JavaScript is disabled in your browser. Please enable JavaScript to view this website.
AB205720

Goat Anti-Rat IgG H&L (HRP)

5

(1 Review)

|

(27 Publications)

Suitable for ELISA, IP, WB, IHC-P. Ideal for western blot. Cited in 27 publications.

View Alternative Names

Ig gamma-1 chain C region

41 Images
Western blot - Goat Anti-Rat IgG H&L (HRP) (AB205720)
  • WB

Supplier Data

Western blot - Goat Anti-Rat IgG H&L (HRP) (AB205720)

Blocking and diluting buffer : 5% NFDM/TBST.

The molecular weight is consistent with the benchmark : ab186733.

The positive cells were the consistent with the literature provided by licensor (PMID : 1843089).

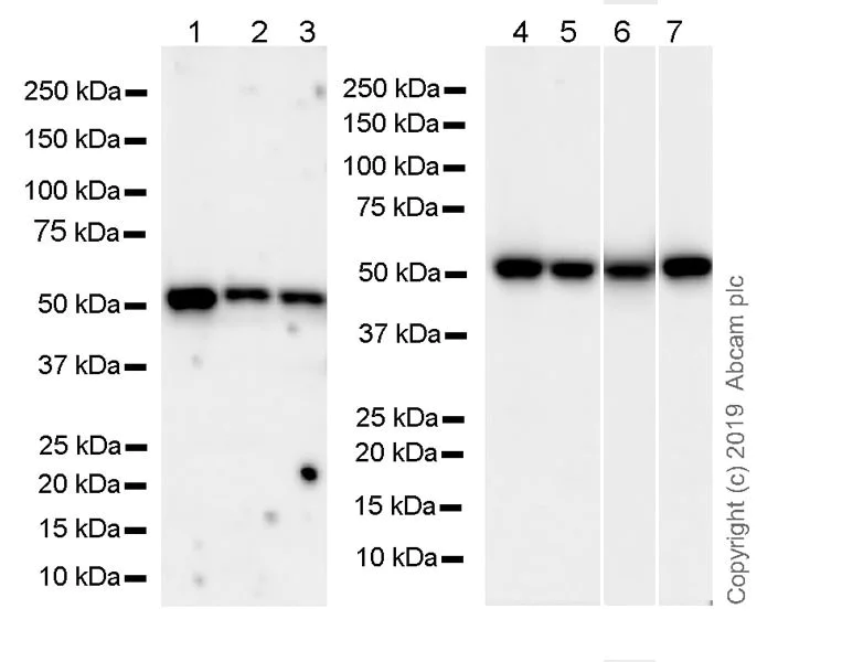
All lanes:

Western blot - Anti-Argonaute-2 antibody [11A9] (<a href='/en-us/products/primary-antibodies/argonaute-2-antibody-11a9-ab252812'>ab252812</a>) at 1/1000 dilution

Lane 1:

HeLa (human cervix adenocarcinoma epithelial cell) whole cell lysate at 20 µg

Lane 2:

NCI-H1299 (human lung carcinoma epithelial cell) whole cell lysate at 20 µg

Lane 3:

HCT 116 (human colorectal carcinoma epithelial cell) whole cell lysate at 20 µg

Lane 4:

A549 (Human lung carcinoma epithelial cell), whole cell lysate at 20 µg

Secondary

All lanes:

Western blot - Goat Anti-Rat IgG H&L (HRP) (ab205720) at 1/10000 dilution

Predicted band size: 97 kDa

Observed band size: 97 kDa

false

Exposure time: 100s

Immunoprecipitation - Goat Anti-Rat IgG H&L (HRP) (AB205720)
  • IP

Supplier Data

Immunoprecipitation - Goat Anti-Rat IgG H&L (HRP) (AB205720)

non-muscle Myosin IIB/MYH10 was immunoprecipitated from 0.35 mg HEK-293T (human embryonic kidney epithelial cell) whole cell lysate, 10µg with ab300647 at 1/30 dilution (2µg in 0.35mg lysates). Western blot was performed on the immunoprecipitate using ab300647 at 1/1000 dilution. Goat Anti-Rat IgG (H+L), HRP) (ab205720) was used at 1/5000 dilution. Lane 1 : HEK-293T whole cell lysate, 10µg Lane 2 : ab300647 IP in HEK-293T whole cell lysate Lane 3 : Rat monoclonal IgG2a (ab18450) instead of ab300647 in HEK-293T whole cell lysate Blocking and dilution buffer and concentration : 5% NFDM/TBST. Exposure time : 1 second.

All lanes:

Immunoprecipitation - Anti-non-muscle Myosin IIB/MYH10 antibody [EPR22564-23] - Rat IgG2a (Chimeric) (<a href='/en-us/products/primary-antibodies/non-muscle-myosin-iib-myh10-antibody-epr22564-23-rat-igg2a-chimeric-ab300647'>ab300647</a>) at 1/30 dilution

All lanes:

HEK-293T (human embryonic kidney epithelial cell)

Secondary

All lanes:

Immunoprecipitation - Goat Anti-Rat IgG H&L (HRP) (ab205720) at 1/5000 dilution

Observed band size: 250 kDa

false

Exposure time: 1s

Immunoprecipitation - Goat Anti-Rat IgG H&L (HRP) (AB205720)
  • IP

Lab

Immunoprecipitation - Goat Anti-Rat IgG H&L (HRP) (AB205720)

VE Cadherin was immunoprecipitated from bEnd.3 whole cell lysate with ab91064 at 1/50 dilution (2µg in 0.35mg lysates). Western blot was performed on the immunoprecipitate using ab91064 at 1/1000 dilution.

Blocking and dilution buffer and concentration : 5% NFDM/TBST.

All lanes:

Immunoprecipitation - Anti-VE Cadherin antibody [BV13] - Intercellular Junction Marker (<a href='/en-us/products/primary-antibodies/ve-cadherin-antibody-bv13-intercellular-junction-marker-ab91064'>ab91064</a>) at 1/50 dilution

Lane 1:

bEnd.3 whole cell lysate at 10 µg

Lane 2:

bEnd.3 whole cell lysate

Lane 3:

Rat IgG1- Isotype Control instead of <a href='/en-us/products/primary-antibodies/ve-cadherin-antibody-bv13-intercellular-junction-marker-ab91064'>ab91064</a> in bEnd.3 whole cell lysate

Secondary

All lanes:

Immunoprecipitation - Goat Anti-Rat IgG H&L (HRP) (ab205720) at 1/1000 dilution

Predicted band size: 90 kDa,120 kDa

false

Exposure time: 3s

Western blot - Goat Anti-Rat IgG H&L (HRP) (AB205720)
  • WB

Supplier Data

Western blot - Goat Anti-Rat IgG H&L (HRP) (AB205720)

This data was produced using ab279291, the same clone in a different formulation.

The molecular weight observed is consistent with the literature (PMID : 824020, 2294, 6340792).

Blocking/Dilution buffer : 5% NFDM/TBST.

Exposure times : Lane 1 : 3.25 seconds; Lane 2, 3 : 10 seconds.

All lanes:

Western blot - Anti-GFAP antibody [EPR1034Y] - Astrocyte marker - Rat IgG2a (Chimeric) (<a href='/en-us/products/primary-antibodies/gfap-antibody-epr1034y-astrocyte-marker-rat-igg2a-chimeric-ab279291'>ab279291</a>) at 1/1000 dilution

Lane 1:

Human brain tissue lysate at 20 µg

Lane 2:

Mouse brain tissue lysate at 20 µg

Lane 3:

Rat brain tissue lysate at 20 µg

Secondary

All lanes:

Western blot - Goat Anti-Rat IgG H&L (HRP) (ab205720) at 1/5000 dilution

Predicted band size: 49 kDa

false

Western blot - Goat Anti-Rat IgG H&L (HRP) (AB205720)
  • WB

Supplier Data

Western blot - Goat Anti-Rat IgG H&L (HRP) (AB205720)

Blocking/Dilution buffer : 5% NFDM/TBST.

