JavaScript is disabled in your browser. Please enable JavaScript to view this website.
AB214880

Goat Anti-Rabbit IgG H&L (HRP polymer)

5

(3 Reviews)

|

(48 Publications)

Goat Anti-Rabbit IgG H&L (HRP polymer) is a secondary antibody that is ideal for tissue imaging. Suitable for IHC and more.

- Reacts with heavy (gamma) chains on rabbit IgG and light chains on all rabbit immunoglobulins
- No cross-reactivity is observed with non-immunoglobulin rabbit serum proteins, serum proteins from Human, Mouse or Rat
- Cited in over 40 publications

View Alternative Names

Ig gamma 1 chain C region, Ig gamma 3 chain C region, Ig gamma 4 chain C region, Ig gamma chain C region, Ig gamma-2 chain C region, Ig kappa-b4 chain C region, Ig kappa-b5 chain C region, Ig kappa-b9 chain C region, Ig lambda chain C region, Immunoglobin heavy constant gamma 1, Immunoglobulin G, K-BAS

41 Images
Immunohistochemistry (Formalin/PFA-fixed paraffin-embedded sections) - Goat Anti-Rabbit IgG H&L (HRP polymer) (AB214880)
  • IHC-P

Lab

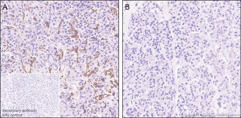
Immunohistochemistry (Formalin/PFA-fixed paraffin-embedded sections) - Goat Anti-Rabbit IgG H&L (HRP polymer) (AB214880)

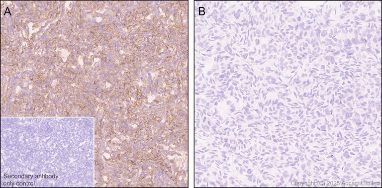
Immunohistochemical analysis of paraffin-embedded Human astrocytoma labelling Pan Trk with ab246551 at 1/500 dilution, followed by a Goat Anti-Rabbit IgG H&L (HRP polymer) ready to use (ab214880). Positive staining on human astrocytoma is observed. Counter stained with hematoxylin. Secondary antibody only control : Used PBS instead of primary antibody, secondary antibody is a Goat Anti-Rabbit IgG H&L (HRP polymer) ready to use. Heat mediated antigen retrieval using ab93684 (Tris/EDTA buffer, pH 9.0).

Immunohistochemistry (Formalin/PFA-fixed paraffin-embedded sections) - Goat Anti-Rabbit IgG H&L (HRP polymer) (AB214880)
  • IHC-P

Lab

Immunohistochemistry (Formalin/PFA-fixed paraffin-embedded sections) - Goat Anti-Rabbit IgG H&L (HRP polymer) (AB214880)

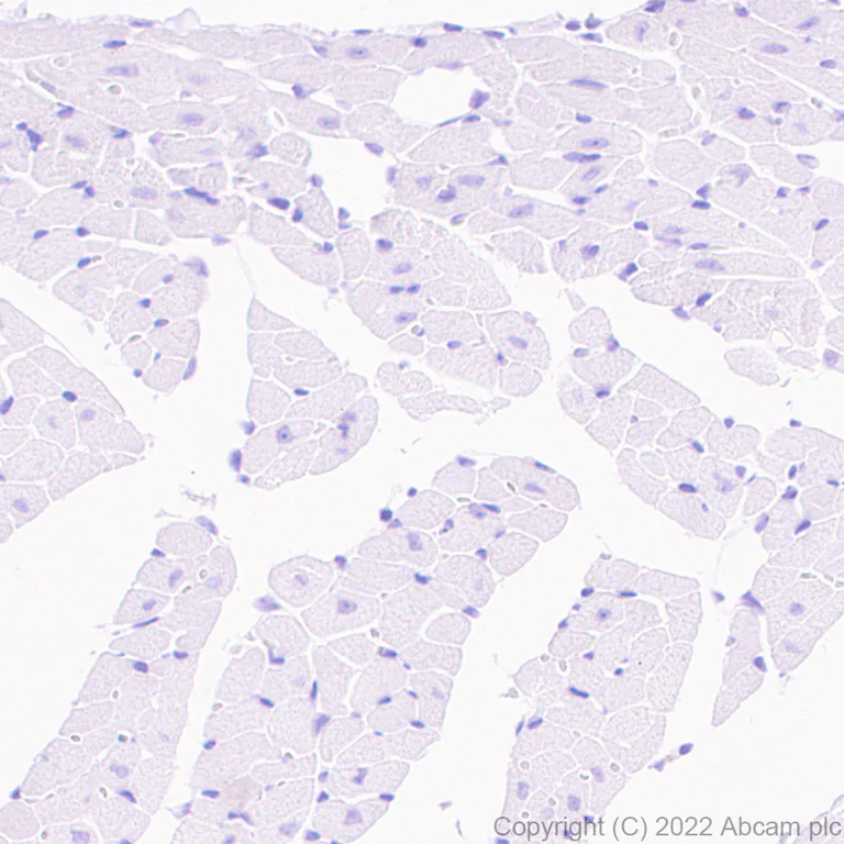
Immunohistochemistry (Formalin/PFA-fixed paraffin-embedded sections) analysis of human skeletal muscle showing negative staining with purified ab131254 at 1/1800. Heat mediated antigen retrieval was performed using ab93684 (Tris/EDTA buffer, pH 9.0). ab214880, a Goat Anti-Rabbit IgG H&L (HRP polymer) was used as the secondary antibody (1/500). Counterstained with hematoxylin. Negative control : No staining on human skeletal muscle. The section was incubated with ab131254 at 4°C overnight.

Immunohistochemistry (Formalin/PFA-fixed paraffin-embedded sections) - Goat Anti-Rabbit IgG H&L (HRP polymer) (AB214880)
  • IHC-P

Supplier Data

Immunohistochemistry (Formalin/PFA-fixed paraffin-embedded sections) - Goat Anti-Rabbit IgG H&L (HRP polymer) (AB214880)

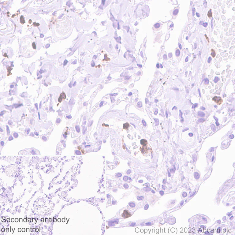
Immunohistochemical analysis of paraffin-embedded Human lung tissue labelling Oncostatin M/OSM with ab307951 at 1/100 (4.85 ug/ml) followed by a ready to use Goat Anti-Rabbit IgG H&L (HRP polymer) (ab214880). Positive staining on scattered immune cells of human lung. The section was incubated with ab307951 at 4°C overnight. Counterstained with Hematoxylin. Secondary antibody only control : Secondary antibody is a ready to use Goat Anti-Rabbit IgG H&L (HRP polymer) (ab214880). Heat mediated antigen retrieval was performed using ab93684 (Tris/EDTA buffer, pH 9.0).

Immunohistochemistry (Formalin/PFA-fixed paraffin-embedded sections) - Goat Anti-Rabbit IgG H&L (HRP polymer) (AB214880)
  • IHC-P

Supplier Data

Immunohistochemistry (Formalin/PFA-fixed paraffin-embedded sections) - Goat Anti-Rabbit IgG H&L (HRP polymer) (AB214880)

Immunohistochemical analysis of paraffin-embedded Human spleen tissue labeling Oncostatin M/OSM with ab307951 at 1/100 (4.85 ug/ml) followed by a ready to use Goat Anti-Rabbit IgG H&L (HRP polymer) (ab214880). Positive staining on human spleen. The section was incubated with ab307951 at 4°C overnight. Counterstained with Hematoxylin. Secondary antibody only control : Secondary antibody is a ready to use Goat Anti-Rabbit IgG H&L (HRP polymer) (ab214880). Heat mediated antigen retrieval was performed using ab93684 (Tris/EDTA buffer, pH 9.0).

Immunohistochemistry (Formalin/PFA-fixed paraffin-embedded sections) - Goat Anti-Rabbit IgG H&L (HRP polymer) (AB214880)
  • IHC-P

Supplier Data

Immunohistochemistry (Formalin/PFA-fixed paraffin-embedded sections) - Goat Anti-Rabbit IgG H&L (HRP polymer) (AB214880)

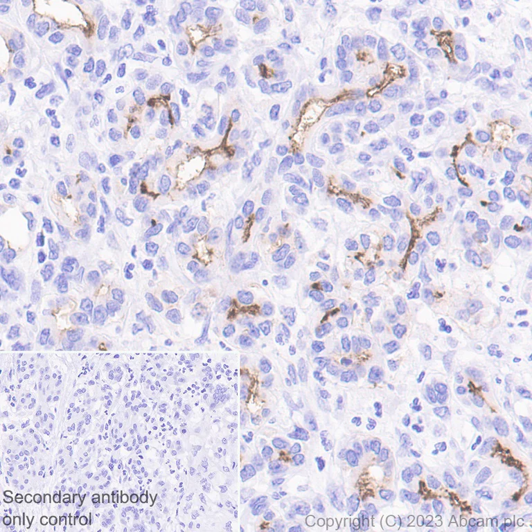
Immunohistochemical analysis of paraffin-embedded Human lung carcinoma tissue labeling Nectin 3 with ab314219 at 1/500 followed by a ready to use Goat Anti-Rabbit IgG H&L (HRP polymer) (ab214880). Positive staining on human lung carcinoma. The section was incubated with ab314219 at 4°C overnight. Counterstained with Hematoxylin. Secondary antibody only control : Secondary antibody is a ready to use Goat Anti-Rabbit IgG H&L (HRP polymer) (ab214880). Heat mediated antigen retrieval was performed using ab93678 (citrate buffer, pH 6.0)

Immunohistochemistry (Formalin/PFA-fixed paraffin-embedded sections) - Goat Anti-Rabbit IgG H&L (HRP polymer) (AB214880)
  • IHC-P

Supplier Data

Immunohistochemistry (Formalin/PFA-fixed paraffin-embedded sections) - Goat Anti-Rabbit IgG H&L (HRP polymer) (AB214880)

