JavaScript is disabled in your browser. Please enable JavaScript to view this website.
AB131368

Anti-mouse IgG for IP (HRP)

3

(3 Reviews)

|

(179 Publications)

Rat anti-mouse IgG (gamma chain-specific) (HRP) (ab131368) a horseradish peroxidase-secondary antibody designed for sensitive chemiluminescent detection in Western blot, IP and ELISA applications.

- Proven performance: cited in over 175 publications

View Alternative Names

Igh-4, Ighg1, Ig gamma-1 chain C region secreted form

37 Images
Western blot - Anti-mouse IgG for IP (HRP) (AB131368)
  • WB

Unknown

Western blot - Anti-mouse IgG for IP (HRP) (AB131368)

IP sample preparation : Caspase 7 was immunoprecipitated from 0.5 ml of 1x107 Jurkat (Human T cell leukemia cell line from peripheral blood) cells/ml with 5 μg mouse anti-human Caspase 7.

WB conditions : Precipitate from 1x106 cells was subjected to electrophoresis, transferred to an PVDF membrane, and immunoblotted with an anti-Caspase 7 antibody.

Detection :
Lane 1 : Detection with anti-mouse IgG for IP secondary antibody (HRP) (ab131368)
Lane 2 : Detection with an HRP-conjugated anti-mouse IgG H&L secondary antibody
Lane 3 : Lane 1 was re-immunoblotted using an HRP-conjugated anti-mouse IgG H&L secondary antibody. The heavy and light-chains can now be seen, confirming that although the immunoprecipitating heavy and light-chains are present, ab131368 detects only native antibody and not denatured heavy and light-chains.

Please note the detection of the heavy and light-chains of the immunoprecipitating antibody in Lane 2 but not in Lane 1.

Secondary

All lanes:

Western blot - Anti-mouse IgG for IP (HRP) (ab131368)

false

Immunoprecipitation - Anti-mouse IgG for IP (HRP) (AB131368)
  • IP

Supplier Data

Immunoprecipitation - Anti-mouse IgG for IP (HRP) (AB131368)

RAB10 was immunoprecipitated from 0.35 mg A549 (human lung carcinoma epithelial cell) whole cell lysate 10 ug with ab307296 at 1/30 dilution (2ug in 0.35mg lysates). Western blot was performed on the immunoprecipitate using ab307296 at 1/1000 dilution. Mouse IgG for IP (HRP) (ab131368) was used at 1/5000 dilution. Lane 1 : A549 (human lung carcinoma epithelial cell) whole cell lysate Lane 2 : ab307296 IP in A549 (human lung carcinoma epithelial cell) whole cell lysate Lane 3 : Mouse IgG2a Isotype control (ab18413) instead of ab307296 in A549 whole cell lysate Blocking and dilution buffer and concentration : 5% NFDM/TBST. Exposure time : 15 seconds.

All lanes:

Immunoprecipitation - Anti-RAB10 antibody [MJF-R23] - Mouse IgG2a (Chimeric) (<a href='/en-us/products/primary-antibodies/rab10-antibody-mjf-r23-mouse-igg2a-chimeric-ab307296'>ab307296</a>) at 1/30 dilution

All lanes:

A549 (human lung carcinoma epithelial cell) whole cell lysate

Secondary

All lanes:

Immunoprecipitation - Anti-mouse IgG for IP (HRP) (ab131368) at 1/5000 dilution

false

Exposure time: 15s

Immunoprecipitation - Anti-mouse IgG for IP (HRP) (AB131368)
  • IP

Lab

Immunoprecipitation - Anti-mouse IgG for IP (HRP) (AB131368)

SOX10 was immunoprecipitated from 0.35 mg A375 (human malignant melanoma epithelial cell) whole cell lysate with ab218522 at 1/30 dilution (2µg in 0.35mg lysates). Western blot was performed on the immunoprecipitate using ab218522 at 1/1000 dilution.

Blocking and dilution buffer and concentration : 5% NFDM/TBST

All lanes:

Immunoprecipitation - Anti-SOX10 antibody [SOX10/991] (<a href='/en-us/products/primary-antibodies/sox10-antibody-sox10-991-ab218522'>ab218522</a>) at 1/30 dilution

Lane 1:

A375 (human malignant melanoma epithelial cell) whole cell lysate (Input) at 10 µg

Lane 2:

A375 whole cell lysate (+)

Lane 3:

Mouse IgG2b instead of <a href='/en-us/products/primary-antibodies/sox10-antibody-sox10-991-ab218522'>ab218522</a> in A375 whole cell lysate (-)

Secondary

All lanes:

Immunoprecipitation - Anti-mouse IgG for IP (HRP) (ab131368) at 1/1000 dilution

Observed band size: 56-75 kDa

false

Exposure time: 3s

Immunoprecipitation - Anti-mouse IgG for IP (HRP) (AB131368)
  • IP

Supplier Data

Immunoprecipitation - Anti-mouse IgG for IP (HRP) (AB131368)

CP2c was immunoprecipitated from 0.35 mg K-562 (human chronic myelogenous leukemia lymphoblast) whole cell lysate 10 ug with ab308611 at 1/30 dilution (2ug in 0.35mg lysates). Western blot was performed on the immunoprecipitate using ab308611 at 1/1000 dilution. mouse IgG for IP (HRP) (ab131368) was used at 1/1000 dilution. Lane 1 : K-562 (human chronic myelogenous leukemia lymphoblast) whole cell lysate Lane 2 : ab308611 IP in K-562 (human chronic myelogenous leukemia lymphoblast) whole cell lysate Lane 3 : Mouse monoclonal IgG (ab18443) instead of ab308611 in K-562 whole cell lysate Blocking and dilution buffer and concentration : 5% NFDM/TBST. Exposure time : 24 seconds

All lanes:

Immunoprecipitation - Anti-CP2c antibody [14/LSF] (<a href='/en-us/products/primary-antibodies/cp2c-antibody-14-lsf-ab308611'>ab308611</a>) at 1/30 dilution

All lanes:

K-562 (human chronic myelogenous leukemia lymphoblast) whole cell lysate

Secondary

All lanes:

Immunoprecipitation - Anti-mouse IgG for IP (HRP) (ab131368) at 1/1000 dilution

false

Exposure time: 24s

Immunoprecipitation - Anti-mouse IgG for IP (HRP) (AB131368)
  • IP

Supplier Data

Immunoprecipitation - Anti-mouse IgG for IP (HRP) (AB131368)

Histone H3 was immunoprecipitated from 0.35 mg HeLa (human cervical adenocarcinoma epithelial cell) whole cell lysate with ab309551 at 1/50 dilution (2ug in 0.4mg lysates). Western blot was performed on the immunoprecipitate using ab309551 at 1/1000 dilution. mouse IgG for IP (HRP) (ab131368) was used at 1/5000 dilution. Lane 1 : HeLa (human cervical adenocarcinoma epithelial cell) whole cell lysate Lane 2 : ab309551 IP in HeLa (human cervical adenocarcinoma epithelial cell) whole cell lysate Lane 3 : Mouse IgG1 monoclonal isotype control (ab18443) instead of ab309551 in HeLa whole cell lysate Blocking and dilution buffer and concentration : 5% NFDM/TBST. Exposure time : 32 seconds

