JavaScript is disabled in your browser. Please enable JavaScript to view this website.
AB207995

Goat Anti-Rabbit IgG H&L (Biotin)

Be the first to review this product! Submit a review

|

(21 Publications)

Goat Anti-Rabbit IgG H&L (Biotin) is a secondary antibody that is suitable for Western blot, IHC, ICC/IF, Flow Cytometry, ELISA and more.

- Cited in over 20 publications

View Alternative Names

Ig gamma 1 chain C region, Ig gamma 3 chain C region, Ig gamma 4 chain C region, Ig gamma chain C region, Ig gamma-2 chain C region, Ig kappa-b4 chain C region, Ig kappa-b5 chain C region, Ig kappa-b9 chain C region, Ig lambda chain C region, Immunoglobin heavy constant gamma 1, Immunoglobulin G, K-BAS

5 Images
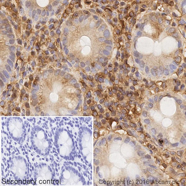
Immunohistochemistry (Formalin/PFA-fixed paraffin-embedded sections) - Goat Anti-Rabbit IgG H&L (Biotin) (AB207995)
  • IHC-P

Lab

Immunohistochemistry (Formalin/PFA-fixed paraffin-embedded sections) - Goat Anti-Rabbit IgG H&L (Biotin) (AB207995)

IHC image of Histone H4 staining in a section of formalin-fixed paraffin-embedded normal human colon tissue*. ab207995 Goat Anti-Rabbit IgG H & L (Biotin) was used as the secondary antibody.

Staining was performed on a Leica BondTM. The section was pre-treated using heat mediated antigen retrieval with sodium citrate buffer (pH6, epitope retrieval solution 1) for 20 mins, before blocking of endogenous biotin using ab64212. The section was then incubated with ab177840, 1/100 dilution, for 15 mins at room temperature, followed by ab207995, 1/2000 dilution, for 15 mins at room temperature. Detection was via an HRP conjugated ABC system and DAB was used as the chromogen. The section was then counterstained with haematoxylin and mounted with DPX.

The inset negative control image is taken from an identical assay without primary antibody.

For other IHC staining systems (automated and non-automated) customers should optimize variable parameters such as antigen retrieval conditions, primary antibody concentration and antibody incubation times.

*Tissue obtained from the Human Research Tissue Bank, supported by the NIHR Cambridge Biomedical Research Centre

Immunohistochemistry (Formalin/PFA-fixed paraffin-embedded sections) - Goat Anti-Rabbit IgG H&L (Biotin) (AB207995)
  • IHC-P

Lab

Immunohistochemistry (Formalin/PFA-fixed paraffin-embedded sections) - Goat Anti-Rabbit IgG H&L (Biotin) (AB207995)

IHC image of beta Tubulin staining in a section of formalin-fixed paraffin-embedded normal human colon tissue*. ab207995 Goat Anti-Rabbit IgG H & L (Biotin) was used as the secondary antibody.

Staining was performed on a Leica BondTM. The section was pre-treated using heat mediated antigen retrieval with sodium citrate buffer (pH6, epitope retrieval solution 1) for 20 mins, before blocking of endogenous biotin using ab64212. The section was then incubated with ab6046, 1/100 dilution, for 15 mins at room temperature, followed by ab207995, 1/1000 dilution, for 15 mins at room temperature. Detection was via an HRP conjugated ABC system and DAB was used as the chromogen. The section was then counterstained with haematoxylin and mounted with DPX.

The inset negative control image is taken from an identical assay without primary antibody.

For other IHC staining systems (automated and non-automated) customers should optimize variable parameters such as antigen retrieval conditions, primary antibody concentration and antibody incubation times.

*Tissue obtained from the Human Research Tissue Bank, supported by the NIHR Cambridge Biomedical Research Centre

ELISA - Goat Anti-Rabbit IgG H&L (Biotin) (AB207995)
  • ELISA

Lab

ELISA - Goat Anti-Rabbit IgG H&L (Biotin) (AB207995)

ab207995 was tested by direct ELISA, where wells were coated with serially diluted rabbit IgG (1000 – 16 ng/ml) for 2 hours, followed by a 2 hour blocking step (5% BSA). ab207995 (1 : 20,000 dilution; 2 hours) was added and detected by streptavidin-HRP (ab7403; 1 : 10,000 dilution; 1 hour). Signal was developed by TMB substrate. Data from duplicates; +/- SD.