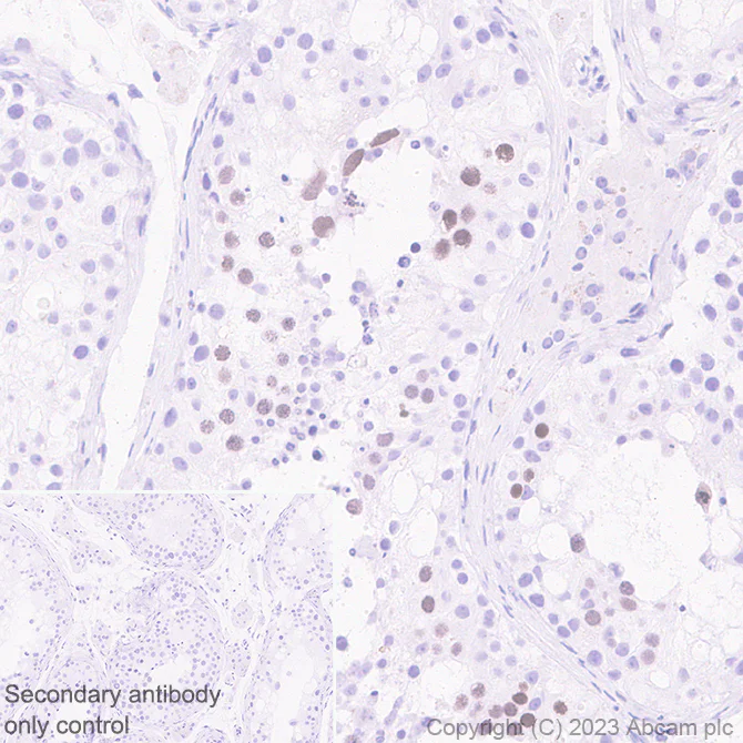
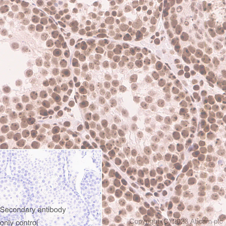
Immunohistochemical analysis of paraffin-embedded Human testis tissue labeling TRIP12/ULF with ab313628 at 1/2000 (0.246 ug/ml) followed by a ready to use Goat Anti-Rabbit IgG H&L (HRP polymer) (ab214880). Nuclear staining on human testis. The section was incubated with ab313628 at 4°C overnight. Counterstained with Hematoxylin. Secondary antibody only control : Secondary antibody is a ready to use Goat Anti-Rabbit IgG H&L (HRP polymer) (ab214880). Heat mediated antigen retrieval was performed using ab93678 (citrate buffer, pH 6.0)

Immunohistochemistry (Formalin/PFA-fixed paraffin-embedded sections) - Goat Anti-Rabbit IgG H&L (HRP polymer) (AB214880)
  • IHC-P

Supplier Data

Immunohistochemistry (Formalin/PFA-fixed paraffin-embedded sections) - Goat Anti-Rabbit IgG H&L (HRP polymer) (AB214880)

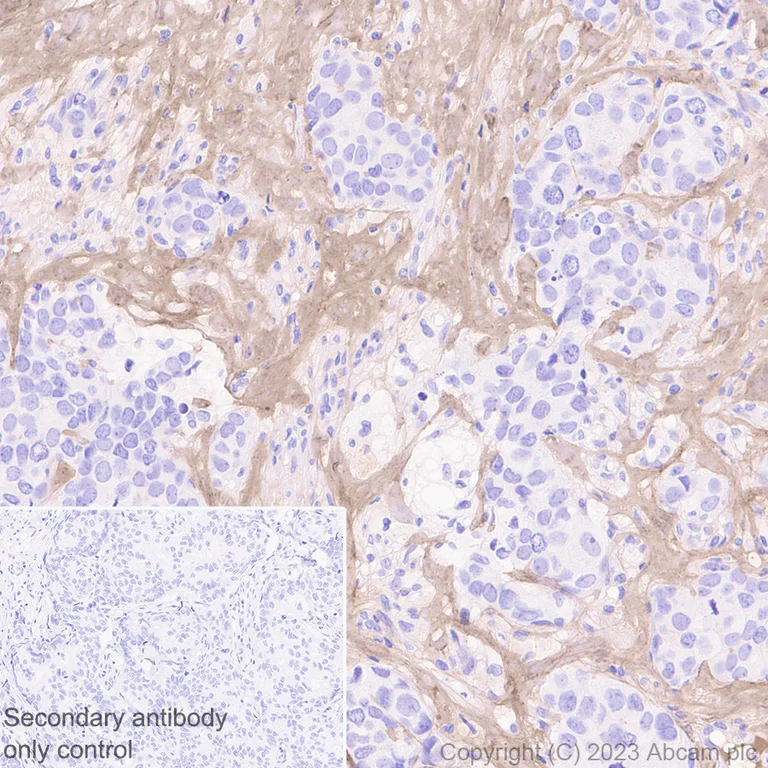
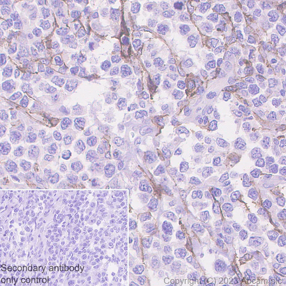
Immunohistochemical analysis of paraffin-embedded Human breast carcinoma tissue labelling Periostin with ab215199 at 1/1000 dilution (0.516 μg/ml) followed by a Goat Anti-Rabbit IgG H&L (HRP polymer) (ab214880) at a Ready to use dilution. Positive staining on extracellular matrix of human breast carcinoma. The section was incubated with ab215199 at 4°C overnight. Counterstained with Hematoxylin. Secondary antibody only control : Secondary antibody is Goat Anti-Rabbit IgG H&L (HRP polymer) (ab214880) at Ready to use dilution. Heat mediated antigen retrieval was performed using ab93684 (Tris/EDTA buffer, pH 9.0).

Immunohistochemistry (Formalin/PFA-fixed paraffin-embedded sections) - Goat Anti-Rabbit IgG H&L (HRP polymer) (AB214880)
  • IHC-P

Supplier Data

Immunohistochemistry (Formalin/PFA-fixed paraffin-embedded sections) - Goat Anti-Rabbit IgG H&L (HRP polymer) (AB214880)

Immunohistochemical analysis of paraffin-embedded Human pancreatic carcinoma tissue labelling CD133 with ab216323 at 1/1000 dilution (1.386 μg/ml) followed by a Goat Anti-Rabbit IgG H&L (HRP polymer) (ab214880) at Ready to use dilution. Positive staining on human pancreatic carcinoma. The section was incubated with ab216323 at 4°C overnight. Counterstained with Hematoxylin. Secondary antibody only control : Secondary antibody is Goat Anti-Rabbit IgG H&L (HRP polymer) (ab214880) at Ready to use dilution. Heat mediated antigen retrieval was performed using ab93684 (Tris/EDTA buffer, pH 9.0).

Immunohistochemistry (Formalin/PFA-fixed paraffin-embedded sections) - Goat Anti-Rabbit IgG H&L (HRP polymer) (AB214880)
  • IHC-P

Supplier Data

Immunohistochemistry (Formalin/PFA-fixed paraffin-embedded sections) - Goat Anti-Rabbit IgG H&L (HRP polymer) (AB214880)

Immunohistochemical analysis of paraffin-embedded Human tonsil tissue labeling Fibrillarin with ab314506 at 1/2000 (0.249 ug/ml) followed by a ready to use Goat Anti-Rabbit IgG H&L (HRP polymer) (ab214880). Nucleolus staining on human tonsil The section was incubated with ab314506 at 4°C overnight. Counterstained with Hematoxylin. Secondary antibody only control : Secondary antibody is a ready to use Goat Anti-Rabbit IgG H&L (HRP polymer) (ab214880). Heat mediated antigen retrieval was performed using ab93678 (citrate buffer, pH 6.0)

Immunohistochemistry (Formalin/PFA-fixed paraffin-embedded sections) - Goat Anti-Rabbit IgG H&L (HRP polymer) (AB214880)
  • IHC-P

Supplier Data

Immunohistochemistry (Formalin/PFA-fixed paraffin-embedded sections) - Goat Anti-Rabbit IgG H&L (HRP polymer) (AB214880)

Immunohistochemical analysis of paraffin-embedded Human tonsil tissue labeling Dnmt1 with ab317845 at 1/500 (1.062 ug/ml) dilution, followed by a ready to use Goat Anti-Rabbit IgG H&L (HRP polymer) (ab214880).

Positve staining on human tonsil. The section was incubated with ab317845 at 4°C overnight.

Counterstained with Hematoxylin.

Secondary antibody only control : Secondary antibody is a ready to use Goat Anti-Rabbit IgG H&L (HRP polymer) (ab214880).

Heat mediated antigen retrieval was performed using ab93684 (Tris/EDTA buffer, pH 9.0)

Immunohistochemistry (Formalin/PFA-fixed paraffin-embedded sections) - Goat Anti-Rabbit IgG H&L (HRP polymer) (AB214880)
  • IHC-P

Supplier Data

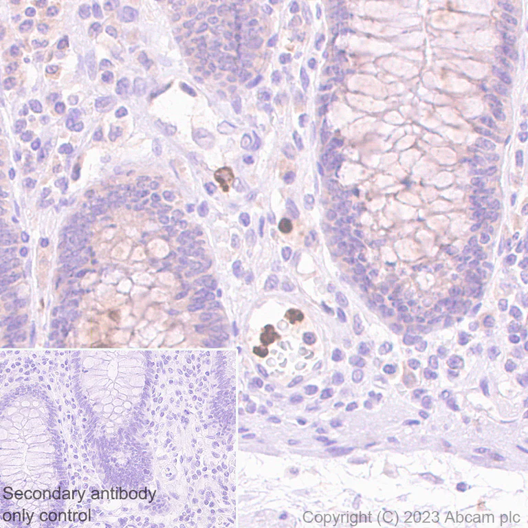
Immunohistochemistry (Formalin/PFA-fixed paraffin-embedded sections) - Goat Anti-Rabbit IgG H&L (HRP polymer) (AB214880)

Immunohistochemical analysis of paraffin-embedded Muscularis of human colon tissue labeling TRPA1/TSA with ab320715 at 1/50 (9.98 ug/ml) dilution, followed by a ready to use Goat Anti-Rabbit IgG H&L (HRP polymer) (ab214880). Positive staining on myenteric ganglia of human colon (PMID : 28478727). The section was incubated with ab320715 at 4°C overnight. Counterstained with Hematoxylin. Secondary antibody only control : Secondary antibody is a ready to use Goat Anti-Rabbit IgG H&L (HRP polymer) (ab214880). Heat mediated antigen retrieval was performed using ab93684 (Tris/EDTA buffer, pH 9.0)

Immunohistochemistry (Formalin/PFA-fixed paraffin-embedded sections) - Goat Anti-Rabbit IgG H&L (HRP polymer) (AB214880)
  • IHC-P

Supplier Data

Immunohistochemistry (Formalin/PFA-fixed paraffin-embedded sections) - Goat Anti-Rabbit IgG H&L (HRP polymer) (AB214880)

Immunohistochemical analysis of paraffin-embedded Human testis tissue labeling GPC2 with ab324378 at 1/200 (2.555 ug/ml) dilution, followed by a ready to use Goat Anti-Rabbit IgG H&L (HRP polymer) (ab214880).

