JavaScript is disabled in your browser. Please enable JavaScript to view this website.
AB97100

Rabbit Anti-Goat IgG H&L (HRP)

Be the first to review this product! Submit a review

|

(38 Publications)

Suitable for ICC, IHC-P, ELISA, WB. Ideal for western blot. Cited in 38 publications.

View Alternative Names

Ig gamma 1 chain C region, Ig gamma 3 chain C region, Ig gamma 4 chain C region, Ig gamma-2 chain C region, Immunoglobin heavy constant gamma 1, Immunoglobulin G

2 Images
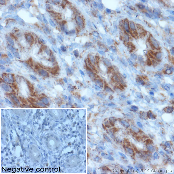
Immunohistochemistry (Formalin/PFA-fixed paraffin-embedded sections) - Rabbit Anti-Goat IgG H&L (HRP) (AB97100)
  • IHC-P

Unknown

Immunohistochemistry (Formalin/PFA-fixed paraffin-embedded sections) - Rabbit Anti-Goat IgG H&L (HRP) (AB97100)

IHC image of beta Actin staining in Human normal Colon formalin fixed paraffin embedded tissue section*. The section was pre-treated using pressure cooker heat mediated antigen retrieval with sodium citrate buffer (pH6) for 30mins. The section was incubated with ab8229, 10μg/ml overnight at +4°C. An HRP-conjugated secondary (ab97100, 1/100 dilution) was used for 1hr at room temperature. The section was counterstained with haematoxylin and mounted with DPX.

The inset negative control image is secondary-only at 1/500 dilution.

*Tissue obtained from the Human Research Tissue Bank, supported by the NIHR Cambridge Biomedical Research Centre

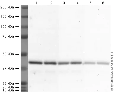
Western blot - Rabbit Anti-Goat IgG H&L (HRP) (AB97100)
  • WB

Unknown

Western blot - Rabbit Anti-Goat IgG H&L (HRP) (AB97100)

All lanes : Anti-beta Actin antibody (ab8229) at 1 μg/ml and HeLa (Human epithelial carcinoma cell line) Whole Cell Lysate at 20 μg per lane.
Secondary
Lanes 1 - 2 : Rabbit polyclonal Secondary Antibody to Goat IgG - H&L (HRP) (ab97100) at 1/5000 dilution
Lanes 3 - 4 : Rabbit polyclonal Secondary Antibody to Goat IgG - H&L (HRP) (ab97100) at 1/10000 dilution
Lanes 5 - 6 : Rabbit polyclonal Secondary Antibody to Goat IgG - H&L (HRP) (ab97100) at 1/20000 dilution

Developed using the ECL technique

Performed under reducing conditions.

Exposure time : 8 minutes

Secondary

All lanes:

Western blot - Rabbit Anti-Goat IgG H&L (HRP) (ab97100)

false

Key facts

Host species

Rabbit

Target species

Goat

Target isotype

IgG

Target specificity

Heavy & Light chains

Minimal cross-reactivity
Pre-adsorbed

No

Conjugation

HRP

Excitation/Emission
Applications

ELISA, IHC-P, WB, ICC

applications

Clonality

Polyclonal

Isotype

IgG

Specificity

By immunoelectrophoresis and ELISA this antibody reacts specifically with Goat IgG and with light chains common to other Goat immunoglobulins. No antibody was detected against non immunoglobulin serum proteins.

Reactivity data

{ "title": "Reactivity Data", "filters": { "stats": ["", "Reactivity", "Dilution Info", "Notes"] }, "values": { "ICC": { "reactivity":"TESTED_AND_REACTS", "dilution-info":"", "notes":"<p></p>" }, "IHC-P": { "reactivity":"TESTED_AND_REACTS", "dilution-info":"1/200 - 1/5000", "notes":"<p></p>" }, "ELISA": { "reactivity":"TESTED_AND_REACTS", "dilution-info":"1/10000 - 1/100000", "notes":"<p></p>" }, "WB": { "reactivity":"TESTED_AND_REACTS", "dilution-info":"1/2000 - 1/20000", "notes":"<p>Colorimetric: 1/5000 - 1/30000; Chemiluminescent: 1/10000 - 1/50000</p>" } } }

Product details

Part of the AbExcel range.

Properties and storage information

Form
Liquid
Purification technique
Affinity purification Immunogen
Purification notes
This antibody was isolated by affinity chromatography using antigen coupled to agarose beads and conjugated to Horse Radish Peroxidase (HRP).
Storage buffer
pH: 6.8 - 7.4 Preservative: 0.05% CMIT/MIT based preservative Constituents: 0.2% BSA
Shipped at conditions
Blue Ice
Appropriate short-term storage conditions
+4°C
Appropriate long-term storage conditions
+4°C

Product protocols

Publications (38)

Recent publications for all applications. Explore the full list and refine your search

NPJ vaccines 8:155 PubMed37821505

2023

A recombinant virus-like particle vaccine against adenovirus-7 induces a potent humoral response.

