JavaScript is disabled in your browser. Please enable JavaScript to view this website.
AB6877

Goat Anti-Chicken IgY H&L (HRP)

5

(1 Review)

|

(62 Publications)

Goat Anti-Chicken IgY H&L (HRP) is a secondary antibody for chemiluminescent detection. Ideal for Western blot. Suitable for Western blot, IHC, ICC, ELISA and more.

- Cited in over 50 publications

View Alternative Names

Ig gamma 1 chain C region, Ig gamma 3 chain C region, Ig gamma 4 chain C region, Ig gamma-2 chain C region, Immunoglobin heavy constant gamma 1, Immunoglobulin G

28 Images
Western blot - Goat Anti-Chicken IgY H&L (HRP) (AB6877)
  • WB

Supplier Data

Western blot - Goat Anti-Chicken IgY H&L (HRP) (AB6877)

Blocking and diluting buffer and concentration : 5% NFDM/TBST.

Exposure time : 10 seconds.

All lanes:

Western blot - Anti-Cathepsin D antibody [EPR3057Y] - Chicken IgY (Chimeric) (<a href='/en-us/products/primary-antibodies/cathepsin-d-antibody-epr3057y-chicken-igy-chimeric-ab302646'>ab302646</a>) at 1/1000 dilution

Lane 1:

Human heart tissue lysate at 20 µg

Lane 2:

Mouse brain tissue lysate at 20 µg

Lane 3:

Rat stomach tissue lysate at 20 µg

Secondary

All lanes:

Western blot - Goat Anti-Chicken IgY H&L (HRP) (ab6877) at 1/20000 dilution

Observed band size: 14 kDa,28 kDa,46 kDa

false

Exposure time: 10s

Western blot - Goat Anti-Chicken IgY H&L (HRP) (AB6877)
  • WB

Supplier Data

Western blot - Goat Anti-Chicken IgY H&L (HRP) (AB6877)

Blocking and diluting buffer and concentration : 5% NFDM/TBST Exposure time : 6 seconds

All lanes:

Western blot - Anti-IL-2 antibody [EPR20055] - Chicken IgY (Chimeric) (<a href='/en-us/products/primary-antibodies/il-2-antibody-epr20055-chicken-igy-chimeric-ab306565'>ab306565</a>) at 1/1000 dilution

All lanes:

Human IL-2 recombinant protein fragment at 10 ng

Secondary

All lanes:

Western blot - Goat Anti-Chicken IgY H&L (HRP) (ab6877) at 1/10000 dilution

Observed band size: 17 kDa

false

Exposure time: 6s

Western blot - Goat Anti-Chicken IgY H&L (HRP) (AB6877)
  • WB

Supplier Data

Western blot - Goat Anti-Chicken IgY H&L (HRP) (AB6877)

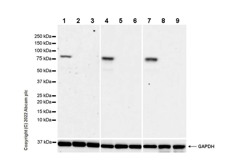
Blocking and diluting buffer and concentration : 5% NFDM/TBST. Negative control : spleen, colon (PMID : 10920202). Exposure times : Lanes 1-3 : 180 seconds Lanes 4-6 : 10 seconds Lanes 7-9 : 5 seconds

All lanes:

Western blot - Anti-DDX4 / MVH antibody [EPR24148-58] - Chicken IgY (Chimeric) - BSA and Azide free (<a href='/en-us/products/primary-antibodies/ddx4-mvh-antibody-epr24148-58-chicken-igy-chimeric-bsa-and-azide-free-ab307373'>ab307373</a>) at 1/1000 dilution

Lane 1:

Human testis tissue lysate 10 µg

Lane 2:

Human spleen tissue lysate 20 µg

Lane 3:

Human colon tissue lysate 20 µg

Lane 4:

Mouse testis tissue lysate 10 µg

Lane 5:

Mouse colon tissue lysate 20 µg

Lane 6:

Mouse spleen tissue lysate 20 µg

Lane 7:

Rat testis tissue lysate 10 µg

Lane 8:

Rat colon tissue lysate 20 µg

Lane 9:

Rat spleen tissue lysate 20 µg

Observed band size: 79 kDa

false

Exposure time: 180s

Western blot - Goat Anti-Chicken IgY H&L (HRP) (AB6877)
  • WB

Supplier Data

Western blot - Goat Anti-Chicken IgY H&L (HRP) (AB6877)

Blocking and diluting buffer and concentration : 5% NFDM/TBST.

Exposure time : 5.5 seconds.

All lanes:

Western blot - Anti-Cathepsin D antibody [EPR3057Y] - Chicken IgY (Chimeric) (<a href='/en-us/products/primary-antibodies/cathepsin-d-antibody-epr3057y-chicken-igy-chimeric-ab302646'>ab302646</a>) at 1/1000 dilution

Lane 1:

MCF7 (human breast adenocarcinoma epithelial cell), whole cell lysate at 20 µg

Lane 2:

SH-SY5Y (human neuroblastoma epithelial cell), whole cell lysate at 20 µg

Lane 3:

SK-BR-3 (human breast adenocarcinoma epithelial cell), whole cell lysate at 20 µg

Lane 4:

U937 (human histiocytic lymphoma monocyte), whole cell lysate at 20 µg

Lane 5:

A431 (human epidermoid carcinoma epithelial cell), whole cell lysate at 20 µg

Lane 6:

HepG2 (human hepatocellular carcinoma epithelial cell), whole cell lysate at 20 µg

Lane 7:

RAW264.7 (mouse Abelson murine leukemia virus-induced tumor macrophage), whole cell lysate at 20 µg

Lane 8:

Neuro-2a (mouse neuroblastoma neuroblast), whole cell lysate at 20 µg

Secondary

All lanes:

Western blot - Goat Anti-Chicken IgY H&L (HRP) (ab6877) at 1/20000 dilution

Observed band size: 14 kDa,28 kDa,46 kDa

false

Exposure time: 5.5s

Western blot - Goat Anti-Chicken IgY H&L (HRP) (AB6877)
  • WB

Supplier Data

Western blot - Goat Anti-Chicken IgY H&L (HRP) (AB6877)

Negative control : Daudi (PMID : 17606622).

