JavaScript is disabled in your browser. Please enable JavaScript to view this website.
AB6820

Donkey Anti-Mouse IgG H&L (HRP)

Be the first to review this product! Submit a review

|

(41 Publications)

Suitable for Dot, ICC, WB, ELISA, IHC-P, IHC-Fr. Ideal for western blot. Cited in 41 publications.

View Alternative Names

Igh-4, Ighg1, Ig gamma-1 chain C region secreted form

3 Images
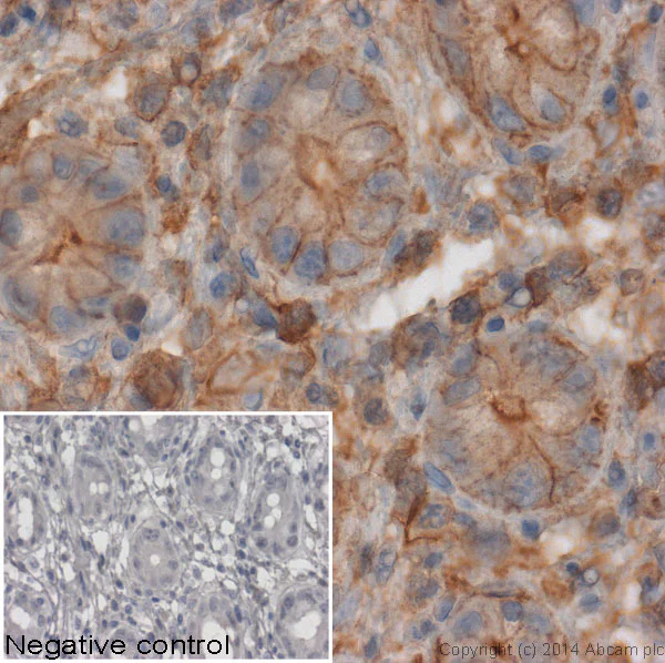
Immunohistochemistry (Formalin/PFA-fixed paraffin-embedded sections) - Donkey Anti-Mouse IgG H&L (HRP) (AB6820)
  • IHC-P

Lab

Immunohistochemistry (Formalin/PFA-fixed paraffin-embedded sections) - Donkey Anti-Mouse IgG H&L (HRP) (AB6820)

IHC image of beta actin staining in human colon formalin fixed paraffin embedded tissue section*.

The section was pre-treated using pressure cooker heat mediated antigen retrieval with sodium citrate buffer (pH 6) for 30 mins. The section was incubated with ab8224, 3 μg/ml overnight at +4°C. An HRP-conjugated secondary (ab6820, 1/2000 dilution) was used for 1 hr at room temperature. The section was counterstained with hematoxylin and mounted with DPX.

The inset negative control image is secondary-only at 1/500 dilution.

*Tissue obtained from the Human Research Tissue Bank, supported by the NIHR Cambridge Biomedical Research Centre

Western blot - Donkey Anti-Mouse IgG H&L (HRP) (AB6820)
  • WB

PubMed

Western blot - Donkey Anti-Mouse IgG H&L (HRP) (AB6820)

Detection of protein levels in LIN-5 mutants.

(Panel A) Western blots of lysates of yeast clones containing the indicated LIN-5 expression constructs, probed for LIN-5 and tubulin (loading control) levels.

Protein samples were separated on gradient acrylamide gels and subjected to western blotting on polyvinylidene difluoride membrane. Membranes were blocked with 5% skim milk in PBST for 1 hour at room temperature, or overnight at 4°C for stripped blots. For protein detection, primary antibodies used in this study were : mouse anti–LIN-5 (1 : 1000) and rabbit anti-Tubulin (1 : 1000, Abcam) for stripped blots. Secondary antibodies used were : donkey anti-mouse HRP (1 : 5000, Abcam, ab6820) and goat anti-rabbit HRP (1 : 5000).

