JavaScript is disabled in your browser. Please enable JavaScript to view this website.
AB60842

Recombinant human PKC gamma protein

Be the first to review this product! Submit a review

|

(0 Publication)

Recombinant human PKC gamma protein is a Human Full Length protein, expressed in Baculovirus infected Sf9 cells, with >80%, suitable for SDS-PAGE, FuncS.

View Alternative Names

PKCG, PRKCG, Protein kinase C gamma type, PKC-gamma

12 Images
Western blot - Recombinant human PKC gamma protein (AB60842)
  • WB

Lab

Western blot - Recombinant human PKC gamma protein (AB60842)

Blocking and dilution buffer : 5% NFDM/TBST.

ab109539 could detect PKC gamma (pT514), PKC alpha (pT497), PKC beta (pT500), PKC delta (pT507), PKC eta (pT513), PKC epsilon (pT566) and PKC theta (pT538).

Active human PKC alpha full length protein (Catalog#ab55672) contains aa1-672 with GST-tag;
Active human PKC beta 1 full length protein (Catalog#ab60840) contains aa1-671 with GST-tag;
Active human PKC beta 2 full length protein (Catalog#ab60841) contains aa1-673 with GST-tag;
Active human PKC delta full length protein (Catalog#ab60844) contains aa1-676 with GST-tag;
Active human PKC eta full length protein (Catalog#ab60849) contains aa1-683 with GST-tag;
Active human PKC epsilon full length protein (Catalog#ab60847) contains aa1-737 with GST-tag;
Active human PKC theta full length protein (Catalog#ab56641) contains aa1-706 with GST-tag;
Active human PKC mu full length protein (Catalog#ab60873) contains aa1-912 with GST-tag;
Active human PKC gamma full length protein (Catalog#ab60842) contains aa1-697 with GST-tag.

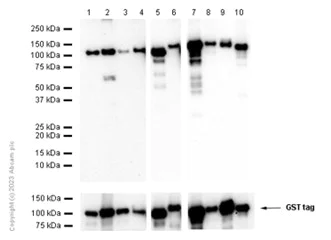
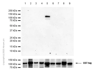
All lanes:

Western blot - Anti-PKC (phospho T514) antibody [EP2730Y] (<a href='/en-us/products/primary-antibodies/pkc-phospho-t514-antibody-ep2730y-ab109539'>ab109539</a>) at 1/1000 dilution

Lane 1:

Western blot - Recombinant human PKC alpha protein (Active) (<a href='/en-us/products/proteins-peptides/recombinant-human-pkc-alpha-protein-active-ab55672'>ab55672</a>) at 0.5 µg

Lane 2:

Western blot - Recombinant human PKC beta 1 protein (<a href='/en-us/products/proteins-peptides/recombinant-human-pkc-beta-1-protein-ab60840'>ab60840</a>) at 0.2 µg

Lane 3:

Active human PKC beta 2 full length protein at 0.2 µg

Lane 4:

Western blot - Recombinant human PKC delta protein (<a href='/en-us/products/proteins-peptides/recombinant-human-pkc-delta-protein-ab60844'>ab60844</a>) at 0.05 µg

Lane 5:

Western blot - Recombinant human PKC eta protein (<a href='/en-us/products/proteins-peptides/recombinant-human-pkc-eta-protein-ab60849'>ab60849</a>) at 0.5 µg

Lane 6:

Western blot - Recombinant human PKC epsilon protein (<a href='/en-us/products/proteins-peptides/recombinant-human-pkc-epsilon-protein-ab60847'>ab60847</a>) at 1 µg

Lane 7:

Western blot - Recombinant human PKC theta/PRKCQ protein (<a href='/en-us/products/proteins-peptides/recombinant-human-pkc-theta-prkcq-protein-ab56641'>ab56641</a>) at 0.2 µg

Lane 8:

Western blot - Recombinant human PKC mu/PKD protein (<a href='/en-us/products/proteins-peptides/recombinant-human-pkc-mu-pkd-protein-ab60873'>ab60873</a>) at 1 µg

Lane 9:

Western blot - Recombinant human PKC gamma protein (ab60842) at 0.1 µg

Secondary

All lanes:

Western blot - Goat Anti-Rabbit IgG H&L (HRP) (<a href='/en-us/products/secondary-antibodies/goat-rabbit-igg-h-l-hrp-ab97051'>ab97051</a>) at 1/100000 dilution

Predicted band size: 77 kDa

Observed band size: 80 kDa

false

Exposure time: 180s

Functional Studies - Recombinant human PKC gamma protein (AB60842)
  • FuncS

Unknown

Functional Studies - Recombinant human PKC gamma protein (AB60842)

Sample Kinase Activity Plot.

