JavaScript is disabled in your browser. Please enable JavaScript to view this website.
AB97240

Goat Anti-Mouse IgG1 (HRP)

5

(1 Review)

|

(167 Publications)

Goat anti-mouse IgG1 (HRP) is a secondary antibody for chemiluminescent detection. Ideal for western blot. Suitable for ICC, IHC, western blot and ELISA.

- Cited in over 130 publications

View Alternative Names

Igh-4, Ighg1, Ig gamma-1 chain C region secreted form

2 Images
Immunohistochemistry (Formalin/PFA-fixed paraffin-embedded sections) - Goat Anti-Mouse IgG1 (HRP) (AB97240)
  • IHC-P

Unknown

Immunohistochemistry (Formalin/PFA-fixed paraffin-embedded sections) - Goat Anti-Mouse IgG1 (HRP) (AB97240)

IHC image of Histone H1.0 staining in human colon formalin fixed paraffin embedded tissue section*. The section was pre-treated using pressure cooker heat mediated antigen retrieval with sodium citrate buffer (pH6) for 30mins. The section was incubated with ab11080, 7.5μg/ml overnight at +4°C. An HRP-conjugated secondary (ab97240, 1/2000 dilution) was used for 1hr at room temperature. The section was counterstained with haematoxylin and mounted with DPX.

The inset negative control image is secondary-only at 1/500 dilution.

*Tissue obtained from the Human Research Tissue Bank, supported by the NIHR Cambridge Biomedical Research Centre

Western blot - Goat Anti-Mouse IgG1 (HRP) (AB97240)
  • WB

PubMed

Western blot - Goat Anti-Mouse IgG1 (HRP) (AB97240)

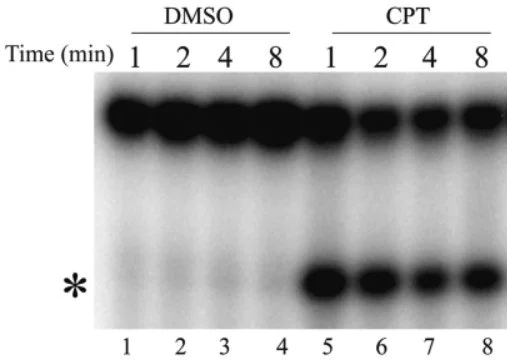
The band corresponding to the enzyme–substrate cleaved complex, has been indicated by an asterisk.

All lanes:

Anti-Topoisomerase I antibody (<a href='/en-us/products/unavailable/topoisomerase-i-antibody-ab58313'>ab58313</a>)

Lane 1:

Products generated by incubation of hTop1 with [γ -32P] end-labelled duplex DNA (CL25/CP25) incubated in the absence of CPT for 1 minute.

Lane 2:

Products generated by incubation of hTop1 with [γ -32P] end-labelled duplex DNA (CL25/CP25) incubated in the absence of CPT for 2 minutes.

Lane 3:

Products generated by incubation of hTop1 with [γ -32P] end-labelled duplex DNA (CL25/CP25) incubated in the absence of CPT for 4 minutes.

Lane 4:

Products generated by incubation of hTop1 with [γ -32P] end-labelled duplex DNA (CL25/CP25) incubated in the absence of CPT for 8 minutes.

Lane 5:

Products generated by incubation of hTop1 with [γ -32P] end-labelled duplex DNA (CL25/CP25) incubated in the presence of CPT for 1 minute.

Lane 6:

Products generated by incubation of hTop1 with [γ -32P] end-labelled duplex DNA (CL25/CP25) incubated in the presence of CPT for 2 minutes.

Lane 7:

Products generated by incubation of hTop1 with [γ -32P] end-labelled duplex DNA (CL25/CP25) incubated in the presence of CPT for 4 minutes.

Lane 8:

Products generated by incubation of hTop1 with [γ -32P] end-labelled duplex DNA (CL25/CP25) incubated in the presence of CPT for 8 minutes.

Secondary

All lanes:

Western blot - Goat Anti-Mouse IgG1 (HRP) (ab97240)

false

Image from Arnò B et al., PLOS One, Fig. 2.; doi: 10.1371/journal.pone.0068404 Reproduced under the Creative Commons license http://creativecommons.org/licenses/by/4.0/

Key facts

Host species

Goat

Target species

Mouse

Target isotype

IgG1

Target specificity

Heavy chain

Minimal cross-reactivity
Pre-adsorbed

No

Conjugation

HRP

Excitation/Emission
Applications

IHC-P, WB, ICC, ELISA

applications

Clonality

Polyclonal

Isotype

IgG

Specificity

By immunoelectrophoresis and ELISA this antibody reacts specifically with mouse IgG1. Cross reactivity with other immunoglobulins is less than 2%. This antibody may cross react with IgG1 from other species.

Reactivity data

{ "title": "Reactivity Data", "filters": { "stats": ["", "Reactivity", "Dilution Info", "Notes"] }, "values": { "ICC": { "reactivity":"TESTED_AND_REACTS", "dilution-info":"1/200 - 1/2000", "notes":"<p></p>" }, "ELISA": { "reactivity":"TESTED_AND_REACTS", "dilution-info":"1/10000 - 1/100000", "notes":"<p></p>" }, "IHC-P": { "reactivity":"TESTED_AND_REACTS", "dilution-info":"1/200 - 1/2000", "notes":"<p></p>" }, "WB": { "reactivity":"TESTED_AND_REACTS", "dilution-info":"1/2000 - 1/20000", "notes":"<p>Colorimetric method; 1/2000 - 1/20000 Chemiluminescence method.</p>" } } }

Product details

When it comes to advancing your immunohistochemistry (IHC) research, Abcam offers a comprehensive suite of IHC kits and secondary antibodies, designed to deliver precise and reliable results.