All lanes:

Immunoprecipitation - Anti-Histone H3 antibody [1B1B2] - Nuclear Marker (<a href='/en-us/products/primary-antibodies/histone-h3-antibody-1b1b2-nuclear-marker-ab309551'>ab309551</a>) at 1/50 dilution

All lanes:

HeLa (human cervical adenocarcinoma epithelial cell) whole cell lysate

Secondary

All lanes:

Immunoprecipitation - Anti-mouse IgG for IP (HRP) (ab131368) at 1/5000 dilution

false

Exposure time: 32s

Immunoprecipitation - Anti-mouse IgG for IP (HRP) (AB131368)
  • IP

Supplier Data

Immunoprecipitation - Anti-mouse IgG for IP (HRP) (AB131368)

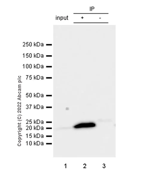
p53 was immunoprecipitated from 0.35 mg HEK-293 (human embryonic kidney epithelial cell) whole cell lysate with ab308609 at 1/30 dilution (2ug in 0.35mg lysates). Western blot was performed on the immunoprecipitate using ab308609 at 1/1000 dilution. mouse IgG for IP (HRP) (ab131368) was used at 1/5000 dilution. Lane 1 : HEK-293 whole cell lysate Lane 2 : ab308609 IP in HEK-293 whole cell lysate Lane 3 : Mouse IgG1 monoclonal isotype control (ab18443) instead of ab308609 in HEK-293 whole cell lysate Blocking and dilution buffer and concentration : 5% NFDM/TBST. Exposure time : 23 seconds. The binding pattern observed is consistent with what has been described in the literature (PMID : 31045216; PMID : 16131611).

All lanes:

Immunoprecipitation - Anti-p53 antibody [G59-12] (<a href='/en-us/products/primary-antibodies/p53-antibody-g59-12-ab308609'>ab308609</a>) at 1/1000 dilution

All lanes:

HEK-293 whole cell lysate at 10 µg

Secondary

All lanes:

Immunoprecipitation - Anti-mouse IgG for IP (HRP) (ab131368) at 1/5000 dilution

false

Immunoprecipitation - Anti-mouse IgG for IP (HRP) (AB131368)
  • IP

Lab

Immunoprecipitation - Anti-mouse IgG for IP (HRP) (AB131368)

Viperin was immunoprecipitated from 0.35 mg KG-1a (human bone marrow myeloblast) whole cell lysate with ab107359 at 1/50 dilution (2µg in 0.35mg lysates). Western blot was performed on the immunoprecipitate using ab107359 at 1/1000 dilution.

Blocking and dilution buffer and concentration : 5% NFDM/TBST

All lanes:

Immunoprecipitation - Anti-Viperin antibody [MaP.VIP] (<a href='/en-us/products/primary-antibodies/viperin-antibody-mapvip-ab107359'>ab107359</a>) at 1/50 dilution

Lane 1:

KG-1a (human bone marrow myeloblast) whole cell lysate (Input) at 10 µg

Lane 2:

KG-1a (human bone marrow myeloblast) whole cell lysate (+)

Lane 3:

Mouse IgG2a, kappaIsotype control (<a href='/en-us/products/primary-antibodies/mouse-igg2a-kappa-monoclonal-mopc-173-isotype-control-chip-grade-ab18413'>ab18413</a>) instead of <a href='/en-us/products/primary-antibodies/viperin-antibody-mapvip-ab107359'>ab107359</a> in KG-1a whole cell lysate (-)

Secondary

All lanes:

Immunoprecipitation - Anti-mouse IgG for IP (HRP) (ab131368) at 1/5000 dilution

Observed band size: 42 kDa

false

Exposure time: 93s

Immunoprecipitation - Anti-mouse IgG for IP (HRP) (AB131368)
  • IP

Supplier Data

Immunoprecipitation - Anti-mouse IgG for IP (HRP) (AB131368)

RAB10 was immunoprecipitated from 0.35 mg NIH/3T3 (mouse embryonic fibroblast) whole cell lysate 10 ug with ab307296 at 1/30 dilution (2ug in 0.35mg lysates). Western blot was performed on the immunoprecipitate using ab307296 at 1/1000 dilution. Mouse IgG for IP (HRP) (ab131368) was used at 1/5000 dilution. Lane 1 : NIH/3T3 (mouse embryonic fibroblast) whole cell lysate Lane 2 : ab307296 IP in NIH/3T3 (mouse embryonic fibroblast) whole cell lysate Lane 3 : Mouse IgG2a Isotype control (ab18413) instead of ab307296 in NIH/3T3 whole cell lysate Blocking and dilution buffer and concentration : 5% NFDM/TBST. Exposure time : 15 seconds.

All lanes:

Immunoprecipitation - Anti-RAB10 antibody [MJF-R23] - Mouse IgG2a (Chimeric) (<a href='/en-us/products/primary-antibodies/rab10-antibody-mjf-r23-mouse-igg2a-chimeric-ab307296'>ab307296</a>) at 1/30 dilution

All lanes:

NIH/3T3 (mouse embryonic fibroblast) whole cell lysate

Secondary

All lanes:

Immunoprecipitation - Anti-mouse IgG for IP (HRP) (ab131368) at 1/5000 dilution

false

Exposure time: 15s

Immunoprecipitation - Anti-mouse IgG for IP (HRP) (AB131368)
  • IP

Lab

Immunoprecipitation - Anti-mouse IgG for IP (HRP) (AB131368)

Viperin was immunoprecipitated from 0.35 mg Mouse spleen tissue lysate with ab107359 at 1/50 dilution (2µg in 0.35mg lysates). Western blot was performed on the immunoprecipitate using ab107359 at 1/1000 dilution.

Blocking and dilution buffer and concentration : 5% NFDM/TBST

All lanes:

Immunoprecipitation - Anti-Viperin antibody [MaP.VIP] (<a href='/en-us/products/primary-antibodies/viperin-antibody-mapvip-ab107359'>ab107359</a>) at 1/50 dilution

Lane 1:

Mouse spleen tissue lysate (Input) at 10 µg

Lane 2:

Mouse spleen tissue lysate (+)

Lane 3:

Mouse IgG2a, kappaIsotype control (<a href='/en-us/products/primary-antibodies/mouse-igg2a-kappa-monoclonal-mopc-173-isotype-control-chip-grade-ab18413'>ab18413</a>) instead of <a href='/en-us/products/primary-antibodies/viperin-antibody-mapvip-ab107359'>ab107359</a> in KG-1a whole cell lysate (-)

Secondary

All lanes:

Immunoprecipitation - Anti-mouse IgG for IP (HRP) (ab131368) at 1/5000 dilution

Observed band size: 42 kDa

false

Exposure time: 93s

Immunoprecipitation - Anti-mouse IgG for IP (HRP) (AB131368)
  • IP

Supplier Data

Immunoprecipitation - Anti-mouse IgG for IP (HRP) (AB131368)

