JavaScript is disabled in your browser. Please enable JavaScript to view this website.
AB125913

Rabbit monoclonal [M1gG51-4] Anti-Mouse IgG1 H&L

Be the first to review this product! Submit a review

|

(10 Publications)

Recombinant secondary antibody suitable for ELISA, IHC-P. Cited in 10 publications.

View Alternative Names

Igh-4, Ighg1, Ig gamma-1 chain C region secreted form

37 Images
Immunohistochemistry (Formalin/PFA-fixed paraffin-embedded sections) - Rabbit monoclonal [M1gG51-4] Anti-Mouse IgG1 H&L (AB125913)
  • IHC-P

Supplier Data

Immunohistochemistry (Formalin/PFA-fixed paraffin-embedded sections) - Rabbit monoclonal [M1gG51-4] Anti-Mouse IgG1 H&L (AB125913)

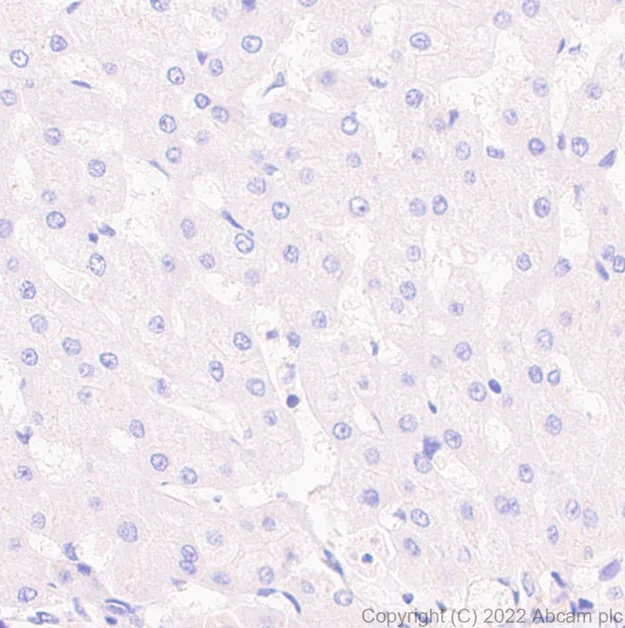
Immunohistochemical analysis of paraffin-embedded Human liver tissue labelling SHP2 with ab290646 at 1/500 (2.018 µg/ml) followed by a ready to use LeicaDS9800 (Bond™ Polymer Refine Detection) was used. Negative control : no staining in human liver (PMID : 8216283).The section was incubated with ab290646 for 30 mins at room temperature, followed by anti-mouse IgG1 antibody (ab125913) for 8 mins during the LeicaDS9800 kit staining procedure. The immunostaining was performed on a Leica Biosystems BOND® RX instrument Counterstained with Hematoxylin. Secondary antibody only control : Secondary antibody is a ready to use LeicaDS9800 (Bond™ Polymer Refine Detection) was used. Heat mediated antigen retrieval with Tris-EDTA buffer (pH 9.0, epitope retrieval solution2) for 20 mins

Immunohistochemistry (Formalin/PFA-fixed paraffin-embedded sections) - Rabbit monoclonal [M1gG51-4] Anti-Mouse IgG1 H&L (AB125913)
  • IHC-P

Supplier Data

Immunohistochemistry (Formalin/PFA-fixed paraffin-embedded sections) - Rabbit monoclonal [M1gG51-4] Anti-Mouse IgG1 H&L (AB125913)

Immunohistochemical analysis of paraffin-embedded human cardiac muscle tissue labeling p53 with ab308609 at 1/100 (10.28 ug/ml) followed by a ready to use LeicaDS9800 (Bond™ Polymer Refine Detection). Negative control : No staining on human cardiac muscle. The section was incubated with ab308609 for 30 mins at room temperature, followed by anti-mouse IgG1 antibody (ab125913) for 8 mins during the LeicaDS9800 kit staining procedure. The immunostaining was performed on a Leica Biosystems BOND® RX instrument. Counterstained with Hematoxylin. Heat mediated antigen retrieval was performed with Tris-EDTA buffer (pH 9.0, Epitope Retrieval Solution2) for 20 mins.

