JavaScript is disabled in your browser. Please enable JavaScript to view this website.
AB97023

Goat Anti-Mouse IgG H&L (HRP)

4

(4 Reviews)

|

(445 Publications)

Goat Anti-Mouse IgG H&L (HRP) (ab97023) is a polyclonal horseradish peroxidase (HRP)-conjugated secondary antibody. Suitable for ICC, IHC, western blot and ELISA applications.

- Flexible signal amplification- use in colorimetric or chemiluminescent detection
- Proven performance: cited in over 440 publications

View Alternative Names

Igh-4, Ighg1, Ig gamma-1 chain C region secreted form

6 Images
Western blot - Goat Anti-Mouse IgG H&L (HRP) (AB97023)
  • WB

Unknown

Western blot - Goat Anti-Mouse IgG H&L (HRP) (AB97023)

All lanes : Anti-beta Actin antibody [mAbcam 8226] - Loading Control (ab8226) at 1 μg/ml

Lanes 1-6 : HeLa (Human epithelial carcinoma cell line) Whole Cell Lysate

Lysates/proteins at 10 μg per lane.

Secondary
Lanes 1 - 2 : Goat polyclonal Secondary Antibody to Mouse IgG - H&L (HRP) (ab97023) at 1/2000 dilution
Lanes 3 - 4 : Goat polyclonal Secondary Antibody to Mouse IgG - H&L (HRP) (ab97023) at 1/10000 dilution
Lanes 5 - 6 : Goat polyclonal Secondary Antibody to Mouse IgG - H&L (HRP) (ab97023) at 1/20000 dilution

Developed using the ECL technique

Performed under reducing conditions.

Exposure time : 20 seconds

Secondary

All lanes:

Western blot - Goat Anti-Mouse IgG H&L (HRP) (ab97023)

false

Western blot - Goat Anti-Mouse IgG H&L (HRP) (AB97023)
  • WB

Supplier Data

Western blot - Goat Anti-Mouse IgG H&L (HRP) (AB97023)

All lanes:

Western blot - Anti-hnRNP M3-M4 antibody [2A6-2H3] (<a href='/en-us/products/primary-antibodies/hnrnp-m3-m4-antibody-2a6-2h3-ab128143'>ab128143</a>) at 1/1000 dilution

Lane 1:

HEK293T whole cell lysate at 5 µg

Lane 2:

LNCaP whole cell lysate at 5 µg

Lane 3:

A-549 whole cell lysate at 5 µg

Lane 4:

MCF-7 whole cell lysate at 5 µg

Lane 5:

K-562 whole cell lysate at 5 µg

Secondary

All lanes:

Western blot - Goat Anti-Mouse IgG H&L (HRP) (ab97023)

Predicted band size: 77 kDa

Observed band size: 80 kDa

true

Exposure time: 3s

Western blot - Goat Anti-Mouse IgG H&L (HRP) (AB97023)
  • WB

Supplier Data

Western blot - Goat Anti-Mouse IgG H&L (HRP) (AB97023)

All lanes:

Western blot - Anti-IGF2BP2/IMP-2 antibody [1E3.01E5] (<a href='/en-us/products/primary-antibodies/igf2bp2-imp-2-antibody-1e301e5-ab128175'>ab128175</a>) at 1/1000 dilution

Lane 1:

Hep-G2 whole cell lysate at 50 µg

Lane 2:

HeLa whole cell lysate at 50 µg

Lane 3:

HEK293T whole cell lysate at 50 µg

Lane 4:

Jurkat whole cell lysate at 50 µg

Lane 5:

NIH 3T3 whole cell lysate at 50 µg

Secondary

All lanes:

Western blot - Goat Anti-Mouse IgG H&L (HRP) (ab97023)

Predicted band size: 66 kDa,70 kDa

Observed band size: 70 kDa,66 kDa

true

Exposure time: 10s

Western blot - Goat Anti-Mouse IgG H&L (HRP) (AB97023)
  • WB

Supplier Data

Western blot - Goat Anti-Mouse IgG H&L (HRP) (AB97023)

All lanes:

Western blot - Anti-hnRNP M3-M4 antibody [2A6-2H3] (<a href='/en-us/products/primary-antibodies/hnrnp-m3-m4-antibody-2a6-2h3-ab128143'>ab128143</a>) at 1/1000 dilution

Lane 1:

BW5147.3 whole cell lysate at 10 µg

Lane 2:

CT26 whole cell lysate at 10 µg

Lane 3:

CH27 whole cell lysate at 10 µg

Lane 4:

TCMK-1 whole cell lysate at 10 µg

Lane 5:

NIH 3T3 whole cell lysate at 10 µg

Secondary

All lanes:

Western blot - Goat Anti-Mouse IgG H&L (HRP) (ab97023)

Predicted band size: 77 kDa

Observed band size: 80 kDa

true

Exposure time: 10s

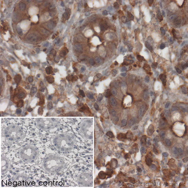
Immunohistochemistry (Formalin/PFA-fixed paraffin-embedded sections) - Goat Anti-Mouse IgG H&L (HRP) (AB97023)
  • IHC-P

Unknown

Immunohistochemistry (Formalin/PFA-fixed paraffin-embedded sections) - Goat Anti-Mouse IgG H&L (HRP) (AB97023)

IHC image of beta actin staining in human colon formalin fixed paraffin embedded tissue section*. The section was pre-treated using pressure cooker heat mediated antigen retrieval with sodium citrate buffer (pH6) for 30mins. The section was incubated with ab8224, 3μg/ml overnight at +4°C. An HRP-conjugated secondary (ab97023, 1/2000 dilution) was used for 1hr at room temperature. The section was counterstained with haematoxylin and mounted with DPX.

The inset negative control image is secondary-only at 1/500 dilution.

*Tissue obtained from the Human Research Tissue Bank, supported by the NIHR Cambridge Biomedical Research Centre

Western blot - Goat Anti-Mouse IgG H&L (HRP) (AB97023)
  • WB

AbReview32272****

Western blot - Goat Anti-Mouse IgG H&L (HRP) (AB97023)

Secondary

All lanes:

Western blot - Goat Anti-Mouse IgG H&L (HRP) (ab97023)

true

Exposure time: 3min

This image is courtesy of an anonymous Abreview.

Key facts

Host species

Goat

Target species

Mouse

Target isotype

IgG

Target specificity

Heavy & Light chains

Minimal cross-reactivity
Pre-adsorbed

No

Conjugation

HRP

Excitation/Emission
Applications

IHC-P, WB, ELISA, ICC

applications

Clonality

Polyclonal

Isotype

IgG

Specificity

By immunoelectrophoresis and ELISA this antibody reacts specifically with Mouse IgG and with light chains common to other Mouse immunoglobulins. No antibody was detected against non immunoglobulin serum proteins.

Reactivity data

{ "title": "Reactivity Data", "filters": { "stats": ["", "Reactivity", "Dilution Info", "Notes"] }, "values": { "ICC": { "reactivity":"TESTED_AND_REACTS", "dilution-info":"", "notes":"<p></p>" }, "IHC-P": { "reactivity":"TESTED_AND_REACTS", "dilution-info":"1/200 - 1/5000", "notes":"<p></p>" }, "ELISA": { "reactivity":"TESTED_AND_REACTS", "dilution-info":"1/10000 - 1/100000", "notes":"<p></p>" }, "WB": { "reactivity":"TESTED_AND_REACTS", "dilution-info":"1/2000 - 1/20000", "notes":"<p></p>" } } }

Product details

When it comes to advancing your immunohistochemistry (IHC) research, Abcam offers a comprehensive suite of IHC kits and secondary antibodies, designed to deliver precise and reliable results.

Part of the AbExcel range.

Properties and storage information

Form
Liquid
Purification technique
Affinity purification Immunogen
Purification notes
This antibody was isolated by affinity chromatography using antigen coupled to agarose beads and conjugated to Horse Radish Peroxidase (HRP).
Storage buffer
pH: 6.8 - 7.4 Preservative: 0.05% CMIT/MIT based preservative Constituents: 0.2% BSA
Shipped at conditions
Blue Ice
Appropriate short-term storage conditions
+4°C
Appropriate long-term storage conditions
+4°C

Product protocols

Target data

See full target information Ighg1

Additional targets

Ighg1

Publications (445)

Recent publications for all applications. Explore the full list and refine your search

Veterinary world 18:2194-2205 PubMed41064820

2025

Multivalent display of VP28 on chimeric virus-like particles enhances binding to shrimp target tissues: A novel antiviral strategy against white spot syndrome virus.

Applications

Unspecified application

Species

Unspecified reactive species

Somkid Jaranathummakul,Pitchanee Jariyapong,Orawan Thongsum,Supawich Boonkua,Charoonroj Chotwiwatthanakun,Monsicha Somrit,Somluk Asuvapongpatana,Attaboon Wathammawut,Wattana Weerachatyanukul

Veterinary sciences 12: PubMed41012786

2025

Effects of Dietary and Bacteriophage Supplementation on Water Quality, Carcass Traits, and Muscle Growth in Magang Geese.

