JavaScript is disabled in your browser. Please enable JavaScript to view this website.
AB214879

Goat Anti-Mouse IgG H&L (HRP polymer)

5

(2 Reviews)

|

(18 Publications)

Goat Anti-Mouse IgG H&L (HRP polymer) is a secondary antibody that is ideal for tissue imaging. Suitable for IHC and more.

- Reacts with heavy (gamma) chains on mouse IgG, light chains on all mouse immunoglobulins
- No cross-reactivity is observed to non-immunoglobulin mouse serum proteins, serum proteins from bovine, horse, human, pig or rabbit
- Cited in over 10 publications

View Alternative Names

Igh-4, Ighg1, Ig gamma-1 chain C region secreted form

10 Images
Immunohistochemistry (Formalin/PFA-fixed paraffin-embedded sections) - Goat Anti-Mouse IgG H&L (HRP polymer) (AB214879)
  • IHC-P

Supplier Data

Immunohistochemistry (Formalin/PFA-fixed paraffin-embedded sections) - Goat Anti-Mouse IgG H&L (HRP polymer) (AB214879)

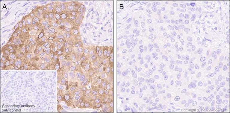
Immunohistochemical analysis of paraffin-embedded human breast carcinoma tissue labeling Tau (phospho S396) with ab302491 at 1/20000 (0.05 ug/ml) followed by a ready to use Goat Anti-Mouse IgG H&L (HRP polymer) (ab214879). Positive staining on human breast carcinoma without alkaline phosphatase treatment (image A). No signal was detected when tissues were treated with alkaline phosphatase (image B). The section was incubated with ab302491 for 30 mins at room temperature. The immunostaining was performed on a Leica Biosystems BOND® RX instrument. Counterstained with Hematoxylin. Secondary antibody only control : Secondary antibody is a ready to use Goat Anti-Mouse IgG H&L (HRP polymer) (ab214879). Heat mediated antigen retrieval was performed with Tris-EDTA buffer (pH 9.0, Epitope Retrieval Solution2) for 20 mins.

Immunohistochemistry (Formalin/PFA-fixed paraffin-embedded sections) - Goat Anti-Mouse IgG H&L (HRP polymer) (AB214879)
  • IHC-P

Supplier Data

Immunohistochemistry (Formalin/PFA-fixed paraffin-embedded sections) - Goat Anti-Mouse IgG H&L (HRP polymer) (AB214879)

Immunohistochemical analysis of paraffin-embedded human cerebrum tissue labeling Tau (phospho S396) with ab302491 at 1/20000 (0.05 ug/ml) followed by a ready to use Goat Anti-Mouse IgG H&L (HRP polymer) (ab214879). Positive staining on human cerebrum without alkaline phosphatase treatment (image A). No signal was detected when tissues were treated with alkaline phosphatase (image B). The section was incubated with ab302491 for 30 mins at room temperature. The immunostaining was performed on a Leica Biosystems BOND® RX instrument. Counterstained with Hematoxylin. Secondary antibody only control : Secondary antibody is a ready to use Goat Anti-Mouse IgG H&L (HRP polymer) (ab214879). Heat mediated antigen retrieval was performed with Tris-EDTA buffer (pH 9.0, Epitope Retrieval Solution2) for 20 mins.

Immunohistochemistry (Formalin/PFA-fixed paraffin-embedded sections) - Goat Anti-Mouse IgG H&L (HRP polymer) (AB214879)
  • IHC-P

Lab

Immunohistochemistry (Formalin/PFA-fixed paraffin-embedded sections) - Goat Anti-Mouse IgG H&L (HRP polymer) (AB214879)