Histone H3 was immunoprecipitated from 0.35 mg NIH/3T3 (mouse embryonic fibroblast) whole cell lysate with ab309551 at 1/50 dilution (2ug in 0.4mg lysates). Western blot was performed on the immunoprecipitate using ab309551 at 1/1000 dilution. mouse IgG for IP (HRP) (ab131368) was used at 1/5000 dilution. Lane 1 : NIH/3T3 (mouse embryonic fibroblast) whole cell lysate Lane 2 : ab309551 IP in NIH/3T3 (mouse embryonic fibroblast) whole cell lysate Lane 3 : Mouse IgG1 monoclonal isotype control (ab18443) instead of ab309551 in NIH/3T3 whole cell lysate Blocking and dilution buffer and concentration : 5% NFDM/TBST. Exposure time : 32 seconds

All lanes:

Immunoprecipitation - Anti-Histone H3 antibody [1B1B2] - Nuclear Marker (<a href='/en-us/products/primary-antibodies/histone-h3-antibody-1b1b2-nuclear-marker-ab309551'>ab309551</a>) at 1/50 dilution

All lanes:

NIH/3T3 (mouse embryonic fibroblast) whole cell lysate

Secondary

All lanes:

Immunoprecipitation - Anti-mouse IgG for IP (HRP) (ab131368) at 1/5000 dilution

false

Exposure time: 32s

Immunoprecipitation - Anti-mouse IgG for IP (HRP) (AB131368)
  • IP

Supplier Data

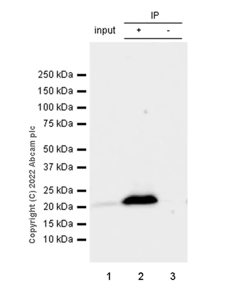
Immunoprecipitation - Anti-mouse IgG for IP (HRP) (AB131368)

DCTN1/p150-glued was immunoprecipitated from 10μg of mouse brain tissue lysate with ab302966 at 1/30 dilution. Western blot was performed from the immunoprecipitate using ab302966 at 1/1000 dilution. VeriBlot for IP secondary antibody (HRP) (ab131366) was used as secondary antibody at 1/5000 dilution. Lane 1 : Mouse brain tissue lysate 10μg (Input). Lane 2 : ab302966 IP in mouse brain tissue lysate. Lane 3 : Rabbit monoclonal IgG (ab18443) instead of ab302966 in mouse brain tissue lysate. Blocking and dilution buffer and concentration : 5% NFDM/TBST. Exposure time : 93 seconds.

All lanes:

Immunoprecipitation - Anti-DCTN1/p150-glued antibody [1/P150GLUED] (<a href='/en-us/products/primary-antibodies/dctn1-p150-glued-antibody-1-p150glued-ab302966'>ab302966</a>) at 1/30 dilution

All lanes:

Mouse brain tissue

Secondary

All lanes:

Immunoprecipitation - Anti-mouse IgG for IP (HRP) (ab131368) at 1/5000 dilution

Observed band size: 150 kDa

false

Exposure time: 93s

Immunoprecipitation - Anti-mouse IgG for IP (HRP) (AB131368)
  • IP

Supplier Data

Immunoprecipitation - Anti-mouse IgG for IP (HRP) (AB131368)

Histone H3 was immunoprecipitated from 0.35 mg C6 (rat glial tumor glial cell) whole cell lysate with ab309551 at 1/50 dilution (2ug in 0.4mg lysates). Western blot was performed on the immunoprecipitate using ab309551 at 1/1000 dilution. mouse IgG for IP (HRP) (ab131368) was used at 1/5000 dilution. Lane 1 : C6 (rat glial tumor glial cell) whole cell lysate Lane 2 : ab309551 IP in C6 (rat glial tumor glial cell) whole cell lysate Lane 3 : Mouse IgG1 monoclonal isotype control (ab18443) instead of ab309551 in C6 whole cell lysate Blocking and dilution buffer and concentration : 5% NFDM/TBST. Exposure time : 67 seconds

All lanes:

Immunoprecipitation - Anti-Histone H3 antibody [1B1B2] - Nuclear Marker (<a href='/en-us/products/primary-antibodies/histone-h3-antibody-1b1b2-nuclear-marker-ab309551'>ab309551</a>) at 1/50 dilution

All lanes:

C6 (rat glial tumor glial cell) whole cell lysate at 10 µg

Secondary

All lanes:

Immunoprecipitation - Anti-mouse IgG for IP (HRP) (ab131368) at 1/5000 dilution

false

Exposure time: 67s

Immunoprecipitation - Anti-mouse IgG for IP (HRP) (AB131368)
  • IP

Supplier Data

Immunoprecipitation - Anti-mouse IgG for IP (HRP) (AB131368)

RAB10 was immunoprecipitated from 0.35 mg C6 (rat glial tumor glial cell) whole cell lysate 10 ug with ab307296 at 1/30 dilution (2ug in 0.35mg lysates). Western blot was performed on the immunoprecipitate using ab307296 at 1/1000 dilution. Mouse IgG for IP (HRP) (ab131368) was used at 1/5000 dilution. Lane 1 : C6 (rat glial tumor glial cell) whole cell lysate Lane 2 : ab307296 IP in C6 (rat glial tumor glial cell) whole cell lysate Lane 3 : Mouse IgG2a Isotype control (ab18413) instead of ab307296 in C6 whole cell lysate Blocking and dilution buffer and concentration : 5% NFDM/TBST. Exposure time : 15 seconds.

All lanes:

Immunoprecipitation - Anti-RAB10 antibody [MJF-R23] - Mouse IgG2a (Chimeric) (<a href='/en-us/products/primary-antibodies/rab10-antibody-mjf-r23-mouse-igg2a-chimeric-ab307296'>ab307296</a>) at 1/30 dilution

All lanes:

C6 (rat glial tumor glial cell) whole cell lysate

Secondary

All lanes:

Immunoprecipitation - Anti-mouse IgG for IP (HRP) (ab131368) at 1/5000 dilution

false

Exposure time: 15s

Western blot - Anti-mouse IgG for IP (HRP) (AB131368)
  • WB

Lab

Western blot - Anti-mouse IgG for IP (HRP) (AB131368)

Blocking and diluting buffer and concentration : 5% NFDM/TBST

All lanes:

Western blot - Anti-Human IgG antibody [IG266] (<a href='/en-us/products/primary-antibodies/human-igg-antibody-ig266-ab200699'>ab200699</a>) at 1/5000 dilution

All lanes:

Human serum at 10 µg

Secondary

All lanes:

Western blot - Anti-mouse IgG for IP (HRP) (ab131368) at 1/1000 dilution

Predicted band size: 36 kDa

Observed band size: 50 kDa

false

Exposure time: 8s

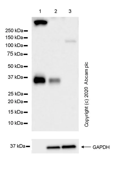
Western blot - Anti-mouse IgG for IP (HRP) (AB131368)
  • WB

Unknown

Western blot - Anti-mouse IgG for IP (HRP) (AB131368)

Blocking and dilution buffer : 5% NFDM/TBST.

Exposure times.

Lane 1 : 125 seconds; Lanes 2-5 : 26 seconds.

The molecular weight observed is consistent with what has been described in the literature (PMID : 15236336).

This data was developed using the same antibody clone in a different buffer formulation containing PBS, BSA, glycerol and azide (ab252540).