Immunohistochemistry (Formalin/PFA-fixed paraffin-embedded sections) - Rabbit monoclonal [M1gG51-4] Anti-Mouse IgG1 H&L (AB125913)
  • IHC-P

Supplier Data

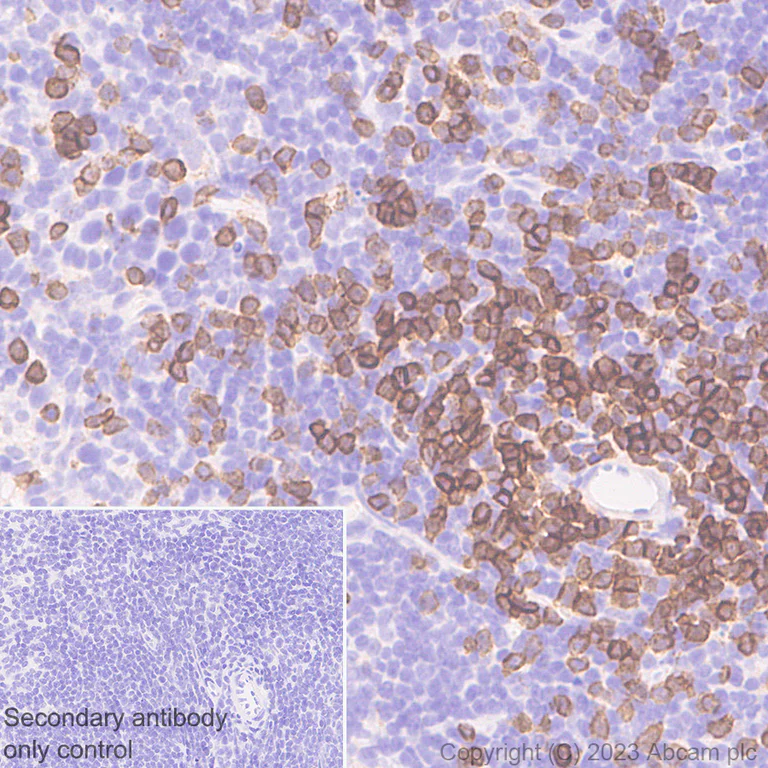
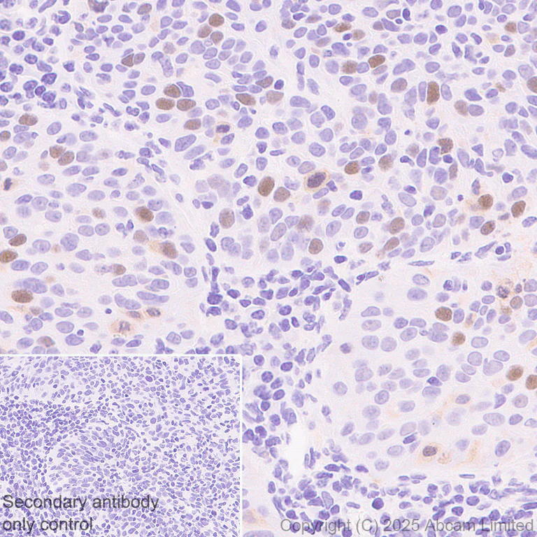
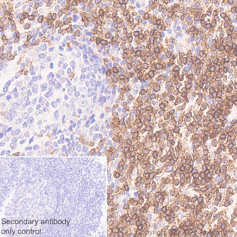
Immunohistochemistry (Formalin/PFA-fixed paraffin-embedded sections) - Rabbit monoclonal [M1gG51-4] Anti-Mouse IgG1 H&L (AB125913)

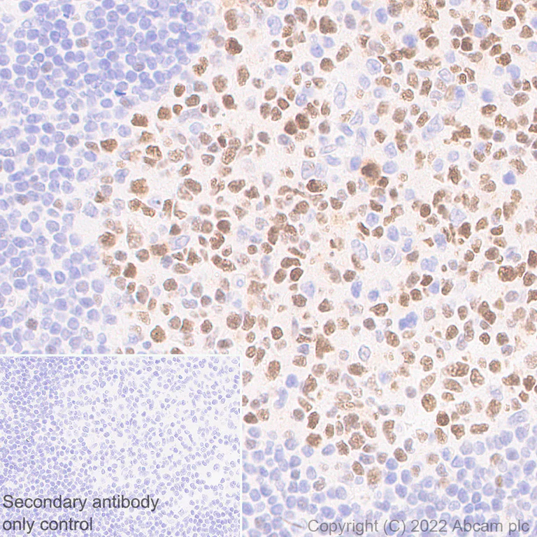
Immunohistochemical analysis of paraffin-embedded human non-Hodgkin's tissue labeling Bcl6 with ab307681 at 1/1000 (0.992 ug/ml) followed by a ready to use LeicaDS9800 (Bond™ Polymer Refine Detection). Nuclear staining on human non-Hodgkin's B-cell lymphoma. The section was incubated with ab307681 for 30 mins at room temperature, followed by anti-mouse IgG1 antibody (ab125913) for 8 mins during the LeicaDS9800 kit staining procedure. The immunostaining was performed on a Leica Biosystems BOND® RX instrument. Counterstained with Hematoxylin. Secondary antibody only control : Secondary antibody is a ready to use LeicaDS9800 (Bond™ Polymer Refine Detection). Heat mediated antigen retrieval was performed with Tris-EDTA buffer (pH 9.0, Epitope Retrieval Solution2) for 20 mins.