In Western blot, ab316214 was shown to bind specifically to VIM (Vimentin). Target of interest was observed at 55 kDa in wild-type HeLa cell lysates (lane 1) with no signal observed at this size in VIM (Vimentin) knockout cell line (lane 2, knockout cell line ab255446/ knockout cell lysate ab263775).

In Western blot, Anti-GAPDH antibody [EPR16891] - Loading Control (ab181602) staining at 1/200000 dilution.

Exposure time : Lanes 1-4 : 8 seconds, Lanes 5 : 3 seconds, Lanes 6 : 10 seconds

All lanes:

Western blot - Anti-Vimentin antibody [EPR3776] - Chicken IgY (Chimeric) (<a href='/en-us/products/primary-antibodies/vimentin-antibody-epr3776-chicken-igy-chimeric-ab316214'>ab316214</a>) at 1/1000 dilution

Lane 1:

parental HeLa (human cervical adenocarcinoma epithelial cell) whole cell lysate at 20 µg

Lane 2:

VIM (Vimentin) knockout HeLa whole cell lysate at 20 µg

Lane 3:

293T (human embryonic kidney epithelial cell) whole cell lysate at 20 µg

Lane 4:

Daudi (human Burkitts lymphoma lymphoblast) whole cell lysate at 20 µg

Lane 5:

NIH/3T3 (mouse embryonic fibroblast) whole cell lysate at 20 µg

Lane 6:

C6 (rat glial tumor glial cell) whole cell lysate at 20 µg

Secondary

All lanes:

Western blot - Goat Anti-Chicken IgY H&L (HRP) (ab6877) at 1/100000 dilution

Observed band size: 55 kDa,36 kDa

false

Western blot - Goat Anti-Chicken IgY H&L (HRP) (AB6877)
  • WB

Ap

Western blot - Goat Anti-Chicken IgY H&L (HRP) (AB6877)

This blot was produced using a 4-12% Bis-tris gel under the MOPS buffer system. The gel was run at 200V for 50 minutes before being transferred onto a Nitrocellulose membrane at 30V for 70 minutes. The membrane was then blocked for an hour using 5% Bovine Serum Albumin before being incubated with ab139749 overnight at 4°C. Antibody binding was detected using an anti-chicken antibody conjugated to HRP, and visualised using ECL development solution.

All lanes:

Western blot - Anti-NSE antibody (<a href='/en-us/products/primary-antibodies/nse-antibody-ab139749'>ab139749</a>) at 1 µg/mL

Lane 1:

Brain (Human) Cytoplasmic Lysate - fetal normal tissue at 10 µg

Lane 2:

SHSY-5Y (Human neuroblastoma cell line) Whole Cell Lysate at 10 µg

Lane 3:

HeLa (Human epithelial carcinoma cell line) Whole Cell Lysate at 10 µg

Lane 4:

Y79 (Human retinoblastoma cell line) Whole Cell Lysate at 10 µg

Secondary

All lanes:

Western blot - Goat Anti-Chicken IgY H&L (HRP) (ab6877) at 1/3000 dilution

Predicted band size: 47 kDa

Observed band size: 50 kDa

true

Exposure time: 30s

Western blot - Goat Anti-Chicken IgY H&L (HRP) (AB6877)
  • WB

Lab

Western blot - Goat Anti-Chicken IgY H&L (HRP) (AB6877)

Blocking and diluting buffer and concentration : 5% NFDM/TBST.

In Western blot, Anti-GAPDH antibody [EPR16891] - Loading Control (ab181602).

Negative control : liver.

All lanes:

Western blot - Anti-GFAP antibody [EPR1034Y] - Astrocyte marker - Chicken IgY (Chimeric) (<a href='/en-us/products/primary-antibodies/gfap-antibody-epr1034y-astrocyte-marker-chicken-igy-chimeric-ab323239'>ab323239</a>) at 1/1000 dilution

Lane 1:

Human cerebellum tissue lysate at 20 µg

Lane 2:

Human liver tissue lysate at 20 µg

Lane 3:

Mouse brain tissue lysate at 20 µg

Lane 4:

Mouse liver tissue lysate at 20 µg

Lane 5:

Rat brain tissue lysate at 20 µg

Lane 6:

Rat liver tissue lysate at 20 µg

Secondary

All lanes:

Western blot - Goat Anti-Chicken IgY H&L (HRP) (ab6877) at 1/10000 dilution

Observed band size: 45-50 kDa

false

Exposure time: 3min

Western blot - Goat Anti-Chicken IgY H&L (HRP) (AB6877)
  • WB

Supplier Data

Western blot - Goat Anti-Chicken IgY H&L (HRP) (AB6877)

