JavaScript is disabled in your browser. Please enable JavaScript to view this website.
AB131366

VeriBlot for IP Detection Reagent (HRP)

5

(7 Reviews)

|

(81 Publications)

VeriBlot for IP detection reagent (HRP) (ab131366) is a horseradish peroxidase conjugate that enable the trouble-free detection of immunoblotted target protein bands without interference from denatured IgG. Suitable to use with our broad range of IP and CoIP validated primary antibodies.

- Proven performance: cited in over 80 publications
- Recognizes non-reduced antibodies without interference from IgG heavy and light chains
- Detects IgG from bovine, goat, human, mouse, rat, rabbit, and sheep (specific isotypes detailed)
- Compatible with our Lab essentials staining workflow offering
41 Images
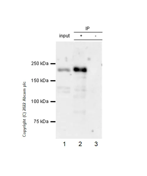
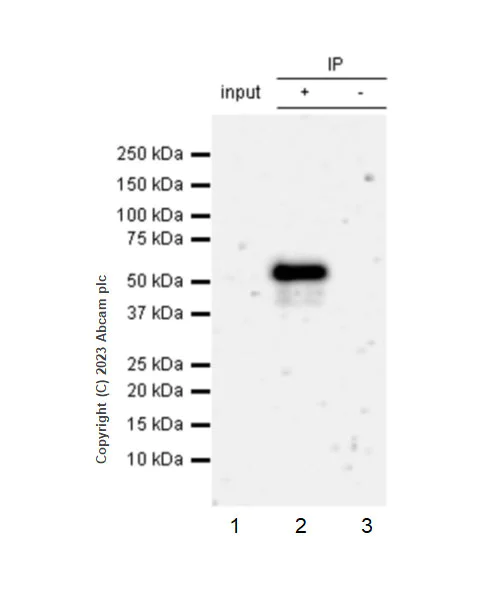
Immunoprecipitation - VeriBlot for IP Detection Reagent (HRP) (AB131366)
  • IP

Supplier Data

Immunoprecipitation - VeriBlot for IP Detection Reagent (HRP) (AB131366)

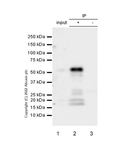
SLAMF6 was immunoprecipitated from 0.35 mg Jurkat (human T cell leukemia cell line from peripheral blood) whole cell lysate with ab224201 at 1/30 dilution. Western blot was performed from the immunoprecipitate using ab224201 at 1/500 dilution. VeriBlot for IP Detection Reagent (HRP) (ab131366), was used for detection at 1/1000 dilution.

Blocking and diluting buffer and concentration : 5% NFDM/TBST.

This blot was developed using a high sensitivity ECL substrate. The high-sensitivity ECL substrate used allows for the detection of proteins in the mid-femtogram range.

All lanes:

Immunoprecipitation - Anti-SLAMF6 antibody [EPR22170] (<a href='/en-us/products/primary-antibodies/slamf6-antibody-epr22170-ab224201'>ab224201</a>) at 1/500 dilution

Lane 1:

Jurkat whole cell lysate (input) at 10 µg

Lane 2:

<a href='/en-us/products/primary-antibodies/slamf6-antibody-epr22170-ab224201'>ab224201</a> at 1/30 IP in Jurkat whole cell lysate (+) at 10 µg

Lane 3:

Rabbit monoclonal IgG (<a href='/en-us/products/primary-antibodies/rabbit-igg-monoclonal-epr25a-isotype-control-ab172730'>ab172730</a>) instead of <a href='/en-us/products/primary-antibodies/slamf6-antibody-epr22170-ab224201'>ab224201</a> in Jurkat whole cell lysate (-) at 10 µg

Secondary

All lanes:

Immunoprecipitation - VeriBlot for IP Detection Reagent (HRP) (ab131366) at 1/1000 dilution

Predicted band size: 37 kDa

true

Exposure time: 10s

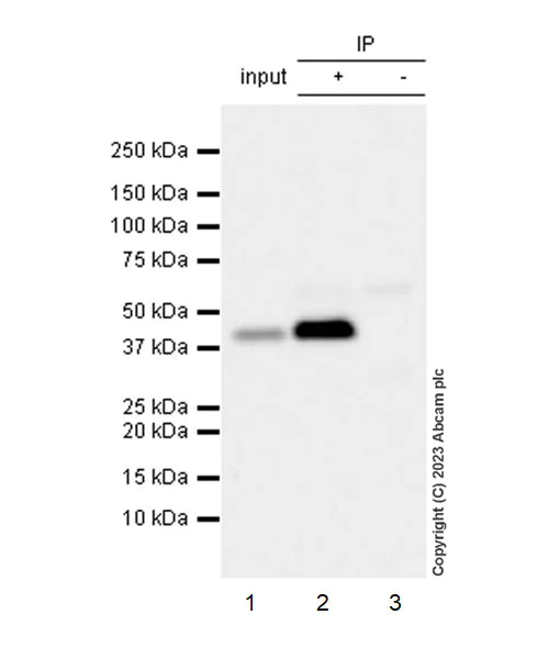
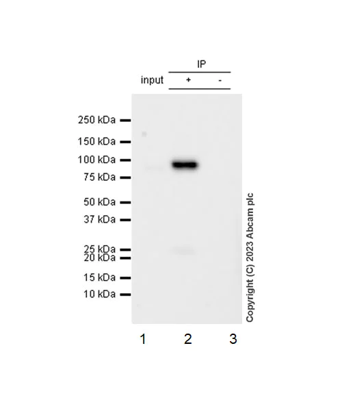
Immunoprecipitation - VeriBlot for IP Detection Reagent (HRP) (AB131366)
  • IP

Supplier Data

Immunoprecipitation - VeriBlot for IP Detection Reagent (HRP) (AB131366)

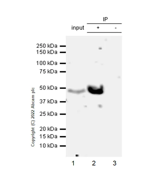
POLE was immunoprecipitated from 0.35 mg parental HAP1(HOWT01) (human chronic myelogenous leukemia near-haploid cell ) whole cell lysate with ab318968 at 1/30 dilution (2ug in 0.35mg lysates). Western blot was performed on the immunoprecipitate using ab318968 at 1/1000 dilution. VeriBlot for IP secondary antibody(HRP)(ab131366) was used at 1/5000 dilution.

Lane 1 : parental HAP1(HOWT01) (human chronic myelogenous leukemia near-haploid cell ) whole cell lysate
Lane 2 : ab318968 IP in parental HAP1(HOWT01) (human chronic myelogenous leukemia near-haploid cell ) whole cell lysate
Lane 3 : Rabbit monoclonal IgG (ab172730) instead of ab318968 in parental HAP1(HOWT01) whole cell lysate

The bands beneath the target band between 100 kDa and 260 kDa are likely to be degraded target fragments.

All lanes:

Immunoprecipitation - Anti-POLE antibody [EPR28639-64] (<a href='/en-us/products/primary-antibodies/pole-antibody-epr28639-64-ab318968'>ab318968</a>) at 1/30 dilution

Lanes 1 - 2:

parental HAP1(HOWT01) (human chronic myelogenous leukemia near-haploid cell ) whole cell lysate at 10 µg

Lanes 4 - 5:

POLE Knockout HAP1(HO010404) whole cell lysate at 10 µg

Secondary

All lanes:

Immunoprecipitation - VeriBlot for IP Detection Reagent (HRP) (ab131366) at 1/5000 dilution

false

Exposure time: 6s

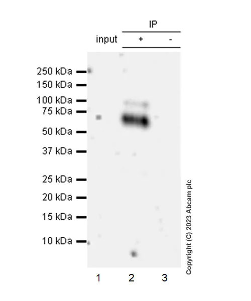
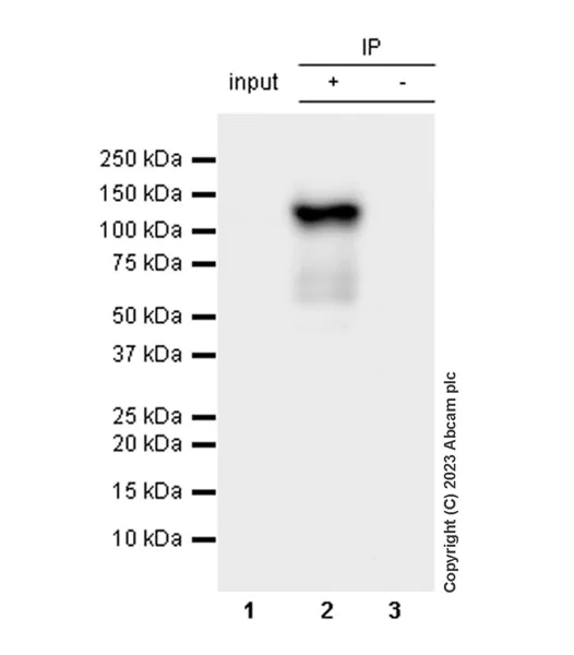
Immunoprecipitation - VeriBlot for IP Detection Reagent (HRP) (AB131366)
  • IP

Supplier Data

Immunoprecipitation - VeriBlot for IP Detection Reagent (HRP) (AB131366)

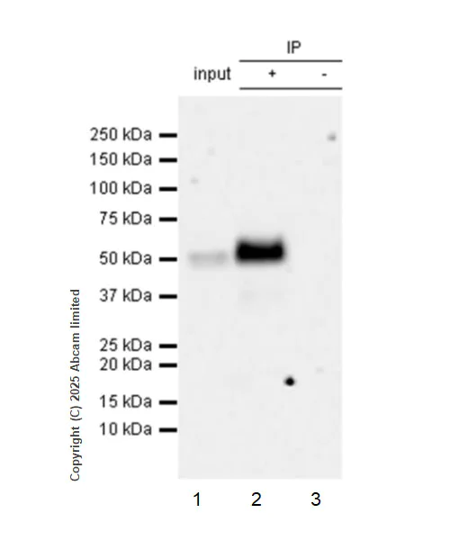
RPL11 was immunoprecipitated from 0.35 mg HeLa (human cervical adenocarcinoma epithelial cell) whole cell lysate with ab318976 at 1/30 dilution (2ug in 0.35mg lysates). Western blot was performed on the immunoprecipitate using ab318976 at 1/1000 dilution. VeriBlot for IP secondary antibody(HRP)(ab131366) was used at 1/5000 dilution.

