JavaScript is disabled in your browser. Please enable JavaScript to view this website.
AB95933

Recombinant human XIAP protein

Be the first to review this product! Submit a review

|

(0 Publication)

Recombinant human XIAP protein is a Human Full Length protein, in the 2 to 497 aa range, expressed in Baculovirus, with >65%, suitable for SDS-PAGE, WB, FuncS.

View Alternative Names

API3, BIRC4, IAP3, XIAP, E3 ubiquitin-protein ligase XIAP, Baculoviral IAP repeat-containing protein 4, IAP-like protein, Inhibitor of apoptosis protein 3, RING-type E3 ubiquitin transferase XIAP, X-linked inhibitor of apoptosis protein, ILP, hILP, IAP-3, hIAP-3, hIAP3, X-linked IAP

4 Images
Functional Studies - Recombinant human XIAP protein (AB95933)
  • FuncS

Unknown

Functional Studies - Recombinant human XIAP protein (AB95933)

Image showing specific activity of ab95933.

Western blot - Recombinant human XIAP protein (AB95933)
  • WB

Unknown

Western blot - Recombinant human XIAP protein (AB95933)

All lanes:

Western blot - Anti-XIAP antibody (<a href='/en-us/products/primary-antibodies/xiap-antibody-ab21278'>ab21278</a>) at 2 µg/mL

All lanes:

Western blot - Recombinant human XIAP protein (ab95933) at 0.01 µg

Secondary

All lanes:

Western blot - Goat Anti-Rabbit IgG H&L (HRP) preadsorbed (<a href='/en-us/products/secondary-antibodies/goat-rabbit-igg-h-l-hrp-preadsorbed-ab97080'>ab97080</a>) at 1/5000 dilution

Predicted band size: 57 kDa

true

Exposure time: 4min

Western blot - Recombinant human XIAP protein (AB95933)
  • WB

Unknown

Western blot - Recombinant human XIAP protein (AB95933)

All lanes:

Western blot - Anti-XIAP antibody (<a href='/en-us/products/primary-antibodies/xiap-antibody-ab21278'>ab21278</a>) at 2 µg/mL

All lanes:

Western blot - Recombinant human XIAP protein (ab95933) at 0.01 µg

Secondary

All lanes:

Western blot - Goat Anti-Rabbit IgG H&L (HRP) preadsorbed (<a href='/en-us/products/secondary-antibodies/goat-rabbit-igg-h-l-hrp-preadsorbed-ab97080'>ab97080</a>) at 1/5000 dilution

Predicted band size: 57 kDa

true

Exposure time: 4min

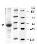
SDS-PAGE - Recombinant human XIAP protein (AB95933)
  • SDS-PAGE

Unknown

SDS-PAGE - Recombinant human XIAP protein (AB95933)

SDS-PAGE showing ab95933 at approximately 57kDa (5μg).

Key facts

Purity

>65% SDS-PAGE

Expression system

Baculovirus

Tags

DDDDK tag N-Terminus

Applications

SDS-PAGE, WB, FuncS

applications

Biologically active

Yes

Biological activity

Specific Activity: 0.0015 pmol/min/μg Assay conditions: 4 mM ATP, 5mM MgCl2 (both required for reaction), 1mM DTT, E1 (0.5 μg), E2 (2.8 μg), Biotinylated Ubiquitin (1 μg) in 50mM Tris pH 7.4. Specific Activity: 0.0015 pmol/min/μg Assay conditions: 4 mM ATP, 5mM MgCl2 (both required for reaction), 1mM DTT, E1 (0.5 μg), E2 (2.8 μg), Biotinylated Ubiquitin (1 μg) in 50mM Tris pH 7.4.