Exposure times : Lane 1,2 : 15 secs; Lane 3 : 3 secs

All lanes:

Western blot - Anti-LMO 4 antibody [20F8] (<a href='/en-us/products/primary-antibodies/lmo-4-antibody-20f8-ab243139'>ab243139</a>) at 1.354 µg/mL

Lane 1:

Wild-type HAP1 whole cell lysate at 20 µg

Lane 2:

T47D (human ductal breast epithelial tumor epithelial cell), whole cell lysate at 20 µg

Lane 3:

Mouse embryo tissue lysate at 20 µg

Secondary

All lanes:

Western blot - Goat Anti-Rat IgG H&L (HRP) (ab205720) at 1/5000 dilution

false

Western blot - Goat Anti-Rat IgG H&L (HRP) (AB205720)
  • WB

Lab

Western blot - Goat Anti-Rat IgG H&L (HRP) (AB205720)

The expression profile observed is consistent with what has been described in the literature (PMID : 17389238).

Blocking/Dilution buffer : 5% NFDM/TBST.

All lanes:

Western blot - Anti-Pentraxin 3/PTX3 antibody [MNB1] (<a href='/en-us/products/primary-antibodies/pentraxin-3-ptx3-antibody-mnb1-ab90806'>ab90806</a>) at 1/1000 dilution

Lane 1:

Untreated HUVEC (human umbilical vein endothelial cell) whole cell lysate at 20 µg

Lane 2:

HUVEC treated with 0.5ug/ml Lipopolysaccharides(LPS) for 4 hours and then added 300 ng/ml Brefeldin A for another 20 hours, whole cell lysate at 20 µg

Secondary

All lanes:

Western blot - Goat Anti-Rat IgG H&L (HRP) (ab205720) at 1/5000 dilution

Predicted band size: 41 kDa

false

Exposure time: 15s

Western blot - Goat Anti-Rat IgG H&L (HRP) (AB205720)
  • WB

Lab

Western blot - Goat Anti-Rat IgG H&L (HRP) (AB205720)

This blot was produced using a 4-12% Bis-tris gel under the MOPS buffer system. The gel was run at 200V for 50 minutes before being transferred onto a Nitrocellulose membrane at 30V for 70 minutes. The membrane was then blocked for an hour using 2% Bovine Serum Albumin before being incubated with ab6161 overnight at 4°C. Antibody binding was detected using ab205720, and visualised using ECL development solution ab133406.

All lanes:

Western blot - Anti-Tubulin antibody [YOL1/34] - Loading Control (<a href='/en-us/products/primary-antibodies/tubulin-antibody-yol1-34-loading-control-ab6161'>ab6161</a>) at 1 µg/mL

Lane 1:

Liver (Human) Tissue Lysate at 10 µg

Lane 2:

Liver (Mouse) Tissue Lysate at 10 µg

Lane 3:

Liver (Rat) Tissue Lysate at 10 µg

Lane 4:

HeLa (Human epithelial carcinoma cell line) Whole Cell Lysate at 10 µg

Lane 5:

NIH 3T3 (Mouse embryonic fibroblast cell line) Whole Cell Lysate at 10 µg

Lane 6:

PC12 (Rat adrenal pheochromocytoma cell line) Whole Cell Lysate at 10 µg

Secondary

All lanes:

Western blot - Goat Anti-Rat IgG H&L (HRP) (ab205720) at 1/5000 dilution

Predicted band size: 36 kDa

Observed band size: 54 kDa

true

Exposure time: 15s

Western blot - Goat Anti-Rat IgG H&L (HRP) (AB205720)
  • WB

Supplier Data

Western blot - Goat Anti-Rat IgG H&L (HRP) (AB205720)

Blocking/Dilution buffer : 5% NFDM/TBST.

Exposure times : Lane 1,2 : 15 secs; Lane 3 : 3 secs

This data was developed using the same antibody clone in a different buffer formulation containing PBS, BSA, glycerol, and sodium azide (ab243139).

All lanes:

Western blot - Anti-LMO 4 antibody [20F8] - BSA and Azide free (<a href='/en-us/products/primary-antibodies/lmo-4-antibody-20f8-bsa-and-azide-free-ab255746'>ab255746</a>) at 1.354 µg/mL

Lane 1:

Wild-type HAP1 whole cell lysate at 20 µg

Lane 2:

T47D (human ductal breast epithelial tumor epithelial cell), whole cell lysate at 20 µg

Lane 3:

Mouse embryo tissue lysate at 20 µg

Secondary

All lanes:

Western blot - Goat Anti-Rat IgG H&L (HRP) (ab205720) at 1/5000 dilution

false

Western blot - Goat Anti-Rat IgG H&L (HRP) (AB205720)
  • WB

Supplier Data

Western blot - Goat Anti-Rat IgG H&L (HRP) (AB205720)

This data was produced using the same clone in a different formulation, ab252845.

The expression profile/molecular weight observed is consistent with what has been described in the literature (PMID : 30100605 and 24143218).

Blocking/Dilution buffer : 5% NFDM/TBST.

Exposure time : 3 minutes.

All lanes:

Western blot - Anti-NOTCH3 antibody [8G5] (<a href='/en-us/products/primary-antibodies/notch3-antibody-8g5-ab252845'>ab252845</a>) at 1/1000 dilution

All lanes:

U-87 MG (human glioblastoma-astrocytoma epithelial cell), whole cell lysate at 10 µg

Secondary

All lanes:

Western blot - Goat Anti-Rat IgG H&L (HRP) (ab205720) at 1/5000 dilution

Predicted band size: 244 kDa

false

Exposure time: 3min

Western blot - Goat Anti-Rat IgG H&L (HRP) (AB205720)
  • WB

Lab

Western blot - Goat Anti-Rat IgG H&L (HRP) (AB205720)

Blocking and diluting buffer and concentration : 5% NFDM/TBST

All lanes:

Western blot - Anti-CBX1 / HP1 beta antibody [MAC353] (<a href='/en-us/products/primary-antibodies/cbx1-hp1-beta-antibody-mac353-ab10811'>ab10811</a>) at 1/1000 dilution

Lane 1:

HepG2 (human hepatocellular carcinoma epithelial cell) whole cell lysate at 20 µg

Lane 2:

293T (human embryonic kidney epithelial cell) whole cell lysate at 20 µg

Secondary

All lanes:

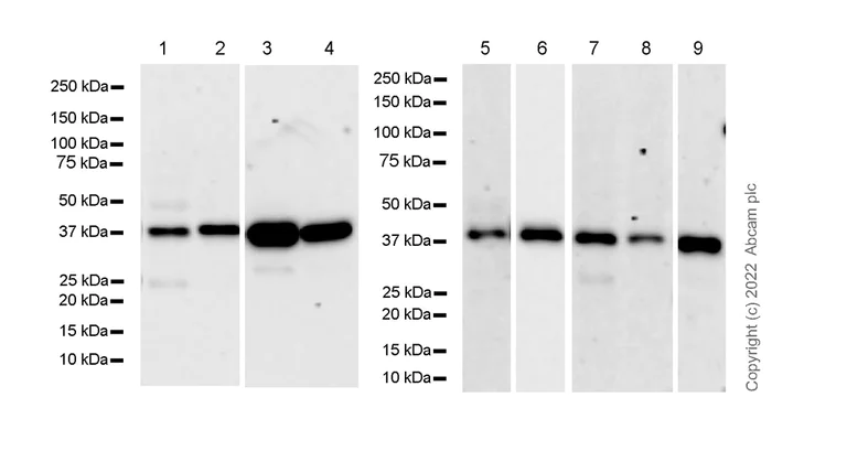
Western blot - Goat Anti-Rat IgG H&L (HRP) (ab205720) at 1/10000 dilution

