JavaScript is disabled in your browser. Please enable JavaScript to view this website.
AB98717

Goat Anti-Mouse IgG Fc (HRP) preadsorbed

Be the first to review this product! Submit a review

|

(4 Publications)

Suitable for ICC, IHC-P, WB, ELISA. Ideal for western blot. Preadsorbed to minimise non-specific binding and high background staining. Cited in 4 publications.

View Alternative Names

Igh-4, Ighg1, Ig gamma-1 chain C region secreted form

32 Images
Western blot - Goat Anti-Mouse IgG Fc (HRP) preadsorbed (AB98717)
  • WB

Lab

Western blot - Goat Anti-Mouse IgG Fc (HRP) preadsorbed (AB98717)

False colour image of Western blot : Anti-Lamin B1 antibody [EPR8985(B)] - Nuclear Envelope Marker - Mouse IgG1 (Chimeric) (ab324446) staining at 1/1000 dilution, shown in black; Rabbit anti-GAPDH loading control staining, shown in magenta.

In Western blot, ab324446 was shown to bind specifically to LMNB1. A band was observed at 66 kDa in Wild-type HAP1 cell lysates with no signal observed at this size in LMNB1 knockout cell line. A band of the same size was also observed in mouse brain lysate and mouse heart lysate.

Samples were run on an SDS-PAGE gel then transferred onto a nitrocellulose membrane. Membranes were blocked in 3 % milk in TBS-0.1 % Tween® 20 (TBS-T) before incubation with primary antibodies overnight at 4 °C. Blots were washed four times in TBS-T, incubated with secondary antibodies for 1 h at room temperature, washed again four times then imaged.

Secondary antibodies used were Goat Anti-Mouse IgG Fc (HRP) preadsorbed (ab98717) at 1 : 10000 and Goat anti-Rabbit IgG H&L 680RD at 1 : 20000.

All lanes:

Western blot - Anti-Lamin B1 antibody [EPR8985(B)] - Nuclear Envelope Marker - Mouse IgG1 (Chimeric) (<a href='/en-us/products/primary-antibodies/lamin-b1-antibody-epr8985b-nuclear-envelope-marker-mouse-igg1-chimeric-ab324446'>ab324446</a>) at 1/1000 dilution

Lane 1:

Wild-type HAP1 cell lysates

Lane 2:

LMNB1 knockout HAP1 cell line

Lane 3:

Mouse brain lysate

Lane 4:

Mouse heart lysate

Secondary

All lanes:

Western blot - Goat Anti-Mouse IgG Fc (HRP) preadsorbed (ab98717) at 1/10000 dilution

Observed band size: 66 kDa

false

Western blot - Goat Anti-Mouse IgG Fc (HRP) preadsorbed (AB98717)
  • WB

Supplier Data

Western blot - Goat Anti-Mouse IgG Fc (HRP) preadsorbed (AB98717)

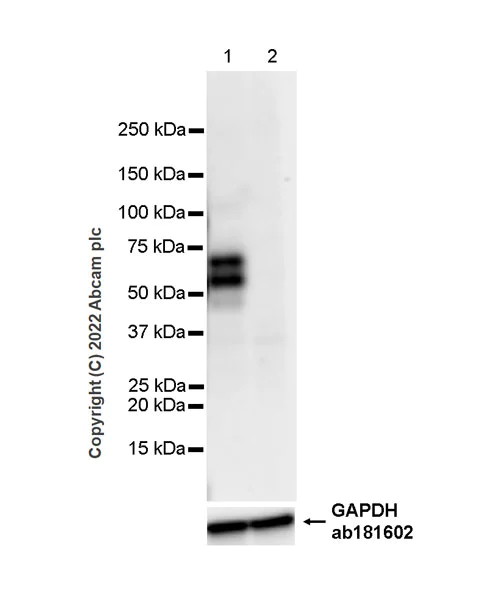
Blocking and diluting buffer and concentration : 5% NFDM/TBST. Performed under reducing conditions. In Western blot, ab309493 was shown to bind specifically to Synaptophysin (SYP).  Target of interest was observed at 38 kDa wild-type 293T cell lysates (lane 1) with no signal observed at this size in SYP knockout cell line (lane 2, knockout cell line ab267272 / knockout cell lysate ab257060). In Western blot, anti-GAPDH antibody (ab181602) loading control staining at 1/200000 dilution. Exposure time : 59 seconds.

All lanes:

Western blot - Anti-Synaptophysin antibody [YE269] - Synaptic marker - Mouse IgG1 (Chimeric) (<a href='/en-us/products/primary-antibodies/synaptophysin-antibody-ye269-synaptic-marker-mouse-igg1-chimeric-ab309493'>ab309493</a>) at 1/1000 dilution

Lane 1:

Wild-type 293T (human embryonic kidney epithelial cell) whole cell lysate at 20 µg

Lane 2:

Western blot - Human SYP (Synaptophysin) knockout HEK-293T cell lysate (<a href='/en-us/products/cell-lysates/human-syp-synaptophysin-knockout-hek-293t-cell-lysate-ab257060'>ab257060</a>) at 20 µg

Secondary

All lanes:

Western blot - Goat Anti-Mouse IgG Fc (HRP) preadsorbed (ab98717) at 1/20000 dilution

Observed band size: 38 kDa

false

Western blot - Goat Anti-Mouse IgG Fc (HRP) preadsorbed (AB98717)
  • WB

Supplier Data

Western blot - Goat Anti-Mouse IgG Fc (HRP) preadsorbed (AB98717)

Blocking and diluting buffer and concentration : 5% NFDM/TBST. Low expression tissue : Kidney (PMID : 11604140). In Western blot, anti-GAPDH antibody (ab181602) loading control staining at 1/200000 dilution. Exposure time : 8 seconds.

All lanes:

Western blot - Anti-Synaptophysin antibody [YE269] - Synaptic marker - Mouse IgG1 (Chimeric) (<a href='/en-us/products/primary-antibodies/synaptophysin-antibody-ye269-synaptic-marker-mouse-igg1-chimeric-ab309493'>ab309493</a>) at 1/1000 dilution

Lane 1:

Human cerebellum tissue lysate at 10 µg

Lane 2:

Human kidney tissue lysate at 20 µg

Secondary

All lanes:

Western blot - Goat Anti-Mouse IgG Fc (HRP) preadsorbed (ab98717) at 1/20000 dilution

Observed band size: 38 kDa

false

Western blot - Goat Anti-Mouse IgG Fc (HRP) preadsorbed (AB98717)
  • WB

Lab

Western blot - Goat Anti-Mouse IgG Fc (HRP) preadsorbed (AB98717)

False colour image of Western blot : Anti-LAMP1 antibody [EPR24395-31] - Mouse IgG1 (Chimeric) (ab322992) staining at 1/1000 dilution, shown in black; Rabbit anti-GAPDH loading control staining, shown in magenta. In Western blot, ab322992 was shown to bind specifically to LAMP1. A band was observed at 110 in Wild-type HeLa and Hap1 cell lysates, with no signal observed at this size in LAMP1 knockout Hap1 cell lysates. Samples were run on an SDS-PAGE gel then transferred onto a nitrocellulose membrane. Membranes were blocked in 5 % milk in TBS-0.1 % Tween® 20 (TBS-T) before incubation with primary antibodies overnight at 4 °C. Blots were washed four times in TBS-T, incubated with secondary antibodies for 1 h at room temperature, washed again four times then imaged. Secondary antibodies used were Goat Anti-Mouse IgG Fc (HRP) preadsorbed (ab98717) at 1 : 10000 and Goat anti-Rabbit IgG H&L 680RD at 1 : 20000.

