JavaScript is disabled in your browser. Please enable JavaScript to view this website.
AB214882

Goat Anti-Rat IgG H&L (HRP polymer)

5

(4 Reviews)

|

(10 Publications)

Goat Anti-Rat IgG H&L (HRP polymer) is a secondary antibody that is ideal for tissue imaging. Suitable for IHC and more.

- Reacts with heavy (gamma) chains on rat IgG, light chains on all rat immunoglobulins
- No cross-reactivity is observed to non-immunoglobulin rat serum proteins, IgG from human or mouse

View Alternative Names

Ig gamma-1 chain C region

11 Images
Immunohistochemistry (Formalin/PFA-fixed paraffin-embedded sections) - Goat Anti-Rat IgG H&L (HRP polymer) (AB214882)
  • IHC-P

Supplier Data

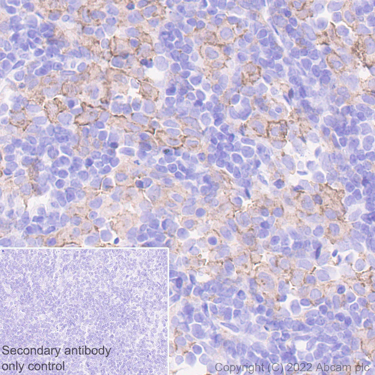
Immunohistochemistry (Formalin/PFA-fixed paraffin-embedded sections) - Goat Anti-Rat IgG H&L (HRP polymer) (AB214882)

Immunohistochemical analysis of paraffin-embedded Human Hodgkin's lymphoma tissue labeling CCXCR1/XCR1 with ab317578 at 1/100 (8.79 ug/ml) dilution, followed by a ready to use Goat Anti-Rat IgG H&L (HRP polymer) (ab214882).

Positive staining on human Hodgkin's lymphoma.
The section was incubated with ab317578 for 30 mins at room temperature.
The immunostaining was performed on a Leica Biosystems BOND® RX instrument

Counterstained with Hematoxylin.

Secondary antibody only control : Secondary antibody is a ready to use Goat Anti-Rat IgG H&L (HRP polymer) (ab214882).

Heat mediated antigen retrieval was performed with Tris-EDTA buffer (pH 9.0, Epitope Retrieval Solution2) for 20 mins

Immunohistochemistry (Formalin/PFA-fixed paraffin-embedded sections) - Goat Anti-Rat IgG H&L (HRP polymer) (AB214882)
  • IHC-P

Lab

Immunohistochemistry (Formalin/PFA-fixed paraffin-embedded sections) - Goat Anti-Rat IgG H&L (HRP polymer) (AB214882)

Immunohistochemical analysis of paraffin-embedded human corpus striatum labeling Dopamine Receptor D1 with ab256555 at 1/500 dilution (2.174 µg/ml). The section was incubated with ab256555 at 4℃ overnight followed by a ready to use Goat Anti-Rat IgG H&L (HRP polymer) secondary antibody (ab214882). Positive staining in human corpus striatum was observed. Counterstained with Hematoxylin. Heat mediated antigen retrieval using ab93684 (Tris/EDTA buffer, pH 9.0)

Immunohistochemistry (Formalin/PFA-fixed paraffin-embedded sections) - Goat Anti-Rat IgG H&L (HRP polymer) (AB214882)
  • IHC-P

Supplier Data

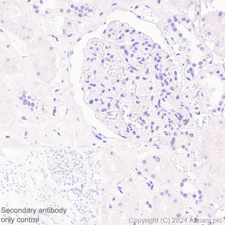
Immunohistochemistry (Formalin/PFA-fixed paraffin-embedded sections) - Goat Anti-Rat IgG H&L (HRP polymer) (AB214882)

Immunohistochemical analysis of paraffin-embedded Human kidney tissue labeling CCXCR1/XCR1 with ab317578 at 1/100 (8.79 ug/ml) dilution, followed by a ready to use Goat Anti-Rat IgG H&L (HRP polymer) (ab214882).