Functional Studies - Recombinant human PKC gamma protein (AB60842)
  • FuncS

Unknown

Functional Studies - Recombinant human PKC gamma protein (AB60842)

The specific activity of PKC gamma (ab60842) was determined to be 586 nmol/min/mg as per activity assay protocol

Western blot - Recombinant human PKC gamma protein (AB60842)
  • WB

Supplier Data

Western blot - Recombinant human PKC gamma protein (AB60842)

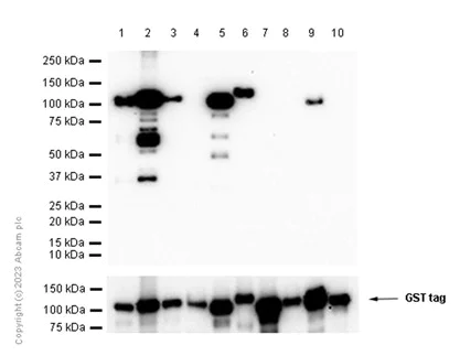
This data was developed using ab76129, the same antibody clone in a different buffer formulation.

Blocking and diluting buffer and concentration : 5% NFDM/TBST.

Exposure time : Lane 1-4 : 180 seconds; Lane 5-6 : 60 seconds; Lane 7-10 : 5 seconds.

All lanes:

Western blot - Anti-PKC zeta (phospho T410) + PKC iota (phospho T412) antibody [EP1491Y] (<a href='/en-us/products/primary-antibodies/pkc-zeta-phospho-t410-pkc-iota-phospho-t412-antibody-ep1491y-ab76129'>ab76129</a>) at 1/1000 dilution

Lane 1:

Western blot - Recombinant human PKC alpha protein (Active) (<a href='/en-us/products/proteins-peptides/recombinant-human-pkc-alpha-protein-active-ab55672'>ab55672</a>)

Lane 2:

Western blot - Recombinant human PKC beta 1 protein (<a href='/en-us/products/proteins-peptides/recombinant-human-pkc-beta-1-protein-ab60840'>ab60840</a>)

Lane 3:

Western blot - Recombinant human PKC beta 2 protein (<a href='/en-us/products/proteins-peptides/recombinant-human-pkc-beta-2-protein-ab60841'>ab60841</a>)

Lane 4:

Western blot - Recombinant human PKC gamma protein (ab60842)

Lane 5:

Western blot - Recombinant human PKC delta protein (<a href='/en-us/products/proteins-peptides/recombinant-human-pkc-delta-protein-ab60844'>ab60844</a>)

Lane 6:

Western blot - Recombinant human PKC epsilon protein (<a href='/en-us/products/proteins-peptides/recombinant-human-pkc-epsilon-protein-ab60847'>ab60847</a>)

Lane 7:

Western blot - Recombinant human PKC zeta protein (<a href='/en-us/products/proteins-peptides/recombinant-human-pkc-zeta-protein-ab60848'>ab60848</a>)

Lane 8:

Western blot - Recombinant human PKC eta protein (<a href='/en-us/products/proteins-peptides/recombinant-human-pkc-eta-protein-ab60849'>ab60849</a>)

Lane 9:

Western blot - Recombinant human PKC theta/PRKCQ protein (<a href='/en-us/products/proteins-peptides/recombinant-human-pkc-theta-prkcq-protein-ab56641'>ab56641</a>)

Lane 10:

Western blot - Recombinant human PKC iota protein (<a href='/en-us/products/proteins-peptides/recombinant-human-pkc-iota-protein-ab60850'>ab60850</a>)

Secondary

All lanes:

Western blot - Goat Anti-Rabbit IgG H&L (HRP) (<a href='/en-us/products/secondary-antibodies/goat-rabbit-igg-h-l-hrp-ab97051'>ab97051</a>) at 1/20000 dilution

Observed band size: 105 kDa

false

Western blot - Recombinant human PKC gamma protein (AB60842)
  • WB

Supplier Data

Western blot - Recombinant human PKC gamma protein (AB60842)

5% NFDM/TBST All positive controls 10 ng

All lanes:

Western blot - Anti-PKC alpha antibody [133] (<a href='/en-us/products/primary-antibodies/pkc-alpha-antibody-133-ab11723'>ab11723</a>) at 1/1000 dilution

Lane 1:

Western blot - Recombinant human PKC alpha protein (Active) (<a href='/en-us/products/proteins-peptides/recombinant-human-pkc-alpha-protein-active-ab55672'>ab55672</a>)