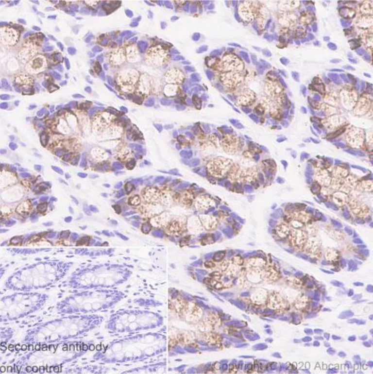
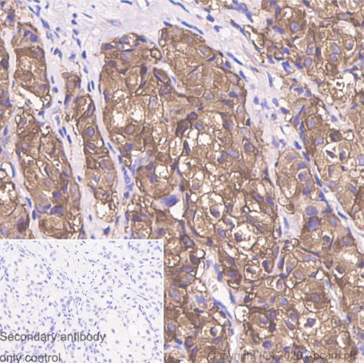
Immunohistochemical analysis of paraffin-embedded human colon tissue labeling MUC2 with ab11197 at 1/5000 dilution followed by a ready to use Goat Anti-Mouse IgG H&L (HRP polymer) (ab214879). The section was incubated with ab11197 for 30 mins at room temperature. The immunostaining was performed on a Leica Biosystems BOND® RX instrument. Counterstained with hematoxylin.

Immunohistochemistry (Formalin/PFA-fixed paraffin-embedded sections) - Goat Anti-Mouse IgG H&L (HRP polymer) (AB214879)
  • IHC-P

Lab

Immunohistochemistry (Formalin/PFA-fixed paraffin-embedded sections) - Goat Anti-Mouse IgG H&L (HRP polymer) (AB214879)

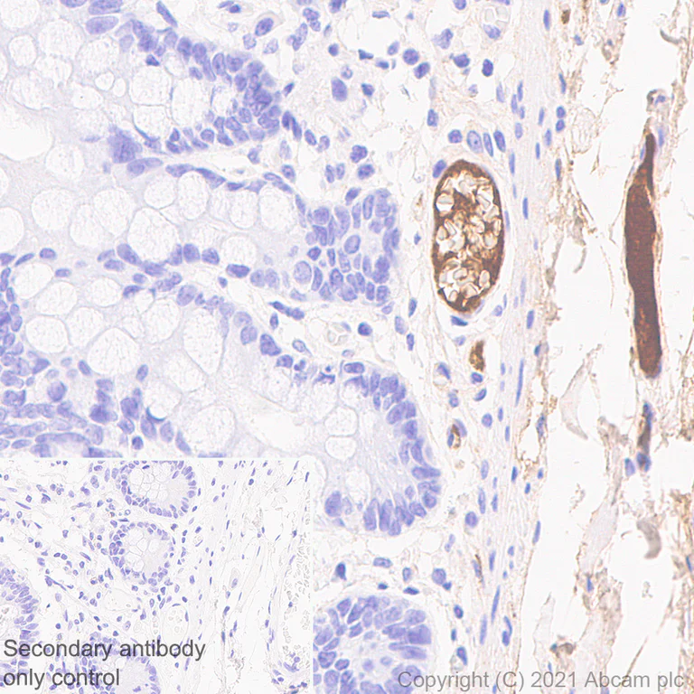
Immunohistochemical analysis of paraffin-embedded Human colon tissue labeling Human IgG with ab200699 at 1/1000 (0.831 ug/ml) dilution, followed by a ready to use Goat Anti-Mouse IgG H&L (HRP polymer) (ab214879).

Cytoplasmic staining in plasma of human colon.

The section was incubated with ab200699 for 30 mins at room temperature.

The immunostaining was performed on a Leica Biosystems BOND® RX instrument

Counterstained with Hematoxylin.

Secondary antibody only control : Secondary antibody is a ready to use Goat Anti-Mouse IgG H&L (HRP polymer) (ab214879).

