JavaScript is disabled in your browser. Please enable JavaScript to view this website.
AB128562

Recombinant Human PPP2CB protein

Be the first to review this product! Submit a review

|

(0 Publication)

Recombinant Human PPP2CB protein is a Human Full Length protein, in the 1 to 309 aa range, expressed in Baculovirus infected Sf9 cells, with >75%, suitable for SDS-PAGE, WB.

View Alternative Names

Serine/threonine-protein phosphatase 2A catalytic subunit beta isoform, PP2A-beta, PPP2CB

2 Images
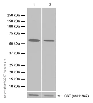
Western blot - Recombinant Human PPP2CB protein (AB128562)
  • WB

Lab

Western blot - Recombinant Human PPP2CB protein (AB128562)

Blocking and dilution buffer : 5% NFDM/TBST.

All lanes:

Western blot - Anti-PP2A alpha + beta antibody [EPR11787(B)] (<a href='/en-us/products/primary-antibodies/pp2a-alpha-beta-antibody-epr11787b-ab168350'>ab168350</a>) at 1/20000 dilution

Lane 1:

Western blot - Recombinant Human PPP2CB protein (ab128562) at 0.015 µg

Lane 2:

Recombinant human PP2A-alpha protein (<a href='/en-us/products/unavailable/recombinant-human-pp2a-alpha-protein-active-ab128557'>ab128557</a>) at 0.015 µg

Secondary

All lanes:

Western blot - Goat Anti-Rabbit IgG H&L (HRP) (<a href='/en-us/products/secondary-antibodies/goat-rabbit-igg-h-l-hrp-ab97051'>ab97051</a>) at 1/20000 dilution

Predicted band size: 36 kDa

Observed band size: 59 kDa

false

Exposure time: 15s

SDS-PAGE - Recombinant Human PPP2CB protein (AB128562)
  • SDS-PAGE

Unknown

SDS-PAGE - Recombinant Human PPP2CB protein (AB128562)

SDS-PAGE showing ab128562 at approximately 59 kDa

Key facts

Purity

>75% Densitometry

Expression system

Baculovirus infected Sf9 cells

Tags

GST tag N-Terminus

Applications

WB, SDS-PAGE

applications

Biologically active

No

Accession

P62714

Animal free

No

Carrier free

No

Species

Human

Storage buffer

pH: 7.5 Constituents: 25% Glycerol (glycerin, glycerine), 0.88% Sodium chloride, 0.79% Tris HCl, 0.31% Glutathione, 0.004% (R*,R*)-1,4-Dimercaptobutan-2,3-diol, 0.003% EDTA, 0.002% PMSF

storage-buffer

Reactivity data

{ "title": "Reactivity Data", "filters": { "stats": ["", "Reactivity", "Dilution Info", "Notes"] }, "values": { "SDS-PAGE": { "reactivity":"TESTED_AND_REACTS", "dilution-info":"", "notes":"<p></p>" }, "WB": { "reactivity":"TESTED_AND_REACTS", "dilution-info":"", "notes":"<p></p>" } } }

Product details

This product was previously labelled as PP2A beta

Sequence info

[{"sequence":"","proteinLength":"Full Length","predictedMolecularWeight":"59 kDa","actualMolecularWeight":null,"aminoAcidEnd":309,"aminoAcidStart":1,"nature":"Recombinant","expressionSystem":null,"accessionNumber":"P62714","tags":[{"tag":"GST","terminus":"N-Terminus"}]}]

Properties and storage information

Shipped at conditions
Dry Ice
Appropriate short-term storage conditions
-80°C
Appropriate long-term storage conditions
-80°C
Aliquoting information
Upon delivery aliquot
Storage information
Avoid freeze / thaw cycle
False

Supplementary information

This supplementary information is collated from multiple sources and compiled automatically.

