JavaScript is disabled in your browser. Please enable JavaScript to view this website.
AB6846

Goat Anti-Rat IgG H&L (Alkaline Phosphatase)

Be the first to review this product! Submit a review

|

(4 Publications)

Suitable for Dot, IHC-Fr, IHC-P, IM, ICC/IF, WB, ELISA. Cited in 4 publications.

View Alternative Names

Ig gamma-1 chain C region

2 Images
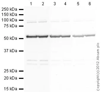
Western blot - Goat Anti-Rat IgG H&L (Alkaline Phosphatase) (AB6846)
  • WB

Unknown

Western blot - Goat Anti-Rat IgG H&L (Alkaline Phosphatase) (AB6846)

All lanes:

Western blot - Anti-Tubulin antibody [YL1/2] - Loading Control (<a href='/en-us/products/primary-antibodies/tubulin-antibody-yl1-2-loading-control-ab6160'>ab6160</a>) at 1 µg/mL

All lanes:

HeLa (Human epithelial carcinoma cell line) Whole Cell Lysate at 20 µg

Secondary

Lanes 1 - 2:

Western blot - Goat Anti-Rat IgG H&L (Alkaline Phosphatase) (ab6846) at 1/5000 dilution

Lanes 3 - 4:

Western blot - Goat Anti-Rat IgG H&L (Alkaline Phosphatase) (ab6846) at 1/20000 dilution

Lanes 5 - 6:

Western blot - Goat Anti-Rat IgG H&L (Alkaline Phosphatase) (ab6846) at 1/50000 dilution

Predicted band size: 36 kDa

true

Western blot - Goat Anti-Rat IgG H&L (Alkaline Phosphatase) (AB6846)
  • WB

Supplier Data

Western blot - Goat Anti-Rat IgG H&L (Alkaline Phosphatase) (AB6846)

Western blot analysis of ab6846 used as a secondary antibody at 1/1000 dilution for 60 min at RT.

All lanes:

Rat IgG at 50 ng

Secondary

All lanes:

Western blot - Goat Anti-Rat IgG H&L (Alkaline Phosphatase) (ab6846) at 1/1000 dilution

false

  • Unconjugated

    Goat Anti-Rat IgG H&L

  • HRP polymer

    Goat Anti-Rat IgG H&L (HRP polymer)

  • 615 Texas Red®

    Goat Anti-Rat IgG H&L (Texas Red ®) preadsorbed

  • 572 TRITC

    Goat Anti-Rat IgG H&L (TRITC) preadsorbed

  • 578 PE

    Goat anti-Rat IgG H&L (PE) Pre-Adsorbed

  • 667 Cy5®

    Goat Anti-Rat IgG H&L (Cy5 ®) preadsorbed

  • 505 Cy2®

    Goat Anti-Rat IgG H&L (Cy2 ®) preadsorbed

  • 10nm Gold

    Goat Anti-Rat IgG H&L (10nm Gold)

  • 703 Cy5.5®

    Goat Anti-Rat IgG H&L (Cy5.5 ®) preadsorbed

  • 519 FITC

    Goat Anti-Rat IgG H&L (FITC)

  • 576 DyLight® 550

    Goat Anti-Rat IgG H&L (DyLight® 550)

  • 578 PE

    Goat Anti-Rat IgG H&L (PE)

  • 618 DyLight® 594

    Goat Anti-Rat IgG H&L (DyLight® 594) preadsorbed

  • 519 Alexa Fluor® 488

    Goat Anti-Rat IgG H&L (Alexa Fluor® 488)

  • 617 Alexa Fluor® 594

    Goat Anti-Rat IgG H&L (Alexa Fluor® 594)

  • 702 Alexa Fluor® 680

    Goat Anti-Rat IgG H&L (Alexa Fluor® 680)

  • 805 Alexa Fluor® 790

    Goat Anti-Rat IgG H&L (Alexa Fluor® 790)

  • 603 Alexa Fluor® 568

    Goat Anti-Rat IgG H&L (Alexa Fluor® 568)

  • Biotin

    Goat Anti-Rat IgG H&L (Biotin)

  • HRP

    Goat Anti-Rat IgG H&L (HRP)

  • 421 Alexa Fluor® 405

    Goat Anti-Rat IgG H&L (Alexa Fluor® 405)

  • 518 DyLight® 488

    Goat Anti-Rat IgG H&L (DyLight® 488) preadsorbed

  • 565 Cy3®

    Goat Anti-Rat IgG H&L (Cy3 ®) preadsorbed

  • Unconjugated

    Goat Anti-Rat IgG H&L preadsorbed

  • 673 DyLight® 650

    Goat Anti-Rat IgG H&L (DyLight® 650) preadsorbed

  • 565 Alexa Fluor® 555

    Goat Anti-Rat IgG H&L (Alexa Fluor® 555)