Immunohistochemistry (Formalin/PFA-fixed paraffin-embedded sections) - Rabbit monoclonal [M1gG51-4] Anti-Mouse IgG1 H&L (AB125913)
  • IHC-P

Supplier Data

Immunohistochemistry (Formalin/PFA-fixed paraffin-embedded sections) - Rabbit monoclonal [M1gG51-4] Anti-Mouse IgG1 H&L (AB125913)
Immunohistochemistry (Formalin/PFA-fixed paraffin-embedded sections) - Rabbit monoclonal [M1gG51-4] Anti-Mouse IgG1 H&L (AB125913)
  • IHC-P

Supplier Data

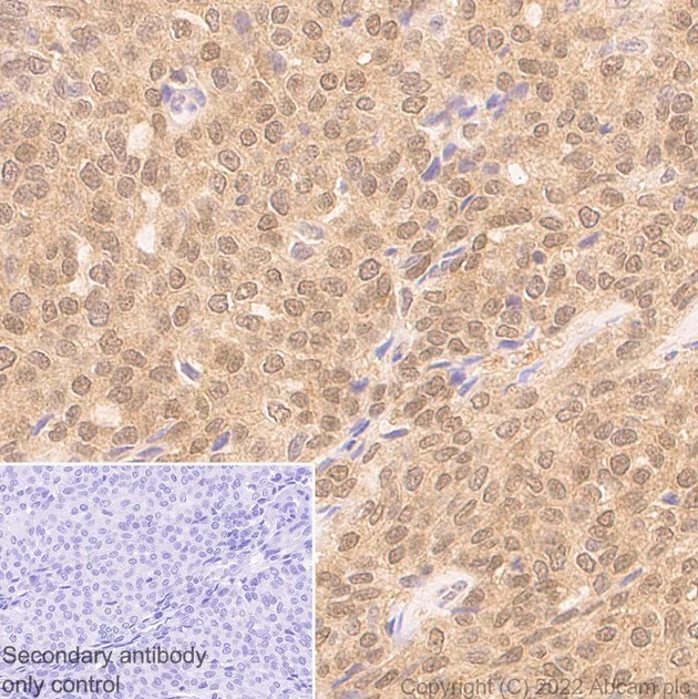
Immunohistochemistry (Formalin/PFA-fixed paraffin-embedded sections) - Rabbit monoclonal [M1gG51-4] Anti-Mouse IgG1 H&L (AB125913)

Immunohistochemical analysis of paraffin-embedded Human ovarian cancer tissue labelling SHP2 with ab290646 at 1/500 (2.018 ug/ml) followed by a ready to use LeicaDS9800 (Bond Polymer Refine Detection) was used. Positive staining in human ovarian cancer.The section was incubated with ab290646 for 30 mins at room temperature, followed by anti-mouse IgG1 antibody (ab125913) for 8 mins during the LeicaDS9800 kit staining procedure.The immunostaining was performed on a Leica Biosystems BOND® RX instrument Counterstained with Hematoxylin. Secondary antibody only control : Secondary antibody is a ready to use LeicaDS9800 (Bond Polymer Refine Detection) was used. Heat mediated antigen retrieval with Tris-EDTA buffer (pH 9.0, epitope retrieval solution2) for 20 mins

Immunohistochemistry (Formalin/PFA-fixed paraffin-embedded sections) - Rabbit monoclonal [M1gG51-4] Anti-Mouse IgG1 H&L (AB125913)
  • IHC-P