Observed band size: 21 kDa

false

Exposure time: 125s

Western blot - Goat Anti-Rat IgG H&L (HRP) (AB205720)
  • WB

Supplier Data

Western blot - Goat Anti-Rat IgG H&L (HRP) (AB205720)

The expression profile weight observed is consistent with what has been described in the literature (PMID : 31634899).Blocking and diluting buffer and concentration : 5% NFDM/TBST Exposure time : 3 seconds

All lanes:

Western blot - Anti-AMID antibody [6D8] (<a href='/en-us/products/primary-antibodies/amid-antibody-6d8-ab302673'>ab302673</a>) at 1/1000 dilution

Lane 1:

A375 (human malignant melanoma epithelial cell), whole cell lysate 20 µg

Lane 2:

HepG2 (human hepatocellar carcinoma epithelial cell), whole cell lysate 20 µg

Lane 3:

A549 (human lu carcinoma epithelial cell), whole cell lysate 20 µg

Lane 4:

T47D (human ductal breast epithelial tumor epithelial cell), whole cell lysate 20 µg

Lane 5:

MCF7 (human breast adenocarcinoma epithelial cell), whole cell lysate 20 µg

Secondary

All lanes:

Western blot - Goat Anti-Rat IgG H&L (HRP) (ab205720) at 1/5000 dilution

Observed band size: 40 kDa

false

Exposure time: 3s

Western blot - Goat Anti-Rat IgG H&L (HRP) (AB205720)
  • WB

Lab

Western blot - Goat Anti-Rat IgG H&L (HRP) (AB205720)

Blocking/Dilution buffer : 5% NFDM/TBST.

This image was produced using the same antibody clone in a different buffer formulation containing PBS, glycerol, BSA and sodium azide (ab252875).

All lanes:

Western blot - Anti-TRAF1 antibody [1F3] (<a href='/en-us/products/primary-antibodies/traf1-antibody-1f3-ab252875'>ab252875</a>) at 1/1000 dilution

Lane 1:

THP-1 (human monocytic leukemia monocyte), whole cell lysate at 20 µg

Lane 2:

THP-1 treated with 5ng/ml TNF-alpha for 6h, whole cell lysate at 20 µg

Secondary

All lanes:

Western blot - Goat Anti-Rat IgG H&L (HRP) (ab205720) at 1/5000 dilution

Predicted band size: 46 kDa

Observed band size: 50 kDa

false

Exposure time: 3min

Western blot - Goat Anti-Rat IgG H&L (HRP) (AB205720)
  • WB

Supplier Data

Western blot - Goat Anti-Rat IgG H&L (HRP) (AB205720)

This data was produced using ab279300, the same clone in a different formulation.

Blocking/Dilution buffer : 5% NFDM/TBST.

All lanes:

Western blot - Anti-CD20 antibody [EP459Y] - Rat IgG2a (Chimeric) (<a href='/en-us/products/primary-antibodies/cd20-antibody-ep459y-rat-igg2a-chimeric-ab279300'>ab279300</a>) at 1/1000 dilution

Lane 1:

Raji (human Burkitt's lymphoma B lymphocyte), whole cell lysate at 20 µg

Lane 2:

Ramos (human Burkitt's lymphoma B lymphocyte), whole cell lysate at 20 µg

Secondary

All lanes:

Western blot - Goat Anti-Rat IgG H&L (HRP) (ab205720) at 1/5000 dilution

Predicted band size: 33 kDa

false

Western blot - Goat Anti-Rat IgG H&L (HRP) (AB205720)
  • WB

Lab

Western blot - Goat Anti-Rat IgG H&L (HRP) (AB205720)

Blocking and diluting buffer and concentration : 5% NFDM/TBST

The expression profile/ molecular weight observed is consistent with what has been described in the literature (PMID : 22745433 and 23071310)

Exposure time : 10 seconds

This data was developed using the same antibody clone in a different buffer formulation containing PBS, BSA, glycerol, and sodium azide (ab252853).

All lanes:

Western blot - Anti-RNA polymerase II CTD repeat YSPTSPS (phospho S7) antibody [4E12] (<a href='/en-us/products/primary-antibodies/rna-polymerase-ii-ctd-repeat-ysptsps-phospho-s7-antibody-4e12-ab252853'>ab252853</a>) at 1/1000 dilution

Lane 1:

HeLa (human cervix adenocarcinoma epithelial cell), whole cell lysate (Untreated membrane) at 10 µg

Lane 2:

HeLa whole cell lysate (Phosphatase treated membrane) at 10 µg

Secondary

Lanes 1 - 2:

Western blot - Goat Anti-Rat IgG H&L (HRP) (ab205720) at 1/5000 dilution

Lanes 1 - 2:

Goat Anti-Rat IgG (H+L), HRP) (ab205720) at 1/5000 dilution

Predicted band size: 217 kDa

Observed band size: 260 kDa

false

Western blot - Goat Anti-Rat IgG H&L (HRP) (AB205720)
  • WB

Supplier Data

Western blot - Goat Anti-Rat IgG H&L (HRP) (AB205720)

This data was produced using ab279294, the same clone in a different formulation.

Blocking/Dilution buffer : 5% NFDM/TBST.

All lanes:

Western blot - Anti-PD-L1 antibody [CAL10] - Rat IgG2a (Chimeric) (<a href='/en-us/products/primary-antibodies/pd-l1-antibody-cal10-rat-igg2a-chimeric-ab279294'>ab279294</a>) at 1/1000 dilution

Lane 1:

CHO-S (Chinese hamster ovary epithelial cell) whole cell lysate at 20 µg

Lane 2:

CHO-PD-L1 (PD-L1 stably expressed Chinese hamster ovary epithelial cell) whole cell lysate at 20 µg

Lane 3:

Human placenta tissue lysate at 20 µg

Lane 4:

NCI-H1299 (human lung carcinoma epithelial cell), whole cell lysate at 20 µg

Secondary

All lanes:

Western blot - Goat Anti-Rat IgG H&L (HRP) (ab205720) at 1/5000 dilution

Predicted band size: 33 kDa

Observed band size: 40-60 kDa

false

Exposure time: 8s

Western blot - Goat Anti-Rat IgG H&L (HRP) (AB205720)
  • WB

Lab

Western blot - Goat Anti-Rat IgG H&L (HRP) (AB205720)

Blocking/Dilution buffer : 5% NFDM/TBST.

This data was developed using the same antibody clone in a different buffer formulation containing PBS, BSA, glycerol, and sodium azide (ab256557).

All lanes:

Western blot - Anti-IDH1 antibody [RcMab-1] (<a href='/en-us/products/primary-antibodies/idh1-antibody-rcmab-1-ab256557'>ab256557</a>) at 1.479 µg/mL

Lane 1:

Wild type HAP1 whole cell lysate at 20 µg

Lane 2:

IDH1 knockout HAP1 whole cell lysate at 20 µg

Lane 3:

HeLa (human cervix adenocarcinoma epithelial cell), whole cell lysate at 20 µg

Lane 4:

HepG2 (human hepatocellular carcinoma epithelial cell), whole cell lysate at 20 µg

Lane 5:

Raji (human Burkitt's lymphoma B lymphocyte), whole cell lysate at 20 µg

Secondary

All lanes:

Western blot - Goat Anti-Rat IgG H&L (HRP) (ab205720) at 1/10000 dilution

Predicted band size: 46 kDa

false

Exposure time: 8s

Western blot - Goat Anti-Rat IgG H&L (HRP) (AB205720)
  • WB

Lab

Western blot - Goat Anti-Rat IgG H&L (HRP) (AB205720)

Blocking and diluting buffer and concentration : 5% NFDM/TBST.