Positive staining on human testis.
The primary antibody was incubated overnight at 4°C.

Counterstained with Hematoxylin.

Secondary antibody only control : Secondary antibody is a ready to use Goat Anti-Rabbit IgG H&L (HRP polymer) (ab214880).

Heat mediated antigen retrieval was performed with Tris-EDTA buffer (pH 9.0, Epitope Retrieval Solution2) for 20 mins

Immunohistochemistry (Formalin/PFA-fixed paraffin-embedded sections) - Goat Anti-Rabbit IgG H&L (HRP polymer) (AB214880)
  • IHC-P

Supplier Data

Immunohistochemistry (Formalin/PFA-fixed paraffin-embedded sections) - Goat Anti-Rabbit IgG H&L (HRP polymer) (AB214880)

Immunohistochemical analysis of paraffin-embedded Human colon tissue labeling Oncostatin M/OSM with ab307951 at 1/100 (4.85 ug/ml) followed by a ready to use Goat Anti-Rabbit IgG H&L (HRP polymer) (ab214880). Positive staining on scattered immune cells of human colon. The section was incubated with ab307951 at 4°C overnight. Counterstained with Hematoxylin. Secondary antibody only control : Secondary antibody is a ready to use Goat Anti-Rabbit IgG H&L (HRP polymer) (ab214880). Heat mediated antigen retrieval was performed using ab93684 (Tris/EDTA buffer, pH 9.0).

Immunohistochemistry (Formalin/PFA-fixed paraffin-embedded sections) - Goat Anti-Rabbit IgG H&L (HRP polymer) (AB214880)
  • IHC-P

Supplier Data

Immunohistochemistry (Formalin/PFA-fixed paraffin-embedded sections) - Goat Anti-Rabbit IgG H&L (HRP polymer) (AB214880)

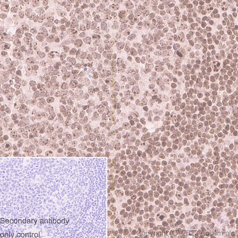
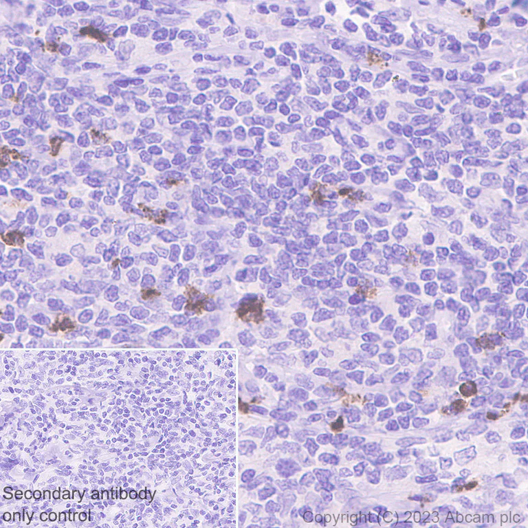
Immunohistochemical analysis of paraffin-embedded Human diffuse large tissue labeling Oncostatin M/OSM with ab307951 at 1/100 (4.85 ug/ml) followed by a ready to use Goat Anti-Rabbit IgG H&L (HRP polymer) (ab214880). Positive staining on human diffuse large B-cell lymphoma. The section was incubated with ab307951 at 4°C overnight. Counterstained with Hematoxylin. Secondary antibody only control : Secondary antibody is a ready to use Goat Anti-Rabbit IgG H&L (HRP polymer) (ab214880). Heat mediated antigen retrieval was performed using ab93684 (Tris/EDTA buffer, pH 9.0).

Immunohistochemistry (Formalin/PFA-fixed paraffin-embedded sections) - Goat Anti-Rabbit IgG H&L (HRP polymer) (AB214880)
  • IHC-P

Supplier Data

Immunohistochemistry (Formalin/PFA-fixed paraffin-embedded sections) - Goat Anti-Rabbit IgG H&L (HRP polymer) (AB214880)

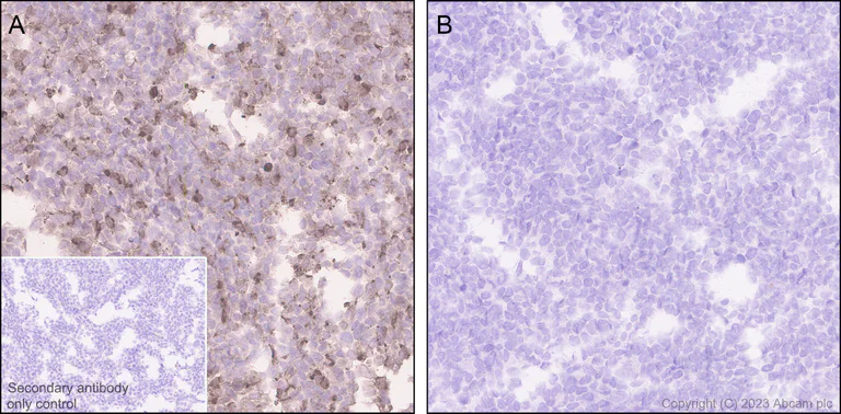
Immunohistochemical analysis of paraffin-embedded (A) IMR-32 (human neuroblastoma neuroblast) cell pellet. (B) HeLa (human cervical adenocarcinoma epithelial cell) cell pellet. tissue labeling GPC2 with ab324378 at 1/200 (2.555 ug/ml) dilution, followed by a ready to use Goat Anti-Rabbit IgG H&L (HRP polymer) (ab214880).

Positive staining on (A) IMR-32 cell pellet, no staining on (B) HeLa cell pellet.
The primary antibody was incubated overnight at 4°C.

Counterstained with Hematoxylin.

Secondary antibody only control : Secondary antibody is a ready to use Goat Anti-Rabbit IgG H&L (HRP polymer) (ab214880).

Heat mediated antigen retrieval was performed with Tris-EDTA buffer (pH 9.0, Epitope Retrieval Solution2) for 20 mins

Immunohistochemistry (Formalin/PFA-fixed paraffin-embedded sections) - Goat Anti-Rabbit IgG H&L (HRP polymer) (AB214880)
  • IHC-P

Lab

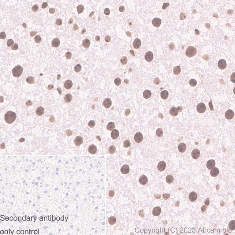
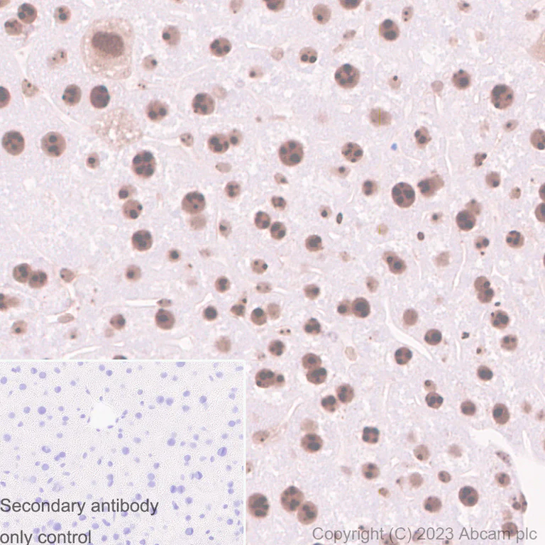
Immunohistochemistry (Formalin/PFA-fixed paraffin-embedded sections) - Goat Anti-Rabbit IgG H&L (HRP polymer) (AB214880)

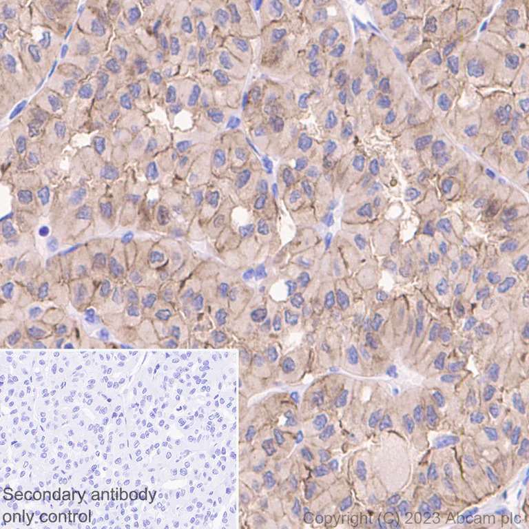
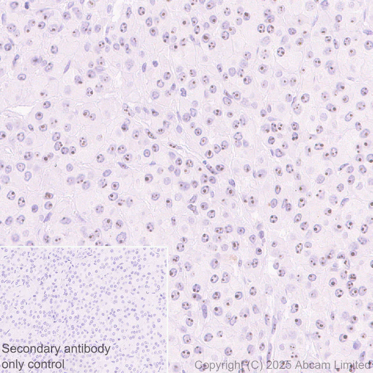
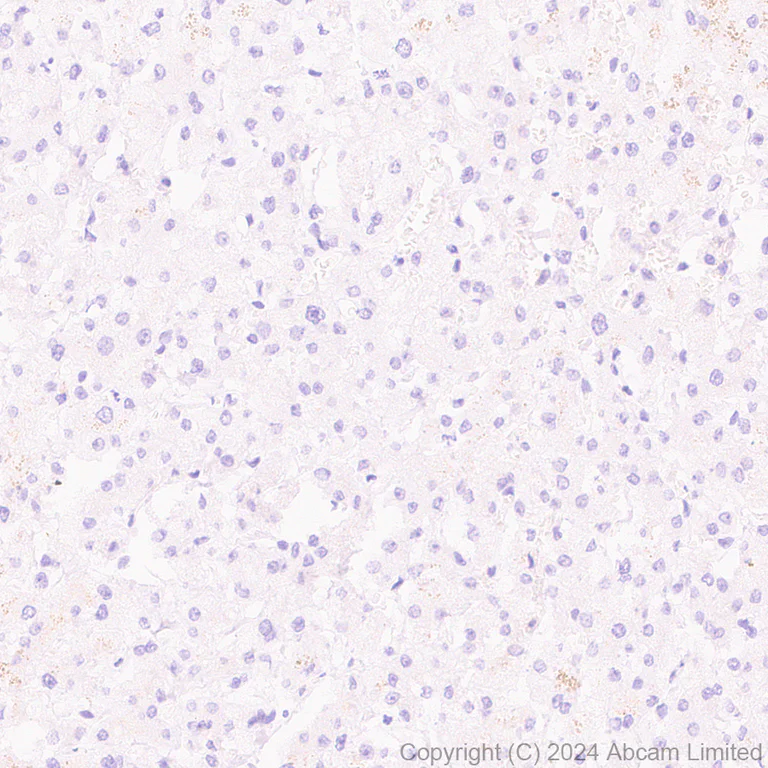
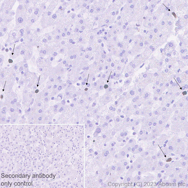
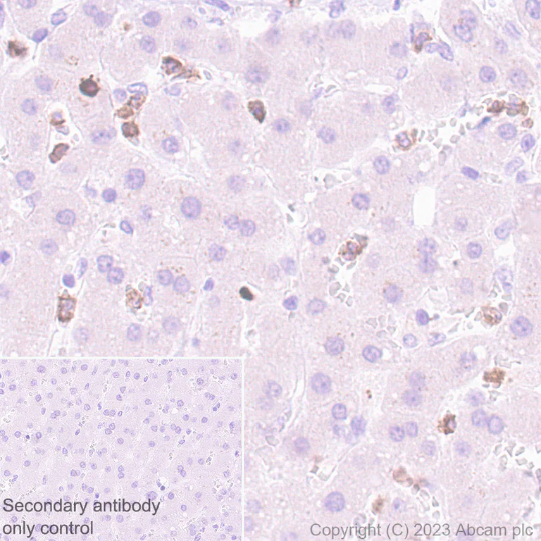
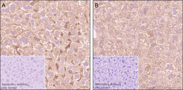
Immunohistochemical analysis of paraffin-embedded Human liver tissue labeling Ki67 with ab16667 at 1/200 (0.145 µg/ml) followed by a ready to use LGoat Anti-Rabbit IgG H&L (HRP polymer) secondary antibody (ab214880). Low expression : positive staining only on proliferating cells (arrow) of human liver. The section was incubated with ab16667 at 4°C overnight and counterstained with Hematoxylin. Secondary antibody only control : Secondary antibody is a ready to use Goat Anti-Rabbit IgG H&L (HRP polymer) (ab214880). Heat mediated antigen retrieval was performed using ab93678 (citrate buffer, pH 6.0).