Secondary

All lanes:

Western blot - Donkey Anti-Mouse IgG H&L (HRP) (ab6820)

false

Portegijs et al PLoS Genet. 2016 Oct 6;12(10):e1006291. doi: 10.1371/journal.pgen.1006291. eCollection 2016 Oct. Fig S5. Reproduced under the Creative Commons license http://creativecommons.org/licenses/by/4.0/

Western blot - Donkey Anti-Mouse IgG H&L (HRP) (AB6820)
  • WB

Supplier Data

Western blot - Donkey Anti-Mouse IgG H&L (HRP) (AB6820)

Western blot analysis of ab6820 used as a secondary antibody at 1/1000 dilution for 60 min at RT.

All lanes:

Mouse IgG at 50 ng

Secondary

All lanes:

Western blot - Donkey Anti-Mouse IgG H&L (HRP) (ab6820) at 1/1000 dilution

false

Key facts

Host species

Donkey

Target species

Mouse

Target isotype

IgG

Target specificity

Heavy & Light chains

Minimal cross-reactivity
Pre-adsorbed

No

Conjugation

HRP

Excitation/Emission
Applications

ELISA, WB, ICC, IHC-P, Dot, IHC-Fr

applications

Clonality

Polyclonal

Isotype

IgG

Reactivity data

{ "title": "Reactivity Data", "filters": { "stats": ["", "Reactivity", "Dilution Info", "Notes"] }, "values": { "Dot": { "reactivity":"NO_EXPERIMENTAL_DATA_EXPECTED_TO_REACT", "dilution-info":"", "notes":"<p></p>" }, "ICC": { "reactivity":"NO_EXPERIMENTAL_DATA_EXPECTED_TO_REACT", "dilution-info":"1/500 - 1/2500", "notes":"<p></p>" }, "WB": { "reactivity":"TESTED_AND_REACTS", "dilution-info":"1/2000 - 1/10000", "notes":"<p></p>" }, "ELISA": { "reactivity":"NO_EXPERIMENTAL_DATA_EXPECTED_TO_REACT", "dilution-info":"1/70000", "notes":"<p></p>" }, "IHC-P": { "reactivity":"TESTED_AND_REACTS", "dilution-info":"1/500 - 1/2000", "notes":"<p></p>" }, "IHC-Fr": { "reactivity":"NO_EXPERIMENTAL_DATA_EXPECTED_TO_REACT", "dilution-info":"1/500 - 1/2000", "notes":"<p></p>" } } }

Properties and storage information

Form
Liquid
Purification technique
Affinity purification
Purification notes
This product was prepared from monospecific antiserum by immunoaffinity chromatography using Mouse IgG coupled to agarose.
Storage buffer
Preservative: 0.01% Gentamicin sulphate Constituents: 1% BSA, 0.88% Sodium chloride, 0.424% Potassium phosphate solution
Shipped at conditions
Blue Ice
Appropriate short-term storage conditions
+4°C
Appropriate long-term storage conditions
+4°C

Product protocols

Target data

See full target information Ighg1

Additional targets

Ighg1

Publications (41)

Recent publications for all applications. Explore the full list and refine your search

Genes 15: PubMed38927643

2024

FANCM Gene Variants in a Male Diagnosed with Sertoli Cell-Only Syndrome and Diffuse Astrocytoma.

Applications

Unspecified application

Species

Unspecified reactive species

Monika Logara Klarić,Tihana Marić,Lucija Žunić,Lovro Trgovec-Greif,Filip Rokić,Ana Fiolić,Ana Merkler Šorgić,Davor Ježek,Oliver Vugrek,Antonia Jakovčević,Maja Barbalić,Robert Belužić,Ana Katušić Bojanac

Cellular and molecular life sciences : CMLS 80:262 PubMed37597109

2023

The COP9 signalosome reduces neuroinflammation and attenuates ischemic neuronal stress in organotypic brain slice culture model.

Applications

Unspecified application

Species

Unspecified reactive species

Yuan Tian,Jelena Milic,Laura Sebastián Monasor,Rahul Chakraborty,Sijia Wang,Yue Yuan,Yaw Asare,Christian Behrends,Sabina Tahirovic,Jürgen Bernhagen

International journal of molecular sciences 24: PubMed37569780

2023

Advances in the Properties of Incomptine A: Cytotoxic Activity and Downregulation of Hexokinase II in Breast Cancer Cell Lines.