All lanes:

Western blot - Anti-CASK antibody [K56A/50] (<a href='/en-us/products/primary-antibodies/cask-antibody-k56a-50-ab252540'>ab252540</a>) at 1/1000 dilution

Lane 1:

Human brain tissue lysate at 20 µg

Lane 2:

Mouse brain tissue lysate at 20 µg

Lane 3:

Mouse cerebellum lysate at 20 µg

Lane 4:

Rat brain tissue lysate at 20 µg

Lane 5:

Rat cerebellum lysate at 20 µg

Secondary

Lane 1:

Western blot - Anti-mouse IgG for IP (HRP) (ab131368) at 1/100000 dilution

Lanes 2 - 5:

Peroxidase-Conjugated Goat anti-Mouse IgG(H+L) at 1/100000 dilution

Predicted band size: 105 kDa

Observed band size: 120 kDa

false

Western blot - Anti-mouse IgG for IP (HRP) (AB131368)
  • WB

Lab

Western blot - Anti-mouse IgG for IP (HRP) (AB131368)

Blocking/Dilution buffer : 5% NFDM/TBST.

Exposure times : Lane 1 : 3 seconds; Lane 2-4 : 1 second.

This data was developed using the same antibody clone in a different buffer formulation containing PBS, BSA, glycerol, and sodium azide (ab231083).

All lanes:

Western blot - Anti-beta III Tubulin antibody [AA10] - Neuronal Marker (<a href='/en-us/products/primary-antibodies/beta-iii-tubulin-antibody-aa10-neuronal-marker-ab231083'>ab231083</a>) at 1/1000 dilution

Lane 1:

SH-SY5Y (human neuroblastoma epithelial cell), whole cell lysate at 10 µg

Lane 2:

Neuro-2a (mouse neuroblastoma neuroblast), whole cell lysate at 10 µg

Lane 3:

Mouse brain tissue lysate at 10 µg

Lane 4:

Rat brain tissue lysate at 10 µg

Secondary

Lane 1:

Western blot - VeriBlot for IP Detection Reagent (HRP) (<a href='/en-us/products/reagents/veriblot-for-ip-detection-reagent-hrp-ab131366'>ab131366</a>) at 1/1000 dilution

Lanes 2 - 4:

Western blot - Anti-mouse IgG for IP (HRP) (ab131368) at 1/1000 dilution

Predicted band size: 50 kDa

false

Western blot - Anti-mouse IgG for IP (HRP) (AB131368)
  • WB

Supplier Data

Western blot - Anti-mouse IgG for IP (HRP) (AB131368)

Blocking and dilution buffer : 5% NFDM/TBST

Exposure time :

Lane 1 : 15 seconds

Lane 2 : 7.75 seconds.

This data was developed using the same antibody clone in a different buffer formulation containing PBS, BSA, glycerol, and sodium azide (ab9519).

All lanes:

Western blot - Anti-Elastin antibody [BA-4] - BSA and Azide free (<a href='/en-us/products/primary-antibodies/elastin-antibody-ba-4-bsa-and-azide-free-ab269450'>ab269450</a>) at 0.51 µg/mL

Lane 1:

Human artery tissue lysate at 20 µg

Lane 2:

Human skin tissue lysate at 20 µg

Secondary

All lanes:

Western blot - Anti-mouse IgG for IP (HRP) (ab131368) at 1/1000 dilution

Predicted band size: 68 kDa

Observed band size: 68 kDa

false

Western blot - Anti-mouse IgG for IP (HRP) (AB131368)
  • WB

Supplier Data

Western blot - Anti-mouse IgG for IP (HRP) (AB131368)

This data was developed using ab11159 the same antibody clone in a different buffer formulation.

Blocking/Dilution buffer : 5% NFDM/TBST.

All lanes:

Western blot - Anti-Myelin Basic Protein antibody [MBP2] - Oligodendrocyte Marker (<a href='/en-us/products/primary-antibodies/myelin-basic-protein-antibody-mbp2-oligodendrocyte-marker-ab11159'>ab11159</a>) at 1/1000 dilution

All lanes:

human brain tissue lysate at 20 µg

Secondary

All lanes:

Western blot - Anti-mouse IgG for IP (HRP) (ab131368) at 1/50000 dilution

Predicted band size: 33 kDa

false

Exposure time: 26s

Western blot - Anti-mouse IgG for IP (HRP) (AB131368)
  • WB

Supplier Data

Western blot - Anti-mouse IgG for IP (HRP) (AB131368)

All lanes:

Western blot - Anti-Biotin antibody [Hyb-8] (<a href='/en-us/products/primary-antibodies/biotin-antibody-hyb-8-ab201341'>ab201341</a>) at 1/1000 dilution

Lane 1:

Human nerve lysate at 10 µg

Lane 2:

Human lower limb nerve lysate at 10 µg

Secondary

All lanes:

Western blot - Anti-mouse IgG for IP (HRP) (ab131368) at 1/1000 dilution

Observed band size: 58 kDa

false

Exposure time: 103s

Western blot - Anti-mouse IgG for IP (HRP) (AB131368)
  • WB

Lab

Western blot - Anti-mouse IgG for IP (HRP) (AB131368)

Blocking/Dilution buffer : 5% NFDM/TBST.

This image was produced using the same antibody clone but in a different formulation ab40, PBS, sodium azide, glycerol and BSA.

All lanes:

Western blot - Anti-Cytokeratin 5 + 6 + 18 antibody [LP34] (<a href='/en-us/products/primary-antibodies/cytokeratin-5-6-18-antibody-lp34-ab40'>ab40</a>) at 1/1000 dilution

All lanes:

Human skin lysate at 20 µg

Secondary

All lanes:

Western blot - Anti-mouse IgG for IP (HRP) (ab131368) at 1/1000 dilution

Observed band size: 58 kDa

false

Exposure time: 114s

Western blot - Anti-mouse IgG for IP (HRP) (AB131368)
  • WB

Supplier Data

Western blot - Anti-mouse IgG for IP (HRP) (AB131368)

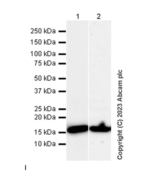
Blocking and diluting buffer and concentration : 5% NFDM/TBST Exposure time : Lane 1 : 32 seconds; Lane 2 : 93 seconds

All lanes:

Western blot - Anti-Histone H3 antibody [1B1B2] - Nuclear Marker (<a href='/en-us/products/primary-antibodies/histone-h3-antibody-1b1b2-nuclear-marker-ab309551'>ab309551</a>) at 1/1000 dilution

Lane 1:

HeLa (human cervical adenocarcinoma epithelial cell) whole cell lysate at 20 µg

Lane 2:

MCF7 (human breast adenocarcinoma epithelial cell) whole cell lysate at 20 µg

Secondary

All lanes:

Western blot - Anti-mouse IgG for IP (HRP) (ab131368) at 1/5000 dilution

Observed band size: 18 kDa

false

Western blot - Anti-mouse IgG for IP (HRP) (AB131368)
  • WB

Supplier Data

Western blot - Anti-mouse IgG for IP (HRP) (AB131368)

FCN2 has a high molecular weight (400 kDa) due to extensive disulfide bridge formation (PMID : 16595153)

Negative control : Human brain (PMID : 8576206)

A weak unidentifiable band was observed in brain tissue

Blocking/diluting buffer and concentration : 5% NFDM/TBST

All lanes:

Western blot - Anti-Ficolin 2 antibody [EPR23146-225] (<a href='/en-us/products/primary-antibodies/ficolin-2-antibody-epr23146-225-ab267473'>ab267473</a>) at 1/1000 dilution

Lane 1:

Human plasma at 20 µg

Lane 2:

Human liver tissue lysate at 20 µg

Lane 3:

Human brain tissue lysate at 20 µg

Secondary

All lanes:

Western blot - Anti-mouse IgG for IP (HRP) (ab131368) at 1/1000 dilution

Predicted band size: 34 kDa

false

Western blot - Anti-mouse IgG for IP (HRP) (AB131368)
  • WB

Supplier Data

Western blot - Anti-mouse IgG for IP (HRP) (AB131368)

Blocking and diluting buffer and concentration : 5% NFDM/TBST.