Blocking / Diluting buffer : 5% NFDM/TBST Exposure time : 3.25 seconds

All lanes:

Western blot - Anti-Beclin-1 antibody [EPR19662] - Chicken IgY (Chimeric) (<a href='/en-us/products/primary-antibodies/beclin-1-antibody-epr19662-chicken-igy-chimeric-ab302669'>ab302669</a>) at 1/1000 dilution

Lane 1:

HeLa (human cervix adenocarcinoma epithelial cell), whole cell lysate at 20 µg

Lane 2:

HepG2 (human hepatocellar carcinoma epithelial cell), whole cell lysate 20 at 20 µg

Lane 3:

HEK-293 (human embryonic kidney epithelial cell), whole cell lysate at 20 µg

Lane 4:

MCF7 (human breast adenocarcinoma epithelial cell), whole cell lysate at 20 µg

Lane 5:

NIH/3T3 (mouse embryonic fibroblast), whole cell lysate at 20 µg

Lane 6:

A20 (mouse reticum sarcoma B lymphocyte), whole cell lysate 20 at 20 µg

Lane 7:

C2C12 (mouse myoblasts myoblast), whole cell lysate at 20 µg

Lane 8:

C6 (rat glial tumor glial cell), whole cell lysate at 20 µg

Secondary

All lanes:

Western blot - Goat Anti-Chicken IgY H&L (HRP) (ab6877) at 1/20000 dilution

Observed band size: 52 kDa

false

Exposure time: 3.25s

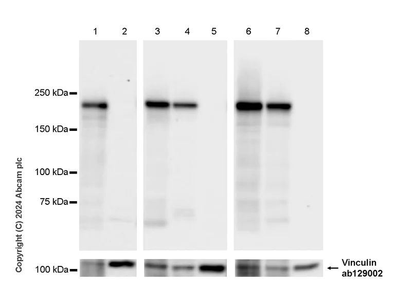
Western blot - Goat Anti-Chicken IgY H&L (HRP) (AB6877)
  • WB

Supplier Data

Western blot - Goat Anti-Chicken IgY H&L (HRP) (AB6877)

Negative control : kidney

In Western blot, Anti-Vinculin antibody [EPR8185] (ab129002) staining at 1/10000 dilution.

Exposure time : Lanes 1-2 : 10 seconds, Lanes 3-8 : 6 seconds

Blocking and diluting buffer and concentration : 5% NFDM/TBST.

All lanes:

Western blot - Anti-NEFH antibody [EPR20020] - Neuronal Marker - Chicken IgY (Chimeric) (<a href='/en-us/products/primary-antibodies/nefh-antibody-epr20020-neuronal-marker-chicken-igy-chimeric-ab317042'>ab317042</a>) at 1/1000 dilution

Lane 1:

Human Brainstem tissue lysate at 20 µg

Lane 2:

Human kidney tissue lysate at 20 µg

Lane 3:

Mouse cerebellum tissue lysate at 20 µg

Lane 4:

Mouse brain tissue lysate at 20 µg

Lane 5:

Mouse kidney tissue lysate at 20 µg

Lane 6:

Rat cerebellum tissue lysate at 20 µg

Lane 7:

Rat brain tissue lysate at 20 µg

Lane 8:

Rat kidney tissue lysate at 20 µg

Secondary

All lanes:

Western blot - Goat Anti-Chicken IgY H&L (HRP) (ab6877) at 1/100000 dilution

Observed band size: 200-210 kDa,124 kDa

false

Western blot - Goat Anti-Chicken IgY H&L (HRP) (AB6877)
  • WB

Supplier Data

Western blot - Goat Anti-Chicken IgY H&L (HRP) (AB6877)

Blocking and diluting buffer and concentration : 5% NFDM/TBSTIn Western blot, ab307839 was shown to bind specifically to NF-kB p65. A band was observed at 65 kDa in wild-type HAP1 cell lysates with whereas no signal observed at this size in NF-kB p65 knockout cell lysate. The samples were run on a Bis-Tris gel. In Western blot, anti-GAPDH antibody (ab181602) loading control staining at 1/200000 dilution. Exposure time :

All lanes:

Western blot - Anti-NF-kB p65 antibody [E379] - Chicken IgY (Chimeric) - BSA and Azide free (<a href='/en-us/products/primary-antibodies/nf-kb-p65-antibody-e379-chicken-igy-chimeric-bsa-and-azide-free-ab307839'>ab307839</a>) at 1/1000 dilution

Lane 1:

Wild-type HAP1 (human chronic myelogenous leukemia near-haploid cell line) cell lysate at 20 µg

Lane 2:

NF-kB p65 knockout HAP1 cell lysate at 20 µg

Lane 3:

HeLa (human epithelial cell line from cervical adenocarcinoma) whole cell lysate at 20 µg

Secondary

All lanes:

Western blot - Goat Anti-Chicken IgY H&L (HRP) (ab6877) at 1/20000 dilution

Observed band size: 65 kDa

false

Exposure time: 10s

Western blot - Goat Anti-Chicken IgY H&L (HRP) (AB6877)
  • WB

Supplier Data

Western blot - Goat Anti-Chicken IgY H&L (HRP) (AB6877)

Blocking and diluting buffer and concentration : 5% NFDM/TBSTNegative control : spleen, colon (PMID : 10920202).