All lanes:

Western blot - Anti-LAMP1 antibody [EPR24395-31] - Mouse IgG1 (Chimeric) (<a href='/en-us/products/primary-antibodies/lamp1-antibody-epr24395-31-mouse-igg1-chimeric-ab322992'>ab322992</a>) at 1/1000 dilution

Lane 1:

Wild-type Hap1 cell lysate

Lane 2:

Wild-type HeLa cell lysate

Lane 3:

LAMP1 knock out Hap1 cell lysate

Secondary

Lanes 1 - 3:

Western blot - Goat Anti-Mouse IgG Fc (HRP) preadsorbed (ab98717) at 1/10000 dilution

Lanes 1 - 3:

Goat anti-Rabbit IgG H&L 680RD at 1/20000 dilution

Observed band size: 110 kDa

false

Western blot - Goat Anti-Mouse IgG Fc (HRP) preadsorbed (AB98717)
  • WB

Lab

Western blot - Goat Anti-Mouse IgG Fc (HRP) preadsorbed (AB98717)

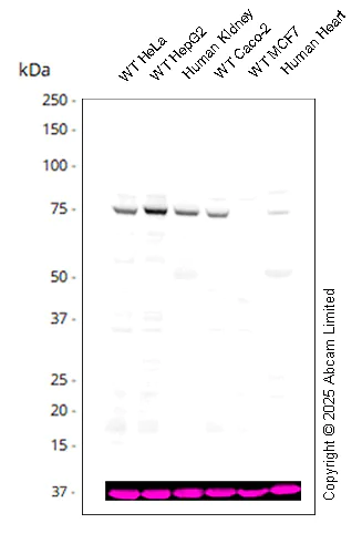
False colour image of Western blot : Anti-FACL4 antibody [EPR8640] - Mouse IgG1 (Chimeric) (ab322988) staining at 1/1000 dilution, shown in black; Rabbit anti-GAPDH loading control staining, shown in magenta. In Western blot, ab322988 was shown to bind specifically to ACSL4. A band was observed at 79 kDa in Wild-type HeLa, HepG2 and Caco-2 cell lysates, with no signal observed at this size in Wild-type MCF7 cell lysates. A band of the same size was also observed in human kidney lysate and lower expression was observed in human heart lysate. Samples were run on an SDS-PAGE gel then transferred onto a nitrocellulose membrane. Membranes were blocked in 5 % milk in TBS-0.1 % Tween® 20 (TBS-T) before incubation with primary antibodies overnight at 4 °C. Blots were washed four times in TBS-T, incubated with secondary antibodies for 1 h at room temperature, washed again four times then imaged. Secondary antibodies used were Goat Anti-Mouse IgG Fc (HRP) preadsorbed (ab98717) at 1 : 10000 and Goat anti-Rabbit IgG H&L 680RD at 1 : 20000.

All lanes:

Western blot - Anti-FACL4 antibody [EPR8640] - Mouse IgG1 (Chimeric) (<a href='/en-us/products/primary-antibodies/facl4-antibody-epr8640-mouse-igg1-chimeric-ab322988'>ab322988</a>) at 1/1000 dilution

Lane 1:

Wild-type HelA cell lysate

Lane 2:

Wild-type HepG2 cell lysate

Lane 3:

Human Kidney lysate

Lane 4:

WIld-type Caco-2 cell lysate

Lane 5:

Wild-type MCF7 cell lysate

Lane 6:

Human heart lysate

Secondary

Lanes 1 - 6:

Western blot - Goat Anti-Mouse IgG Fc (HRP) preadsorbed (ab98717) at 1/10000 dilution

Lanes 1 - 6:

Goat anti-Rabbit IgG H&L 680RD at 1/20000 dilution

Observed band size: 79 kDa

false

Western blot - Goat Anti-Mouse IgG Fc (HRP) preadsorbed (AB98717)
  • WB

Lab

Western blot - Goat Anti-Mouse IgG Fc (HRP) preadsorbed (AB98717)

False colour image of Western blot : Anti-Lamin A + Lamin C antibody [EPR4100] - Nuclear Envelope Marker - Mouse IgG2a (Chimeric) (ab322991) staining at 1/10000 dilution, shown in black; Rabbit anti-GAPDH loading control staining, shown in magenta. In Western blot, ab322991 was shown to bind specifically to LMNA. A band was observed at 74 and 69 kDa in Wild-type HeLa and Hap1 cell lysates, with no signal observed at this size in LMNA knockout Hap1 cell lysates. Samples were run on an SDS-PAGE gel then transferred onto a nitrocellulose membrane. Membranes were blocked in 5 % milk in TBS-0.1 % Tween® 20 (TBS-T) before incubation with primary antibodies overnight at 4 °C. Blots were washed four times in TBS-T, incubated with secondary antibodies for 1 h at room temperature, washed again four times then imaged. Secondary antibodies used were Goat Anti-Mouse IgG Fc (HRP) preadsorbed (ab98717) at 1 : 10000 and Goat anti-Rabbit IgG H&L 680RD at 1 : 20000.

All lanes:

Western blot - Anti-Lamin A + Lamin C antibody [EPR4100] - Nuclear Envelope Marker - Mouse IgG2a (Chimeric) (<a href='/en-us/products/primary-antibodies/lamin-a-lamin-c-antibody-epr4100-nuclear-envelope-marker-mouse-igg2a-chimeric-ab322991'>ab322991</a>) at 1/10000 dilution

Lane 1:

Wild-type HAP1 cell lysate

Lane 2:

Wild-type HeLa cell lysate

Lane 3:

LMNA Knockout Hap1 cell lysate

Secondary

Lanes 1 - 3:

Western blot - Goat Anti-Mouse IgG Fc (HRP) preadsorbed (ab98717) at 1/10000 dilution

Lanes 1 - 3:

Goat anti-Rabbit IgG H&L 680RD

Observed band size: 74 kDa,69 kDa

false

Western blot - Goat Anti-Mouse IgG Fc (HRP) preadsorbed (AB98717)
  • WB

Lab

Western blot - Goat Anti-Mouse IgG Fc (HRP) preadsorbed (AB98717)

This data was developed using ab322989, the same antibody clone in a different buffer formulation.

False colour image of Western blot : Anti-Glucose 6 Phosphate Dehydrogenase antibody [EPR20668] - Mouse IgG1 (Chimeric) (ab322989) staining at 1/1000 dilution, shown in black; Rabbit anti-GAPDH loading control staining, shown in magenta. In Western blot, ab322989 was shown to bind specifically to [target]. A band was observed at 59 kDa in Wild-type A549 cell lysates, with reduced signal observed at this size in Wild-type Hek293 cell lysates. A band of the same size was also observed in human testis lysate and no expression was observed in human pancreas lysate. Samples were run on an SDS-PAGE gel then transferred onto a nitrocellulose membrane. Membranes were blocked in 5 % milk in TBS-0.1 % Tween® 20 (TBS-T) before incubation with primary antibodies overnight at 4 °C. Blots were washed four times in TBS-T, incubated with secondary antibodies for 1 h at room temperature, washed again four times then imaged. Secondary antibodies used were Goat Anti-Mouse IgG Fc (HRP) preadsorbed (ab98717) at 1 : 10000 and Goat anti-Rabbit IgG H&L 680RD at 1 : 20000.