Exposure Time : Lane 1-3 : 15 seconds, lane 4-5 : 180 seconds.

All lanes:

Western blot - Anti-VAPB antibody [EPR27026-50] (<a href='/en-us/products/primary-antibodies/vapb-antibody-epr27026-50-ab315013'>ab315013</a>) at 1/1000 dilution

Lane 1:

Human testis tissue lysate at 20 µg

Lane 2:

Human liver tissue lysate at 20 µg

Lane 3:

Mouse testis tissue lysate at 20 µg

Lane 4:

Mouse liver tissue lysate at 20 µg

Lane 5:

Mouse colon tissue lysate at 20 µg

Secondary

All lanes:

Western blot - Anti-mouse IgG for IP (HRP) (ab131368) at 1/5000 dilution

Observed band size: 27 kDa

false

Western blot - Anti-mouse IgG for IP (HRP) (AB131368)
  • WB

Supplier Data

Western blot - Anti-mouse IgG for IP (HRP) (AB131368)

Blocking and diluting buffer and concentration : 5% NFDM/TBST.

This blot was developed using a high sensitivity ECL substrate. The high-sensitivity ECL substrate used allows for the detection of proteins in the mid-femtogram range.

In Western blot, anti-GAPDH antibody (ab181602) loading control staining at 1/200000 dilution.

All lanes:

Western blot - Anti-KACL antibody [EPR27403-26] (<a href='/en-us/products/primary-antibodies/kacl-antibody-epr27403-26-ab309102'>ab309102</a>) at 1/1000 dilution

All lanes:

Human skin tissue lysate at 20 µg

Secondary

All lanes:

Western blot - Anti-mouse IgG for IP (HRP) (ab131368) at 1/1000 dilution

Observed band size: 32 kDa

true

Exposure time: 180s

Western blot - Anti-mouse IgG for IP (HRP) (AB131368)
  • WB

Supplier Data

Western blot - Anti-mouse IgG for IP (HRP) (AB131368)

Blocking/Dilution buffer : 5% NFDM/TBST.

The expression profile/ molecular weight observed is consistent with what has been described in the literature (PMID : 24797388).

This image was produced using the same antibody clone but in a different formulation containing PBS, sodium azide, glycerol and BSA (ab252531).

All lanes:

Western blot - Anti-Properdin/PFC antibody [3A3E1] (<a href='/en-us/products/primary-antibodies/properdin-pfc-antibody-3a3e1-ab252531'>ab252531</a>) at 0.454 µg/mL

Lane 1:

Human plasma lysate at 20 µg

Lane 2:

Human serum lysate at 20 µg

Lane 3:

Mouse plasma lysate at 20 µg

Lane 4:

Mouse serum lysate at 20 µg

Lane 5:

Rat plasma lysate at 20 µg

Secondary

All lanes:

Western blot - Anti-mouse IgG for IP (HRP) (ab131368) at 1/1000 dilution

Predicted band size: 51 kDa

Observed band size: 55 kDa

false

Exposure time: 1s

Western blot - Anti-mouse IgG for IP (HRP) (AB131368)
  • WB

Lab

Western blot - Anti-mouse IgG for IP (HRP) (AB131368)

Blocking and diluting buffer and concentration : 5% NFDM/TBST

All lanes:

Western blot - Anti-Human IgG antibody [IG266] (<a href='/en-us/products/primary-antibodies/human-igg-antibody-ig266-ab200699'>ab200699</a>) at 1/1000 dilution

Lane 1:

Human spleen tissue lysate at 10 µg

Lane 2:

Human tonsil tissue lysate at 10 µg

Secondary

All lanes:

Western blot - Anti-mouse IgG for IP (HRP) (ab131368) at 1/1000 dilution

Predicted band size: 36 kDa

Observed band size: 50 kDa

false

Exposure time: 6s

Western blot - Anti-mouse IgG for IP (HRP) (AB131368)
  • WB

Lab

Western blot - Anti-mouse IgG for IP (HRP) (AB131368)

Blocking/Dilution buffer : 5% NFDM/TBST.

Exposure times : Lane 1, 2 : 3 seconds; Lane 3, 4 : 7 seconds.

This data was developed using the same antibody clone in a different buffer formulation containing PBS, BSA, glycerol, and sodium azide (ab254154).

All lanes:

Western blot - Anti-Detyrosinated alpha Tubulin antibody [AA12] - Loading Control (<a href='/en-us/products/primary-antibodies/detyrosinated-alpha-tubulin-antibody-aa12-loading-control-ab254154'>ab254154</a>) at 1/1000 dilution

Lane 1:

Human hippocampus tissue lysate at 20 µg

Lane 2:

Human brain tissue lysate at 20 µg

Lane 3:

Rat hippocampus tissue lysate at 20 µg

Lane 4:

Rat brain tissue lysate at 20 µg

Secondary

Lanes 1 - 2:

Western blot - VeriBlot for IP Detection Reagent (HRP) (<a href='/en-us/products/reagents/veriblot-for-ip-detection-reagent-hrp-ab131366'>ab131366</a>) at 1/1000 dilution

Lanes 3 - 4:

Western blot - Anti-mouse IgG for IP (HRP) (ab131368) at 1/1000 dilution

Predicted band size: 50 kDa

false

Western blot - Anti-mouse IgG for IP (HRP) (AB131368)
  • WB

Supplier Data

Western blot - Anti-mouse IgG for IP (HRP) (AB131368)

This data was developed using ab273442 the same antibody clone in a different buffer formulation.

Blocking/Dilution buffer : 5% NFDM/TBST.

All lanes:

Western blot - Anti-68kDa Neurofilament/NF-L antibody [NfL23] (<a href='/en-us/products/primary-antibodies/68kda-neurofilament-nf-l-antibody-nfl23-ab273442'>ab273442</a>) at 1/1000 dilution

Lane 1:

Mouse hippocampus tissue lysate at 20 µg

Lane 2:

Mouse liver tissue lysate at 20 µg

Lane 3:

Rat brain tissue lysate at 20 µg

Lane 4:

Rat hippocampus tissue lysate at 20 µg

Lane 5:

Rat liver tissue lysate at 20 µg

Secondary

All lanes:

Western blot - Anti-mouse IgG for IP (HRP) (ab131368) at 1/1000 dilution

Predicted band size: 62 kDa

Observed band size: 68 kDa

false

Western blot - Anti-mouse IgG for IP (HRP) (AB131368)
  • WB

Lab

Western blot - Anti-mouse IgG for IP (HRP) (AB131368)

Blocking/Dilution buffer : 5% NFDM/TBST.