Lane 1 : HeLa (human cervical adenocarcinoma epithelial cell) whole cell lysate
Lane 2 : ab318976 IP in HeLa (human cervical adenocarcinoma epithelial cell) whole cell lysate
Lane 3 : Rabbit monoclonal IgG (ab172730) instead of ab318976 in HeLa whole cell lysate

All lanes:

Immunoprecipitation - Anti-RPL11 antibody [EPR28901-64] (<a href='/en-us/products/primary-antibodies/rpl11-antibody-epr28901-64-ab318976'>ab318976</a>) at 1/30 dilution

All lanes:

HeLa (human cervical adenocarcinoma epithelial cell) whole cell lysate

Secondary

All lanes:

Immunoprecipitation - VeriBlot for IP Detection Reagent (HRP) (ab131366) at 1/5000 dilution

false

Exposure time: 10s

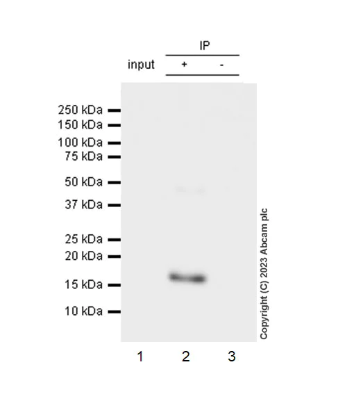
Immunoprecipitation - VeriBlot for IP Detection Reagent (HRP) (AB131366)
  • IP

Lab

Immunoprecipitation - VeriBlot for IP Detection Reagent (HRP) (AB131366)

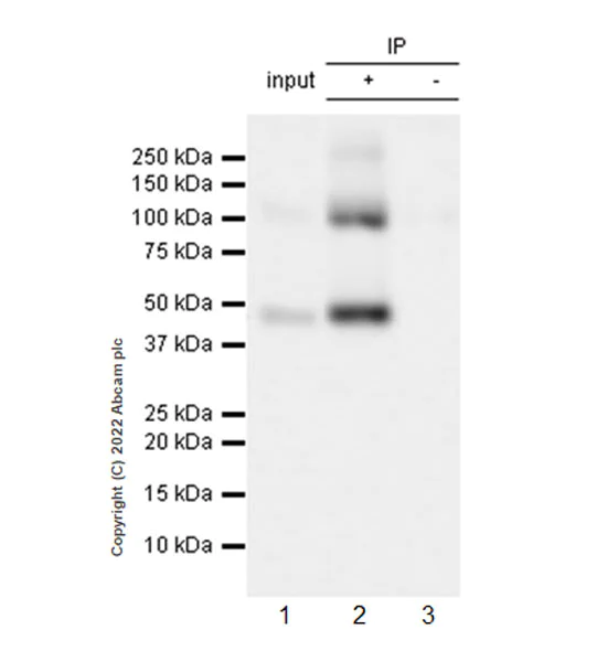
RPL26 was immunoprecipitated from 0.35 mg HEK-293 (human embryonic kidney epithelial cell) whole cell lysate with ab325434 at 1/30 dilution (2μg in 0.35mg lysates). Western blot was performed on the immunoprecipitate using ab325434 at 1/1000 dilution. VeriBlot for IP secondary antibody(HRP)(ab131366) was used at 1/5000 dilution.

Lane 1 : HEK-293 (human embryonic kidney epithelial cell) whole cell lysate
Lane 2 : ab325434 IP in HEK-293 (human embryonic kidney epithelial cell) whole cell lysate
Lane 3 : Rabbit monoclonal IgG (ab172730) instead of ab325434 in HEK-293 whole cell lysate

Blocking and dilution buffer and concentration : 5% NFDM/TBST.

Exposure time : 180 seconds.

All lanes:

Immunoprecipitation - Anti-RPL26+RPL26L antibody [EPR28600-70] (<a href='/en-us/products/primary-antibodies/rpl26rpl26l-antibody-epr28600-70-ab325434'>ab325434</a>) at 1/1000 dilution

Lane 1:

HEK-293 (human embryonic kidney epithelial cell) whole cell lysate at 10 µg

Lane 2:

<a href='/en-us/products/primary-antibodies/rpl26rpl26l-antibody-epr28600-70-ab325434'>ab325434</a> at 1/30 IP in HEK-293 (human embryonic kidney epithelial cell) whole cell lysate

Lane 3:

Rabbit monoclonal IgG (<a href='/en-us/products/primary-antibodies/rabbit-igg-monoclonal-epr25a-isotype-control-ab172730'>ab172730</a>) instead of <a href='/en-us/products/primary-antibodies/rpl26rpl26l-antibody-epr28600-70-ab325434'>ab325434</a> in HEK-293 whole cell lysate

Secondary

All lanes:

Immunoprecipitation - VeriBlot for IP Detection Reagent (HRP) (ab131366) at 1/5000 dilution

Observed band size: 17 kDa

false

Exposure time: 180s

Immunoprecipitation - VeriBlot for IP Detection Reagent (HRP) (AB131366)
  • IP

Supplier Data

Immunoprecipitation - VeriBlot for IP Detection Reagent (HRP) (AB131366)

POLE was immunoprecipitated from 0.35 mg K-562 (human chronic myelogenous leukemia lymphoblast) whole cell lysate with ab318968 at 1/30 dilution (2ug in 0.35mg lysates). Western blot was performed on the immunoprecipitate using ab318968 at 1/1000 dilution. VeriBlot for IP secondary antibody(HRP)(ab131366) was used at 1/5000 dilution.

Lane 1 : K-562 (human chronic myelogenous leukemia lymphoblast) whole cell lysate
Lane 2 : ab318968 IP in K-562 (human chronic myelogenous leukemia lymphoblast) whole cell lysate
Lane 3 : Rabbit monoclonal IgG (ab172730) instead of ab318968 in K-562 whole cell lysate

The bands beneath the target band between 100 kDa and 260 kDa are likely to be degraded target fragments.

All lanes:

Immunoprecipitation - Anti-POLE antibody [EPR28639-64] (<a href='/en-us/products/primary-antibodies/pole-antibody-epr28639-64-ab318968'>ab318968</a>) at 1/30 dilution

Lanes 1 - 2:

K-562 (human chronic myelogenous leukemia lymphoblast) whole cell lysate at 10 µg

Lanes 4 - 5:

F9 (mouse embryonal carcinoma epithelial cell) whole cell lysate at 10 µg

Secondary

All lanes:

Immunoprecipitation - VeriBlot for IP Detection Reagent (HRP) (ab131366) at 1/5000 dilution

false

Exposure time: 10s

Immunoprecipitation - VeriBlot for IP Detection Reagent (HRP) (AB131366)
  • IP

Supplier Data

Immunoprecipitation - VeriBlot for IP Detection Reagent (HRP) (AB131366)

E2F2 was immunoprecipitated from 0.35 mg Ramos (human Burkitt's lymphoma B lymphocyte) whole cell lysate with ab318956 at 1/30 dilution (2ug in 0.35mg lysates). Western blot was performed on the immunoprecipitate using ab318956 at 1/1000 dilution. VeriBlot for IP secondary antibody(HRP)(ab131366) was used at 1/5000 dilution.

Lane 1 : Ramos (human Burkitt's lymphoma B lymphocyte) whole cell lysate
Lane 2 : ab318956 IP in Ramos (human Burkitt's lymphoma B lymphocyte) whole cell lysate
Lane 3 : Rabbit monoclonal IgG (ab172730) instead of ab318956 in Ramos whole cell lysate

All lanes:

Immunoprecipitation - Anti-E2F2 antibody [EPR27391-170] (<a href='/en-us/products/primary-antibodies/e2f2-antibody-epr27391-170-ab318956'>ab318956</a>) at 1/30 dilution

All lanes:

Ramos (human Burkitt's lymphoma B lymphocyte) whole cell lysate

Secondary

All lanes:

Immunoprecipitation - VeriBlot for IP Detection Reagent (HRP) (ab131366) at 1/5000 dilution

false

Exposure time: 180s

Immunoprecipitation - VeriBlot for IP Detection Reagent (HRP) (AB131366)
  • IP

Supplier Data

Immunoprecipitation - VeriBlot for IP Detection Reagent (HRP) (AB131366)

IL-2 was immunoprecipitated from 0.35 mg Jurkat (human T cell leukemia T lymphocyte from peripheral blood) whole cell lysate with ab317331 at 1/30 dilution (2ug in 0.35mg lysates). Western blot was performed on the immunoprecipitate using ab317331 at 1/1000 dilution. VeriBlot for IP secondary antibody(HRP)(ab131366) was used at 1/5000 dilution.

Lane 1 : Jurkat (human T cell leukemia T lymphocyte from peripheral blood) whole cell lysate
Lane 2 : ab317331 IP in Jurkat (human T cell leukemia T lymphocyte from peripheral blood) whole cell lysate
Lane 3 : Rabbit monoclonal IgG (ab172730) instead of ab317331 in Jurkat whole cell lysate

All lanes:

Immunoprecipitation - Anti-IL-2 antibody [RM1124] (<a href='/en-us/products/primary-antibodies/il-2-antibody-rm1124-ab317331'>ab317331</a>) at 1/30 dilution

All lanes:

Jurkat (human T cell leukemia T lymphocyte from peripheral blood) whole cell lysate

Secondary

All lanes:

Immunoprecipitation - VeriBlot for IP Detection Reagent (HRP) (ab131366) at 1/5000 dilution

false

Exposure time: 180s

Immunoprecipitation - VeriBlot for IP Detection Reagent (HRP) (AB131366)
  • IP

Supplier Data

Immunoprecipitation - VeriBlot for IP Detection Reagent (HRP) (AB131366)

CD37 was immunoprecipitated from 0.35 mg Daudi (human Burkitt's lymphoma lymphoblast) whole cell lysate with ab323574 at 1/1000 dilution (2ug in 0.35mg lysates). Western blot was performed on the immunoprecipitate using ab323574 at 1/1000 dilution.

Blocking and dilution buffer and concentration : 5% NFDM/TBST

All lanes:

Immunoprecipitation - Anti-CD37 antibody [RM1306] (<a href='/en-us/products/primary-antibodies/cd37-antibody-rm1306-ab323574'>ab323574</a>) at 1/1000 dilution

Lane 1:

Daudi (human Burkitt's lymphoma lymphoblast) whole cell lysate at 10 µg

Lane 2:

<a href='/en-us/products/primary-antibodies/cd37-antibody-rm1306-ab323574'>ab323574</a> at 1/30 IP in Daudi (human Burkitt's lymphoma lymphoblast) whole cell lysate at 10 µg

Lane 3:

Rabbit monoclonal IgG (<a href='/en-us/products/primary-antibodies/rabbit-igg-monoclonal-epr25a-isotype-control-ab172730'>ab172730</a>) instead of <a href='/en-us/products/primary-antibodies/cd37-antibody-rm1306-ab323574'>ab323574</a> in Daudi whole cell lysate at 10 µg

Secondary

All lanes:

Immunoprecipitation - VeriBlot for IP Detection Reagent (HRP) (ab131366) at 1/5000 dilution

Observed band size: 40 kDa

false

Exposure time: 6s

Immunoprecipitation - VeriBlot for IP Detection Reagent (HRP) (AB131366)
  • IP

Supplier Data

Immunoprecipitation - VeriBlot for IP Detection Reagent (HRP) (AB131366)

ALDH7A1 was immunoprecipitated from 0.35 mg of human liver tissue lysate with the antibody at 1/20 dilution. Western blot was performed from the immunoprecipitated using antibody at 1/1000 dilution.

All lanes:

Immunoprecipitation - Anti-ALDH7A1 antibody [EP1935Y] (<a href='/en-us/products/primary-antibodies/aldh7a1-antibody-ep1935y-ab53278'>ab53278</a>) at 1/20 dilution

Lane 1:

Human liver tissue lysate (Input) at 10 µg

Lane 2:

Human liver tissue lysate (+)

Lane 3:

Rabbit monoclonal IgG (<a href='/en-us/products/primary-antibodies/rabbit-igg-monoclonal-epr25a-isotype-control-ab172730'>ab172730</a>) instead of <a href='/en-us/products/primary-antibodies/aldh7a1-antibody-ep1935y-ab53278'>ab53278</a> in human liver tissue lysate

Secondary

All lanes:

Immunoprecipitation - VeriBlot for IP Detection Reagent (HRP) (ab131366) at 1/5000 dilution

false

Immunoprecipitation - VeriBlot for IP Detection Reagent (HRP) (AB131366)
  • IP

Lab

Immunoprecipitation - VeriBlot for IP Detection Reagent (HRP) (AB131366)

ATP13A2 was immunoprecipitated from 0.35 mg Saos-2 (human osteosarcoma epithelial cell) whole cell lysate with ab322735 at 1/30 dilution (2µg in 0.35mg lysates). Western blot was performed on the immunoprecipitate using ab322735 at 1/1000 dilution. VeriBlot for IP secondary antibody(HRP)(ab131366) was used at 1/5000 dilution.

Lane 1 : Saos-2 (human osteosarcoma epithelial cell) whole cell lysate
Lane 2 : ab322735 at 1/30 IP in Saos-2 (human osteosarcoma epithelial cell) whole cell lysate
Lane 3 : Rabbit monoclonal IgG (ab172730) instead of ab322735 in Saos-2 whole cell lysate

Blocking and dilution buffer and concentration : 5% NFDM/TBST.