All lanes:

Western blot - Anti-Glucose 6 Phosphate Dehydrogenase antibody [EPR20668] - Mouse IgG1 (Chimeric) (<a href='/en-us/products/primary-antibodies/glucose-6-phosphate-dehydrogenase-antibody-epr20668-mouse-igg1-chimeric-ab322989'>ab322989</a>) at 1/1000 dilution

Lane 1:

Wild-type A549 lysate

Lane 2:

Human Testis lysate

Lane 3:

Wild-type HEK293 Cell Lysate

Lane 4:

Human Pancreas lysate

Secondary

Lanes 1 - 4:

Western blot - Goat Anti-Mouse IgG Fc (HRP) preadsorbed (ab98717) at 1/10000 dilution

Lanes 1 - 4:

Goat anti-Rabbit IgG H&L 680RD at 1/20000 dilution

Observed band size: 59 kDa

false

Western blot - Goat Anti-Mouse IgG Fc (HRP) preadsorbed (AB98717)
  • WB

Lab

Western blot - Goat Anti-Mouse IgG Fc (HRP) preadsorbed (AB98717)

False colour image of Western blot : Anti-RPA32/RPA2 antibody [EPR2877Y] - Mouse IgG1 (Chimeric) (ab324313) staining at 1/1000 dilution, shown in black; Rabbit anti-alpha tubulin loading control staining, shown in magenta. In Western blot, ab324313 was shown to bind specifically to RPA2 protein in HeLa whole cell lysate. HeLa (Human cervix adenocarcinoma epithelial cell) whole cell lysate 20ug. Samples were run on an SDS-PAGE gel then transferred onto a nitrocellulose membrane. Membranes were blocked in 3 % milk in TBS-0.1 % Tween® 20 (TBS-T) before incubation with primary antibodies overnight at 4 °C. Blots were washed four times in TBS-T, incubated with secondary antibodies for 1 h at room temperature, washed again four times then imaged. Secondary antibodies used were Goat Anti-Mouse IgG Fc (HRP) preadsorbed (ab98717) at 1 : 10000 and Goat anti-Rabbit IgG H&L 680RD at 1 : 20000.

All lanes:

Western blot - Anti-RPA32/RPA2 antibody [EPR2877Y] - Mouse IgG1 (Chimeric) (<a href='/en-us/products/primary-antibodies/rpa32-rpa2-antibody-epr2877y-mouse-igg1-chimeric-ab324313'>ab324313</a>) at 1/1000 dilution

All lanes:

HeLa (Human cervix adenocarcinoma epithelial cell) whole cell lysate at 20 µg

Secondary

Lane 1:

Western blot - Goat Anti-Mouse IgG Fc (HRP) preadsorbed (ab98717) at 1/10000 dilution

Lane 1:

Goat anti-Rabbit IgG H&L 680RD at 1/20000 dilution

Observed band size: 29 kDa

false

Western blot - Goat Anti-Mouse IgG Fc (HRP) preadsorbed (AB98717)
  • WB

Supplier Data

Western blot - Goat Anti-Mouse IgG Fc (HRP) preadsorbed (AB98717)

Blocking and diluting buffer and concentration : 5% NFDM/TBST.

Negative control : Spleen (PMID : 24309898)

In Western blot, Anti-GAPDH antibody [EPR16891] - Loading Control (ab181602) staining at 1/200000 dilution.

All lanes:

Western blot - Anti-Cytokeratin 19 antibody [EP1580Y] - Mouse IgG2a (Chimeric) (<a href='/en-us/products/primary-antibodies/cytokeratin-19-antibody-ep1580y-mouse-igg2a-chimeric-ab323562'>ab323562</a>) at 1/1000 dilution

Lane 1:

SK-BR-3 (human breast adenocarcinoma epithelial cell) whole cell lysate at 20 µg

Lane 2:

Human colon tissue lysate at 20 µg

Lane 3:

Human stomach tissue lysate at 20 µg

Lane 4:

Human spleen tissue lysate at 40 µg

Secondary

All lanes:

Western blot - Goat Anti-Mouse IgG Fc (HRP) preadsorbed (ab98717) at 1/20000 dilution

Observed band size: 44 kDa,36 kDa

false

Exposure time: 15s

Western blot - Goat Anti-Mouse IgG Fc (HRP) preadsorbed (AB98717)
  • WB

Supplier Data

Western blot - Goat Anti-Mouse IgG Fc (HRP) preadsorbed (AB98717)

Blocking and diluting buffer and concentration : 5% NFDM/TBST.

Negative control : SH-SY5Y (PMID : 30650643 and PMID : 27345400)

In Western blot, Anti-Histone H3 antibody [EPR16987] - Nuclear Marker and ChIP Grade (ab176842) staining at 1/100000 dilution.

All lanes:

Western blot - Anti-Cytokeratin 19 antibody [EP1580Y] - Mouse IgG2a (Chimeric) (<a href='/en-us/products/primary-antibodies/cytokeratin-19-antibody-ep1580y-mouse-igg2a-chimeric-ab323562'>ab323562</a>) at 1/1000 dilution

Lane 1:

MCF7 (human breast adenocarcinoma epithelial cell) whole cell lysate at 20 µg

Lane 2:

SH-SY5Y (human neuroblastoma epithelial cell) whole cell lysate at 40 µg

Secondary

All lanes:

Western blot - Goat Anti-Mouse IgG Fc (HRP) preadsorbed (ab98717) at 1/20000 dilution

Observed band size: 44 kDa,17 kDa

false

Exposure time: 4s

Western blot - Goat Anti-Mouse IgG Fc (HRP) preadsorbed (AB98717)
  • WB

Lab

Western blot - Goat Anti-Mouse IgG Fc (HRP) preadsorbed (AB98717)

False colour image of Western blot : Anti-HIF-1 alpha antibody [EP1215Y] - Mouse IgG1 (Chimeric) (ab324312) staining at 1/1000 dilution, shown in black; Rabbit anti-GAPDH loading control staining, shown in magenta. In Western blot, ab324312 was shown to bind specifically to HIF1A. A band was observed at 105 kDa in wild-type Wild-type HCT 116 DMOG (0 mM, 4 h) cell lysates with no signal observed at this size in HIF1A knockout cell line. To generate this image, wild-type and HIF1A knockout Wild-type HCT 116 DMOG (0 mM, 4 h) cell lysates were analysed. Samples were run on an SDS-PAGE gel then transferred onto a nitrocellulose membrane. Membranes were blocked in 5 % milk in TBS-0.1 % Tween® 20 (TBS-T) before incubation with primary antibodies overnight at 4 °C. Blots were washed four times in TBS-T, incubated with secondary antibodies for 1 h at room temperature, washed again four times then imaged. Secondary antibodies used were Goat Anti-Mouse IgG Fc (HRP) preadsorbed (ab98717) at 1 : 10000 and Goat anti-Rabbit IgG H&L 680RD at 1 : 20000.

All lanes:

Western blot - Anti-HIF-1 alpha antibody [EP1215Y] - Mouse IgG1 (Chimeric) (<a href='/en-us/products/primary-antibodies/hif-1-alpha-antibody-ep1215y-mouse-igg1-chimeric-ab324312'>ab324312</a>) at 1/1000 dilution

Lane 1:

Untreated wild-type HCT 116 cells

Lane 2:

Wild-type HCT 116 DMOG (1 mM, 4 h) cells

Lane 3:

Untreated HIF1A knockout cells

Lane 4:

HIF1A knockout DMOG (1 mM, 4 h) cells

Secondary

Lanes 1 - 4:

Western blot - Goat Anti-Mouse IgG Fc (HRP) preadsorbed (ab98717) at 1/10000 dilution

Lanes 1 - 4:

Goat anti-Rabbit IgG H&L 680RD at 1/20000 dilution

Observed band size: 105 kDa

false

Western blot - Goat Anti-Mouse IgG Fc (HRP) preadsorbed (AB98717)
  • WB

Supplier Data

Western blot - Goat Anti-Mouse IgG Fc (HRP) preadsorbed (AB98717)

Blocking and diluting buffer and concentration : 5% NFDM/TBST Exposure time : Lanes 1-3 : 48 seconds;Lanes 4-9 : 92 seconds;Lanes 10-13 : 37 seconds

All lanes:

Western blot - Anti-APG5L/ATG5 antibody [EPR1755(2)] - Mouse IgG1 (Chimeric) (<a href='/en-us/products/primary-antibodies/apg5l-atg5-antibody-epr17552-mouse-igg1-chimeric-ab307842'>ab307842</a>) at 1/1000 dilution