All lanes:

Western blot - Anti-DDX4 / MVH antibody [EPR24148-58] - Chicken IgY (Chimeric) (<a href='/en-us/products/primary-antibodies/ddx4-mvh-antibody-epr24148-58-chicken-igy-chimeric-ab314236'>ab314236</a>) at 1/1000 dilution

Lane 1:

Human testis tissue lysate at 10 µg

Lane 2:

Human spleen tissue lysate at 20 µg

Lane 3:

Human colon tissue lysate at 20 µg

Secondary

All lanes:

Western blot - Goat Anti-Chicken IgY H&L (HRP) (ab6877) at 1/100000 dilution

Observed band size: 79 kDa

false

Exposure time: 59s

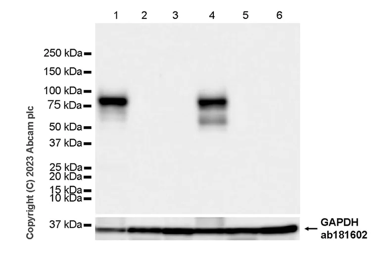
Western blot - Goat Anti-Chicken IgY H&L (HRP) (AB6877)
  • WB

Supplier Data

Western blot - Goat Anti-Chicken IgY H&L (HRP) (AB6877)

The identity of higher MW band at approximately 100 kDa (in lane 1) is unknown.

In Western blot, Anti-GAPDH antibody [EPR16891] - Loading Control (ab181602) staining at 1/200000 dilution.

All lanes:

Western blot - Anti-Vimentin antibody [EPR3776] - Chicken IgY (Chimeric) (<a href='/en-us/products/primary-antibodies/vimentin-antibody-epr3776-chicken-igy-chimeric-ab316214'>ab316214</a>) at 1/1000 dilution

Lane 1:

Human lung tissue lysate at 20 µg

Lane 2:

Mouse lung tissue lysate at 20 µg

Lane 3:

Rat lung tissue lysate at 20 µg

Secondary

All lanes:

Western blot - Goat Anti-Chicken IgY H&L (HRP) (ab6877) at 1/100000 dilution

Observed band size: 55 kDa,36 kDa

false

Exposure time: 26s

Western blot - Goat Anti-Chicken IgY H&L (HRP) (AB6877)
  • WB

Supplier Data

Western blot - Goat Anti-Chicken IgY H&L (HRP) (AB6877)

Blocking and diluting buffer and concentration : 5% NFDM/TBST Negative control : spleen, colon (PMID : 10920202).

All lanes:

Western blot - Anti-DDX4 / MVH antibody [EPR24148-58] - Chicken IgY (Chimeric) (<a href='/en-us/products/primary-antibodies/ddx4-mvh-antibody-epr24148-58-chicken-igy-chimeric-ab314236'>ab314236</a>) at 1/1000 dilution

Lane 1:

Mouse testis tissue lysate at 10 µg

Lane 2:

Mouse colon tissue lysate at 20 µg

Lane 3:

Mouse spleen tissue lysate at 20 µg

Lane 4:

Rat testis tissue lysate at 10 µg

Lane 5:

Rat colon tissue lysate at 20 µg

Lane 6:

Rat spleen tissue lysate at 20 µg

Secondary

All lanes:

Western blot - Goat Anti-Chicken IgY H&L (HRP) (ab6877) at 1/100000 dilution

Observed band size: 79 kDa

false

Exposure time: 10s

Western blot - Goat Anti-Chicken IgY H&L (HRP) (AB6877)
  • WB

Ap

Western blot - Goat Anti-Chicken IgY H&L (HRP) (AB6877)

This blot was produced using a 4-12% Bis-tris gel under the MOPS buffer system. The gel was run at 200V for 50 minutes before being transferred onto a Nitrocellulose membrane at 30V for 70 minutes. The membrane was then blocked for an hour using 5% Bovine Serum Albumin before being incubated with ab139744 overnight at 4°C. Antibody binding was detected using an anti-chicken antibody conjugated to HRP, and visualised using ECL development solution. The bands observed at 45- and 48-kDa correspond to the predicted molecular weights of isoforms CNPI and CNPII..

All lanes:

Western blot - Anti-CNPase antibody (<a href='/en-us/products/primary-antibodies/cnpase-antibody-ab139744'>ab139744</a>) at 1 µg/mL

Lane 1:

Spinal Cord (Mouse) Tissue Lysate at 10 µg

Lane 2:

Brain (Mouse) Tissue Lysate at 10 µg

Lane 3:

Spinal Cord (Rat) Tissue Lysate at 10 µg

Lane 4:

Brain (Rat) Tissue Lysate at 10 µg

Secondary

All lanes:

Western blot - Goat Anti-Chicken IgY H&L (HRP) (ab6877) at 1/3000 dilution

Predicted band size: 48 kDa

Observed band size: 45 kDa,48 kDa

true

Exposure time: 90s

Immunohistochemistry (Formalin/PFA-fixed paraffin-embedded sections) - Goat Anti-Chicken IgY H&L (HRP) (AB6877)
  • IHC-P

Unknown

Immunohistochemistry (Formalin/PFA-fixed paraffin-embedded sections) - Goat Anti-Chicken IgY H&L (HRP) (AB6877)

ab6877 was used at dilution 1/200 with the primary antibody ab17517 in IHC-P. See the review on ab17517.