Exposure time : 102 seconds.

All lanes:

Immunoprecipitation - Anti-ATP13A2 antibody [MJF-D29756-28] (<a href='/en-us/products/primary-antibodies/atp13a2-antibody-mjf-d29756-28-ab322735'>ab322735</a>) at 1/1000 dilution

Lane 1:

Saos-2 (human osteosarcoma epithelial cell) whole cell lysate at 10 µg

Lane 2:

<a href='/en-us/products/primary-antibodies/atp13a2-antibody-mjf-d29756-28-ab322735'>ab322735</a> at 1/30 IP in Saos-2 (human osteosarcoma epithelial cell) whole cell lysate

Lane 3:

Rabbit monoclonal IgG (<a href='/en-us/products/primary-antibodies/rabbit-igg-monoclonal-epr25a-isotype-control-ab172730'>ab172730</a>) instead of <a href='/en-us/products/primary-antibodies/atp13a2-antibody-mjf-d29756-28-ab322735'>ab322735</a> in Saos-2 whole cell lysate

Secondary

All lanes:

Immunoprecipitation - VeriBlot for IP Detection Reagent (HRP) (ab131366) at 1/5000 dilution

Observed band size: 150 kDa

false

Exposure time: 102s

Immunoprecipitation - VeriBlot for IP Detection Reagent (HRP) (AB131366)
  • IP

Supplier Data

Immunoprecipitation - VeriBlot for IP Detection Reagent (HRP) (AB131366)

Histone H3 (di methyl K36) was immunoprecipitated from 0.35 mg HeLa (human cervical adenocarcinoma epithelial cell) histone lysate with ab318964 at 1/30 dilution (2ug in 0.35mg lysates). Western blot was performed on the immunoprecipitate using ab318964 at 1/1000 dilution. VeriBlot for IP secondary antibody(HRP)(ab131366) was used at 1/5000 dilution.

Lane 1 : HeLa (human cervical adenocarcinoma epithelial cell) histone lysate
Lane 2 : ab318964 IP in HeLa (human cervical adenocarcinoma epithelial cell) histone lysate
Lane 3 : Rabbit monoclonal IgG (ab172730) instead of ab318964 in HeLa histone lysate

All lanes:

Immunoprecipitation - Anti-Histone H3 (di methyl K36) antibody [EPR28335-73] (<a href='/en-us/products/primary-antibodies/histone-h3-di-methyl-k36-antibody-epr28335-73-ab318964'>ab318964</a>) at 1/30 dilution

All lanes:

HeLa (human cervical adenocarcinoma epithelial cell) histone lysate

Secondary

All lanes:

Immunoprecipitation - VeriBlot for IP Detection Reagent (HRP) (ab131366) at 1/5000 dilution

false

Exposure time: 180s

Immunoprecipitation - VeriBlot for IP Detection Reagent (HRP) (AB131366)
  • IP

Lab

Immunoprecipitation - VeriBlot for IP Detection Reagent (HRP) (AB131366)

CD66b was immunoprecipitated from 0.35 mg HL-60 (human acute promyelocytic leukemia promyeloblast) whole cell lysate with ab325777 at 1/30 dilution (2µg in 0.35mg lysates). Western blot was performed on the immunoprecipitate using ab325777 at 1/1000 dilution. VeriBlot for IP secondary antibody(HRP)(ab131366) was used at 1/5000 dilution.

Lane 1 : HL-60 (human acute promyelocytic leukemia promyeloblast) whole cell lysate
Lane 2 : ab325777 IP in HL-60 (human acute promyelocytic leukemia promyeloblast) whole cell lysate
Lane 3 : Rabbit monoclonal IgG (ab172730) instead of ab325777 in HL-60 whole cell lysate

Blocking and dilution buffer and concentration : 5% NFDM/TBST.

Exposure time : 93 seconds.

All lanes:

Immunoprecipitation - Anti-CD66b antibody [RM1323] (<a href='/en-us/products/primary-antibodies/cd66b-antibody-rm1323-ab325777'>ab325777</a>) at 1/1000 dilution

Lane 1:

HL-60 (human acute promyelocytic leukemia promyeloblast) whole cell lysate at 10 µg

Lane 2:

<a href='/en-us/products/primary-antibodies/cd66b-antibody-rm1323-ab325777'>ab325777</a> at 1/30 IP in HL-60 (human acute promyelocytic leukemia promyeloblast) whole cell lysate

Lane 3:

Rabbit monoclonal IgG (<a href='/en-us/products/primary-antibodies/rabbit-igg-monoclonal-epr25a-isotype-control-ab172730'>ab172730</a>) instead of <a href='/en-us/products/primary-antibodies/cd66b-antibody-rm1323-ab325777'>ab325777</a> in HL-60 whole cell lysate

Secondary

All lanes:

Immunoprecipitation - VeriBlot for IP Detection Reagent (HRP) (ab131366) at 1/5000 dilution

Observed band size: 95 kDa

false

Exposure time: 93s

Immunoprecipitation - VeriBlot for IP Detection Reagent (HRP) (AB131366)
  • IP

Lab

Immunoprecipitation - VeriBlot for IP Detection Reagent (HRP) (AB131366)

was immunoprecipitated from 0.35 mg THP-1 (human monocytic leukemia monocyte) whole cell lysate with ab325712 at 1/30 dilution (2µg in 0.35mg lysates). Western blot was performed on the immunoprecipitate using ab325712 at 1/1000 dilution. VeriBlot for IP secondary antibody(HRP)(ab131366) was used at 1/5000 dilution.

Lane 1 : THP-1 (human monocytic leukemia monocyte) whole cell lysate
Lane 2 : ab325712 IP in THP-1 (human monocytic leukemia monocyte) whole cell lysate
Lane 3 : Rabbit monoclonal IgG (ab172730) instead of ab325712 in THP-1 whole cell lysate

Blocking and dilution buffer and concentration : 5% NFDM/TBST.

Exposure time : 24 seconds.

All lanes:

Immunoprecipitation - Anti-FcRgamma antibody [EPR30963-69] (<a href='/en-us/products/primary-antibodies/fcrgamma-antibody-epr30963-69-ab325712'>ab325712</a>) at 1/1000 dilution

Lane 1:

THP-1 (human monocytic leukemia monocyte) whole cell lysate at 5 µg

Lane 2:

<a href='/en-us/products/primary-antibodies/fcrgamma-antibody-epr30963-69-ab325712'>ab325712</a> at 1/30 IP in THP-1 (human monocytic leukemia monocyte) whole cell lysate

Lane 3:

Rabbit monoclonal IgG (<a href='/en-us/products/primary-antibodies/rabbit-igg-monoclonal-epr25a-isotype-control-ab172730'>ab172730</a>) instead of <a href='/en-us/products/primary-antibodies/fcrgamma-antibody-epr30963-69-ab325712'>ab325712</a> in THP-1 whole cell lysate

Secondary

All lanes:

Immunoprecipitation - VeriBlot for IP Detection Reagent (HRP) (ab131366) at 1/5000 dilution

Observed band size: 10 kDa

false

Exposure time: 24s

Immunoprecipitation - VeriBlot for IP Detection Reagent (HRP) (AB131366)
  • IP

Supplier Data

Immunoprecipitation - VeriBlot for IP Detection Reagent (HRP) (AB131366)

E2F2 was immunoprecipitated from 0.35 mg Raji (human Burkitt's lymphoma B lymphocyte) whole cell lysate with ab318956 at 1/30 dilution (2ug in 0.35mg lysates). Western blot was performed on the immunoprecipitate using ab318956 at 1/1000 dilution. VeriBlot for IP secondary antibody(HRP)(ab131366) was used at 1/5000 dilution.

Lane 1 : Raji (human Burkitt's lymphoma B lymphocyte) whole cell lysate
Lane 2 : ab318956 IP in Raji (human Burkitt's lymphoma B lymphocyte) whole cell lysate
Lane 3 : Rabbit monoclonal IgG (ab172730) instead of ab318956 in Raji whole cell lysate

All lanes:

Immunoprecipitation - Anti-E2F2 antibody [EPR27391-170] (<a href='/en-us/products/primary-antibodies/e2f2-antibody-epr27391-170-ab318956'>ab318956</a>) at 1/30 dilution

All lanes:

Raji (human Burkitt's lymphoma B lymphocyte) whole cell lysate

Secondary

All lanes:

Immunoprecipitation - VeriBlot for IP Detection Reagent (HRP) (ab131366) at 1/5000 dilution

false

Exposure time: 180s

Immunoprecipitation - VeriBlot for IP Detection Reagent (HRP) (AB131366)
  • IP

Supplier Data

Immunoprecipitation - VeriBlot for IP Detection Reagent (HRP) (AB131366)

PAI1 was immunoprecipitated from 0.35 mg HepG2 (human hepatocellular carcinoma epithelial cell) whole cell lysate with ab318286 at 1/30 dilution (2ug in 0.35mg lysates). Western blot was performed on the immunoprecipitate using ab318286 at 1/1000 dilution. VeriBlot for IP secondary antibody(HRP)(ab131366) was used at 1/5000 dilution.

Lane 1 : HepG2 (human hepatocellular carcinoma epithelial cell) whole cell lysate
Lane 2 : ab318286 IP in HepG2 (human hepatocellular carcinoma epithelial cell) whole cell lysate
Lane 3 : Rabbit monoclonal IgG (ab172730) instead of ab318286 in HepG2 whole cell lysate

All lanes:

Immunoprecipitation - Anti-PAI1 antibody [RM1209] (<a href='/en-us/products/primary-antibodies/pai1-antibody-rm1209-ab318286'>ab318286</a>) at 1/30 dilution

All lanes:

HepG2 (human hepatocellular carcinoma epithelial cell) whole cell lysate

Secondary

All lanes:

Immunoprecipitation - VeriBlot for IP Detection Reagent (HRP) (ab131366) at 1/5000 dilution

false

Exposure time: 67s

Immunoprecipitation - VeriBlot for IP Detection Reagent (HRP) (AB131366)
  • IP

Lab

Immunoprecipitation - VeriBlot for IP Detection Reagent (HRP) (AB131366)

n-Myc/MYCN was immunoprecipitated from 0.35 mg IMR-32 (human neuroblastoma neuroblast) whole cell lysate with ab325641 at 1/30 dilution (2µg in 0.35mg lysates). Western blot was performed on the immunoprecipitate using ab325641 at 1/1000 dilution. VeriBlot for IP secondary antibody(HRP)(ab131366) was used at 1/5000 dilution.

Lane 1 : IMR-32 (human neuroblastoma neuroblast) whole cell lysate
Lane 2 : ab325641 IP in IMR-32 (human neuroblastoma neuroblast) whole cell lysate
Lane 3 : Rabbit monoclonal IgG (ab172730) instead of ab325641 in IMR-32 whole cell lysate

Blocking and dilution buffer and concentration : 5% NFDM/TBST.

Exposure time : 180 seconds.

All lanes:

Immunoprecipitation - Anti-n-Myc/MYCN antibody [EPR26107-153] (<a href='/en-us/products/primary-antibodies/n-myc-mycn-antibody-epr26107-153-ab325641'>ab325641</a>) at 1/1000 dilution

Lane 1:

IMR-32 (human neuroblastoma neuroblast) whole cell lysate at 10 µg

Lane 2:

<a href='/en-us/products/primary-antibodies/n-myc-mycn-antibody-epr26107-153-ab325641'>ab325641</a> at 1/30 IP in IMR-32 (human neuroblastoma neuroblast) whole cell lysate

Lane 3:

Rabbit monoclonal IgG (<a href='/en-us/products/primary-antibodies/rabbit-igg-monoclonal-epr25a-isotype-control-ab172730'>ab172730</a>) instead of <a href='/en-us/products/primary-antibodies/n-myc-mycn-antibody-epr26107-153-ab325641'>ab325641</a> in IMR-32 whole cell lysate

Secondary

All lanes:

Immunoprecipitation - VeriBlot for IP Detection Reagent (HRP) (ab131366) at 1/5000 dilution

Observed band size: 60 kDa

false

Exposure time: 180s

Immunoprecipitation - VeriBlot for IP Detection Reagent (HRP) (AB131366)
  • IP

Lab

Immunoprecipitation - VeriBlot for IP Detection Reagent (HRP) (AB131366)

Annexin V/ANXA5 was immunoprecipitated from 0.35 mg 293T (human embryonic kidney epithelial cell) whole cell lysate with ab325388 at 1/30 dilution (2µg in 0.35mg lysates). Western blot was performed on the immunoprecipitate using ab325388 at 1/1000 dilution. VeriBlot for IP secondary antibody(HRP)(ab131366) was used at 1/5000 dilution.

