JavaScript is disabled in your browser. Please enable JavaScript to view this website.
AB6721

Goat Anti-Rabbit IgG H&L (HRP)

5

(12 Reviews)

|

(7449 Publications)

Goat anti-Rabbit IgG H&L (HRP) (ab6721) is a polyclonal horseradish peroxidase (HRP)-conjugated secondary antibody suitable for both chemiluminescent and chromogenic detection. Ideal for Western blot, ICC, IHC, ELISA and Dot blot applications.

- Flexible signal amplification- use in colorimetric or chemiluminescent detection
- Proven performance: cited in over 7445 publications

View Alternative Names

Ig gamma 1 chain C region, Ig gamma 3 chain C region, Ig gamma 4 chain C region, Ig gamma chain C region, Ig gamma-2 chain C region, Ig kappa-b4 chain C region, Ig kappa-b5 chain C region, Ig kappa-b9 chain C region, Ig lambda chain C region, Immunoglobin heavy constant gamma 1, Immunoglobulin G, K-BAS

41 Images
Western blot - Goat Anti-Rabbit IgG H&L (HRP) (AB6721)
  • WB

Unknown

Western blot - Goat Anti-Rabbit IgG H&L (HRP) (AB6721)

All lanes:

Western blot - Anti-Histone H3 (phospho S10) antibody (<a href='/en-us/products/primary-antibodies/histone-h3-phospho-s10-antibody-ab5176'>ab5176</a>) at 1 µg/mL

Lane 1:

untreated histones at 0.5 µg

Lane 2:

colcemid treated histones at 0.5 µg

Lane 3:

untreated histones at 0.5 µg with Human Histone H3 (phospho S10) peptide (<a href='/en-us/products/proteins-peptides/human-histone-h3-phospho-s10-peptide-ab11477'>ab11477</a>)

Lane 4:

colcemid treated histones at 0.5 µg with Human Histone H3 (phospho S10) peptide (<a href='/en-us/products/proteins-peptides/human-histone-h3-phospho-s10-peptide-ab11477'>ab11477</a>)

Lane 5:

untreated histones at 0.5 µg with Human Histone H3 (unmodified ) peptide (<a href='/en-us/products/proteins-peptides/human-histone-h3-unmodified-peptide-ab2903'>ab2903</a>)

Lane 6:

colcemid treated histones at 0.5 µg with Human Histone H3 (unmodified ) peptide (<a href='/en-us/products/proteins-peptides/human-histone-h3-unmodified-peptide-ab2903'>ab2903</a>)

Secondary

All lanes:

Western blot - Goat Anti-Rabbit IgG H&L (HRP) (ab6721) at 1/5000 dilution

Predicted band size: 15 kDa

Observed band size: 15-20 kDa

true

Exposure time: 10s

Western blot - Goat Anti-Rabbit IgG H&L (HRP) (AB6721)
  • WB

AbReview64376****

Western blot - Goat Anti-Rabbit IgG H&L (HRP) (AB6721)

Primary antibody incubated for 15 hours at 4°C in TBST.

3% BSA used as blocking agent for 1 hour at 23°C.

All lanes:

Western blot - Anti-TGF beta Receptor I antibody (<a href='/en-us/products/primary-antibodies/tgf-beta-receptor-i-antibody-ab31013'>ab31013</a>) at 1/1000 dilution

Lane 1:

MCF7 (Human breast adenocarcinoma cell line) whole cell lysate at 20 µg

Lane 2:

A2780 (Human ovarian cancer cell line) whole cell lysate at 20 µg

Secondary

All lanes:

Western blot - Goat Anti-Rabbit IgG H&L (HRP) (ab6721) at 1/10000 dilution

Predicted band size: 55 kDa

true

Exposure time: 15s

Western blot - Goat Anti-Rabbit IgG H&L (HRP) (AB6721)
  • WB

AbReview81245****

Western blot - Goat Anti-Rabbit IgG H&L (HRP) (AB6721)

Western blot analysis using ab62352 at 1 : 1000 on Human iPSC-cardiomyocytes. Blocking agent and dilution buffer was 5% Skim Milk in TBS-Tween.

A cellular fractionation in Human iPSC-cardiomyocyte cells was performed to separate the nucleus from the cytoplasm (Lane 2).

All lanes:

Western blot - Anti-Nrf2 antibody [EP1808Y] (<a href='/en-us/products/primary-antibodies/nrf2-antibody-ep1808y-ab62352'>ab62352</a>) at 1/1000 dilution

Lane 1:

Human iPSC-cardiomyocytes cytoplasmatic fraction, at 20 µg

Lane 2:

Human iPSC-cardiomyocytes nuclear fraction at 20 µg

Secondary

All lanes:

Western blot - Goat Anti-Rabbit IgG H&L (HRP) (ab6721) at 1/2000 dilution

Observed band size: 100 kDa

false

Western blot - Goat Anti-Rabbit IgG H&L (HRP) (AB6721)
  • WB

Unknown

Western blot - Goat Anti-Rabbit IgG H&L (HRP) (AB6721)

Secondary antibody - goat anti-rabbit H&L (HRP) (ab6721)

All lanes:

Western blot - Anti-CD45 antibody (<a href='/en-us/products/primary-antibodies/cd45-antibody-ab10558'>ab10558</a>) at 1/500 dilution

Lane 1:

Jurkat Whole Cell Lysate at 20 µg

Lane 2:

Jurkat Whole Cell Lysate at 20 µg with Human CD45 peptide (<a href='/en-us/products/unavailable/human-cd45-peptide-ab17553'>ab17553</a>)

Secondary

All lanes:

Western blot - Goat Anti-Rabbit IgG H&L (HRP) (ab6721) at 1/5000 dilution

Predicted band size: 147 kDa

false

Exposure time: 3min

Western blot - Goat Anti-Rabbit IgG H&L (HRP) (AB6721)
  • WB

Unknown

Western blot - Goat Anti-Rabbit IgG H&L (HRP) (AB6721)

All lanes:

Western blot - Anti-p21 antibody [EPR362] (<a href='/en-us/products/primary-antibodies/p21-antibody-epr362-ab109520'>ab109520</a>) at 1/1000 dilution

Lane 1:

MCF7 cell lysate at 10 µg

Lane 2:

HeLa cell lysate at 10 µg

Lane 3:

HUVEC cell lysate at 10 µg

Lane 4:

LnCap cell lysate at 10 µg

Lane 5:

U87 MG cell lysate at 10 µg

Lane 6:

293T cell lsyate at 10 µg

Secondary

All lanes:

Western blot - Goat Anti-Rabbit IgG H&L (HRP) (ab6721)

Predicted band size: 18 kDa

false

Western blot - Goat Anti-Rabbit IgG H&L (HRP) (AB6721)
  • WB

Project

Western blot - Goat Anti-Rabbit IgG H&L (HRP) (AB6721)

All lanes:

Western blot - Anti-VDAC1/Porin + VDAC2 + VDAC3 antibody – Mitochondrial Loading Control (<a href='/en-us/products/primary-antibodies/vdac1-porin-vdac2-vdac3-antibody-mitochondrial-loading-control-ab15895'>ab15895</a>) at 1 µg/mL

Lane 1:

Hela Nuclear lysate at 20 µg

Lane 2:

Hela cell lysate at 20 µg

Lane 3:

A431 cell lysate at 20 µg

Lane 4:

Jurkat cell lysate at 20 µg

Lane 5:

HEK293 cell lysate at 20 µg

Lane 6:

Hela Nuclear lysate at 20 µg with Human VDAC1/Porin peptide (<a href='/en-us/products/unavailable/human-vdac1porin-peptide-ab16131'>ab16131</a>)

Lane 7:

Hela cell lysate at 20 µg with Human VDAC1/Porin peptide (<a href='/en-us/products/unavailable/human-vdac1porin-peptide-ab16131'>ab16131</a>)

Lane 8:

A431 cell lysate at 20 µg with Human VDAC1/Porin peptide (<a href='/en-us/products/unavailable/human-vdac1porin-peptide-ab16131'>ab16131</a>)

Lane 9:

