JavaScript is disabled in your browser. Please enable JavaScript to view this website.
AB198669

Recombinant human USP10 protein (DDDDK tag N-Terminus)

Be the first to review this product! Submit a review

|

(0 Publication)

Recombinant human USP10 protein (DDDDK tag N-Terminus) is a Human Full Length protein, in the 2 to 798 aa range, expressed in Baculovirus infected Sf9 cells, with >60%, suitable for SDS-PAGE, FuncS.

View Alternative Names

KIAA0190, USP10, Ubiquitin carboxyl-terminal hydrolase 10, Deubiquitinating enzyme 10, Ubiquitin thioesterase 10, Ubiquitin-specific-processing protease 10

2 Images
Functional Studies - Recombinant human USP10 protein (DDDDK tag N-Terminus) (AB198669)
  • FuncS

Supplier Data

Functional Studies - Recombinant human USP10 protein (DDDDK tag N-Terminus) (AB198669)

Example of specific activity of ab198669.

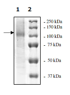
SDS-PAGE - Recombinant human USP10 protein (DDDDK tag N-Terminus) (AB198669)
  • SDS-PAGE

Supplier Data

SDS-PAGE - Recombinant human USP10 protein (DDDDK tag N-Terminus) (AB198669)

10% SDS-PAGE with Coomassie staining : 3 μg ab198669.

Key facts

Purity

>60% SDS-PAGE

Expression system

Baculovirus infected Sf9 cells

Tags

DDDDK tag N-Terminus

Applications

SDS-PAGE, FuncS

applications

Biologically active

Yes

Biological activity

Specific Activity: 23 pmol/min/μg.

Assay Conditions:
Reaction was performed in 50 mM Tris, pH 7.4, 1 mM DTT, 0.5 mM EDTA, 500 nM Ub-AMC, and ab198669 in a 50 μL volume. Reaction was incubated at 37°C for 15 min. and fluorescent signal was measured at excitation = 340 nm, emission = 460 nm.

Accession

Q14694

Animal free

No

Carrier free

No

Species

Human

Storage buffer

pH: 8 Constituents: 10% Glycerol (glycerin, glycerine), 0.72% Sodium chloride, 0.71% Tris HCl, 0.05% (R*,R*)-1,4-Dimercaptobutan-2,3-diol, 0.02% Potassium chloride

storage-buffer

Reactivity data

{ "title": "Reactivity Data", "filters": { "stats": ["", "Reactivity", "Dilution Info", "Notes"] }, "values": { "SDS-PAGE": { "reactivity":"TESTED_AND_REACTS", "dilution-info":"", "notes":"<p></p>" }, "FuncS": { "reactivity":"TESTED_AND_REACTS", "dilution-info":"", "notes":"<p></p>" } } }

Product details

Useful for the study of enzyme kinetics, screening inhibitors, and selectivity profiling.

Sequence info

[{"sequence":"ALHSPQYIFGDFSPDEFNQFFVTPRSSVELPPYSGTVLCGTQAVDKLPDGQEYQRIEFGVDEVIEPSDTLPRTPSYSISSTLNPQAPEFILGCTASKITPDGITKEASYGSIDCQYPGSALALDGSSNVEAEVLENDGVSGGLGQRERKKKKKRPPGYYSYLKDGGDDSISTEALVNGHANSAVPNSVSAEDAEFMGDMPPSVTPRTCNSPQNSTDSVSDIVPDSPFPGALGSDTRTAGQPEGGPGADFGQSCFPAEAGRDTLSRTAGAQPCVGTDTTENLGVANGQILESSGEGTATNGVELHTTESIDLDPTKPESASPPADGTGSASGTLPVSQPKSWASLFHDSKPSSSSPVAYVETKYSPPAISPLVSEKQVEVKEGLVPVSEDPVAIKIAELLENVTLIHKPVSLQPRGLINKGNWCYINATLQALVACPPMYHLMKFIPLYSKVQRPCTSTPMIDSFVRLMNEFTNMPVPPKPRQALGDKIVRDIRPGAAFEPTYIYRLLTVNKSSLSEKGRQEDAEEYLGFILNGLHEEMLNLKKLLSPSNEKLTISNGPKNHSVNEEEQEEQGEGSEDEWEQVGPRNKTSVTRQADFVQTPITGIFGGHIRSVVYQQSSKESATLQPFFTLQLDIQSDKIRTVQDALESLVARESVQGYTTKTKQEVEISRRVTLEKLPPVLVLHLKRFVYEKTGGCQKLIKNIEYPVDLEISKELLSPGVKNKNFKCHRTYRLFAVVYHHGNSATGGHYTTDVFQIGLNGWLRIDDQTVKVINQYQVVKPTAERTAYLLYYRRVDLL","proteinLength":"Full Length","predictedMolecularWeight":"88 kDa","actualMolecularWeight":null,"aminoAcidEnd":798,"aminoAcidStart":2,"nature":"Recombinant","expressionSystem":"Baculovirus infected Sf9 cells","accessionNumber":"Q14694","tags":[{"tag":"DDDDK","terminus":"N-Terminus"}]}]