Lane 1 : 293T (human embryonic kidney epithelial cell) whole cell lysate
Lane 2 : ab325388 at 1/30 IP in 293T (human embryonic kidney epithelial cell) whole cell lysate
Lane 3 : Rabbit monoclonal IgG (ab172730) instead of ab325388 in 293T whole cell lysate

Blocking and dilution buffer and concentration : 5% NFDM/TBST.

Exposure time : 10 seconds.

All lanes:

Immunoprecipitation - Anti-Annexin V/ANXA5 antibody [RM1317] (<a href='/en-us/products/primary-antibodies/annexin-v-anxa5-antibody-rm1317-ab325388'>ab325388</a>) at 1/1000 dilution

Lane 1:

293T (human embryonic kidney epithelial cell) whole cell lysate at 10 µg

Lane 2:

<a href='/en-us/products/primary-antibodies/annexin-v-anxa5-antibody-rm1317-ab325388'>ab325388</a> at 1/30 IP in 293T (human embryonic kidney epithelial cell) whole cell lysate

Lane 3:

Rabbit monoclonal IgG (<a href='/en-us/products/primary-antibodies/rabbit-igg-monoclonal-epr25a-isotype-control-ab172730'>ab172730</a>) instead of <a href='/en-us/products/primary-antibodies/annexin-v-anxa5-antibody-rm1317-ab325388'>ab325388</a> in 293Twhole cell lysate

Secondary

All lanes:

Immunoprecipitation - VeriBlot for IP Detection Reagent (HRP) (ab131366) at 1/5000 dilution

Observed band size: 35 kDa

false

Exposure time: 10s

Immunoprecipitation - VeriBlot for IP Detection Reagent (HRP) (AB131366)
  • IP

Lab

Immunoprecipitation - VeriBlot for IP Detection Reagent (HRP) (AB131366)

NUP214 was immunoprecipitated from 0.35 mg HeLa (human cervical adenocarcinoma epithelial cell) whole cell lysate with ab325238 at 1/30 dilution (2 μg in 0.35mg lysates). Western blot was performed on the immunoprecipitate using ab325238 at 1/1000 dilution. VeriBlot for IP secondary antibody(HRP)(ab131366) was used at 1/5000 dilution.

Lane 1 : HeLa (human cervical adenocarcinoma epithelial cell) whole cell lysate
Lane 2 : ab325238 IP in HeLa (human cervical adenocarcinoma epithelial cell) whole cell lysate
Lane 3 : Rabbit monoclonal IgG (ab172730) instead of ab325238 in HeLa whole cell lysate

Blocking and dilution buffer and concentration : 5% NFDM/TBST.

Exposure time : 180 seconds.

All lanes:

Immunoprecipitation - Anti-NUP214 antibody [EPR29100-623] (<a href='/en-us/products/primary-antibodies/nup214-antibody-epr29100-623-ab325238'>ab325238</a>) at 1/1000 dilution

Lane 1:

HeLa (human cervical adenocarcinoma epithelial cell) whole cell lysate at 10 µg

Lane 2:

<a href='/en-us/products/primary-antibodies/nup214-antibody-epr29100-623-ab325238'>ab325238</a> at 1/30 IP in HeLa (human cervical adenocarcinoma epithelial cell) whole cell lysate

Lane 3:

Rabbit monoclonal IgG (<a href='/en-us/products/primary-antibodies/rabbit-igg-monoclonal-epr25a-isotype-control-ab172730'>ab172730</a>) instead of <a href='/en-us/products/primary-antibodies/nup214-antibody-epr29100-623-ab325238'>ab325238</a> in HeLa whole cell lysate

Secondary

All lanes:

Immunoprecipitation - VeriBlot for IP Detection Reagent (HRP) (ab131366) at 1/5000 dilution

Observed band size: 268 kDa

false

Exposure time: 180s

Immunoprecipitation - VeriBlot for IP Detection Reagent (HRP) (AB131366)
  • IP

Supplier Data

Immunoprecipitation - VeriBlot for IP Detection Reagent (HRP) (AB131366)

beta Catenin (phospho S552) was immunoprecipitated from 0.35 mg SK-N-MC (human brain epithelial cell) treated with 100 μM forskolin for 30 minutes whole cell lysate with ab314502 at 1/30 dilution (2ug in 0.35mg lysates). Western blot was performed on the immunoprecipitate using ab314502 at 1/1000 dilution. VeriBlot for IP secondary antibody(HRP)(ab131366) was used at 1/5000 dilution.

Lane 1 : SK-N-MC (human brain epithelial cell) treated with 100 μM forskolin for 30 minutes whole cell lysate

Lane 2 : ab314502 IP in SK-N-MC (human brain epithelial cell) treated with 100 μM forskolin for 30 minutes whole cell lysate

Lane 3 : Rabbit monoclonal IgG (ab172730) instead of ab314502 in SK-N-MC treated with 100 μM forskolin for 30 minutes whole cell lysate

Blocking and dilution buffer and concentration : 5% NFDM/TBST.

All lanes:

Immunoprecipitation - Anti-beta Catenin (phospho S552) antibody [EPR28411-7] (<a href='/en-us/products/primary-antibodies/beta-catenin-phospho-s552-antibody-epr28411-7-ab314502'>ab314502</a>) at 1/30 dilution

All lanes:

SK-N-MC (human brain epithelial cell) treated with 100&micro;M forskolin for 30 minutes whole cell lysate

Secondary

All lanes:

Immunoprecipitation - VeriBlot for IP Detection Reagent (HRP) (ab131366) at 1/5000 dilution

false

Exposure time: 145s

Immunoprecipitation - VeriBlot for IP Detection Reagent (HRP) (AB131366)
  • IP

Supplier Data

Immunoprecipitation - VeriBlot for IP Detection Reagent (HRP) (AB131366)

RIP was immunoprecipitated from 0.35 mg HeLa (human cervix adenocarcinoma epithelial cell) whole cell lysate with ab300617 at 1/30 dilution (2µg in 0.35mg lysates). Western blot was performed on the immunoprecipitate using ab300617 at 1/1000 dilution. VeriBlot for IP secondary antibody (HRP)(ab131366) was used at 1/5000 dilution.

Blocking and dilution buffer and concentration : 5% NFDM/TBST.

All lanes:

Immunoprecipitation - Anti-RIP antibody [EPR24883-85] (<a href='/en-us/products/primary-antibodies/rip-antibody-epr24883-85-ab300617'>ab300617</a>) at 1/30 dilution

Lane 1:

HeLa (human cervix adenocarcinoma epithelial cell) whole cell lysate at 10 µg

Lane 2:

<a href='/en-us/products/primary-antibodies/rip-antibody-epr24883-85-ab300617'>ab300617</a> IP in HeLa whole cell lysate

Lane 3:

Rabbit monoclonal IgG (<a href='/en-us/products/primary-antibodies/rabbit-igg-monoclonal-epr25a-isotype-control-ab172730'>ab172730</a>) instead of <a href='/en-us/products/primary-antibodies/rip-antibody-epr24883-85-ab300617'>ab300617</a> in HeLa whole cell lysate

Secondary

All lanes:

Immunoprecipitation - VeriBlot for IP Detection Reagent (HRP) (ab131366) at 1/5000 dilution

Predicted band size: 75 kDa

Observed band size: 75 kDa

false

Exposure time: 41s

Immunoprecipitation - VeriBlot for IP Detection Reagent (HRP) (AB131366)
  • IP

Supplier Data

Immunoprecipitation - VeriBlot for IP Detection Reagent (HRP) (AB131366)

CTRP6 was immunoprecipitated from 0.35 mg human placenta tissue lysate with ab300583 at 1/30 dilution (2 µg in 0.35mg lysates). Western blot was performed on the immunoprecipitate using ab300583 at 1/1000 dilution. VeriBlot for IP secondary antibody (HRP)(ab131366) was used at 1/5000 dilution.

All lanes:

Immunoprecipitation - Anti-CTRP6 antibody [EPR25750-35] (<a href='/en-us/products/primary-antibodies/ctrp6-antibody-epr25750-35-ab300583'>ab300583</a>) at 1/30 dilution

Lane 1:

Human placenta tissue lysate (Inset) at 10 µg

Lane 2:

<a href='/en-us/products/primary-antibodies/ctrp6-antibody-epr25750-35-ab300583'>ab300583</a> IP in Human placenta tissue lysate

Lane 3:

Rabbit monoclonal IgG (<a href='/en-us/products/primary-antibodies/rabbit-igg-monoclonal-epr25a-isotype-control-ab172730'>ab172730</a>) instead of <a href='/en-us/products/primary-antibodies/ctrp6-antibody-epr25750-35-ab300583'>ab300583</a> in human placenta tissue lysate

Secondary

All lanes:

Immunoprecipitation - VeriBlot for IP Detection Reagent (HRP) (ab131366) at 1/5000 dilution

Predicted band size: 29 kDa

Observed band size: 30 kDa

false

Exposure time: 3min

Immunoprecipitation - VeriBlot for IP Detection Reagent (HRP) (AB131366)
  • IP

Lab

Immunoprecipitation - VeriBlot for IP Detection Reagent (HRP) (AB131366)

SMC1A was immunoprecipitated from 0.35 mg MCF7 (human breast adenocarcinoma epithelial cell) whole cell lysate with ab325922 at 1/30 dilution (2µg in 0.35mg lysates). Western blot was performed on the immunoprecipitate using ab325922 at 1/1000 dilution. VeriBlot for IP secondary antibody(HRP)(ab131366) was used at 1/5000 dilution.

Lane 1 : MCF7 (human breast adenocarcinoma epithelial cell) whole cell lysate
Lane 2 : ab325922 IP in MCF7 (human breast adenocarcinoma epithelial cell) whole cell lysate
Lane 3 : Rabbit monoclonal IgG (ab172730) instead of ab325922 in MCF7 whole cell lysate

Blocking and dilution buffer and concentration : 5% NFDM/TBST.

Exposure time : 15 seconds.

All lanes:

Immunoprecipitation - Anti-SMC1A antibody [EPR30532-7] (<a href='/en-us/products/primary-antibodies/smc1a-antibody-epr30532-7-ab325922'>ab325922</a>) at 1/1000 dilution

Lane 1:

MCF7 (human breast adenocarcinoma epithelial cell) whole cell lysate at 10 µg

Lane 2:

<a href='/en-us/products/primary-antibodies/smc1a-antibody-epr30532-7-ab325922'>ab325922</a> at 1/30 IP in MCF7 (human breast adenocarcinoma epithelial cell) whole cell lysate

Lane 3:

Rabbit monoclonal IgG (<a href='/en-us/products/primary-antibodies/rabbit-igg-monoclonal-epr25a-isotype-control-ab172730'>ab172730</a>) instead of <a href='/en-us/products/primary-antibodies/smc1a-antibody-epr30532-7-ab325922'>ab325922</a> in MCF7 whole cell lysate

Secondary

All lanes:

Immunoprecipitation - VeriBlot for IP Detection Reagent (HRP) (ab131366) at 1/5000 dilution

Observed band size: 160 kDa

false

Exposure time: 15s

Immunoprecipitation - VeriBlot for IP Detection Reagent (HRP) (AB131366)
  • IP

Lab

Immunoprecipitation - VeriBlot for IP Detection Reagent (HRP) (AB131366)

KDM4A / JHDM3A / JMJD2A was immunoprecipitated from 0.35 mg HeLa (human cervical adenocarcinoma epithelial cell) whole cell lysate with ab326104 at 1/30 dilution (2µg in 0.35mg lysates). Western blot was performed on the immunoprecipitate using ab326104 at 1/1000 dilution. VeriBlot for IP secondary antibody(HRP)(ab131366) was used at 1/5000 dilution.

