JavaScript is disabled in your browser. Please enable JavaScript to view this website.
AB119211

InstantBlue® Coomassie Protein Stain (ISB1L)

5

(5 Reviews)

|

(600 Publications)

InstantBlue® Coomassie protein stain (ISB1L) is a ready-to-use, non-toxic, ultra-fast Coomassie blue dye to stain protein gels delivering clear results in 15 minutes. Uses a single-step protocol eliminating the need to wash, fix or destain.

- Coomassie InstantBlue® protein stains proven performance: cited in over 595 publications
- Stains at least 40 mini gels per bottle (25 mL/mini gel)
- No gel shrinkage or protein methylation/acetylation
- High sensitivity - detects protein levels as low as 5 ng per band
- Compatible with Mass Spectrometry
3 Images
Western blot - InstantBlue® Coomassie Protein Stain (ISB1L) (AB119211)
  • WB

Unknown

Western blot - InstantBlue® Coomassie Protein Stain (ISB1L) (AB119211)

SDS-PAGE image showing molecular weight marker (MW) and His-tag recombinant protein fractions purified in Ni-NTA resin in lanes 1-5 stained with InstantBlue. InstantBlue was easy to handle and use - just pour a small amount onto your gel and within 10 minutes you can see the protein bands! No methanol and glacial acetic acid - no smell!

false

This image is courtesy of an anonymous abreview.

SDS-PAGE - InstantBlue® Coomassie Protein Stain (ISB1L) (AB119211)
  • SDS-PAGE

Lab

SDS-PAGE - InstantBlue® Coomassie Protein Stain (ISB1L) (AB119211)

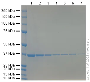
Lane 1 : Recombinant Human GAPDH protein (ab77109) at 3 ug + Instant Blue stain (ab119211) Lane 2 : Recombinant Human GAPDH protein (ab77109) at 2 ug + Instant Blue stain (ab119211) Lane 3 : Recombinant Human GAPDH protein (ab77109) at 1 ug + Instant Blue stain (ab119211) Lane 4 : Recombinant Human GAPDH protein (ab77109) at 0.5 ug + Instant Blue stain (ab119211) Lane 5 : Recombinant Human GAPDH protein (ab77109) at 0.3 ug + Instant Blue stain (ab119211) Lane 6 : Recombinant Human GAPDH protein (ab77109) at 0.2 ug + Instant Blue stain (ab119211) Lane 7 : Recombinant Human GAPDH protein (ab77109) at 0.1 ug + Instant Blue stain (ab119211) Predicted band size : 36 kDa Observed band size : 36 kDa SDS-PAGE image showing molecular weight marker (MW) and Recombinant Human GAPDH protein in lanes 1-7 stained with InstantBlue. The gel was stained for 30 minutes and then rinsed once with distilled water to remove the stain.

Staining - InstantBlue® Coomassie Protein Stain (ISB1L) (AB119211)
  • Staining

Unknown

Staining - InstantBlue® Coomassie Protein Stain (ISB1L) (AB119211)

InstantBlue® (ISB1L) (ab119211) is a ready-to-use, ultra-fast and sensitive Coomassie Blue protein stain for polyacrylamide gels. Protein gels can be stained in 15 minutes in a one-step protocol eliminating the need to fix, wash or destain. It is formulated for safe use and easy disposal and comes in a convenient premixed one liter bottle.

Key facts

Form

Liquid

form

Product details

InstantBlue® (ISB1L)  is a ready to use, ultra-fast and sensitive Coomassie Blue protein stain for polyacrylamide gels. Protein gels can be stained in 15 minutes in a one-step protocol eliminating the need to fix, wash or destain.  It is formulated for safe use and easy disposal and comes in a convenient premixed one liter bottle.

Why InstantBlue® Coomassie Protein Stain?
When compared to homemade and some premade Coomassie Blue solutions, InstantBlue® does not require additional steps to wash, fix, microwave and destain. Coomassie InstantBlue® uses a simple one-step protocol saving you time.

The unique patented mechanism for rapid Coomassie blue staining of protein gels begins in moments, and results are achieved within 15 minutes. Some premade and traditional homemade Coomassie R-250 protein stains can take three hours or more to fully stain gels, and then typically require destaining overnight.