Lane 1:

HT-1080 (human fibrosarcoma epithelial cell)whole cell lysate at 20 µg

Lane 2:

HeLa (human cervix adenocarcinoma epithelial cell)whole cell lysate at 20 µg

Lane 3:

Mouse brain tissue lysate at 10 µg

Lane 4:

Mouse heart tissue lysate at 10 µg

Lane 5:

Mouse kidney tissue lysate at 10 µg

Lane 6:

Mouse spleen tissue lysate at 10 µg

Lane 7:

Rat brain tissue lysate at 10 µg

Lane 8:

Rat heart tissue lysate at 10 µg

Lane 9:

C6 (rat glial tumor glial cell)whole cell lysate at 10 µg

Lane 10:

RAW264.7 (mouse Abelson murine leukemia virus-induced tumor macrophage)whole cell lysate at 10 µg

Lane 11:

PC-12 (rat adrenal gland pheochromocytoma)whole cell lysate at 10 µg

Secondary

All lanes:

Western blot - Goat Anti-Mouse IgG Fc (HRP) preadsorbed (ab98717) at 1/20000 dilution

Observed band size: 55 kDa

false

Exposure time: 48s

Western blot - Goat Anti-Mouse IgG Fc (HRP) preadsorbed (AB98717)
  • WB

Lab

Western blot - Goat Anti-Mouse IgG Fc (HRP) preadsorbed (AB98717)

All lanes:

Western blot - Anti-Beclin 1 antibody [EPR19662] - Mouse IgG2a (Chimeric) (<a href='/en-us/products/primary-antibodies/beclin-1-antibody-epr19662-mouse-igg2a-chimeric-ab289864'>ab289864</a>) at 1/1000 dilution

Lane 1:

Human liver tissue lysate at 20 µg

Lane 2:

Mouse heart tissue lysate at 20 µg

Lane 3:

Mouse spleen tissue lysate at 20 µg

Lane 4:

Rat heart tissue lysate at 20 µg

Lane 5:

Rat spleen tissue lysate at 20 µg

Secondary

All lanes:

Western blot - Goat Anti-Mouse IgG Fc (HRP) preadsorbed (ab98717) at 1/20000 dilution

Predicted band size: 51 kDa

Observed band size: 52 kDa

false

Western blot - Goat Anti-Mouse IgG Fc (HRP) preadsorbed (AB98717)
  • WB

Supplier Data

Western blot - Goat Anti-Mouse IgG Fc (HRP) preadsorbed (AB98717)

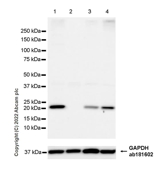
Blocking and diluting buffer and concentration : 5% NFDM/TBST. In Western blot, ab307607 was shown to bind specifically to RAB8A. A band was observed at 23 kDa in wild-type HeLa cell lysates with whereas no signal observed at this size in RAB8A knockout cell line ab264993 (knockout cell lysate ab257195). Exposure time : 48 seconds.

All lanes:

Western blot - Anti-RAB8A antibody [MJF-R22-79-3] - Mouse IgG2a (Chimeric) (<a href='/en-us/products/primary-antibodies/rab8a-antibody-mjf-r22-79-3-mouse-igg2a-chimeric-ab307607'>ab307607</a>) at 1/5000 dilution

Lane 1:

Wild-type HeLa (human cervix adenocarcinoma epithelial cell), whole cell lysate 20 μg

Lane 2:

RAB8A knockout HeLa (human cervix adenocarcinoma epithelial cell), whole cell lysate 20 μg

Lane 3:

HCT116 (human colorectal carcinoma epithelial cell)whole cell lysate 20 μg

Lane 4:

A549 (human lung carcinoma epithelial cell), whole cell lysate 20 μg

Observed band size: 23 kDa

false

Exposure time: 48s

Western blot - Goat Anti-Mouse IgG Fc (HRP) preadsorbed (AB98717)
  • WB

Lab

Western blot - Goat Anti-Mouse IgG Fc (HRP) preadsorbed (AB98717)

All lanes:

Western blot - Anti-Beclin 1 antibody [EPR19662] - Mouse IgG2a (Chimeric) (<a href='/en-us/products/primary-antibodies/beclin-1-antibody-epr19662-mouse-igg2a-chimeric-ab289864'>ab289864</a>) at 1/1000 dilution

Lane 1:

HeLa (human cervix adenocarcinoma epithelial cell), whole cell lysate at 20 µg

Lane 2:

HepG2 (human hepatocellular carcinoma epithelial cell), whole cell lysate at 20 µg

Lane 3:

HEK-293 (human embryonic kidney epithelial cell), whole cell lysate at 20 µg

Lane 4:

MCF7 (human breast adenocarcinoma epithelial cell), whole cell lysate at 20 µg

Lane 5:

NIH/3T3 (mouse embryonic fibroblast), whole cell lysate at 20 µg

Lane 6:

A20 (mouse reticulum sarcoma B lymphocyte), whole cell lysate at 20 µg

Lane 7:

C2C12 (mouse myoblasts myoblast), whole cell lysate at 20 µg

Lane 8:

C6 (rat glial tumor glial cell), whole cell lysate at 20 µg

Lane 9:

PC-12 (rat adrenal gland pheochromocytoma), whole cell lysa at 20 µg

Secondary

All lanes:

Western blot - Goat Anti-Mouse IgG Fc (HRP) preadsorbed (ab98717) at 1/20000 dilution

Predicted band size: 51 kDa

Observed band size: 52 kDa

false

Western blot - Goat Anti-Mouse IgG Fc (HRP) preadsorbed (AB98717)
  • WB

Supplier Data

Western blot - Goat Anti-Mouse IgG Fc (HRP) preadsorbed (AB98717)

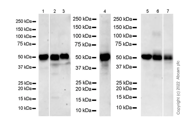
All lanes:

Western blot - Anti-C5a / C5a des Arg antibody [C17/5] (<a href='/en-us/products/primary-antibodies/c5a-c5a-des-arg-antibody-c17-5-ab303662'>ab303662</a>) at 1/1000 dilution

Lane 1:

Human plasma lysate at 20 µg

Lane 2:

Human skeletal muscle tissue lysate at 20 µg

Secondary

All lanes:

Western blot - Goat Anti-Mouse IgG Fc (HRP) preadsorbed (ab98717) at 1/5000 dilution

Observed band size: 110 kDa

false

Exposure time: 60s

Western blot - Goat Anti-Mouse IgG Fc (HRP) preadsorbed (AB98717)
  • WB

Supplier Data

Western blot - Goat Anti-Mouse IgG Fc (HRP) preadsorbed (AB98717)

Blocking and diluting buffer and concentration : 5% NFDM/TBST Exposure time : Lane 1-3 : 15 seconds Lane 4, 5 : 125 seconds

All lanes:

Western blot - Anti-Cathepsin D [EPR3057Y] - Mouse IgG2a (Chimeric) (<a href='/en-us/products/primary-antibodies/cathepsin-d-epr3057y-mouse-igg2a-chimeric-ab302649'>ab302649</a>) at 1/1000 dilution

Lane 1:

Human heart tissue lysate at 20 µg

Lane 2:

Human liver tissue lysate at 20 µg

Lane 3:

Human spleen tissue lysate at 20 µg

Lane 4:

Mouse brain tissue lysate at 20 µg

Lane 5:

Rat stomach tissue lysate at 20 µg

Secondary

All lanes:

Western blot - Goat Anti-Mouse IgG Fc (HRP) preadsorbed (ab98717) at 1/20000 dilution

Observed band size: 14 kDa,28 kDa,46 kDa

false

Exposure time: 15s

Western blot - Goat Anti-Mouse IgG Fc (HRP) preadsorbed (AB98717)
  • WB

Supplier Data

Western blot - Goat Anti-Mouse IgG Fc (HRP) preadsorbed (AB98717)