Immunohistochemistry (Formalin/PFA-fixed paraffin-embedded sections) - Goat Anti-Rabbit IgG H&L (HRP polymer) (AB214880)
  • IHC-P

Lab

Immunohistochemistry (Formalin/PFA-fixed paraffin-embedded sections) - Goat Anti-Rabbit IgG H&L (HRP polymer) (AB214880)

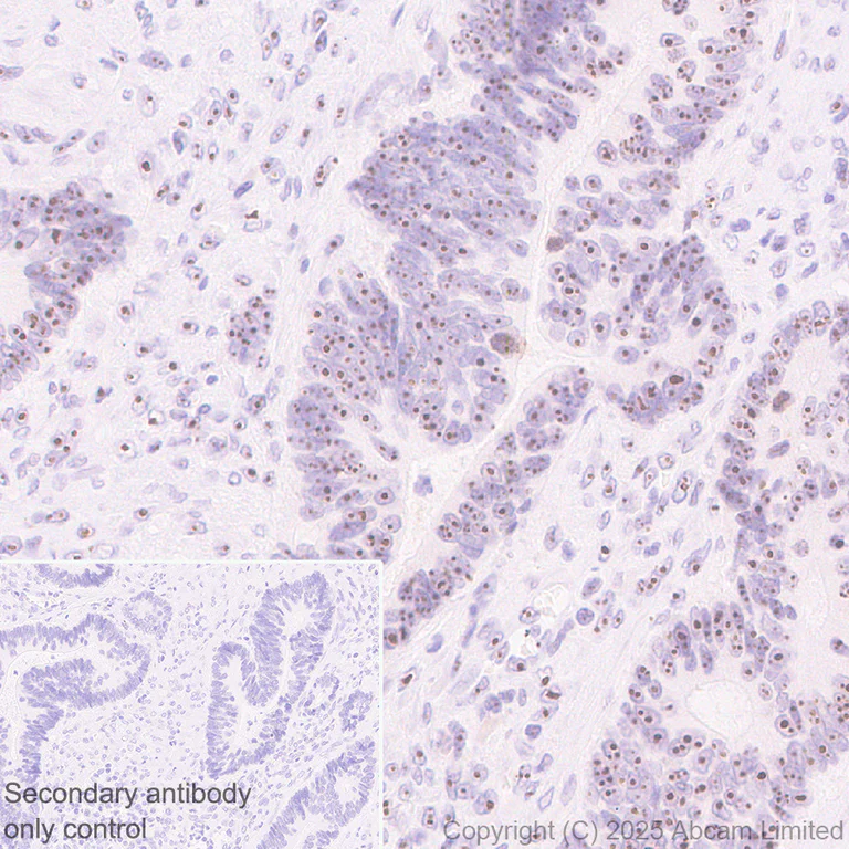
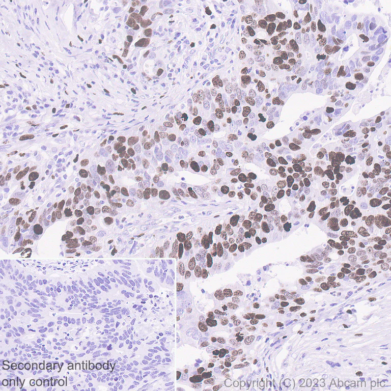
IHC image of ab16667 staining Ki67 in a section of formalin-fixed paraffin-embedded Human colon carcinoma tissue. The section incubated with ab16667 at 1/200 (0.145 μg/ml) dilution and ready to use Goat Anti-Rabbit IgG H&L (HRP polymer) (ab214880) was used as secondary antobody. Positive staining on human colon carcinoma. The section was incubated with ab16667 at 4°C overnight. The section was counterstained with haematoxylin. Heat mediated antigen retrieval was performed using ab93678 (citrate buffer, pH 6.0).

Immunohistochemistry (Formalin/PFA-fixed paraffin-embedded sections) - Goat Anti-Rabbit IgG H&L (HRP polymer) (AB214880)
  • IHC-P

Supplier Data

Immunohistochemistry (Formalin/PFA-fixed paraffin-embedded sections) - Goat Anti-Rabbit IgG H&L (HRP polymer) (AB214880)

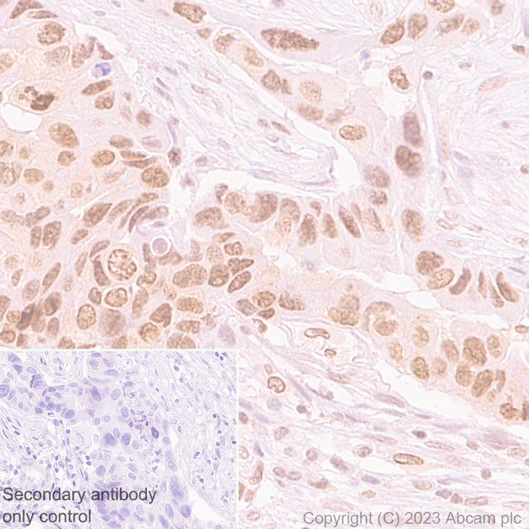
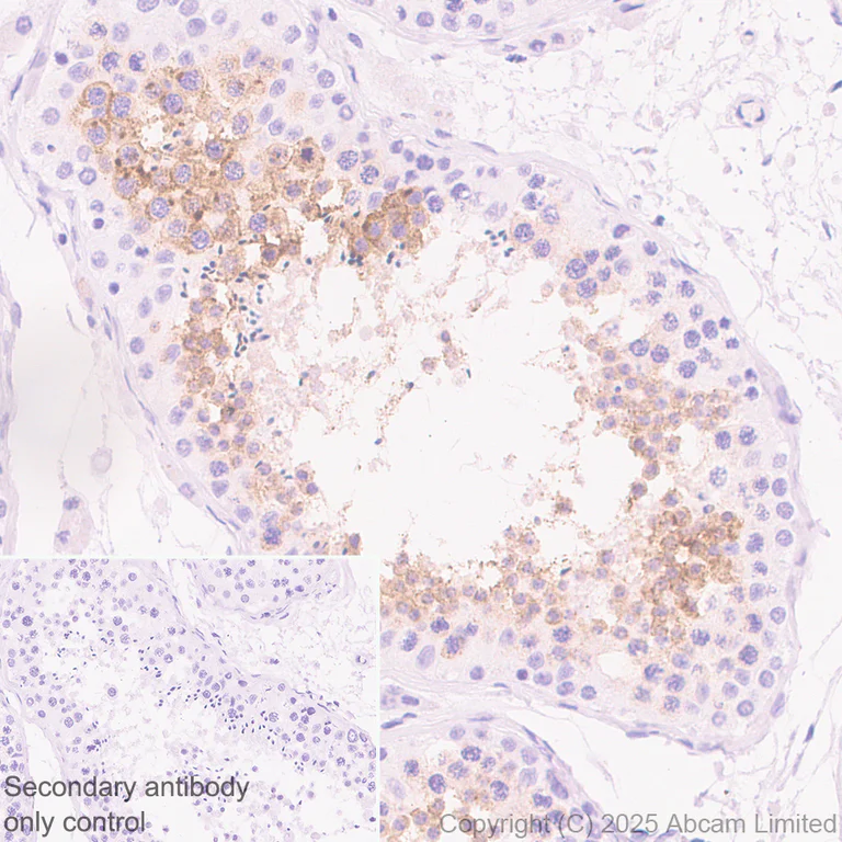
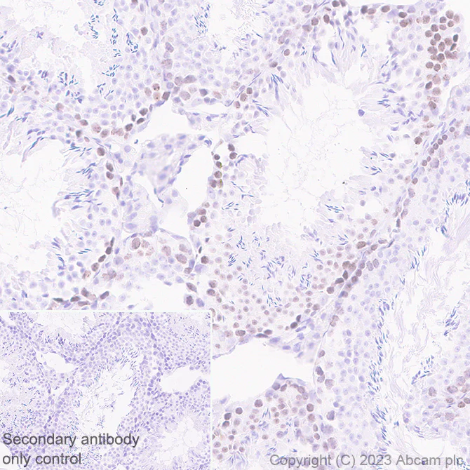
Immunohistochemical analysis of paraffin-embedded human testis tissue labeling SCP3 with ab314313 at 1/100 (5.02 ug/ml) followed by a ready to use Goat Anti-Rabbit IgG H&L (HRP polymer) (ab214880). Positive staining on human testis. The section was incubated with ab314313 at 4°C overnight. Counterstained with Hematoxylin. Secondary antibody only control : Secondary antibody is a ready to use Goat Anti-Rabbit IgG H&L (HRP polymer) (ab214880). Heat mediated antigen retrieval was performed using ab93684 (Tris/EDTA buffer, pH 9.0).

