JavaScript is disabled in your browser. Please enable JavaScript to view this website.
AB205718

Goat Anti-Rabbit IgG H&L (HRP)

5

(8 Reviews)

|

(3567 Publications)

Goat anti-rabbit IgG H&L (HRP) (ab205718) is a polyclonal horseradish peroxidase (HRP)-conjugated secondary antibody. Suitable for IHC, western blot, IP and ELISA applications.

- Flexible signal amplification- use in colorimetric or chemiluminescent detection
- Proven performance: cited in over 3565 publications

View Alternative Names

Ig gamma 1 chain C region, Ig gamma 3 chain C region, Ig gamma 4 chain C region, Ig gamma chain C region, Ig gamma-2 chain C region, Ig kappa-b4 chain C region, Ig kappa-b5 chain C region, Ig kappa-b9 chain C region, Ig lambda chain C region, Immunoglobin heavy constant gamma 1, Immunoglobulin G, K-BAS

7 Images
Immunohistochemistry (Formalin/PFA-fixed paraffin-embedded sections) - Goat Anti-Rabbit IgG H&L (HRP) (AB205718)
  • IHC-P

Lab

Immunohistochemistry (Formalin/PFA-fixed paraffin-embedded sections) - Goat Anti-Rabbit IgG H&L (HRP) (AB205718)

IHC image of histone H4 staining in a section of formalin-fixed paraffin-embedded normal human colon tissue*. The section was pre-treated using pressure cooker heat mediated antigen retrieval with sodium citrate buffer (pH6) for 30mins, and incubated overnight at +4°C with ab177840 at 1/1000 dilution. An HRP-conjugated secondary (ab205718, 1/20000 dilution) was used to detect the primary for 1hr at room temperature. DAB was used as the chromogen (ab103723), diluted 1/100 and incubated for 10min at room temperature. The section was counterstained with haematoxylin and mounted with DPX. The inset negative control image is taken from an identical assay without primary antibody.

For other IHC staining systems (automated and non-automated) customers should optimize variable parameters such as antigen retrieval conditions, primary antibody concentration and antibody incubation times.

*Tissue obtained from the Human Research Tissue Bank, supported by the NIHR Cambridge Biomedical Research Centre

Immunohistochemistry (Formalin/PFA-fixed paraffin-embedded sections) - Goat Anti-Rabbit IgG H&L (HRP) (AB205718)
  • IHC-P

Lab

Immunohistochemistry (Formalin/PFA-fixed paraffin-embedded sections) - Goat Anti-Rabbit IgG H&L (HRP) (AB205718)

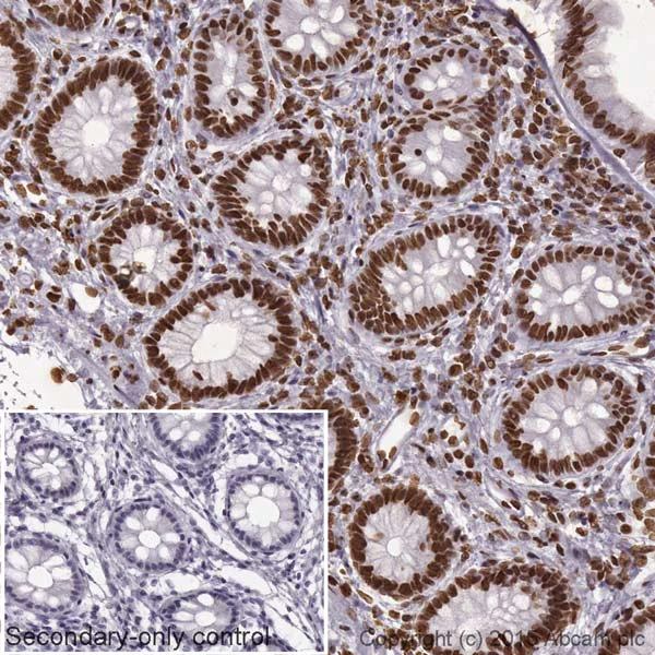
IHC image of Ki67 staining in a section of formalin-fixed paraffin-embedded normal human colon tissue*. The section was pre-treated using pressure cooker heat mediated antigen retrieval with sodium citrate buffer (pH6) for 30mins, and incubated overnight at +4°C with ab15580 at 1/1000 dilution. An HRP-conjugated secondary (ab205718, 1/20000 dilution) was used to detect the primary for 1hr at room temperature. DAB was used as the chromogen (ab103723), diluted 1/100 and incubated for 10min at room temperature. The section was counterstained with haematoxylin and mounted with DPX. The inset negative control image is taken from an identical assay without primary antibody.