Lane 1 : HeLa (human cervical adenocarcinoma epithelial cell) whole cell lysate
Lane 2 : ab326104 IP in HeLa (human cervical adenocarcinoma epithelial cell) whole cell lysate
Lane 3 : Rabbit monoclonal IgG (ab172730) instead of ab326104 in HeLa whole cell lysate

Blocking and dilution buffer and concentration : 5% NFDM/TBST.

Exposure time : 180 seconds.

To minimize protein degradation, cells (lanes 5-8) were lysed immediately after harvest and then applied to a gel and transfer membrane for Western blotting as soon as possible.

All lanes:

Immunoprecipitation - Anti-KDM4A / JHDM3A / JMJD2A antibody [EPR29602-146] (<a href='/en-us/products/primary-antibodies/kdm4a-jhdm3a-jmjd2a-antibody-epr29602-146-ab326104'>ab326104</a>) at 1/1000 dilution

Lane 1:

HeLa (human cervical adenocarcinoma epithelial cell) whole cell lysate at 10 µg

Lane 2:

<a href='/en-us/products/primary-antibodies/kdm4a-jhdm3a-jmjd2a-antibody-epr29602-146-ab326104'>ab326104</a> at 1/30 IP in HeLa (human cervical adenocarcinoma epithelial cell) whole cell lysate

Lane 3:

Rabbit monoclonal IgG (<a href='/en-us/products/primary-antibodies/rabbit-igg-monoclonal-epr25a-isotype-control-ab172730'>ab172730</a>) instead of <a href='/en-us/products/primary-antibodies/kdm4a-jhdm3a-jmjd2a-antibody-epr29602-146-ab326104'>ab326104</a> in HeLa whole cell lysate

Secondary

All lanes:

Immunoprecipitation - VeriBlot for IP Detection Reagent (HRP) (ab131366) at 1/5000 dilution

Observed band size: 150 kDa

false

Exposure time: 180s

Immunoprecipitation - VeriBlot for IP Detection Reagent (HRP) (AB131366)
  • IP

Lab

Immunoprecipitation - VeriBlot for IP Detection Reagent (HRP) (AB131366)

AGO2(phospho S387) was immunoprecipitated from 0.35 mg HEK293T cells were co-transfected with human AGO2 (His-tagged) and human AKT3 (EGFP-tagged) expression vectors, an upstream kinase used to enhance AGO2 phosphorylation at S387, whole cell lysate with ab326569 at 1/30 dilution (2µg in 0.35mg lysates). Western blot was performed on the immunoprecipitate using ab326569 at 1/1000 dilution. VeriBlot for IP secondary antibody(HRP)(ab131366) was used at 1/5000 dilution.

Lane 1 : HEK293T cells were co-transfected with human AGO2 (His-tagged) and human AKT3 (EGFP-tagged) expression vectors, an upstream kinase used to enhance AGO2 phosphorylation at S387, whole cell lysate
Lane 2 : ab326569 IP in HEK293T cells were co-transfected with human AGO2 (His-tagged) and human AKT3 (EGFP-tagged) expression vectors, an upstream kinase used to enhance AGO2 phosphorylation at S387, whole cell lysate
Lane 3 : Rabbit monoclonal IgG (ab172730) instead of ab326569 in HEK293T cells were co-transfected with human AGO2 (His-tagged) and human AKT3 (EGFP-tagged) expression vectors, an upstream kinase used to enhance AGO2 phosphorylation at S387, whole cell lysate

Blocking and dilution buffer and concentration : 5% NFDM/TBST.

Exposure time : 180 seconds.

All lanes:

Immunoprecipitation - Anti-AGO2(phospho S387) antibody [EPR29226-168] (ab326569) at 1/1000 dilution

Lane 1:

HEK293T cells were co-transfected with human AGO2 (His-tagged) and human AKT3 (EGFP-tagged) expression vectors, an upstream kinase used to enhance AGO2 phosphorylation at S387, whole cell lysate at 10 µg

Lane 2:

ab326569 at 1/30 IP in HEK293T cells were co-transfected with human AGO2 (His-tagged) and human AKT3 (EGFP-tagged) expression vectors, an upstream kinase used to enhance AGO2 phosphorylation at S387, whole cell lysate

Lane 3:

Rabbit monoclonal IgG (<a href='/en-us/products/primary-antibodies/rabbit-igg-monoclonal-epr25a-isotype-control-ab172730'>ab172730</a>) instead of ab326569 in HEK293T cells were co-transfected with human AGO2 (His-tagged) and human AKT3 (EGFP-tagged) expression vectors, an upstream kinase used to enhance AGO2 phosphorylation at S387, whole cell lysate

Secondary

All lanes:

Immunoprecipitation - VeriBlot for IP Detection Reagent (HRP) (ab131366) at 1/5000 dilution

Observed band size: 97 kDa

false

Exposure time: 180s

Immunoprecipitation - VeriBlot for IP Detection Reagent (HRP) (AB131366)
  • IP

Lab

Immunoprecipitation - VeriBlot for IP Detection Reagent (HRP) (AB131366)

BICD2 was immunoprecipitated from 0.35 mg HeLa (human cervical adenocarcinoma epithelial cell) whole cell lysate with ab325398 at 1/30 dilution (2µg in 0.35mg lysates). Western blot was performed on the immunoprecipitate using ab325398 at 1/325398 1000 dilution. VeriBlot for IP secondary antibody(HRP)(ab131366) was used at 1/5000 dilution.

Lane 1 : HeLa (human cervical adenocarcinoma epithelial cell) whole cell lysate
Lane 2 : ab325398 IP in HeLa (human cervical adenocarcinoma epithelial cell) whole cell lysate
Lane 3 : Rabbit monoclonal IgG (ab172730) instead of ab325398 in HeLa whole cell lysate

Blocking and dilution buffer and concentration : 5% NFDM/TBST.

Exposure time : 50 seconds.

All lanes:

Immunoprecipitation - Anti-BICD2 antibody [EPR30244-565] (<a href='/en-us/products/primary-antibodies/bicd2-antibody-epr30244-565-ab325398'>ab325398</a>) at 1/1000 dilution

Lane 1:

HeLa (human cervical adenocarcinoma epithelial cell) whole cell lysate at 10 µg

Lane 2:

<a href='/en-us/products/primary-antibodies/bicd2-antibody-epr30244-565-ab325398'>ab325398</a> at 1/30 IP in HeLa (human cervical adenocarcinoma epithelial cell) whole cell lysate

Lane 3:

Rabbit monoclonal IgG (<a href='/en-us/products/primary-antibodies/rabbit-igg-monoclonal-epr25a-isotype-control-ab172730'>ab172730</a>) instead of <a href='/en-us/products/primary-antibodies/bicd2-antibody-epr30244-565-ab325398'>ab325398</a> in HeLa whole cell lysate

Secondary

All lanes:

Immunoprecipitation - VeriBlot for IP Detection Reagent (HRP) (ab131366) at 1/5000 dilution

Observed band size: 100 kDa

false

Exposure time: 50s

Immunoprecipitation - VeriBlot for IP Detection Reagent (HRP) (AB131366)
  • IP

Lab

Immunoprecipitation - VeriBlot for IP Detection Reagent (HRP) (AB131366)

NOX5 was immunoprecipitated from 0.35 mg PC-3 (human prostate adenocarcinoma epithelial cell) whole cell lysate with ab325647 at 1/30 dilution (2µg in 0.35mg lysates). Western blot was performed on the immunoprecipitate using ab325647 at 1/325647 1000 dilution. VeriBlot for IP secondary antibody(HRP)(ab131366) was used at 1/5000 dilution.

Lane 1 : PC-3 (human prostate adenocarcinoma epithelial cell) whole cell lysate
Lane 2 : ab325647 IP in PC-3 (human prostate adenocarcinoma epithelial cell) whole cell lysate
Lane 3 : Rabbit monoclonal IgG (ab172730) instead of ab325647 in PC-3 whole cell lysate

Blocking and dilution buffer and concentration : 5% NFDM/TBST.

Exposure time : 15 seconds.

All lanes:

Immunoprecipitation - Anti-NOX5 antibody [EPR29814-35] (<a href='/en-us/products/primary-antibodies/nox5-antibody-epr29814-35-ab325647'>ab325647</a>) at 1/1000 dilution

Lane 1:

PC-3 (human prostate adenocarcinoma epithelial cell) whole cell lysate at 10 µg

Lane 2:

<a href='/en-us/products/primary-antibodies/nox5-antibody-epr29814-35-ab325647'>ab325647</a> at 1/30 IP in PC-3 (human prostate adenocarcinoma epithelial cell) whole cell lysate

Lane 3:

Rabbit monoclonal IgG (<a href='/en-us/products/primary-antibodies/rabbit-igg-monoclonal-epr25a-isotype-control-ab172730'>ab172730</a>) instead of <a href='/en-us/products/primary-antibodies/nox5-antibody-epr29814-35-ab325647'>ab325647</a> in PC-3 whole cell lysate

Secondary

All lanes:

Immunoprecipitation - VeriBlot for IP Detection Reagent (HRP) (ab131366) at 1/5000 dilution

Observed band size: 75 kDa

false

Exposure time: 15s

Immunoprecipitation - VeriBlot for IP Detection Reagent (HRP) (AB131366)
  • IP

Lab

Immunoprecipitation - VeriBlot for IP Detection Reagent (HRP) (AB131366)

KMT6 / EZH2 was immunoprecipitated from 0.35mg lysate HEK-293 (human embryonic kidney epithelial cell) whole cell lysate with ab227648 at 1/30 dilution (2μg in 0.35mg lysates). Western blot was performed on the immunoprecipitate using ab227648 at 1/1000 dilution. Capture antibody, 1 : 30 dilution (2μg in 0.35mg lysates) VeriBlot for IP secondary antibody (HRP) (ab131366) was used at 1/5000 dilution.

To minimize protein degradation, cells were lysed immediately after harvest and then applied for Immunoprecipitation as soon as possible.

Rabbit monoclonal IgG (ab172730) Isotype Control was used instead of ab185971 in HEK-293 whole cell lysate (Lane 3).

Blocking and dilution buffer and concentration : 5% NFDM/TBST.

To minimize protein degradation, cells were lysed immediately after harvest and then applied for Immunoprecipitation as soon as possible.

All lanes:

Immunoprecipitation - Anti-KMT6 / EZH2 antibody [SP129] (<a href='/en-us/products/primary-antibodies/kmt6-ezh2-antibody-sp129-ab227648'>ab227648</a>) at 1/30 dilution

Lane 1:

HEK-293 (human embryonic kidney epithelial cell) whole cell lysate 10 μg

Lane 2:

HEK-293 (human embryonic kidney epithelial cell) whole cell lysate

Secondary

All lanes:

Immunoprecipitation - VeriBlot for IP Detection Reagent (HRP) (ab131366) at 1/5000 dilution

Observed band size: 85 kDa

false

Exposure time: 32s

Immunoprecipitation - VeriBlot for IP Detection Reagent (HRP) (AB131366)
  • IP

Lab

Immunoprecipitation - VeriBlot for IP Detection Reagent (HRP) (AB131366)

c-Myb was immunoprecipitated from 0.35 mg MOLT-4 (human lymphoblastic leukemia T lymphoblast) fresh whole cell lysate with ab324970 at 1/30 dilution (2μg in 0.35mg lysates). Western blot was performed on the immunoprecipitate using ab324970 at 1/324970 1000 dilution. VeriBlot for IP secondary antibody(HRP)(ab131366) was used at 1/5000 dilution.