Negative control : No staining on human kidney.
The section was incubated with ab317578 for 30 mins at room temperature.
The immunostaining was performed on a Leica Biosystems BOND® RX instrument

Counterstained with Hematoxylin.

Secondary antibody only control : Secondary antibody is a ready to use Goat Anti-Rat IgG H&L (HRP polymer) (ab214882).

Heat mediated antigen retrieval was performed with Tris-EDTA buffer (pH 9.0, Epitope Retrieval Solution2) for 20 mins

Immunohistochemistry (Formalin/PFA-fixed paraffin-embedded sections) - Goat Anti-Rat IgG H&L (HRP polymer) (AB214882)
  • IHC-P

Supplier Data

Immunohistochemistry (Formalin/PFA-fixed paraffin-embedded sections) - Goat Anti-Rat IgG H&L (HRP polymer) (AB214882)

Immunohistochemical analysis of paraffin-embedded Human skeletal muscle tissue labeling CCXCR1/XCR1 with ab317578 at 1/100 (8.79 ug/ml) dilution, followed by a ready to use Goat Anti-Rat IgG H&L (HRP polymer) (ab214882).

Negative control : No staining on human skeletal muscle.
The section was incubated with ab317578 for 30 mins at room temperature.
The immunostaining was performed on a Leica Biosystems BOND® RX instrument

Counterstained with Hematoxylin.

Secondary antibody only control : Secondary antibody is a ready to use Goat Anti-Rat IgG H&L (HRP polymer) (ab214882).

Heat mediated antigen retrieval was performed with Tris-EDTA buffer (pH 9.0, Epitope Retrieval Solution2) for 20 mins

Immunohistochemistry (Formalin/PFA-fixed paraffin-embedded sections) - Goat Anti-Rat IgG H&L (HRP polymer) (AB214882)
  • IHC-P

Lab

Immunohistochemistry (Formalin/PFA-fixed paraffin-embedded sections) - Goat Anti-Rat IgG H&L (HRP polymer) (AB214882)

Immunohistochemical analysis of paraffin-embedded human corpus striatum labeling Dopamine Receptor D1 with ab256555 at 1/500 dilution (2.174 µg/ml). The section was incubated with ab256555 at 4℃ overnight followed by a ready to use Goat Anti-Rat IgG H&L (HRP polymer) secondary antibody (ab214882). Positive staining in human corpus striatum was observed. Counterstained with Hematoxylin. Heat mediated antigen retrieval using ab93684 (Tris/EDTA buffer, pH 9.0)

Immunohistochemistry (Formalin/PFA-fixed paraffin-embedded sections) - Goat Anti-Rat IgG H&L (HRP polymer) (AB214882)
  • IHC-P

Supplier Data

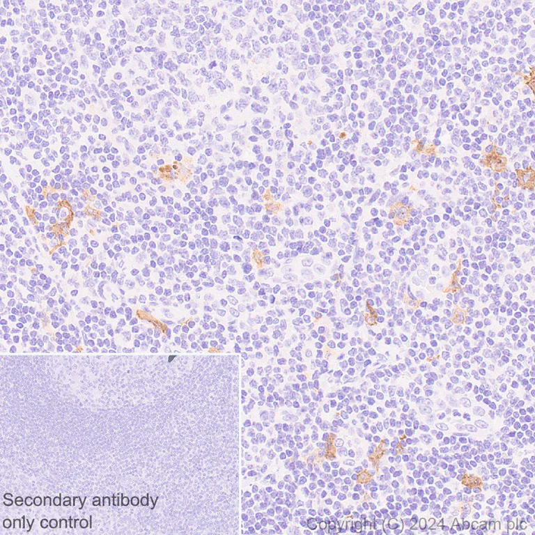
Immunohistochemistry (Formalin/PFA-fixed paraffin-embedded sections) - Goat Anti-Rat IgG H&L (HRP polymer) (AB214882)

Immunohistochemical analysis of paraffin-embedded Human tonsil tissue labeling CCXCR1/XCR1 with ab317578 at 1/100 (8.79 ug/ml) dilution, followed by a ready to use Goat Anti-Rat IgG H&L (HRP polymer) (ab214882).