For other IHC staining systems (automated and non-automated) customers should optimize variable parameters such as antigen retrieval conditions, primary antibody concentration and antibody incubation times.

*Tissue obtained from the Human Research Tissue Bank, supported by the NIHR Cambridge Biomedical Research Centre

Immunohistochemistry (Formalin/PFA-fixed paraffin-embedded sections) - Goat Anti-Rabbit IgG H&L (HRP) (AB205718)
  • IHC-P

Lab

Immunohistochemistry (Formalin/PFA-fixed paraffin-embedded sections) - Goat Anti-Rabbit IgG H&L (HRP) (AB205718)

IHC image of beta tubulin staining in a section of formalin-fixed paraffin-embedded normal human colon tissue*. The section was pre-treated using pressure cooker heat mediated antigen retrieval with sodium citrate buffer (pH6) for 30mins, and incubated overnight at +4°C with ab6046 at 1/100 dilution. An HRP-conjugated secondary (ab205718, 1/20000 dilution) was used to detect the primary for 1hr at room temperature. DAB was used as the chromogen (ab103723), diluted 1/100 and incubated for 10min at room temperature. The section was counterstained with haematoxylin and mounted with DPX. The inset negative control image is taken from an identical assay without primary antibody.

For other IHC staining systems (automated and non-automated) customers should optimize variable parameters such as antigen retrieval conditions, primary antibody concentration and antibody incubation times.

*Tissue obtained from the Human Research Tissue Bank, supported by the NIHR Cambridge Biomedical Research Centre

ELISA - Goat Anti-Rabbit IgG H&L (HRP) (AB205718)
  • ELISA

Lab

ELISA - Goat Anti-Rabbit IgG H&L (HRP) (AB205718)

Cross-reactivity of the polyclonal secondary antibody ab182016 was tested using a sandwich ELISA approach. The wells were coated with the indicated IgG standards at 1 μg/ml (50 μl/well) and incubated overnight at 4°C, followed by a 5% BSA blocking step for 2h at RT. ab182016 was then added starting at 1 μg/ml and gradually diluted 1/4 (50 μl/well), followed by incubation for 2h. For the detection Donkey anti-Goat IgG H&L (HRP) (ab6885) was used at 1/10,000 dilution (50 μl/well), followed by incubation for 1h at RT.

For the batch tested, ab182016 showed a cross-reactivity of 5-7% towards Human IgG and below 2% towards Mouse IgG, Rat IgG and Chicken IgY.

This data was developed using the unconjugated antibody (ab182016).

ELISA - Goat Anti-Rabbit IgG H&L (HRP) (AB205718)
  • ELISA

Lab

ELISA - Goat Anti-Rabbit IgG H&L (HRP) (AB205718)

Cross-reactivity of Goat anti-Rabbit IgG H&L (ab182016) and Goat anti-Rabbit IgG H&L obtained from two different vendors was tested using a sandwich ELISA approach. The wells were coated with the indicated IgG standards (Rabbit, Human, Mouse and Rat) at 1 μg/ml (50 μl/well) and incubated overnight at 4°C, followed by a 5% BSA blocking step for 2h at RT. Secondary antibodies were then added starting at 1 μg/ml and gradually diluted 1/4 (50 μl/well), followed by incubation for 2h. For the detection Donkey anti-Goat IgG H&L (HRP) (ab6885) was used at 1/10,000 dilution (50 μl/well), followed by incubation for 1h at RT. This data is from a representative dilution.

This data was developed using the unconjugated antibody (ab182016).

Western blot - Goat Anti-Rabbit IgG H&L (HRP) (AB205718)
  • WB

Lab

Western blot - Goat Anti-Rabbit IgG H&L (HRP) (AB205718)

This blot was produced using a 4-12% Bis-tris gel under the MOPS buffer system. The gel was run at 200V for 50 minutes before being transferred onto a Nitrocellulose membrane at 30V for 70 minutes. The membrane was then blocked for an hour using 2% Bovine Serum Albumin before being incubated with ab8227 overnight at 4°C. Antibody binding was detected using ab205718, and visualised using ECL development solution ab133406.

