JavaScript is disabled in your browser. Please enable JavaScript to view this website.
AB64256

Biotinylated Goat Anti-Rabbit IgG (H+L) (Ready to use)

5

(1 Review)

|

(103 Publications)

Biotinylated Goat Anti Rabbit IgG (H+L) (ab64256) is used in labeled streptavidin-biotin immunoenzymatic antigen detection in IHC assays.

- Cited in over 100 publications
1 Images
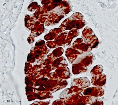
Immunohistochemistry (Formalin/PFA-fixed paraffin-embedded sections) - Biotinylated Goat Anti-Rabbit IgG (H+L) (Ready to use) (AB64256)
  • IHC-P

Unknown

Immunohistochemistry (Formalin/PFA-fixed paraffin-embedded sections) - Biotinylated Goat Anti-Rabbit IgG (H+L) (Ready to use) (AB64256)

ab64256 was used with the primary antibody ab3517 in IHC-P. See Abreview on ab3517.

Key facts

Host species

Goat

Target species

Rabbit

Target isotype

IgG

Target specificity

Heavy & Light chains

Pre-adsorbed

No

Applications

IHC-P

applications

Clonality

Polyclonal

Reactivity data

{ "title": "Reactivity Data", "filters": { "stats": ["", "Reactivity", "Dilution Info", "Notes"] }, "values": { "IHC-P": { "reactivity":"TESTED_AND_REACTS", "dilution-info":"", "notes":"<p></p>" } } }

Product details

The ab64256 reagent is used in a labeled streptavidin biotin immunoenzymatic antigen detection system. This technique involves the sequential incubation of the specimen with an unconjugated primary antibody specific to the target antigen, a biotinylated secondary antibody which reacts with the primary antibody, enzyme labeled streptavidin, and substrate chromogen.

Staining protocol

  • Deparaffinize and rehydrate formalin-fixed paraffin-embedded tissue section.

  • Add appropriate hydrogen peroxide blocking solution to cover the sections. Incubate for 10 minutes. Wash 2 times in buffer.

  • Perform appropriate pretreatment if required. Wash 3 times in buffer.

  • Apply appropriate protein blocking solution and incubate for 5 minutes at room temperature to block non specific background staining. Wash 1 time in buffer.

  • Apply primary antibody and incubate according to manufacturer's protocol.

  • Wash 4 times in buffer. Apply Ready to use Biotinylated Goat anti Rabbit IgG (ab64256) solution and incubate for 10-15 minutes at room temperature. Wash 4 times in buffer.

  • Apply enzyme labelled streptavidin and incubate according to manufacturer's protocol.

  • Rinse 4 times in buffer. Place slide in appropriate chromogenic substrate and incubate until desired reaction is achieved. Rinse 4 times in buffer.

  • Add enough drops of Haematoxylin to cover the section. Incubate for 1 minute.

  • Rinse 7-8 times in tap water. Add Mounting Medium to cover the section.

    Find complete IHC kits, and reagents for antigen retrieval, blocking, signal amplification, visualization, counterstaining, and mounting in the IHC kits and reagents guide.

Properties and storage information

Form
Liquid
Storage buffer
pH: 7.2 - 7.6 Preservative: 0.0985% Sodium azide Constituents: PBS
Shipped at conditions
Blue Ice
Appropriate short-term storage conditions
+4°C
Appropriate long-term storage conditions
+4°C

Product protocols

For this product, it's our understanding that no specific protocols are required. You can visit:

Target data

Publications (103)

Recent publications for all applications. Explore the full list and refine your search

Cells 13: PubMed38247874

2024

Microglia-Derived Insulin-like Growth Factor 1 Is Critical for Neurodevelopment.

Applications

Unspecified application

Species

Unspecified reactive species

Dominika Rusin,Lejla Vahl Becirovic,Gabriela Lyszczarz,Martin Krueger,Anouk Benmamar-Badel,Cecilie Vad Mathiesen,Eydís Sigurðardóttir Schiöth,Kate Lykke Lambertsen,Agnieszka Wlodarczyk

In vivo (Athens, Greece) 37:1562-1575 PubMed37369509

2023

Role of Reduced Bdnf Expression in Novel Apc Mutant Allele-induced Intestinal and Colonic Tumorigenesis in Mice.

Applications

Unspecified application

Species

Unspecified reactive species

Ayşenur Gok,Aynur Işik,Sinem Bakir,Sarp Uzun,Gunes Guner,Ozge Ozcan,Baris Cerci,Ilyas Onbaşilar,Aytekin Akyol

Scientific reports 13:9923 PubMed37337031

2023

HOXA3 accelerates wound healing in diabetic and aged non-diabetic mammals.