Lane 1 : MOLT-4 (human lymphoblastic leukemia T lymphoblast) fresh whole cell lysate
Lane 2 : ab324970 IP in MOLT-4 (human lymphoblastic leukemia T lymphoblast) fresh whole cell lysate
Lane 3 : Rabbit monoclonal IgG (ab172730) instead of ab324970 in MOLT-4 whole cell lysate

Blocking and dilution buffer and concentration : 5% NFDM/TBST.

Exposure time : 180 seconds.

All lanes:

Immunoprecipitation - Anti-c-Myb antibody [EPR27202-86] (<a href='/en-us/products/primary-antibodies/c-myb-antibody-epr27202-86-ab324970'>ab324970</a>) at 1/1000 dilution

Lane 1:

MOLT-4 (human lymphoblastic leukemia T lymphoblast) fresh whole cell lysate at 10 µg

Lane 2:

MOLT-4 (human lymphoblastic leukemia T lymphoblast) fresh whole cell lysate

Lane 3:

Rabbit monoclonal IgG (<a href='/en-us/products/primary-antibodies/rabbit-igg-monoclonal-epr25a-isotype-control-ab172730'>ab172730</a>) instead of <a href='/en-us/products/primary-antibodies/c-myb-antibody-epr27202-86-ab324970'>ab324970</a> in MOLT-4 whole cell lysate

Secondary

All lanes:

Immunoprecipitation - VeriBlot for IP Detection Reagent (HRP) (ab131366) at 1/5000 dilution

Observed band size: 75 kDa

false

Exposure time: 180s

Immunoprecipitation - VeriBlot for IP Detection Reagent (HRP) (AB131366)
  • IP

Lab

Immunoprecipitation - VeriBlot for IP Detection Reagent (HRP) (AB131366)

Zfp281/ZNF281 was immunoprecipitated from 0.35 mg U-2 OS (human bone osteosarcoma epithelial cell) whole cell lysate with ab325790 at 1/30 dilution (2µg in 0.35mg lysates). Western blot was performed on the immunoprecipitate using ab325790 at 1/1000 dilution. VeriBlot for IP secondary antibody(HRP)(ab131366) was used at 1/5000 dilution.

Lane 1 : U-2 OS (human bone osteosarcoma epithelial cell) whole cell lysate
Lane 2 : ab325790 IP in U-2 OS (human bone osteosarcoma epithelial cell) whole cell lysate
Lane 3 : Rabbit monoclonal IgG (ab172730) instead of ab325790 in U-2 OS whole cell lysate

Blocking and dilution buffer and concentration : 5% NFDM/TBST.

Exposure time : 41 seconds.

To minimize protein degradation, lysates were made fresh.

All lanes:

Immunoprecipitation - Anti-Zfp281/ZNF281 antibody [EPR30593-518] (<a href='/en-us/products/primary-antibodies/zfp281-znf281-antibody-epr30593-518-ab325790'>ab325790</a>) at 1/1000 dilution

Lane 1:

U-2 OS (human bone osteosarcoma epithelial cell) whole cell lysate at 10 µg

Lane 2:

<a href='/en-us/products/primary-antibodies/zfp281-znf281-antibody-epr30593-518-ab325790'>ab325790</a> at 1/30 IP in U-2 OS (human bone osteosarcoma epithelial cell) whole cell lysate

Lane 3:

Rabbit monoclonal IgG (<a href='/en-us/products/primary-antibodies/rabbit-igg-monoclonal-epr25a-isotype-control-ab172730'>ab172730</a>) instead of <a href='/en-us/products/primary-antibodies/zfp281-znf281-antibody-epr30593-518-ab325790'>ab325790</a> in U-2 OS whole cell lysate

Secondary

All lanes:

Immunoprecipitation - VeriBlot for IP Detection Reagent (HRP) (ab131366) at 1/5000 dilution

Observed band size: 100 kDa

false

Exposure time: 41s

Immunoprecipitation - VeriBlot for IP Detection Reagent (HRP) (AB131366)
  • IP

Lab

Immunoprecipitation - VeriBlot for IP Detection Reagent (HRP) (AB131366)

CD5 was immunoprecipitated from 0.35 mg MOLT-4 (human lymphoblastic leukemia T lymphoblast) whole cell lysate with ab325643 at 1/30 dilution (2µg in 0.35mg lysates). Western blot was performed on the immunoprecipitate using ab325643 at 1/1000 dilution. VeriBlot for IP secondary antibody(HRP)(ab131366) was used at 1/5000 dilution.

Lane 1 : MOLT-4 (human lymphoblastic leukemia T lymphoblast) whole cell lysate
Lane 2 : ab325643 IP in MOLT-4 (human lymphoblastic leukemia T lymphoblast) whole cell lysate
Lane 3 : Rabbit monoclonal IgG (ab172730) instead of ab325643 in MOLT-4 whole cell lysate

Blocking and dilution buffer and concentration : 5% NFDM/TBST.

Exposure time : 76 seconds.

All lanes:

Immunoprecipitation - Anti-CD5 antibody [RM1352] (ab325643) at 1/1000 dilution

Lane 1:

MOLT-4 (human lymphoblastic leukemia T lymphoblast) whole cell lysate at 10 µg

Lane 2:

ab325643 at 1/30 IP in MOLT-4 (human lymphoblastic leukemia T lymphoblast) whole cell lysate

Lane 3:

Rabbit monoclonal IgG (<a href='/en-us/products/primary-antibodies/rabbit-igg-monoclonal-epr25a-isotype-control-ab172730'>ab172730</a>) instead of ab325643 in MOLT-4 whole cell lysate

Secondary

All lanes:

Immunoprecipitation - VeriBlot for IP Detection Reagent (HRP) (ab131366) at 1/5000 dilution

Observed band size: 67 kDa

false

Exposure time: 76s

Immunoprecipitation - VeriBlot for IP Detection Reagent (HRP) (AB131366)
  • IP

Lab

Immunoprecipitation - VeriBlot for IP Detection Reagent (HRP) (AB131366)

POLR3A was immunoprecipitated from 0.35 mg HeLa (human cervical adenocarcinoma epithelial cell) whole cell lysate with ab325791 at 1/30 dilution (2µg in 0.35mg lysates). Western blot was performed on the immunoprecipitate using ab325791 at 1/1000 dilution. VeriBlot for IP secondary antibody(HRP)(ab131366) was used at 1/5000 dilution.

Lane 1 : HeLa (human cervical adenocarcinoma epithelial cell) whole cell lysate
Lane 2 : ab325791 IP in HeLa (human cervical adenocarcinoma epithelial cell) whole cell lysate
Lane 3 : Rabbit monoclonal IgG (ab172730) instead of ab325791 in HeLa whole cell lysate

Blocking and dilution buffer and concentration : 5% NFDM/TBST.

Exposure time : 180 seconds.

All lanes:

Immunoprecipitation - Anti-POLR3A antibody [EPR30480-88] (<a href='/en-us/products/primary-antibodies/polr3a-antibody-epr30480-88-ab325791'>ab325791</a>) at 1/1000 dilution

Lane 1:

HeLa (human cervical adenocarcinoma epithelial cell) whole cell lysate at 25 µg

Lane 2:

<a href='/en-us/products/primary-antibodies/polr3a-antibody-epr30480-88-ab325791'>ab325791</a> at 1/30 IP in HeLa (human cervical adenocarcinoma epithelial cell) whole cell lysate

Lane 3:

Rabbit monoclonal IgG (<a href='/en-us/products/primary-antibodies/rabbit-igg-monoclonal-epr25a-isotype-control-ab172730'>ab172730</a>) instead of <a href='/en-us/products/primary-antibodies/polr3a-antibody-epr30480-88-ab325791'>ab325791</a> in HeLa whole cell lysate

Secondary

All lanes:

Immunoprecipitation - VeriBlot for IP Detection Reagent (HRP) (ab131366) at 1/5000 dilution

Observed band size: 155 kDa

false

Exposure time: 180s

Immunoprecipitation - VeriBlot for IP Detection Reagent (HRP) (AB131366)
  • IP

Lab

Immunoprecipitation - VeriBlot for IP Detection Reagent (HRP) (AB131366)

IL-12RB1 was immunoprecipitated from 0.35 mg HDLM-2 (human Hodgkin lymphoma cell) whole cell lysate with ab325502 at 1/30 dilution (2µg in 0.35mg lysates). Western blot was performed on the immunoprecipitate using ab325502 at 1/1000 dilution. VeriBlot for IP secondary antibody(HRP)(ab131366) was used at 1/5000 dilution.

Lane 1 : HDLM-2 (human Hodgkin lymphoma cell) whole cell lysate
Lane 2 : ab325502 IP in HDLM-2 (human Hodgkin lymphoma cell) whole cell lysate
Lane 3 : Rabbit monoclonal IgG (ab172730) instead of ab325502 in HDLM-2 whole cell lysate

Blocking and dilution buffer and concentration : 5% NFDM/TBST.

Exposure time : 180 seconds.

All lanes:

Immunoprecipitation - Anti-IL-12RB1 antibody [EPR28354-118] (<a href='/en-us/products/primary-antibodies/il-12rb1-antibody-epr28354-118-ab325502'>ab325502</a>)

Lane 1:

HDLM-2 (human Hodgkin lymphoma cell) whole cell lysate at 10 µg

Lane 2:

<a href='/en-us/products/primary-antibodies/il-12rb1-antibody-epr28354-118-ab325502'>ab325502</a> at 1/30 IP in HDLM-2 (human Hodgkin lymphoma cell) whole cell lysate

Lane 3:

Rabbit monoclonal IgG (<a href='/en-us/products/primary-antibodies/rabbit-igg-monoclonal-epr25a-isotype-control-ab172730'>ab172730</a>) instead of <a href='/en-us/products/primary-antibodies/il-12rb1-antibody-epr28354-118-ab325502'>ab325502</a> in HDLM-2 whole cell lysate

Secondary

All lanes:

Immunoprecipitation - VeriBlot for IP Detection Reagent (HRP) (ab131366) at 1/5000 dilution

Observed band size: 100 kDa

false

Exposure time: 180s

Immunoprecipitation - VeriBlot for IP Detection Reagent (HRP) (AB131366)
  • IP

Lab

Immunoprecipitation - VeriBlot for IP Detection Reagent (HRP) (AB131366)

SHARP2/DEC1 was immunoprecipitated from 0.35 mg HeLa (human cervical adenocarcinoma epithelial cell) whole cell lysate with ab325919 at 1/30 dilution (2μg in 0.35mg lysates). Western blot was performed on the immunoprecipitate using ab325919 at 1/325919 1000 dilution. VeriBlot for IP secondary antibody(HRP)(ab131366) was used at 1/5000 dilution.

Lane 1 : HeLa (human cervical adenocarcinoma epithelial cell) whole cell lysate
Lane 2 : ab325919 IP in HeLa (human cervical adenocarcinoma epithelial cell) whole cell lysate
Lane 3 : Rabbit monoclonal IgG (ab172730) instead of ab325919 in HeLa whole cell lysate

Blocking and dilution buffer and concentration : 5% NFDM/TBST.

Exposure time : 180 seconds.

To minimize protein degradation, cells were lysed immediately after harvest and then applied for Immunoprecipitation as soon as possible.