All lanes:

Western blot - Anti-beta Actin antibody - Loading Control (<a href='/en-us/products/primary-antibodies/beta-actin-antibody-loading-control-ab8227'>ab8227</a>) at 1 µg/mL

Lane 1:

Liver (Human) Tissue Lysate at 10 µg

Lane 2:

Liver (Mouse) Tissue Lysate at 10 µg

Lane 3:

Liver (Rat) Tissue Lysate at 10 µg

Lane 4:

HeLa (Human epithelial carcinoma cell line) Whole Cell Lysate at 10 µg

Lane 5:

NIH 3T3 (Mouse embryonic fibroblast cell line) Whole Cell Lysate at 10 µg

Lane 6:

PC12 (Rat adrenal pheochromocytoma cell line) Whole Cell Lysate at 10 µg

Secondary

All lanes:

Western blot - Goat Anti-Rabbit IgG H&L (HRP) (ab205718) at 1/50000 dilution

Predicted band size: 36 kDa

Observed band size: 42 kDa

true

Exposure time: 30s

Western blot - Goat Anti-Rabbit IgG H&L (HRP) (AB205718)
  • WB

AbReview80461****

Western blot - Goat Anti-Rabbit IgG H&L (HRP) (AB205718)

All lanes:

Western blot - Anti-rSec6 antibody [EPR10812] (<a href='/en-us/products/primary-antibodies/rsec6-antibody-epr10812-ab156568'>ab156568</a>) at 1/5000 dilution

Lane 1:

Hela WT at 100000 Cells

Lane 2:

Hela EXOC3 KO at 100000 Cells

Secondary

All lanes:

Western blot - Goat Anti-Rabbit IgG H&L (HRP) (ab205718) at 1/5000 dilution

false

This image is courtesy of an anonymous Abreview

  • Beta-galactosidase

    Goat Anti-Rabbit IgG H&L (beta-galactosidase)

  • Glucose Oxidase

    Goat Anti-Rabbit IgG H&L (Glucose Oxidase)

  • HRP polymer

    Goat Anti-Rabbit IgG H&L (HRP polymer)

  • Unconjugated

    Goat Anti-Rabbit IgG H&L preadsorbed

  • Alkaline Phosphatase

    Goat Anti-Rabbit IgG H&L (Alkaline Phosphatase)

  • 667 Cy5®

    Goat Anti-Rabbit IgG H&L (Cy5 ®) preadsorbed

  • 505 Cy2®

    Goat Anti-Rabbit IgG H&L (Cy2 ®) preadsorbed

  • 519 FITC

    Goat Anti-Rabbit IgG H&L (FITC)

  • 572 TRITC

    Goat Anti-Rabbit IgG H&L (TRITC)

  • 6nm Gold

    Goat Anti-Rabbit IgG H&L (6nm Gold)

  • 618 DyLight® 594

    Goat Anti-Rabbit IgG H&L (DyLight® 594)

  • 576 DyLight® 550

    Goat Anti-Rabbit IgG H&L (DyLight® 550)

  • 673 DyLight® 650

    Goat Anti-Rabbit IgG H&L (DyLight® 650) preadsorbed

  • 702 Alexa Fluor® 680

    Goat Anti-Rabbit IgG H&L (Alexa Fluor® 680)

  • 603 Alexa Fluor® 568

    Goat Anti-Rabbit IgG H&L (Alexa Fluor® 568)

  • 519 Alexa Fluor® 488

    Goat Anti-Rabbit IgG H&L (Alexa Fluor® 488)

  • 565 Alexa Fluor® 555

    Goat Anti-Rabbit IgG H&L (Alexa Fluor® 555)

  • 665 Alexa Fluor® 647

    Goat Anti-Rabbit IgG H&L (Alexa Fluor® 647)

  • 617 Alexa Fluor® 594

    Goat Anti-Rabbit IgG H&L (Alexa Fluor® 594)

  • 702 Alexa Fluor® 680

    Goat Anti-Rabbit IgG H&L (Alexa Fluor® 680) preadsorbed

  • Biotin

    Goat Anti-Rabbit IgG H&L (Biotin)