Jurkat cell lysate at 20 µg with Human VDAC1/Porin peptide (<a href='/en-us/products/unavailable/human-vdac1porin-peptide-ab16131'>ab16131</a>)

Lane 10:

HEK293 cell lysate at 20 µg with Human VDAC1/Porin peptide (<a href='/en-us/products/unavailable/human-vdac1porin-peptide-ab16131'>ab16131</a>)

Secondary

All lanes:

Western blot - Goat Anti-Rabbit IgG H&L (HRP) (ab6721) at 1/5000 dilution

Predicted band size: 31 kDa

Observed band size: 31 kDa

true

Western blot - Goat Anti-Rabbit IgG H&L (HRP) (AB6721)
  • WB

PubMed

Western blot - Goat Anti-Rabbit IgG H&L (HRP) (AB6721)

https : //www.sciencedirect.com/journal/biochemical-and-biophysical-research-communications

All lanes:

Western blot - Anti-DFNA5/GSDME antibody [EPR19859] - N-terminal (<a href='/en-us/products/primary-antibodies/dfna5-gsdme-antibody-epr19859-n-terminal-ab215191'>ab215191</a>) at 1/1000 dilution

Lane 1:

Wild Type SGC-7901 (human papillomavirus-related endocervical adenocarcinoma cell line) cell lysates

Lane 2:

DFNA5/GSDME Knockout SGC-7901 cell lysates

Secondary

All lanes:

Western blot - Goat Anti-Rabbit IgG H&L (HRP) (ab6721) at 1/2000 dilution

Predicted band size: 54 kDa

false

Image from Wang Y et al., Biochem Biophys Res Commu. 2018;495(1):1418-1425. Fig 4(A).; 10.1016/j.bbrc.2017.11.156 with permission from Elsevier.

Western blot - Goat Anti-Rabbit IgG H&L (HRP) (AB6721)
  • WB

Unknown

Western blot - Goat Anti-Rabbit IgG H&L (HRP) (AB6721)

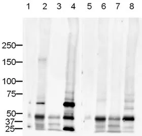
All lanes:

Western blot - Anti-beta Actin antibody - Loading Control (<a href='/en-us/products/primary-antibodies/beta-actin-antibody-loading-control-ab8227'>ab8227</a>) at 1/1000 dilution

Lane 1:

HeLa (Human epithelial cell line from cervix adenocarcinoma) cells at 20 µg

Lane 2:

NIH/3T3 (Mouse embryonic fibroblast cell line) cells at 20 µg

Lane 3:

Fish Liver at 20 µg

Lane 4:

Rabbit Liver at 20 µg

Lane 5:

MDCK (Canine kidney cell line) cells at 20 µg

Lane 6:

EBTr (cow trachea) cells at 20 µg

Lane 7:

SL-29 (chicken day 11 embryo) cells at 20 µg

Lane 8:

CHO (Chinese hamster ovary cell line) cells at 20 µg

Lane 9:

Xenopus laevis embryo at 20 µg

Secondary

All lanes:

Western blot - Goat Anti-Rabbit IgG H&L (HRP) (ab6721) at 1/5000 dilution

Predicted band size: 41 kDa

Observed band size: 41.7 kDa

false

Exposure time: 30s

Western blot - Goat Anti-Rabbit IgG H&L (HRP) (AB6721)
  • WB

Unknown

Western blot - Goat Anti-Rabbit IgG H&L (HRP) (AB6721)

Rabbit polyclonal to hnRNPA1 (ab4791) at 1/500.

Lane 1 : HeLa Whole Cell Extract
Lane 2 : HeLa Nuclear Extract

Secondary ab : Goat anti-rabbit IgG HRP conjugate ab6721 (1/2000)

All lanes:

Western blot - Anti-hnRNP A1 antibody (<a href='/en-us/products/primary-antibodies/hnrnp-a1-antibody-ab4791'>ab4791</a>) at 1/500 dilution

Lane 1:

HeLa Whole Cell Extract

Lane 2:

HeLa Nuclear Extract

Secondary

All lanes:

Western blot - Goat Anti-Rabbit IgG H&L (HRP) (ab6721) at 1/2000 dilution

Predicted band size: 38 kDa

Observed band size: 39 kDa

false

Western blot - Goat Anti-Rabbit IgG H&L (HRP) (AB6721)
  • WB

Unknown

Western blot - Goat Anti-Rabbit IgG H&L (HRP) (AB6721)

Secondary antibody - anti-rabbit HRP (ab6721)

All lanes:

Western blot - Anti-Hsp60 antibody - Mitochondrial Marker (<a href='/en-us/products/primary-antibodies/hsp60-antibody-mitochondrial-marker-ab46798'>ab46798</a>) at 1/50000 dilution

All lanes:

Western blot - T-47D whole cell lysate (<a href='/en-us/products/cell-lysates/t-47d-whole-cell-lysate-ab14899'>ab14899</a>) at 10 µg

Secondary

All lanes:

Western blot - Goat Anti-Rabbit IgG H&L (HRP) (ab6721) at 1/2000 dilution

Predicted band size: 61 kDa

Observed band size: 60 kDa

false

Western blot - Goat Anti-Rabbit IgG H&L (HRP) (AB6721)
  • WB

Unknown

Western blot - Goat Anti-Rabbit IgG H&L (HRP) (AB6721)

ab5819 is specific for Histone H3 phosphorylated at residue S10 and tri methylated at residue K9. The activity of the antibody is blocked by the addition of the immunizing peptide, ab15644 (lanes 3 and 4).

All lanes:

Western blot - Anti-Histone H3 (tri methyl K9, phospho S10) antibody (<a href='/en-us/products/primary-antibodies/histone-h3-tri-methyl-k9-phospho-s10-antibody-ab5819'>ab5819</a>) at 1/500 dilution

Lane 1:

HeLa histones at 0.5 µg

Lane 2:

Colcemid-treated HeLa histones at 0.5 µg

Lane 3:

HeLa histones at 0.5 µg with Human Histone H3 (tri methyl K9, phospho S10) peptide (<a href='/en-us/products/unavailable/human-histone-h3-tri-methyl-k9-phospho-s10-peptide-ab15644'>ab15644</a>)

Lane 4:

Colcemid-treated HeLa histones at 0.5 µg with Human Histone H3 (tri methyl K9, phospho S10) peptide (<a href='/en-us/products/unavailable/human-histone-h3-tri-methyl-k9-phospho-s10-peptide-ab15644'>ab15644</a>)

Lane 5:

HeLa histones at 0.5 µg with Human Histone H3 (unmodified) peptide (<a href='/en-us/products/proteins-peptides/human-histone-h3-unmodified-peptide-ab7228'>ab7228</a>)

Lane 6:

Colcemid-treated HeLa histones at 0.5 µg with Human Histone H3 (unmodified) peptide (<a href='/en-us/products/proteins-peptides/human-histone-h3-unmodified-peptide-ab7228'>ab7228</a>)

Lane 7:

HeLa histones at 0.5 µg with Human Histone H3 (phospho S10) peptide (<a href='/en-us/products/proteins-peptides/human-histone-h3-phospho-s10-peptide-ab11477'>ab11477</a>)

Lane 8:

Colcemid-treated HeLa histones at 0.5 µg with Human Histone H3 (phospho S10) peptide (<a href='/en-us/products/proteins-peptides/human-histone-h3-phospho-s10-peptide-ab11477'>ab11477</a>)

Lane 9:

HeLa histones at 0.5 µg with Human Histone H3 (tri methyl K9) peptide (<a href='/en-us/products/proteins-peptides/human-histone-h3-tri-methyl-k9-peptide-ab1773'>ab1773</a>)

Lane 10:

Colcemid-treated HeLa histones at 0.5 µg with Human Histone H3 (tri methyl K9) peptide (<a href='/en-us/products/proteins-peptides/human-histone-h3-tri-methyl-k9-peptide-ab1773'>ab1773</a>)

Secondary

All lanes:

Western blot - Goat Anti-Rabbit IgG H&L (HRP) (ab6721) at 1/5000 dilution

Predicted band size: 15 kDa

Observed band size: 22 kDa,60 kDa

false

Western blot - Goat Anti-Rabbit IgG H&L (HRP) (AB6721)
  • WB

PubMed

Western blot - Goat Anti-Rabbit IgG H&L (HRP) (AB6721)

This data was developed using the same antibody clone in a different buffer formulation containing PBS, BSA, glycerol, and sodium azide (ab215191).

https : //www.sciencedirect.com/journal/biochemical-and-biophysical-research-communications

All lanes:

Western blot - Anti-DFNA5/GSDME antibody [EPR19859] - BSA and Azide free (<a href='/en-us/products/primary-antibodies/dfna5-gsdme-antibody-epr19859-bsa-and-azide-free-ab223877'>ab223877</a>) at 1/1000 dilution

Lane 1:

Wild Type SGC-7901 cell lysates

Lane 2:

DFNA5/GSDME Knockout SGC-7901 cell lysates

Secondary

All lanes:

Western blot - Goat Anti-Rabbit IgG H&L (HRP) (ab6721) at 1/2000 dilution

Predicted band size: 54 kDa

false

Image from Wang Y et al., Biochem Biophys Res Commu. 2018;495(1):1418-1425. Fig 4(A).; 10.1016/j.bbrc.2017.11.156 with permission from Elsevier.