Supplier Data

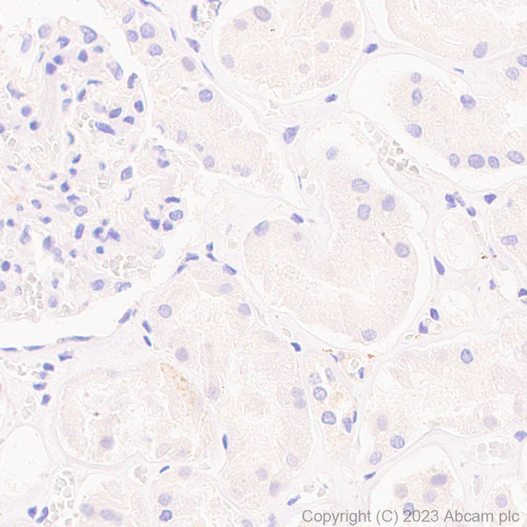
Immunohistochemistry (Formalin/PFA-fixed paraffin-embedded sections) - Rabbit monoclonal [M1gG51-4] Anti-Mouse IgG1 H&L (AB125913)

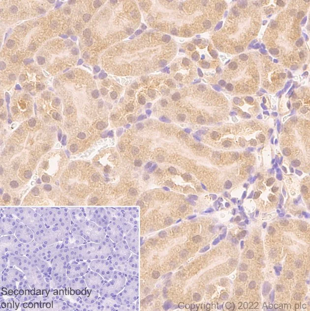
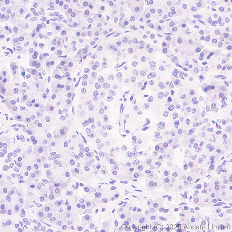
Immunohistochemical analysis of paraffin-embedded human kidney tissue labeling Synaptophysin with ab309493 at 1/20000 (0.047 ug/ml) followed by a ready to use LeicaDS9800 (Bond™ Polymer Refine Detection). Low expression tissue : almost no staining on human kidney. The section was incubated with ab309493 for 30 mins at room temperature, followed by anti-mouse IgG1 antibody (ab125913) for 8 mins during the LeicaDS9800 kit staining procedure. The immunostaining was performed on a Leica Biosystems BOND® RX instrument. Counterstained with Hematoxylin. Heat mediated antigen retrieval was performed with Tris-EDTA buffer (pH 9.0, Epitope Retrieval Solution2) for 20 mins.

Immunohistochemistry (Formalin/PFA-fixed paraffin-embedded sections) - Rabbit monoclonal [M1gG51-4] Anti-Mouse IgG1 H&L (AB125913)
  • IHC-P

Supplier Data

Immunohistochemistry (Formalin/PFA-fixed paraffin-embedded sections) - Rabbit monoclonal [M1gG51-4] Anti-Mouse IgG1 H&L (AB125913)

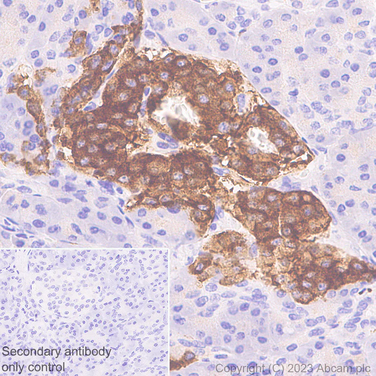
Immunohistochemical analysis of paraffin-embedded human pancreas tissue labeling Synaptophysin with ab309493 at 1/20000 (0.047 ug/ml) followed by a ready to use LeicaDS9800 (Bond™ Polymer Refine Detection). Positive staining on the islet in human pancreas. The section was incubated with ab309493 for 30 mins at room temperature, followed by anti-mouse IgG1 antibody (ab125913) for 8 mins during the LeicaDS9800 kit staining procedure. The immunostaining was performed on a Leica Biosystems BOND® RX instrument. Counterstained with Hematoxylin. Secondary antibody only control : Secondary antibody is a ready to use LeicaDS9800 (Bond™ Polymer Refine Detection). Heat mediated antigen retrieval was performed with Tris-EDTA buffer (pH 9.0, Epitope Retrieval Solution2) for 20 mins.