All lanes:

Immunoprecipitation - Anti-SHARP2/DEC1 antibody [EPR29211-84] (<a href='/en-us/products/primary-antibodies/sharp2-dec1-antibody-epr29211-84-ab325919'>ab325919</a>) at 1/1000 dilution

Lane 1:

HeLa (human cervical adenocarcinoma epithelial cell) whole cell lysate at 10 µg

Lane 2:

<a href='/en-us/products/primary-antibodies/sharp2-dec1-antibody-epr29211-84-ab325919'>ab325919</a> at 1/30 IP in HeLa (human cervical adenocarcinoma epithelial cell) whole cell lysate

Lane 3:

Rabbit monoclonal IgG (<a href='/en-us/products/primary-antibodies/rabbit-igg-monoclonal-epr25a-isotype-control-ab172730'>ab172730</a>) instead of <a href='/en-us/products/primary-antibodies/sharp2-dec1-antibody-epr29211-84-ab325919'>ab325919</a> in HeLa whole cell lysate

Secondary

All lanes:

Immunoprecipitation - VeriBlot for IP Detection Reagent (HRP) (ab131366) at 1/5000 dilution

Observed band size: 49 kDa

false

Exposure time: 180s

Immunoprecipitation - VeriBlot for IP Detection Reagent (HRP) (AB131366)
  • IP

Lab

Immunoprecipitation - VeriBlot for IP Detection Reagent (HRP) (AB131366)

RYBP was immunoprecipitated from HEK-293 (human embryonic kidney epithelial cell) whole cell lysate 10 μg with ab185971 1/1000 dilution. Western blot was performed on the immunoprecipitate using ab185971 at 1/1000 dilution. Capture antibody, 1 : 30 dilution (2μg in 0.35mg lysates).

Rabbit monoclonal IgG (ab172730) Isotype Control was used instead of ab185971 in HEK-293 whole cell lysate (Lane 3).

Blocking and dilution buffer and concentration : 5% NFDM/TBST.

To minimize protein degradation, cells were lysed immediately after harvest and then applied for Immunoprecipitation as soon as possible.

All lanes:

Immunoprecipitation - Anti-RYBP antibody [EPR13059(2)] - ChIP Grade (<a href='/en-us/products/primary-antibodies/rybp-antibody-epr130592-chip-grade-ab185971'>ab185971</a>) at 1/1000 dilution

Lane 1:

HEK-293 (human embryonic kidney epithelial cell) whole cell lysate (Low Expression Sample) 10 μg

Lane 2:

HEK-293 (human embryonic kidney epithelial cell) whole cell lysate

Secondary

All lanes:

Immunoprecipitation - VeriBlot for IP Detection Reagent (HRP) (ab131366) at 1/5000 dilution

Observed band size: 32 kDa

false

Exposure time: 15s

Immunoprecipitation - VeriBlot for IP Detection Reagent (HRP) (AB131366)
  • IP

Lab

Immunoprecipitation - VeriBlot for IP Detection Reagent (HRP) (AB131366)

PNPLA3 was immunoprecipitated from 0.35 mg HepG2 (human hepatocellular carcinoma epithelial cell) whole cell lysate with ab326041 at 1/30 dilution (2µg in 0.35mg lysates). Western blot was performed on the immunoprecipitate using ab326041 at 1/1000 dilution. VeriBlot for IP secondary antibody(HRP)(ab131366) was used at 1/5000 dilution.

Lane 1 : HepG2 (human hepatocellular carcinoma epithelial cell) whole cell lysate
Lane 2 : ab326041 IP in HepG2 (human hepatocellular carcinoma epithelial cell) whole cell lysate
Lane 3 : Rabbit monoclonal IgG (ab172730) instead of ab326041 in HepG2 whole cell lysate

Blocking and dilution buffer and concentration : 5% NFDM/TBST.

Exposure time : 10 seconds.

All lanes:

Immunoprecipitation - Anti-PNPLA3 antibody [EPR29816-94] (<a href='/en-us/products/primary-antibodies/pnpla3-antibody-epr29816-94-ab326041'>ab326041</a>) at 1/1000 dilution

Lane 1:

HepG2 (human hepatocellular carcinoma epithelial cell) whole cell lysate at 10 µg

Lane 2:

<a href='/en-us/products/primary-antibodies/pnpla3-antibody-epr29816-94-ab326041'>ab326041</a> at 1/30 IP in HepG2 (human hepatocellular carcinoma epithelial cell) whole cell lysate

Lane 3:

Rabbit monoclonal IgG (<a href='/en-us/products/primary-antibodies/rabbit-igg-monoclonal-epr25a-isotype-control-ab172730'>ab172730</a>) instead of <a href='/en-us/products/primary-antibodies/pnpla3-antibody-epr29816-94-ab326041'>ab326041</a> in HepG2 whole cell lysate

Secondary

All lanes:

Immunoprecipitation - VeriBlot for IP Detection Reagent (HRP) (ab131366) at 1/5000 dilution

Observed band size: 70 kDa

false

Exposure time: 10s

Immunoprecipitation - VeriBlot for IP Detection Reagent (HRP) (AB131366)
  • IP

Supplier Data

Immunoprecipitation - VeriBlot for IP Detection Reagent (HRP) (AB131366)

Histone H3(acetyl K4+K9+K14+K18+K23+K27) was immunoprecipitated from 0.35 mg HeLa (human cervical adenocarcinoma epithelial cell) treated with 500ng/ml TSA for 4h whole cell lysate 10 µg with ab300641 at 1/30 dilution (2µg in 0.35mg lysates). Western blot was performed on the immunoprecipitate using ab300641 at 1/1000 dilution. VeriBlot for IP secondary antibody (HRP) (ab131366) was used at 1/5000 dilution.

Blocking and dilution buffer and concentration : 5% NFDM/TBST.

All lanes:

Immunoprecipitation - Anti-Histone H3 (acetyl K4+K9+K14+K18+K23+K27) antibody [RM1045] (<a href='/en-us/products/primary-antibodies/histone-h3-acetyl-k4k9k14k18k23k27-antibody-rm1045-ab300641'>ab300641</a>) at 1/30 dilution

Lane 1:

HeLa (human cervical adenocarcinoma epithelial cell) (Input) treated with 500ng/ml TSA for 4h whole cell lysate at 10 µg

Lane 2:

<a href='/en-us/products/primary-antibodies/histone-h3-acetyl-k4k9k14k18k23k27-antibody-rm1045-ab300641'>ab300641</a> IP in HeLa treated with 500ng/ml TSA for 4h whole cell lysate

Lane 3:

Rabbit monoclonal IgG (<a href='/en-us/products/primary-antibodies/rabbit-igg-monoclonal-epr25a-isotype-control-ab172730'>ab172730</a>) instead of <a href='/en-us/products/primary-antibodies/histone-h3-acetyl-k4k9k14k18k23k27-antibody-rm1045-ab300641'>ab300641</a> in HeLa treated with 500ng/ml TSA for 4h whole cell lysate

Secondary

All lanes:

Immunoprecipitation - VeriBlot for IP Detection Reagent (HRP) (ab131366) at 1/5000 dilution

Predicted band size: 15 kDa

Observed band size: 15 kDa

false

Exposure time: 100s

Immunoprecipitation - VeriBlot for IP Detection Reagent (HRP) (AB131366)
  • IP

Lab

Immunoprecipitation - VeriBlot for IP Detection Reagent (HRP) (AB131366)

BRG1 was immunoprecipitated from K-562 (human chronic myelogenous leukemia lymphoblast), whole cell lysate with ab108318 at 1/30 dilution (2µg in 0.35mg lysates). Western blot was performed on the immunoprecipitate using ab108318 at 1/1000 dilution. VeriBlot for IP secondary antibody(HRP)(ab131366) was used as secondary antibody at 1/5000 dilution. Lane 1 (Input) : K-562 (human chronic myelogenous leukemia lymphoblast), whole cell lysate, 10 μg Lane 2 (+) : K-562 whole cell lysate Lane 3 (-) : Rabbit monoclonal IgG (ab172730) instead of ab108318 in K-562 whole cell lysate Blocking and diluting buffer and concentration : 5% NFDM/TBST. Observed MW : 185 kDa.

All lanes:

Immunoprecipitation - Anti-BRG1 antibody [EPR3912] (<a href='/en-us/products/primary-antibodies/brg1-antibody-epr3912-ab108318'>ab108318</a>) at 1/1000 dilution

Lane 1:

K-562 (human chronic myelogenous leukemia lymphoblast), whole cell lysate at 10 µg

Lane 2:

K-562 whole cell lysate

Secondary

All lanes:

Immunoprecipitation - VeriBlot for IP Detection Reagent (HRP) (ab131366) at 1/5000 dilution

Predicted band size: 185 kDa

Observed band size: 185 kDa

false

Immunoprecipitation - VeriBlot for IP Detection Reagent (HRP) (AB131366)
  • IP

Lab

Immunoprecipitation - VeriBlot for IP Detection Reagent (HRP) (AB131366)

SAP97 was immunoprecipitated from 0.35 mg SH-SY5Y (human neuroblastoma epithelial cell), whole cell lysate 10 µg with ab300481 at 1/30 dilution (2µg in 0.35mg lysates). Western blot was performed on the immunoprecipitate using ab300481 at 1/1000 dilution. VeriBlot for IP secondary antibody(HRP)(ab131366) was used at 1/5000 dilution.

Blocking and dilution buffer and concentration : 5% NFDM/TBST.

All lanes:

Immunoprecipitation - Anti-SAP97 antibody [EPR26467-123] (<a href='/en-us/products/primary-antibodies/sap97-antibody-epr26467-123-ab300481'>ab300481</a>) at 1/30 dilution

Lane 1:

SH-SY5Y (human neuroblastoma epithelial cell), whole cell lysate (Inset) at 10 µg

Lane 2:

<a href='/en-us/products/primary-antibodies/sap97-antibody-epr26467-123-ab300481'>ab300481</a> IP in SH-SY5Y whole cell lysate

Secondary

All lanes:

Immunoprecipitation - VeriBlot for IP Detection Reagent (HRP) (ab131366) at 1/5000 dilution

Observed band size: 100 kDa

false

Exposure time: 5.5s

Immunoprecipitation - VeriBlot for IP Detection Reagent (HRP) (AB131366)
  • IP

Lab

Immunoprecipitation - VeriBlot for IP Detection Reagent (HRP) (AB131366)

ATP13A2 was immunoprecipitated from 0.35 mg HEK-293 (human embryonic kidney epithelial cell) whole cell lysate with ab322735 at 1/30 dilution (2µg in 0.35mg lysates). Western blot was performed on the immunoprecipitate using ab322735 at 1/1000 dilution. VeriBlot for IP secondary antibody(HRP)(ab131366) was used at 1/5000 dilution.

Lane 1 : HEK-293 (human embryonic kidney epithelial cell) whole cell lysate
Lane 2 : ab322735 at 1/30 IP in HEK-293 (human embryonic kidney epithelial cell) whole cell lysate
Lane 3 : Rabbit monoclonal IgG (ab172730) instead of ab322735 in HEK-293 whole cell lysate

Blocking and dilution buffer and concentration : 5% NFDM/TBST.

Exposure time : 180 seconds.