Immunohistochemistry (Formalin/PFA-fixed paraffin-embedded sections) - Goat Anti-Rabbit IgG H&L (HRP polymer) (AB214880)
  • IHC-P

Lab

Immunohistochemistry (Formalin/PFA-fixed paraffin-embedded sections) - Goat Anti-Rabbit IgG H&L (HRP polymer) (AB214880)

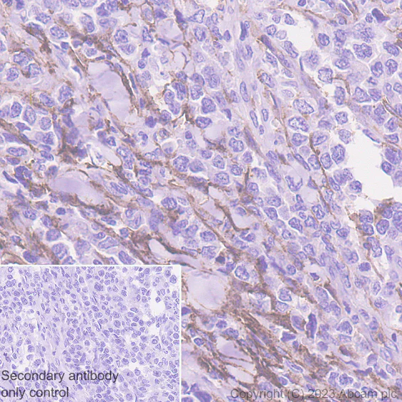
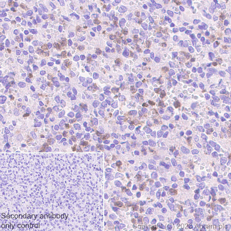
Immunohistochemical analysis of paraffin-embedded Human diffuse large B-cell lymphoma labelling CD10 with ab255609 at 1/1000 dilution, followed by a Goat Anti-Rabbit IgG H&L (HRP polymer) ready to use (ab214880). Positive staining on human diffuse large B-cell lymphoma is observed. Counter stained with hematoxylin. Secondary antibody only control : Used PBS instead of primary antibody, secondary antibody is a Goat Anti-Rabbit IgG H&L (HRP polymer) ready to use. Heat mediated antigen retrieval using ab93684 (Tris/EDTA buffer, pH 9.0).

Immunohistochemistry (Formalin/PFA-fixed paraffin-embedded sections) - Goat Anti-Rabbit IgG H&L (HRP polymer) (AB214880)
  • IHC-P

Lab

Immunohistochemistry (Formalin/PFA-fixed paraffin-embedded sections) - Goat Anti-Rabbit IgG H&L (HRP polymer) (AB214880)

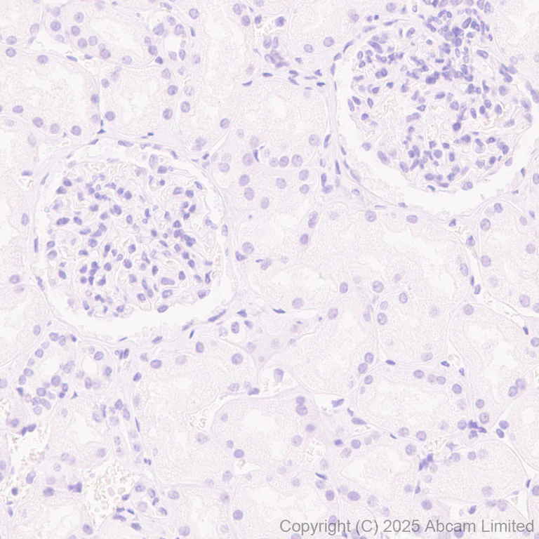
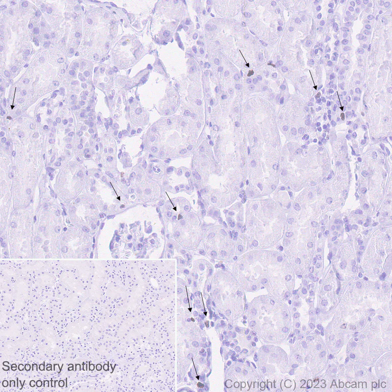
Immunohistochemical analysis of paraffin-embedded Human kidney tissue labeling Ki67 with ab16667 at 1/200 (0.145 µg/ml) followed by a ready to use LGoat Anti-Rabbit IgG H&L (HRP polymer) secondary antibody (ab214880). Low expression : positive staining only on proliferating cells (arrow) of human kidney. The section was incubated with ab16667 at 4°C overnight and counterstained with Hematoxylin. Secondary antibody only control : Secondary antibody is a ready to use Goat Anti-Rabbit IgG H&L (HRP polymer) (ab214880). Heat mediated antigen retrieval was performed using ab93678 (citrate buffer, pH 6.0).

Immunohistochemistry (Formalin/PFA-fixed paraffin-embedded sections) - Goat Anti-Rabbit IgG H&L (HRP polymer) (AB214880)
  • IHC-P

Supplier Data

Immunohistochemistry (Formalin/PFA-fixed paraffin-embedded sections) - Goat Anti-Rabbit IgG H&L (HRP polymer) (AB214880)

Tissue Microarrays stained for "Anti-Ki67 antibody [SP6]” using "ab16667" at 1/200 dilution (0.145 μg/ml) in immunohistochemical analysis. This table provides a detailed overview of positive (tick mark) and negative (cross mark) staining per sample type tested. Taking human colon tissue as an example, Ki67 is barely expressed or the expression level is very low in normal colon tissue, and the IHC test result is usually negative. While the expression of Ki67 can be upregulated in the proliferating cells of colon tissue, and the IHC test result could be positive. The sections were pre-treated using Heat mediated antigen retrieval using ab93678 (citrate buffer, pH 6.0). The sections were incubated with ab16667 at +4°C overnight followed by a ready to use Goat Anti-Rabbit IgG H&L (HRP polymer) (ab214880). Hematoxylin was used as the counter stain.

Immunohistochemistry (Formalin/PFA-fixed paraffin-embedded sections) - Goat Anti-Rabbit IgG H&L (HRP polymer) (AB214880)
  • IHC-P

Lab

Immunohistochemistry (Formalin/PFA-fixed paraffin-embedded sections) - Goat Anti-Rabbit IgG H&L (HRP polymer) (AB214880)

Immunohistochemical analysis of paraffin-embedded Human breast carcinoma labelling Niemann Pick C2 with ab218192 at 1/8000 dilution, followed by a Goat Anti-Rabbit IgG H&L (HRP polymer) ready to use (ab214880). Positive staining on Human breast carcinoma is observed. Counter stained with hematoxylin. Secondary antibody only control : Used PBS instead of primary antibody, secondary antibody is a Goat Anti-Rabbit IgG H&L (HRP polymer) ready to use. Heat mediated antigen retrieval using ab93684 (Tris/EDTA buffer, pH 9.0).

Immunohistochemistry (Formalin/PFA-fixed paraffin-embedded sections) - Goat Anti-Rabbit IgG H&L (HRP polymer) (AB214880)
  • IHC-P

Supplier Data

Immunohistochemistry (Formalin/PFA-fixed paraffin-embedded sections) - Goat Anti-Rabbit IgG H&L (HRP polymer) (AB214880)

Immunohistochemical analysis of paraffin-embedded Human dorsal root ganglion (DRG) tissue labeling TRPA1/TSA with ab320715 at 1/50 (9.98 ug/ml) dilution, followed by a ready to use Goat Anti-Rabbit IgG H&L (HRP polymer) (ab214880). Positive staining on human dorsal root ganglion (DRG). The section was incubated with ab320715 at 4°C overnight. Counterstained with Hematoxylin. Secondary antibody only control : Secondary antibody is a ready to use Goat Anti-Rabbit IgG H&L (HRP polymer) (ab214880). Heat mediated antigen retrieval was performed using ab93684 (Tris/EDTA buffer, pH 9.0)

Immunohistochemistry (Formalin/PFA-fixed paraffin-embedded sections) - Goat Anti-Rabbit IgG H&L (HRP polymer) (AB214880)
  • IHC-P

Lab

Immunohistochemistry (Formalin/PFA-fixed paraffin-embedded sections) - Goat Anti-Rabbit IgG H&L (HRP polymer) (AB214880)

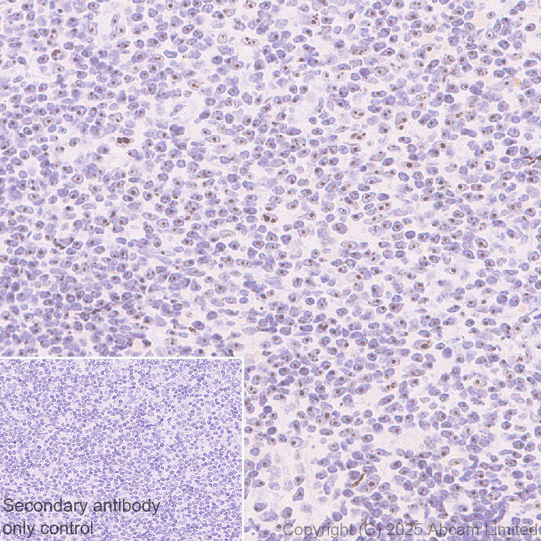
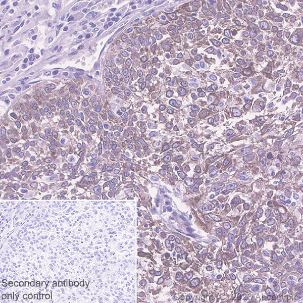
Immunohistochemical analysis of paraffin-embedded Human diffuse large B-cell lymphoma labelling CD10 with ab256494 at 1/500 dilution, followed by a Goat Anti-Rabbit IgG H&L (HRP polymer) ready to use (ab214880). Positive staining on Human diffuse large B-cell lymphoma is observed. Counter stained with hematoxylin. Secondary antibody only control : Used PBS instead of primary antibody, secondary antibody is a Goat Anti-Rabbit IgG H&L (HRP polymer) ready to use. Heat mediated antigen retrieval using ab93684 (Tris/EDTA buffer, pH 9.0).