Applications

Unspecified application

Species

Unspecified reactive species

Yong Li,Yongquan Luo,Yuanhao Han,Zhiyuan Liu,Songchao Li,Xiujin Li,Zhongping Wu,Yunbo Tian,Yunmao Huang,Xumeng Zhang

Frontiers in physiology 16:1661428 PubMed40980810

2025

MicroRNA-18a-5p regulates hepatic lipid accumulation in response to high-fat diet.

Applications

Unspecified application

Species

Unspecified reactive species

Giuseppe Petito,Nunzia Magnacca,Arianna Cuomo,Maria Ventriglia,Angelo Fusco,Massimo Venditti,Sara Falvo,Nicoletta Potenza,Antonia Lanni,Federica Cioffi,Rosalba Senese

Cellular & molecular biology letters 30:106 PubMed40903775

2025

Atypical cadherin FAT1 promotes tumorigenesis by suppressing autophagic cell death in glioblastoma under hypoxia or nutrient stress.

Applications

Unspecified application

Species

Unspecified reactive species

Yakhlesh Gupta,Sanjeev Goswami,Manvi Arora,Nargis Malik,Khushboo Irshad,Archismita Kundu,Srinivas H Gowda,Mani Kapoor,Shruti Gupta,Tapas Chandra Nag,Vaishali Suri,Ashish Suri,Parthaprasad Chattopadhyay,Subrata Sinha,Kunzang Chosdol

Stem cells international 2025:5572221 PubMed40822849

2025

KLF5 Regulation of Exosome-Derived miR-152-3p From Bone Marrow Stem Cells Improves Ventricular Arrhythmia After Myocardial Infarction.

Applications

Unspecified application

Species

Unspecified reactive species

Chen Wu,Xin-Yue Zou,Yi-Wen Jiang,Da-Wei Lin,Feng Jiang,Yao-Sheng Wang

iScience 28:113023 PubMed40777056

2025

Mesenchymal-epithelial transition reduces proliferation but increases immune evasion in tumor spheroids.

Applications

Unspecified application

Species

Unspecified reactive species

Gina Dimari,Yueyuan Hu,Annika Frenzel,Anke Fuchs,Alexander A Wurm,Elisabeth Fischer-Friedrich

Journal of cannabis research 7:53 PubMed40770774

2025

Exploring the impact of chronic intermittent EU-GMP certified Cannabis sativa L. therapy and its relevance in a rat model of aging.

Applications

Unspecified application

Species

Unspecified reactive species

Ivona-Maria Tudorancea,Gabriela-Dumitrita Stanciu,Carmen Solcan,Mitica Ciorpac,Andrei Szilagyi,Daniela-Carmen Ababei,Raluca-Maria Gogu,Bogdan-Ionel Tamba

Scientific reports 15:26091 PubMed40681754

2025

SMARCA5 is required for the development of granule cell neuron precursors and Sonic Hedgehog Medulloblastoma growth.

Applications

Unspecified application

Species

Unspecified reactive species

Foteini Tsiami,Layla Drwesh,Surender Surender,Julia Fitzgerald,Jens Schittenhelm,David J Picketts,Rosalind A Segal,Ghazaleh Tabatabai,Daniel J Merk

Extracellular vesicle 5: PubMed40657239

2025

Exosomal delivery of IL-10: Biodistribution, pharmacokinetics, and preterm birth prevention strategies.

Applications

Unspecified application

Species

Unspecified reactive species

Brinley Harrington,Tilu Jain Thomas,Madhuri Tatiparthy,Awanit Kumar,Lauren Richardson,Ramkumar Menon,Ananth Kumar Kammala

Biofilm 10:100292 PubMed40606280

2025

Influence of the ATP-dependent DNA ligase, Lig E, on microcolony and biofilm formation.

Applications

Unspecified application

Species

Unspecified reactive species

Jolyn Pan,Abdullah Albarrak,Joanna Hicks,David Williams,Adele Williamson
View all publications

Product promise

We are committed to supporting your work with high-quality reagents, and we're here for you every step of the way. In the unlikely event that one of our products does not perform as expected, you're protected by our Product Promise.
For full details, please see our Terms & Conditions

Please note: All products are 'FOR RESEARCH USE ONLY. NOT FOR USE IN DIAGNOSTIC OR THERAPEUTIC PROCEDURES'.

For licensing inquiries, please contact partnerships@abcam.com