This data was developed using the same antibody clone in a different buffer formulation containing PBS, BSA, glycerol, and sodium azide (ab28035).

All lanes:

Western blot - Anti-beta II Tubulin antibody [7B9] (<a href='/en-us/products/primary-antibodies/beta-ii-tubulin-antibody-7b9-ab28035'>ab28035</a>) at 1/1000 dilution

Lane 1:

Mouse brain tissue lysate at 20 µg

Lane 2:

Rat brain tissue lysate at 20 µg

Secondary

All lanes:

Western blot - Anti-mouse IgG for IP (HRP) (ab131368) at 1/1000 dilution

Predicted band size: 50 kDa

false

Exposure time: 1s

Western blot - Anti-mouse IgG for IP (HRP) (AB131368)
  • WB

Supplier Data

Western blot - Anti-mouse IgG for IP (HRP) (AB131368)

All lanes:

Western blot - Anti-Biotin antibody [Hyb-8] (<a href='/en-us/products/primary-antibodies/biotin-antibody-hyb-8-ab201341'>ab201341</a>) at 1/1000 dilution

Lane 1:

Mouse eyeball tissue lysate at 10 µg

Lane 2:

Rat eyeball tissue lysate at 10 µg

Lane 3:

Mouse C57 P20 retina at 10 µg

Secondary

All lanes:

Western blot - Anti-mouse IgG for IP (HRP) (ab131368)

Observed band size: 36 kDa

false

Exposure time: 3min

Western blot - Anti-mouse IgG for IP (HRP) (AB131368)
  • WB

Lab

Western blot - Anti-mouse IgG for IP (HRP) (AB131368)

Blocking/Dilution buffer : 5% NFDM/TBST.

This data was developed using the same antibody clone in a different buffer formulation containing PBS, BSA, glycerol, and sodium azide (ab28035).

All lanes:

Western blot - Anti-beta II Tubulin antibody [7B9] (<a href='/en-us/products/primary-antibodies/beta-ii-tubulin-antibody-7b9-ab28035'>ab28035</a>) at 1/1000 dilution

Lane 1:

C6 (rat glial tumor glial cell), whole cell lysate at 20 µg

Lane 2:

PC-12 (rat adrenal gland pheochromocytoma), whole cell lysate at 20 µg

Secondary

All lanes:

Western blot - Anti-mouse IgG for IP (HRP) (ab131368) at 1/1000 dilution

Predicted band size: 50 kDa

false

Western blot - Anti-mouse IgG for IP (HRP) (AB131368)
  • WB

Supplier Data

Western blot - Anti-mouse IgG for IP (HRP) (AB131368)

This data was developed using ab273441 the same antibody clone in a different buffer formulation.

Negative control : liver (PMID : 2120242).

Blocking/Dilution buffer : 5% NFDM/TBST.

Exposure times : Lane 1-2 : 10 seconds; Lane 3-5 : 37 seconds.

All lanes:

Western blot - Anti-68kDa Neurofilament/NF-L antibody [Nfl21] (<a href='/en-us/products/primary-antibodies/68kda-neurofilament-nf-l-antibody-nfl21-ab273441'>ab273441</a>) at 1/1000 dilution

Lane 1:

Mouse hippocampus tissue lysate at 20 µg

Lane 2:

Mouse liver tissue lysate at 20 µg

Lane 3:

Rat brain tissue lysate at 20 µg

Lane 4:

Rat hippocampus tissue lysate at 20 µg

Lane 5:

Rat liver tissue lysate at 20 µg

Secondary

All lanes:

Western blot - Anti-mouse IgG for IP (HRP) (ab131368) at 1/1000 dilution

Predicted band size: 62 kDa

false

Western blot - Anti-mouse IgG for IP (HRP) (AB131368)
  • WB

Unknown

Western blot - Anti-mouse IgG for IP (HRP) (AB131368)

Blocking/Dilution buffer : 5% NFDM/TBST.

Negative control : Mouse heart (PMID : 15899979).

This data was developed using the same antibody clone in a different buffer formulation containing PBS, BSA, glycerol, and sodium azide (ab254154).

All lanes:

Western blot - Anti-Detyrosinated alpha Tubulin antibody [AA12] - Loading Control (<a href='/en-us/products/primary-antibodies/detyrosinated-alpha-tubulin-antibody-aa12-loading-control-ab254154'>ab254154</a>) at 1/1000 dilution

Lane 1:

Mouse brain tissue lysate at 20 µg

Lane 2:

Mouse heart tissue lysate at 20 µg

Secondary

All lanes:

Western blot - Anti-mouse IgG for IP (HRP) (ab131368) at 1/1000 dilution

Predicted band size: 50 kDa

false

Exposure time: 7s

Immunoprecipitation - Anti-mouse IgG for IP (HRP) (AB131368)
  • IP

Supplier Data

Immunoprecipitation - Anti-mouse IgG for IP (HRP) (AB131368)

Influenza A virus PB1 protein was immunoprecipitated from 0.35 mg 293T cells transfected with a influenza A virus (H3N2) PB1 expression vector containing a myc-his-tag whole cell lysate with ab324448 at 1/50 dilution (2 ug in 0.35mg lysates). Western blot was performed on the immunoprecipitate using ab324448 at 1/1000 dilution.

Blocking and dilution buffer and concentration : 5% NFDM/TBST

All lanes:

Immunoprecipitation - Anti-Influenza A virus PB1 protein antibody [F5-19] (<a href='/en-us/products/primary-antibodies/influenza-a-virus-pb1-protein-antibody-f5-19-ab324448'>ab324448</a>) at 1/1000 dilution

Lane 1:

(Input) 293T cells transfected with a influenza A virus (H3N2) PB1 expression vector containing a myc-his-tag whole cell lysate at 10 µg

Lane 2:

<a href='/en-us/products/primary-antibodies/influenza-a-virus-pb1-protein-antibody-f5-19-ab324448'>ab324448</a> at 1/50 IP in 293T cells transfected with a influenza A virus (H3N2) PB1 expression vector containing a myc-his-tag whole cell lysate at 10 µg

Lane 3:

Mouse IgG1, kappa monoclonal [MOPC-21] - isotype control (<a href='/en-us/products/primary-antibodies/mouse-igg1-kappa-monoclonal-mopc-21-isotype-control-ab18443'>ab18443</a>) instead of <a href='/en-us/products/primary-antibodies/influenza-a-virus-pb1-protein-antibody-f5-19-ab324448'>ab324448</a> in 293T cells transfected with a influenza A virus (H3N2) PB1 expression vector containing a myc-his-tag whole cell lysate at 10 µg

Secondary

All lanes:

Immunoprecipitation - Anti-mouse IgG for IP (HRP) (ab131368) at 1/5000 dilution

Observed band size: 85 kDa

false

Exposure time: 8s

Western blot - Anti-mouse IgG for IP (HRP) (AB131368)
  • WB

Unknown

Western blot - Anti-mouse IgG for IP (HRP) (AB131368)

All lanes:

Western blot - Anti-Estrogen Receptor alpha antibody [CRET94D] (<a href='/en-us/products/primary-antibodies/estrogen-receptor-alpha-antibody-cret94d-ab241557'>ab241557</a>) at 1/1000 dilution