Unparalleled sensitivity allows protein levels as low as 5ng per band to be detected (BSA) when staining overnight. Coomassie InstantBlue® provides specific staining, which gives a clear background, improving the signal / noise ratio of the stain. Despite the staining power, gels can be left in Coomassie InstantBlue® for weeks and still come out with a crystal clear background, all without the need for destaining or protein stain remover.

The nontoxic formula is sink disposable and its methanol free composition will not shrink gels. Other stains require solvent disposal procedures and can require microwaving, which produces dangerous fumes. The effective staining and safe composition of InstantBlue means that there's no need for microwaving, solvent disposal, or fume hoods.

Coomassie InstantBlue® will stain at least 40 mini gels per bottle, boasting economical staining with only 25ml per mini gel. As a result, this allows you to use less protein staining solution when compared to 50–100ml of stain per gel for homemade solutions and some premixed solutions.

Fully compatible with mass spectrometry, gels can be destained using standard procedures. The protein staining solution's acetic acid free formulation means it will not methylate or acetylate protein during the protein staining protocol.

Key Benefits

  • •  Ultra fast staining  – Results in 15 minutes or less
  • •  One step procedure  – No washing, fixing, microwaving or destaining
  • •  High sensitivity  – 5ng bands detectable
  • •  Clear background  – High signal / noise ratio
  • •  Flexible  – No overstaining
  • •  Reliable –  Stringent batch to batch consistency
  • •  Efficient  – Only 25ml per gel
  • •  Safe composition  – Nontoxic; no fume hood or solvent disposal required
  • •  Methanol free  – No gel shrinkage or protein methylation
  • •  Acetic acid free  – No protein acetylation
  • •  Mass spectrometry compatible  – Destainable

Coomassie Blue staining protocol when using InstantBlue® (ISB1L)
BEFORE USE: Mix the Coomassie InstantBlue® solution immediately before using by gently inverting the bottle a few times (do not shake the bottle to mix the solution).

  • - Multiple washes prior to staining with Coomassie InstantBlue® are NOT required or recommended.
  • - An alcohol/acetic acid fixing step prior to staining with Coomassie InstantBlue® is NOT required or recommended.
  • - A destaining step post staining is NOT required or recommended with Coomassie InstantBlue®.

Standard Coomassie Blue staining Protocol:

  1. 1. After electrophoresis remove the gel from the tank and transfer directly into the Coomassie InstantBlue® staining solution. Be sure that the gel moves freely in stain to facilitate diffusion. Typically, ~20 mL is needed to cover the gel.
  2. 2. Coloured protein bands will start to develop immediately, and a suitable intensity is typically achieved after 15 minutes incubation at room temperature with gentle shaking.
  3. 3. Photograph your gel when the required intensity has been achieved. Gels can be kept in staining solution but ensure that the gel remains covered with liquid. Alternatively, the gel can be stored in ultrapure water after staining for 1 hour in Commassie InstantBlue®.

This product is manufactured by Expedeon, an Abcam company. Expedeon product code ISB1L was previously called InstantBlue Protein Stain 1 L and is the same as the 1000 ml size of this product.

Manufactured under patent numbers : US 12/226,797 ; SG 201103010-3 ; SG 200807953-5 ; JP 2009-507182 ; IN 5722/CHENP/2008 ; GB 0608377.8 ; EP 10187154.9; EP 07733647.7 ; CN 200780021434.8 ; CA 2,649,835 ; AU 2007245443
INSTANTBLUE is a registered trademark of Abcam in the US and an unregistered trademark elsewhere

Properties and storage information

Shipped at conditions
Ambient - Can Ship with Ice
Appropriate short-term storage conditions
+4°C
Appropriate long-term storage conditions
+4°C

Product protocols

Target data

Publications (600)

Recent publications for all applications. Explore the full list and refine your search

Stem cell research & therapy 16:352 PubMed40619379

2025

Uncovering cell type-specific phenotypes using a novel human in vitro model of transthyretin amyloid cardiomyopathy.

Applications

Unspecified application

Species

Unspecified reactive species

Jiabin Qin,Qiangbing Yang,Asier Ullate-Agote,Vasco Sampaio-Pinto,Laura Florit,Inge Dokter,Chrysoula Mathioudaki,Lotte Middelberg,Pilar Montero-Calle,Paula Aguirre-Ruiz,Joana de Las Heras Rojo,Zhiyong Lei,Zeping Qiu,Jin Wei,Pim van der Harst,Felipe Prosper,Manuel M Mazo,Olalla Iglesias-García,Monique C Minnema,Joost P G Sluijter,Marish I F J Oerlemans,Alain van Mil

Scientific reports 15:18368 PubMed40419540

2025

Growth inhibition of Saccharomyces cerevisiae by SUMO-specific nanobodies.