Western blot - Goat Anti-Rabbit IgG H&L (HRP) (AB6721)
  • WB

Lab

Western blot - Goat Anti-Rabbit IgG H&L (HRP) (AB6721)

This blot was produced using a 4-12% Bis-tris gel under the MES buffer system. The gel was run at 200V for 35 minutes before being transferred onto a Nitrocellulose membrane at 30V for 70 minutes. The membrane was then blocked for an hour using 2% Bovine Serum Albumin before being incubated with ab1791 overnight at 4°C.

Goat Anti-Rabbit IgG H&L (HRP) (ab6721) secondary antibody was used for detection.

Antibody binding was visualised using ECL development solution ab133406.

All lanes:

Western blot - Anti-Histone H3 antibody - Nuclear Marker and ChIP Grade (<a href='/en-us/products/primary-antibodies/histone-h3-antibody-nuclear-marker-and-chip-grade-ab1791'>ab1791</a>) at 1/1000 dilution

Lane 1:

A431 (Human epithelial carcinoma cell line) Whole Cell Lysate at 20 µg

Lane 2:

Jurkat (Human T cell lymphoblast-like cell line) Whole Cell Lysate at 20 µg

Lane 3:

HEK293 (Human embryonic kidney cell line) Whole Cell Lysate at 20 µg

Lane 4:

A431 (Human epithelial carcinoma cell line) Whole Cell Lysate at 20 µg with Human Histone H3 peptide (<a href='/en-us/products/proteins-peptides/human-histone-h3-peptide-ab12149'>ab12149</a>)

Lane 5:

Jurkat (Human T cell lymphoblast-like cell line) Whole Cell Lysate at 20 µg with Human Histone H3 peptide (<a href='/en-us/products/proteins-peptides/human-histone-h3-peptide-ab12149'>ab12149</a>)

Lane 6:

HEK293 (Human embryonic kidney cell line) Whole Cell Lysate at 20 µg with Human Histone H3 peptide (<a href='/en-us/products/proteins-peptides/human-histone-h3-peptide-ab12149'>ab12149</a>)

Secondary

All lanes:

Western blot - Goat Anti-Rabbit IgG H&L (HRP) (ab6721) at 1/5000 dilution

Predicted band size: 15 kDa

Observed band size: 17 kDa

true

Exposure time: 10s

Western blot - Goat Anti-Rabbit IgG H&L (HRP) (AB6721)
  • WB

AbReview23240****

Western blot - Goat Anti-Rabbit IgG H&L (HRP) (AB6721)

All lanes:

Western blot - Anti-MCP1 antibody (<a href='/en-us/products/primary-antibodies/mcp1-antibody-ab9669'>ab9669</a>) at 1/4000 dilution

All lanes:

lysate prepared from human smooth muscle treated with 100µg/ml glycated LDL at 10 µg

Secondary

All lanes:

Western blot - Goat Anti-Rabbit IgG H&L (HRP) (ab6721) at 1/20000 dilution

Predicted band size: 11 kDa

Observed band size: 14-Dec kDa

true

Exposure time: 1min

Image courtesy of Dr Laura Toma by Abreview.

Western blot - Goat Anti-Rabbit IgG H&L (HRP) (AB6721)
  • WB

Unknown

Western blot - Goat Anti-Rabbit IgG H&L (HRP) (AB6721)

Lane 1 - 2 : EEA1 antibody - Early Endosome Marker (ab2900) at 1/500 dilution, HEK293 Whole Cell lysate at 20 ug Lane 1 : as above Lane 2 : EEA1 peptide (ab14946) at 1 ug Secondary Goat polyclonal to Rabbit IgG H&L (HRP) (ab6721) at 1/5000 dilution Performed under reducing conditions. Predicted band size : 160kD Observed band size : 180kD (why is the actual band size different from the predicted?)

All lanes:

Western blot - Anti-EEA1 antibody - Early Endosome Marker (<a href='/en-us/products/primary-antibodies/eea1-antibody-early-endosome-marker-ab2900'>ab2900</a>) at 1/500 dilution

Lane 1:

HEK293 Whole Cell lysate at 20 µg

Lane 2:

HEK293 Whole Cell lysate at 20 µg with Human EEA1 peptide (<a href='/en-us/products/unavailable/human-eea1-peptide-ab14946'>ab14946</a>)

Secondary

All lanes:

Western blot - Goat Anti-Rabbit IgG H&L (HRP) (ab6721) at 1/5000 dilution

Predicted band size: 162 kDa

Observed band size: 180 kDa

false

Western blot - Goat Anti-Rabbit IgG H&L (HRP) (AB6721)
  • WB

Unknown

Western blot - Goat Anti-Rabbit IgG H&L (HRP) (AB6721)

Rabbit polyclonal to RAD54 (ab10705) at 1/500.

Lane 1 Marker
Lane 2 HeLa nuclear extract
Lane 3 HeLa cell lysate
Lane 4 A432 cell lysate
Lane 5 MCF7 cell lysate
Lane 6 HEK 293 cell lysate

Secondary antibody - Goat polyclonal to rabbit IgG (HRP) - ab6721.

Lane 1:

Western blot - Anti-RAD54 antibody (<a href='/en-us/products/primary-antibodies/rad54-antibody-ab10705'>ab10705</a>)

Lanes 2 - 6:

Western blot - Anti-RAD54 antibody (<a href='/en-us/products/primary-antibodies/rad54-antibody-ab10705'>ab10705</a>) at 1/500 dilution

Lane 1:

Marker

Lane 2:

HeLa nuclear cell lysate

Lane 3:

HeLa cell lysate

Lane 4:

A432 cell lysate

Lane 5:

MCF7 cell lysate

Lane 6:

Hek 293 cell lysate

Secondary

All lanes:

Western blot - Goat Anti-Rabbit IgG H&L (HRP) (ab6721)

Predicted band size: 84 kDa

Observed band size: 70 kDa

false

Western blot - Goat Anti-Rabbit IgG H&L (HRP) (AB6721)
  • WB

Unknown

Western blot - Goat Anti-Rabbit IgG H&L (HRP) (AB6721)

Lanes 1 & 3 : Sumo 2+3 antibody (ab3742) at 1/500 dilution
Lanes 2 & 4 : Sumo 2+3 antibody (ab3742) at 1/1000 dilution
Lanes 1-4 : HeLa nuclear extract at 20 ug

Lane 1 : as above
Lane 2 : as above
Lane 3 : Sumo 2+3 peptide (ab13760) at 1 ug/ml
Lane 4 : Sumo 2+3 peptide (ab13760) at 1 ug/ml

SecondaryGoat polyclonal to Rabbit IgG H&L (HRP) (ab6721) at 1/2000 dilution developed using the ECL technique

Performed under reducing conditions.

Exposure time : 1 minute

Predicted band sizes : 11.6 & 10.

