JavaScript is disabled in your browser. Please enable JavaScript to view this website.
AB99696

Mouse monoclonal [SB62a] Anti-Rabbit IgG light chain (Alkaline Phosphatase)

Be the first to review this product! Submit a review

|

(2 Publications)

Suitable for WB, ELISA. Cited in 2 publications.

View Alternative Names

Ig gamma 1 chain C region, Ig gamma 3 chain C region, Ig gamma 4 chain C region, Ig gamma chain C region, Ig gamma-2 chain C region, Ig kappa-b4 chain C region, Ig kappa-b5 chain C region, Ig kappa-b9 chain C region, Ig lambda chain C region, Immunoglobin heavy constant gamma 1, Immunoglobulin G, K-BAS

2 Images
Western blot - Mouse monoclonal [SB62a] Anti-Rabbit IgG light chain (Alkaline Phosphatase) (AB99696)
  • WB

Unknown

Western blot - Mouse monoclonal [SB62a] Anti-Rabbit IgG light chain (Alkaline Phosphatase) (AB99696)

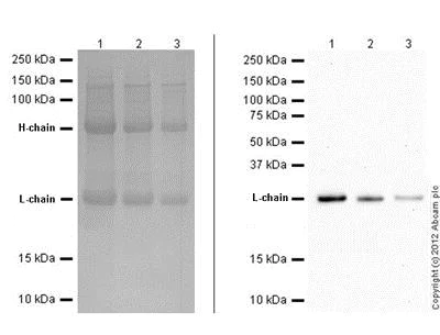
Western blot showing that Mouse monoclonal [SB62a] Secondary Antibody to Rabbit IgG light chain (AP) (ab99696) specifically binds to light-chains

Left blot : Coomassie stain showing the rabbit heavy (~50kDa) and light-chains (~25 kDa)

Lane 1 : 10 μg rabbit monoclonal was loaded
Lane 2 : 5 μg rabbit monoclonal was loaded
Lane 3 : 2 μg rabbit monoclonal was loaded

Right blot : WB using Mouse monoclonal [SB62a] Secondary Antibody to Rabbit IgG light chain (AP) (ab99696) as secondary antibody at 1/10,000

Lane 1 : 1 μg rabbit monoclonal was loaded
Lane 2 : 0.5 μg rabbit monoclonal was loaded
Lane 3 : 0.25 μg rabbit monoclonal was loaded

Secondary

All lanes:

Western blot - Mouse monoclonal [SB62a] Anti-Rabbit IgG light chain (Alkaline Phosphatase) (ab99696)

false

Western blot - Mouse monoclonal [SB62a] Anti-Rabbit IgG light chain (Alkaline Phosphatase) (AB99696)
  • WB

Unknown

Western blot - Mouse monoclonal [SB62a] Anti-Rabbit IgG light chain (Alkaline Phosphatase) (AB99696)

All lanes : Anti-beta Actin antibody [mAbcam 8226] - Loading Control (ab8226) at 1 μg/ml

Lanes 1-6 : HeLa (Human epithelial carcinoma cell line) Whole Cell Lysate
Lysates/proteins at 10 μg per lane.

Secondary
Lanes 1 - 2 : Mouse monoclonal [SB62a] Secondary Antibody to Rabbit IgG - light chain (AP) (ab99696) at 1/5000 dilution
Lanes 3 - 4 : Mouse monoclonal [SB62a] Secondary Antibody to Rabbit IgG - light chain (AP) (ab99696) at 1/20000 dilution
Lanes 5 - 6 : Mouse monoclonal [SB62a] Secondary Antibody to Rabbit IgG - light chain (AP) (ab99696) at 1/50000 dilution

Secondary

All lanes:

Western blot - Mouse monoclonal [SB62a] Anti-Rabbit IgG light chain (Alkaline Phosphatase) (ab99696)

true

  • Unconjugated

    Mouse monoclonal [SB62a] Anti-Rabbit IgG light chain

  • HRP

    Mouse monoclonal [SB62a] Anti-Rabbit IgG light chain (HRP)