Immunohistochemistry (Formalin/PFA-fixed paraffin-embedded sections) - Rabbit monoclonal [M1gG51-4] Anti-Mouse IgG1 H&L (AB125913)
  • IHC-P

Supplier Data

Immunohistochemistry (Formalin/PFA-fixed paraffin-embedded sections) - Rabbit monoclonal [M1gG51-4] Anti-Mouse IgG1 H&L (AB125913)

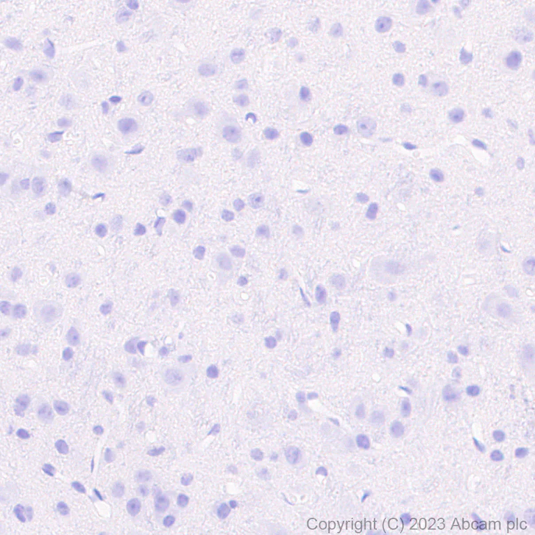
Immunohistochemical analysis of paraffin-embedded human cerebrum tissue labeling CD3 epsilon with ab313799 at 1/100 (9.09 ug/ml) dilution followed by a ready to use LeicaDS9800 (Bond™ Polymer Refine Detection). Negative control : no staining on human cerebrum. The section was incubated with ab313799 for 30 mins at room temperature, followed by anti-mouse IgG1 antibody (ab125913) for 8 mins during the LeicaDS9800 kit staining procedure. The immunostaining was performed on a Leica Biosystems BOND® RX instrument. Counterstained with Hematoxylin. Secondary antibody only control : Secondary antibody is a ready to use LeicaDS9800 (Bond™ Polymer Refine Detection). Heat mediated antigen retrieval was performed with Citrate buffer (pH 6.0, Epitope Retrieval Solution 1) for 20 mins.

Immunohistochemistry (Formalin/PFA-fixed paraffin-embedded sections) - Rabbit monoclonal [M1gG51-4] Anti-Mouse IgG1 H&L (AB125913)
  • IHC-P

Supplier Data

Immunohistochemistry (Formalin/PFA-fixed paraffin-embedded sections) - Rabbit monoclonal [M1gG51-4] Anti-Mouse IgG1 H&L (AB125913)

Immunohistochemical analysis of paraffin-embedded Human endometrium carcinoma tissues labeling MUC1 with ab70475 at 1/5000 dilution followed by LeicaDS9800 (Bond™ Polymer Refine Detection). The section was incubated with ab70475 for 30 mins at room temperature and followed by mouse IgG antibody (ab125913, 1 : 1000) for 8 mins. The immunostaining was performed on a Leica Biosystems BOND® RX instrument. Counterstained with hematoxylin.

Immunohistochemistry (Formalin/PFA-fixed paraffin-embedded sections) - Rabbit monoclonal [M1gG51-4] Anti-Mouse IgG1 H&L (AB125913)
  • IHC-P

Supplier Data

Immunohistochemistry (Formalin/PFA-fixed paraffin-embedded sections) - Rabbit monoclonal [M1gG51-4] Anti-Mouse IgG1 H&L (AB125913)

Immunohistochemical analysis of paraffin-embedded Human endometrium tissues labeling MUC1 with ab70475 at 1/5000 dilution followed by LeicaDS9800 (Bond™ Polymer Refine Detection). The section was incubated with ab70475 for 30 mins at room temperature and followed by mouse IgG antibody (ab125913, 1 : 1000) for 8 mins. The immunostaining was performed on a Leica Biosystems BOND® RX instrument. Counterstained with hematoxylin.