Lanes 1 and 3:

Western blot - Anti-Sumo 2 + Sumo 3 antibody (<a href='/en-us/products/primary-antibodies/sumo-2-sumo-3-antibody-ab3742'>ab3742</a>) at 1/500 dilution

Lanes 2 and 4:

Western blot - Anti-Sumo 2 + Sumo 3 antibody (<a href='/en-us/products/primary-antibodies/sumo-2-sumo-3-antibody-ab3742'>ab3742</a>) at 1/1000 dilution

Lanes 1 - 2:

HeLa nuclear extract at 20 µg

Lanes 3 - 4:

HeLa nuclear extract at 20 µg with Human Sumo 2 + Sumo 3 peptide (<a href='/en-us/products/unavailable/human-sumo-2-sumo-3-peptide-ab13760'>ab13760</a>)

Secondary

All lanes:

Western blot - Goat Anti-Rabbit IgG H&L (HRP) (ab6721) at 1/2000 dilution

Predicted band size: 12 kDa

Observed band size: 15 kDa,18 kDa

true

Exposure time: 1min

Western blot - Goat Anti-Rabbit IgG H&L (HRP) (AB6721)
  • WB

Unknown

Western blot - Goat Anti-Rabbit IgG H&L (HRP) (AB6721)

Rabbit polyclonal to BRG1 (ab4081) at 1/500 on HeLa Nuclear extract (20 ug per lane).

Lane 1 : ab4081 (1/500)
Lane 2 : ab4081 (1/500) + blocking peptide (1 ug)

Secondary antibody : Goat anti-rabbit HRP - ab6721

All lanes:

Western blot - Anti-BRG1 antibody (<a href='/en-us/products/primary-antibodies/brg1-antibody-ab4081'>ab4081</a>) at 1/500 dilution

Lane 1:

HeLa Nuclear extract at 20 µg

Lane 2:

HeLa Nuclear extract at 20 µg with Human BRG1 peptide (<a href='/en-us/products/unavailable/human-brg1-peptide-ab13736'>ab13736</a>)

Secondary

All lanes:

Western blot - Goat Anti-Rabbit IgG H&L (HRP) (ab6721)

Predicted band size: 185 kDa

Observed band size: 235 kDa

false

Western blot - Goat Anti-Rabbit IgG H&L (HRP) (AB6721)
  • WB

Unknown

Western blot - Goat Anti-Rabbit IgG H&L (HRP) (AB6721)

Western blot, on recombinant Human CTGF produced in E. coli, using ab5097 at 1/500.

Not yet tested against endogenous CTGF

Secondary antibody - anti-rabbit HRP (ab6721)

All lanes:

Western blot - Anti-CTGF antibody (<a href='/en-us/products/primary-antibodies/ctgf-antibody-ab5097'>ab5097</a>) at 1/500 dilution

Lane 1:

recombinant human CTGF at 0.01 µg

Lane 2:

recombinant human CTGF at 0.01 µg with Human CTGF peptide (<a href='/en-us/products/proteins-peptides/human-ctgf-peptide-ab13741'>ab13741</a>)

Lane 3:

recombinant human CTGF at 0.1 µg

Lane 4:

recombinant human CTGF at 0.1 µg with Human CTGF peptide (<a href='/en-us/products/proteins-peptides/human-ctgf-peptide-ab13741'>ab13741</a>)

Secondary

All lanes:

Western blot - Goat Anti-Rabbit IgG H&L (HRP) (ab6721) at 1/5000 dilution

Predicted band size: 38 kDa

Observed band size: 38 kDa

false

Exposure time: 10s

Western blot - Goat Anti-Rabbit IgG H&L (HRP) (AB6721)
  • WB

Unknown

Western blot - Goat Anti-Rabbit IgG H&L (HRP) (AB6721)

Western blot using ab4171 against Hela Nuclear Extract.

The expected band size for Apc7 is 63 kd, which corresponds to the band seen in this western. The band is blocked by the immunising peptide.

Secondary ab : Goat anti-rabbit IgG HRP conjugate ab6721 (1/2000)
Exposure time : 1min

Lane 1 and 2 : 20μg/lane HeLa Nuclear

Lane 1 : ab4171 (1/500)
Lane 2 : ab4171 (1/500) + 1.0μg ab4171 peptide

All lanes:

Western blot - Anti-Apc7 antibody (<a href='/en-us/products/primary-antibodies/apc7-antibody-ab4171'>ab4171</a>)

Lane 1:

HeLa Nuclear Extract at 20 µg

Lane 2:

HeLa Nuclear Extract at 20 µg with Apc7 peptide (<a href='/en-us/products/unavailable/apc7-peptide-ab13734'>ab13734</a>)

Secondary

Lane 1:

Western blot - Goat Anti-Rabbit IgG H&L (HRP) (ab6721) at 1/2000 dilution

Lane 2:

Goat polyclonal to Rabbit IgG - H&L (HRP) (ab6721) at 1/2000 dilution

Predicted band size: 66 kDa

Observed band size: 39 kDa,45 kDa,63 kDa

false

Exposure time: 1min

Western blot - Goat Anti-Rabbit IgG H&L (HRP) (AB6721)
  • WB

AbReview62868****

Western blot - Goat Anti-Rabbit IgG H&L (HRP) (AB6721)

All lanes:

Western blot - Anti-PADI4 / PAD4 antibody [EPR20706] (<a href='/en-us/products/primary-antibodies/padi4-pad4-antibody-epr20706-ab214810'>ab214810</a>) at 1/1000 dilution

Lane 1:

Wild-type mouse embryonic stem cells (E14) at 40 µg

Lanes 2 - 3:

mouse embryonic stem cells (E14) PADI4 Knockout at 40 µg

Secondary

All lanes:

Western blot - Goat Anti-Rabbit IgG H&L (HRP) (ab6721) at 1/5000 dilution

Predicted band size: 74 kDa

true

Exposure time: 18hr

This image is courtesy of an abreview by Maria Christophorou

Western blot - Goat Anti-Rabbit IgG H&L (HRP) (AB6721)
  • WB

Project

Western blot - Goat Anti-Rabbit IgG H&L (HRP) (AB6721)

ab4074 cross-reacts strongly with Mouse 3T3 lysate and shows weak cross-reactivity with Rat liver, Cow, Chicken and CHO lysates.

All lanes:

Western blot - Anti-alpha Tubulin antibody - Loading Control (<a href='/en-us/products/primary-antibodies/alpha-tubulin-antibody-loading-control-ab4074'>ab4074</a>) at 1 µg/mL

Lane 1:

Mouse 3T3 lysate at 20 µg

Lane 2:

Rat liver lysate at 20 µg

Lane 3:

Cow cell lysate at 20 µg

Lane 4:

Chicken cell lysate at 20 µg

Lane 5:

CHO lysate at 20 µg

Secondary

All lanes:

Western blot - Goat Anti-Rabbit IgG H&L (HRP) (ab6721) at 1/5000 dilution

Predicted band size: 50 kDa

Observed band size: 50 kDa

true

Exposure time: 30s

Western blot - Goat Anti-Rabbit IgG H&L (HRP) (AB6721)
  • WB

Unknown

Western blot - Goat Anti-Rabbit IgG H&L (HRP) (AB6721)

All lanes:

Western blot - Anti-EIF2S1 (phospho S51) antibody [E90] (<a href='/en-us/products/primary-antibodies/eif2s1-phospho-s51-antibody-e90-ab32157'>ab32157</a>) at 1/500 dilution

All lanes:

PC12 cell lysate

Secondary

All lanes:

Western blot - Goat Anti-Rabbit IgG H&L (HRP) (ab6721)

Predicted band size: 36 kDa

Observed band size: 36 kDa

false

Western blot - Goat Anti-Rabbit IgG H&L (HRP) (AB6721)
  • WB

AbReview50301****

Western blot - Goat Anti-Rabbit IgG H&L (HRP) (AB6721)

All lanes:

Western blot - Anti-RUNX2 antibody (<a href='/en-us/products/primary-antibodies/runx2-antibody-ab23981'>ab23981</a>) at 1/1000 dilution

Lane 1:

Bone tissue (tibia) from 17 weeks old Wistar male rats treated with doxorubicin hydrochloride injections for 7 weeks

Lane 2:

Bone tissue (tibia) from 20 weeks old Wistar female rats

Lane 3:

Bone tissue (tibia) from 56 weeks old ooforectomized Wistar female rats

Secondary

All lanes:

Western blot - Goat Anti-Rabbit IgG H&L (HRP) (ab6721) at 1/2000 dilution

Predicted band size: 57 kDa

Observed band size: 57 kDa

false

Exposure time: 40s

Western blot - Goat Anti-Rabbit IgG H&L (HRP) (AB6721)
  • WB

AbReview17936****

Western blot - Goat Anti-Rabbit IgG H&L (HRP) (AB6721)

Blocking Step : 5% Milk for 1 hour at 25°C.