Key facts

Host species

Mouse

Target species

Rabbit

Target isotype

IgG

Target specificity

Light chain

Minimal cross-reactivity
Pre-adsorbed

No

Conjugation

Alkaline Phosphatase

Excitation/Emission
Applications

ELISA, WB

applications

Clonality

Monoclonal

Clone number

SB62a

Isotype

IgG2b

Light chain type

lambda

Specificity

ab99696 reacts with the light chain of native Rabbit IgG primary antibodies and does not bind to the reduced and denatured Rabbit IgG heavy chain band (50 kD).

Reactivity data

{ "title": "Reactivity Data", "filters": { "stats": ["", "Reactivity", "Dilution Info", "Notes"] }, "values": { "WB": { "reactivity":"TESTED_AND_REACTS", "dilution-info":"", "notes":"<p></p>" }, "ELISA": { "reactivity":"TESTED_AND_REACTS", "dilution-info":"1/2000.00000 - 1/4000.00000", "notes":"<p></p>" } } }

You may be interested in:

AB119211

InstantBlue® Coomassie Protein Stain (ISB1L)

5

5 Reviews

View product

We recommend this product because it’s often used in the same experiment or related research.

We advise that you always check the datasheet to ensure it fits your experiments, or contact ourtechnical teamfor help.

Properties and storage information

Form
Liquid
Purification technique
Affinity purification Protein A
Storage buffer
pH: 8 Preservative: 0.1% Sodium azide Constituents: 50% Glycerol (glycerin, glycerine), 0.605% Tris, 0.0095% Magnesium chloride
Shipped at conditions
Blue Ice
Appropriate short-term storage duration
1-2 weeks
Appropriate short-term storage conditions
+4°C
Appropriate long-term storage conditions
-20°C
Aliquoting information
Upon delivery aliquot
Storage information
Avoid freeze / thaw cycle

Product protocols

Publications (2)

Recent publications for all applications. Explore the full list and refine your search

Frontiers in microbiology 10:2161 PubMed31611848

2019

Arsenic Response of Three Altiplanic Strains With Different Tolerance Levels Against the Metalloid Species: A Proteomics Study.

Applications

Unspecified application

Species

Unspecified reactive species

Juan Castro-Severyn,Coral Pardo-Esté,Yoelvis Sulbaran,Carolina Cabezas,Valentina Gariazzo,Alan Briones,Naiyulin Morales,Martial Séveno,Mathilde Decourcelle,Nicolas Salvetat,Francisco Remonsellez,Eduardo Castro-Nallar,Franck Molina,Laurence Molina,Claudia P Saavedra

Oncology reports 41:789-800 PubMed30535441

2018

lincRNA‑p21 inhibits the progression of non‑small cell lung cancer via targeting miR‑17‑5p.

Applications

Unspecified application

Species

Unspecified reactive species

Xiang Ao,Ming Jiang,Jie Zhou,Hongling Liang,Haoming Xia,Gang Chen
View all publications

Product promise

We are committed to supporting your work with high-quality reagents, and we're here for you every step of the way. In the unlikely event that one of our products does not perform as expected, you're protected by our Product Promise.
For full details, please see our Terms & Conditions

Associated Products

Select an associated product type
Alternative Version
Secondary Antibodies

AB99697

Mouse monoclonal [SB62a] Anti-Rabbit IgG light chain (HRP)

secondary-antibodies

mouse-monoclonal-sb62a-rabbit-igg-light-chain-hrp-ab99697

5

(1 reviews)

Please note: All products are 'FOR RESEARCH USE ONLY. NOT FOR USE IN DIAGNOSTIC OR THERAPEUTIC PROCEDURES'.

For licensing inquiries, please contact partnerships@abcam.com