Blocking and diluting buffer and concentration : 5% NFDM/TBST Exposure time : 15 seconds

All lanes:

Western blot - Anti-RAB10 antibody [MJF-R23] - Mouse IgG2a (Chimeric) (<a href='/en-us/products/primary-antibodies/rab10-antibody-mjf-r23-mouse-igg2a-chimeric-ab307296'>ab307296</a>) at 1/1000 dilution

Lane 1:

A549 (human lung carcinoma epithelial cell) whole cell lysate at 20 µg

Lane 2:

HeLa (human epithelial cell line from cervix adenocarcinoma) whole cell lysate at 20 µg

Lane 3:

HCT116 (human colorectal carcinoma epithelial cell) whole cell lysate at 20 µg

Lane 4:

NIH/3T3 (mouse embryonic fibroblast) whole cell lysate at 20 µg

Lane 5:

C6 (rat glial tumor glial cell) whole cell lysate at 20 µg

Secondary

All lanes:

Western blot - Goat Anti-Mouse IgG Fc (HRP) preadsorbed (ab98717) at 1/20000 dilution

Observed band size: 22 kDa

false

Exposure time: 15s

Western blot - Goat Anti-Mouse IgG Fc (HRP) preadsorbed (AB98717)
  • WB

Supplier Data

Western blot - Goat Anti-Mouse IgG Fc (HRP) preadsorbed (AB98717)

Negative control : Jurkat (PMID : 25108024). The expression profile observed in Jurkat is consistent with the literature (PMID : 25108024). Exposure time : 26 seconds.

All lanes:

Western blot - Anti-LAG-3 antibody [EPR20261] - Mouse IgG1 (Chimeric) (<a href='/en-us/products/primary-antibodies/lag-3-antibody-epr20261-mouse-igg1-chimeric-ab307517'>ab307517</a>) at 1/1000 dilution

Lane 1:

HDLM-2 (human Hodgkin lymphoma) whole cell lysate 20 μg

Lane 2:

Jurkat (human T cell leukemia T lymphocyte) whole cell lysate 20 μg

Observed band size: 54 kDa,70 kDa

false

Exposure time: 26s

Western blot - Goat Anti-Mouse IgG Fc (HRP) preadsorbed (AB98717)
  • WB

Supplier Data

Western blot - Goat Anti-Mouse IgG Fc (HRP) preadsorbed (AB98717)

Blocking and diluting buffer and concentration : 5% NFDM/TBST.

Low expression : U937 (Human Protein Atlas).

This blot was developed using a high sensitivity ECL substrate. The high-sensitivity ECL substrate used allows for the detection of proteins in the mid-femtogram range.

All lanes:

Western blot - Anti-RILPL1 antibody [MJF-R41-21] - Mouse IgG2a (Chimeric) (<a href='/en-us/products/primary-antibodies/rilpl1-antibody-mjf-r41-21-mouse-igg2a-chimeric-ab307294'>ab307294</a>) at 1/1000 dilution

Lane 1:

SH-SY5Y (human neuroblastoma epithelial cell), whole cell lysate at 20 µg

Lane 2:

HEK-293 (human embryonic kidney epithelial cell), whole cell lysate at 20 µg

Lane 3:

U937 (human histiocytic lymphoma monocyte), whole cell lysate at 20 µg

Lane 4:

Human cerebellum tissue lysate at 20 µg

Secondary

All lanes:

Western blot - Goat Anti-Mouse IgG Fc (HRP) preadsorbed (ab98717) at 1/20000 dilution

Observed band size: 47 kDa

true

Exposure time: 81s

Western blot - Goat Anti-Mouse IgG Fc (HRP) preadsorbed (AB98717)
  • WB

Lab

Western blot - Goat Anti-Mouse IgG Fc (HRP) preadsorbed (AB98717)

False colour image of Western blot : Anti-Lamin B1 antibody [EPR8985(B)] - Nuclear Envelope Marker - Mouse IgG1 (Chimeric) (ab324446) staining at 1/1000 dilution, shown in black; Rabbit anti-GAPDH loading control staining, shown in magenta. In Western blot, ab324446 was shown to bind specifically to LMNB1. A band was observed at 66 kDa in Wild-type HeLa cell lysates with no signal observed at this size in LMNB1 knockout cell line. A band of the same size was also observed in mouse heart lysate. Samples were run on an SDS-PAGE gel then transferred onto a nitrocellulose membrane. Membranes were blocked in 3 % milk in TBS-0.1 % Tween® 20 (TBS-T) before incubation with primary antibodies overnight at 4 °C. Blots were washed four times in TBS-T, incubated with secondary antibodies for 1 h at room temperature, washed again four times then imaged. Secondary antibodies used were Goat Anti-Mouse IgG Fc (HRP) preadsorbed (ab98717) at 1 : 10000 and Goat anti-Rabbit IgG H&L 680RD at 1 : 20000.

All lanes:

Western blot - Anti-Lamin B1 antibody [EPR8985(B)] - Nuclear Envelope Marker - Mouse IgG1 (Chimeric) (<a href='/en-us/products/primary-antibodies/lamin-b1-antibody-epr8985b-nuclear-envelope-marker-mouse-igg1-chimeric-ab324446'>ab324446</a>) at 1/1000 dilution

Lane 1:

HeLa WT

Lane 2:

HeLa KO

Lane 3:

Mouse Heart

Secondary

Lanes 1 - 3:

Western blot - Goat Anti-Mouse IgG Fc (HRP) preadsorbed (ab98717) at 1/10000 dilution

Lanes 1 - 3:

Goat anti-Rabbit IgG H&L 680RD at 1/20000 dilution

Observed band size: 66 kDa

false

Western blot - Goat Anti-Mouse IgG Fc (HRP) preadsorbed (AB98717)
  • WB

Supplier Data

Western blot - Goat Anti-Mouse IgG Fc (HRP) preadsorbed (AB98717)

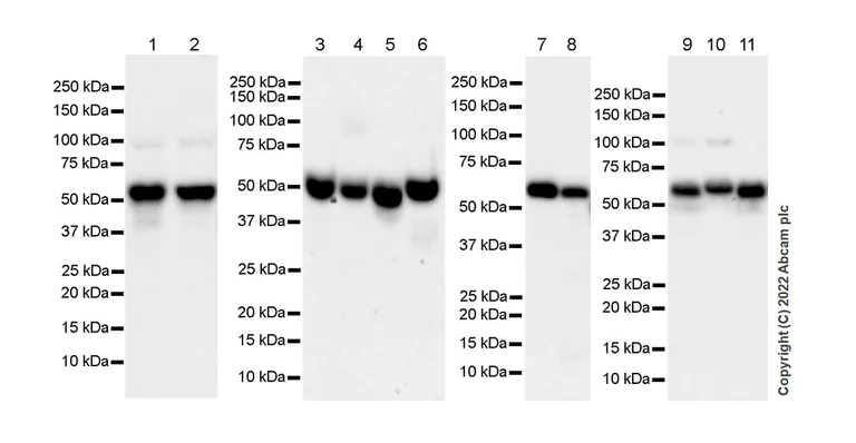
Blocking and diluting buffer and concentration : 5% NFDM/TBST. In Western blot, ab307294 was shown to bind specifically to RILPL1. A band was observed at 47 kDa in wild-type A549 cell lysates with whereas no signal observed at this size in RILPL1 knockout cell line. Wild-type and RILPL1 knockout A549 cell lysates were kindly provided by Dr. Dario Alessi, University of Dundee. Exposure time : 3 minutes.