PPP2CB also known as protein phosphatase 2 catalytic subunit beta is an enzyme that plays an important role in cellular functions. It plays a catalytic role in dephosphorylating serine and threonine residues in various proteins. The alternative names used for PPP2CB include PP2Acβ and PP2A(C subunit)β. This protein has a mass of approximately 35 kDa and is expressed in a variety of tissues with significant presence in heart skeletal muscle and brain. Researchers note its expression in both cytoplasmic and nuclear locations within cells.
Biological function summary

The protein phosphatase activity of PPP2CB influences many cellular processes. It is a vital part of the protein phosphatase 2 (PP2A) complex which is a major serine/threonine phosphatase in cells. Through its involvement in the PP2A complex PPP2CB regulates cellular processes like cell growth division and apoptosis. The PP2A complex of which PPP2CB is a component remains essential to signaling pathways contributing to the dynamic behavior of cellular phosphorylation-dephosphorylation cycles.

Pathways

Protein phosphatase 2's function aligns PP2CB with key signaling routes such as the MAPK and Wnt pathways. In the MAPK pathway PP2A complex dephosphorylates specific kinases which controls cellular responses to external stimuli. Within the Wnt pathway the regulatory actions of PP2A maintain the appropriate level of pathway activity. The roles of PPP2CB in these pathways connect it to other related proteins like B56 family regulatory subunits in signal transduction networks.

Disruptions in PPP2CB activity link to several conditions including cancer and neurodegenerative diseases. The dysregulation of PPP2CB in cancer is often associated with altered cell proliferation and survival as PP2A is a tumor suppressor complex. In neurodegenerative diseases particularly Alzheimer's aberrant PPP2CB activity disrupts phosphorylation states of tau protein contributing to disease pathogenesis. PPP2CB interacts with other significant proteins like tau in Alzheimer's highlighting its importance in maintaining cellular and neurological health.

Specifications

Form

Liquid

Additional notes

Affinity purified.

General info

Function

Catalytic subunit of protein phosphatase 2A (PP2A), a serine/threonine phosphatase involved in the regulation of a wide variety of enzymes, signal transduction pathways, and cellular events (Probable). PP2A can modulate the activity of phosphorylase B kinase, casein kinase 2, mitogen-stimulated S6 kinase, and MAP-2 kinase. Part of the striatin-interacting phosphatase and kinase (STRIPAK) complexes. STRIPAK complexes have critical roles in protein (de)phosphorylation and are regulators of multiple signaling pathways including Hippo, MAPK, nuclear receptor and cytoskeleton remodeling. Different types of STRIPAK complexes are involved in a variety of biological processes such as cell growth, differentiation, apoptosis, metabolism and immune regulation (PubMed : 18782753).

Sequence similarities

Belongs to the PPP phosphatase family. PP-1 subfamily.

Post-translational modifications

Reversibly methyl esterified on Leu-309 by leucine carboxyl methyltransferase 1 (LCMT1) and protein phosphatase methylesterase 1 (PPME1). Carboxyl methylation influences the affinity of the catalytic subunit for the different regulatory subunits, thereby modulating the PP2A holoenzyme's substrate specificity, enzyme activity and cellular localization.. Phosphorylation of either threonine (by autophosphorylation-activated protein kinase) or tyrosine results in inactivation of the phosphatase. Auto-dephosphorylation has been suggested as a mechanism for reactivation.. May be monoubiquitinated by NOSIP.

Subcellular localisation

Nucleus

Product protocols

Target data

Catalytic subunit of protein phosphatase 2A (PP2A), a serine/threonine phosphatase involved in the regulation of a wide variety of enzymes, signal transduction pathways, and cellular events (Probable). PP2A can modulate the activity of phosphorylase B kinase, casein kinase 2, mitogen-stimulated S6 kinase, and MAP-2 kinase. Part of the striatin-interacting phosphatase and kinase (STRIPAK) complexes. STRIPAK complexes have critical roles in protein (de)phosphorylation and are regulators of multiple signaling pathways including Hippo, MAPK, nuclear receptor and cytoskeleton remodeling. Different types of STRIPAK complexes are involved in a variety of biological processes such as cell growth, differentiation, apoptosis, metabolism and immune regulation (PubMed : 18782753).
See full target information PPP2CB

Product promise

We are committed to supporting your work with high-quality reagents, and we're here for you every step of the way. In the unlikely event that one of our products does not perform as expected, you're protected by our Product Promise.
For full details, please see our Terms & Conditions

Please note: All products are 'FOR RESEARCH USE ONLY. NOT FOR USE IN DIAGNOSTIC OR THERAPEUTIC PROCEDURES'.

For licensing inquiries, please contact partnerships@abcam.com