Positive staining on human tonisl.
The section was incubated with ab317578 for 30 mins at room temperature.
The immunostaining was performed on a Leica Biosystems BOND® RX instrument

Counterstained with Hematoxylin.

Secondary antibody only control : Secondary antibody is a ready to use Goat Anti-Rat IgG H&L (HRP polymer) (ab214882).

Heat mediated antigen retrieval was performed with Tris-EDTA buffer (pH 9.0, Epitope Retrieval Solution2) for 20 mins

Immunohistochemistry (Formalin/PFA-fixed paraffin-embedded sections) - Goat Anti-Rat IgG H&L (HRP polymer) (AB214882)
  • IHC-P

Lab

Immunohistochemistry (Formalin/PFA-fixed paraffin-embedded sections) - Goat Anti-Rat IgG H&L (HRP polymer) (AB214882)

Immunohistochemical analysis of paraffin-embedded mouse brain labeling Dopamine Receptor D1 with anti dopamine receptor d1 antibody 11f11 se6 ihcp mouse cerebrumat 1/500 dilution (2.174 µg/ml). The section was incubated with ab256555 at 4℃ overnight followed by a ready to use Goat Anti-Rat IgG H&L (HRP polymer) secondary antibody (ab214882). Positive staining in corpus striatum of mouse brain was observed. Counterstained with Hematoxylin. Heat mediated antigen retrieval using ab93684 (Tris/EDTA buffer, pH 9.0)

Immunohistochemistry (Formalin/PFA-fixed paraffin-embedded sections) - Goat Anti-Rat IgG H&L (HRP polymer) (AB214882)
  • IHC-P

Lab

Immunohistochemistry (Formalin/PFA-fixed paraffin-embedded sections) - Goat Anti-Rat IgG H&L (HRP polymer) (AB214882)

Immunohistochemical analysis of paraffin-embedded mouse corpus striatum labeling Dopamine Receptor D1 with ab256555 at 1/500 dilution (2.174 µg/ml). The section was incubated with ab256555 at 4℃ overnight followed by a ready to use Goat Anti-Rat IgG H&L (HRP polymer) secondary antibody (ab214882). Positive staining in mouse corpus striatum was observed. Counterstained with Hematoxylin. Heat mediated antigen retrieval using ab93684 (Tris/EDTA buffer, pH 9.0)

Immunohistochemistry (Formalin/PFA-fixed paraffin-embedded sections) - Goat Anti-Rat IgG H&L (HRP polymer) (AB214882)
  • IHC-P

Lab

Immunohistochemistry (Formalin/PFA-fixed paraffin-embedded sections) - Goat Anti-Rat IgG H&L (HRP polymer) (AB214882)

Immunohistochemical analysis of paraffin-embedded rat corpus striatum labeling Dopamine Receptor D1 with ab256555 at 1/500 dilution (2.174 µg/ml). The section was incubated with ab256555 at 4℃ overnight followed by a ready to use Goat Anti-Rat IgG H&L (HRP polymer) secondary antibody (ab214882). Positive staining in rat corpus striatum was observed. Counterstained with Hematoxylin. Heat mediated antigen retrieval using ab93684 (Tris/EDTA buffer, pH 9.0)

Immunohistochemistry (Formalin/PFA-fixed paraffin-embedded sections) - Goat Anti-Rat IgG H&L (HRP polymer) (AB214882)
  • IHC-P

Lab

Immunohistochemistry (Formalin/PFA-fixed paraffin-embedded sections) - Goat Anti-Rat IgG H&L (HRP polymer) (AB214882)

Immunohistochemistry analysis of paraffin-embedded mouse lymph node tissue section labelling CSF-1-R with ab271294 at 1/200 dilution. The section was incubated with ab271294 at +4°C overnight. Goat Anti-Rat IgG H&L (HRP polymer) (ab214882) was used as the secondary antibody. Sections were counterstained with Hematoxylin. Positive staining on the macrophages in mouse lymph node. Heat mediated antigen retrieval using ab93684 (Tris/EDTA buffer, pH 9.0).