  • 775 Alexa Fluor® 750

    Goat Anti-Rabbit IgG H&L (Alexa Fluor® 750) preadsorbed

  • 421 Alexa Fluor® 405

    Goat Anti-Rabbit IgG H&L (Alexa Fluor® 405)

  • 578 PE

    Goat Anti-Rabbit IgG H&L (PE) preadsorbed

  • 615 Texas Red®

    Goat Anti-Rabbit IgG H&L (Texas Red ®)

  • 660 APC

    Goat Anti-Rabbit IgG H&L (APC) preadsorbed

  • 518 DyLight® 488

    Goat Anti-Rabbit IgG H&L (DyLight® 488) preadsorbed

  • 703 Cy5.5®

    Goat Anti-Rabbit IgG H&L (Cy5.5 ®) preadsorbed

  • 565 Cy3®

    Goat Anti-Rabbit IgG H&L (Cy3 ®) preadsorbed

  • 596 Cy3.5®

    Goat Anti-Rabbit IgG H&L (Cy3.5 ®) preadsorbed

  • 805 Alexa Fluor® 790

    Goat Anti-Rabbit IgG H&L (Alexa Fluor® 790)

Key facts

Host species

Goat

Target species

Rabbit

Target isotype

IgG

Target specificity

Heavy & Light chains

Minimal cross-reactivity
Pre-adsorbed

No

Conjugation

HRP

Excitation/Emission
Applications

ELISA, IP, WB, IHC-P

applications

Clonality

Polyclonal

Isotype

IgG

Specificity

The antibody used for conjugation reacts with rabbit immunoglobulins of all classes. Cross-reactions as determined by ELISA for the unconjugated antibody (ab182016): Mouse IgG, rat IgG, and chicken IgY, less than 2%. Human IgG, less than 7%.

Reactivity data

{ "title": "Reactivity Data", "filters": { "stats": ["", "Reactivity", "Dilution Info", "Notes"] }, "values": { "IP": { "reactivity":"TESTED_AND_REACTS", "dilution-info":"", "notes":"<p></p>" }, "IHC-P": { "reactivity":"TESTED_AND_REACTS", "dilution-info":"1/2000 - 1/50000", "notes":"<p></p>" }, "WB": { "reactivity":"TESTED_AND_REACTS", "dilution-info":"1/2000 - 1/50000", "notes":"<p></p>" }, "ELISA": { "reactivity":"TESTED_AND_REACTS", "dilution-info":"1/5000 - 1/20000", "notes":"<p></p>" } } }

You may be interested in:

AB205719

Goat Anti-Mouse IgG H&L (HRP)

5

4 Reviews

View product
AB119211

InstantBlue® Coomassie Protein Stain (ISB1L)

5

5 Reviews

View product

We recommend this product because it’s often used in the same experiment or related research.

We advise that you always check the datasheet to ensure it fits your experiments, or contact ourtechnical teamfor help.

Product details

When it comes to advancing your immunohistochemistry (IHC) research, Abcam offers a comprehensive suite of IHC kits and secondary antibodies, designed to deliver precise and reliable results.

Properties and storage information

Form
Liquid
Purification technique
Affinity purification Immunogen
Purification notes
This antibody was isolated by affinity chromatography using antigen coupled to agarose beads and conjugated to Horse Radish Peroxidase (HRP).
Storage buffer
pH: 7.4 Preservative: 0.1% Proclin 300 Solution Constituents: PBS, 30% Glycerol (glycerin, glycerine), 1% BSA
Shipped at conditions
Blue Ice
Appropriate short-term storage duration
1-2 weeks
Appropriate short-term storage conditions
+4°C
Appropriate long-term storage conditions
-20°C
Aliquoting information
Upon delivery aliquot
Storage information
Avoid freeze / thaw cycle|Store in the dark

Supplementary information

This supplementary information is collated from multiple sources and compiled automatically.

Immunoglobulin G (IgG) serves as an essential component of the immune system functioning mainly as an antibody. It is found in blood and extracellular fluid making it one of the most prevalent antibodies in the human body. IgG weighs approximately 150 kDa and it is expressed by B cells as part of the humoral response to pathogens. Alternate names include gamma globulin and Ig gamma. IgG antibodies form a critical aspect of adaptive immunity by targeting specific antigens for neutralization or destruction.
Biological function summary

IgG participates in several immune processes by binding to antigens and forming immune complexes. It facilitates pathogen opsonization initiating phagocytosis by immune cells like macrophages and neutrophils. IgG also activates the classical complement pathway which enhances pathogen clearance. IgG exists in a monomeric form and can cross the placenta providing passive immunity to the fetus. In laboratory settings its high specificity makes it valuable in techniques like IgG ELISA for detecting antigen presence.