ELISA - Goat Anti-Rabbit IgG H&L (Biotin) (AB207995)
  • ELISA

Lab

ELISA - Goat Anti-Rabbit IgG H&L (Biotin) (AB207995)

Cross-reactivity of the polyclonal secondary antibody ab182016 was tested using a sandwich ELISA approach. The wells were coated with the indicated IgG standards at 1 μg/ml (50 μl/well) and incubated overnight at 4°C, followed by a 5% BSA blocking step for 2h at RT. ab182016 was then added starting at 1 μg/ml and gradually diluted 1/4 (50 μl/well), followed by incubation for 2h. For the detection Donkey anti-Goat IgG H&L (HRP) (ab6885) was used at 1/10,000 dilution (50 μl/well), followed by incubation for 1h at RT.

For the batch tested, ab182016 showed a cross-reactivity of 5-7% towards Human IgG and below 2% towards Mouse IgG, Rat IgG and Chicken IgY.

This data was developed using the unconjugated antibody (ab182016).

ELISA - Goat Anti-Rabbit IgG H&L (Biotin) (AB207995)
  • ELISA

Lab

ELISA - Goat Anti-Rabbit IgG H&L (Biotin) (AB207995)

Cross-reactivity of Goat anti-Rabbit IgG H&L (ab182016) and Goat anti-Rabbit IgG H&L obtained from two different vendors was tested using a sandwich ELISA approach. The wells were coated with the indicated IgG standards (Rabbit, Human, Mouse and Rat) at 1 μg/ml (50 μl/well) and incubated overnight at 4°C, followed by a 5% BSA blocking step for 2h at RT. Secondary antibodies were then added starting at 1 μg/ml and gradually diluted 1/4 (50 μl/well), followed by incubation for 2h. For the detection Donkey anti-Goat IgG H&L (HRP) (ab6885) was used at 1/10,000 dilution (50 μl/well), followed by incubation for 1h at RT. This data is from a representative dilution.

This data was developed using the unconjugated antibody (ab182016).

  • Beta-galactosidase

    Goat Anti-Rabbit IgG H&L (beta-galactosidase)

  • Glucose Oxidase

    Goat Anti-Rabbit IgG H&L (Glucose Oxidase)

  • HRP polymer

    Goat Anti-Rabbit IgG H&L (HRP polymer)

  • Unconjugated

    Goat Anti-Rabbit IgG H&L preadsorbed

  • Alkaline Phosphatase

    Goat Anti-Rabbit IgG H&L (Alkaline Phosphatase)

  • 667 Cy5®

    Goat Anti-Rabbit IgG H&L (Cy5 ®) preadsorbed

  • 505 Cy2®

    Goat Anti-Rabbit IgG H&L (Cy2 ®) preadsorbed

  • 519 FITC

    Goat Anti-Rabbit IgG H&L (FITC)

  • 572 TRITC

    Goat Anti-Rabbit IgG H&L (TRITC)

  • 6nm Gold

    Goat Anti-Rabbit IgG H&L (6nm Gold)

  • 618 DyLight® 594

    Goat Anti-Rabbit IgG H&L (DyLight® 594)

  • 576 DyLight® 550

    Goat Anti-Rabbit IgG H&L (DyLight® 550)

  • 673 DyLight® 650

    Goat Anti-Rabbit IgG H&L (DyLight® 650) preadsorbed

  • 702 Alexa Fluor® 680

    Goat Anti-Rabbit IgG H&L (Alexa Fluor® 680)

  • 603 Alexa Fluor® 568

    Goat Anti-Rabbit IgG H&L (Alexa Fluor® 568)

  • 519 Alexa Fluor® 488

    Goat Anti-Rabbit IgG H&L (Alexa Fluor® 488)