All lanes:

Western blot - Anti-RILPL1 antibody [MJF-R41-21] - Mouse IgG2a (Chimeric) (<a href='/en-us/products/primary-antibodies/rilpl1-antibody-mjf-r41-21-mouse-igg2a-chimeric-ab307294'>ab307294</a>) at 1/1000 dilution

Lane 1:

Wild-type A549 (human lung carcinoma epithelial cell), whole cell lysate 20 μg at 20 µg

Lane 2:

RILPL1 knockout A549 (human lung carcinoma epithelial cell), whole cell lysate 20 μg at 20 µg

Lane 3:

HeLa (human cervix adenocarcinoma epithelial cell), whole cell lysate 20 μg at 20 µg

Lane 4:

MEF (mouse embryonic fibroblast (immortalized)), whole cell lysate 20 μg at 20 µg

Secondary

All lanes:

Western blot - Goat Anti-Mouse IgG Fc (HRP) preadsorbed (ab98717) at 1/20000 dilution

Observed band size: 47 kDa

false

Exposure time: 3min

Western blot - Goat Anti-Mouse IgG Fc (HRP) preadsorbed (AB98717)
  • WB

Supplier Data

Western blot - Goat Anti-Mouse IgG Fc (HRP) preadsorbed (AB98717)

Blocking and diluting buffer and concentration : 5% NFDM/TBST Exposure time : 26 seconds

All lanes:

Western blot - Anti-Cathepsin D [EPR3057Y] - Mouse IgG2a (Chimeric) (<a href='/en-us/products/primary-antibodies/cathepsin-d-epr3057y-mouse-igg2a-chimeric-ab302649'>ab302649</a>) at 1/1000 dilution

Lane 1:

MCF7 (human breast adenocarcinoma epithelial cell), whole cell lysate at 20 µg

Lane 2:

SH-SY5Y (human neuroblastoma epithelial cell), whole cell lysate at 20 µg

Lane 3:

SK-BR-3 (human breast adenocarcinoma epithelial cell), whole cell lysate at 20 µg

Lane 4:

U937 (human histiocytic lymphoma monocyte), whole cell lysate at 20 µg

Lane 5:

A431 (human epidermoid carcinoma epithelial cell), whole cell lysate at 20 µg

Lane 6:

HepG2 (human hepatocellular carcinoma epithelial cell), whole cell lysate at 20 µg

Lane 7:

RAW264.7 (mouse Abelson murine leukemia virus-induced tumor macrophage), whole cell lysate at 20 µg

Lane 8:

Neuro-2a (mouse neuroblastoma neuroblast), whole cell lysate at 20 µg

Secondary

All lanes:

Western blot - Goat Anti-Mouse IgG Fc (HRP) preadsorbed (ab98717) at 1/20000 dilution

Observed band size: 28 kDa,14 kDa,46 kDa

false

Exposure time: 26s

Western blot - Goat Anti-Mouse IgG Fc (HRP) preadsorbed (AB98717)
  • WB

Supplier Data

Western blot - Goat Anti-Mouse IgG Fc (HRP) preadsorbed (AB98717)

Blocking and diluting buffer and concentration : 5% NFDM/TBST In Western blot, ab307296 was shown to bind specifically to RAB10. A band was observed at 22 kDa in wild-type A549 cell lysates with whereas no signal observed at this size in RAB10 knockout cell line. In Western blot, anti-GAPDH antibody (ab181602) loading control staining at 1/200000 dilution. Exposure time : 10 seconds

All lanes:

Western blot - Anti-RAB10 antibody [MJF-R23] - Mouse IgG2a (Chimeric) (<a href='/en-us/products/primary-antibodies/rab10-antibody-mjf-r23-mouse-igg2a-chimeric-ab307296'>ab307296</a>) at 1/1000 dilution

Lane 1:

Wild-type A549 (human lung carcinoma epithelial cell) whole cell lysate at 20 µg

Lane 2:

RAB10 knockout A549 whole cell lysate at 20 µg

Lane 3:

HeLa (human cervix adenocarcinoma epithelial cell) whole cell lysate at 20 µg

Lane 4:

MCF7 (human breast adenocarcinoma epithelial cell) whole cell lysate at 20 µg

Secondary

All lanes:

Western blot - Goat Anti-Mouse IgG Fc (HRP) preadsorbed (ab98717) at 1/20000 dilution

Observed band size: 22 kDa

false

Exposure time: 10s

Western blot - Goat Anti-Mouse IgG Fc (HRP) preadsorbed (AB98717)
  • WB

Supplier Data

Western blot - Goat Anti-Mouse IgG Fc (HRP) preadsorbed (AB98717)

Blocking and diluting buffer and concentration : 5% NFDM/TBST. Negative control : Kidney and heart. (PMID : 14997013). In Western blot, anti-GAPDH antibody (ab181602) loading control staining at 1/200000 dilution. Exposure time : 37 seconds.

All lanes:

Western blot - Anti-Alpha-synuclein antibody [MJFR1] - Mouse IgG2a (Chimeric) (<a href='/en-us/products/primary-antibodies/alpha-synuclein-antibody-mjfr1-mouse-igg2a-chimeric-ab309157'>ab309157</a>) at 1/1000 dilution

Lane 1:

Human cerebellum tissue lysate at 10 µg

Lane 2:

Human heart tissue lysate at 10 µg

Lane 3:

Human kidney tissue lysate at 10 µg

Secondary

All lanes:

Western blot - Goat Anti-Mouse IgG Fc (HRP) preadsorbed (ab98717) at 1/20000 dilution

Observed band size: 18 kDa

false

Exposure time: 37s

Western blot - Goat Anti-Mouse IgG Fc (HRP) preadsorbed (AB98717)
  • WB

Supplier Data

Western blot - Goat Anti-Mouse IgG Fc (HRP) preadsorbed (AB98717)

Blocking and diluting buffer and concentration : 5% NFDM/TBST.

This blot was developed using a high sensitivity ECL substrate. The high-sensitivity ECL substrate used allows for the detection of proteins in the mid-femtogram range.

Exposure time :

Lane 1-4 : 180 seconds

Lanes 5-7 : 125 seconds

All lanes:

Western blot - Anti-RILPL1 antibody [MJF-R41-21] - Mouse IgG2a (Chimeric) (<a href='/en-us/products/primary-antibodies/rilpl1-antibody-mjf-r41-21-mouse-igg2a-chimeric-ab307294'>ab307294</a>) at 1/1000 dilution

Lane 1:

C6 (rat glial tumor cell), whole cell lysate at 10 µg

Lane 2:

PC-12 (rat adrenal gland pheochromocytoma), whole cell lysate at 10 µg

Lane 3:

NIH/3T3 (mouse embryonic fibroblast), whole cell lysate at 10 µg

Lane 4:

Rat brain tissue lysate at 10 µg

Lane 5:

Mouse brain tissue lysate at 10 µg

Lane 6:

Mouse heart tissue lysate at 10 µg

Lane 7:

Mouse spleen tissue lysate at 10 µg

Secondary

All lanes:

Western blot - Goat Anti-Mouse IgG Fc (HRP) preadsorbed (ab98717) at 1/20000 dilution

Observed band size: 47 kDa

true

Western blot - Goat Anti-Mouse IgG Fc (HRP) preadsorbed (AB98717)
  • WB

Supplier Data

Western blot - Goat Anti-Mouse IgG Fc (HRP) preadsorbed (AB98717)

Blocking and diluting buffer and concentration : 5% NFDM/TBST.

Negative control : Spleen (PMID : 24309898)

In Western blot, Anti-GAPDH antibody [EPR16891] - Loading Control (ab181602) staining at 1/200000 dilution.