Pathways

IgG plays an integral role in the complement system and the adaptive immune response. It partners with proteins such as C1q to initiate the classical complement pathway amplifying the body's ability to detect and remove pathogens. IgG also interacts with Fc receptors on immune cells modulating immune cell activity and facilitating antigen presentation to T cells. These interactions enhance the immune system's efficiency in recognizing and responding to diverse pathogens.

IgG has connections to autoimmune diseases and chronic infections. Elevated levels of IgG can indicate autoimmune conditions like lupus or rheumatoid arthritis where the immune system mistakenly attacks healthy tissue. During chronic infections such as HIV variations in IgG responses can affect disease progression and treatment efficacy. In these contexts IgG interacts with proteins involved in the immune dysregulation characteristic of such diseases highlighting its significant role in both protection and pathology.

Product protocols

For this product, it's our understanding that no specific protocols are required. You can visit:

Publications (3567)

Recent publications for all applications. Explore the full list and refine your search

Aging and disease 15:1499-1507 PubMed37815904

2024

Senolytic Treatment Improve Small Intestine Regeneration in Aging.

Applications

Unspecified application

Species

Unspecified reactive species

Qing-Tian Luo,Yuan-Chun Ye,Wei-Ming Guo,Qing Zhu,Sa-Shuang Wang,Nan Li,Lei Wang,Chun-Sheng Cheng,Gang Fan

Communications biology 7:557 PubMed38730276

2024

Delineating organizational principles of the endogenous L-A virus by cryo-EM and computational analysis of native cell extracts.

Applications

Unspecified application

Species

Unspecified reactive species

Lisa Schmidt,Christian Tüting,Fotis L Kyrilis,Farzad Hamdi,Dmitry A Semchonok,Gerd Hause,Annette Meister,Christian Ihling,Milton T Stubbs,Andrea Sinz,Panagiotis L Kastritis

Journal of biochemical and molecular toxicology 38:e23715 PubMed38704830

2024

Downregulation of lncRNA MIR17HG reduced tumorigenicity and Treg-mediated immune escape of non-small-cell lung cancer cells through targeting the miR-17-5p/RUNX3 axis.

Applications

Unspecified application

Species

Unspecified reactive species

Guanghua Zheng,Hui Ye,Junjun Bai,Xia Zhang

Biomolecules & biomedicine 24:505-519 PubMed37902450

2024

Silencing METTL14 alleviates liver injury in non-alcoholic fatty liver disease by regulating mitochondrial homeostasis.

Applications

Unspecified application

Species

Unspecified reactive species

Wei Wang,Jun Yan,Long Han,Zi-Lin Zou,Ai-Lei Xu

Clinical and experimental pharmacology & physiology 51:e13855 PubMed38636942

2024

Salvianic acid A sodium facilitates cardiac microvascular endothelial cell proliferation by enhancing the hypoxia-inducible factor-1 alpha/vascular endothelial growth factor signalling pathway post-myocardial infarction.

Applications

Unspecified application

Species

Unspecified reactive species

Jichun Liu,Fei Wu,Zhenhan Li,Shengwei Zheng,Yanqiang Huang,Hao Chen

iScience 27:109633 PubMed38638560

2024

Gut microbiota-derived cholic acid mediates neonatal brain immaturity and white matter injury under chronic hypoxia.

Applications

Unspecified application

Species

Unspecified reactive species

Yichen Yan,Xiaoli Zheng,Gang Liu,Guocheng Shi,Cong Li,Hongtong Chen,Xiaomin He,Kana Lin,Zhaohui Deng,Hao Zhang,Wei-Guang Li,Huiwen Chen,Xiaoping Tong,Zhongqun Zhu

Bioactive materials 36:272-286 PubMed38496034

2024

Self-adaptive pyroptosis-responsive nanoliposomes block pyroptosis in autoimmune inflammatory diseases.