Lane 2:

Western blot - Recombinant human PKC beta 1 protein (<a href='/en-us/products/proteins-peptides/recombinant-human-pkc-beta-1-protein-ab60840'>ab60840</a>)

Lane 3:

Western blot - Recombinant human PKC beta 2 protein (<a href='/en-us/products/proteins-peptides/recombinant-human-pkc-beta-2-protein-ab60841'>ab60841</a>)

Lane 4:

Western blot - Recombinant human PKC eta protein (<a href='/en-us/products/proteins-peptides/recombinant-human-pkc-eta-protein-ab60849'>ab60849</a>)

Lane 5:

Western blot - Recombinant human PKC epsilon protein (<a href='/en-us/products/proteins-peptides/recombinant-human-pkc-epsilon-protein-ab60847'>ab60847</a>)

Lane 6:

Western blot - Recombinant human PKC theta/PRKCQ protein (<a href='/en-us/products/proteins-peptides/recombinant-human-pkc-theta-prkcq-protein-ab56641'>ab56641</a>)

Lane 7:

Western blot - Recombinant human PKC mu/PKD protein (<a href='/en-us/products/proteins-peptides/recombinant-human-pkc-mu-pkd-protein-ab60873'>ab60873</a>)

Lane 8:

Western blot - Recombinant human PKC zeta protein (<a href='/en-us/products/proteins-peptides/recombinant-human-pkc-zeta-protein-ab60848'>ab60848</a>)

Lane 9:

Western blot - Recombinant human PKC iota protein (<a href='/en-us/products/proteins-peptides/recombinant-human-pkc-iota-protein-ab60850'>ab60850</a>)

Lane 10:

Western blot - Recombinant human PKC gamma protein (ab60842)

Secondary

All lanes:

Peroxidase-Conjugated Goat anti-Mouse IgG (H+L) at 1/5000 dilution

Predicted band size: 76 kDa

false

SDS-PAGE - Recombinant human PKC gamma protein (AB60842)
  • SDS-PAGE

Unknown

SDS-PAGE - Recombinant human PKC gamma protein (AB60842)

SDS PAGE analysis of ab60842

SDS-PAGE - Recombinant human PKC gamma protein (AB60842)
  • SDS-PAGE

Unknown

SDS-PAGE - Recombinant human PKC gamma protein (AB60842)

ab60842 on SDS-PAGE, MW ~105 kDa.

Western blot - Recombinant human PKC gamma protein (AB60842)
  • WB

Supplier Data

Western blot - Recombinant human PKC gamma protein (AB60842)

This data was developed using the same antibody clone in a different buffer formulation containing PBS, BSA, glycerol, and sodium azide (ab32376).

Blocking and diluting buffer and concentration : 5% NFDM/TBST.

All lanes:

Western blot - Anti-PKC alpha antibody [Y124] (<a href='/en-us/products/primary-antibodies/pkc-alpha-antibody-y124-ab32376'>ab32376</a>) at 1/2000 dilution

Lane 1:

Western blot - Recombinant human PKC alpha protein (Active) (<a href='/en-us/products/proteins-peptides/recombinant-human-pkc-alpha-protein-active-ab55672'>ab55672</a>)

Lane 2:

Western blot - Recombinant human PKC beta 1 protein (<a href='/en-us/products/proteins-peptides/recombinant-human-pkc-beta-1-protein-ab60840'>ab60840</a>)

Lane 3:

Western blot - Recombinant human PKC beta 2 protein (<a href='/en-us/products/proteins-peptides/recombinant-human-pkc-beta-2-protein-ab60841'>ab60841</a>)

Lane 4:

Western blot - Recombinant human PKC gamma protein (ab60842)

Lane 5:

Western blot - Recombinant human PKC delta protein (<a href='/en-us/products/proteins-peptides/recombinant-human-pkc-delta-protein-ab60844'>ab60844</a>)

Lane 6:

Western blot - Recombinant human PKC epsilon protein (<a href='/en-us/products/proteins-peptides/recombinant-human-pkc-epsilon-protein-ab60847'>ab60847</a>)

Lane 7:

Western blot - Recombinant human PKC zeta protein (<a href='/en-us/products/proteins-peptides/recombinant-human-pkc-zeta-protein-ab60848'>ab60848</a>)

Lane 8:

Western blot - Recombinant human PKC eta protein (<a href='/en-us/products/proteins-peptides/recombinant-human-pkc-eta-protein-ab60849'>ab60849</a>)

Lane 9:

Western blot - Recombinant human PKC theta/PRKCQ protein (<a href='/en-us/products/proteins-peptides/recombinant-human-pkc-theta-prkcq-protein-ab56641'>ab56641</a>)

Lane 10:

Western blot - Recombinant human PKC iota protein (<a href='/en-us/products/proteins-peptides/recombinant-human-pkc-iota-protein-ab60850'>ab60850</a>)

Secondary

All lanes:

Western blot - Goat Anti-Rabbit IgG H&L (HRP) (<a href='/en-us/products/secondary-antibodies/goat-rabbit-igg-h-l-hrp-ab97051'>ab97051</a>) at 1/20000 dilution

Predicted band size: 76 kDa

Observed band size: 105 kDa

false

Exposure time: 20s

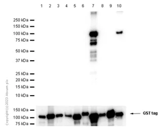
Western blot - Recombinant human PKC gamma protein (AB60842)
  • WB

Supplier Data

Western blot - Recombinant human PKC gamma protein (AB60842)

This data was developed using ab32502, the same antibody clone in a different buffer formulation.

Blocking and diluting buffer and concentration : 5% NFDM/TBST.

All lanes:

Western blot - Anti-PKC alpha (phospho T638) antibody [E195] (<a href='/en-us/products/primary-antibodies/pkc-alpha-phospho-t638-antibody-e195-ab32502'>ab32502</a>) at 1/1000 dilution

Lane 1:

Western blot - Recombinant human PKC alpha protein (Active) (<a href='/en-us/products/proteins-peptides/recombinant-human-pkc-alpha-protein-active-ab55672'>ab55672</a>)

Lane 2:

Western blot - Recombinant human PKC beta 1 protein (<a href='/en-us/products/proteins-peptides/recombinant-human-pkc-beta-1-protein-ab60840'>ab60840</a>)

Lane 3:

Western blot - Recombinant human PKC beta 2 protein (<a href='/en-us/products/proteins-peptides/recombinant-human-pkc-beta-2-protein-ab60841'>ab60841</a>)

Lane 4:

Western blot - Recombinant human PKC gamma protein (ab60842)

Lane 5:

Western blot - Recombinant human PKC delta protein (<a href='/en-us/products/proteins-peptides/recombinant-human-pkc-delta-protein-ab60844'>ab60844</a>)

Lane 6:

Western blot - Recombinant human PKC zeta protein (<a href='/en-us/products/proteins-peptides/recombinant-human-pkc-zeta-protein-ab60848'>ab60848</a>)

Lane 7:

Western blot - Recombinant human PKC eta protein (<a href='/en-us/products/proteins-peptides/recombinant-human-pkc-eta-protein-ab60849'>ab60849</a>)

Lane 8:

Western blot - Recombinant human PKC theta/PRKCQ protein (<a href='/en-us/products/proteins-peptides/recombinant-human-pkc-theta-prkcq-protein-ab56641'>ab56641</a>)

Lane 9:

Western blot - Recombinant human PKC iota protein (<a href='/en-us/products/proteins-peptides/recombinant-human-pkc-iota-protein-ab60850'>ab60850</a>)

Secondary

All lanes:

Western blot - Goat Anti-Rabbit IgG H&L (HRP) (<a href='/en-us/products/secondary-antibodies/goat-rabbit-igg-h-l-hrp-ab97051'>ab97051</a>) at 1/20000 dilution

Predicted band size: 76 kDa

Observed band size: 105 kDa

false

Exposure time: 60s

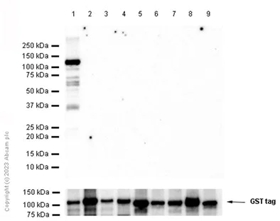
Western blot - Recombinant human PKC gamma protein (AB60842)
  • WB

Supplier Data

Western blot - Recombinant human PKC gamma protein (AB60842)

This data was developed using ab53295, the same antibody clone in a different buffer formulation.

Blocking and diluting buffer and concentration : 5% NFDM/TBST.