  • 565 Alexa Fluor® 555

    Goat Anti-Rabbit IgG H&L (Alexa Fluor® 555)

  • 665 Alexa Fluor® 647

    Goat Anti-Rabbit IgG H&L (Alexa Fluor® 647)

  • 617 Alexa Fluor® 594

    Goat Anti-Rabbit IgG H&L (Alexa Fluor® 594)

  • 702 Alexa Fluor® 680

    Goat Anti-Rabbit IgG H&L (Alexa Fluor® 680) preadsorbed

  • HRP

    Goat Anti-Rabbit IgG H&L (HRP)

  • 775 Alexa Fluor® 750

    Goat Anti-Rabbit IgG H&L (Alexa Fluor® 750) preadsorbed

  • 421 Alexa Fluor® 405

    Goat Anti-Rabbit IgG H&L (Alexa Fluor® 405)

  • 578 PE

    Goat Anti-Rabbit IgG H&L (PE) preadsorbed

  • 615 Texas Red®

    Goat Anti-Rabbit IgG H&L (Texas Red ®)

  • 660 APC

    Goat Anti-Rabbit IgG H&L (APC) preadsorbed

  • 518 DyLight® 488

    Goat Anti-Rabbit IgG H&L (DyLight® 488) preadsorbed

  • 703 Cy5.5®

    Goat Anti-Rabbit IgG H&L (Cy5.5 ®) preadsorbed

  • 565 Cy3®

    Goat Anti-Rabbit IgG H&L (Cy3 ®) preadsorbed

  • 596 Cy3.5®

    Goat Anti-Rabbit IgG H&L (Cy3.5 ®) preadsorbed

  • 805 Alexa Fluor® 790

    Goat Anti-Rabbit IgG H&L (Alexa Fluor® 790)

Key facts

Host species

Goat

Target species

Rabbit

Target isotype

IgG

Target specificity

Heavy & Light chains

Minimal cross-reactivity
Pre-adsorbed

No

Conjugation

Biotin

Excitation/Emission
Applications

IHC-Fr, IHC-P, Flow Cyt, IP, ICC/IF, ELISA, WB

applications

Clonality

Polyclonal

Isotype

IgG

Specificity

The antibody used for conjugation reacts with rabbit immunoglobulins of all classes.Cross-reactions as determined by ELISA for the unconjugated antibody (ab182016): Mouse IgG, rat IgG, and chicken IgY, less than 2%. Human IgG, less than 7%.

Reactivity data

{ "title": "Reactivity Data", "filters": { "stats": ["", "Reactivity", "Dilution Info", "Notes"] }, "values": { "WB": { "reactivity":"TESTED_AND_REACTS", "dilution-info":"", "notes":"<p></p>" }, "IP": { "reactivity":"TESTED_AND_REACTS", "dilution-info":"", "notes":"<p></p>" }, "Flow Cyt": { "reactivity":"TESTED_AND_REACTS", "dilution-info":"", "notes":"<p></p>" }, "ICC/IF": { "reactivity":"TESTED_AND_REACTS", "dilution-info":"", "notes":"<p></p>" }, "IHC-Fr": { "reactivity":"TESTED_AND_REACTS", "dilution-info":"", "notes":"<p></p>" }, "IHC-P": { "reactivity":"TESTED_AND_REACTS", "dilution-info":"1/500 - 1/5000", "notes":"<p></p> Perform heat-mediated antigen retrieval with citrate buffer pH 6 before commencing with IHC staining protocol." }, "ELISA": { "reactivity":"TESTED_AND_REACTS", "dilution-info":"1/20000 - 1/200000", "notes":"<p></p>" } } }

You may be interested in:

AB7403

Streptavidin (HRP)

5

7 Reviews

View product
AB119211

InstantBlue® Coomassie Protein Stain (ISB1L)

5

5 Reviews

View product

We recommend this product because it’s often used in the same experiment or related research.

We advise that you always check the datasheet to ensure it fits your experiments, or contact ourtechnical teamfor help.

Product details

This antibody reacts with the heavy and light chains of Rabbit IgG

When it comes to advancing your immunohistochemistry (IHC) research, Abcam offers comprehensive suite of IHC kits and secondary antibodies, designed to deliver precise and reliable results.