Exposure time : Lanes 1/3 : 3 seconds; Lane 2 : 15 seconds; Lane 4 : 1 second.

This data was developed using the same antibody clone in a different buffer formulation containing PBS, BSA, glycerol, and sodium azide (ab252878).

All lanes:

Western blot - Anti-WDR12 antibody [1B8] (<a href='/en-us/products/primary-antibodies/wdr12-antibody-1b8-ab252878'>ab252878</a>) at 1.235 µg/mL

Lane 1:

HeLa (human cervix adenocarcinoma epithelial cell), whole cell lysate at 10 µg

Lane 2:

HEK-293 (human embryonic kidney epithelial cell), whole cell lysate at 10 µg

Lane 3:

Jurkat (human T cell leukemia T lymphocyte), whole cell lysate at 10 µg

Lane 4:

HepG2 (human hepatocellular carcinoma epithelial cell), whole cell lysate at 10 µg

Secondary

All lanes:

Western blot - Goat Anti-Rat IgG H&L (HRP) (ab205720) at 1/5000 dilution

Predicted band size: 48 kDa

Observed band size: 47 kDa

false

Western blot - Goat Anti-Rat IgG H&L (HRP) (AB205720)
  • WB

Supplier Data

Western blot - Goat Anti-Rat IgG H&L (HRP) (AB205720)

Blocking/Dilution buffer : 5% NFDM/TBST.

Exposure times : Lanes 1-3 : 37 secs; Lanes 4-5 : 5 secs.

This data was developed using the same antibody clone in a different buffer formulation containing PBS, BSA, glycerol, and sodium azide (ab252816).

All lanes:

Western blot - Anti-beta Amyloid antibody [2E9] (<a href='/en-us/products/primary-antibodies/beta-amyloid-antibody-2e9-ab252816'>ab252816</a>) at 0.583 µg/mL

Lane 1:

U-87 MG (human glioblastoma-astrocytoma epithelial cell), whole cell lysate at 10 µg

Lane 2:

HEK-293 (human embryonic kidney epithelial cell), whole cell lysate at 10 µg

Lane 3:

HeLa (human cervix adenocarcinoma epithelial cell), whole cell lysate at 10 µg

Lane 4:

Human brain tissue lysate at 10 µg

Lane 5:

Human hippocampus tissue lysate at 10 µg

Secondary

All lanes:

Western blot - Goat Anti-Rat IgG H&L (HRP) (ab205720) at 1/5000 dilution

Predicted band size: 87 kDa

false

Western blot - Goat Anti-Rat IgG H&L (HRP) (AB205720)
  • WB

Supplier Data

Western blot - Goat Anti-Rat IgG H&L (HRP) (AB205720)

Blocking/Dilution buffer : 5% NFDM/TBST.

Exposure times : Lanes 1-4 : 1 sec; Lane 5 : 5 secs.

This data was developed using the same antibody clone in a different buffer formulation containing PBS, BSA, glycerol, and sodium azide (ab252849).

All lanes:

Western blot - Anti-Pescadillo antibody [8E9] (<a href='/en-us/products/primary-antibodies/pescadillo-antibody-8e9-ab252849'>ab252849</a>) at 0.489 µg/mL

Lane 1:

HeLa (human cervix adenocarcinoma epithelial cell), whole cell lysate at 10 µg

Lane 2:

HEK-293 (human embryonic kidney epithelial cell), whole cell lysate at 10 µg

Lane 3:

HCT116 (human colorectal carcinoma epithelial cell), whole cell lysate at 10 µg

Lane 4:

Jurkat (human T cell leukemia T lymphocyte), whole cell lysate at 10 µg

Lane 5:

RAW264.7 (mouse Abelson murine leukemia virus-induced tumor macrophage), whole cell lysate at 10 µg

Secondary

All lanes:

Western blot - Goat Anti-Rat IgG H&L (HRP) (ab205720) at 1/100000 dilution

Predicted band size: 68 kDa

false

Western blot - Goat Anti-Rat IgG H&L (HRP) (AB205720)
  • WB

Lab

Western blot - Goat Anti-Rat IgG H&L (HRP) (AB205720)

Blocking and diluting buffer and concentration : 5% NFDM/TBST

Exposure time : lane 1, 2 : 3 minutes lane 3-5 : 59 seconds

All lanes:

Western blot - Anti-p75 NGF Receptor antibody [NORI138B] (<a href='/en-us/products/primary-antibodies/p75-ngf-receptor-antibody-nori138b-ab271289'>ab271289</a>) at 1/1000 dilution

Lane 1:

Human brain tissue lysate at 20 µg

Lane 2:

Neuro-2a (mouse neuroblastoma neuroblast), whole cell lysate at 20 µg

Lane 3:

Mouse brain tissue lysate at 20 µg

Lane 4:

Rat brain tissue lysate at 20 µg

Lane 5:

PC-12 (rat adrenal gland pheochromocytoma), whole cell lysate at 20 µg

Secondary

All lanes:

Western blot - Goat Anti-Rat IgG H&L (HRP) (ab205720) at 1/10000 dilution

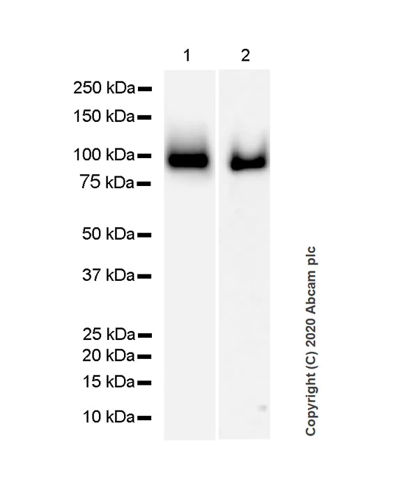
Predicted band size: 45 kDa

Observed band size: 65 kDa

false

Western blot - Goat Anti-Rat IgG H&L (HRP) (AB205720)
  • WB

Supplier Data

Western blot - Goat Anti-Rat IgG H&L (HRP) (AB205720)

Blocking/Dilution buffer : 5% NFDM/TBST.

The expression profile/ molecular weight observed is consistent with what has been described in the literature (PMID : 22715410).

This data was developed using the same antibody clone in a different buffer formulation containing PBS, BSA, glycerol, and sodium azide (ab241544).

All lanes:

Western blot - Anti-SA1 antibody [SUSI63B] (<a href='/en-us/products/primary-antibodies/sa1-antibody-susi63b-ab241544'>ab241544</a>) at 1/1000 dilution

Lane 1:

Jurkat (human T cell leukemia T lymphocyte) whole cell lysate at 10 µg

Lane 2:

MOLT-4 (human lymphoblastic leukemia T lymphoblast), whole cell lysate at 10 µg

Lane 3:

MCF7 (human breast adenocarcinoma epithelial cell), whole cell lysate at 10 µg

Lane 4:

A431 (human epidermoid carcinoma epithelial cell), whole cell lysate at 10 µg

Lane 5:

TF-1 (human Erythroleukemia erythroblast), whole cell lysate at 10 µg

Lane 6:

RAW264.7 (mouse Abelson murine leukemia virus-induced tumor macrophage), whole cell lysate at 10 µg

Lane 7:

PC-12 (rat adrenal gland pheochromocytoma), whole cell lysate at 10 µg

Secondary

All lanes:

Western blot - Goat Anti-Rat IgG H&L (HRP) (ab205720) at 1/10000 dilution

Predicted band size: 144 kDa

false

Exposure time: 3s

Western blot - Goat Anti-Rat IgG H&L (HRP) (AB205720)
  • WB

Lab

Western blot - Goat Anti-Rat IgG H&L (HRP) (AB205720)

This data was developed using ab90806, the same antibody clone in a different buffer formulation.

Blocking/Dilution buffer : 5% NFDM/TBST.