All lanes:

Western blot - Anti-PKC delta (phospho T507) antibody [EPR1485Y] (<a href='/en-us/products/primary-antibodies/pkc-delta-phospho-t507-antibody-epr1485y-ab53295'>ab53295</a>) at 1/1000 dilution

Lane 1:

Western blot - Recombinant human PKC alpha protein (Active) (<a href='/en-us/products/proteins-peptides/recombinant-human-pkc-alpha-protein-active-ab55672'>ab55672</a>)

Lane 2:

Western blot - Recombinant human PKC beta 1 protein (<a href='/en-us/products/proteins-peptides/recombinant-human-pkc-beta-1-protein-ab60840'>ab60840</a>)

Lane 3:

Western blot - Recombinant human PKC beta 2 protein (<a href='/en-us/products/proteins-peptides/recombinant-human-pkc-beta-2-protein-ab60841'>ab60841</a>)

Lane 4:

Western blot - Recombinant human PKC gamma protein (ab60842)

Lane 5:

Western blot - Recombinant human PKC delta protein (<a href='/en-us/products/proteins-peptides/recombinant-human-pkc-delta-protein-ab60844'>ab60844</a>)

Lane 6:

Western blot - Recombinant human PKC zeta protein (<a href='/en-us/products/proteins-peptides/recombinant-human-pkc-zeta-protein-ab60848'>ab60848</a>)

Lane 7:

Western blot - Recombinant human PKC eta protein (<a href='/en-us/products/proteins-peptides/recombinant-human-pkc-eta-protein-ab60849'>ab60849</a>)

Lane 8:

Western blot - Recombinant human PKC theta/PRKCQ protein (<a href='/en-us/products/proteins-peptides/recombinant-human-pkc-theta-prkcq-protein-ab56641'>ab56641</a>)

Lane 9:

Western blot - Recombinant human PKC iota protein (<a href='/en-us/products/proteins-peptides/recombinant-human-pkc-iota-protein-ab60850'>ab60850</a>)

Secondary

All lanes:

Western blot - Goat Anti-Rabbit IgG H&L (HRP) (<a href='/en-us/products/secondary-antibodies/goat-rabbit-igg-h-l-hrp-ab97051'>ab97051</a>) at 1/20000 dilution

Predicted band size: 78 kDa

Observed band size: 105 kDa

false

Exposure time: 180s

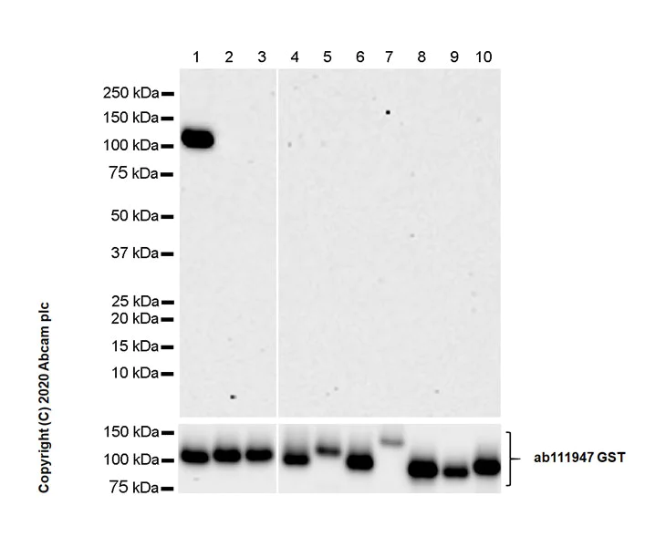
Western blot - Recombinant human PKC gamma protein (AB60842)
  • WB

Supplier Data

Western blot - Recombinant human PKC gamma protein (AB60842)

This data was developed using ab180848, the same antibody clone in a different buffer formulation.

Blocking and diluting buffer and concentration : 5% NFDM/TBST.

All lanes:

Western blot - Anti-PKC alpha (phospho S657) antibody [EPR1901(2)] (<a href='/en-us/products/primary-antibodies/pkc-alpha-phospho-s657-antibody-epr19012-ab180848'>ab180848</a>) at 1/1000 dilution

Lane 1:

Western blot - Recombinant human PKC alpha protein (Active) (<a href='/en-us/products/proteins-peptides/recombinant-human-pkc-alpha-protein-active-ab55672'>ab55672</a>)

Lane 2:

Western blot - Recombinant human PKC beta 1 protein (<a href='/en-us/products/proteins-peptides/recombinant-human-pkc-beta-1-protein-ab60840'>ab60840</a>)

Lane 3:

Western blot - Recombinant human PKC beta 2 protein (<a href='/en-us/products/proteins-peptides/recombinant-human-pkc-beta-2-protein-ab60841'>ab60841</a>)

Lane 4:

Western blot - Recombinant human PKC gamma protein (ab60842)

Lane 5:

Western blot - Recombinant human PKC delta protein (<a href='/en-us/products/proteins-peptides/recombinant-human-pkc-delta-protein-ab60844'>ab60844</a>)

Lane 6:

Western blot - Recombinant human PKC epsilon protein (<a href='/en-us/products/proteins-peptides/recombinant-human-pkc-epsilon-protein-ab60847'>ab60847</a>)