Indirect ELISA - Goat Anti-Chicken IgY H&L (HRP) (AB6877)
  • I-ELISA

Lab

Indirect ELISA - Goat Anti-Chicken IgY H&L (HRP) (AB6877)

Indirect ELISA showing primary antibody ab323001 binding to Recombinant Human coronavirus SARS-CoV-2 Spike Glycoprotein S1 (Fc Chimera, ab272105). Plates were coated with Recombinant Human coronavirus SARS-CoV-2 Spike Glycoprotein S1 (Fc Chimera, ab272105), Recombinant Human coronavirus SARS-CoV-2 Spike Glycoprotein S2 (Fc Chimera, ab272106) and Recombinant Human coronavirus SARS spike glycoprotein (Tagged, ab270844) at 1000 ng/ml. Binding of ab323001 was assessed in a serial dilution range 0.016- 1000 ng/mL (a 3-fold serial dilution). Secondary antibody, Goat Anti-Chicken IgY H&L (HRP, ab6877) was used at 1 : 5000.

Indirect ELISA - Goat Anti-Chicken IgY H&L (HRP) (AB6877)
  • I-ELISA

Lab

Indirect ELISA - Goat Anti-Chicken IgY H&L (HRP) (AB6877)

Indirect ELISA showing primary antibody ab322999 binding to Recombinant Human coronavirus SARS-CoV-2 Spike Glycoprotein S1 (Fc Chimera, ab272105). Plates were coated with Recombinant Human coronavirus SARS-CoV-2 Spike Glycoprotein S1 (Fc Chimera, ab272105), Recombinant Human coronavirus SARS-CoV-2 Spike Glycoprotein S2 (Fc Chimera, ab272106) and Recombinant Human coronavirus SARS spike glycoprotein (Tagged, ab270844) at 1000 ng/ml. Binding of ab322999 was assessed in a serial dilution range 0.016- 1000 ng/mL (a 3-fold serial dilution). Secondary antibody, Goat Anti-Chicken IgY H&L (HRP, ab6877) was used at 1 : 5000.

ELISA - Goat Anti-Chicken IgY H&L (HRP) (AB6877)
  • ELISA

Supplier Data

ELISA - Goat Anti-Chicken IgY H&L (HRP) (AB6877)

ELISA results of ab6877 against purified Chicken IgG protein. Each well was coated in duplicate with 1.0 µg of Chicken IgG. The starting dilution of antibody was 5 µg/ml and the X-axis represents the Log10 of a 3-fold dilution. The titer is 1/97,900. This titration is a 4-parameter curve fit where the IC50 is defined as the titer of the antibody. Assay performed using 3% fish gelatin and TMB substrate.

Western blot - Goat Anti-Chicken IgY H&L (HRP) (AB6877)
  • WB

Supplier Data

Western blot - Goat Anti-Chicken IgY H&L (HRP) (AB6877)

Western blot analysis of ab6877 at 1 µg/mL. Secondary Antibody : Goat Anti-Chicken IgG HRP at 1/40000 dilution for 30 mins at RT.

All lanes:

Western blot - Goat Anti-Chicken IgY H&L (HRP) (ab6877) at 1 µg/mL

Lane 2:

RFP at 0.5 µg

Lane 3:

RFP at 0.1 µg

Lane 4:

HEK293T whole cell lysate spiked RFP at 10 µg

Secondary

All lanes:

Goat Anti-Chicken IgG HRP at 1/40000 dilution

false

Western blot - Goat Anti-Chicken IgY H&L (HRP) (AB6877)
  • WB

Ap

Western blot - Goat Anti-Chicken IgY H&L (HRP) (AB6877)

ab73231 has a His tag so shows a high MW.

All lanes:

Western blot - Anti-PDGF BB antibody (<a href='/en-us/products/primary-antibodies/pdgf-bb-antibody-ab139753'>ab139753</a>) at 1 µg/mL

Lane 1:

Recombinant Human PDGF B protein (<a href='/en-us/products/unavailable/recombinant-human-pdgf-b-protein-ab73231'>ab73231</a>) at 0.01 µg

Lane 2:

Western blot - Recombinant human PDGF B protein (<a href='/en-us/products/proteins-peptides/recombinant-human-pdgf-b-protein-ab9706'>ab9706</a>) at 0.01 µg

Secondary

All lanes:

Western blot - Goat Anti-Chicken IgY H&L (HRP) (ab6877) at 1/3000 dilution

Predicted band size: 27 kDa

Observed band size: 16.7 kDa

true

Exposure time: 8min

Western blot - Goat Anti-Chicken IgY H&L (HRP) (AB6877)
  • WB

Ap

Western blot - Goat Anti-Chicken IgY H&L (HRP) (AB6877)

All lanes:

Western blot - Anti-PCNA antibody - Nuclear Loading Control (<a href='/en-us/products/primary-antibodies/pcna-antibody-nuclear-loading-control-ab139696'>ab139696</a>) at 1 µg/mL

Lane 1:

HeLa (Human epithelial carcinoma cell line) Whole Cell Lysate at 20 µg

Lane 2:

HEK293 (Human embryonic kidney cell line) Whole Cell Lysate at 20 µg

Lane 3:

HeLa (Human epithelial carcinoma cell line) Whole Cell Lysate (ab27252) at 20 µg

Lane 4:

Western blot - Recombinant Human PCNA protein (<a href='/en-us/products/proteins-peptides/recombinant-human-pcna-protein-ab85651'>ab85651</a>) at 0.2 µg