Immunohistochemistry (Formalin/PFA-fixed paraffin-embedded sections) - Rabbit monoclonal [M1gG51-4] Anti-Mouse IgG1 H&L (AB125913)
  • IHC-P

Supplier Data

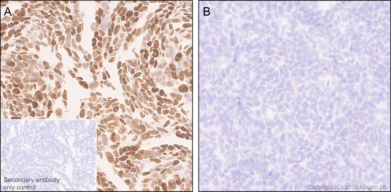
Immunohistochemistry (Formalin/PFA-fixed paraffin-embedded sections) - Rabbit monoclonal [M1gG51-4] Anti-Mouse IgG1 H&L (AB125913)

Immunohistochemical analysis of paraffin-embedded cells labeling p53 with ab308609 at 1/100 (10.28 ug/ml) followed by a ready to use LeicaDS9800 (Bond™ Polymer Refine Detection). Mainly nuclear staining on (A) wild-type HAP1 cell pellet, no staining on (B) p53 knockout HAP1 cell pellet. The section was incubated with ab308609 for 30 mins at room temperature, followed by anti-mouse IgG1 antibody (ab125913) for 8 mins during the LeicaDS9800 kit staining procedure. The immunostaining was performed on a Leica Biosystems BOND® RX instrument. Counterstained with Hematoxylin. Secondary antibody only control : Secondary antibody is a ready to use LeicaDS9800 (Bond™ Polymer Refine Detection). Heat mediated antigen retrieval was performed with Tris-EDTA buffer (pH 9.0, Epitope Retrieval Solution2) for 20 mins.

Immunohistochemistry (Formalin/PFA-fixed paraffin-embedded sections) - Rabbit monoclonal [M1gG51-4] Anti-Mouse IgG1 H&L (AB125913)
  • IHC-P

Supplier Data

Immunohistochemistry (Formalin/PFA-fixed paraffin-embedded sections) - Rabbit monoclonal [M1gG51-4] Anti-Mouse IgG1 H&L (AB125913)

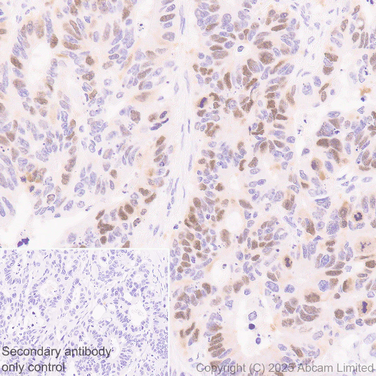
Immunohistochemical analysis of paraffin-embedded human endometrial cancer tissue labeling p53 with ab308609 at 1/100 (10.28 ug/ml) followed by a ready to use LeicaDS9800 (Bond™ Polymer Refine Detection). Mainly nuclear staining on human endometrial cancer. The section was incubated with ab308609 for 30 mins at room temperature, followed by anti-mouse IgG1 antibody (ab125913) for 8 mins during the LeicaDS9800 kit staining procedure. The immunostaining was performed on a Leica Biosystems BOND® RX instrument. Counterstained with Hematoxylin. Secondary antibody only control : Secondary antibody is a ready to use LeicaDS9800 (Bond™ Polymer Refine Detection). Heat mediated antigen retrieval was performed with Tris-EDTA buffer (pH 9.0, Epitope Retrieval Solution2) for 20 mins.

Immunohistochemistry (Formalin/PFA-fixed paraffin-embedded sections) - Rabbit monoclonal [M1gG51-4] Anti-Mouse IgG1 H&L (AB125913)
  • IHC-P

Lab

Immunohistochemistry (Formalin/PFA-fixed paraffin-embedded sections) - Rabbit monoclonal [M1gG51-4] Anti-Mouse IgG1 H&L (AB125913)

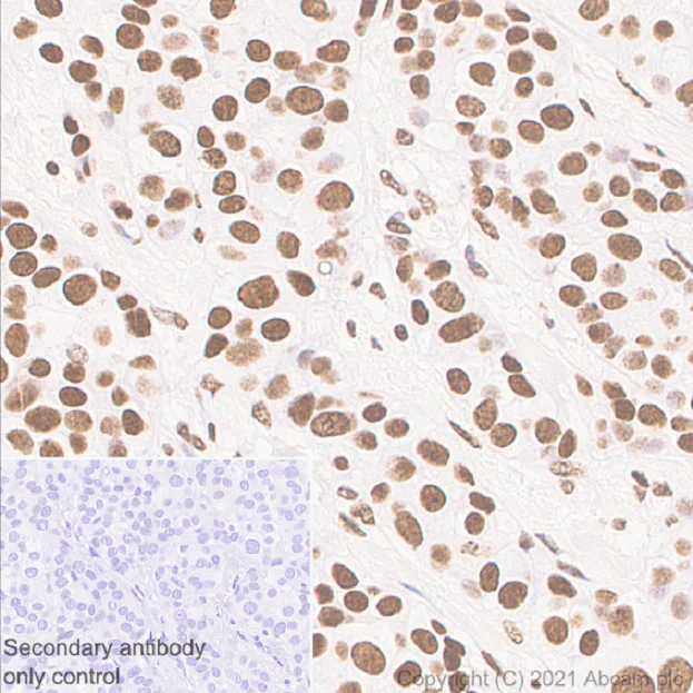
Nuclear staining in human breast cancer. The section was heat mediated antigen retrieval with Citrate buffer (pH 6.0, epitope retrieval solution 1) for 20 mins. The section was incubated with ab52484 at 1 : 20000 (0.053 μg/ml) for 10 mins at room temperature, followed by anti-mouse IgG1 antibody (ab125913) for 8 mins during the LeicaDS9800 kit staining procedure. The immunostaining was performed on a Leica Biosystems BOND® RX instrument