Applications

Unspecified application

Species

Unspecified reactive species

Angel Giovanni Arietta-García,Fernando Calzada,Israel Ramírez-Sánchez,Elihú Bautista,Normand García-Hernandez,Rosa María Ordoñez-Razo

Nature biotechnology : PubMed37349523

2023

Single-cell mA mapping in vivo using picoMeRIP-seq.

Applications

Unspecified application

Species

Unspecified reactive species

Yanjiao Li,Yunhao Wang,Maria Vera-Rodriguez,Leif Christopher Lindeman,Linda Ellevog Skuggen,Erik M K Rasmussen,Ingunn Jermstad,Shaista Khan,Madeleine Fosslie,Trine Skuland,Marie Indahl,Sherif Khodeer,Eva Kristine Klemsdal,Kang-Xuan Jin,Knut Tomas Dalen,Peter Fedorcsak,Gareth D Greggains,Mads Lerdrup,Arne Klungland,Kin Fai Au,John Arne Dahl

NAR cancer 5:zcad022 PubMed37206360

2023

GSK-3484862 targets DNMT1 for degradation in cells.

Applications

Unspecified application

Species

Unspecified reactive species

Qin Chen,Bigang Liu,Yang Zeng,Jee Won Hwang,Nan Dai,Ivan R Corrêa,Marcos R Estecio,Xing Zhang,Margarida A Santos,Taiping Chen,Xiaodong Cheng

Genome medicine 15:29 PubMed37127652

2023

Spatial transcriptomic analysis of Sonic hedgehog medulloblastoma identifies that the loss of heterogeneity and promotion of differentiation underlies the response to CDK4/6 inhibition.

Applications

Unspecified application

Species

Unspecified reactive species

Tuan Vo,Brad Balderson,Kahli Jones,Guiyan Ni,Joanna Crawford,Amanda Millar,Elissa Tolson,Matthew Singleton,Marija Kojic,Thomas Robertson,Shaun Walters,Onkar Mulay,Dharmesh D Bhuva,Melissa J Davis,Brandon J Wainwright,Quan Nguyen,Laura A Genovesi

Stem cell reports 18:899-914 PubMed36963389

2023

Viral delivery of L1CAM promotes axonal extensions by embryonic cerebral grafts in mouse brain.

Applications

Unspecified application

Species

Unspecified reactive species

Ryosuke Tsuchimochi,Keitaro Yamagami,Naoko Kubo,Naoya Amimoto,Fabian Raudzus,Bumpei Samata,Tetsuhiro Kikuchi,Daisuke Doi,Koji Yoshimoto,Aya Mihara,Jun Takahashi

The Journal of biological chemistry 299:102862 PubMed36596360

2023

A complete methyl-lysine binding aromatic cage constructed by two domains of PHF2.

Applications

Unspecified application

Species

Unspecified reactive species

John R Horton,Jujun Zhou,Qin Chen,Xing Zhang,Mark T Bedford,Xiaodong Cheng

eLife 11: PubMed35942676

2022

Lactate receptor HCAR1 regulates neurogenesis and microglia activation after neonatal hypoxia-ischemia.

Applications

Unspecified application

Species

Unspecified reactive species

Lauritz Kennedy,Emilie R Glesaaen,Vuk Palibrk,Marco Pannone,Wei Wang,Ali Al-Jabri,Rajikala Suganthan,Niklas Meyer,Marie Landa Austbø,Xiaolin Lin,Linda H Bergersen,Magnar Bjørås,Johanne E Rinholm

Biomedicines 10: PubMed36009384

2022

Increased Stiffness Downregulates Focal Adhesion Kinase Expression in Pancreatic Cancer Cells Cultured in 3D Self-Assembling Peptide Scaffolds.

Applications

Unspecified application

Species

Unspecified reactive species

Nausika Betriu,Anna Andreeva,Anna Alonso,Carlos E Semino
View all publications

Product promise

We are committed to supporting your work with high-quality reagents, and we're here for you every step of the way. In the unlikely event that one of our products does not perform as expected, you're protected by our Product Promise.
For full details, please see our Terms & Conditions

Please note: All products are 'FOR RESEARCH USE ONLY. NOT FOR USE IN DIAGNOSTIC OR THERAPEUTIC PROCEDURES'.

For licensing inquiries, please contact partnerships@abcam.com