All lanes:

Western blot - Anti-Cytokeratin 19 antibody [EP1580Y] - Mouse IgG2a (Chimeric) (<a href='/en-us/products/primary-antibodies/cytokeratin-19-antibody-ep1580y-mouse-igg2a-chimeric-ab323562'>ab323562</a>) at 1/1000 dilution

Lane 1:

Mouse colon tissue lysate at 20 µg

Lane 2:

Mouse spleen tissue lysate at 20 µg

Lane 3:

Rat colon tissue lysate at 20 µg

Lane 4:

Rat spleen tissue lysate at 20 µg

Secondary

All lanes:

Western blot - Goat Anti-Mouse IgG Fc (HRP) preadsorbed (ab98717) at 1/20000 dilution

Observed band size: 44 kDa,36 kDa

false

Exposure time: 26s

Western blot - Goat Anti-Mouse IgG Fc (HRP) preadsorbed (AB98717)
  • WB

Supplier Data

Western blot - Goat Anti-Mouse IgG Fc (HRP) preadsorbed (AB98717)

Blocking and diluting buffer and concentration : 5% NFDM/TBST. Low expression tissues : Kidney and heart (PMID : 11604140). In Western blot, anti- Vinculin antibody (ab129002) loading control staining at 1/10000 dilution. Exposure time : 1 second.

All lanes:

Western blot - Anti-Synaptophysin antibody [YE269] - Synaptic marker - Mouse IgG1 (Chimeric) (<a href='/en-us/products/primary-antibodies/synaptophysin-antibody-ye269-synaptic-marker-mouse-igg1-chimeric-ab309493'>ab309493</a>) at 1/1000 dilution

Lane 1:

Mouse brain tissue lysate at 20 µg

Lane 2:

Mouse cerebellum tissue lysate at 20 µg

Lane 3:

Mouse hippocampus tissue lysate at 20 µg

Lane 4:

Mouse heart tissue lysate at 20 µg

Lane 5:

Mouse kidney tissue lysate at 20 µg

Lane 6:

Rat brain tissue lysate at 20 µg

Lane 7:

Rat cerebellum tissue lysate at 20 µg

Lane 8:

Rat heart tissue lysate at 20 µg

Lane 9:

Rat kidney tissue lysate at 20 µg

Secondary

All lanes:

Western blot - Goat Anti-Mouse IgG Fc (HRP) preadsorbed (ab98717) at 1/20000 dilution

Observed band size: 38 kDa

false

Western blot - Goat Anti-Mouse IgG Fc (HRP) preadsorbed (AB98717)
  • WB

Supplier Data

Western blot - Goat Anti-Mouse IgG Fc (HRP) preadsorbed (AB98717)

Blocking and diluting buffer and concentration : 5% NFDM/TBST.

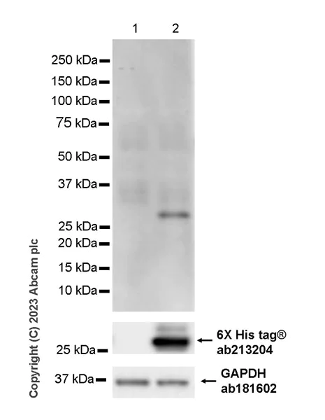
In Western blot, Anti-GAPDH antibody [EPR16891] - Loading Control (ab181602) staining at 1/200000 dilution.

In Western blot, Anti-6X His tag® antibody [EPR20547] - ChIP Grade (ab213204) staining at 1/5000 dilution.

All lanes:

Western blot - Anti-RAB10 (phospho T73) antibody [MJF-R21] - Mouse IgG2a (Chimeric) (<a href='/en-us/products/primary-antibodies/rab10-phospho-t73-antibody-mjf-r21-mouse-igg2a-chimeric-ab315174'>ab315174</a>) at 1/1000 dilution

Lane 1:

293T (human embryonic kidney epithelial cell) transfected with an empty vector containing a myc-His-tag, whole cell lysate at 20 µg

Lane 2:

293T transfected with human RAB10 expression vector containing a myc-His-tag, whole cell lysate at 20 µg

Secondary

All lanes:

Western blot - Goat Anti-Mouse IgG Fc (HRP) preadsorbed (ab98717) at 1/100000 dilution

Observed band size: 23 kDa,36 kDa

true

Exposure time: 180s

Western blot - Goat Anti-Mouse IgG Fc (HRP) preadsorbed (AB98717)
  • WB

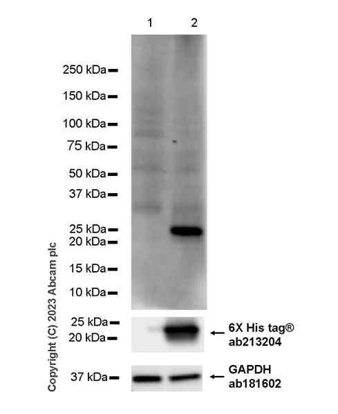
Supplier Data

Western blot - Goat Anti-Mouse IgG Fc (HRP) preadsorbed (AB98717)

Blocking and diluting buffer and concentration : 5% NFDM/TBST.

In Western blot, Anti-GAPDH antibody [EPR16891] - Loading Control (ab181602) staining at 1/200000 dilution.

In Western blot, Anti-6X His tag® antibody [EPR20547] - ChIP Grade (ab213204) staining at 1/5000 dilution.

All lanes:

Western blot - Anti-RAB10 (phospho T73) antibody [MJF-R21-22-5] - Mouse IgG2a (Chimeric) (<a href='/en-us/products/primary-antibodies/rab10-phospho-t73-antibody-mjf-r21-22-5-mouse-igg2a-chimeric-ab315172'>ab315172</a>) at 1/1000 dilution

Lane 1:

293T (human embryonic kidney epithelial cell) transfected with an empty vector containing a myc-His-tag, whole cell lysate at 20 µg

Lane 2:

293T transfected with human RAB10 expression vector containing a myc-His-tag, whole cell lysate at 20 µg

Secondary

All lanes:

Western blot - Goat Anti-Mouse IgG Fc (HRP) preadsorbed (ab98717) at 1/100000 dilution

Observed band size: 23 kDa,36 kDa

false

Exposure time: 92s

Western blot - Goat Anti-Mouse IgG Fc (HRP) preadsorbed (AB98717)
  • WB

Supplier Data

Western blot - Goat Anti-Mouse IgG Fc (HRP) preadsorbed (AB98717)

False colour image of Western blot : Anti-SARS-CoV-2 Spike Glycoprotein S2 antibody [EPR25038-122] - BSA and Azide free - Mouse IgG1 (Chimeric) (ab324891) staining at 1/1000 dilution, shown in black.

In Western blot, ab324891 was shown to bind specifically to SARS-CoV-2 Spike Glycoprotein S2. Samples were run on an SDS-PAGE gel then transferred onto a nitrocellulose membrane. Membranes were blocked in 3% milk in TBS-0.1% Tween® 20 (TBS-T) before incubation with primary antibodies overnight at 4°C. Blots were washed four times in TBS-T, incubated with secondary antibodies for 1h at room temperature, washed again four times then imaged.