Secondary

All lanes:

Western blot - Goat Anti-Chicken IgY H&L (HRP) (ab6877) at 1/3000 dilution

Predicted band size: 29 kDa

Observed band size: 29 kDa

true

Exposure time: 4min

Western blot - Goat Anti-Chicken IgY H&L (HRP) (AB6877)
  • WB

Project

Western blot - Goat Anti-Chicken IgY H&L (HRP) (AB6877)

This blot was produced using a 10% Bis-tris gel under the MES buffer system. The gel was run at 200V for 35 minutes before being transferred onto a Nitrocellulose membrane at 30V for 70 minutes. The membrane was then blocked for an hour using 3% Milk before being incubated with ab134211 overnight at 4°C. Antibody binding was detected using an anti-rabbit antibody conjugated to HRP, and visualised using ECL development solution.

All lanes:

Anti-Histone H2B antibody (<a href='/en-us/products/unavailable/histone-h2b-antibody-ab134211'>ab134211</a>) at 1 µg/mL

Lane 1:

Calf Thymus Histone Preparation Nuclear Lysate at 0.2 µg

Lane 2:

HeLa (Human epithelial carcinoma cell line) Whole Cell Lysate at 10 µg

Lane 3:

HeLa Histone Preparation Nuclear Lysate at 2.5 µg

Lane 4:

Histone H2B Recombinant Protein at 20 µg

Lane 5:

Histone H3.1 Recombinant Protein at 0.1 µg

Secondary

All lanes:

Western blot - Goat Anti-Chicken IgY H&L (HRP) (ab6877) at 1/3000 dilution

true

Exposure time: 2min

Western blot - Goat Anti-Chicken IgY H&L (HRP) (AB6877)
  • WB

Lab

Western blot - Goat Anti-Chicken IgY H&L (HRP) (AB6877)

All lanes:

Anti-Oct4 antibody (ab134218) at 1 µg/mL

Lane 1:

E14Tg2a (Mouse embryonic stem cell line) Whole Cell Lysate at 10 µg

Lane 2:

F9 (Mouse embryonic carcinoma cell line) Whole Cell Lysate at 10 µg

Secondary

All lanes:

Western blot - Goat Anti-Chicken IgY H&L (HRP) (ab6877) at 1/10000 dilution

true

Exposure time: 1min

Western blot - Goat Anti-Chicken IgY H&L (HRP) (AB6877)
  • WB

PubMed

Western blot - Goat Anti-Chicken IgY H&L (HRP) (AB6877)

Representative Western blot analysis for the selected panel of differentially expressed targets in the various T cell subsets.

Western blot analyses were performed by serially probing sets of 3 membranes per donor. The expression levels of GDIR1, GSTO1, LIMS1 and PROF1 were analyzed blot 1 (upper panel), GDIR2, PRDX2 and THIO on blot 2 (middle panel) and SODM on blot 3 (lower level) of the respective membrane set.

The relative expression levels were defined by densitometric quantification normalized to the corresponding beta-actin signals, co-detected on each membrane.

Aliquots of 15 μg total lysate per sample/lane were loaded onto Tris-Tricine gels (16%T/2.5%C) and subsequently separated. Lysates generated form untreated CD45RA+ and CD45RO+ T cells were throughout the set of membranes loaded onto the lanes 1 and 3 respectively, whereas lysates generated from the corresponding T cell subsets exposure for 3 h to 5 μM H2O2 were loaded onto the lanes 2 and 4 as indicated.

The protein entry names of the targets (left) and their corresponding molecular weight (right) are listed.

Secondary

All lanes:

Western blot - Goat Anti-Chicken IgY H&L (HRP) (ab6877)

false

Lichtenfels et al PLoS One. 2012;7(7):e41345. doi: 10.1371/journal.pone.0041345. Epub 2012 Jul 20. Fig 4. Reproduced under the Creative Commons license http://creativecommons.org/licenses/by/4.0/

Western blot - Goat Anti-Chicken IgY H&L (HRP) (AB6877)
  • WB

Lab

Western blot - Goat Anti-Chicken IgY H&L (HRP) (AB6877)

All lanes:

Western blot - Anti-STELLAR antibody (<a href='/en-us/products/primary-antibodies/stellar-antibody-ab136278'>ab136278</a>) at 1 µg/mL

Lane 1:

Mouse EG (TMAS Embryonic Germ Cells) Whole Cell Lysate at 20 µg

Lane 2:

Mouse EG (TMAS Embryonic Germ Cells) Whole Cell Lysate (ab59325) at 20 µg

Secondary

All lanes:

Western blot - Goat Anti-Chicken IgY H&L (HRP) (ab6877) at 1/3000 dilution

Predicted band size: 18 kDa

Observed band size: 20 kDa

true

Exposure time: 1min

Western blot - Goat Anti-Chicken IgY H&L (HRP) (AB6877)
  • WB

Supplier Data

Western blot - Goat Anti-Chicken IgY H&L (HRP) (AB6877)

Blocking / Diluting buffer and concentration : 5% NFDM/TBST Exposure time : 3.25 seconds

All lanes:

Western blot - Anti-GFP antibody [EPR14104] - Chicken IgY (Chimeric) (<a href='/en-us/products/primary-antibodies/gfp-antibody-epr14104-chicken-igy-chimeric-ab300643'>ab300643</a>) at 1/1000 dilution

Lane 1:

Non-transfected 293T (human embryonic kidney epithelial cell) whole cell lysate at 20 µg

Lane 2:

GFP transfected 293 whole cell lysate at 20 µg

Secondary

All lanes:

Western blot - Goat Anti-Chicken IgY H&L (HRP) (ab6877) at 1/20000 dilution

Observed band size: 27 kDa

false

Western blot - Goat Anti-Chicken IgY H&L (HRP) (AB6877)
  • WB

Supplier Data

Western blot - Goat Anti-Chicken IgY H&L (HRP) (AB6877)

In Western blot, anti-GAPDH antibody (ab181602) loading control staining.