Lane 7:

Western blot - Recombinant human PKC zeta protein (<a href='/en-us/products/proteins-peptides/recombinant-human-pkc-zeta-protein-ab60848'>ab60848</a>)

Lane 8:

Western blot - Recombinant human PKC eta protein (<a href='/en-us/products/proteins-peptides/recombinant-human-pkc-eta-protein-ab60849'>ab60849</a>)

Lane 9:

Western blot - Recombinant human PKC theta/PRKCQ protein (<a href='/en-us/products/proteins-peptides/recombinant-human-pkc-theta-prkcq-protein-ab56641'>ab56641</a>)

Lane 10:

Western blot - Recombinant human PKC iota protein (<a href='/en-us/products/proteins-peptides/recombinant-human-pkc-iota-protein-ab60850'>ab60850</a>)

Secondary

All lanes:

Western blot - Goat Anti-Rabbit IgG H&L (HRP) (<a href='/en-us/products/secondary-antibodies/goat-rabbit-igg-h-l-hrp-ab97051'>ab97051</a>) at 1/20000 dilution

Predicted band size: 76 kDa

Observed band size: 105 kDa

false

Exposure time: 60s

Western blot - Recombinant human PKC gamma protein (AB60842)
  • WB

Supplier Data

Western blot - Recombinant human PKC gamma protein (AB60842)

This data was developed using the same antibody clone in a different buffer formulation containing PBS, BSA, glycerol, and sodium azide (ab62372).

Blocking and diluting buffer and concentration : 5% NFDM/TBST.

All lanes:

Western blot - Anti-PKC zeta (phospho T560) antibody [EP2037AY] (<a href='/en-us/products/primary-antibodies/pkc-zeta-phospho-t560-antibody-ep2037ay-ab62372'>ab62372</a>) at 1/1000 dilution

Lane 1:

Western blot - Recombinant human PKC alpha protein (Active) (<a href='/en-us/products/proteins-peptides/recombinant-human-pkc-alpha-protein-active-ab55672'>ab55672</a>)

Lane 2:

Western blot - Recombinant human PKC beta 1 protein (<a href='/en-us/products/proteins-peptides/recombinant-human-pkc-beta-1-protein-ab60840'>ab60840</a>)

Lane 3:

Western blot - Recombinant human PKC beta 2 protein (<a href='/en-us/products/proteins-peptides/recombinant-human-pkc-beta-2-protein-ab60841'>ab60841</a>)

Lane 4:

Western blot - Recombinant human PKC gamma protein (ab60842)

Lane 5:

Western blot - Recombinant human PKC delta protein (<a href='/en-us/products/proteins-peptides/recombinant-human-pkc-delta-protein-ab60844'>ab60844</a>)

Lane 6:

Western blot - Recombinant human PKC epsilon protein (<a href='/en-us/products/proteins-peptides/recombinant-human-pkc-epsilon-protein-ab60847'>ab60847</a>)

Lane 7:

Western blot - Recombinant human PKC zeta protein (<a href='/en-us/products/proteins-peptides/recombinant-human-pkc-zeta-protein-ab60848'>ab60848</a>)

Lane 8:

Western blot - Recombinant human PKC eta protein (<a href='/en-us/products/proteins-peptides/recombinant-human-pkc-eta-protein-ab60849'>ab60849</a>)

Lane 9:

Western blot - Recombinant human PKC theta/PRKCQ protein (<a href='/en-us/products/proteins-peptides/recombinant-human-pkc-theta-prkcq-protein-ab56641'>ab56641</a>)

Lane 10:

Western blot - Recombinant human PKC iota protein (<a href='/en-us/products/proteins-peptides/recombinant-human-pkc-iota-protein-ab60850'>ab60850</a>)

Secondary

All lanes:

Western blot - Goat Anti-Rabbit IgG H&L (HRP) (<a href='/en-us/products/secondary-antibodies/goat-rabbit-igg-h-l-hrp-ab97051'>ab97051</a>) at 1/20000 dilution