Immunohistochemistry (Formalin/PFA-fixed paraffin-embedded sections) - Goat Anti-Rabbit IgG H&L (HRP polymer) (AB214880)
  • IHC-P

Supplier Data

Immunohistochemistry (Formalin/PFA-fixed paraffin-embedded sections) - Goat Anti-Rabbit IgG H&L (HRP polymer) (AB214880)

Immunohistochemical analysis of paraffin-embedded Human lung cancer tissue labeling TRIP12/ULF with ab313628 at 1/2000 (0.246 ug/ml) followed by a ready to use Goat Anti-Rabbit IgG H&L (HRP polymer) (ab214880). Nuclear staining on human lung cancer. The section was incubated with ab313628 at 4°C overnight. Counterstained with Hematoxylin. Secondary antibody only control : Secondary antibody is a ready to use Goat Anti-Rabbit IgG H&L (HRP polymer) (ab214880). Heat mediated antigen retrieval was performed using ab93678 (citrate buffer, pH 6.0)

Immunohistochemistry (Formalin/PFA-fixed paraffin-embedded sections) - Goat Anti-Rabbit IgG H&L (HRP polymer) (AB214880)
  • IHC-P

Supplier Data

Immunohistochemistry (Formalin/PFA-fixed paraffin-embedded sections) - Goat Anti-Rabbit IgG H&L (HRP polymer) (AB214880)

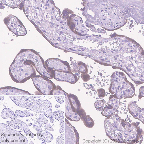
Immunohistochemical analysis of paraffin-embedded Human placenta tissue labeling Nectin 3 with ab314219 at 1/500 followed by a ready to use Goat Anti-Rabbit IgG H&L (HRP polymer) (ab214880). Positive staining on human placenta. The section was incubated with ab314219 at 4°C overnight. Counterstained with Hematoxylin. Secondary antibody only control : Secondary antibody is a ready to use Goat Anti-Rabbit IgG H&L (HRP polymer) (ab214880). Heat mediated antigen retrieval was performed using ab93678 (citrate buffer, pH 6.0)

Immunohistochemistry (Formalin/PFA-fixed paraffin-embedded sections) - Goat Anti-Rabbit IgG H&L (HRP polymer) (AB214880)
  • IHC-P

Supplier Data

Immunohistochemistry (Formalin/PFA-fixed paraffin-embedded sections) - Goat Anti-Rabbit IgG H&L (HRP polymer) (AB214880)

Immunohistochemical analysis of paraffin-embedded Human testis tissue labeling Nectin 3 with ab314219 at 1/500 followed by a ready to use Goat Anti-Rabbit IgG H&L (HRP polymer) (ab214880). Positive staining on human testis. The section was incubated with ab314219 at 4°C overnight. Counterstained with Hematoxylin. Secondary antibody only control : Secondary antibody is a ready to use Goat Anti-Rabbit IgG H&L (HRP polymer) (ab214880). Heat mediated antigen retrieval was performed using ab93678 (citrate buffer, pH 6.0)

Immunohistochemistry (Formalin/PFA-fixed paraffin-embedded sections) - Goat Anti-Rabbit IgG H&L (HRP polymer) (AB214880)
  • IHC-P

Supplier Data

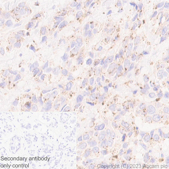
Immunohistochemistry (Formalin/PFA-fixed paraffin-embedded sections) - Goat Anti-Rabbit IgG H&L (HRP polymer) (AB214880)

Immunohistochemical analysis of paraffin-embedded Panel A HEK-293T c tissue labeling Oncostatin M/OSM with ab307951 at 1/100 (4.85 ug/ml) followed by a ready to use Goat Anti-Rabbit IgG H&L (HRP polymer) (ab214880). Positive staining on (A) HEK-293T transfected with a human Oncostatin M/OSM expression vector, no staining on (B) HEK-293T transfected with an empty vector. The section was incubated with ab307951 at 4°C overnight. Counterstained with Hematoxylin. Secondary antibody only control : Secondary antibody is a ready to use Goat Anti-Rabbit IgG H&L (HRP polymer) (ab214880). Heat mediated antigen retrieval was performed using ab93684 (Tris/EDTA buffer, pH 9.0).

Immunohistochemistry (Formalin/PFA-fixed paraffin-embedded sections) - Goat Anti-Rabbit IgG H&L (HRP polymer) (AB214880)
  • IHC-P

Supplier Data

Immunohistochemistry (Formalin/PFA-fixed paraffin-embedded sections) - Goat Anti-Rabbit IgG H&L (HRP polymer) (AB214880)

Immunohistochemical analysis of paraffin-embedded Human liver tissue labelling Oncostatin M/OSM with ab307951 at 1/100 (4.85 ug/ml) followed by a ready to use Goat Anti-Rabbit IgG H&L (HRP polymer) (ab214880). Positive staining on scattered immune cells of human liver. The section was incubated with ab307951 at 4°C overnight. Counterstained with Hematoxylin. Secondary antibody only control : Secondary antibody is a ready to use Goat Anti-Rabbit IgG H&L (HRP polymer) (ab214880). Heat mediated antigen retrieval was performed using ab93684 (Tris/EDTA buffer, pH 9.0).

Immunohistochemistry (Formalin/PFA-fixed paraffin-embedded sections) - Goat Anti-Rabbit IgG H&L (HRP polymer) (AB214880)
  • IHC-P

Supplier Data

Immunohistochemistry (Formalin/PFA-fixed paraffin-embedded sections) - Goat Anti-Rabbit IgG H&L (HRP polymer) (AB214880)

Immunohistochemical analysis of paraffin-embedded Rat testis tissue labeling Dnmt1 with ab317845 at 1/100 (5.31 ug/ml) dilution, followed by a ready to use Goat Anti-Rabbit IgG H&L (HRP polymer) (ab214880).

Positive staining on rat testis. The section was incubated with ab317845 at 4°C overnight.

Counterstained with Hematoxylin.

Secondary antibody only control : Secondary antibody is a ready to use Goat Anti-Rabbit IgG H&L (HRP polymer) (ab214880).

Heat mediated antigen retrieval was performed using ab93678 (citrate buffer, pH 6.0)

Immunohistochemistry (Formalin/PFA-fixed paraffin-embedded sections) - Goat Anti-Rabbit IgG H&L (HRP polymer) (AB214880)
  • IHC-P

Supplier Data

Immunohistochemistry (Formalin/PFA-fixed paraffin-embedded sections) - Goat Anti-Rabbit IgG H&L (HRP polymer) (AB214880)

Immunohistochemical analysis of paraffin-embedded Mouse testis tissue labeling Fibrillarin with ab314506 at 1/2000 (0.249 ug/ml) followed by a ready to use Goat Anti-Rabbit IgG H&L (HRP polymer) (ab214880). Nucleolus staining on mouse testis. The section was incubated with ab314506 at 4°C overnight. Counterstained with Hematoxylin. Secondary antibody only control : Secondary antibody is a ready to use Goat Anti-Rabbit IgG H&L (HRP polymer) (ab214880). Heat mediated antigen retrieval was performed using ab93678 (citrate buffer, pH 6.0)

Immunohistochemistry (Formalin/PFA-fixed paraffin-embedded sections) - Goat Anti-Rabbit IgG H&L (HRP polymer) (AB214880)
  • IHC-P

Supplier Data

Immunohistochemistry (Formalin/PFA-fixed paraffin-embedded sections) - Goat Anti-Rabbit IgG H&L (HRP polymer) (AB214880)

Immunohistochemical analysis of paraffin-embedded rat testis tissue labeling DOM3Z with ab314124 at 1/1000 (0.505 ug/ml) followed by a ready to use Goat Anti-Rabbit IgG H&L (HRP polymer) (ab214880). Nuclear staining on rat testis. The section was incubated with ab314124 at 4°C overnight. Counterstained with Hematoxylin. Secondary antibody only control : Secondary antibody is a ready to use Goat Anti-Rabbit IgG H&L (HRP polymer) (ab214880). Heat mediated antigen retrieval was performed using ab93678 (citrate buffer, pH 6.0).

Immunohistochemistry (Formalin/PFA-fixed paraffin-embedded sections) - Goat Anti-Rabbit IgG H&L (HRP polymer) (AB214880)
  • IHC-P

Supplier Data

Immunohistochemistry (Formalin/PFA-fixed paraffin-embedded sections) - Goat Anti-Rabbit IgG H&L (HRP polymer) (AB214880)

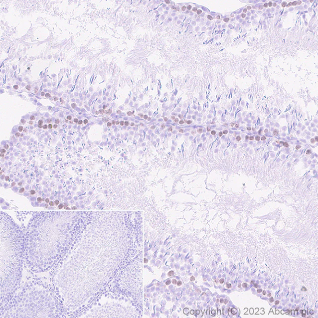
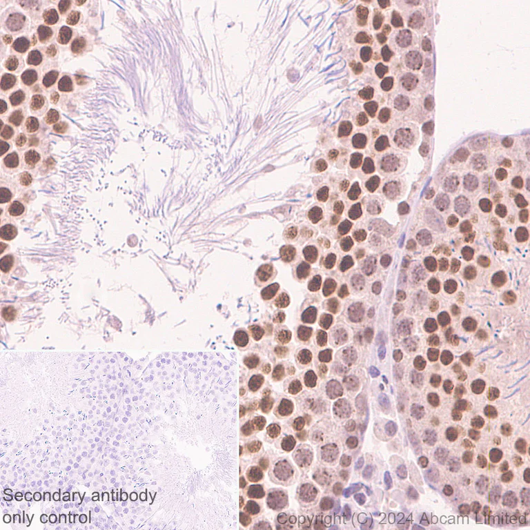
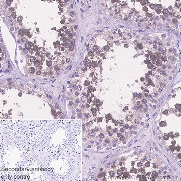
Immunohistochemical analysis of paraffin-embedded rat testis tissue labeling SCP3 with ab314313 at 1/100 (5.02 ug/ml) followed by a ready to use Goat Anti-Rabbit IgG H&L (HRP polymer) (ab214880). Positive staining on rat testis. The section was incubated with ab314313 at 4°C overnight. Counterstained with Hematoxylin. Secondary antibody only control : Secondary antibody is a ready to use Goat Anti-Rabbit IgG H&L (HRP polymer) (ab214880). Heat mediated antigen retrieval was performed using ab93684 (Tris/EDTA buffer, pH 9.0).