Blocking and diluting buffer and concentration : 5% NFDM/TBST.

All lanes:

Western blot - Anti-GFP antibody [EPR14104] - Chicken IgY (Chimeric) (<a href='/en-us/products/primary-antibodies/gfp-antibody-epr14104-chicken-igy-chimeric-ab300643'>ab300643</a>) at 1/1000 dilution

Lane 1:

293T (human embryonic kidney epithelial cell) whole cell lysate at 20 µg

Lane 2:

293T cells transfected with an empty vector whole cell lysate at 20 µg

Lane 3:

293T cells transfected with GFP tagged IFNA2 protein whole cell lysate at 20 µg

Secondary

All lanes:

Western blot - Goat Anti-Chicken IgY H&L (HRP) (ab6877) at 1/20000 dilution

Observed band size: 50 kDa

false

Exposure time: 40s

Western blot - Goat Anti-Chicken IgY H&L (HRP) (AB6877)
  • WB

Unknown

Western blot - Goat Anti-Chicken IgY H&L (HRP) (AB6877)

ab6877 was used at dilution 1/1000 with the primary antibody ab25912 in WB. See the review on ab25912.

Secondary

All lanes:

Western blot - Goat Anti-Chicken IgY H&L (HRP) (ab6877) at 1/1000 dilution

false

Key facts

Host species

Goat

Target species

Chicken

Target isotype

IgY

Target specificity

Heavy & Light chains

Minimal cross-reactivity
Pre-adsorbed

No

Conjugation

HRP

Excitation/Emission
Applications

Dot, WB, IHC-P, ICC, IM, ELISA, IHC-Fr

applications

Clonality

Polyclonal

Isotype

IgG

Reactivity data

{ "title": "Reactivity Data", "filters": { "stats": ["", "Reactivity", "Dilution Info", "Notes"] }, "values": { "Dot": { "reactivity":"NO_EXPERIMENTAL_DATA_EXPECTED_TO_REACT", "dilution-info":"", "notes":"<p></p>" }, "IHC-Fr": { "reactivity":"NO_EXPERIMENTAL_DATA_EXPECTED_TO_REACT", "dilution-info":"", "notes":"<p></p>" }, "IHC-P": { "reactivity":"TESTED_AND_REACTS", "dilution-info":"", "notes":"<p></p>" }, "IM": { "reactivity":"NO_EXPERIMENTAL_DATA_EXPECTED_TO_REACT", "dilution-info":"", "notes":"<p></p>" }, "ICC": { "reactivity":"NO_EXPERIMENTAL_DATA_EXPECTED_TO_REACT", "dilution-info":"1/1000 - 1/10000", "notes":"<p></p>" }, "WB": { "reactivity":"TESTED_AND_REACTS", "dilution-info":"1/1000 - 1/5000", "notes":"<p></p>" }, "ELISA": { "reactivity":"TESTED_AND_REACTS", "dilution-info":"1/50000", "notes":"<p></p>" } } }

Product details

This antibody reacts with the whole molecule chicken IgY

When it comes to advancing your immunohistochemistry (IHC) research, Abcam offers comprehensive suite of IHC kits and secondary antibodies, designed to deliver precise and reliable results.

Properties and storage information

Form
Liquid
Purification technique
Affinity purification
Purification notes
This product was prepared from monospecific antiserum by immunoaffinity chromatography using Chicken IgG coupled to agarose beads.
Storage buffer
Preservative: 0.01% Gentamicin sulphate Constituents: 1% BSA, 0.88% Sodium chloride, 0.424% Potassium phosphate solution
Shipped at conditions
Blue Ice
Appropriate short-term storage conditions
+4°C
Appropriate long-term storage conditions
+4°C

Product protocols

Publications (62)

Recent publications for all applications. Explore the full list and refine your search

Science advances 11:eadp0467 PubMed40601753

2025

Single-cell analysis of the decidua unveils the mechanism of anti-inflammatory exosomes for chorioamnionitis in nonhuman primates.

Applications

Unspecified application

Species

Unspecified reactive species

Seung Hyun Jang,Hojun Choi,Eun Mi Lee,Seung-Bin Yoon,Hye-Jung Kim,Cheolhyoung Park,Jae Kyung Won,Seung Han Shin,Ji-Su Kim,Chan-Wook Park,Heon Yung Gee,Chulhee Choi

Nature communications 16:5162 PubMed40461490

2025

Antigen persistence and TLR stimulation contribute to induction of a durable HIV-1-specific neutralizing antibody response.