Applications

Unspecified application

Species

Unspecified reactive species

K Parella,K Moody,D Wortel,H Colegrove,J A Elser

Frontiers in endocrinology 14:1195618 PubMed37347106

2023

Primary culture and endocrine functional analysis of Leydig cells in ducks ().

Applications

Unspecified application

Species

Unspecified reactive species

Xiaoya Chu,Aiman Javed,Muhammad Faizan Ashraf,Xiuge Gao,Shanxiang Jiang

Marine drugs 21: PubMed36976210

2023

A Paternal Fish Oil Diet Preconception Reduces Lung Inflammation in a Toxicant-Driven Murine Model of New Bronchopulmonary Dysplasia.

Applications

Unspecified application

Species

Unspecified reactive species

Jelonia T Rumph,Victoria R Stephens,Sharareh Ameli,LaKendria K Brown,Kayla J Rayford,Pius N Nde,Kevin G Osteen,Kaylon L Bruner-Tran

Nutrients 15: PubMed36839332

2023

Copper Induces Cognitive Impairment in Mice via Modulation of Cuproptosis and CREB Signaling.

Applications

Unspecified application

Species

Unspecified reactive species

Ying Zhang,Qian Zhou,Lu Lu,Yu Su,Wei Shi,Hu Zhang,Ran Liu,Yuepu Pu,Lihong Yin

Molecular therapy. Nucleic acids 31:421-436 PubMed36845338

2023

Hypoxia-induced downregulation of microRNA-186-5p in endothelial cells promotes non-small cell lung cancer angiogenesis by upregulating protein kinase C alpha.

Applications

Unspecified application

Species

Unspecified reactive species

Vivien Becker,Xu Yuan,Anne S Boewe,Emmanuel Ampofo,Elke Ebert,Johannes Hohneck,Rainer M Bohle,Eckart Meese,Yingjun Zhao,Michael D Menger,Matthias W Laschke,Yuan Gu

Nature communications 14:157 PubMed36653343

2023

Genome-wide screen of otosclerosis in population biobanks: 27 loci and shared associations with skeletal structure.

Applications

Unspecified application

Species

Unspecified reactive species

Joel T Rämö,Tuomo Kiiskinen,Richard Seist,Kristi Krebs,Masahiro Kanai,Juha Karjalainen,Mitja Kurki,Eija Hämäläinen,Paavo Häppölä,Aki S Havulinna,Heidi Hautakangas,Reedik Mägi,Priit Palta,Tõnu Esko,Andres Metspalu,Matti Pirinen,Konrad J Karczewski,Samuli Ripatti,Lili Milani,Konstantina M Stankovic,Antti Mäkitie,Mark J Daly,Aarno Palotie

Biomedicines 11: PubMed36672619

2023

Intrarenal Dopaminergic System Is Dysregulated in SS- Rats.

Applications

Unspecified application

Species

Unspecified reactive species

Usman M Ashraf,Ealla Atari,Fawaz Alasmari,Harshal Waghulde,Vikash Kumar,Youssef Sari,Sonia M Najjar,Pedro A Jose,Sivarajan Kumarasamy

Microscopy research and technique 86:351-358 PubMed36579633

2022

Discrete localization patterns of PIP5Kγ and PLCβ3 working sequentially in phosphoinositide-cycle within mouse sensory neuron somata.

Applications

Unspecified application

Species

Unspecified reactive species

Sawetree Pakkarato,Hiroyuki Sakagami,Masahiko Watanabe,Hisatake Kondo,Wiphawi Hipkaeo,Surang Chomphoo
View all publications

Product promise

We are committed to supporting your work with high-quality reagents, and we're here for you every step of the way. In the unlikely event that one of our products does not perform as expected, you're protected by our Product Promise.
For full details, please see our Terms & Conditions

Associated Products

Select an associated product type
Alternative Product
Secondary Antibodies

AB64255

Biotinylated Goat anti-Mouse IgG (H+L) (Ready to Use)

secondary-antibodies

biotinylated-goat-mouse-igg-hl-ready-to-use-ab64255

0

(0 reviews)

Alternative Product
Secondary Antibodies

AB64257

Biotinylated Goat anti-Mouse & Rabbit IgG (H+L) (Ready To Use)

secondary-antibodies

biotinylated-goat-mouse-rabbit-igg-hl-ready-to-use-ab64257

0

(0 reviews)

Please note: All products are 'FOR RESEARCH USE ONLY. NOT FOR USE IN DIAGNOSTIC OR THERAPEUTIC PROCEDURES'.

For licensing inquiries, please contact partnerships@abcam.com