Exposure times : Lane 1, 2 : 15 seconds; Lane 3 : 3 seconds; Lane 4 : 180 seconds.

All lanes:

Western blot - Anti-Pentraxin 3/PTX3 antibody [MNB1] - BSA and Azide free (<a href='/en-us/products/primary-antibodies/pentraxin-3-ptx3-antibody-mnb1-bsa-and-azide-free-ab264487'>ab264487</a>) at 1/1000 dilution

Lane 1:

MDA-MB-231 (human breast adenocarcinoma epithelial cell), whole cell lysate at 20 µg

Lane 2:

Mouse placenta tissue lysate at 20 µg

Lane 3:

Rat placenta tissue lysate at 20 µg

Lane 4:

3T3-L1 (mouse embryonic fibroblast), whole cell lysate at 20 µg

Secondary

All lanes:

Western blot - Goat Anti-Rat IgG H&L (HRP) (ab205720) at 1/5000 dilution

Predicted band size: 41 kDa

false

Western blot - Goat Anti-Rat IgG H&L (HRP) (AB205720)
  • WB

Lab

Western blot - Goat Anti-Rat IgG H&L (HRP) (AB205720)

This data was developed using ab90806, the same antibody clone in a different buffer formulation.

The expression profile observed is consistent with what has been described in the literature (PMID : 17389238).

Blocking/Dilution buffer : 5% NFDM/TBST.

All lanes:

Western blot - Anti-Pentraxin 3/PTX3 antibody [MNB1] - BSA and Azide free (<a href='/en-us/products/primary-antibodies/pentraxin-3-ptx3-antibody-mnb1-bsa-and-azide-free-ab264487'>ab264487</a>) at 1/1000 dilution

Lane 1:

Untreated HUVEC (human umbilical vein endothelial cell) whole cell lysate at 20 µg

Lane 2:

HUVEC treated with 0.5ug/ml Lipopolysaccharides(LPS) for 4 hours and then added 300 ng/ml Brefeldin A for another 20 hours, whole cell lysate at 20 µg

Secondary

All lanes:

Western blot - Goat Anti-Rat IgG H&L (HRP) (ab205720) at 1/5000 dilution

Predicted band size: 41 kDa

false

Exposure time: 15s

Western blot - Goat Anti-Rat IgG H&L (HRP) (AB205720)
  • WB

Lab

Western blot - Goat Anti-Rat IgG H&L (HRP) (AB205720)

Samples are non-boiled as boiling may cause protein aggregates.

Exposure times : Lane 1 : 15 secs; Lane 2 : 92 secs.

Blocking/Dilution buffer : 5% NFDM/TBST.

This data was developed using the same antibody clone in a different buffer formulation containing PBS, BSA, glycerol, and sodium azide (ab252814).

All lanes:

Western blot - Anti-Amyloid Precursor Protein antibody [14D6] (<a href='/en-us/products/primary-antibodies/amyloid-precursor-protein-antibody-14d6-ab252814'>ab252814</a>) at 2.308 µg/mL

Lane 1:

Human hippocampus tissue lysate at 40 µg

Lane 2:

Rat hippocampus tissue lysate at 40 µg

Secondary

All lanes:

Western blot - Goat Anti-Rat IgG H&L (HRP) (ab205720) at 1/10000 dilution

Predicted band size: 86 kDa

Observed band size: 95 kDa

false

Western blot - Goat Anti-Rat IgG H&L (HRP) (AB205720)
  • WB

Supplier Data

Western blot - Goat Anti-Rat IgG H&L (HRP) (AB205720)

Blocking/Dilution buffer : 5% NFDM/TBST.

Exposure time : 5 secs.

The negative control and the molecular weight of HCN1 observed is consistent with what has been described in the literature (PMID : 12786975).

This data was developed using the same antibody clone in a different buffer formulation containing PBS, BSA, glycerol, and sodium azide (ab252835).

All lanes:

Western blot - Anti-HCN1 antibody [7C3] (<a href='/en-us/products/primary-antibodies/hcn1-antibody-7c3-ab252835'>ab252835</a>) at 0.326 µg/mL

Lane 1:

Human brain tissue lysate at 20 µg

Lane 2:

HEK-293 (human embryonic kidney epithelial cell) whole cell lysate at 20 µg

Secondary

All lanes:

Western blot - Goat Anti-Rat IgG H&L (HRP) (ab205720) at 1/10000 dilution

Predicted band size: 99 kDa

false

Exposure time: 5s

Western blot - Goat Anti-Rat IgG H&L (HRP) (AB205720)
  • WB

Lab

Western blot - Goat Anti-Rat IgG H&L (HRP) (AB205720)

Blocking and diluting buffer and concentration : 5% NFDM/TBST

ab181602 was used as a GAPDH loading control at a 1/200000 dilution.

In Western blot, anti-CBX1 antibody ab10811 was shown to bind specifically to CBX1. Target of interest was observed at 21kDa in wild-type HAP1 cell lysates (lane 1) with no signal observed at this size in CBX1 knockout cell line (lane 2).

All lanes:

Western blot - Anti-CBX1 / HP1 beta antibody [MAC353] (<a href='/en-us/products/primary-antibodies/cbx1-hp1-beta-antibody-mac353-ab10811'>ab10811</a>) at 1/1000 dilution

Lane 1:

Wild-type HAP1 (human chronic myelogenous leukemia near-haploid cell) whole cell lysate at 20 µg

Lane 2:

CBX1 knockout HAP1 whole cell lysate at 20 µg

Lane 3:

MCF7 (human breast adenocarcinoma epithelial cell) whole cell lysate at 20 µg

Secondary

All lanes:

Western blot - Goat Anti-Rat IgG H&L (HRP) (ab205720) at 1/10000 dilution

Observed band size: 21 kDa

false

Exposure time: 81s

Western blot - Goat Anti-Rat IgG H&L (HRP) (AB205720)
  • WB

Supplier Data

Western blot - Goat Anti-Rat IgG H&L (HRP) (AB205720)

Blocking and diluting buffer and concentration : 5% NFDM/TBST. Low expression : SW480 and colo 205 (PMID : 31000598). Samples are non-boiled as boiling may cause protein aggregation. The expression profile observed is consistent with what has been described in the literature ( PMID : 32188872). Exposure time : 26 seconds

All lanes:

Western blot - Anti-xCT antibody [3A12] (<a href='/en-us/products/primary-antibodies/xct-antibody-3a12-ab300667'>ab300667</a>) at 1/1000 dilution

Lane 1:

A549 (human lung carcinoma epithelial cell), whole cell lysate at 20 µg

Lane 2:

HepG2 (human hepatocellular carcinoma epithelial cell), whole cell lysate at 20 µg

Lane 3:

HeLa (human cervix adenocarcinoma epithelial cell), whole cell lysate at 20 µg

Lane 4:

SW480 (human colorectal adenocarcinoma epithelial cell), whole cell lysate at 20 µg

Lane 5:

COLO 205 (human colon; derived from metastatic site: ascites epithelial), whole cell lysate at 20 µg

Secondary

All lanes:

Western blot - Goat Anti-Rat IgG H&L (HRP) (ab205720) at 1/10000 dilution

Observed band size: 55 kDa,35 kDa

false

Exposure time: 26s

Western blot - Goat Anti-Rat IgG H&L (HRP) (AB205720)
  • WB

Supplier Data

Western blot - Goat Anti-Rat IgG H&L (HRP) (AB205720)

The expression profile observed is consistent with what has been described in the literature (PMID : 19079332)

Blocking/diluting buffer and concentration : 5% NFDM/TBST

All lanes:

Western blot - Anti-GBP1 antibody [1B1] (<a href='/en-us/products/primary-antibodies/gbp1-antibody-1b1-ab252832'>ab252832</a>) at 1/1000 dilution

Lane 1:

Untreated HeLa (human cervix adenocarcinoma epithelial cell), whole cell lysate at 10 µg

Lane 2:

HeLa treated with 100U/ml IFN gamma (<a href='/en-us/products/proteins-peptides/recombinant-human-interferon-gamma-protein-active-ab9659'>ab9659</a>) for 24 hours, whole cell lysate at 10 µg

Secondary

All lanes:

Western blot - Goat Anti-Rat IgG H&L (HRP) (ab205720) at 1/5000 dilution

Predicted band size: 68 kDa

Observed band size: 67 kDa

false

Exposure time: 3s

Western blot - Goat Anti-Rat IgG H&L (HRP) (AB205720)
  • WB

Lab

Western blot - Goat Anti-Rat IgG H&L (HRP) (AB205720)

Blocking/Dilution buffer : 5% NFDM/TBST.