Applications

Unspecified application

Species

Unspecified reactive species

Ryan Mazboudi,Hannah Mulhall Maasz,Matthew D Resch,Ke Wen,Paul Gottlieb,Aleksandra Alimova,Reza Khayat,Natalie D Collins,Robert A Kuschner,Jose M Galarza

Nucleic acids research 50:10756-10771 PubMed36165847

2022

Translational enhancement by base editing of the Kozak sequence rescues haploinsufficiency.

Applications

Unspecified application

Species

Unspecified reactive species

Chiara Ambrosini,Eliana Destefanis,Eyemen Kheir,Francesca Broso,Federica Alessandrini,Sara Longhi,Nicolò Battisti,Isabella Pesce,Erik Dassi,Gianluca Petris,Anna Cereseto,Alessandro Quattrone

Epigenetics & chromatin 15:30 PubMed35986423

2022

PDS5A and PDS5B differentially affect gene expression without altering cohesin localization across the genome.

Applications

Unspecified application

Species

Unspecified reactive species

Nicole L Arruda,Audra F Bryan,Jill M Dowen

Molecules (Basel, Switzerland) 26: PubMed34770786

2021

Betulinic Acid Modulates the Expression of HSPA and Activates Apoptosis in Two Cell Lines of Human Colorectal Cancer.

Applications

Unspecified application

Species

Unspecified reactive species

Laphatrada Yurasakpong,Chanin Nantasenamat,Saksit Nobsathian,Kulathida Chaithirayanon,Somjai Apisawetakan

Cells 10: PubMed34359871

2021

Generation of a Highly Biomimetic Organoid, Including Vasculature, Resembling the Native Immature Testis Tissue.

Applications

Unspecified application

Species

Unspecified reactive species

Tat-Chuan Cham,Fahar Ibtisham,Mohammad Amin Fayaz,Ali Honaramooz

Cell death & disease 12:515 PubMed34016958

2021

Regulation of sarcomagenesis by the empty spiracles homeobox genes EMX1 and EMX2.

Applications

Unspecified application

Species

Unspecified reactive species

Manuel Pedro Jimenez-García,Antonio Lucena-Cacace,Daniel Otero-Albiol,Amancio Carnero

Molecular medicine reports 23: PubMed33760182

2021

lncRNA‑MIAT facilitates the differentiation of adipose‑derived mesenchymal stem cells into lymphatic endothelial cells via the miR‑495/Prox1 axis.

Applications

Unspecified application

Species

Unspecified reactive species

Xiao-Wei Dai,Wen Luo,Chun-Liu Lv

PLoS genetics 17:e1009435 PubMed33760811

2021

A cohesin cancer mutation reveals a role for the hinge domain in genome organization and gene expression.

Applications

Unspecified application

Species

Unspecified reactive species

Zachary M Carico,Holden C Stefan,Megan Justice,Askar Yimit,Jill M Dowen

JCI insight 6: PubMed33571164

2021

Prolyl endopeptidase contributes to early neutrophilic inflammation in acute myocardial transplant rejection.

Applications

Unspecified application

Species

Unspecified reactive species

Gregory A Payne,Nirmal S Sharma,Charitharth V Lal,Chunyan Song,Lingling Guo,Camilla Margaroli,Liliana Viera,Siva Kumar,Jindong Li,Dongqi Xing,Melanie Bosley,Xin Xu,J Michael Wells,James F George,Jose Tallaj,Massoud Leesar,J Edwin Blalock,Amit Gaggar

Genetics 217: PubMed33704438

2021

Functional impact of cancer-associated cohesin variants on gene expression and cellular identity.

Applications

Unspecified application

Species

Unspecified reactive species

Natalie L Rittenhouse,Zachary M Carico,Ying Frances Liu,Holden C Stefan,Nicole L Arruda,Junjie Zhou,Jill M Dowen
View all publications

Product promise

We are committed to supporting your work with high-quality reagents, and we're here for you every step of the way. In the unlikely event that one of our products does not perform as expected, you're protected by our Product Promise.
For full details, please see our Terms & Conditions

Please note: All products are 'FOR RESEARCH USE ONLY. NOT FOR USE IN DIAGNOSTIC OR THERAPEUTIC PROCEDURES'.

For licensing inquiries, please contact partnerships@abcam.com