All lanes:

Western blot - Anti-P70 S6 Kinase (phospho T389) antibody (<a href='/en-us/products/primary-antibodies/p70-s6-kinase-phospho-t389-antibody-ab2571'>ab2571</a>) at 1/250 dilution

Lane 1:

Normal Rat liver whole tissue lysate. at 20 µg

Lane 2:

Rat liver whole tissue lysate 24 hours after 90% partial hepatectomy treated with AEE788 (50 mg/kg). at 20 µg

Lane 3:

Rat liver whole tissue lysate 1 week after 90% partial hepatectomy treated with AEE788 (50 mg/kg). at 20 µg

Secondary

All lanes:

Western blot - Goat Anti-Rabbit IgG H&L (HRP) (ab6721) at 1/5000 dilution

Predicted band size: 59 kDa

Observed band size: 70 kDa

true

This image is courtesy of an anonymous Abreview

Western blot - Goat Anti-Rabbit IgG H&L (HRP) (AB6721)
  • WB

Unknown

Western blot - Goat Anti-Rabbit IgG H&L (HRP) (AB6721)

ab19903 detects a band of the expected size (32kDa) in both mouse and rat heart lysate. This band is quenched completely by the addition of the immunizing peptide in the mouse lysate and is partially quenched by the addition of ab20431 in the rat heart lysate.

All lanes:

Western blot - Anti-Syntenin antibody (<a href='/en-us/products/primary-antibodies/syntenin-antibody-ab19903'>ab19903</a>) at 1 µg/mL

Lane 1:

Mouse heart lysate at 20 µg

Lane 2:

Rat heart lysate at 20 µg

Lane 3:

Mouse heart lysate at 20 µg with Mouse Syntenin peptide (<a href='/en-us/products/unavailable/mouse-syntenin-peptide-ab20431'>ab20431</a>)

Lane 4:

Rat heart lysate at 20 µg with Mouse Syntenin peptide (<a href='/en-us/products/unavailable/mouse-syntenin-peptide-ab20431'>ab20431</a>)

Secondary

All lanes:

Western blot - Goat Anti-Rabbit IgG H&L (HRP) (ab6721) at 1/50000 dilution

Predicted band size: 32 kDa

Observed band size: 32 kDa,50 kDa

false

Immunohistochemistry (Formalin/PFA-fixed paraffin-embedded sections) - Goat Anti-Rabbit IgG H&L (HRP) (AB6721)
  • IHC-P

Unknown

Immunohistochemistry (Formalin/PFA-fixed paraffin-embedded sections) - Goat Anti-Rabbit IgG H&L (HRP) (AB6721)

ab6721 was used at dilution 1/100 with the primary antibody ab11370 in IHC-P. See the review on ab11370.

Immunohistochemistry (Formalin/PFA-fixed paraffin-embedded sections) - Goat Anti-Rabbit IgG H&L (HRP) (AB6721)
  • IHC-P

AbReview50581****

Immunohistochemistry (Formalin/PFA-fixed paraffin-embedded sections) - Goat Anti-Rabbit IgG H&L (HRP) (AB6721)

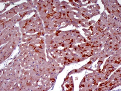
Immunohistochemical analysis of PFA-fixed paraffin-embedded rat cardiac tissue sections, labeling Conexin 43 with ab117843 at a dilution of 1/500 incubated for 12 hours at 4°C in 1% BSA in TBS. Antigen retrival was via Tris-EDTA pH 9.0 (heat mediated). Blocking was 3% BSA incubated for 1 hour at 37°C. The secondary was ab6721 at 1/500.

Image is courtesy of an Abreview submitted by Dr Helder Fonseca.

Immunohistochemistry (Formalin/PFA-fixed paraffin-embedded sections) - Goat Anti-Rabbit IgG H&L (HRP) (AB6721)
  • IHC-P

PubMed

Immunohistochemistry (Formalin/PFA-fixed paraffin-embedded sections) - Goat Anti-Rabbit IgG H&L (HRP) (AB6721)

Anti-phospho-tau immunostaining in Dryocopus lineatus.

Tau-positivity in the midbrain (Panel A (shown) and B) and the corpus callosum (C) of the Dryocopus lineatus brain. The axonal tract staining demonstrates a thread-like pattern, similar to that seen with Gallyas sliver staining. Occasional intracellular tau-accumulations were identified within neurons (D).

For full method, please see paper.

Farah et al PLoS One. 2018 Feb 2;13(2):e0191526. doi: 10.1371/journal.pone.0191526. eCollection 2018. Fig 3. Reproduced under the Creative Commons license http://creativecommons.org/licenses/by/4.0/

Western blot - Goat Anti-Rabbit IgG H&L (HRP) (AB6721)
  • WB

Project

Western blot - Goat Anti-Rabbit IgG H&L (HRP) (AB6721)

ab9053 is specific for Histone H4 (tri-methyl K20). This is illustrated in lane 5 where the activity of ab9053 is specifically blocked by the addition of the immunizing peptide (ab17567).

All lanes:

Western blot - Anti-Histone H4 (tri methyl K20) antibody - ChIP Grade (<a href='/en-us/products/primary-antibodies/histone-h4-tri-methyl-k20-antibody-chip-grade-ab9053'>ab9053</a>) at 1 µg/mL

Lane 1:

Calf thymus histone lysate

Lane 2:

Calf thymus histone lysate with Human Histone H4 peptide (<a href='/en-us/products/unavailable/human-histone-h4-peptide-ab2622'>ab2622</a>)

Lane 3:

Calf thymus histone lysate with Human Histone H4 (mono methyl K20) peptide (<a href='/en-us/products/unavailable/human-histone-h4-mono-methyl-k20-peptide-ab17043'>ab17043</a>)

Lane 4:

Calf thymus histone lysate with Human Histone H4 (di methyl K20) peptide (<a href='/en-us/products/unavailable/human-histone-h4-di-methyl-k20-peptide-ab14964'>ab14964</a>)

Lane 5:

Calf thymus histone lysate with Human Histone H4 (tri methyl K20) peptide (<a href='/en-us/products/proteins-peptides/human-histone-h4-tri-methyl-k20-peptide-ab17567'>ab17567</a>)

Lane 6:

Calf thymus histone lysate with Human Histone H3 (tri methyl K4) peptide (<a href='/en-us/products/proteins-peptides/human-histone-h3-tri-methyl-k4-peptide-ab1342'>ab1342</a>)

Lane 7:

Calf thymus histone lysate with Human Histone H3 (tri methyl K9) peptide (<a href='/en-us/products/proteins-peptides/human-histone-h3-tri-methyl-k9-peptide-ab1773'>ab1773</a>)

Secondary

All lanes:

Western blot - Goat Anti-Rabbit IgG H&L (HRP) (ab6721) at 1/5000 dilution

Predicted band size: 11 kDa

Observed band size: 13 kDa

false

Western blot - Goat Anti-Rabbit IgG H&L (HRP) (AB6721)
  • WB

Unknown

Western blot - Goat Anti-Rabbit IgG H&L (HRP) (AB6721)

All lanes:

Western blot - Anti-gamma H2A.X (phospho S139) antibody (<a href='/en-us/products/primary-antibodies/gamma-h2ax-phospho-s139-antibody-ab2893'>ab2893</a>) at 1/500 dilution

Lane 1:

Control HeLa (Human epithelial cell line from cervix adenocarcinoma) whole cell lysate Histone preparation

Lane 2:

Colcemid treated HeLa whole cell lysate Histone preparation

Lane 3:

Control HeLa (Human epithelial cell line from cervix adenocarcinoma) whole cell lysate Histone preparation with Human gamma H2A.X (phospho S139) peptide (<a href='/en-us/products/proteins-peptides/human-gamma-h2ax-phospho-s139-peptide-ab15645'>ab15645</a>)