Applications

Unspecified application

Species

Unspecified reactive species

Pavana Suresh,Sun Zhen-Yu Jim,Ishani Sahay,Allison Y Tang,Charlotte Wijne,Jin Gan,Novalia Pishesha,Jose L Avalos,Hidde Ploegh

Nature communications 16:4135 PubMed40319025

2025

Liposomal lipid nanoparticles for extrahepatic delivery of mRNA.

Applications

Unspecified application

Species

Unspecified reactive species

Miffy Hok Yan Cheng,Yao Zhang,Kevin Fox,Jerry Leung,Colton Strong,Emma Kang,Yihang Chen,Michelle Tong,Hemashree Bommadevara,Eric Jan,Owen Yuk Long Ip,Cristina Rodríguez-Rodríguez,Katayoun Saatchi,Urs O Häfeli,Amir Abdolahzadeh,Dominik Witzigmann,Pieter R Cullis

Nature communications 16:3570 PubMed40240328

2025

GRA12 is a common virulence factor across Toxoplasma gondii strains and mouse subspecies.

Applications

Unspecified application

Species

Unspecified reactive species

Francesca Torelli,Simon Butterworth,Eloise Lockyer,Ana N Matias,Franziska Hildebrandt,Ok-Ryul Song,Jennifer Pearson-Farr,Moritz Treeck

Communications biology 8:614 PubMed40234692

2025

A nanobody that binds to the backside of the ubiquitin conjugating enzyme Ube2G2 differentially affects interactions with its partner E3 Ligases.

Applications

Unspecified application

Species

Unspecified reactive species

Pavana Suresh,Charlotte Wijne,Zhen-Yu J Sun,Nanette Becht,Ishani Sahay,Novalia Pishesha,Hidde Ploegh

Scientific reports 15:11831 PubMed40195432

2025

Accelerated vaccine process development by orthogonal protein characterization.

Applications

Unspecified application

Species

Unspecified reactive species

D Andrew James,Lisa Szymkowicz,Lois Yin,Hetvi Shah,Michael Leach,Roman M Chicz

Journal of biological engineering 19:27 PubMed40158151

2025

Manipulating subcellular protein localization to enhance target protein accumulation in minicells.

Applications

Unspecified application

Species

Unspecified reactive species

Junhyeon Park,Karen M Polizzi,Jongmin Kim,Juhyun Kim

mAbs 17:2483272 PubMed40151946

2025

Rapid affinity-based purification of multi-specific antibodies using Kappa Select and Protein L.

Applications

Unspecified application

Species

Unspecified reactive species

Kalie Mix,Tingwan Sun,Brian Hall,Jocelyn Newton,Christina Eng,Yongjing Guo,David Reczek

Communications biology 8:316 PubMed40011679

2025

Thrombin cleaves membrane-bound endoglin potentially contributing to the heterogeneity of circulating endoglin in preeclampsia.

Applications

Unspecified application

Species

Unspecified reactive species

Divina El Hamaoui,Aurore Marchelli,Sophie Gandrille,Etienne Reboul,Alain Stepanian,Bruno Palmier,Luca Jovine,Franck Lebrin,David M Smadja,Carmelo Bernabeu,Cecile V Denis,Pascale Gaussem,Samuela Pasquali,Alexandre Kauskot,Elisa Rossi

The EMBO journal 44:1749-1773 PubMed39934414

2025

Mitochondrial DNA removal is essential for sperm development and activity.

Applications

Unspecified application

Species

Unspecified reactive species

Zhe Chen,Fan Zhang,Annie Lee,Michaela Yamine,Zong-Heng Wang,Guofeng Zhang,Christian Combs,Hong Xu
View all publications
websiteProtocolBooklet
en

Product promise

We are committed to supporting your work with high-quality reagents, and we're here for you every step of the way. In the unlikely event that one of our products does not perform as expected, you're protected by our Product Promise.
For full details, please see our Terms & Conditions

Please note: All products are 'FOR RESEARCH USE ONLY. NOT FOR USE IN DIAGNOSTIC OR THERAPEUTIC PROCEDURES'.

For licensing inquiries, please contact partnerships@abcam.com