Lane 1:

Human breast cancer tissue lysates at 20 µg

Lane 2:

Mouse breast tissue lysates at 20 µg

Lane 3:

Mouse ovary tissue lysates at 20 µg

Secondary

All lanes:

Western blot - Anti-mouse IgG for IP (HRP) (ab131368)

Predicted band size: 66 kDa

Observed band size: 66 kDa

false

Immunoprecipitation - Anti-mouse IgG for IP (HRP) (AB131368)
  • IP

Lab

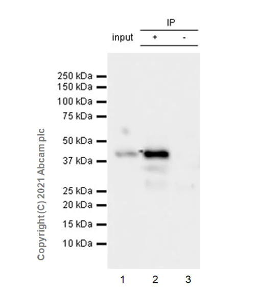
Immunoprecipitation - Anti-mouse IgG for IP (HRP) (AB131368)

TATA binding protein TBP was immunoprecipitated from 0.35 mg NIH/3T3 (mouse embryonic fibroblast) whole cell lysate (10 µg) with ab300656 at 1/30 dilution (2µg in 0.35mg lysates). Western blot was performed on the immunoprecipitate using ab300656 at 1/2000 dilution. Mouse IgG for IP (HRP) (ab131368) was used as the secondary at 1/5000 dilution. Lane 1(Input) : NIH/3T3 (mouse embryonic fibroblast) whole cell lysate 10 μg Lane 2(+) : NIH/3T3 whole cell lysate Lane 3(-) : Mouse monoclonal IgG2c (ab170191) instead of ab51841 in NIH/3T3 whole cell lysate Blocking and dilution buffer and concentration : 5% NFDM/TBST. Exposure time : 24 seconds

All lanes:

Immunoprecipitation - Anti-TATA binding protein TBP antibody [mAbcam51841] - Loading Control (<a href='/en-us/products/primary-antibodies/tata-binding-protein-tbp-antibody-mabcam51841-loading-control-ab300656'>ab300656</a>) at 1/30 dilution

Lane 1:

NIH/3T3 (mouse embryonic fibroblast) whole cell lysate at 10 µg

Lane 2:

NIH/3T3 whole cell lysate

Lane 3:

Immunoprecipitation - Mouse IgG2c, kappa monoclonal [18C8BC7AD10] - Isotype Control (<a href='/en-us/products/primary-antibodies/mouse-igg2c-kappa-monoclonal-18c8bc7ad10-isotype-control-ab170191'>ab170191</a>)

Secondary

All lanes:

Immunoprecipitation - Anti-mouse IgG for IP (HRP) (ab131368) at 1/5000 dilution

Predicted band size: 38 kDa

Observed band size: 36 kDa

false

Exposure time: 24s

Immunoprecipitation - Anti-mouse IgG for IP (HRP) (AB131368)
  • IP

Lab

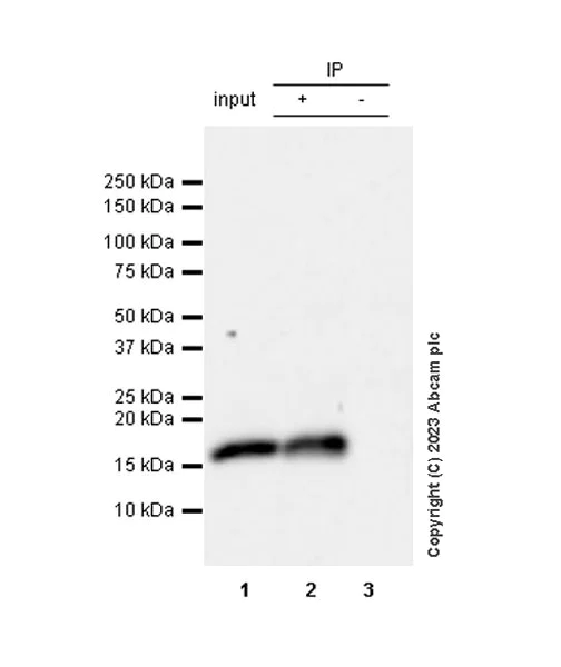
Immunoprecipitation - Anti-mouse IgG for IP (HRP) (AB131368)

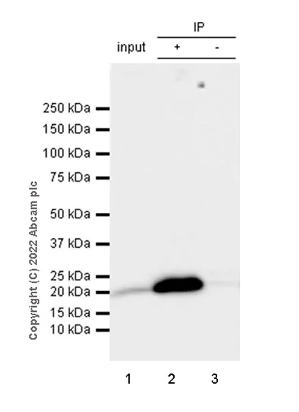
TATA binding protein TBP was immunoprecipitated from 0.35 mg HeLa (human cervix adenocarcinoma epithelial cell) whole cell lysate (10 µg) with ab300656 at 1/30 dilution (2µg in 0.35mg lysates). Western blot was performed on the immunoprecipitate using ab300656 at 1/2000 dilution. Mouse IgG for IP (HRP) (ab131368) was used as the secondary at 1/5000 dilution. Lane 1(Input) : HeLa (human cervix adenocarcinoma epithelial cell) whole cell lysate 10 μg Lane 2(+) : HeLa whole cell lysate Lane 3(-) : Mouse monoclonal IgG2c (ab170191) instead of ab51841 in HeLa whole cell lysate Blocking and dilution buffer and concentration : 5% NFDM/TBST. Exposure time : 24 seconds

All lanes:

Immunoprecipitation - Anti-TATA binding protein TBP antibody [mAbcam51841] - Loading Control (<a href='/en-us/products/primary-antibodies/tata-binding-protein-tbp-antibody-mabcam51841-loading-control-ab300656'>ab300656</a>) at 1/30 dilution

Lane 1:

HeLa (human cervix adenocarcinoma epithelial cell) whole cell lysate at 10 µg

Lane 2:

HeLa whole cell lysate

Lane 3:

Immunoprecipitation - Mouse IgG2c, kappa monoclonal [18C8BC7AD10] - Isotype Control (<a href='/en-us/products/primary-antibodies/mouse-igg2c-kappa-monoclonal-18c8bc7ad10-isotype-control-ab170191'>ab170191</a>)

Secondary

All lanes:

Immunoprecipitation - Anti-mouse IgG for IP (HRP) (ab131368) at 1/5000 dilution

Observed band size: 35 kDa,38 kDa

false

Exposure time: 24s

Key facts

Host species

Rat

Target species

Mouse

Target isotype

IgG

Target specificity

Gamma chain

Minimal cross-reactivity
Pre-adsorbed

No

Conjugation

HRP

Excitation/Emission
Applications

WB, ELISA, IP

applications

Clonality

Monoclonal

Clone number

eB144

Isotype

IgG

Reactivity data

{ "title": "Reactivity Data", "filters": { "stats": ["", "Reactivity", "Dilution Info", "Notes"] }, "values": { "WB": { "reactivity":"TESTED_AND_REACTS", "dilution-info":"1/1000 - 1/10000", "notes":"<p>The optimal dilution will depend on the sensitivity of the HRP substrate.</p>" }, "IP": { "reactivity":"NO_EXPERIMENTAL_DATA_EXPECTED_TO_REACT", "dilution-info":"", "notes":"<p></p>" }, "ELISA": { "reactivity":"NO_EXPERIMENTAL_DATA_EXPECTED_TO_REACT", "dilution-info":"", "notes":"<p></p>" } } }

Product details

Number of blots:
At least 20 blots, based on a 1 μl/ml dilution and 5 ml diluted antibody per blot.