This data was developed using the same antibody clone in a different buffer formulation containing PBS, BSA, glycerol, and sodium azide (ab252838).

All lanes:

Western blot - Anti-ING5 antibody [7A11] (<a href='/en-us/products/primary-antibodies/ing5-antibody-7a11-ab252838'>ab252838</a>) at 0.66 µg/mL

Lane 1:

Jurkat cytoplasmic fraction at 10 µg

Lane 2:

Jurkat nuclear fraction at 10 µg

Secondary

All lanes:

Western blot - Goat Anti-Rat IgG H&L (HRP) (ab205720) at 1/10000 dilution

Predicted band size: 28 kDa

Observed band size: 28 kDa

false

Exposure time: 3s

Western blot - Goat Anti-Rat IgG H&L (HRP) (AB205720)
  • WB

Supplier Data

Western blot - Goat Anti-Rat IgG H&L (HRP) (AB205720)

This data was produced using the same clone but in a different buffer, ab243140.

Blocking/Dilution buffer : 5% NFDM/TBST.

All lanes:

Western blot - Anti-Bax antibody [21C10] (<a href='/en-us/products/primary-antibodies/bax-antibody-21c10-ab243140'>ab243140</a>) at 1/5000 dilution

Lane 1:

HuT-78 (human Sezary syndrome cutaneous T lymphocyte), whole cell lysate at 20 µg

Lane 2:

HEK-293T (human embryonic kidney epithelial cell), whole cell lysate at 20 µg

Lane 3:

Raji (human Burkitt's lymphoma B lymphocyte), whole cell lysate at 20 µg

Lane 4:

HeLa (human cervix adenocarcinoma epithelial cell ), whole cell lysate at 20 µg

Secondary

All lanes:

Western blot - Goat Anti-Rat IgG H&L (HRP) (ab205720) at 1/5000 dilution

Predicted band size: 21 kDa

false

Exposure time: 1s

Western blot - Goat Anti-Rat IgG H&L (HRP) (AB205720)
  • WB

Supplier Data

Western blot - Goat Anti-Rat IgG H&L (HRP) (AB205720)

The expression molecular weight observed is consistent with what has been described in the literature (PMID : 16785505).

Blocking/diluting buffer and concentration : 5% NFDM/TBST

This data was developed using the same antibody clone in a different buffer formulation containing PBS, BSA, glycerol, and sodium azide (ab243149).

All lanes:

Western blot - Anti-TCF12 antibody [7B3] (<a href='/en-us/products/primary-antibodies/tcf12-antibody-7b3-ab243149'>ab243149</a>) at 0.394 µg/mL

Lane 1:

HeLa (human cervix adenocarcinoma epithelial cell), whole cell lysate at 20 µg

Lane 2:

SW620 (human colorectal adenocarcinoma epithelial cell), whole cell lysate at 20 µg

Lane 3:

Raji (human Burkitt’s lymphoma B lymphocyte), whole cell lysate at 20 µg

Lane 4:

Jurkat (human T cell leukemia T lymphocyte), whole cell lysate at 20 µg

Lane 5:

WEHI-231 (mouse B cell lymphoma B lymphocyte), whole cell lysate at 20 µg

Secondary

All lanes:

Western blot - Goat Anti-Rat IgG H&L (HRP) (ab205720) at 1/5000 dilution

Predicted band size: 72 kDa

Observed band size: 92 kDa

false

Western blot - Goat Anti-Rat IgG H&L (HRP) (AB205720)
  • WB

Supplier Data

Western blot - Goat Anti-Rat IgG H&L (HRP) (AB205720)

All lanes:

Western blot - Anti-SI-CLP antibody [1B8] (<a href='/en-us/products/primary-antibodies/si-clp-antibody-1b8-ab305176'>ab305176</a>) at 1/1000 dilution

Lane 1:

Mouse spleen lysate at 20 µg

Lane 2:

Raji (human Burkitts lymphoma B lymphocyte), whole cell lysate at 20 µg

Lane 3:

THP-1 (human monocytic leukemia monocyte), whole cell lysate at 20 µg

Lane 4:

U937 (human histiocytic lymphoma monocyte), whole cell lysate at 20 µg

Lane 5:

Mouse pancreas lysate at 20 µg

Lane 6:

Mouse testis lysate at 20 µg

Lane 7:

A20 (mouse reticum sarcoma B lymphocyte), whole cell lysate 20 at 20 µg

Lane 8:

EL4 (mouse lymphoma T lymphocyte), whole cell lysate at 20 µg

Lane 9:

EL4.IL-2 (mouse lymphoma T lymphocyte), whole cell lysate at 20 µg

Secondary

All lanes:

Western blot - Goat Anti-Rat IgG H&L (HRP) (ab205720) at 1/10000 dilution

Observed band size: 44 kDa

false

Western blot - Goat Anti-Rat IgG H&L (HRP) (AB205720)
  • WB

Supplier Data

Western blot - Goat Anti-Rat IgG H&L (HRP) (AB205720)

Blocking/Dilution buffer : 5% NFDM/TBST.

Exposure time : 3 mins.

The expression molecular weight observed is consistent with what has been described in the literature (PMID : 19663701).

This blot was developed using a higher sensitivity ECL substrate.

This data was developed using the same antibody clone in a different buffer formulation containing PBS, BSA, glycerol, and sodium azide (ab252839).

All lanes:

Western blot - Anti-LST1 antibody [7E2] (<a href='/en-us/products/primary-antibodies/lst1-antibody-7e2-ab252839'>ab252839</a>) at 0.432 µg/mL

All lanes:

HEK-293 (human embryonic kidney epithelial cell) lysate at 20 µg

Secondary

All lanes:

Western blot - Goat Anti-Rat IgG H&L (HRP) (ab205720) at 1/100000 dilution

Predicted band size: 11 kDa

true

Exposure time: 3min

Western blot - Goat Anti-Rat IgG H&L (HRP) (AB205720)
  • WB

Supplier Data

Western blot - Goat Anti-Rat IgG H&L (HRP) (AB205720)

Blocking/Dilution buffer : 5% NFDM/TBST.

Exposure time : 15 secs.

This data was developed using the same antibody clone in a different buffer formulation containing PBS, BSA, glycerol, and sodium azide (ab252829).

All lanes:

Western blot - Anti-EWSR1/EWS antibody [21B1] (<a href='/en-us/products/primary-antibodies/ewsr1-ews-antibody-21b1-ab252829'>ab252829</a>) at 0.361 µg/mL

Lane 1:

K562 (human chronic myelogenous leukemia lymphoblast), whole cell lysate at 20 µg

Lane 2:

HeLa (human cervix adenocarcinoma epithelial cell), whole cell lysate at 20 µg

Lane 3:

Ramos (human Burkitt's lymphoma B lymphocyte), whole cell lysate at 20 µg

Lane 4:

F9 (mouse embryonal carcinoma epithelial cell), whole cell lysate at 20 µg

Secondary

All lanes:

Western blot - Goat Anti-Rat IgG H&L (HRP) (ab205720) at 1/5000 dilution

Predicted band size: 68 kDa

false

Exposure time: 15s

Western blot - Goat Anti-Rat IgG H&L (HRP) (AB205720)
  • WB

Lab

Western blot - Goat Anti-Rat IgG H&L (HRP) (AB205720)

Blocking/Dilution buffer : 5% NFDM/TBST.