Accession

P98170

Animal free

No

Carrier free

No

Species

Human

Storage buffer

pH: 8 Constituents: 20% Glycerol (glycerin, glycerine), 0.58% Sodium chloride, 0.395% Tris HCl, 0.05% Sorbitan monolaurate, ethoxylated, 0.0462% (R*,R*)-1,4-Dimercaptobutan-2,3-diol

storage-buffer

Reactivity data

{ "title": "Reactivity Data", "filters": { "stats": ["", "Reactivity", "Dilution Info", "Notes"] }, "values": { "SDS-PAGE": { "reactivity":"TESTED_AND_REACTS", "dilution-info":"", "notes":"<p></p>" }, "WB": { "reactivity":"TESTED_AND_REACTS", "dilution-info":"", "notes":"<p>ab95933 can be used as a WB positive control in conjunction with <a href='/en-us/products/primary-antibodies/xiap-antibody-ab21278'>ab21278</a>.</p>" }, "FuncS": { "reactivity":"TESTED_AND_REACTS", "dilution-info":"", "notes":"<p></p>" } } }

You may be interested in:

AB234576

Human XIAP ELISA Kit

0

0 Reviews

View product

We recommend this product because it’s often used in the same experiment or related research.

We advise that you always check the datasheet to ensure it fits your experiments, or contact ourtechnical teamfor help.

Sequence info

[{"sequence":"","proteinLength":"Full Length","predictedMolecularWeight":"57 kDa","actualMolecularWeight":null,"aminoAcidEnd":497,"aminoAcidStart":2,"nature":"Recombinant","expressionSystem":null,"accessionNumber":"P98170","tags":[{"tag":"DDDDK","terminus":"N-Terminus"}]}]

Properties and storage information

Shipped at conditions
Dry Ice
Appropriate short-term storage conditions
-80°C
Appropriate long-term storage conditions
-80°C
True

Supplementary information

This supplementary information is collated from multiple sources and compiled automatically.

XIAP also known as X-linked inhibitor of apoptosis protein is a member of the inhibitor of apoptosis protein (IAP) family. XIAP has a molecular mass of approximately 57 kDa. This protein inhibits apoptosis by binding to and inhibiting caspases particularly caspase-3 caspase-7 and caspase-9. XIAP expresses in a variety of tissues including the heart kidney and liver but also shows expression in cancer cells. Its role in inhibiting cell death makes it a significant focus for cancer research.
Biological function summary

The function of XIAP involves regulation of apoptosis an important process in maintaining cellular homeostasis. It forms part of the apoptosome complex by interacting with caspases to prevent premature cell death. XIAP serves to protect cells from stress-induced apoptotic signals helping in survival under adverse conditions. This ability makes it a subject of interest in studying cancer survival mechanisms since overactive XIAP can allow cancer cells to avoid programmed cell death.

Pathways

Apoptosis regulation and cell survival pathways prominently feature XIAP. Particularly XIAP plays a role in the intrinsic apoptotic pathway which is activated in response to internal stress signals. XIAP regulates this pathway via its interaction with caspase-9 and interactions with other proteins such as Smac/DIABLO which can antagonize XIAP's function. This interaction is key in balancing cell death and survival therefore highlighting its role in apoptosis control.

XIAP's dysregulation links to cancer and neurodegenerative disorders. Overexpression of XIAP can contribute to cancer by enabling cells to evade apoptosis leading to uncontrolled cell proliferation. Moreover studies have suggested a role in neurodegenerative diseases where alterations in XIAP may affect neuronal cell survival. In these contexts XIAP's interactions with proteins such as caspases and Smac/DIABLO surface as important in understanding how apoptosis evasion or enhancement contributes to disease pathology.

Specifications

Form

Liquid

Additional notes

Affinity purified.