Predicted band size: 68 kDa

Observed band size: 105 kDa

false

Exposure time: 5s

Key facts

Purity

>80% Densitometry

Expression system

Baculovirus infected Sf9 cells

Tags

GST tag N-Terminus

Applications

FuncS, SDS-PAGE

applications

Biologically active

Yes

Biological activity

Active

Accession

P05129

Animal free

No

Carrier free

No

Species

Human

Storage buffer

pH: 7.5 Constituents: 25% Glycerol (glycerin, glycerine), 0.87% Sodium chloride, 0.79% Tris HCl, 0.00385% (R*,R*)-1,4-Dimercaptobutan-2,3-diol, 0.0038% EGTA, 0.00292% EDTA, 0.00174% PMSF

storage-buffer

Reactivity data

{ "title": "Reactivity Data", "filters": { "stats": ["", "Reactivity", "Dilution Info", "Notes"] }, "values": { "SDS-PAGE": { "reactivity":"TESTED_AND_REACTS", "dilution-info":"", "notes":"<p></p>" }, "FuncS": { "reactivity":"TESTED_AND_REACTS", "dilution-info":"", "notes":"<p>Kinase assay.</p><p>Specific Activity: 512 nmol/min/mg.</p>" } } }

Product details

ab204875 (PKC epsilon peptide) can be utilized as a substrate for assessing kinase activity

Sequence info

[{"sequence":"","proteinLength":"Full Length","predictedMolecularWeight":null,"actualMolecularWeight":null,"aminoAcidEnd":0,"aminoAcidStart":0,"nature":"Recombinant","expressionSystem":null,"accessionNumber":"P05129","tags":[{"tag":"GST","terminus":"N-Terminus"}]}]

Properties and storage information

Shipped at conditions
Dry Ice
Appropriate short-term storage conditions
-80°C
Appropriate long-term storage conditions
-80°C
Aliquoting information
Upon delivery aliquot
Storage information
Avoid freeze / thaw cycle
True

Supplementary information

This supplementary information is collated from multiple sources and compiled automatically.

Protein kinase C gamma (PKC gamma) also known as PKCγ is a member of the protein kinase C (PKC) family. This protein has a molecular weight of approximately 78 kDa. Expressed mainly in the central nervous system PKC gamma participates in various signaling pathways. It exists as a serine/threonine kinase and plays a fundamental role in modulating cellular functions in neurons.
Biological function summary

PKC gamma acts in the regulation of neuronal signaling processes and is a component of the synaptic transmission machinery. It associates with other proteins to form complex structures that influence physiological processes. PKC gamma contributes significantly to the functions of the central nervous system by modulating synaptic plasticity which is essential for learning and memory.

Pathways

PKC gamma participates in the MAPK and PI3K signaling pathways which are critical in cell growth and survival. The protein interacts with other PKC isozymes and signaling molecules within these pathways playing a role in phosphorylating specific target proteins. These interactions facilitate the regulation of cell cycle progression and apoptosis indicating its importance in cellular homeostasis.

Abnormal PKC gamma activity associates with spinocerebellar ataxia type 14 and addiction-related behavior. Spinocerebellar ataxia results from mutations affecting PKC gamma which disrupts its normal function and leads to neurodegeneration. Additionally PKC gamma’s interaction with other proteins such as GABAA receptors in addiction highlights potential therapeutic targets for treatment.

Specifications

Form

Liquid

Additional notes

Affinity purified.

General info

Function

Calcium-activated, phospholipid- and diacylglycerol (DAG)-dependent serine/threonine-protein kinase that plays diverse roles in neuronal cells and eye tissues, such as regulation of the neuronal receptors GRIA4/GLUR4 and GRIN1/NMDAR1, modulation of receptors and neuronal functions related to sensitivity to opiates, pain and alcohol, mediation of synaptic function and cell survival after ischemia, and inhibition of gap junction activity after oxidative stress. Binds and phosphorylates GRIA4/GLUR4 glutamate receptor and regulates its function by increasing plasma membrane-associated GRIA4 expression. In primary cerebellar neurons treated with the agonist 3,5-dihyidroxyphenylglycine, functions downstream of the metabotropic glutamate receptor GRM5/MGLUR5 and phosphorylates GRIN1/NMDAR1 receptor which plays a key role in synaptic plasticity, synaptogenesis, excitotoxicity, memory acquisition and learning. May be involved in the regulation of hippocampal long-term potentiation (LTP), but may be not necessary for the process of synaptic plasticity. May be involved in desensitization of mu-type opioid receptor-mediated G-protein activation in the spinal cord, and may be critical for the development and/or maintenance of morphine-induced reinforcing effects in the limbic forebrain. May modulate the functionality of mu-type-opioid receptors by participating in a signaling pathway which leads to the phosphorylation and degradation of opioid receptors. May also contributes to chronic morphine-induced changes in nociceptive processing. Plays a role in neuropathic pain mechanisms and contributes to the maintenance of the allodynia pain produced by peripheral inflammation. Plays an important role in initial sensitivity and tolerance to ethanol, by mediating the behavioral effects of ethanol as well as the effects of this drug on the GABA(A) receptors. During and after cerebral ischemia modulate neurotransmission and cell survival in synaptic membranes, and is involved in insulin-induced inhibition of necrosis, an important mechanism for minimizing ischemic injury. Required for the elimination of multiple climbing fibers during innervation of Purkinje cells in developing cerebellum. Is activated in lens epithelial cells upon hydrogen peroxide treatment, and phosphorylates connexin-43 (GJA1/CX43), resulting in disassembly of GJA1 gap junction plaques and inhibition of gap junction activity which could provide a protective effect against oxidative stress (By similarity). Phosphorylates p53/TP53 and promotes p53/TP53-dependent apoptosis in response to DNA damage. Involved in the phase resetting of the cerebral cortex circadian clock during temporally restricted feeding. Stabilizes the core clock component BMAL1 by interfering with its ubiquitination, thus suppressing its degradation, resulting in phase resetting of the cerebral cortex clock (By similarity). Phosphorylates and activates LRRK1, which phosphorylates RAB proteins involved in intracellular trafficking (PubMed : 36040231).

