. Is able to form a complex with PDLIM5 and N-type calcium channel, and may enhance channel activities and potentiates fast synaptic transmission by phosphorylating the pore-forming alpha subunit CACNA1B (CaV2.2). In prostate cancer cells, interacts with and phosphorylates STAT3, which increases DNA-binding and transcriptional activity of STAT3 and seems to be essential for prostate cancer cell invasion. Downstream of TLR4, plays an important role in the lipopolysaccharide (LPS)-induced immune response by phosphorylating and activating TICAM2/TRAM, which in turn activates the transcription factor IRF3 and subsequent cytokines production. In differentiating erythroid progenitors, is regulated by EPO and controls the protection against the TNFSF10/TRAIL-mediated apoptosis, via BCL2. May be involved in the regulation of the insulin-induced phosphorylation and activation of AKT1. Phosphorylates NLRP5/MATER and may thereby modulate AKT pathway activation in cumulus cells (PubMed : 19542546). Phosphorylates and activates LRRK1, which phosphorylates RAB proteins involved in intracellular trafficking (PubMed : 36040231).
See full target information PRKCE

Product promise

We are committed to supporting your work with high-quality reagents, and we're here for you every step of the way. In the unlikely event that one of our products does not perform as expected, you're protected by our Product Promise.
For full details, please see our Terms & Conditions

Please note: All products are 'FOR RESEARCH USE ONLY. NOT FOR USE IN DIAGNOSTIC OR THERAPEUTIC PROCEDURES'.

For licensing inquiries, please contact partnerships@abcam.com