Heat mediated antigen retrieval with Citrate buffer (pH 6.0, epitope retrieval solution 1) for 20 mins

Immunohistochemistry (Formalin/PFA-fixed paraffin-embedded sections) - Goat Anti-Mouse IgG H&L (HRP polymer) (AB214879)
  • IHC-P

Lab

Immunohistochemistry (Formalin/PFA-fixed paraffin-embedded sections) - Goat Anti-Mouse IgG H&L (HRP polymer) (AB214879)

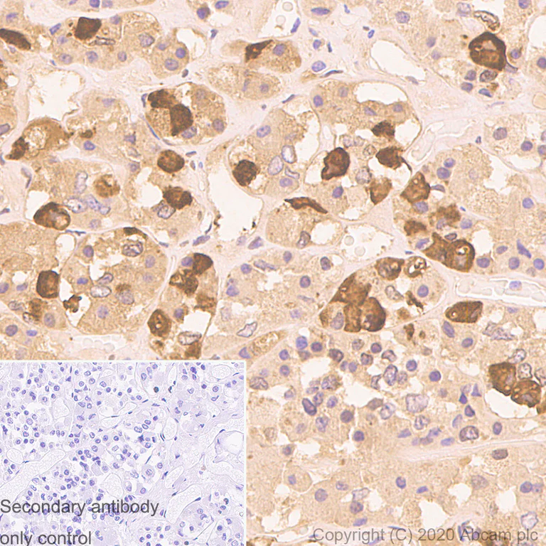
Immunohistochemical analysis of paraffin-embedded Human pituitary gland tissue labeling ACTH with ab233953 at 1/5000 (0.233 µg/ml) dilution, followed by a ready to use Goat Anti-Mouse IgG H&L (HRP polymer) (ab214879).

Positive staining on human pituitary gland. The section was incubated with ab233953 for 30 mins at room temperature.

The immunostaining was performed on a Leica Biosystems BOND® RX instrument

Counterstained with Hematoxylin.

Secondary antibody only control : Secondary antibody is a ready to use Goat Anti-Mouse IgG H&L (HRP polymer) (ab214879)

Heat mediated antigen retrieval with Citrate buffer (pH 6.0, epitope retrieval solution 1) for 20 mins

Immunohistochemistry (Formalin/PFA-fixed paraffin-embedded sections) - Goat Anti-Mouse IgG H&L (HRP polymer) (AB214879)
  • IHC-P

Lab

Immunohistochemistry (Formalin/PFA-fixed paraffin-embedded sections) - Goat Anti-Mouse IgG H&L (HRP polymer) (AB214879)

Immunohistochemical analysis of paraffin-embedded human tissues labeling Hsp27 with ab2790 at 1/1000 dilution followed by Goat Anti-Mouse IgG H&L (HRP polymer) (ab214879). The section was incubated with ab2790 for 30 mins at room temperature. The immunostaining was performed on a Leica Biosystems BOND® RX instrument. Counterstained with hematoxylin.

Immunohistochemistry (Formalin/PFA-fixed paraffin-embedded sections) - Goat Anti-Mouse IgG H&L (HRP polymer) (AB214879)
  • IHC-P

Lab

Immunohistochemistry (Formalin/PFA-fixed paraffin-embedded sections) - Goat Anti-Mouse IgG H&L (HRP polymer) (AB214879)

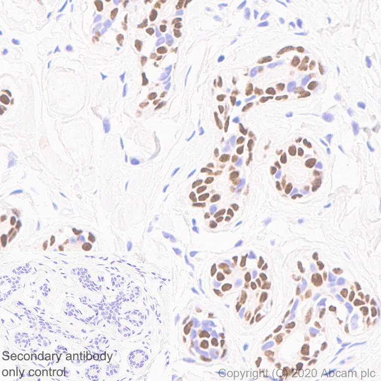
Immunohistochemical analysis of paraffin-embedded Human breast tissue using ab218522 at a 1/1000 dilution followed by a ready to use secondary antibody Goat Anti-Mouse IgG H&L (HRP polymer) (ab214879).

Nuclear staining in human breast.
The section was incubated with ab218522 for 30 mins at room temperature.
The immunostaining was performed on a Leica Biosystems BOND® RX instrument
Hematoxylin was used as a counter stain.

Heat mediated antigen retrieval was performed with Citrate buffer (pH 6.0, Epitope Retrieval Solution 1) for 20 mins.