Blocking buffer : 3% milk in TBS-0.1% Tween® 20 (TBS-T)

All lanes:

Western blot - Anti-SARS-CoV-2 S Glycoprotein S2 antibody [EPR25038-122] - Mouse IgG1 (Chimeric) - BSA & Azide free (<a href='/en-us/products/primary-antibodies/sars-cov-2-spike-glycoprotein-s2-antibody-epr25038-122-mouse-igg1-chimeric-bsa-and-azide-free-ab324891'>ab324891</a>) at 1/1000 dilution

Lane 1:

Western blot - Recombinant Human coronavirus SARS-CoV-2 Spike Glycoprotein S2 (Fc Chimera) (<a href='/en-us/products/proteins-peptides/recombinant-human-coronavirus-sars-cov-2-spike-glycoprotein-s2-fc-chimera-ab272106'>ab272106</a>) at 0.2 µg

Lane 2:

Western blot - Recombinant Human coronavirus SARS-CoV-2 nucleocapsid protein (His tag) (<a href='/en-us/products/proteins-peptides/recombinant-human-coronavirus-sars-cov-2-nucleocapsid-protein-his-tag-ab273530'>ab273530</a>) at 0.2 µg

Secondary

All lanes:

Western blot - Goat Anti-Mouse IgG Fc (HRP) preadsorbed (ab98717) at 1/10000 dilution

Observed band size: 135 kDa

false

Exposure time: 10s

Western blot - Goat Anti-Mouse IgG Fc (HRP) preadsorbed (AB98717)
  • WB

Supplier Data

Western blot - Goat Anti-Mouse IgG Fc (HRP) preadsorbed (AB98717)

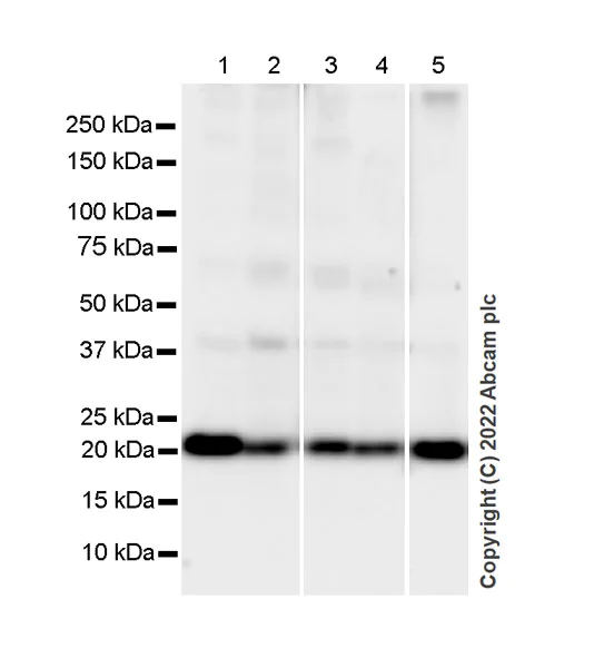
This data was developed using ab289980, the same antibody clone in a different buffer formulation.

Blocking and dilution buffer : 5% NFDM/TBST

ab289980 detects a ranged of myc tagged proteins in WB.

All lanes:

Western blot - Anti-Myc tag antibody [Hyper-myc] - Mouse IgG2a (Chimeric) (<a href='/en-us/products/primary-antibodies/myc-tag-antibody-hyper-myc-mouse-igg2a-chimeric-ab289980'>ab289980</a>) at 1/5000 dilution

Lane 1:

HEK-293T (human embryonic kidney) transfected with an empty vector (vector control), containing a myc-His-tag®, whole cell lysate at 1 µg

Lane 2:

HEK-293T transfected with cas9 ( S. Aureas) expression vector containing a myc-His-tag®, whole cell lysate at 1 µg

Lane 3:

HEK-293T transfected with human SNCA140 expression vector containing a myc-His-tag®, whole cell lysate at 1 µg

Lane 4:

HEK-293T transfected with human IDS expression vector containing a myc-His-tag®, whole cell lysate at 1 µg

Lane 5:

HEK-293T transfected with human NF2 S518A expression vector containing a myc-His-tag®, whole cell lysate at 1 µg

Lane 6:

HEK-293T transfected with human Alphasynuclein expression vector containing a myc-His-tag®, whole cell lysate at 1 µg

Secondary

All lanes:

Western blot - Goat Anti-Mouse IgG Fc (HRP) preadsorbed (ab98717) at 1/10000 dilution

Predicted band size: 49 kDa

false

Exposure time: 3s

Key facts

Host species

Goat

Target species

Mouse

Target isotype

IgG

Target specificity

Fc region

Minimal cross-reactivity

Rat, Human

Pre-adsorbed

Yes

Conjugation

HRP

Excitation/Emission
Applications

ELISA, ICC, WB, IHC-P

applications

Clonality

Polyclonal

Isotype

IgG

Specificity

By immunoelectrophoresis and ELISA this antibody reacts specifically with mouse IgG. Cross reactivity with IgA and IgM is negligible. No antibody was detected against non-immunoglobulin serum proteins. Less than 1% cross reactivity to human and rat IgG was detected. This antibody may cross react with IgG from other species.

Reactivity data

{ "title": "Reactivity Data", "filters": { "stats": ["", "Reactivity", "Dilution Info", "Notes"] }, "values": { "ICC": { "reactivity":"TESTED_AND_REACTS", "dilution-info":"", "notes":"<p></p>" }, "IHC-P": { "reactivity":"TESTED_AND_REACTS", "dilution-info":"1/200 - 1/2000", "notes":"<p></p>" }, "WB": { "reactivity":"TESTED_AND_REACTS", "dilution-info":"1/2000 - 1/25000", "notes":"<p>(Colorimetric: 1/2000 - 1/20000; Chemiluminescent: 1/5000 - 1/25000).</p>" }, "ELISA": { "reactivity":"TESTED_AND_REACTS", "dilution-info":"1/10000 - 1/100000", "notes":"<p>(Primary).</p>" } } }

Properties and storage information

Form
Liquid
Purification technique
Affinity purification Immunogen
Purification notes
This antibody was isolated by affinity chromatography using antigen coupled to agarose beads and conjugated to Horse Radish Peroxidase.
Storage buffer
pH: 6.8 - 7.4 Preservative: 0.05% CMIT/MIT based preservative Constituents: 0.2% BSA
Shipped at conditions
Blue Ice
Appropriate short-term storage conditions
+4°C
Appropriate long-term storage conditions
+4°C

Product protocols

Target data

See full target information Ighg1

Additional targets

Ighg1

Publications (4)

Recent publications for all applications. Explore the full list and refine your search

Nature communications 16:2234 PubMed40044669

2025

Monitoring mRNA vaccine antigen expression in vivo using PET/CT.

Applications

Unspecified application

Species

Unspecified reactive species

Gabrielle S Blizard,Garima Dwivedi,Yi-Gen Pan,Catherine Hou,Jean M Etersque,Hooda Said,Anik Chevrier,Marc Lavertu,Houping Ni,Benjamin Davis,Ying Tam,Quy Cao,Robert H Mach,Drew Weissman,Mohamad-Gabriel Alameh,Mark A Sellmyer

Frontiers in molecular biosciences 11:1148948 PubMed38516190

2024

Genetic ablation of Lmp2 increases the susceptibility for impaired cardiac function.

Applications

Unspecified application

Species

Unspecified reactive species

Felix A Trogisch,Franziska Koser,Synje Michel,David A Liem,Bogdan I Florea,Markus Hecker,Oliver Drews

Journal of Parkinson's disease 11:1791-1803 PubMed34334418

2021

DNAJB6b is Downregulated in Synucleinopathies.

Applications

Unspecified application

Species

Unspecified reactive species

Jonas Folke,Sertan Arkan,Isak Martinsson,Susana Aznar,Gunnar Gouras,Tomasz Brudek,Christian Hansen

Scientific reports 10:9750 PubMed32546721

2020

A cross-reactive mouse monoclonal antibody against rhinovirus mediates phagocytosis in vitro.

Applications

Unspecified application

Species

Unspecified reactive species

Mohammad Amin Behzadi,Angela Choi,James Duehr,Roya Feyznezhad,Chitra Upadhyay,Michael Schotsaert,Peter Palese,Raffael Nachbagauer
View all publications

Product promise

We are committed to supporting your work with high-quality reagents, and we're here for you every step of the way. In the unlikely event that one of our products does not perform as expected, you're protected by our Product Promise.
For full details, please see our Terms & Conditions

Please note: All products are 'FOR RESEARCH USE ONLY. NOT FOR USE IN DIAGNOSTIC OR THERAPEUTIC PROCEDURES'.

For licensing inquiries, please contact partnerships@abcam.com