Lane 4:

Colcemid treated HeLa whole cell lysate Histone preparation with Human gamma H2A.X (phospho S139) peptide (<a href='/en-us/products/proteins-peptides/human-gamma-h2ax-phospho-s139-peptide-ab15645'>ab15645</a>)

Lane 5:

Control HeLa (Human epithelial cell line from cervix adenocarcinoma) whole cell lysate Histone preparation with Human Histone H2A.X (unmodified ) peptide (<a href='/en-us/products/unavailable/human-histone-h2ax-unmodified-peptide-ab15646'>ab15646</a>)

Lane 6:

Colcemid treated HeLa whole cell lysate Histone preparation with Human Histone H2A.X (unmodified ) peptide (<a href='/en-us/products/unavailable/human-histone-h2ax-unmodified-peptide-ab15646'>ab15646</a>)

Secondary

All lanes:

Western blot - Goat Anti-Rabbit IgG H&L (HRP) (ab6721) at 1/5000 dilution

Predicted band size: 15 kDa

Observed band size: 17 kDa,50 kDa

false

Western blot - Goat Anti-Rabbit IgG H&L (HRP) (AB6721)
  • WB

Unknown

Western blot - Goat Anti-Rabbit IgG H&L (HRP) (AB6721)

Secondary ab : Alexa Fluor 680 Goat anti-rabbit IgG

0.5μg histone prep used per lane

Primary antibody :
Lane 1 : ab9048 (Histone H3 Mono Methyl K36) 1/500
Lane 2 : ab9048 (Histone H3 Mono Methyl K36) 1/500 + ab1783 (ab9048) (Histone H3 Mono Methyl K36) peptide 1μg/ml
Lane 3 : ab9048 (Histone H3 Mono Methyl K36) 1/500 + ab1794 (ab9049) (Histone H3 Di Methyl K36) peptide 1μg/ml
Lane 4 : ab9048 (Histone H3 Mono Methyl K36) 1/500 + ab1785 (ab9050) (Histone H3 Tri Methyl K36) peptide 1μg/ml
Lane 5 : ab9048 (Histone H3 Mono Methyl K36) 1/500 + ab2623 (Histone H3 (23-34) – unmodified) peptide 1μg/ml
Lane 6 : ab9048 (Histone H3 Mono Methyl K36) 1/500 + ab1340 (ab8895) (Histone H3 Mono methyl K4) peptide 1μg/ml

ab9048 specifically recognise

All lanes:

Western blot - Anti-Histone H3 (mono methyl K36) antibody - ChIP Grade (<a href='/en-us/products/primary-antibodies/histone-h3-mono-methyl-k36-antibody-chip-grade-ab9048'>ab9048</a>) at 1/500 dilution

Lane 1:

Histone prep at 0.5 µg

Lane 2:

Histone prep at 0.5 µg with Human Histone H3 (mono methyl K36) peptide (<a href='/en-us/products/unavailable/human-histone-h3-mono-methyl-k36-peptide-ab1783'>ab1783</a>)

Lane 3:

Histone prep at 0.5 µg with Human Histone H3 (di methyl K36) peptide (<a href='/en-us/products/proteins-peptides/human-histone-h3-di-methyl-k36-peptide-ab1784'>ab1784</a>)

Lane 4:

Histone prep at 0.5 µg with Human Histone H3 (tri methyl K36) peptide (<a href='/en-us/products/proteins-peptides/human-histone-h3-tri-methyl-k36-peptide-ab1785'>ab1785</a>)

Lane 5:

Histone prep at 0.5 µg with Human Histone H3 (unmodified ) peptide (<a href='/en-us/products/proteins-peptides/human-histone-h3-unmodified-peptide-ab2623'>ab2623</a>)

Lane 6:

Histone prep at 0.5 µg with Human Histone H3 (mono methyl K4) peptide (<a href='/en-us/products/proteins-peptides/human-histone-h3-mono-methyl-k4-peptide-ab1340'>ab1340</a>)

Secondary

All lanes:

Western blot - Goat Anti-Rabbit IgG H&L (HRP) (ab6721) at 1/5000 dilution

Predicted band size: 15 kDa

false

Western blot - Goat Anti-Rabbit IgG H&L (HRP) (AB6721)
  • WB

Unknown

Western blot - Goat Anti-Rabbit IgG H&L (HRP) (AB6721)

Rabbit polyclonal to Histone H3 (phospho T11) - ab5168 at 1/500 dilution.

Lane 1 contains 1ug calf thymus histone prep.

Secondary ab : Goat anti-rabbit IgG HRP conjugate ab6721 (1/2000)

All lanes:

Western blot - Anti-Histone H3 (phospho T11) antibody (<a href='/en-us/products/primary-antibodies/histone-h3-phospho-t11-antibody-ab5168'>ab5168</a>) at 1/500 dilution

All lanes:

Calf thymus histone lysate

Secondary

All lanes:

Western blot - Goat Anti-Rabbit IgG H&L (HRP) (ab6721) at 1/2000 dilution

Predicted band size: 15 kDa

Observed band size: 17 kDa

false

Western blot - Goat Anti-Rabbit IgG H&L (HRP) (AB6721)
  • WB

Unknown

Western blot - Goat Anti-Rabbit IgG H&L (HRP) (AB6721)

All lanes:

Western blot - Anti-beta Tubulin antibody - Loading Control (<a href='/en-us/products/primary-antibodies/beta-tubulin-antibody-loading-control-ab6046'>ab6046</a>) at 1/500 dilution

Lane 1:

HeLa Cell lysate at 20 µg

Lane 2:

A431 Cell lysate at 20 µg

Lane 3:

MCF7 Cell lysate at 20 µg

Lane 4:

293 Cell lysate at 20 µg

Lane 5:

HeLa Cell lysate at 20 µg with Human beta Tubulin peptide (<a href='/en-us/products/proteins-peptides/human-beta-tubulin-peptide-ab20775'>ab20775</a>)

Lane 6:

A431 Cell lysate at 20 µg with Human beta Tubulin peptide (<a href='/en-us/products/proteins-peptides/human-beta-tubulin-peptide-ab20775'>ab20775</a>)

Lane 7:

MCF7 Cell lysate at 20 µg with Human beta Tubulin peptide (<a href='/en-us/products/proteins-peptides/human-beta-tubulin-peptide-ab20775'>ab20775</a>)

Lane 8:

293 Cell lysate at 20 µg with Human beta Tubulin peptide (<a href='/en-us/products/proteins-peptides/human-beta-tubulin-peptide-ab20775'>ab20775</a>)

Secondary

All lanes:

Western blot - Goat Anti-Rabbit IgG H&L (HRP) (ab6721) at 1/5000 dilution

Predicted band size: 49 kDa

Observed band size: 55 kDa

true

Exposure time: 10s

Western blot - Goat Anti-Rabbit IgG H&L (HRP) (AB6721)
  • WB

Unknown

Western blot - Goat Anti-Rabbit IgG H&L (HRP) (AB6721)

Rabbit polyclonal to Histone H4 acetyl K91 (ab4627). All lanes contain 1ug of calf thymus Histone prep.

Lane 1 : ab4627 at 1/500
Lane 2 : ab4627 at 1/1000
Lane 3 : ab4627 at 1/500 + 2ug acetyl K91 blocking peptide (ab10112)
Lane 4 : ab4627 at 1/1000 + 2ug acetyl K91 blocking peptide (ab10112)

Secondary antibody : Goat anti-rabbit (HRP) - ab6721 at 1/2000

Predicted Molecular weight11KDa

Lanes 1 and 3:

Western blot - Anti-Histone H4 (acetyl K91) antibody - ChIP Grade (<a href='/en-us/products/primary-antibodies/histone-h4-acetyl-k91-antibody-chip-grade-ab4627'>ab4627</a>) at 1/500 dilution

Lanes 2 and 4:

Western blot - Anti-Histone H4 (acetyl K91) antibody - ChIP Grade (<a href='/en-us/products/primary-antibodies/histone-h4-acetyl-k91-antibody-chip-grade-ab4627'>ab4627</a>) at 1/1000 dilution

Lanes 1 - 2:

Calf thymus histone prep. at 1 µg

Lanes 3 - 4:

Calf thymus histone prep. at 1 µg with Human Histone H4 (acetyl K91) peptide (<a href='/en-us/products/unavailable/human-histone-h4-acetyl-k91-peptide-ab10112'>ab10112</a>)

Secondary

All lanes:

Western blot - Goat Anti-Rabbit IgG H&L (HRP) (ab6721) at 1/2000 dilution

Predicted band size: 11 kDa

Observed band size: 11 kDa

false

Western blot - Goat Anti-Rabbit IgG H&L (HRP) (AB6721)
  • WB

Unknown

Western blot - Goat Anti-Rabbit IgG H&L (HRP) (AB6721)

A weak band of predicted size (~160kDa) is observed in human kidney lysate which is quenched by the blocking peptide (ab13230).

