JavaScript is disabled in your browser. Please enable JavaScript to view this website.
AB271626

Recombinant Mouse PD1 protein (PE) (Fc tag C-Terminus)

Be the first to review this product! Submit a review

|

(0 Publication)

Recombinant Mouse PD1 protein (PE) (Fc tag C-Terminus) is a Mouse Fragment protein, in the 25 to 167 aa range, expressed in HEK 293 cells, with >90%, suitable for SDS-PAGE.

View Alternative Names

CD279, Pd1, Pdcd1, Programmed cell death protein 1, Protein PD-1, mPD-1

1 Images
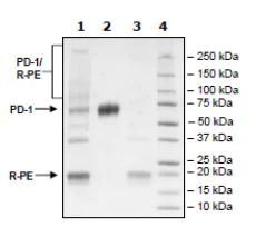
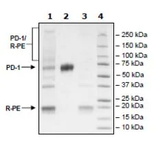
SDS-PAGE - Recombinant Mouse PD1 protein (PE) (Fc tag C-Terminus) (AB271626)
  • SDS-PAGE

Supplier Data

SDS-PAGE - Recombinant Mouse PD1 protein (PE) (Fc tag C-Terminus) (AB271626)

SDS-PAGE analysis of ab271626. 4-20% SDS-PAGE, coomassie staining.

Lane 1 : 8 μg ab271626

Lane 2 : 4 μg mPD-1

Lane 3 : 4 μg R-PE

Lane 4 : Protein marker

Key facts

Purity

>90% SDS-PAGE

Expression system

HEK 293 cells

Tags

Fc tag C-Terminus

Applications

SDS-PAGE

applications

Biologically active

No

Conjugation

PE

Excitation/Emission

Ex: 480;565nm, Em: 578nm

Accession

Q02242

Animal free

No

Carrier free

No

Species

Mouse

Storage buffer

pH: 7.4 Constituents: 20% Glycerol (glycerin, glycerine), 0.64% Sodium chloride, 0.13% Sodium phosphate, 0.02% Potassium chloride

storage-buffer

Reactivity data

{ "title": "Reactivity Data", "filters": { "stats": ["", "Reactivity", "Dilution Info", "Notes"] }, "values": { "SDS-PAGE": { "reactivity":"TESTED_AND_REACTS", "dilution-info":"", "notes":"<p>This protein runs at a higher MW by SDS-PAGE due to glycosylation.</p>" } } }

Sequence info

[{"sequence":"LEVPNGPWRSLTFYPAWLTVSEGANATFTCSLSNWSEDLMLNWNRLSPSNQTEKQAAFCNGLSQPVQDARFQIIQLPNRHDFHMNILDTRRNDSGIYLCGAISLHPKAKIEESPGAELVVTERILETSTRYPSPSPKPEGRFQ","proteinLength":"Fragment","predictedMolecularWeight":"42 kDa","actualMolecularWeight":null,"aminoAcidEnd":167,"aminoAcidStart":25,"nature":"Recombinant","expressionSystem":"HEK 293 cells","accessionNumber":"Q02242","tags":[{"tag":"Fc","terminus":"C-Terminus"}]}]

Properties and storage information

Shipped at conditions
Dry Ice
Appropriate short-term storage conditions
-80°C
Appropriate long-term storage conditions
-80°C
Storage information
Avoid freeze / thaw cycle|Store in the dark
False

Supplementary information

This supplementary information is collated from multiple sources and compiled automatically.

PD1 also known as Programmed Cell Death Protein 1 or PDCD1 is a transmembrane protein that plays a critical role in regulating immune responses. It has a mass of approximately 55 kDa. PD1 is expressed on the surface of T cells B cells and some myeloid cells. PD1’s expression increases upon activation of these immune cells assisting in maintaining peripheral tolerance. Researchers often use PD1 mouse models and chimeric antibodies to explore the function of PD1 for experimental purposes. Antibodies such as anti-PD1 such as EH12.2H7 help in blocking PD1 interaction to study its role further.
Biological function summary

PD1 serves as an inhibitory receptor acting as a checkpoint in the immune system. It becomes part of an immune-suppressive complex when it binds with its ligands PD-L1 or PD-L2 which are expressed on various cell types including some tumor cells. This interaction suppresses the proliferation of T cells and cytokine production contributing to immune homeostasis. By controlling T cell activity PD1 limits autoimmunity but can also reduce the immune system's capability to attack cancer cells.