Properties and storage information

Shipped at conditions
Dry Ice
Appropriate short-term storage conditions
-80°C
Appropriate long-term storage conditions
-80°C
Storage information
Avoid freeze / thaw cycle
True

Supplementary information

This supplementary information is collated from multiple sources and compiled automatically.

USP10 also known as ubiquitin-specific peptidase 10 is a deubiquitinating enzyme with a mass of approximately 94 kDa. It primarily functions to cleave ubiquitin from protein substrates controlling protein degradation localization and activity. USP10 is widely expressed in various tissues with significant expression in the cytoplasm. This enzyme helps maintain protein homeostasis and regulates various cellular processes such as cell cycle progression and apoptosis.
Biological function summary

Ubiquitin-specific peptidase 10 serves an important role in stabilizing and regulating proteins. USP10 interacts with and stabilizes several substrates including p53 an important tumor suppressor. It often operates in concert with other proteins as part of several protein complexes enabling cellular responses to stress. The enzyme's ability to control the stability of multiple proteins allows it to influence cell survival and DNA repair mechanisms significantly.

Pathways

USP10 plays a significant role in pivotal pathways such as the p53 signaling pathway and the NF-kB signaling pathway. It interacts closely with proteins like MDM2 a major regulator of p53 directly affecting p53's stability and activity. In the NF-kB pathway USP10 regulates the deubiquitination of receptor-interacting serine/threonine-protein kinase 1 (RIPK1) playing a part in controlling immune responses and inflammation.

The activity of USP10 impacts cancer progression and neurodegenerative conditions like Alzheimer's disease. In cancer alterations in USP10 levels can lead to abnormal p53 regulation which can facilitate tumorigenesis. Regarding Alzheimer's disease USP10 may influence the aggregation and accumulation of proteins such as tau linked to neurodegenerative pathology by regulating their degradation pathway.

Specifications

Form

Liquid

Additional notes

Affinity purified.

General info

Function

Hydrolase that can remove conjugated ubiquitin from target proteins such as p53/TP53, RPS2/us5, RPS3/us3, RPS10/eS10, BECN1, SNX3 and CFTR (PubMed : 11439350, PubMed : 18632802, PubMed : 31981475). Acts as an essential regulator of p53/TP53 stability : in unstressed cells, specifically deubiquitinates p53/TP53 in the cytoplasm, leading to counteract MDM2 action and stabilize p53/TP53 (PubMed : 20096447). Following DNA damage, translocates to the nucleus and deubiquitinates p53/TP53, leading to regulate the p53/TP53-dependent DNA damage response (PubMed : 20096447). Component of a regulatory loop that controls autophagy and p53/TP53 levels : mediates deubiquitination of BECN1, a key regulator of autophagy, leading to stabilize the PIK3C3/VPS34-containing complexes (PubMed : 21962518). In turn, PIK3C3/VPS34-containing complexes regulate USP10 stability, suggesting the existence of a regulatory system by which PIK3C3/VPS34-containing complexes regulate p53/TP53 protein levels via USP10 and USP13 (PubMed : 21962518). Does not deubiquitinate MDM2 (PubMed : 20096447). Plays a key role in 40S ribosome subunit recycling when a ribosome has stalled during translation : acts both by inhibiting formation of stress granules, which store stalled translation pre-initiation complexes, and mediating deubiquitination of 40S ribosome subunits (PubMed : 27022092, PubMed : 31981475, PubMed : 34348161, PubMed : 34469731). Acts as a negative regulator of stress granules formation by lowering G3BP1 and G3BP2 valence, thereby preventing G3BP1 and G3BP2 ability to undergo liquid-liquid phase separation (LLPS) and assembly of stress granules (PubMed : 11439350, PubMed : 27022092, PubMed : 32302570). Promotes 40S ribosome subunit recycling following ribosome dissociation in response to ribosome stalling by mediating deubiquitination of 40S ribosomal proteins RPS2/us5, RPS3/us3 and RPS10/eS10, thereby preventing their degradation by the proteasome (PubMed : 31981475, PubMed : 34348161, PubMed : 34469731). Part of a ribosome quality control that takes place when ribosomes have stalled during translation initiation (iRQC) : USP10 acts by removing monoubiquitination of RPS2/us5 and RPS3/us3, promoting 40S ribosomal subunit recycling (PubMed : 34469731). Deubiquitinates CFTR in early endosomes, enhancing its endocytic recycling (PubMed : 19398555). Involved in a TANK-dependent negative feedback response to attenuate NF-kappa-B activation via deubiquitinating IKBKG or TRAF6 in response to interleukin-1-beta (IL1B) stimulation or upon DNA damage (PubMed : 25861989). Deubiquitinates TBX21 leading to its stabilization (PubMed : 24845384). Plays a negative role in the RLR signaling pathway upon RNA virus infection by blocking the RIGI-mediated MAVS activation. Mechanistically, removes the unanchored 'Lys-63'-linked polyubiquitin chains of MAVS to inhibit its aggregation, essential for its activation (PubMed : 37582970).