Immunohistochemistry (Formalin/PFA-fixed paraffin-embedded sections) - Goat Anti-Rabbit IgG H&L (HRP polymer) (AB214880)
  • IHC-P

Supplier Data

Immunohistochemistry (Formalin/PFA-fixed paraffin-embedded sections) - Goat Anti-Rabbit IgG H&L (HRP polymer) (AB214880)

Immunohistochemical analysis of paraffin-embedded mouse testis tissue labeling SCP3 with ab314313 at 1/100 (5.02 ug/ml) followed by a ready to use Goat Anti-Rabbit IgG H&L (HRP polymer). Positive staining on mouse testis. The section was incubated with ab314313 at 4°C overnight. Counterstained with Hematoxylin. Secondary antibody only control : Secondary antibody is a ready to use Goat Anti-Rabbit IgG H&L (HRP polymer). Heat mediated antigen retrieval was performed using ab93684 (Tris/EDTA buffer, pH 9.0).

Immunohistochemistry (Formalin/PFA-fixed paraffin-embedded sections) - Goat Anti-Rabbit IgG H&L (HRP polymer) (AB214880)
  • IHC-P

Supplier Data

Immunohistochemistry (Formalin/PFA-fixed paraffin-embedded sections) - Goat Anti-Rabbit IgG H&L (HRP polymer) (AB214880)

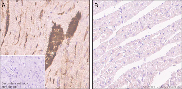
Immunohistochemical analysis of paraffin-embedded (A) Non-perfused fix tissue labeling Transferrin with ab313583 at 1/100 (5.21 ug/ml) followed by a ready to use Goat Anti-Rabbit IgG H&L (HRP polymer) (ab214880). Positive staining on plasma of (A) non-perfused fixed mouse cardiac muscle, no staining on (B) perfused fixed mouse cardiac muscle.The section was incubated with ab313583 at 4°C overnight. Counterstained with Hematoxylin. Secondary antibody only control : Secondary antibody is a ready to use Goat Anti-Rabbit IgG H&L (HRP polymer) (ab214880). Heat mediated antigen retrieval was performed with Tris-EDTA buffer (pH 9.0, Epitope Retrieval Solution2) for 20 mins

Immunohistochemistry (Formalin/PFA-fixed paraffin-embedded sections) - Goat Anti-Rabbit IgG H&L (HRP polymer) (AB214880)
  • IHC-P

Supplier Data

Immunohistochemistry (Formalin/PFA-fixed paraffin-embedded sections) - Goat Anti-Rabbit IgG H&L (HRP polymer) (AB214880)

Immunohistochemical analysis of paraffin-embedded Mouse liver tissue labeling Fibrillarin with ab314506 at 1/2000 (0.249 ug/ml) followed by a ready to use Goat Anti-Rabbit IgG H&L (HRP polymer) (ab214880). Nucleolus staining on mouse liver. The section was incubated with ab314506 at 4°C overnight. Counterstained with Hematoxylin. Secondary antibody only control : Secondary antibody is a ready to use Goat Anti-Rabbit IgG H&L (HRP polymer) (ab214880). Heat mediated antigen retrieval was performed using ab93678 (citrate buffer, pH 6.0)

Immunohistochemistry (Formalin/PFA-fixed paraffin-embedded sections) - Goat Anti-Rabbit IgG H&L (HRP polymer) (AB214880)
  • IHC-P

Supplier Data

Immunohistochemistry (Formalin/PFA-fixed paraffin-embedded sections) - Goat Anti-Rabbit IgG H&L (HRP polymer) (AB214880)

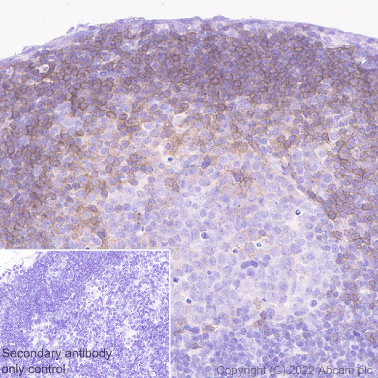
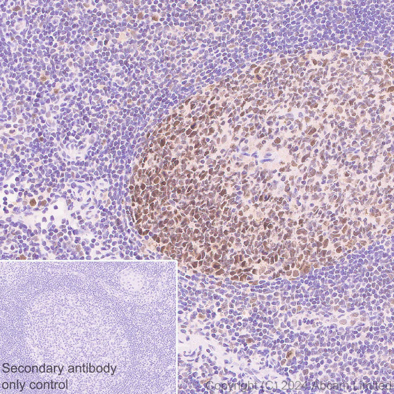
Immunohistochemical analysis of paraffin-embedded mouse lymph nodes tissue labeling CD23 with ab302526 at 1/100 dilution (4.67 µg/ml) followed by a ready to use Goat Anti-Rabbit IgG H&L (HRP polymer) (ab214880) as secondary antibody. Positive staining on mouse lymph nodes. The section was incubated with ab302526 at 4°C overnight. Counterstained with Hematoxylin.

Secondary antibody only control : Secondary antibody without primary.

Heat mediated antigen retrieval was performed using ab93684 (Tris/EDTA buffer, pH 9.0)

Immunohistochemistry (Formalin/PFA-fixed paraffin-embedded sections) - Goat Anti-Rabbit IgG H&L (HRP polymer) (AB214880)
  • IHC-P

Supplier Data

Immunohistochemistry (Formalin/PFA-fixed paraffin-embedded sections) - Goat Anti-Rabbit IgG H&L (HRP polymer) (AB214880)

Immunohistochemical analysis of paraffin-embedded (A) Non-perfused fix tissue labeling Transferrin with ab313583 at 1/100 (5.21 ug/ml) followed by a ready to use Goat Anti-Rabbit IgG H&L (HRP polymer) (ab214880). Positive staining on hepatocytes and plasma of (A) non-perfused fixed mouse liver; only positive on hepatocytes of (B) perfused fixed mouse liver.The section was incubated with ab313583 at 4°C overnight. Counterstained with Hematoxylin. Secondary antibody only control : Secondary antibody is a ready to use Goat Anti-Rabbit IgG H&L (HRP polymer) (ab214880). Heat mediated antigen retrieval was performed with Tris-EDTA buffer (pH 9.0, Epitope Retrieval Solution2) for 20 mins

Immunohistochemistry (Formalin/PFA-fixed paraffin-embedded sections) - Goat Anti-Rabbit IgG H&L (HRP polymer) (AB214880)
  • IHC-P

Supplier Data

Immunohistochemistry (Formalin/PFA-fixed paraffin-embedded sections) - Goat Anti-Rabbit IgG H&L (HRP polymer) (AB214880)

Immunohistochemical analysis of paraffin-embedded mouse testis tissue labeling DOM3Z with ab314124 at 1/1000 (0.505 ug/ml) followed by a ready to use Goat Anti-Rabbit IgG H&L (HRP polymer) (ab214880). Nuclear staining on mouse testis. The section was incubated with ab314124 at 4°C overnight. Counterstained with Hematoxylin. Secondary antibody only control : Secondary antibody is a ready to use Goat Anti-Rabbit IgG H&L (HRP polymer) (ab214880). Heat mediated antigen retrieval was performed using ab93678 (citrate buffer, pH 6.0).

Immunohistochemistry (Formalin/PFA-fixed paraffin-embedded sections) - Goat Anti-Rabbit IgG H&L (HRP polymer) (AB214880)
  • IHC-P

Supplier Data

Immunohistochemistry (Formalin/PFA-fixed paraffin-embedded sections) - Goat Anti-Rabbit IgG H&L (HRP polymer) (AB214880)

Immunohistochemical analysis of paraffin-embedded mouse cardiac muscle tissue to label CD23 with ab302526 at 1/100 dilution (4.67 µg/ml) followed by a ready to use Goat Anti-Rabbit IgG H&L (HRP polymer) (ab214880).

Negative control : no staining on mouse cardiac muscle. The section was incubated with ab302526 at 4°C overnight. Counterstained with Hematoxylin.

Heat mediated antigen retrieval was performed using ab93684 (Tris/EDTA buffer, pH 9.0)

Immunohistochemistry (Formalin/PFA-fixed paraffin-embedded sections) - Goat Anti-Rabbit IgG H&L (HRP polymer) (AB214880)
  • IHC-P

Supplier Data

Immunohistochemistry (Formalin/PFA-fixed paraffin-embedded sections) - Goat Anti-Rabbit IgG H&L (HRP polymer) (AB214880)

Immunohistochemical analysis of paraffin-embedded Rat liver tissue labeling Fibrillarin with ab314506 at 1/2000 (0.249 ug/ml) followed by a ready to use Goat Anti-Rabbit IgG H&L (HRP polymer) (ab214880). Nucleolus staining on rat liver. The section was incubated with ab314506 at 4°C overnight. Counterstained with Hematoxylin. Secondary antibody only control : Secondary antibody is a ready to use Goat Anti-Rabbit IgG H&L (HRP polymer) (ab214880). Heat mediated antigen retrieval was performed using ab93678 (citrate buffer, pH 6.0)

  • Beta-galactosidase

    Goat Anti-Rabbit IgG H&L (beta-galactosidase)

  • Glucose Oxidase

    Goat Anti-Rabbit IgG H&L (Glucose Oxidase)

  • Unconjugated

    Goat Anti-Rabbit IgG H&L preadsorbed

  • Alkaline Phosphatase

    Goat Anti-Rabbit IgG H&L (Alkaline Phosphatase)

  • 667 Cy5®

    Goat Anti-Rabbit IgG H&L (Cy5 ®) preadsorbed

  • 505 Cy2®

    Goat Anti-Rabbit IgG H&L (Cy2 ®) preadsorbed

  • 519 FITC

    Goat Anti-Rabbit IgG H&L (FITC)

  • 572 TRITC

    Goat Anti-Rabbit IgG H&L (TRITC)

  • 6nm Gold

    Goat Anti-Rabbit IgG H&L (6nm Gold)

  • 618 DyLight® 594

    Goat Anti-Rabbit IgG H&L (DyLight® 594)

  • 576 DyLight® 550

    Goat Anti-Rabbit IgG H&L (DyLight® 550)

  • 673 DyLight® 650

    Goat Anti-Rabbit IgG H&L (DyLight® 650) preadsorbed

  • 702 Alexa Fluor® 680

    Goat Anti-Rabbit IgG H&L (Alexa Fluor® 680)

  • 603 Alexa Fluor® 568

    Goat Anti-Rabbit IgG H&L (Alexa Fluor® 568)

  • 519 Alexa Fluor® 488

    Goat Anti-Rabbit IgG H&L (Alexa Fluor® 488)

  • 565 Alexa Fluor® 555

    Goat Anti-Rabbit IgG H&L (Alexa Fluor® 555)

  • 665 Alexa Fluor® 647

    Goat Anti-Rabbit IgG H&L (Alexa Fluor® 647)