Immunohistochemistry (Formalin/PFA-fixed paraffin-embedded sections) - Rabbit monoclonal [M1gG51-4] Anti-Mouse IgG1 H&L (AB125913)
  • IHC-P

Supplier Data

Immunohistochemistry (Formalin/PFA-fixed paraffin-embedded sections) - Rabbit monoclonal [M1gG51-4] Anti-Mouse IgG1 H&L (AB125913)

Immunohistochemical analysis of paraffin-embedded Human colon cancer tissue labeling ECT2 with ab324657 at 1/100 (9.37 ug/ml) dilution, followed by a ready to use LeicaDS9800 (Bond™ Polymer Refine Detection).

Positive staining on human colon cancer.
The primary antibody was incubated for 30 mins at room temperature, followed by anti-mouse IgG1 antibody (ab125913) for 8 mins during the LeicaDS9800 kit staining procedure.
The immunostaining was performed on a Leica Biosystems BOND® RX instrument

Counterstained with Hematoxylin.

Secondary antibody only control : Secondary antibody is a ready to use LeicaDS9800 (Bond™ Polymer Refine Detection).

Heat mediated antigen retrieval was performed with Tris-EDTA buffer (pH 9.0, Epitope Retrieval Solution2) for 20 mins

Immunohistochemistry (Formalin/PFA-fixed paraffin-embedded sections) - Rabbit monoclonal [M1gG51-4] Anti-Mouse IgG1 H&L (AB125913)
  • IHC-P

Supplier Data

Immunohistochemistry (Formalin/PFA-fixed paraffin-embedded sections) - Rabbit monoclonal [M1gG51-4] Anti-Mouse IgG1 H&L (AB125913)

Immunohistochemical analysis of paraffin-embedded Human cervical cancer tissue labeling ECT2 with ab324657 at 1/100 (9.37 ug/ml) dilution, followed by a ready to use LeicaDS9800 (Bond™ Polymer Refine Detection).

Positive staining on human cervical cancer.
The primary antibody was incubated for 30 mins at room temperature, followed by anti-mouse IgG1 antibody (ab125913) for 8 mins during the LeicaDS9800 kit staining procedure.
The immunostaining was performed on a Leica Biosystems BOND® RX instrument

Counterstained with Hematoxylin.

Secondary antibody only control : Secondary antibody is a ready to use LeicaDS9800 (Bond™ Polymer Refine Detection).

Heat mediated antigen retrieval was performed with Tris-EDTA buffer (pH 9.0, Epitope Retrieval Solution2) for 20 mins

Immunohistochemistry (Formalin/PFA-fixed paraffin-embedded sections) - Rabbit monoclonal [M1gG51-4] Anti-Mouse IgG1 H&L (AB125913)
  • IHC-P

Supplier Data

Immunohistochemistry (Formalin/PFA-fixed paraffin-embedded sections) - Rabbit monoclonal [M1gG51-4] Anti-Mouse IgG1 H&L (AB125913)

Immunohistochemical analysis of paraffin-embedded human tonsil tissue labeling CD3 epsilon with ab313799 at 1/100 (9.09 ug/ml) dilution followed by a ready to use LeicaDS9800 (Bond™ Polymer Refine Detection). Positive staining on human tonsil. The section was incubated with ab313799 for 30 mins at room temperature, followed by anti-mouse IgG1 antibody (ab125913) for 8 mins during the LeicaDS9800 kit staining procedure. The immunostaining was performed on a Leica Biosystems BOND® RX instrument. Counterstained with Hematoxylin. Secondary antibody only control : Secondary antibody is a ready to use LeicaDS9800 (Bond™ Polymer Refine Detection). Heat mediated antigen retrieval was performed with Citrate buffer (pH 6.0, Epitope Retrieval Solution 1) for 20 mins.

