JavaScript is disabled in your browser. Please enable JavaScript to view this website.
AB103470

Recombinant Human RAC3 protein (Tag Free)

Be the first to review this product! Submit a review

|

(0 Publication)

Recombinant Human RAC3 protein (Tag Free) is a Human Full Length protein, in the 1 to 189 aa range, expressed in Escherichia coli, with >95%, suitable for SDS-PAGE, Mass Spec.

View Alternative Names

Ras-related C3 botulinum toxin substrate 3, p21-Rac3, RAC3

1 Images
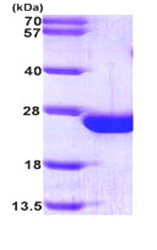
SDS-PAGE - Recombinant Human RAC3 protein (Tag Free) (AB103470)
  • SDS-PAGE

Unknown

SDS-PAGE - Recombinant Human RAC3 protein (Tag Free) (AB103470)

15% SDS-PAGE analysis of 3μg ab103470.

Key facts

Purity

>95% SDS-PAGE

Expression system

Escherichia coli

Tags

Tag free

Applications

Mass Spec, SDS-PAGE

applications

Biologically active

No

Accession

P60763

Animal free

No

Carrier free

No

Species

Human

Storage buffer

pH: 8 Constituents: 10% Glycerol (glycerin, glycerine), 1.16% Sodium chloride, 0.316% Tris HCl, 0.0308% (R*,R*)-1,4-Dimercaptobutan-2,3-diol, 0.0292% EDTA, 0.00174% PMSF

storage-buffer

Reactivity data

{ "title": "Reactivity Data", "filters": { "stats": ["", "Reactivity", "Dilution Info", "Notes"] }, "values": { "SDS-PAGE": { "reactivity":"TESTED_AND_REACTS", "dilution-info":"", "notes":"<p></p>" }, "Mass Spec": { "reactivity":"TESTED_AND_REACTS", "dilution-info":"", "notes":"<p></p>" } } }

Sequence info

[{"sequence":"MQAIKCVVVGDGAVGKTCLLISYTTNAFPGEYIPTVFDNYSANVMVDGKPVNLGLWDTAGQEDYDRLRPLSYPQTDVFLICFSLVSPASFENVRAKWYPEVRHHCPHTPILLVGTKLDLRDDKDTIERLRDKKLAPITYPQGLAMAREIGSVKYLECSALTQRGLKTVFDEAIRAVLCPPPVKKPGKKC","proteinLength":"Full Length","predictedMolecularWeight":"21 kDa","actualMolecularWeight":null,"aminoAcidEnd":189,"aminoAcidStart":1,"nature":"Recombinant","expressionSystem":"Escherichia coli","accessionNumber":"P60763","tags":[]}]

Properties and storage information

Shipped at conditions
Blue Ice
Appropriate short-term storage duration
1-2 weeks
Appropriate short-term storage conditions
+4°C
Appropriate long-term storage conditions
-20°C
Aliquoting information
Upon delivery aliquot
Storage information
Avoid freeze / thaw cycle
False

Supplementary information

This supplementary information is collated from multiple sources and compiled automatically.

The protein RAC3 also known as p21-activated kinase 3 or PAK3 is a member of the Rho family of small GTPases. RAC3 has an approximate mass of 22 kDa. This protein functions as a molecular switch that cycles between an active GTP-bound state and an inactive GDP-bound state regulating a variety of cellular processes. RAC3 is expressed in many tissues with prominent expression in the brain muscle and heart. It plays a significant role in controlling the actin cytoskeleton influencing cell shape motility and growth.
Biological function summary

RAC3 influences cell signaling pathways by interacting with other proteins and forming complexes. It participates in the regulation of a variety of physiological processes including cell polarity migration and growth. RAC3 interacts with proteins such as PAK which is important for the phosphorylation of substrates involved in actin reorganization. This activity allows RAC3 to coordinate with other cellular components affecting processes like the migration of neurons during development and immune cell responses.

Pathways

RAC3 is involved in the MAPK/ERK and PI3K/AKT signaling pathways. These pathways play important roles in cell proliferation survival and differentiation. Through the MAPK/ERK pathway RAC3 interacts with proteins like Ras and Raf facilitating the signaling cascade that leads to gene expression changes. In the PI3K/AKT pathway RAC3 contributes to cellular survival and metabolism by interacting with PI3K and AKT promoting pathway signaling important for maintaining cell health under stress.

RAC3 has been linked to cancer and neurodevelopmental disorders. Its role in actin cytoskeleton dynamics and cell signaling makes it relevant in the progression of cancers where its overexpression can enhance metastatic capabilities. RAC3 has connections with the epidermal growth factor receptor (EGFR) which enhances proliferative signals in tumor cells. In neurodevelopmental disorders alterations in RAC3 function can impact neuronal migration and brain development. This connection involves RAC3's interplay with proteins such as PAK3 influencing synaptic development and cognitive functions.

Specifications

Form

Liquid

Additional notes

ab103470 was purified using conventional chromatography techniques.

General info

Function

Plasma membrane-associated small GTPase which cycles between an active GTP-bound and inactive GDP-bound state. In active state binds to a variety of effector proteins to regulate cellular responses, such as cell spreading and the formation of actin-based protusions including lamellipodia and membrane ruffles. Promotes cell adhesion and spreading on fibrinogen in a CIB1 and alpha-IIb/beta3 integrin-mediated manner.

Sequence similarities

Belongs to the small GTPase superfamily. Rho family.

Post-translational modifications

(Microbial infection) Glycosylated at Tyr-32 by Photorhabdus asymbiotica toxin PAU_02230. Mono-O-GlcNAcylation by PAU_02230 inhibits downstream signaling by an impaired interaction with diverse regulator and effector proteins of Rac and leads to actin disassembly.. Ubiquitinated at Lys-166 in a FBXL19-mediated manner; leading to proteasomal degradation.

Subcellular localisation

Cytoskeleton

Product protocols

Target data

Plasma membrane-associated small GTPase which cycles between an active GTP-bound and inactive GDP-bound state. In active state binds to a variety of effector proteins to regulate cellular responses, such as cell spreading and the formation of actin-based protusions including lamellipodia and membrane ruffles. Promotes cell adhesion and spreading on fibrinogen in a CIB1 and alpha-IIb/beta3 integrin-mediated manner.
See full target information RAC3

Product promise

We are committed to supporting your work with high-quality reagents, and we're here for you every step of the way. In the unlikely event that one of our products does not perform as expected, you're protected by our Product Promise.
For full details, please see our Terms & Conditions

Please note: All products are 'FOR RESEARCH USE ONLY. NOT FOR USE IN DIAGNOSTIC OR THERAPEUTIC PROCEDURES'.

For licensing inquiries, please contact partnerships@abcam.com