Applications

Unspecified application

Species

Unspecified reactive species

Kaiwang Xu,Huang Yang,Jinghua Fang,Kaijie Qiu,Haotian Shen,Guanrui Huang,Qiangqiang Zheng,Canlong Wang,Tengjing Xu,Xinning Yu,Jiajie Wang,Yunting Lin,Jiacheng Dai,Yuting Zhong,Hongyun Song,Sunan Zhu,Siheng Wang,Zhuxing Zhou,Guang Yang,Zhengwei Mao,Zongyou Pan,Xuesong Dai

PeerJ 12:e17033 PubMed38435986

2024

Stress-induced changes in cognitive function and intestinal barrier integrity can be ameliorated by venlafaxine and synbiotic supplementations.

Applications

Unspecified application

Species

Unspecified reactive species

Sarawut Lapmanee,Nattapon Supkamonseni,Sakkarin Bhubhanil,Nattakan Treesaksrisakul,Chaiyos Sirithanakorn,Mattaka Khongkow,Katawut Namdee,Piyaporn Surinlert,Chittipong Tipbunjong,Prapimpun Wongchitrat

Iranian journal of basic medical sciences 27:439-446 PubMed38419890

2024

Crocin protects against endoplasmic reticulum stress-related tubular injury in diabetic nephropathy via the activation of the PI3K/AKT/Nrf2 pathway.

Applications

Unspecified application

Species

Unspecified reactive species

Guiying Wang,Jiuhon Deng,Zhou Hua

Current stem cell research & therapy 19:725-734 PubMed37448361

2024

Use of Mesenchymal Stem Cells in Experimental Ovarian Damage.

Applications

Unspecified application

Species

Unspecified reactive species

Hanan Fouad,Ibrahim A Albahlol,Hazim A Wahab,Eman H Nadwa,Heba M Galal,Mohamed Abouelkheir,Ahmed E Taha,Abdelkarim G Kamel,Hassan A Abdelmawlla
View all publications

Product promise

We are committed to supporting your work with high-quality reagents, and we're here for you every step of the way. In the unlikely event that one of our products does not perform as expected, you're protected by our Product Promise.
For full details, please see our Terms & Conditions

Associated Products

Select an associated product type
Alternative Product
Secondary Antibodies

AB214880

Goat Anti-Rabbit IgG H&L (HRP polymer)

secondary-antibodies

goat-rabbit-igg-h-l-hrp-polymer-ab214880

5

(3 reviews)

Alternative Product
Secondary Antibodies

AB6107

Goat F(ab')2 Anti-Rabbit IgG - (Fab)'2, pre-adsorbed

secondary-antibodies

goat-fab2-rabbit-igg-fab2-pre-adsorbed-ab6107

0

(0 reviews)

Alternative Product
Secondary Antibodies

AB6702

Goat Anti-Rabbit IgG H&L

secondary-antibodies

goat-rabbit-igg-h-l-ab6702

0

(0 reviews)

Alternative Product
Secondary Antibodies

AB7085

Goat Anti-Rabbit IgG H&L preadsorbed

secondary-antibodies

goat-rabbit-igg-h-l-preadsorbed-ab7085

0

(0 reviews)

Alternative Product
Secondary Antibodies

AB7086

Goat Anti-Rabbit IgG H&L (FITC) preadsorbed

secondary-antibodies

goat-rabbit-igg-h-l-fitc-preadsorbed-ab7086

4

(1 reviews)

Alternative Product
Secondary Antibodies

AB6722

Goat Anti-Rabbit IgG H&L (Alkaline Phosphatase)

secondary-antibodies

goat-rabbit-igg-h-l-alkaline-phosphatase-ab6722

0

(0 reviews)

Alternative Product
Secondary Antibodies

AB6721

Goat Anti-Rabbit IgG H&L (HRP)

secondary-antibodies

goat-rabbit-igg-h-l-hrp-ab6721

5

(12 reviews)

Alternative Product
Secondary Antibodies

AB6720

Goat Anti-Rabbit IgG H&L (Biotin)

secondary-antibodies

goat-rabbit-igg-h-l-biotin-ab6720

0

(0 reviews)

Alternative Product
Secondary Antibodies

AB7050

Goat F(ab) Anti-Rabbit IgG H&L (FITC)

secondary-antibodies

goat-fab-rabbit-igg-h-l-fitc-ab7050

0

(0 reviews)