This image was produced using the same antibody clone but in a different formulation ab252825, PBS, sodium azide, glycerol and BSA.

All lanes:

Western blot - Anti-Dnmt1 antibody [2C1] (<a href='/en-us/products/primary-antibodies/dnmt1-antibody-2c1-ab252825'>ab252825</a>) at 0.353 µg/mL

Lane 1:

NCI-H1299 (human lung carcinoma epithelial cell), whole cell lysate at 20 µg

Lane 2:

HEK-293 (human embryonic kidney epithelial cell), whole cell lysate at 20 µg

Lane 3:

HeLa (human cervix adenocarcinoma epithelial cell), whole cell lysate at 20 µg

Lane 4:

Jurkat (human T cell leukemia T lymphocyte), whole cell lysate at 20 µg

Lane 5:

HepG2 (human hepatocellular carcinoma epithelial cell), whole cell lysate at 20 µg

Secondary

All lanes:

Western blot - Goat Anti-Rat IgG H&L (HRP) (ab205720) at 1/100000 dilution

Predicted band size: 183 kDa

false

Exposure time: 1s

Western blot - Goat Anti-Rat IgG H&L (HRP) (AB205720)
  • WB

Lab

Western blot - Goat Anti-Rat IgG H&L (HRP) (AB205720)

Blocking and diluting buffer and concentration : 5% NFDM/TBST.

Negative control : K562 (PMID : 27217538).

Exposure time : 59 seconds.

This data was developed using the same antibody clone in a different buffer formulation containing PBS, BSA, glycerol, and sodium azide (ab252813).

All lanes:

Western blot - Anti-AICDA antibody [5G9] (<a href='/en-us/products/primary-antibodies/aicda-antibody-5g9-ab252813'>ab252813</a>) at 1.264 µg/mL

Lane 1:

NAMALWA (human Burkitts lymphoma B lymphocyte), whole cell lysate at 10 µg

Lane 2:

Raji (human Burkitts lymphoma B lymphocyte), whole cell lysate at 10 µg

Lane 3:

K562 (human chronic myelogenous leukemia lymphoblast), whole cell lysate at 10 µg

Lane 4:

WEHI-231 (mouse B cell lymphoma B lymphocyte), whole cell lysate at 10 µg

Secondary

All lanes:

Western blot - Goat Anti-Rat IgG H&L (HRP) (ab205720) at 1/2000 dilution

Predicted band size: 23 kDa

Observed band size: 23 kDa

false

Western blot - Goat Anti-Rat IgG H&L (HRP) (AB205720)
  • WB

Supplier Data

Western blot - Goat Anti-Rat IgG H&L (HRP) (AB205720)

All lanes:

Western blot - Anti-SI-CLP antibody [1B8] (<a href='/en-us/products/primary-antibodies/si-clp-antibody-1b8-ab305176'>ab305176</a>) at 1/1000 dilution

Lane 1:

THP-1 (human monocytic leukemia monocyte) transfected with scrambled siRNA control, whole cell lysate at 20 µg

Lane 2:

THP-1 transfected with siRNA specifically targeti SI-CLP, whole cell lysate at 20 µg

Secondary

All lanes:

Western blot - Goat Anti-Rat IgG H&L (HRP) (ab205720) at 1/10000 dilution

Observed band size: 44 kDa

false

Exposure time: 62s

Western blot - Goat Anti-Rat IgG H&L (HRP) (AB205720)
  • WB

Supplier Data

Western blot - Goat Anti-Rat IgG H&L (HRP) (AB205720)

Blocking buffer : 5% NFDM/TBST

Exposure time : 5 seconds

All lanes:

Western blot - Anti-RPA32/RPA2 antibody [4E4] (<a href='/en-us/products/primary-antibodies/rpa32-rpa2-antibody-4e4-ab252861'>ab252861</a>) at 1/1000 dilution

Lane 1:

Human brain tissue lysate at 20 µg

Lane 2:

Human heart tissue lysate at 20 µg

Secondary

All lanes:

Western blot - Goat Anti-Rat IgG H&L (HRP) (ab205720) at 1/5000 dilution

Predicted band size: 29 kDa

false

Western blot - Goat Anti-Rat IgG H&L (HRP) (AB205720)
  • WB

Supplier Data

Western blot - Goat Anti-Rat IgG H&L (HRP) (AB205720)

This data was developed using the same antibody clone in a different buffer formulation containing PBS, BSA, Glycerol and sodium azide (ab50610).

Blocking/Dilution buffer : 5% NFDM.

The molecular weight observed is consistent with what has been described in the literature (PMID : 17442773).

This blot was developed using a higher sensitivity ECL substrate.

All lanes:

Western blot - Anti-NUP98 antibody [2H10] - BSA and Azide free (<a href='/en-us/products/primary-antibodies/nup98-antibody-2h10-bsa-and-azide-free-ab252256'>ab252256</a>) at 1/1000 dilution

Lane 1:

HeLa (human cervix adenocarcinoma epithelial cell), whole cell lysate at 20 µg

Lane 2:

SH-SY5Y (human neuroblastoma epithelial cell), whole cell lysate at 20 µg

Secondary

All lanes:

Western blot - Goat Anti-Rat IgG H&L (HRP) (ab205720) at 1/50000 dilution

Predicted band size: 198 kDa

false

Exposure time: 3min

Western blot - Goat Anti-Rat IgG H&L (HRP) (AB205720)
  • WB

Lab

Western blot - Goat Anti-Rat IgG H&L (HRP) (AB205720)

Blocking/Dilution buffer : 5% NFDM/TBST.

The expression profile/ molecular weight observed is consistent with what has been described in the literature (PMID : 11893590 and PMID : 10642500).

This data was developed using the same antibody clone in a different buffer formulation containing PBS, BSA, glycerol, and sodium azide (ab252868).

All lanes:

Western blot - Anti-Serum Response Factor SRF antibody [2C5] (<a href='/en-us/products/primary-antibodies/serum-response-factor-srf-antibody-2c5-ab252868'>ab252868</a>) at 1.082 µg/mL

Lane 1:

HeLa (human cervix adenocarcinoma epithelial cell), whole cell lysate at 10 µg

Lane 2:

HEK-293 (human embryonic kidney epithelial cell), whole cell lysate at 10 µg

Lane 3:

K562 (human chronic myelogenous leukemia lymphoblast), whole cell lysate at 10 µg

Lane 4:

C2C12 (mouse myoblasts myoblast), whole cell lysate at 10 µg

Secondary

All lanes:

Western blot - Goat Anti-Rat IgG H&L (HRP) (ab205720) at 1/5000 dilution

Predicted band size: 52 kDa

Observed band size: 52 kDa,57 kDa,67 kDa

false

Exposure time: 20s

Western blot - Goat Anti-Rat IgG H&L (HRP) (AB205720)
  • WB

Supplier Data

Western blot - Goat Anti-Rat IgG H&L (HRP) (AB205720)

Blocking/Dilution buffer : 5% NFDM/TBST.

Exposure times : Lanes 1-3 : 5 secs; Lanes 4/5/7 : 3 secs; Lane 6 : 15 secs.

This data was developed using the same antibody clone in a different buffer formulation containing PBS, BSA, glycerol, and sodium azide (abab243142).