  • 775 Alexa Fluor® 750

    Goat Anti-Rat IgG H&L (Alexa Fluor® 750)

  • 665 Alexa Fluor® 647

    Goat Anti-Rat IgG H&L (Alexa Fluor® 647) preadsorbed

Key facts

Host species

Goat

Target species

Rat

Target isotype

IgG

Target specificity

Heavy & Light chains

Minimal cross-reactivity
Pre-adsorbed

No

Conjugation

Alkaline Phosphatase

Excitation/Emission
Applications

ICC/IF, IHC-Fr, WB, IHC-P, Dot, IM, ELISA

applications

Clonality

Polyclonal

Isotype

IgG

Reactivity data

{ "title": "Reactivity Data", "filters": { "stats": ["", "Reactivity", "Dilution Info", "Notes"] }, "values": { "Dot": { "reactivity":"NO_EXPERIMENTAL_DATA_EXPECTED_TO_REACT", "dilution-info":"", "notes":"<p></p>" }, "IHC-Fr": { "reactivity":"NO_EXPERIMENTAL_DATA_EXPECTED_TO_REACT", "dilution-info":"", "notes":"<p></p>" }, "IHC-P": { "reactivity":"NO_EXPERIMENTAL_DATA_EXPECTED_TO_REACT", "dilution-info":"", "notes":"<p></p>" }, "IM": { "reactivity":"NO_EXPERIMENTAL_DATA_EXPECTED_TO_REACT", "dilution-info":"", "notes":"<p></p>" }, "ICC/IF": { "reactivity":"NO_EXPERIMENTAL_DATA_EXPECTED_TO_REACT", "dilution-info":"1/200 - 1/1000", "notes":"<p></p>" }, "WB": { "reactivity":"TESTED_AND_REACTS", "dilution-info":"1/500 - 1/2500", "notes":"<p></p>" }, "ELISA": { "reactivity":"NO_EXPERIMENTAL_DATA_EXPECTED_TO_REACT", "dilution-info":"1/15000", "notes":"<p></p>" } } }

Product details

Part of the AbExcel range.

Properties and storage information

Form
Liquid
Purification technique
Affinity purification
Purification notes
This product was prepared from monospecific antiserum by immunoaffinity chromatography using Rat IgG coupled to agarose beads followed by solid phase adsorption(s) to remove any unwanted reactivities.
Storage buffer
pH: 8 Preservative: 0.1% Sodium azide Constituents: 50% Glycerol (glycerin, glycerine), 1% BSA, 0.88% Sodium chloride, 0.788% Tris HCl, 0.00952% Magnesium chloride, 0.00136% Zinc chloride
Shipped at conditions
Blue Ice
Appropriate short-term storage conditions
+4°C
Appropriate long-term storage conditions
+4°C

Product protocols

Publications (4)

Recent publications for all applications. Explore the full list and refine your search

Journal of lipid research 64:100450 PubMed37751791

2023

Sphingosine kinase 1 is involved in triglyceride breakdown by maintaining lysosomal integrity in brown adipocytes.

Applications

Unspecified application

Species

Unspecified reactive species

Jun-Ichi Morishige,Kazuaki Yoshioka,Hiroki Nakata,Kazuhiro Ishimaru,Naoto Nagata,Tamotsu Tanaka,Yoh Takuwa,Hitoshi Ando

PloS one 17:e0264572 PubMed35271602

2022

Topical estrogen application promotes cutaneous wound healing in db/db female mice with type 2 diabetes.

Applications

Unspecified application

Species

Unspecified reactive species

Kanae Mukai,Shin-Ichi Horike,Makiko Meguro-Horike,Yukari Nakajima,Arya Iswara,Toshio Nakatani

PloS one 13:e0198531 PubMed29902192

2018

Presentation matters: Impact of association of amphiphilic LPS with serum carrier proteins on innate immune signaling.

Applications

Unspecified application

Species

Unspecified reactive species

Loreen R Stromberg,Heather M Mendez,Jessica Z Kubicek-Sutherland,Steven W Graves,Nicolas W Hengartner,Harshini Mukundan

Insects 3:1190-9 PubMed26466734

2012

Myosin Gene Expression and Protein Abundance in Different Castes of the Formosan Subterranean Termite (Coptotermes formosanus).

Applications

Unspecified application

Species

Unspecified reactive species

Matthew R Tarver,Christopher B Florane,Christopher P Mattison,Beth A Holloway,Alan Lax
View all publications

Product promise

We are committed to supporting your work with high-quality reagents, and we're here for you every step of the way. In the unlikely event that one of our products does not perform as expected, you're protected by our Product Promise.
For full details, please see our Terms & Conditions

Please note: All products are 'FOR RESEARCH USE ONLY. NOT FOR USE IN DIAGNOSTIC OR THERAPEUTIC PROCEDURES'.

For licensing inquiries, please contact partnerships@abcam.com