  • 617 Alexa Fluor® 594

    Goat Anti-Rabbit IgG H&L (Alexa Fluor® 594)

  • 702 Alexa Fluor® 680

    Goat Anti-Rabbit IgG H&L (Alexa Fluor® 680) preadsorbed

  • Biotin

    Goat Anti-Rabbit IgG H&L (Biotin)

  • HRP

    Goat Anti-Rabbit IgG H&L (HRP)

  • 775 Alexa Fluor® 750

    Goat Anti-Rabbit IgG H&L (Alexa Fluor® 750) preadsorbed

  • 421 Alexa Fluor® 405

    Goat Anti-Rabbit IgG H&L (Alexa Fluor® 405)

  • 578 PE

    Goat Anti-Rabbit IgG H&L (PE) preadsorbed

  • 615 Texas Red®

    Goat Anti-Rabbit IgG H&L (Texas Red ®)

  • 660 APC

    Goat Anti-Rabbit IgG H&L (APC) preadsorbed

  • 518 DyLight® 488

    Goat Anti-Rabbit IgG H&L (DyLight® 488) preadsorbed

  • 703 Cy5.5®

    Goat Anti-Rabbit IgG H&L (Cy5.5 ®) preadsorbed

  • 565 Cy3®

    Goat Anti-Rabbit IgG H&L (Cy3 ®) preadsorbed

  • 596 Cy3.5®

    Goat Anti-Rabbit IgG H&L (Cy3.5 ®) preadsorbed

  • 805 Alexa Fluor® 790

    Goat Anti-Rabbit IgG H&L (Alexa Fluor® 790)

Key facts

Host species

Goat

Target species

Rabbit

Target isotype

IgG

Target specificity

Heavy & Light chains

Minimal cross-reactivity
Pre-adsorbed

No

Conjugation

HRP polymer

Excitation/Emission
Applications

IHC-P, Ie

applications

Clonality

Polyclonal

Isotype

IgG

Specificity

Based on IEP, ab214880 reacts with heavy (gamma) chains on rabbit IgG, light chains on all rabbit immunoglobulins. No cross-reactivity is observed to non-immunoglobulin rabbit serum proteins, serum proteins from human, mouse or rat.

Reactivity data

{ "title": "Reactivity Data", "filters": { "stats": ["", "Reactivity", "Dilution Info", "Notes"] }, "values": { "IHC-P": { "reactivity":"TESTED_AND_REACTS", "dilution-info":"", "notes":"<p></p>" }, "Ie": { "reactivity":"TESTED_AND_REACTS", "dilution-info":"", "notes":"<p>This product is provided in a pre-diluted, ready-to-use format. Incubate 150 μl per slide for 1 hour.</p>" } } }

You may be interested in:

AB214879

Goat Anti-Mouse IgG H&L (HRP polymer)

5

2 Reviews

View product

We recommend this product because it’s often used in the same experiment or related research.

We advise that you always check the datasheet to ensure it fits your experiments, or contact ourtechnical teamfor help.

Product details

This antibody reacts with the heavy and light chains of Rabbit IgG

When it comes to advancing your immunohistochemistry (IHC) research, Abcam offers comprehensive suite of IHC kits and secondary antibodies, designed to deliver precise and reliable results.

Properties and storage information

Form
Liquid
Purification technique
Affinity purification
Purification notes
ab214880 was affinity purified using solid phase Rabbit IgG. Purity >95% by SDS-PAGE.
Storage buffer
Preservative: 0.1% Proclin 300 Constituents: 98% PBS, 1% BSA
Shipped at conditions
Blue Ice
Appropriate short-term storage conditions
+4°C
Appropriate long-term storage conditions
+4°C

Product protocols

For this product, it's our understanding that no specific protocols are required. You can visit:

Publications (48)

Recent publications for all applications. Explore the full list and refine your search

PeerJ 12:e16747 PubMed38223758

2024

Clinical impact of heterogeneously distributed tumor-infiltrating lymphocytes on the prognosis of colorectal cancer.

Applications

Unspecified application

Species

Unspecified reactive species

Lu Liu,Meiling Long,Shengyuan Su,Lijun Wang,Jintao Liu

Biology of sex differences 14:89 PubMed38111056

2023

Sex and interspecies differences in ESR2-expressing cell distributions in mouse and rat brains.

Applications

Unspecified application

Species

Unspecified reactive species

Masahiro Morishita,Shimpei Higo,Kinuyo Iwata,Hirotaka Ishii

Oncology letters 26:533 PubMed38020294

2023

LAMC2 is a potential prognostic biomarker for cholangiocarcinoma.

Applications

Unspecified application

Species

Unspecified reactive species

Khaa Hoo Ong,Yao-Yu Hsieh,Hong-Yue Lai,Ding-Ping Sun,Tzu-Ju Chen,Steven Kuan-Hua Huang,Yu-Feng Tian,Chia-Lin Chou,Yow-Ling Shiue,Hung-Chang Wu,Ti-Chun Chan,Hsin-Hwa Tsai,Chien-Feng Li,Yu-Hsuan Kuo

Metabolites 13: PubMed37623879

2023

Accumulation of Linoleic Acid by Altered Peroxisome Proliferator-Activated Receptor-α Signaling Is Associated with Age-Dependent Hepatocarcinogenesis in Transgenic Mice.

Applications

Unspecified application

Species

Unspecified reactive species

Xiaoyang Zhu,Qing Liu,Andrew D Patterson,Arun K Sharma,Shantu G Amin,Samuel M Cohen,Frank J Gonzalez,Jeffrey M Peters

Nature communications 14:4206 PubMed37452013

2023

Transplanting FVIII/ET3-secreting cells in fetal sheep increases FVIII levels long-term without inducing immunity or toxicity.

Applications

Unspecified application

Species

Unspecified reactive species

Martin Rodriguez,Brady Trevisan,Ritu M Ramamurthy,Sunil K George,Jonathan Diaz,Jordan Alexander,Diane Meares,Denise J Schwahn,David R Quilici,Jorge Figueroa,Michael Gautreaux,Andrew Farland,Anthony Atala,Christopher B Doering,H Trent Spencer,Christopher D Porada,Graça Almeida-Porada

Journal of experimental orthopaedics 10:68 PubMed37400744

2023

Development and characterization of an intra-articular fracture mediated model of post-traumatic osteoarthritis.

Applications

Unspecified application

Species

Unspecified reactive species

Michael S Valerio,William A Pace,Connor P Dolan,Jorge B Edwards,Naveena B Janakiram,Benjamin K Potter,Christopher L Dearth,Stephen M Goldman

Signal transduction and targeted therapy 8:236 PubMed37332010

2023

Soluble CD4 effectively prevents excessive TLR activation of resident macrophages in the onset of sepsis.

Applications

Unspecified application

Species

Unspecified reactive species

Sheng-Yuan Zhang,Qiu-Ping Xu,Li-Na Shi,Shih-Wen Li,Wei-Hong Wang,Qing-Qing Wang,Liao-Xun Lu,Hui Xiao,Jun-Hong Wang,Feng-Ying Li,Yin-Ming Liang,Si-Tang Gong,Hao-Ran Peng,Zheng Zhang,Hong Tang

Journal of labelled compounds & radiopharmaceuticals 66:298-307 PubMed37247847

2023

Synthesis and evaluation of In-labeled tetrapeptide-based compounds as single-photon emission computed tomography imaging probes targeting granzyme B.

Applications

Unspecified application

Species

Unspecified reactive species

Nobuki Kazuta,Hiroyuki Watanabe,Masahiro Ono

JCI insight 8: PubMed36626233

2023

Targeting activin receptor-like kinase 7 ameliorates adiposity and associated metabolic disorders.

Applications

Unspecified application

Species

Unspecified reactive species

Min Zhao,Katsuhide Okunishi,Yun Bu,Osamu Kikuchi,Hao Wang,Tadahiro Kitamura,Tetsuro Izumi

Acta neuropathologica communications 11:6 PubMed36631900

2023

Identifying new biomarkers of aggressive Group 3 and SHH medulloblastoma using 3D hydrogel models, single cell RNA sequencing and 3D OrbiSIMS imaging.

Applications

Unspecified application

Species

Unspecified reactive species

Franziska Linke,James E C Johnson,Stefanie Kern,Christopher D Bennett,Anbarasu Lourdusamy,Daniel Lea,Steven C Clifford,Catherine L R Merry,Snow Stolnik,Morgan R Alexander,Andrew C Peet,David J Scurr,Rian L Griffiths,Anna M Grabowska,Ian D Kerr,Beth Coyle
View all publications

Product promise

We are committed to supporting your work with high-quality reagents, and we're here for you every step of the way. In the unlikely event that one of our products does not perform as expected, you're protected by our Product Promise.
For full details, please see our Terms & Conditions

Associated Products

Select an associated product type
Alternative Product
Secondary Antibodies

AB6717

Goat Anti-Rabbit IgG H&L (FITC)

secondary-antibodies

goat-rabbit-igg-h-l-fitc-ab6717

5

(2 reviews)

Alternative Product
Secondary Antibodies

AB175471

Goat Anti-Rabbit IgG H&L (Alexa Fluor® 568)

secondary-antibodies

goat-rabbit-igg-h-l-alexa-fluor-568-ab175471

5

(1 reviews)

Alternative Product
Secondary Antibodies

AB150077

Goat Anti-Rabbit IgG H&L (Alexa Fluor® 488)

secondary-antibodies

goat-rabbit-igg-h-l-alexa-fluor-488-ab150077

5

(20 reviews)

Alternative Product
Secondary Antibodies

AB150079

Goat Anti-Rabbit IgG H&L (Alexa Fluor® 647)

secondary-antibodies

goat-rabbit-igg-h-l-alexa-fluor-647-ab150079

3

(1 reviews)

Alternative Product
Secondary Antibodies

AB150080

Goat Anti-Rabbit IgG H&L (Alexa Fluor® 594)

secondary-antibodies

goat-rabbit-igg-h-l-alexa-fluor-594-ab150080

5

(3 reviews)

Alternative Product
Secondary Antibodies

AB205718

Goat Anti-Rabbit IgG H&L (HRP)

secondary-antibodies

goat-rabbit-igg-h-l-hrp-ab205718

5

(8 reviews)

Please note: All products are 'FOR RESEARCH USE ONLY. NOT FOR USE IN DIAGNOSTIC OR THERAPEUTIC PROCEDURES'.

For licensing inquiries, please contact partnerships@abcam.com