All lanes:

Western blot - Anti-MLKL antibody [3H1] (<a href='/en-us/products/primary-antibodies/mlkl-antibody-3h1-ab243142'>ab243142</a>) at 1/2000 dilution

Lane 1:

HUVEC (human umbilical vein endothelial cell), whole cell lysate at 10 µg

Lane 2:

HT-29 (human colorectal adenocarcinoma epithelial cell), whole cell lysate at 10 µg

Lane 3:

HeLa (human cervix adenocarcinoma epithelial cell), whole cell lysate at 10 µg

Lane 4:

C6 (rat glial tumor glial cell), whole cell lysate at 10 µg

Lane 5:

RAW264.7 (mouse Abelson murine leukemia virus-induced tumor macrophage), whole cell lysate at 10 µg

Lane 6:

PC-12 (rat adrenal gland pheochromocytoma), whole cell lysate at 10 µg

Lane 7:

NIH/3T3 (mouse embryonic fibroblast), whole cell lysate at 10 µg

Secondary

All lanes:

Western blot - Goat Anti-Rat IgG H&L (HRP) (ab205720) at 1/2000 dilution

Predicted band size: 54 kDa

false

Key facts

Host species

Goat

Target species

Rat

Target isotype

IgG

Target specificity

Heavy & Light chains

Minimal cross-reactivity
Pre-adsorbed

No

Conjugation

HRP

Excitation/Emission
Applications

ELISA, IP, WB, IHC-P

applications

Clonality

Polyclonal

Isotype

IgG

Specificity

The antibody used for conjugation reacts with rat immunoglobulins of all classes. Cross-reactions as determined by ELISA for the unconjugated antibody (ab182018): Chicken IgY, rabbit IgG and human IgG, less than 2%. Mouse IgG, less than 7%.

Reactivity data

{ "title": "Reactivity Data", "filters": { "stats": ["", "Reactivity", "Dilution Info", "Notes"] }, "values": { "ELISA": { "reactivity":"TESTED_AND_REACTS", "dilution-info":"", "notes":"<p></p>" }, "IP": { "reactivity":"TESTED_AND_REACTS", "dilution-info":"", "notes":"<p></p>" }, "WB": { "reactivity":"TESTED_AND_REACTS", "dilution-info":"1/2000 - 1/20000", "notes":"<p></p>" }, "IHC-P": { "reactivity":"TESTED_AND_REACTS", "dilution-info":"1/1000 - 1/10000", "notes":"<p></p>" } } }

Properties and storage information

Form
Liquid
Purification technique
Affinity purification Immunogen
Purification notes
This antibody was isolated by affinity chromatography using antigen coupled to agarose beads and conjugated to Horse Radish Peroxidase (HRP).
Storage buffer
pH: 7.4 Preservative: 0.1% Proclin 300 Solution Constituents: PBS, 30% Glycerol (glycerin, glycerine), 1% BSA
Shipped at conditions
Blue Ice
Appropriate short-term storage duration
1-2 weeks
Appropriate short-term storage conditions
+4°C
Appropriate long-term storage conditions
-20°C
Aliquoting information
Upon delivery aliquot
Storage information
Avoid freeze / thaw cycle|Store in the dark

Product protocols

Publications (27)

Recent publications for all applications. Explore the full list and refine your search

Journal of cell communication and signaling 19:e70050 PubMed41050264

2025

Iron enhances reactive oxygen species generation and initiates neutrophil extracellular traps formation on the endothelium to exacerbate stroke.

Applications

Unspecified application

Species

Unspecified reactive species

Weijian Fan,Zebin Fang,Yuxiang Weng,Tianxiang Zhan,Kaiyuan Huang,Jianwei Pan,Renya Zhan

Journal of nanobiotechnology 23:328 PubMed40319298

2025

Insulin/PHMB-grafted sodium alginate hydrogels improve infected wound healing by antibacterial-prompted macrophage inflammatory regulation.

Applications

Unspecified application

Species

Unspecified reactive species

Dan Liu,Tianyi Yu,Shan Ma,Lefeng Su,Shan Zhong,Wenao Wang,Yang Liu,Jia-Ao Yu,Min Gao,Yunsheng Chen,He Xu,Yan Liu

Advanced nanobiomed research 4:2300092 PubMed39554690

2024

Shortwave-Infrared-Emitting Nanoprobes for CD8 Targeting and In Vivo Imaging of Cytotoxic T Cells in Breast Cancer.

Applications

Unspecified application

Species

Unspecified reactive species

Jay V Shah,Jake N Siebert,Xinyu Zhao,Shuqing He,Richard E Riman,Mei Chee Tan,Mark C Pierce,Edmund C Lattime,Vidya Ganapathy,Prabhas V Moghe

Journal for immunotherapy of cancer 12: PubMed39067872

2024

POSTN cancer-associated fibroblasts determine the efficacy of immunotherapy in hepatocellular carcinoma.

Applications

Unspecified application

Species

Unspecified reactive species

Hao Wang,Yuan Liang,Zheng Liu,Rui Zhang,Jiashuo Chao,Mingming Wang,Mu Liu,Lei Qiao,Zhengfeng Xuan,Haitao Zhao,Ling Lu

Vaccines 12: PubMed38675767

2024

A Quadrivalent mRNA Immunization Elicits Potent Immune Responses against Multiple Orthopoxviral Antigens and Neutralization of Monkeypox Virus in Rodent Models.

Applications

Unspecified application

Species

Unspecified reactive species

Caixia Su,Sha Li,Yang Wen,Xiya Geng,Quanyi Yin,Yun Wang,Yelin Xiong,Zhihua Liu

Pharmaceutics 16: PubMed38675210

2024

Early Detection of Myeloid-Derived Suppressor Cells in the Lung Pre-Metastatic Niche by Shortwave Infrared Nanoprobes.

Applications

Unspecified application

Species

Unspecified reactive species

Jake N Siebert,Jay V Shah,Mei Chee Tan,Richard E Riman,Mark C Pierce,Edmund C Lattime,Vidya Ganapathy,Prabhas V Moghe

Experimental and therapeutic medicine 27:86 PubMed38274338

2024

HIF‑1 and macrophage activation signalling pathways are potential biomarkers of invasive aspergillosis.

Applications

Unspecified application

Species

Unspecified reactive species

Min Wang,Yuling Hu,Feng Cai,Jiayong Qiu,Yimin Mao,Yingmin Zhang

Scientific reports 14:1177 PubMed38216632

2024

Early involvement of peripherally derived monocytes in inflammation in an NMO-like mouse model.

Applications

Unspecified application

Species

Unspecified reactive species

Moonhang Kim,Won Seok Kim,Hyeuk Cha,Boram Kim,Young Nam Kwon,Sung Min Kim

Frontiers in pharmacology 14:1271435 PubMed38026973

2023

Cathepsin V regulates cell cycle progression and histone stability in the nucleus of breast cancer cells.

Applications

Unspecified application

Species

Unspecified reactive species

Naphannop Sereesongsaeng,James F Burrows,Christopher J Scott,Klaudia Brix,Roberta E Burden

Open veterinary journal 13:1150-1166 PubMed37842106

2023

Inflammatory cell responses in biliary mucosa during infection: Insights into susceptibility differences among hosts.

Applications

Unspecified application

Species

Unspecified reactive species

Theerayut Thongrin,Watcharapol Suyapoh,WoroDanur Wendo,Prasarn Tangkawattana,Peerapol Sukon,Kanin Salao,Sutas Suttiprapa,Prasert Saichua,Sirikachorn Tangkawatana
View all publications

Product promise

We are committed to supporting your work with high-quality reagents, and we're here for you every step of the way. In the unlikely event that one of our products does not perform as expected, you're protected by our Product Promise.
For full details, please see our Terms & Conditions

Please note: All products are 'FOR RESEARCH USE ONLY. NOT FOR USE IN DIAGNOSTIC OR THERAPEUTIC PROCEDURES'.

For licensing inquiries, please contact partnerships@abcam.com