Properties and storage information

Form
Liquid
Purification technique
Affinity purification
Purification notes
Immunogen affinity purified - This antibody was isolated by affinity chromatography using antigen coupled to agarose beads and conjugated to Biotin.
Storage buffer
pH: 7.4 Preservative: 0.02% Sodium azide Constituents: PBS, 30% Glycerol (glycerin, glycerine), 1% BSA
Shipped at conditions
Blue Ice
Appropriate short-term storage duration
1-2 weeks
Appropriate short-term storage conditions
+4°C
Appropriate long-term storage conditions
-20°C
Aliquoting information
Upon delivery aliquot
Storage information
Avoid freeze / thaw cycle|Store in the dark

Product protocols

For this product, it's our understanding that no specific protocols are required. You can visit:

Publications (21)

Recent publications for all applications. Explore the full list and refine your search

International journal of oncology 62: PubMed36999621

2023

The regulatory effect of the YY1/miR‑HCC2/BAMBI axis on the stemness of liver cancer cells.

Applications

Unspecified application

Species

Unspecified reactive species

Huijie Gao,Hongxia Fan,Hong Xie

American journal of reproductive immunology (New York, N.Y. : 1989) 89:e13651 PubMed36369900

2023

Circ_0000471 suppresses the progression of ovarian cancer through mediating mir-135b-5p/dusp5 axis.

Applications

Unspecified application

Species

Unspecified reactive species

Shanshan Yu,Maowen Yu,Jianjun Chen,Hongbo Tang,Wuqing Gong,Hui Tan

Environmental health perspectives 131:17009 PubMed36719213

2023

BPDE, the Migration and Invasion of Human Trophoblast Cells, and Occurrence of Miscarriage in Humans: Roles of a Novel .

Applications

Unspecified application

Species

Unspecified reactive species

Mengyuan Dai,Wenxin Huang,Xinying Huang,Chenglong Ma,Rong Wang,Peng Tian,Weina Chen,Ying Zhang,Chenyang Mi,Huidong Zhang

Frontiers in neural circuits 16:1038500 PubMed36338332

2022

The lateral superior olive in the mouse: Two systems of projecting neurons.

Applications

Unspecified application

Species

Unspecified reactive species

Isabella R Williams,Anastasia Filimontseva,Catherine J Connelly,David K Ryugo

Cancer immunology research 10:1542-1558 PubMed36255412

2022

NET-Triggered NLRP3 Activation and IL18 Release Drive Oxaliplatin-Induced Peripheral Neuropathy.

Applications

Unspecified application

Species

Unspecified reactive species

Tongtong Lin,Liang Hu,Fan Hu,Kun Li,Chao-Yu Wang,Li-Juan Zong,Ya-Qian Zhao,Xiaotao Zhang,Yan Li,Yang Yang,Yu Wang,Chun-Yi Jiang,Xuefeng Wu,Wen-Tao Liu

Journal of oral pathology & medicine : official publication of the International Association of Oral Pathologists and the American Academy of Oral Pathology 52:136-144 PubMed36207791

2022

Oncostatin M receptor is overexpressed in oral squamous cell carcinoma and connected to poor prognosis.

Applications

Unspecified application

Species

Unspecified reactive species

Qifeng Geng,Jing Wang,Wei Zhang,Wei Zhou,Genxiong Tang,Mingyan Gu

Frontiers in pharmacology 13:920449 PubMed35910379

2022

Preclinical Evaluation of Fingolimod in Rodent Models of Stroke With Age or Atherosclerosis as Comorbidities.

Applications

Unspecified application

Species

Unspecified reactive species

Andrea C Diaz Diaz,Kyle Malone,Jennifer A Shearer,Anne C Moore,Christian Waeber

Oncology letters 24:251 PubMed35761941

2022

IGFBP7 remodels the tumor microenvironment of esophageal squamous cell carcinoma by activating the TGFβ1/SMAD signaling pathway.