Immunohistochemistry (Formalin/PFA-fixed paraffin-embedded sections) - Goat Anti-Mouse IgG H&L (HRP polymer) (AB214879)
  • IHC-P

Lab

Immunohistochemistry (Formalin/PFA-fixed paraffin-embedded sections) - Goat Anti-Mouse IgG H&L (HRP polymer) (AB214879)

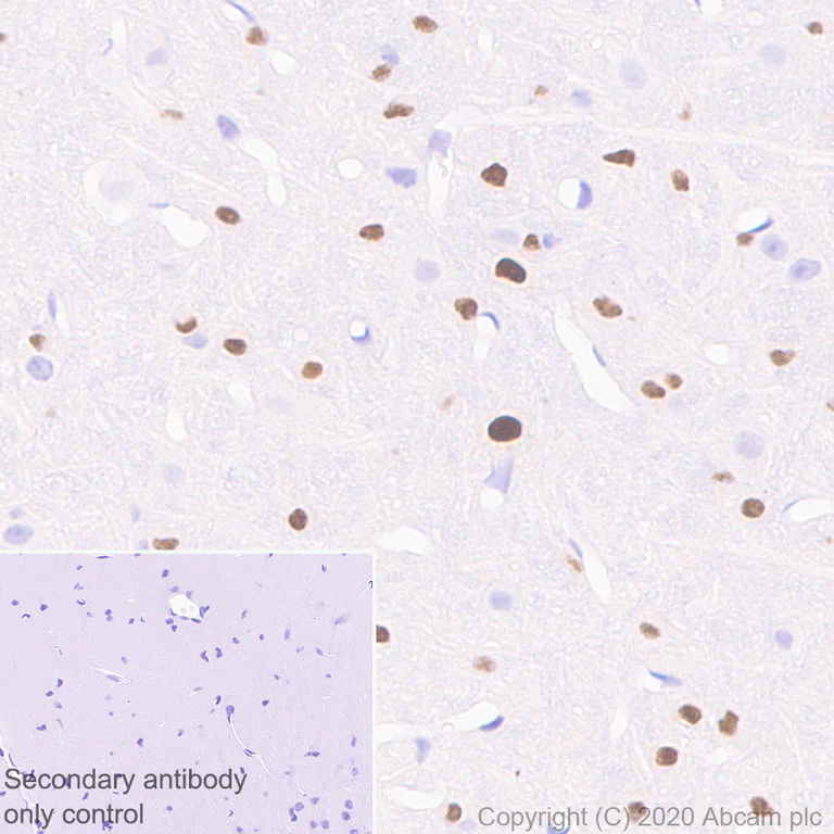
Immunohistochemical analysis of paraffin-embedded Rat cerebrum tissue using ab218522 at a 1/2000 dilution followed by a ready to use secondary antibody Goat Anti-Mouse IgG H&L (HRP polymer) (ab214879).

Nuclear staining in rat cerebrum.
The section was incubated with ab218522 for 30 mins at room temperature.
The immunostaining was performed on a Leica Biosystems BOND® RX instrument
Hematoxylin was used as a counter stain.

Heat mediated antigen retrieval was performed with Citrate buffer (pH 6.0, Epitope Retrieval Solution 1) for 20 mins.

Immunohistochemistry (Formalin/PFA-fixed paraffin-embedded sections) - Goat Anti-Mouse IgG H&L (HRP polymer) (AB214879)
  • IHC-P

Lab

Immunohistochemistry (Formalin/PFA-fixed paraffin-embedded sections) - Goat Anti-Mouse IgG H&L (HRP polymer) (AB214879)

Immunohistochemical analysis of paraffin-embedded Mouse cerebrum tissue using ab218522 at a 1/2000 dilution followed by a ready to use secondary antibody Goat Anti-Mouse IgG H&L (HRP polymer) (ab214879).