General info

Function

Multi-functional protein which regulates not only caspases and apoptosis, but also modulates inflammatory signaling and immunity, copper homeostasis, mitogenic kinase signaling, cell proliferation, as well as cell invasion and metastasis (PubMed : 11257230, PubMed : 11257231, PubMed : 11447297, PubMed : 12121969, PubMed : 12620238, PubMed : 17560374, PubMed : 17967870, PubMed : 19473982, PubMed : 20154138, PubMed : 22103349, PubMed : 9230442). Acts as a direct caspase inhibitor (PubMed : 11257230, PubMed : 11257231, PubMed : 12620238). Directly bind to the active site pocket of CASP3 and CASP7 and obstructs substrate entry (PubMed : 11257230, PubMed : 11257231, PubMed : 16352606, PubMed : 16916640). Inactivates CASP9 by keeping it in a monomeric, inactive state (PubMed : 12620238). Acts as an E3 ubiquitin-protein ligase regulating NF-kappa-B signaling and the target proteins for its E3 ubiquitin-protein ligase activity include : RIPK1, RIPK2, MAP3K2/MEKK2, DIABLO/SMAC, AIFM1, CCS, PTEN and BIRC5/survivin (PubMed : 17560374, PubMed : 17967870, PubMed : 19473982, PubMed : 20154138, PubMed : 22103349, PubMed : 22607974, PubMed : 29452636, PubMed : 30026309). Acts as an important regulator of innate immunity by mediating 'Lys-63'-linked polyubiquitination of RIPK2 downstream of NOD1 and NOD2, thereby transforming RIPK2 into a scaffolding protein for downstream effectors, ultimately leading to activation of the NF-kappa-B and MAP kinases signaling (PubMed : 19667203, PubMed : 22607974, PubMed : 29452636, PubMed : 30026309). 'Lys-63'-linked polyubiquitination of RIPK2 also promotes recruitment of the LUBAC complex to RIPK2 (PubMed : 22607974, PubMed : 29452636). Regulates the BMP signaling pathway and the SMAD and MAP3K7/TAK1 dependent pathways leading to NF-kappa-B and JNK activation (PubMed : 17560374). Ubiquitination of CCS leads to enhancement of its chaperone activity toward its physiologic target, SOD1, rather than proteasomal degradation (PubMed : 20154138). Ubiquitination of MAP3K2/MEKK2 and AIFM1 does not lead to proteasomal degradation (PubMed : 17967870, PubMed : 22103349). Plays a role in copper homeostasis by ubiquitinating COMMD1 and promoting its proteasomal degradation (PubMed : 14685266). Can also function as E3 ubiquitin-protein ligase of the NEDD8 conjugation pathway, targeting effector caspases for neddylation and inactivation (PubMed : 21145488). Ubiquitinates and therefore mediates the proteasomal degradation of BCL2 in response to apoptosis (PubMed : 29020630). Protects cells from spontaneous formation of the ripoptosome, a large multi-protein complex that has the capability to kill cancer cells in a caspase-dependent and caspase-independent manner (PubMed : 22095281). Suppresses ripoptosome formation by ubiquitinating RIPK1 and CASP8 (PubMed : 22095281). Acts as a positive regulator of Wnt signaling and ubiquitinates TLE1, TLE2, TLE3, TLE4 and AES (PubMed : 22304967). Ubiquitination of TLE3 results in inhibition of its interaction with TCF7L2/TCF4 thereby allowing efficient recruitment and binding of the transcriptional coactivator beta-catenin to TCF7L2/TCF4 that is required to initiate a Wnt-specific transcriptional program (PubMed : 22304967).

Sequence similarities

Belongs to the IAP family.

Post-translational modifications

S-Nitrosylation down-regulates its E3 ubiquitin-protein ligase activity.. Autoubiquitinated (PubMed:12747801). Ubiquitinated by TRIM32; leading to proteasomal degradation (PubMed:21628460).

Subcellular localisation

Nucleus

Product protocols

For this product, it's our understanding that no specific protocols are required. You can visit:

Target data

Multi-functional protein which regulates not only caspases and apoptosis, but also modulates inflammatory signaling and immunity, copper homeostasis, mitogenic kinase signaling, cell proliferation, as well as cell invasion and metastasis (PubMed : 11257230, PubMed : 11257231, PubMed : 11447297, PubMed : 12121969, PubMed : 12620238, PubMed : 17560374, PubMed : 17967870, PubMed : 19473982, PubMed : 20154138, PubMed : 22103349, PubMed : 9230442). Acts as a direct caspase inhibitor (PubMed : 11257230, PubMed : 11257231, PubMed : 12620238). Directly bind to the active site pocket of CASP3 and CASP7 and obstructs substrate entry (PubMed : 11257230, PubMed : 11257231, PubMed : 16352606, PubMed : 16916640). Inactivates CASP9 by keeping it in a monomeric, inactive state (PubMed : 12620238). Acts as an E3 ubiquitin-protein ligase regulating NF-kappa-B signaling and the target proteins for its E3 ubiquitin-protein ligase activity include : RIPK1, RIPK2, MAP3K2/MEKK2, DIABLO/SMAC, AIFM1, CCS, PTEN and BIRC5/survivin (PubMed : 17560374, PubMed : 17967870, PubMed : 19473982, PubMed : 20154138, PubMed : 22103349, PubMed : 22607974, PubMed : 29452636, PubMed : 30026309). Acts as an important regulator of innate immunity by mediating 'Lys-63'-linked polyubiquitination of RIPK2 downstream of NOD1 and NOD2, thereby transforming RIPK2 into a scaffolding protein for downstream effectors, ultimately leading to activation of the NF-kappa-B and MAP kinases signaling (PubMed : 19667203, PubMed : 22607974, PubMed : 29452636, PubMed : 30026309). 'Lys-63'-linked polyubiquitination of RIPK2 also promotes recruitment of the LUBAC complex to RIPK2 (PubMed : 22607974, PubMed : 29452636). Regulates the BMP signaling pathway and the SMAD and MAP3K7/TAK1 dependent pathways leading to NF-kappa-B and JNK activation (PubMed : 17560374). Ubiquitination of CCS leads to enhancement of its chaperone activity toward its physiologic target, SOD1, rather than proteasomal degradation (PubMed : 20154138). Ubiquitination of MAP3K2/MEKK2 and AIFM1 does not lead to proteasomal degradation (PubMed : 17967870, PubMed : 22103349). Plays a role in copper homeostasis by ubiquitinating COMMD1 and promoting its proteasomal degradation (PubMed : 14685266). Can also function as E3 ubiquitin-protein ligase of the NEDD8 conjugation pathway, targeting effector caspases for neddylation and inactivation (PubMed : 21145488). Ubiquitinates and therefore mediates the proteasomal degradation of BCL2 in response to apoptosis (PubMed : 29020630). Protects cells from spontaneous formation of the ripoptosome, a large multi-protein complex that has the capability to kill cancer cells in a caspase-dependent and caspase-independent manner (PubMed : 22095281). Suppresses ripoptosome formation by ubiquitinating RIPK1 and CASP8 (PubMed : 22095281). Acts as a positive regulator of Wnt signaling and ubiquitinates TLE1, TLE2, TLE3, TLE4 and AES (PubMed : 22304967). Ubiquitination of TLE3 results in inhibition of its interaction with TCF7L2/TCF4 thereby allowing efficient recruitment and binding of the transcriptional coactivator beta-catenin to TCF7L2/TCF4 that is required to initiate a Wnt-specific transcriptional program (PubMed : 22304967).
See full target information XIAP

Product promise

We are committed to supporting your work with high-quality reagents, and we're here for you every step of the way. In the unlikely event that one of our products does not perform as expected, you're protected by our Product Promise.
For full details, please see our Terms & Conditions

Associated Products

Select an associated product type
Alternative Product
Proteins & Peptides

AB125537

Recombinant Human XIAP protein

proteins-peptides

recombinant-human-xiap-protein-ab125537

0

(0 reviews)

Alternative Product
Proteins & Peptides

AB198451

Recombinant human XIAP protein

proteins-peptides

recombinant-human-xiap-protein-ab198451

0

(0 reviews)

Alternative Product
Cell Lines & Lysates

AB94239

XIAP overexpression 293T lysate (whole cell)

cell-lysates

xiap-overexpression-293t-lysate-whole-cell-ab94239

0

(0 reviews)

Please note: All products are 'FOR RESEARCH USE ONLY. NOT FOR USE IN DIAGNOSTIC OR THERAPEUTIC PROCEDURES'.

For licensing inquiries, please contact partnerships@abcam.com