All lanes:

Anti-PTP lambda/FMI antibody (<a href='/en-us/products/unavailable/ptp-lambdafmi-antibody-ab13223'>ab13223</a>) at 1/500 dilution

Lane 1:

Human brain lysate at 20 µg

Lane 2:

Human kidney lysate at 20 µg

Lane 3:

Human pancreas lysate at 20 µg

Lane 4:

Human heart lysate at 20 µg

Lane 5:

Human brain lysate at 20 µg with Human PTP lambda/FMI peptide (<a href='/en-us/products/proteins-peptides/human-ptp-lambda-fmi-peptide-ab13230'>ab13230</a>)

Lane 6:

Human kidney lysate at 20 µg with Human PTP lambda/FMI peptide (<a href='/en-us/products/proteins-peptides/human-ptp-lambda-fmi-peptide-ab13230'>ab13230</a>)

Lane 7:

Human pancreas lysate at 20 µg with Human PTP lambda/FMI peptide (<a href='/en-us/products/proteins-peptides/human-ptp-lambda-fmi-peptide-ab13230'>ab13230</a>)

Lane 8:

Human heart lysate at 20 µg with Human PTP lambda/FMI peptide (<a href='/en-us/products/proteins-peptides/human-ptp-lambda-fmi-peptide-ab13230'>ab13230</a>)

Secondary

All lanes:

Western blot - Goat Anti-Rabbit IgG H&L (HRP) (ab6721) at 1/5000 dilution

false

Exposure time: 5min

Western blot - Goat Anti-Rabbit IgG H&L (HRP) (AB6721)
  • WB

Project

Western blot - Goat Anti-Rabbit IgG H&L (HRP) (AB6721)

The Western blot shows that ab14944 reacts strongly with mouse 3T3 and CHO cell lysates. Weak cross-reactivity is seen with Xenopus, mouse brain, mouse liver, rat brain and dog lysates. The antibody does not appear to cross-react with rat liver lysate.

All lanes:

Western blot - Anti-EEA1 antibody - Early Endosome Marker (<a href='/en-us/products/primary-antibodies/eea1-antibody-early-endosome-marker-ab2900'>ab2900</a>) at 1 µg/mL

Lane 1:

Xenopus laevis lysate at 20 µg

Lane 2:

Mouse 3T3 cell lysate at 20 µg

Lane 3:

Mouse brain cell lysate at 20 µg

Lane 4:

Mouse liver cell lysate at 20 µg

Lane 5:

Rat brain cell lysate at 20 µg

Lane 6:

Rat liver cell lysate at 20 µg

Lane 7:

Dog lysate at 20 µg

Lane 8:

CHO cell lysate at 20 µg

Secondary

All lanes:

Western blot - Goat Anti-Rabbit IgG H&L (HRP) (ab6721) at 1/5000 dilution

Predicted band size: 162 kDa

Observed band size: 100 kDa,180 kDa

false

Exposure time: 30s

Western blot - Goat Anti-Rabbit IgG H&L (HRP) (AB6721)
  • WB

Project

Western blot - Goat Anti-Rabbit IgG H&L (HRP) (AB6721)

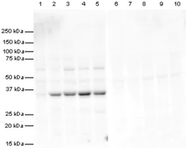
All lanes:

Western blot - Anti-Histone H3 (acetyl K18) antibody - ChIP Grade (<a href='/en-us/products/primary-antibodies/histone-h3-acetyl-k18-antibody-chip-grade-ab1191'>ab1191</a>) at 1 µg/mL

Lane 1:

Histone prep at 0.5 µg/mL

Lane 2:

Histone prep at 0.5 µg/mL with Human Histone H3 (acetyl K18) peptide (<a href='/en-us/products/unavailable/human-histone-h3-acetyl-k18-peptide-ab24003'>ab24003</a>)

Secondary

All lanes:

Western blot - Goat Anti-Rabbit IgG H&L (HRP) (ab6721) at 1/5000 dilution

Predicted band size: 15 kDa

Observed band size: 17 kDa

false

Western blot - Goat Anti-Rabbit IgG H&L (HRP) (AB6721)
  • WB

Supplier Data

Western blot - Goat Anti-Rabbit IgG H&L (HRP) (AB6721)

Lanes 1 and 3:

Western blot - Anti-Histone H2A.X antibody - Nuclear Marker (<a href='/en-us/products/primary-antibodies/histone-h2ax-antibody-nuclear-marker-ab10475'>ab10475</a>) at 1/500 dilution

Lane 2:

Western blot - Anti-Histone H2A.X antibody - Nuclear Marker (<a href='/en-us/products/primary-antibodies/histone-h2ax-antibody-nuclear-marker-ab10475'>ab10475</a>) at 1/1000 dilution

Lanes 1 - 2:

Calf thymus histone lysate

Lane 3:

Calf thymus histone lysate with Human Histone H2A.X (unmodified ) peptide (<a href='/en-us/products/unavailable/human-histone-h2ax-unmodified-peptide-ab15020'>ab15020</a>)

Secondary

All lanes:

Western blot - Goat Anti-Rabbit IgG H&L (HRP) (ab6721) at 1/5000 dilution

Predicted band size: 15 kDa

Observed band size: 15 kDa

false

Exposure time: 30s

Western blot - Goat Anti-Rabbit IgG H&L (HRP) (AB6721)
  • WB

Project

Western blot - Goat Anti-Rabbit IgG H&L (HRP) (AB6721)

Western blot using ab3858 on 20 ug per lane of MCF-7 Whole Cell Lysate. Secondary : Goat anti-rabbit IgG HRP conjugate ab6721 (1/2000). Exposure time : 2 mins.

Lane 1 : ab3858 at 1/500.

Lane 2 : ab3858 at 1/1000.

Lane 1:

Western blot - Anti-HspBP1 antibody (<a href='/en-us/products/primary-antibodies/hspbp1-antibody-ab3858'>ab3858</a>) at 1/500 dilution

Lane 2:

Western blot - Anti-HspBP1 antibody (<a href='/en-us/products/primary-antibodies/hspbp1-antibody-ab3858'>ab3858</a>) at 1/1000 dilution

All lanes:

MCF-7 Whole Cell Lysate at 20 µg

Secondary

All lanes:

Western blot - Goat Anti-Rabbit IgG H&L (HRP) (ab6721) at 1/2000 dilution

Predicted band size: 39 kDa

Observed band size: 39.3 kDa

true

Exposure time: 2min

Western blot - Goat Anti-Rabbit IgG H&L (HRP) (AB6721)
  • WB

Unknown

Western blot - Goat Anti-Rabbit IgG H&L (HRP) (AB6721)

Rabbit polyclonal to Ago2 (ab5072) at 1/500 on Drosophila lysate (20ug).

Detects a band of approximately 55 + 95 kDa (predicted molecular weight : 106 kDa). Swissprot suggests Ago 2 may have 50kDa form.

Secondary antibody - Goat polyclonal to rabbit IgG (HRP) - ab6721.

Swissprot suggests Ago 2 may have 50kDa form.