Immunohistochemistry (Formalin/PFA-fixed paraffin-embedded sections) - Goat Anti-Rat IgG H&L (HRP polymer) (AB214882)
  • IHC-P

Supplier Data

Immunohistochemistry (Formalin/PFA-fixed paraffin-embedded sections) - Goat Anti-Rat IgG H&L (HRP polymer) (AB214882)

C57BL/6 mouse spleen stained with 1 μg/ml of rat anti-mouse CD45R/B220 detected using ab214882 Goat Anti-Rat IgG H&L (HRP polymer).

Key facts

Host species

Goat

Target species

Rat

Target isotype

IgG

Target specificity

Heavy & Light chains

Minimal cross-reactivity
Pre-adsorbed

No

Conjugation

HRP polymer

Excitation/Emission
Applications

IHC-P, Ie

applications

Clonality

Polyclonal

Isotype

IgG

Immunogen

The exact immunogen used to generate this antibody is proprietary information.

Specificity

Based on IEP, ab214882 reacts with heavy (gamma) chains on rat IgG, light chains on all rat immunoglobulins. No cross-reactivity is observed to non-immunoglobulin rat serum proteins, IgG from human or mouse.

Reactivity data

{ "title": "Reactivity Data", "filters": { "stats": ["", "Reactivity", "Dilution Info", "Notes"] }, "values": { "IHC-P": { "reactivity":"TESTED_AND_REACTS", "dilution-info":"", "notes":"<p></p>" }, "Ie": { "reactivity":"TESTED_AND_REACTS", "dilution-info":"", "notes":"<p>This product is provided in a pre-diluted, ready-to-use format. Incubate 150 μl per slide for 1 hour.</p>" } } }

Product details

This antibody reacts with the heavy and light chains of Rat IgG

When it comes to advancing your immunohistochemistry (IHC) research, Abcam offers comprehensive suite of IHC kits and secondary antibodies, designed to deliver precise and reliable results.

Properties and storage information

Form
Liquid
Purification technique
Affinity purification
Purification notes
ab214882 was affinity purified using solid phase Rat IgG. Purity >95% by SDS-PAGE.
Storage buffer
Preservative: 0.1% Proclin 300 Constituents: PBS, 1% BSA
Shipped at conditions
Blue Ice
Appropriate short-term storage conditions
+4°C
Appropriate long-term storage conditions
+4°C

Product protocols

Publications (10)

Recent publications for all applications. Explore the full list and refine your search

NPJ vaccines 9:180 PubMed39353958

2024

DNA vaccines against GPRC5D synergize with PD-1 blockade to treat multiple myeloma.

Applications

Unspecified application

Species

Unspecified reactive species

Praveen Neeli,Perry Ayn Mayson A Maza,Dafei Chai,Dan Zhao,Xen Ping Hoi,Keith Syson Chan,Ken H Young,Yong Li

Science immunology 9:eadl1903 PubMed39028828

2024

Cross-talk between ILC2 and Gata3 T locally constrains adaptive type 2 immunity.

Applications

Unspecified application

Species

Unspecified reactive species

Julie Stockis,Thomas Yip,Julia Moreno-Vicente,Oliver Burton,Youhani Samarakoon,Martijn J Schuijs,Shwetha Raghunathan,Celine Garcia,Weike Luo,Sarah K Whiteside,Shaun Png,Charlotte Simpson,Stela Monk,Ashley Sawle,Kelvin Yin,Johanna Barbieri,Panagiotis Papadopoulos,Hannah Wong,Hans-Reimer Rodewald,Timothy Vyse,Andrew N J McKenzie,Mark S Cragg,Matthew Hoare,David R Withers,Hans Jörg Fehling,Rahul Roychoudhuri,Adrian Liston,Timotheus Y F Halim

Frontiers in immunology 13:1017780 PubMed36605208

2022

Attenuated Salmonella potentiate PD-L1 blockade immunotherapy in a preclinical model of colorectal cancer.