Nuclear staining in mouse cerebrum.
The section was incubated with ab218522 for 30 mins at room temperature.
The immunostaining was performed on a Leica Biosystems BOND® RX instrument
Hematoxylin was used as a counter stain.

Heat mediated antigen retrieval was performed with Citrate buffer (pH 6.0, Epitope Retrieval Solution 1) for 20 mins.

Immunohistochemistry (Formalin/PFA-fixed paraffin-embedded sections) - Goat Anti-Mouse IgG H&L (HRP polymer) (AB214879)
  • IHC-P

Supplier Data

Immunohistochemistry (Formalin/PFA-fixed paraffin-embedded sections) - Goat Anti-Mouse IgG H&L (HRP polymer) (AB214879)

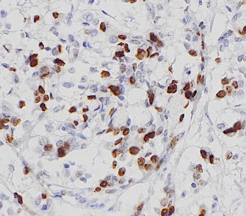
Immunohistochemical analysis of Triple positive breast cancer tissue stained with Ki-67 and detected with ab214879.

Key facts

Host species

Goat

Target species

Mouse

Target isotype

IgG

Target specificity

Heavy & Light chains

Minimal cross-reactivity
Pre-adsorbed

No

Conjugation

HRP polymer

Excitation/Emission
Applications

IHC-P, Ie

applications

Clonality

Polyclonal

Isotype

IgG

Immunogen

The exact immunogen used to generate this antibody is proprietary information.

Specificity

Based on IEP, ab214879 reacts with heavy (gamma) chains on mouse IgG, light chains on all mouse immunoglobulins. No cross-reactivity is observed to non-immunoglobulin mouse serum proteins, serum proteins from bovine, horse, human, pig or rabbit.

Reactivity data

{ "title": "Reactivity Data", "filters": { "stats": ["", "Reactivity", "Dilution Info", "Notes"] }, "values": { "Ie": { "reactivity":"TESTED_AND_REACTS", "dilution-info":"", "notes":"<p></p>" }, "IHC-P": { "reactivity":"TESTED_AND_REACTS", "dilution-info":"", "notes":"<p>This product is provided in a pre-diluted, ready-to-use format. Incubate 150 μl per slide for 1 hour.</p>" } } }

Product details

This antibody reacts with the heavy and light chains of Mouse IgG

When it comes to advancing your immunohistochemistry (IHC) research, Abcam offers comprehensive suite of IHC kits and secondary antibodies, designed to deliver precise and reliable results.

Properties and storage information

Form
Liquid
Purification technique
Affinity purification
Purification notes
ab214879 was affinity purified using solid phase Mouse IgG. Purity >95% by SDS-PAGE.
Storage buffer
Preservative: 0.1% Proclin 300 Constituents: PBS, 1% BSA
Shipped at conditions
Blue Ice
Appropriate short-term storage conditions
+4°C
Appropriate long-term storage conditions
+4°C

Product protocols

Target data

See full target information Ighg1

Additional targets

Ighg1

Publications (18)

Recent publications for all applications. Explore the full list and refine your search

The Journal of experimental biology 228: PubMed40296757

2025

Albumin is ubiquitously expressed in the dolphin body and upregulated by an extracellular albumin shortage.

Applications

Unspecified application

Species

Unspecified reactive species

Kaho Saito,Fumiki Hanafusa,Daiki Inamori,Takuya Itou,Miwa Suzuki

Virology journal 22:101 PubMed40241182

2025

Cytomegalovirus infection initiates inflammatory bowel disease by activating a positive MyD88/NF-κB feedback loop in allogeneic skin transplantation mice.

Applications

Unspecified application

Species

Unspecified reactive species

Ming-Xian Chen,Yu Chen,Rui Fu,Jie-Yi Wang,Sai-Yue Liu,Tang-Biao Shen

General and comparative endocrinology 358:114614 PubMed39326529

2024

Characterization of gonadotropins and their receptors in a chondrichthyan, Scyliorhinus canicula, fills a gap in the understanding of their coevolution.