Alternative Product
Secondary Antibodies

AB7051

Goat F(ab) Anti-Rabbit IgG H&L (TRITC)

secondary-antibodies

goat-fab-rabbit-igg-h-l-tritc-ab7051

0

(0 reviews)

Alternative Product
Secondary Antibodies

AB7052

Goat F(ab) Anti-Rabbit IgG H&L (Texas Red ®)

secondary-antibodies

goat-fab-rabbit-igg-h-l-texas-red-ab7052

0

(0 reviews)

Alternative Product
Secondary Antibodies

AB6564

Goat Anti-Rabbit IgG H&L (Cy5 ®) preadsorbed

secondary-antibodies

goat-rabbit-igg-h-l-cy5-preadsorbed-ab6564

5

(1 reviews)

Alternative Product
Secondary Antibodies

AB6012

Goat F(ab')2 Anti-Rabbit IgG - H&L (Biotin), pre-adsorbed

secondary-antibodies

goat-fab2-rabbit-igg-h-l-biotin-pre-adsorbed-ab6012

0

(0 reviews)

Alternative Product
Secondary Antibodies

AB6021

Goat F(ab')2 Anti-Rabbit IgG Fc (Biotin)

secondary-antibodies

goat-fab2-rabbit-igg-fc-biotin-ab6021

0

(0 reviews)

Alternative Product
Secondary Antibodies

AB6940

Goat Anti-Rabbit IgG H&L (Cy2 ®) preadsorbed

secondary-antibodies

goat-rabbit-igg-h-l-cy2-preadsorbed-ab6940

5

(1 reviews)

Alternative Version
Secondary Antibodies

AB175773

Goat Anti-Rabbit IgG H&L (Alexa Fluor® 680)

secondary-antibodies

goat-rabbit-igg-h-l-alexa-fluor-680-ab175773

0

(0 reviews)

Alternative Version
Secondary Antibodies

AB175471

Goat Anti-Rabbit IgG H&L (Alexa Fluor® 568)

secondary-antibodies

goat-rabbit-igg-h-l-alexa-fluor-568-ab175471

5

(1 reviews)

Alternative Version
Secondary Antibodies

AB150077

Goat Anti-Rabbit IgG H&L (Alexa Fluor® 488)

secondary-antibodies

goat-rabbit-igg-h-l-alexa-fluor-488-ab150077

5

(20 reviews)

Alternative Version
Secondary Antibodies

AB150078

Goat Anti-Rabbit IgG H&L (Alexa Fluor® 555)

secondary-antibodies

goat-rabbit-igg-h-l-alexa-fluor-555-ab150078

5

(2 reviews)

Alternative Version
Secondary Antibodies

AB150079

Goat Anti-Rabbit IgG H&L (Alexa Fluor® 647)

secondary-antibodies

goat-rabbit-igg-h-l-alexa-fluor-647-ab150079

3

(1 reviews)

Alternative Version
Secondary Antibodies

AB150080

Goat Anti-Rabbit IgG H&L (Alexa Fluor® 594)

secondary-antibodies

goat-rabbit-igg-h-l-alexa-fluor-594-ab150080

5

(3 reviews)

Alternative Version
Secondary Antibodies

AB182016

Goat Anti-Rabbit IgG H&L

secondary-antibodies

goat-rabbit-igg-h-l-ab182016

0

(0 reviews)

Alternative Version
Secondary Antibodies

AB207995

Goat Anti-Rabbit IgG H&L (Biotin)

secondary-antibodies

goat-rabbit-igg-h-l-biotin-ab207995

0

(0 reviews)

Alternative Version
Secondary Antibodies

AB175652

Goat Anti-Rabbit IgG H&L (Alexa Fluor® 405)

secondary-antibodies

goat-rabbit-igg-h-l-alexa-fluor-405-ab175652

5

(2 reviews)

Alternative Version
Secondary Antibodies

AB175781

Goat Anti-Rabbit IgG H&L (Alexa Fluor® 790)

secondary-antibodies

goat-rabbit-igg-h-l-alexa-fluor-790-ab175781

0

(0 reviews)

Please note: All products are 'FOR RESEARCH USE ONLY. NOT FOR USE IN DIAGNOSTIC OR THERAPEUTIC PROCEDURES'.

For licensing inquiries, please contact partnerships@abcam.com