All lanes:

Immunoprecipitation - Anti-ATP13A2 antibody [MJF-D29756-28] (<a href='/en-us/products/primary-antibodies/atp13a2-antibody-mjf-d29756-28-ab322735'>ab322735</a>) at 1/1000 dilution

Lane 1:

HEK-293 (human embryonic kidney epithelial cell) whole cell lysate at 10 µg

Lane 2:

<a href='/en-us/products/primary-antibodies/atp13a2-antibody-mjf-d29756-28-ab322735'>ab322735</a> at 1/30 IP in HEK-293 (human embryonic kidney epithelial cell) whole cell lysate

Lane 3:

Rabbit monoclonal IgG (<a href='/en-us/products/primary-antibodies/rabbit-igg-monoclonal-epr25a-isotype-control-ab172730'>ab172730</a>) instead of <a href='/en-us/products/primary-antibodies/atp13a2-antibody-mjf-d29756-28-ab322735'>ab322735</a> in HEK-293 whole cell lysate

Secondary

All lanes:

Immunoprecipitation - VeriBlot for IP Detection Reagent (HRP) (ab131366) at 1/5000 dilution

Observed band size: 150 kDa

false

Exposure time: 180s

Immunoprecipitation - VeriBlot for IP Detection Reagent (HRP) (AB131366)
  • IP

Lab

Immunoprecipitation - VeriBlot for IP Detection Reagent (HRP) (AB131366)

Purified ab250467 at 1 : 20 dilution (0.8μg) immunoprecipitating FXYD6/Plp in Human testis lysate.
Blocking Buffer and concentration : 5% NFDM/TBST.
Diluting buffer and concentration : 5% NFDM/TBST.

All lanes:

Immunoprecipitation - Anti-FXYD6/Plp antibody [EPR9004(2)] (<a href='/en-us/products/primary-antibodies/fxyd6-plp-antibody-epr90042-ab181254'>ab181254</a>)

Lane 1:

Human testis lysate at 10 µg

Lane 2:

<a href='/en-us/products/primary-antibodies/fxyd6-plp-antibody-epr90042-bsa-and-azide-free-ab250467'>ab250467</a> + Human testis lysate

Lane 3:

Rabbit monoclonal IgG (<a href='/en-us/products/primary-antibodies/rabbit-igg-monoclonal-epr25a-isotype-control-ab172730'>ab172730</a>) instead of <a href='/en-us/products/primary-antibodies/fxyd6-plp-antibody-epr90042-ab181254'>ab181254</a> in human testis lysate

Secondary

All lanes:

Immunoprecipitation - VeriBlot for IP Detection Reagent (HRP) (ab131366) at 1/1000 dilution

Predicted band size: 11 kDa

false

Immunoprecipitation - VeriBlot for IP Detection Reagent (HRP) (AB131366)
  • IP

Supplier Data

Immunoprecipitation - VeriBlot for IP Detection Reagent (HRP) (AB131366)

Cdc20 was immunoprecipitated from 0.35 mg PC-3 (human prostate adenocarcinoma epithelial cell) whole cell lysate with ab317036 at 1/30 dilution (2ug in 0.35mg lysates). Western blot was performed on the immunoprecipitate using ab317036 at 1/1000 dilution. VeriBlot for IP secondary antibody(HRP)(ab131366) was used at 1/5000 dilution.

Lane 1 : PC-3 (human prostate adenocarcinoma epithelial cell) whole cell lysate
Lane 2 : ab317036 IP in PC-3 (human prostate adenocarcinoma epithelial cell) whole cell lysate
Lane 3 : Rabbit monoclonal IgG (ab172730) instead of ab317036 in PC-3 whole cell lysate

The band at ~37KDa may represent a truncated Cdc20 isoform (PMID : 37100900).

All lanes:

Immunoprecipitation - Anti-Cdc20 antibody [EPR28091-55] (<a href='/en-us/products/primary-antibodies/cdc20-antibody-epr28091-55-ab317036'>ab317036</a>) at 1/30 dilution

All lanes:

PC-3 (human prostate adenocarcinoma epithelial cell) whole cell lysate

Secondary

All lanes:

Immunoprecipitation - VeriBlot for IP Detection Reagent (HRP) (ab131366) at 1/5000 dilution

false

Exposure time: 180s

Key facts

Applications

WB

applications

Conjugation

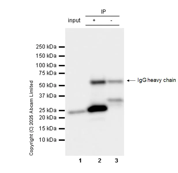
HRP

Excitation/Emission
Form

Liquid

form

Storage buffer

Constituents: 1% MOPS

storage-buffer

Reactivity data

{ "title": "Reactivity Data", "filters": { "stats": ["", "Reactivity", "Dilution Info", "Notes"] }, "values": { "WB": { "reactivity":"TESTED_AND_REACTS", "dilution-info":"1/40 - 1/4000", "notes":"<p>The dilution will depend on the sensitivity of the HRP substrate. The dilution range recommended is 1:40 - 1:4000. Based on a 1:200 dilution (25 μL) in 5 ml milk researchers can perform 20 western blots. This product is recommended for the western blot detection of IP samples.</p><p>Make sure the lysates are reduced and denatured completely.</p>" } } }

Product details

VeriBlot for IP Detection Reagents are immunoblotting reagents that enable the trouble-free detection of immunoblotted target protein bands, without interference from denatured IgG. This allows to detect the (co-)immunoprecipitated protein without masking by the IgG heavy (50 kDa) and light chains (25 kDa). In general, this interference tends to originate from secondary antibodies which recognize primary antibodies released with the antigen during the immunoprecipitation procedure or endogenous IgGs from the lysate itself. VeriBlot for IP detection reagents only recognize native (non-reduced) antibodies and therefore the detection of heavy and light chains is highly minimized, if the immunoprecipitate is fully reduced.

Number of blots:
At least 20
(based on a 1:200 dilution in 5 ml milk).

Important protocol notes (This information is available in Chinese here)
1. The VeriBlot for IP Detection Reagent (HRP) detects the following IgG polyclonal and monoclonal antibodies:

Species Monoclonal Isotype(s)
Bovine IgG2
Goat IgG2
Human IgG1, IgG2, IgG4
Mouse

IgG2a, IgG2b, IgG3

Note: If using mouse IgG1, perform a dot blot to determine compatibility. VeriBlot for IP Detection Reagent (HRP) might not detect mouse IgG1.

Rat IgG2C
Rabbit Total IgG
Sheep IgG2

2. The VeriBlot for IP Detection Reagent (HRP) preferentially detects the non-reduced form over the reduced, SDS-denatured forms.

3. IP sample should be completely reduced/denatured before loaded onto a western blot. Boil samples for 5-10 minutes in SDS sample buffer with a increase in SDS amount if required.

4. Milk should be used as the blocking protein for the immunoblot.

Note: If denatured and blotted IgG are not clearly detected, the following steps may be used to increase the amount of denatured IgG in the sample:

- Increase the concentration of reducing agent

- Boil sample to aid in reduction of IgG disulfide bonds

- Use dentaturing electrophoresis conditions

A full troubleshooting guide is available here.

Properties and storage information

Shipped at conditions
Blue Ice
Appropriate short-term storage conditions
+4°C
Appropriate long-term storage conditions
+4°C

Product protocols

Target data

Publications (81)

Recent publications for all applications. Explore the full list and refine your search

Cell reports 40:111107 PubMed35858564

2022

Alphaherpesvirus US3 protein-mediated inhibition of the m6A mRNA methyltransferase complex.

Applications

Unspecified application

Species

Unspecified reactive species

Robert J J Jansens,Ruth Verhamme,Aashiq H Mirza,Anthony Olarerin-George,Cliff Van Waesberghe,Samie R Jaffrey,Herman W Favoreel

The EMBO journal 40:e106214 PubMed33932034

2021

BNIP3 promotes HIF-1α-driven melanoma growth by curbing intracellular iron homeostasis.

Applications

Unspecified application

Species

Unspecified reactive species

Mónica Vara-Pérez,Matteo Rossi,Chris Van den Haute,Hannelore Maes,Maria Livia Sassano,Vivek Venkataramani,Bernhard Michalke,Erminia Romano,Kristine Rillaerts,Abhishek D Garg,Corentin Schepkens,Francesca M Bosisio,Jasper Wouters,Ana Isabel Oliveira,Peter Vangheluwe,Wim Annaert,Johannes V Swinnen,Jean Marie Colet,Joost J van den Oord,Sarah-Maria Fendt,Massimiliano Mazzone,Patrizia Agostinis

Scientific reports 11:7256 PubMed33790358

2021

A novel proteomics approach to epigenetic profiling of circulating nucleosomes.

Applications

Unspecified application

Species

Unspecified reactive species

Priscilla Van den Ackerveken,Alison Lobbens,Jean-Valery Turatsinze,Victor Solis-Mezarino,Moritz Völker-Albert,Axel Imhof,Marielle Herzog

Viruses 13: PubMed33799525

2021

Discovery of RSV-Induced BRD4 Protein Interactions Using Native Immunoprecipitation and Parallel Accumulation-Serial Fragmentation (PASEF) Mass Spectrometry.

Applications

Unspecified application

Species

Unspecified reactive species

Morgan Mann,David S Roberts,Yanlong Zhu,Yi Li,Jia Zhou,Ying Ge,Allan R Brasier

Frontiers in oncology 11:625169 PubMed33767993

2021

NEDD4 Induces K48-Linked Degradative Ubiquitination of Hepatitis B Virus X Protein and Inhibits HBV-Associated HCC Progression.

Applications

Unspecified application

Species

Unspecified reactive species

Tao Wan,Zhao Lei,Biao Tu,Tianyin Wang,Jiale Wang,Feizhou Huang

Communications biology 4:318 PubMed33750893

2021

Bmp8a is an essential positive regulator of antiviral immunity in zebrafish.

Applications

Unspecified application

Species

Unspecified reactive species

Shenjie Zhong,Haoyi Li,Yun-Sheng Wang,Ying Wang,Guangdong Ji,Hong-Yan Li,Shicui Zhang,Zhenhui Liu

Scientific reports 11:2097 PubMed33483550

2021

Loss of Parkinson's susceptibility gene LRRK2 promotes carcinogen-induced lung tumorigenesis.

Applications

Unspecified application

Species

Unspecified reactive species

Chandra Lebovitz,Nicole Wretham,Maryam Osooly,Katy Milne,Tia Dash,Shelby Thornton,Basile Tessier-Cloutier,Paalini Sathiyaseelan,Svetlana Bortnik,Nancy Erro Go,Elizabeth Halvorsen,Rachel A Cederberg,Norman Chow,Nancy Dos Santos,Kevin L Bennewith,Brad H Nelson,Marcel B Bally,Wan L Lam,Sharon M Gorski

Molecular brain 14:14 PubMed33461576

2021

Schizophrenia-associated dysbindin modulates axonal mitochondrial movement in cooperation with p150.

Applications

Unspecified application

Species

Unspecified reactive species

Bo Kyoung Suh,Seol-Ae Lee,Cana Park,Yeongjun Suh,Soo Jeong Kim,Youngsik Woo,Truong Thi My Nhung,Su Been Lee,Dong Jin Mun,Bon Seong Goo,Hyun Sun Choi,So Jung Kim,Sang Ki Park

The Biochemical journal : PubMed33438746

2021

Temporal modulation of the NF-κB RelA network in response to different types of DNA damage.

Applications

Unspecified application

Species

Unspecified reactive species

Amy E Campbell,Caterina Ferraz Franco,Ling-I Su,Emma K Corbin,Simon Perkins,Anton Kalyuzhnyy,Andrew R Jones,Philip J Brownridge,Neil D Perkins,Claire E Eyers

JCI insight : PubMed33434185

2021

CMTM6 drives cisplatin resistance by regulating Wnt signaling through ENO-1/AKT/GSK3β axis.

Applications

Unspecified application

Species

Unspecified reactive species

Pallavi Mohapatra,Omprakash Shriwas,Sibasish Mohanty,Arup Ghosh,Shuchi Smita,Sandeep Rai Kaushik,Rakesh Arya,Rachna Rath,Saroj Das Majumdar,Dillip Kumar Muduly,Sunil Raghav,Ranjan K Nanda,Rupesh Dash
View all publications

Product promise

We are committed to supporting your work with high-quality reagents, and we're here for you every step of the way. In the unlikely event that one of our products does not perform as expected, you're protected by our Product Promise.
For full details, please see our Terms & Conditions

Please note: All products are 'FOR RESEARCH USE ONLY. NOT FOR USE IN DIAGNOSTIC OR THERAPEUTIC PROCEDURES'.

For licensing inquiries, please contact partnerships@abcam.com