All lanes:

Western blot - Anti-Argonaute-2 antibody (<a href='/en-us/products/primary-antibodies/argonaute-2-antibody-ab5072'>ab5072</a>) at 1/500 dilution

All lanes:

Drosophila lysate at 20 µg

Secondary

All lanes:

Western blot - Goat Anti-Rabbit IgG H&L (HRP) (ab6721)

Predicted band size: 97 kDa

Observed band size: 55 kDa,95 kDa

false

Key facts

Host species

Goat

Target species

Rabbit

Target isotype

IgG

Target specificity

Heavy & Light chains

Minimal cross-reactivity
Pre-adsorbed

No

Conjugation

HRP

Excitation/Emission
Applications

IM, IHC-Fr, ICC, WB, Dot, ELISA, IHC-P

applications

Clonality

Polyclonal

Isotype

IgG

Reactivity data

{ "title": "Reactivity Data", "filters": { "stats": ["", "Reactivity", "Dilution Info", "Notes"] }, "values": { "Dot": { "reactivity":"TESTED_AND_REACTS", "dilution-info":"", "notes":"<p></p>" }, "IM": { "reactivity":"TESTED_AND_REACTS", "dilution-info":"", "notes":"<p></p>" }, "ELISA": { "reactivity":"TESTED_AND_REACTS", "dilution-info":"1/120000", "notes":"<p></p>" }, "ICC": { "reactivity":"TESTED_AND_REACTS", "dilution-info":"1/1000 - 1/5000", "notes":"<p></p>" }, "IHC-Fr": { "reactivity":"TESTED_AND_REACTS", "dilution-info":"1/1000", "notes":"<p></p>" }, "IHC-P": { "reactivity":"TESTED_AND_REACTS", "dilution-info":"1/1000", "notes":"<p></p>" }, "WB": { "reactivity":"TESTED_AND_REACTS", "dilution-info":"1/2000 - 1/20000", "notes":"<p>Suggested working dilution of 1/3000 (see PMID: 17222046). In addition, found to work at 1/20000 (see PMID: 16936283).</p><p>Working dilutions are highlighted in the table below. Please note that the antibody can be diluted to 1:48,000 to 1:207,000 in many instances.</p>" } } }

Product details

HRP conjugated anti-rabbit secondary antibody optimized for western blot and immunohistochemistry. Some customers reported seeing brown precipitates in the vials. The brown precipitates are very common with HRP conjugated antibodies; we suggest vortexing the vial and using this antibody as normal. Our customer's feedback says the antibody worked great. If in case the antibody fails to give results then please contact our Scientific Support team for assistance.

Centrifuge product if not completely clear after standing at room temperature. Dilute only prior to immediate use.

When it comes to advancing your immunohistochemistry (IHC) research, Abcam offers a comprehensive suite of IHC kits and secondary antibodies, designed to deliver precise and reliable results.

Properties and storage information

Form
Liquid
Purification technique
Affinity purification
Purification notes
RABBIT IgG (H&L) Secondary Antibody Peroxidase Conjugated was prepared from monospecific antiserum by immunoaffinity chromatography using Rabbit IgG coupled to agarose beads.
Storage buffer
Preservative: 0.01% Gentamicin sulphate Constituents: 1% BSA, 0.88% Sodium chloride, 0.424% Potassium phosphate solution
Shipped at conditions
Blue Ice
Appropriate short-term storage duration
1-2 weeks
Appropriate short-term storage conditions
+4°C
Appropriate long-term storage conditions
-20°C
Aliquoting information
Upon delivery aliquot
Storage information
Avoid freeze / thaw cycle|Store in the dark

Product protocols

Publications (7449)

Recent publications for all applications. Explore the full list and refine your search

Molecular medicine reports 32: PubMed41070609

2025

Ginsenoside Rh1 inhibits tumor growth in mice with colorectal cancer and depressive symptoms via modulation of the gut microbiota and tumor microenvironment.

Applications

Unspecified application

Species

Unspecified reactive species

Tingting Dai,Lingchang Li,Jiaxin Li,Xiaobin Tan,Yi Luo,Xuedong Wang,Jie Song,Sujuan Li,Songshan Shi

Frontiers in bioengineering and biotechnology 13:1641476 PubMed41069411

2025

CGRP-dependent molecular signaling drives bone marrow stem cell osteogenesis in distraction osteogenesis.

Applications

Unspecified application

Species

Unspecified reactive species

Yimurang Hamiti,Kai Liu,Sulong Wang,Xin Yang,Xiriaili Kadier,Aihemaitijiang Yusufu

Frontiers in medicine 12:1628260 PubMed41070072

2025

REDD1 attenuates cholestatic liver fibrosis and suppresses PI3K/AKT/mTOR pathway.

Applications

Unspecified application

Species

Unspecified reactive species

Xiaonan Li,Xin Liu,Xinrui Shi,Zixu Li,Qizhi Shuai,Tingjuan Huang,Yun Liu,Junjie Ren

Molecular medicine reports 32: PubMed41070605

2025

Acute carbon monoxide poisoning induces renal inflammation and apoptosis via CCL4 upregulation and activation of the PI3K/Akt pathway in mice.

Applications

Unspecified application

Species

Unspecified reactive species

Yu Ni,Xuheng Jiang,Shuhong Wang,Tao Pu,Tiantian Yan,Anyong Yu,Qi Liu

Acta neuropathologica 150:39 PubMed41060400

2025

Impact of APOE on cerebrovascular lipid profile in Alzheimer's disease.

Applications

Unspecified application

Species

Unspecified reactive species

Yasuteru Inoue,Hu Wang,Michael G Heckman,Yingxue Ren,Launia J White,Wenyan Lu,Pengjiao Wang,Julia Tcw,Shunsuke Koga,Alla Alnobani,Michael DeTure,Melissa E Murray,Ronald C Petersen,Dennis W Dickson,Guojun Bu,Xianlin Han,Takahisa Kanekiyo

Cellular and molecular life sciences : CMLS 82:350 PubMed41055725

2025

miRNA-130b-3p upregulation impairs osteogenic differentiation in AIS patients by inhibiting the IGF1/ERK pathway.

Applications

Unspecified application

Species

Unspecified reactive species

Gang Xiang,Jiang Xie,Yunjia Wang,Zhongjing Jiang,Sihan He,Jiong Li,Hongqi Zhang

Cell death discovery 11:443 PubMed41053028

2025

A knock-in mouse model for GABRG2-related epileptic encephalopathy displays spontaneous generalized seizures and cognitive impairment.

Applications

Unspecified application

Species

Unspecified reactive species

Dingding Shen,Jiali Wan,Xin Zhang,Jiahui Sui,Longwu Zhan,Yuqin Zheng,Yaohui Ni,Qi Zhang

Oncology research 33:3127-3154 PubMed41050079

2025

ARPC1B Promotes Clear Cell Renal Cell Carcinoma Progression via the Wnt/β-Catenin Signaling Pathway.

Applications

Unspecified application

Species

Unspecified reactive species

Jiayin Peng,Yijun Xue,Zhiren Cai,Zhaoguan Li,Kangyan Han,Xiaoqi Lin,Yutong Li,Yumin Zhuo

Oxidative medicine and cellular longevity 2025:8868348 PubMed41049128

2025

Trapping DNA Radicals With DMPO Reduces Hypochlorous Acid-Induced 8-oxo-7,8-dihydro-2'-deoxyguanosine and Mutagenesis in Lung Epithelial Cells.

Applications

Unspecified application

Species

Unspecified reactive species

C M Lopez,D C Ramirez,S E Gomez Mejiba

Cancer cell international 25:325 PubMed41044576

2025

Kaempferol triggers cellular senescence via CDK1 ubiquitination in HCC cells.

Applications

Unspecified application

Species

Unspecified reactive species

Damin Liang,Min Tian,Guomei Hu,Yu Zhang,Lunyou Zhang,Juqi Chen,Xin Shen,Huayong Jian,Peng Tian,Tingchao Li,Xiaoju Cheng
View all publications

Product promise

We are committed to supporting your work with high-quality reagents, and we're here for you every step of the way. In the unlikely event that one of our products does not perform as expected, you're protected by our Product Promise.
For full details, please see our Terms & Conditions

Please note: All products are 'FOR RESEARCH USE ONLY. NOT FOR USE IN DIAGNOSTIC OR THERAPEUTIC PROCEDURES'.

For licensing inquiries, please contact partnerships@abcam.com