Sequence similarities

Belongs to the protein kinase superfamily. AGC Ser/Thr protein kinase family. PKC subfamily.

Post-translational modifications

Autophosphorylation on Thr-674 appears to regulate motor functions of junctophilins, JPH3 and JPH4.. Ubiquitinated.

Product protocols

Target data

Calcium-activated, phospholipid- and diacylglycerol (DAG)-dependent serine/threonine-protein kinase that plays diverse roles in neuronal cells and eye tissues, such as regulation of the neuronal receptors GRIA4/GLUR4 and GRIN1/NMDAR1, modulation of receptors and neuronal functions related to sensitivity to opiates, pain and alcohol, mediation of synaptic function and cell survival after ischemia, and inhibition of gap junction activity after oxidative stress. Binds and phosphorylates GRIA4/GLUR4 glutamate receptor and regulates its function by increasing plasma membrane-associated GRIA4 expression. In primary cerebellar neurons treated with the agonist 3,5-dihyidroxyphenylglycine, functions downstream of the metabotropic glutamate receptor GRM5/MGLUR5 and phosphorylates GRIN1/NMDAR1 receptor which plays a key role in synaptic plasticity, synaptogenesis, excitotoxicity, memory acquisition and learning. May be involved in the regulation of hippocampal long-term potentiation (LTP), but may be not necessary for the process of synaptic plasticity. May be involved in desensitization of mu-type opioid receptor-mediated G-protein activation in the spinal cord, and may be critical for the development and/or maintenance of morphine-induced reinforcing effects in the limbic forebrain. May modulate the functionality of mu-type-opioid receptors by participating in a signaling pathway which leads to the phosphorylation and degradation of opioid receptors. May also contributes to chronic morphine-induced changes in nociceptive processing. Plays a role in neuropathic pain mechanisms and contributes to the maintenance of the allodynia pain produced by peripheral inflammation. Plays an important role in initial sensitivity and tolerance to ethanol, by mediating the behavioral effects of ethanol as well as the effects of this drug on the GABA(A) receptors. During and after cerebral ischemia modulate neurotransmission and cell survival in synaptic membranes, and is involved in insulin-induced inhibition of necrosis, an important mechanism for minimizing ischemic injury. Required for the elimination of multiple climbing fibers during innervation of Purkinje cells in developing cerebellum. Is activated in lens epithelial cells upon hydrogen peroxide treatment, and phosphorylates connexin-43 (GJA1/CX43), resulting in disassembly of GJA1 gap junction plaques and inhibition of gap junction activity which could provide a protective effect against oxidative stress (By similarity). Phosphorylates p53/TP53 and promotes p53/TP53-dependent apoptosis in response to DNA damage. Involved in the phase resetting of the cerebral cortex circadian clock during temporally restricted feeding. Stabilizes the core clock component BMAL1 by interfering with its ubiquitination, thus suppressing its degradation, resulting in phase resetting of the cerebral cortex clock (By similarity). Phosphorylates and activates LRRK1, which phosphorylates RAB proteins involved in intracellular trafficking (PubMed : 36040231).
See full target information PRKCG

Product promise

We are committed to supporting your work with high-quality reagents, and we're here for you every step of the way. In the unlikely event that one of our products does not perform as expected, you're protected by our Product Promise.
For full details, please see our Terms & Conditions

Please note: All products are 'FOR RESEARCH USE ONLY. NOT FOR USE IN DIAGNOSTIC OR THERAPEUTIC PROCEDURES'.

For licensing inquiries, please contact partnerships@abcam.com