Important protocol notes:
1. The anti-mouse IgG for IP secondary antibody (HRP) detects mouse IgG antibodies (subtypes: IgG1, IgG2a, IgG2b, IgG3).
2. The anti-mouse IgG for IP secondary antibody (HRP) preferentially detects the non-reduced form of mouse IgG (IgG1, IgG2a, IgG2b, IgG3) over the reduced, SDS-denatured forms.
3. IP sample should be completely reduced/denatured before loaded onto a western blot.
4. Milk should be used as the blocking protein for the immunoblot.

Western blot and IP resources:
a) Western blot a beginner's guide
b) IP protocol
c) IP troubleshooting tips

Properties and storage information

Form
Liquid
Purification technique
Affinity purification Protein G
Storage buffer
Constituents: 50% Glycerol (glycerin, glycerine), 0.88% Sodium chloride, 0.16% Sodium phosphate, 0.1% BSA
Shipped at conditions
Blue Ice
Appropriate short-term storage conditions
+4°C
Appropriate long-term storage conditions
+4°C

Product protocols

Target data

See full target information Ighg1

Additional targets

Ighg1

Publications (179)

Recent publications for all applications. Explore the full list and refine your search

Journal of inflammation research 18:13359-13379 PubMed41036440

2025

Proteomic Profiling of Serum-Derived Exosomes in Oral Lichen Planus: FN1-C3-ECM Crosstalk as a Potential Novel Therapeutic Target.

Applications

Unspecified application

Species

Unspecified reactive species

Xue-Ying Wang,Yu-Fang Deng,Sheng-Jin Xue,Wei-Qun Guan

Theranostics 15:7501-7527 PubMed40756372

2025

Secreted Clever-1 modulates T cell responses and impacts cancer immunotherapy efficacy.

Applications

Unspecified application

Species

Unspecified reactive species

Stuart Prince,Miro Viitala,Riikka Sjöroos,Ábris Á Bendes,Jenna H Rannikko,Daniel A Patten,Ilaria di Benedetto,Rita Turpin,Arno Ylitalo,Laura Tyni,Carlos R Figueiredo,Pia Boström,Ilkka Koskivuo,Tiina A Salminen,Shishir Shetty,Maija Hollmén

Nature cell biology 27:1256-1271 PubMed40739340

2025

PEX39 facilitates the peroxisomal import of PTS2-containing proteins.

Applications

Unspecified application

Species

Unspecified reactive species

Walter W Chen,Tony A Rodrigues,Daniel Wendscheck,Ana G Pedrosa,Chendong Yang,Tânia Francisco,Till Möcklinghoff,Alexandros Zografakis,Bernardo Nunes-Silva,Reut E Avraham,Ana R Silva,Maria J Ferreira,Hirak Das,Janet Koster,Simone Neuwirth,Julian Bender,Silke Oeljeklaus,Varun Sondhi,Christos Gatsogiannis,Maya Schuldiner,Einat Zalckvar,Kay Hofmann,Hans R Waterham,Ralph J DeBerardinis,Jorge E Azevedo,Bettina Warscheid

Signal transduction and targeted therapy 10:214 PubMed40634292

2025

Irinotecan alleviates chemoresistance to anthracyclines through the inhibition of AARS1-mediated BLM lactylation and homologous recombination repair.

Applications

Unspecified application

Species

Unspecified reactive species

Xinyuan Li,Chunlin Zhang,Yuhua Mei,Wenlong Zhong,Wei Fan,Li Liu,Zhenwei Feng,Xuesong Bai,Chuan Liu,Mingzhao Xiao,Weiyang He,Tianxin Lin,Xin Gou

F1000Research 13:1061 PubMed40535172

2025

A guide to selecting high-performing antibodies for Rab10 (UniProt ID: P61026) for use in western blot, immunoprecipitation, and immunofluorescence.

Applications

Unspecified application

Species

Unspecified reactive species

Vera Ruíz Moleón,Charles Alende,Maryam Fotouhi,Kathleen Southern,Riham Ayoubi,Carl Laflamme

The EMBO journal 44:3085-3120 PubMed40263598

2025

SDCBP/Syntenin-1 stabilizes BACH1 by disassembling the SCF-BACH1 complex in triple-negative breast cancer.

Applications

Unspecified application

Species

Unspecified reactive species

Phi-Long Tran,Okhwa Kim,Cheol Hwangbo,Hyo-Jin Kim,Young-Myeong Kim,Jeong-Hyung Lee

Journal of clinical biochemistry and nutrition 76:131-138 PubMed40151410

2025

Dietary coconut oil lowered circulating fetuin-A levels and hepatic expression of fetuin-A in KK/TaJcl mice.

Applications

Unspecified application

Species

Unspecified reactive species

Yuzuru Iizuka,Chikako Kitagawa,Towa Tamura,Hidehiro Ueshiba,Satoshi Hirako,Toshifumi Osaka,Hyounju Kim,Naoko Yanagisawa

Nucleic acids research 53: PubMed40105243

2025

DNA damage response regulator ATR licenses PINK1-mediated mitophagy.

Applications

Unspecified application

Species

Unspecified reactive species

Christian Marx,Xiaobing Qing,Yamin Gong,Joanna Kirkpatrick,Kanstantsin Siniuk,Galina V Beznoussenko,Gururaj Rao Kidiyoor,Murat Kirtay,Katrin Buder,Philipp Koch,Martin Westermann,Christopher Bruhn,Eric J Brown,Xingzhi Xu,Marco Foiani,Zhao-Qi Wang

Journal of experimental & clinical cancer research : CR 44:86 PubMed40045373

2025

A chimeric antigen receptor tailored to integrate complementary activation signals potentiates the antitumor activity of NK cells.

Applications

Unspecified application

Species

Unspecified reactive species

Eunbi Yi,Eunbi Lee,Hyo Jin Park,Hyeon Ho Lee,So Hyeon Yun,Hun Sik Kim

Oncogenesis 14:5 PubMed40044674

2025

CENPF (+) cancer cells promote malignant progression of early-stage TP53 mutant lung adenocarcinoma.

Applications

Unspecified application

Species

Unspecified reactive species

Yanlu Xiong,Jie Lei,Miaomiao Wen,Yongfu Ma,Jinbo Zhao,Yahui Tian,Zitong Wan,Xiaoyan Li,Jianfei Zhu,Wenchen Wang,Xiaohong Ji,Ying Sun,Jie Yang,Jiao Zhang,Shaowei Xin,Yang Liu,Lintao Jia,Yong Han,Tao Jiang
View all publications

Product promise

We are committed to supporting your work with high-quality reagents, and we're here for you every step of the way. In the unlikely event that one of our products does not perform as expected, you're protected by our Product Promise.
For full details, please see our Terms & Conditions

Please note: All products are 'FOR RESEARCH USE ONLY. NOT FOR USE IN DIAGNOSTIC OR THERAPEUTIC PROCEDURES'.

For licensing inquiries, please contact partnerships@abcam.com