Applications

Unspecified application

Species

Unspecified reactive species

Fabian Jeanne,Stanislas Pilet,Danièle Klett,Yves Combarnous,Benoît Bernay,Sylvie Dufour,Pascal Favrel,Pascal Sourdaine

Biochimica et biophysica acta. Molecular basis of disease 1870:167171 PubMed38631411

2024

High phosphate and calcium induce osteoblastic phenotype switching and calcification of corneal epithelial cells in a Runx2-dependent and synergistic manner; a possible mechanism of chronic kidney disease-associated corneal calcification.

Applications

Unspecified application

Species

Unspecified reactive species

Haneen Ababneh,Andrea Tóth,Gréta Lente,Enikő Balogh,Dávid Máté Csiki,Béla Nagy,Árpád Szöőr,Viktória Jeney

Nature cardiovascular research 2:1221-1245 PubMed38500966

2024

Disrupted propionate metabolism evokes transcriptional changes in the heart by increasing histone acetylation and propionylation.

Applications

Unspecified application

Species

Unspecified reactive species

Kyung Chan Park,Nicholas T Crump,Niamh Louwman,Steve Krywawych,Yuen Jian Cheong,Iolanda Vendrell,Eleanor K Gill,Mala Gunadasa-Rohling,Kerrie L Ford,David Hauton,Marjorie Fournier,Elisabete Pires,Lydia Watson,Gerald Roseman,James Holder,Andreas Koschinski,Ricardo Carnicer,M Kate Curtis,Manuela Zaccolo,Alzbeta Hulikova,Roman Fischer,Holger B Kramer,James S O McCullagh,Sophie Trefely,Thomas A Milne,Pawel Swietach

Biology of sex differences 14:89 PubMed38111056

2023

Sex and interspecies differences in ESR2-expressing cell distributions in mouse and rat brains.

Applications

Unspecified application

Species

Unspecified reactive species

Masahiro Morishita,Shimpei Higo,Kinuyo Iwata,Hirotaka Ishii

Nature communications 13:1487 PubMed35347124

2022

Cell death-induced immunogenicity enhances chemoimmunotherapeutic response by converting immune-excluded into T-cell inflamed bladder tumors.

Applications

Unspecified application

Species

Unspecified reactive species

Fotis Nikolos,Kazukuni Hayashi,Xen Ping Hoi,Mark Ellie Alonzo,Qianxing Mo,Armine Kasabyan,Hideki Furuya,Jane Trepel,Dolores Di Vizio,Jlenia Guarnerio,Dan Theodorescu,Charles Rosser,Andrea Apolo,Matthew Galsky,Keith Syson Chan

Brain and behavior 12:e2522 PubMed35263513

2022

Protective role of activating transcription factor 3 against neuronal damage in rats with cerebral ischemia.

Applications

Unspecified application

Species

Unspecified reactive species

Na Ma,Gaixia Li,Xiuxin Fu

Current protocols 2:e357 PubMed35080813

2022

Establishing an In Vitro 3D Spheroid Model to Study Medulloblastoma Drug Response and Tumor Dissemination.

Applications

Unspecified application

Species

Unspecified reactive species

Sophie J Roper,Beth Coyle

Cancer medicine 10:6442-6455 PubMed34472721

2021

Inhibition of lipid metabolism exerts antitumor effects on rhabdomyosarcoma.

Applications

Unspecified application

Species

Unspecified reactive species

Satoshi Miyagaki,Ken Kikuchi,Jun Mori,Gary D Lopaschuk,Tomoko Iehara,Hajime Hosoi
View all publications

Product promise

We are committed to supporting your work with high-quality reagents, and we're here for you every step of the way. In the unlikely event that one of our products does not perform as expected, you're protected by our Product Promise.
For full details, please see our Terms & Conditions

Please note: All products are 'FOR RESEARCH USE ONLY. NOT FOR USE IN DIAGNOSTIC OR THERAPEUTIC PROCEDURES'.

For licensing inquiries, please contact partnerships@abcam.com