Pathways

PD1 functions in the immune checkpoint pathway a critical regulatory circuit in immune regulation. The engagement of PD1 with its ligands initiates a cascade that inhibits the function and proliferation of T cells through downstream SHP-2 phosphatase activity. This pathway frequently involves other regulatory proteins like CTLA-4 and is an important mechanism by which the body modulates immune responses. Related pathways often intersect with those involving T cell receptor signaling and contribute to the overall modulation of immune activity.

PD1 has a significant role in cancer and autoimmune disorders. PD1 expression can allow tumors to evade immune surveillance making PD1 a target for cancer therapies such as anti-PD1 antibodies which aim to block PD1 and restore T cell activity. The interaction of PD1 with cancer-related proteins like PD-L1 facilitates tumor immune evasion. In autoimmune disorders PD1’s regulation of immune balance can become dysregulated leading to persistent immune activation and tissue damage. Understanding PD1 and its interaction with proteins such as PD-L1 helps in developing therapeutic strategies for both cancer and autoimmune conditions.

Specifications

Form

Liquid

General info

Function

Inhibitory receptor on antigen activated T-cells that plays a critical role in induction and maintenance of immune tolerance to self (PubMed : 10485649, PubMed : 11209085, PubMed : 11698646, PubMed : 21300912). Delivers inhibitory signals upon binding to ligands, such as CD274/PDCD1L1 and CD273/PDCD1LG2 (PubMed : 11015443, PubMed : 11224527, PubMed : 18287011, PubMed : 18641123, PubMed : 22641383). Following T-cell receptor (TCR) engagement, PDCD1 associates with TCR-CD3 in the immunological synapse and directly inhibits T-cell activation (PubMed : 22641383). Suppresses T-cell activation through the recruitment of PTPN11/SHP-2 : following ligand-binding, PDCD1 is phosphorylated within the ITSM motif, leading to the recruitment of the protein tyrosine phosphatase PTPN11/SHP-2 that mediates dephosphorylation of key TCR proximal signaling molecules, such as ZAP70, PRKCQ/PKCtheta and CD247/CD3zeta (PubMed : 11698646, PubMed : 22641383). The PDCD1-mediated inhibitory pathway is exploited by tumors to attenuate anti-tumor immunity and facilitate tumor survival (By similarity).

Post-translational modifications

Ubiquitinated at Lys-235 by the SCF(FBXO38) complex, leading to its proteasomal degradation. Ubiquitinated via 'Lys-48'-linked polyubiquitin chains. Deubiquitinated and thus stabilized by USP5.. Tyrosine phosphorylated at Tyr-225 (within ITIM motif) and Tyr-248 (ITSM motif) upon ligand binding (PubMed:11698646, PubMed:22641383). Phosphorylation at Tyr-248 by FYN promotes the recruitment of the protein tyrosine phosphatase PTPN11/SHP-2 that mediates dephosphorylation of key TCR proximal signaling molecules, such as ZAP70, PRKCQ/PKCtheta and CD247/CD3zeta (PubMed:22641383). Phosphorylation at Thr-236 promotes the recruitment of the deubiquitinase USP5 (By similarity).

Product protocols

Target data

Inhibitory receptor on antigen activated T-cells that plays a critical role in induction and maintenance of immune tolerance to self (PubMed : 10485649, PubMed : 11209085, PubMed : 11698646, PubMed : 21300912). Delivers inhibitory signals upon binding to ligands, such as CD274/PDCD1L1 and CD273/PDCD1LG2 (PubMed : 11015443, PubMed : 11224527, PubMed : 18287011, PubMed : 18641123, PubMed : 22641383). Following T-cell receptor (TCR) engagement, PDCD1 associates with TCR-CD3 in the immunological synapse and directly inhibits T-cell activation (PubMed : 22641383). Suppresses T-cell activation through the recruitment of PTPN11/SHP-2 : following ligand-binding, PDCD1 is phosphorylated within the ITSM motif, leading to the recruitment of the protein tyrosine phosphatase PTPN11/SHP-2 that mediates dephosphorylation of key TCR proximal signaling molecules, such as ZAP70, PRKCQ/PKCtheta and CD247/CD3zeta (PubMed : 11698646, PubMed : 22641383). The PDCD1-mediated inhibitory pathway is exploited by tumors to attenuate anti-tumor immunity and facilitate tumor survival (By similarity).
See full target information Pdcd1

Product promise

We are committed to supporting your work with high-quality reagents, and we're here for you every step of the way. In the unlikely event that one of our products does not perform as expected, you're protected by our Product Promise.
For full details, please see our Terms & Conditions

Please note: All products are 'FOR RESEARCH USE ONLY. NOT FOR USE IN DIAGNOSTIC OR THERAPEUTIC PROCEDURES'.

For licensing inquiries, please contact partnerships@abcam.com