Properties and storage information

Form
Liquid
Purification technique
Affinity purification Immunogen
Purification notes
Antiserum was solid phase adsorbed to ensure subclass specificity. This antibody was isolated by affinity chromatography using antigen coupled to agarose beads and conjugated to Horse Radish Peroxidase (HRP).
Storage buffer
pH: 6.8 - 7.4 Preservative: 0.05% CMIT/MIT based preservative Constituents: 0.2% BSA
Shipped at conditions
Blue Ice
Appropriate short-term storage conditions
+4°C
Appropriate long-term storage conditions
+4°C

Product protocols

Target data

See full target information Ighg1

Additional targets

Ighg1

Publications (167)

Recent publications for all applications. Explore the full list and refine your search

Frontiers in immunology 16:1675859 PubMed41050708

2025

Heterologous prime-boost vaccination with VLA2001 and an ORFV-based vector enhances spike- and nucleocapsid-specific immunity in mice.

Applications

Unspecified application

Species

Unspecified reactive species

Alena Reguzova,Verena Haug,Carina Metz,Melanie Müller,Madeleine Fandrich,Alex Dulovic,Ralf Amann

Bioscience trends : PubMed41016794

2025

Neurotropin alleviates Alzheimer's disease pathology by inhibiting FUS-mediated Calhm2 transcription, blocking the Calhm2/EFhd2 interaction, to improve mitochondrial dysfunction-associated microglia polarization.

Applications

Unspecified application

Species

Unspecified reactive species

Yuanlu Huang,Fusheng Wei,Xiaoe Cheng,Yinqi Shi,Ziye Liu,Lingling Ye

Food and waterborne parasitology 41:e00289 PubMed41017965

2025

The avian schistosome in mice: Migration, pathogenicity, and the host immune response.

Applications

Unspecified application

Species

Unspecified reactive species

Tomáš Macháček,Roman Leontovyč,Jan Procházka,Alena Revalová,Martin Majer,Barbora Šmídová,Petr Horák

Bioactive materials 54:584-601 PubMed40980507

2025

Cascade-targeted delivery platform enhances antigen cross-presentation and STING activation for durable cellular immunity.

Applications

Unspecified application

Species

Unspecified reactive species

Yuan Xue,Shuting Bai,Yating Wang,Jiaxing Feng,Kun Xiong,Xue Tang,Chunting He,Yanhua Xu,Hongling Yu,Tianyi Luo,Qing Lin,Xun Sun,Ling Zhang,Zhirong Zhang,Tao Gong

Frontiers in drug discovery 5: PubMed40893333

2025

Transduction of hematopoietic stem and progenitor cells by an lentiviral vector improves Rett syndrome phenotypes.

Applications

Unspecified application

Species

Unspecified reactive species

Joseph S Anderson,Jill L Silverman,Alyse L Lodigiani,Camilla M Barbaduomo,Julie R Beegle

Frontiers in immunology 16:1641109 PubMed40735325

2025

A novel adjuvant system BK-02 with CpG2006 and MF59 enhances the immunogenicity of a herpes zoster subunit vaccine.

Applications

Unspecified application

Species

Unspecified reactive species

Zihan Wang,Yingnan Guo,Xin Tang,Ying Sun,Tingting Wu,Hanyu Peng,Cenrong Wang,Weiheng Su,Chunlai Jiang,Yang Zang,Yaru Quan,Kangwei Xu,Bo Sun

Nucleic acids research 53: PubMed40637233

2025

Relaxed DNA substrate specificity of transposases involved in programmed genome rearrangement.

Applications

Unspecified application

Species

Unspecified reactive species

Matt W G Walker,Takahiko Akematsu,Erhan Aslan,Danylo J Villano,Harrison S Fried,Hui Lan,Samuel H Sternberg,Laura F Landweber

BioFactors (Oxford, England) 51:e70036 PubMed40621713

2025

Long-Term Intake of Oleic Acid-Rich Palm Oil Induces Obesity Without Impairing Hypothalamic Insulin Sensitivity and Redox Activity in Male Wistar Rats.

Applications

Unspecified application

Species

Unspecified reactive species

Aleksandra Ruzicic,Tamara Dakic,Tijana Srdic,Iva Lakic,Sanja Stankovic,Milos Mojovic,Djura Nakarada,Damir Kracun,Jelena Djordjevic

Vaccines 13: PubMed40573913

2025

A Poly-Lysine-Based RBD Mucosal Vaccine Induces Potent Antibody Responses in Mice.

Applications

Unspecified application

Species

Unspecified reactive species

Huifang Xu,Han Wang,Peng Sun,Tiantian Wang,Bin Zhang,Xuchen Hou,Jun Wu,Bo Liu

iScience 28:112542 PubMed40487437

2025

Development of a peptide-based vaccine using a T cell epitope derived from SARS-CoV-2.

Applications

Unspecified application

Species

Unspecified reactive species

Satoshi Baba,Hiroki Hayashi,Shota Yoshida,Nanxiang Yin,Munehisa Shimamura,Ryuichi Morishita,Hiromi Rakugi,Hironori Nakagami,Koichi Yamamoto
View all publications

Product promise

We are committed to supporting your work with high-quality reagents, and we're here for you every step of the way. In the unlikely event that one of our products does not perform as expected, you're protected by our Product Promise.
For full details, please see our Terms & Conditions

Please note: All products are 'FOR RESEARCH USE ONLY. NOT FOR USE IN DIAGNOSTIC OR THERAPEUTIC PROCEDURES'.

For licensing inquiries, please contact partnerships@abcam.com