Sequence similarities

Belongs to the peptidase C19 family. USP10 subfamily.

Post-translational modifications

Phosphorylated by ATM following DNA damage, leading to stabilization and translocation it to the nucleus.. Ubiquitinated. Deubiquitinated by USP13.

Subcellular localisation

Nucleus

Product protocols

Target data

Hydrolase that can remove conjugated ubiquitin from target proteins such as p53/TP53, RPS2/us5, RPS3/us3, RPS10/eS10, BECN1, SNX3 and CFTR (PubMed : 11439350, PubMed : 18632802, PubMed : 31981475). Acts as an essential regulator of p53/TP53 stability : in unstressed cells, specifically deubiquitinates p53/TP53 in the cytoplasm, leading to counteract MDM2 action and stabilize p53/TP53 (PubMed : 20096447). Following DNA damage, translocates to the nucleus and deubiquitinates p53/TP53, leading to regulate the p53/TP53-dependent DNA damage response (PubMed : 20096447). Component of a regulatory loop that controls autophagy and p53/TP53 levels : mediates deubiquitination of BECN1, a key regulator of autophagy, leading to stabilize the PIK3C3/VPS34-containing complexes (PubMed : 21962518). In turn, PIK3C3/VPS34-containing complexes regulate USP10 stability, suggesting the existence of a regulatory system by which PIK3C3/VPS34-containing complexes regulate p53/TP53 protein levels via USP10 and USP13 (PubMed : 21962518). Does not deubiquitinate MDM2 (PubMed : 20096447). Plays a key role in 40S ribosome subunit recycling when a ribosome has stalled during translation : acts both by inhibiting formation of stress granules, which store stalled translation pre-initiation complexes, and mediating deubiquitination of 40S ribosome subunits (PubMed : 27022092, PubMed : 31981475, PubMed : 34348161, PubMed : 34469731). Acts as a negative regulator of stress granules formation by lowering G3BP1 and G3BP2 valence, thereby preventing G3BP1 and G3BP2 ability to undergo liquid-liquid phase separation (LLPS) and assembly of stress granules (PubMed : 11439350, PubMed : 27022092, PubMed : 32302570). Promotes 40S ribosome subunit recycling following ribosome dissociation in response to ribosome stalling by mediating deubiquitination of 40S ribosomal proteins RPS2/us5, RPS3/us3 and RPS10/eS10, thereby preventing their degradation by the proteasome (PubMed : 31981475, PubMed : 34348161, PubMed : 34469731). Part of a ribosome quality control that takes place when ribosomes have stalled during translation initiation (iRQC) : USP10 acts by removing monoubiquitination of RPS2/us5 and RPS3/us3, promoting 40S ribosomal subunit recycling (PubMed : 34469731). Deubiquitinates CFTR in early endosomes, enhancing its endocytic recycling (PubMed : 19398555). Involved in a TANK-dependent negative feedback response to attenuate NF-kappa-B activation via deubiquitinating IKBKG or TRAF6 in response to interleukin-1-beta (IL1B) stimulation or upon DNA damage (PubMed : 25861989). Deubiquitinates TBX21 leading to its stabilization (PubMed : 24845384). Plays a negative role in the RLR signaling pathway upon RNA virus infection by blocking the RIGI-mediated MAVS activation. Mechanistically, removes the unanchored 'Lys-63'-linked polyubiquitin chains of MAVS to inhibit its aggregation, essential for its activation (PubMed : 37582970).
See full target information USP10

Product promise

We are committed to supporting your work with high-quality reagents, and we're here for you every step of the way. In the unlikely event that one of our products does not perform as expected, you're protected by our Product Promise.
For full details, please see our Terms & Conditions

Please note: All products are 'FOR RESEARCH USE ONLY. NOT FOR USE IN DIAGNOSTIC OR THERAPEUTIC PROCEDURES'.

For licensing inquiries, please contact partnerships@abcam.com