Applications

Unspecified application

Species

Unspecified reactive species

Xiuqing Li,Ji Zhang,Youshan Wu,Chuntao Ma,Dongying Wei,Lijuan Pan,Liangliang Cai

Sarcoma 2022:9646909 PubMed35570846

2022

Plexin-B2 and Semaphorins Do Not Drive Rhabdomyosarcoma Proliferation or Migration.

Applications

Unspecified application

Species

Unspecified reactive species

Anju Karki,Reshma Purohit,Sofia Nosack,Narendra Bharathy,Joel E Michalek,Sonja Chen,Charles Keller

Journal of medicinal food 25:12-23 PubMed35029511

2022

Citric Acid-Enriched Extract of Ripe (Siebold) Siebold & Zucc. Induces Laxative Effects by Regulating the Expression of Aquaporin 3 and Prostaglandin E in Rats with Loperamide-Induced Constipation.

Applications

Unspecified application

Species

Unspecified reactive species

Ju-Ryun Na,Eun Kim,Chang-Su Na,Sunoh Kim
View all publications

Product promise

We are committed to supporting your work with high-quality reagents, and we're here for you every step of the way. In the unlikely event that one of our products does not perform as expected, you're protected by our Product Promise.
For full details, please see our Terms & Conditions

Associated Products

Select an associated product type
Alternative Product
Secondary Antibodies

AB6717

Goat Anti-Rabbit IgG H&L (FITC)

secondary-antibodies

goat-rabbit-igg-h-l-fitc-ab6717

5

(2 reviews)

Alternative Version
Secondary Antibodies

AB175773

Goat Anti-Rabbit IgG H&L (Alexa Fluor® 680)

secondary-antibodies

goat-rabbit-igg-h-l-alexa-fluor-680-ab175773

0

(0 reviews)

Alternative Version
Secondary Antibodies

AB175471

Goat Anti-Rabbit IgG H&L (Alexa Fluor® 568)

secondary-antibodies

goat-rabbit-igg-h-l-alexa-fluor-568-ab175471

5

(1 reviews)

Alternative Version
Secondary Antibodies

AB150077

Goat Anti-Rabbit IgG H&L (Alexa Fluor® 488)

secondary-antibodies

goat-rabbit-igg-h-l-alexa-fluor-488-ab150077

5

(20 reviews)

Alternative Version
Secondary Antibodies

AB150078

Goat Anti-Rabbit IgG H&L (Alexa Fluor® 555)

secondary-antibodies

goat-rabbit-igg-h-l-alexa-fluor-555-ab150078

5

(2 reviews)

Alternative Version
Secondary Antibodies

AB150079

Goat Anti-Rabbit IgG H&L (Alexa Fluor® 647)

secondary-antibodies

goat-rabbit-igg-h-l-alexa-fluor-647-ab150079

3

(1 reviews)

Alternative Version
Secondary Antibodies

AB150080

Goat Anti-Rabbit IgG H&L (Alexa Fluor® 594)

secondary-antibodies

goat-rabbit-igg-h-l-alexa-fluor-594-ab150080

5

(3 reviews)

Alternative Version
Secondary Antibodies

AB182016

Goat Anti-Rabbit IgG H&L

secondary-antibodies

goat-rabbit-igg-h-l-ab182016

0

(0 reviews)

Alternative Version
Secondary Antibodies

AB205718

Goat Anti-Rabbit IgG H&L (HRP)

secondary-antibodies

goat-rabbit-igg-h-l-hrp-ab205718

5

(8 reviews)

Alternative Version
Secondary Antibodies

AB175652

Goat Anti-Rabbit IgG H&L (Alexa Fluor® 405)

secondary-antibodies

goat-rabbit-igg-h-l-alexa-fluor-405-ab175652

5

(2 reviews)

Alternative Version
Secondary Antibodies

AB175781

Goat Anti-Rabbit IgG H&L (Alexa Fluor® 790)

secondary-antibodies

goat-rabbit-igg-h-l-alexa-fluor-790-ab175781

0

(0 reviews)

Please note: All products are 'FOR RESEARCH USE ONLY. NOT FOR USE IN DIAGNOSTIC OR THERAPEUTIC PROCEDURES'.

For licensing inquiries, please contact partnerships@abcam.com