Applications

Unspecified application

Species

Unspecified reactive species

Besan H Al-Saafeen,Ashraf Al-Sbiei,Ghada Bashir,Yassir A Mohamed,Razan J Masad,Maria J Fernandez-Cabezudo,Basel K Al-Ramadi

Biomedicines 10: PubMed36009433

2022

Combination of Dexamethasone and Tofacitinib Reduces Xenogeneic MSC-Induced Immune Responses in a Mouse Model of Alzheimer's Disease.

Applications

Unspecified application

Species

Unspecified reactive species

Na Kyung Lee,Su Hyeon Myeong,Jung Won Hwang,Jason K Sa,Hyo Jin Son,Hee Jin Kim,Hyemin Jang,Jong Wook Chang,Duk L Na

Frontiers in pharmacology 13:663855 PubMed35847048

2022

Mitigation of Ionizing Radiation-Induced Gastrointestinal Damage by Insulin-Like Growth Factor-1 in Mice.

Applications

Unspecified application

Species

Unspecified reactive species

Jaroslav Pejchal,Ales Tichy,Adela Kmochova,Lenka Fikejzlova,Klara Kubelkova,Marcela Milanova,Anna Lierova,Alzbeta Filipova,Lubica Muckova,Jana Cizkova

Disease models & mechanisms 15: PubMed35112705

2022

An enriched environment re-establishes metabolic homeostasis by reducing obesity-induced inflammation.

Applications

Unspecified application

Species

Unspecified reactive species

Sol Díaz de León-Guerrero,Jonathan Salazar-León,Karla F Meza-Sosa,David Valle-Garcia,Diana Aguilar-León,Gustavo Pedraza-Alva,Leonor Pérez-Martínez

OncoTargets and therapy 14:3373-3381 PubMed34079283

2021

Efficacy and Safety of Systemic and Locoregional Cisplatin Chronotherapy in Rats with Ovarian Carcinoma.

Applications

Unspecified application

Species

Unspecified reactive species

Galina Kireeva,Ekaterina Gubareva,Mikhail Maydin,Vladislav Osetnik,Stepan Kruglov,Andrey Panchenko,Anastasia Dorofeeva,Margarita Tyndyk,Elena Fedoros,Vladimir Anisimov

Nature communications 11:6364 PubMed33311474

2020

Ubiquitination of RIPK1 regulates its activation mediated by TNFR1 and TLRs signaling in distinct manners.

Applications

Unspecified application

Species

Unspecified reactive species

Xingyan Li,Mengmeng Zhang,Xinyue Huang,Wei Liang,Ganquan Li,Xiaojuan Lu,Yanxia Li,Heling Pan,Linyu Shi,Hong Zhu,Lihui Qian,Bing Shan,Junying Yuan

Molecules (Basel, Switzerland) 25: PubMed33076418

2020

Modeling of Chemoperfusion vs. Intravenous Administration of Cisplatin in Wistar Rats: Adsorption and Tissue Distribution.

Applications

Unspecified application

Species

Unspecified reactive species

Galina Kireeva,Stepan Kruglov,Mikhail Maydin,Ekaterina Gubareva,Elena Fedoros,Ekaterina Zubakina,Natalya Ivanenko,Marina Bezruchko,Nikolay Solovyev

Clinical cancer research : an official journal of 24:2574-2584 PubMed29511029

2018

Toxicity and Efficacy of a Novel GADD34-expressing Oncolytic HSV-1 for the Treatment of Experimental Glioblastoma.

Applications

Unspecified application

Species

Unspecified reactive species

Hiroshi Nakashima,Tran Nguyen,Kazue Kasai,Carmela Passaro,Hirotaka Ito,William F Goins,Imran Shaikh,Ronald Erdelyi,Reiko Nishihara,Ichiro Nakano,David A Reardon,Ana C Anderson,Vijay Kuchroo,E Antonio Chiocca
View all publications

Product promise

We are committed to supporting your work with high-quality reagents, and we're here for you every step of the way. In the unlikely event that one of our products does not perform as expected, you're protected by our Product Promise.
For full details, please see our Terms & Conditions

Please note: All products are 'FOR RESEARCH USE ONLY. NOT FOR USE IN DIAGNOSTIC OR THERAPEUTIC PROCEDURES'.

For licensing inquiries, please contact partnerships@abcam.com