Applications

Unspecified application

Species

Unspecified reactive species

Kenta Matsuda,Mitra Harrison,Eleanor Wettstein,Jessica Pederson,Alyssa A Pullano,Lyuba Bolkhovitinov,Breanna Kim,Isabel Steinberg,Trevor Griesman,Sarah Stuccio,Daniel Rogan,Andy Patamawenu,Tulley Shofner,Nathaniel E Wright,Jonathan D Webber,Freya Van't Veer,Rachel Roenicke,Emma Koory,Peyton M Roeder,Ellison Ober,Benjamin Leach,Yaroslav Tsybovsky,Tyler Stephens,Ivan Del Moral-Sanchez,Ilja Bontjer,Lori W McGinnes-Cullen,Eric Chu,Jason Liang,Jonathan L Torres,Ryan N Lin,Andy S Tran,Gabrielle Dziubla,Leonid Serebryannyy,Sandeep Narpala,Bob Lin,Mike Castro,Gabriel Ozorowski,Andrew B Ward,Rogier W Sanders,Peter D Kwong,Javier Guenaga,Richard Wyatt,Trudy Morrison,Mark Connors

Frontiers in immunology 16:1539492 PubMed40181968

2025

Evaluation of safety, immunogenicity, and efficacy of inactivated reverse-genetics-based H5N8 highly pathogenic avian influenza virus vaccine with various adjuvants via parenteral and mucosal routes in chickens.

Applications

Unspecified application

Species

Unspecified reactive species

Kairat Tabynov,Aidana Kuanyshbek,Leila Yelchibayeva,Kuantay Zharmambet,Zauresh Zhumadilova,Gleb Fomin,Nikolai Petrovsky,Olaitan C Shekoni,Gourapura J Renukaradhya,Kaissar Tabynov

PloS one 20:e0317035 PubMed39774465

2025

Evidence of avian and human influenza A virus infection in farmed Siamese crocodiles (Crocodylus siamensis) in Thailand.

Applications

Unspecified application

Species

Unspecified reactive species

Metawee Thongdee,Somjit Chaiwattanarungruengpaisan,Natthaphat Ketchim,Nareerat Sangkachai,Nlin Arya,Wanna Sirimanapong,Witthawat Wiriyarat,Pilaipan Puthavathana,Weena Paungpin

Immunity, inflammation and disease 12:e1345 PubMed39023405

2024

Silencing of FTO inhibits oxidative stress to relieve neuropathic pain by m6A modification of GPR177.

Applications

Unspecified application

Species

Unspecified reactive species

Li Liu,Mei Liu,Zhiping Song,Huaigen Zhang

Viruses 16: PubMed38932122

2024

Development of a Fully Protective Pandemic Avian Influenza Subunit Vaccine in Insect Pupae.

Applications

Unspecified application

Species

Unspecified reactive species

Ana Falcón,Susana Martínez-Pulgarín,Sergi López-Serrano,Edel Reytor,Miguel Cid,Maria Del Carmen Nuñez,Lorena Córdoba,Ayub Darji,José M Escribano

iScience 27:109435 PubMed38523796

2024

Mild hypothermia promotes neuronal differentiation of human neural stem cells via RBM3-SOX11 signaling pathway.

Applications

Unspecified application

Species

Unspecified reactive species

Yuxiao Ma,Zhenghui He,Jiangchang Wang,Ping Zheng,Zixuan Ma,Qian Liang,Qiao Zhang,Xiongfei Zhao,Jialin Huang,Weiji Weng,Jiyao Jiang,Junfeng Feng

Molecular psychiatry 29:2199-2210 PubMed38454084

2024

Proteomic analysis of the developing mammalian brain links PCDH19 to the Wnt/β-catenin signalling pathway.

Applications

Unspecified application

Species

Unspecified reactive species

Rebekah de Nys,Alison Gardner,Clare van Eyk,Stefka Mincheva-Tasheva,Paul Thomas,Rudrarup Bhattacharjee,Lachlan Jolly,Isabel Martinez-Garay,Ian W J Fox,Karthik Shantharam Kamath,Raman Kumar,Jozef Gecz

Scientific reports 14:4604 PubMed38409451

2024

Nature-inspired peptide of MtDef4 C-terminus tail enables protein delivery in mammalian cells.

Applications

Unspecified application

Species

Unspecified reactive species

Lucia Adriana Lifshits,Yoav Breuer,Marina Sova,Sumit Gupta,Dar Kadosh,Evgeny Weinberg,Zvi Hayouka,Daniel Z Bar,Maayan Gal

Molecular neurodegeneration 19:14 PubMed38317225

2024

Microglial ferroptotic stress causes non-cell autonomous neuronal death.

Applications

Unspecified application

Species

Unspecified reactive species

Jeffrey R Liddell,James B W Hilton,Kai Kysenius,Jessica L Billings,Sara Nikseresht,Lachlan E McInnes,Dominic J Hare,Bence Paul,Stephen W Mercer,Abdel A Belaidi,Scott Ayton,Blaine R Roberts,Joseph S Beckman,Catriona A McLean,Anthony R White,Paul S Donnelly,Ashley I Bush,Peter J Crouch
View all publications

Product promise

We are committed to supporting your work with high-quality reagents, and we're here for you every step of the way. In the unlikely event that one of our products does not perform as expected, you're protected by our Product Promise.
For full details, please see our Terms & Conditions

Please note: All products are 'FOR RESEARCH USE ONLY. NOT FOR USE IN DIAGNOSTIC OR THERAPEUTIC PROCEDURES'.

For licensing inquiries, please contact partnerships@abcam.com