Immunohistochemistry (Formalin/PFA-fixed paraffin-embedded sections) - Rabbit monoclonal [M1gG51-4] Anti-Mouse IgG1 H&L (AB125913)
  • IHC-P

Supplier Data

Immunohistochemistry (Formalin/PFA-fixed paraffin-embedded sections) - Rabbit monoclonal [M1gG51-4] Anti-Mouse IgG1 H&L (AB125913)

Immunohistochemical analysis of paraffin-embedded Human pancreas tissue labeling ECT2 with ab324657 at 1/100 (9.37 ug/ml) dilution, followed by a ready to use LeicaDS9800 (Bond™ Polymer Refine Detection).

Negative control : no staining on human pancreas.
The primary antibody was incubated for 30 mins at room temperature, followed by anti-mouse IgG1 antibody (ab125913) for 8 mins during the LeicaDS9800 kit staining procedure.
The immunostaining was performed on a Leica Biosystems BOND® RX instrument

Counterstained with Hematoxylin.

Secondary antibody only control : Secondary antibody is a ready to use LeicaDS9800 (Bond™ Polymer Refine Detection).

Heat mediated antigen retrieval was performed with Tris-EDTA buffer (pH 9.0, Epitope Retrieval Solution2) for 20 mins

Immunohistochemistry (Formalin/PFA-fixed paraffin-embedded sections) - Rabbit monoclonal [M1gG51-4] Anti-Mouse IgG1 H&L (AB125913)
  • IHC-P

Supplier Data

Immunohistochemistry (Formalin/PFA-fixed paraffin-embedded sections) - Rabbit monoclonal [M1gG51-4] Anti-Mouse IgG1 H&L (AB125913)

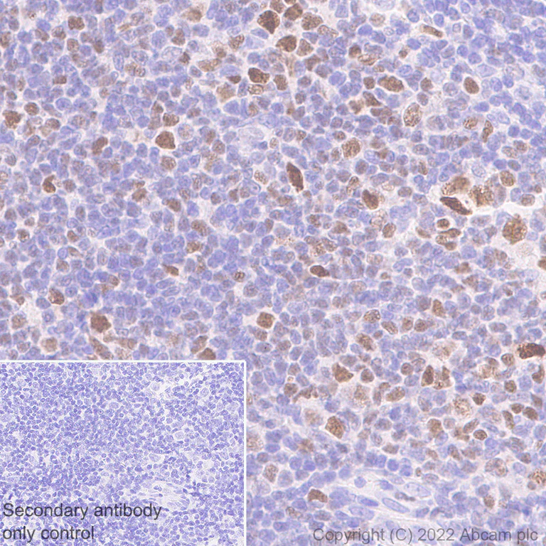
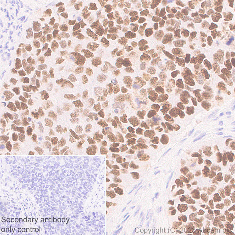
Immunohistochemical analysis of paraffin-embedded human tonsil tissue labeling Bcl6 with ab307681 at 1/1000 (0.992 ug/ml) followed by a ready to use LeicaDS9800 (Bond™ Polymer Refine Detection). Nuclear staining on human tonsil. The section was incubated with ab307681 for 30 mins at room temperature, followed by anti-mouse IgG1 antibody (ab125913) for 8 mins during the LeicaDS9800 kit staining procedure. The immunostaining was performed on a Leica Biosystems BOND® RX instrument. Counterstained with Hematoxylin. Secondary antibody only control : Secondary antibody is a ready to use LeicaDS9800 (Bond™ Polymer Refine Detection). Heat mediated antigen retrieval was performed with Tris-EDTA buffer (pH 9.0, Epitope Retrieval Solution2) for 20 mins.

Immunohistochemistry (Formalin/PFA-fixed paraffin-embedded sections) - Rabbit monoclonal [M1gG51-4] Anti-Mouse IgG1 H&L (AB125913)
  • IHC-P

Supplier Data

Immunohistochemistry (Formalin/PFA-fixed paraffin-embedded sections) - Rabbit monoclonal [M1gG51-4] Anti-Mouse IgG1 H&L (AB125913)

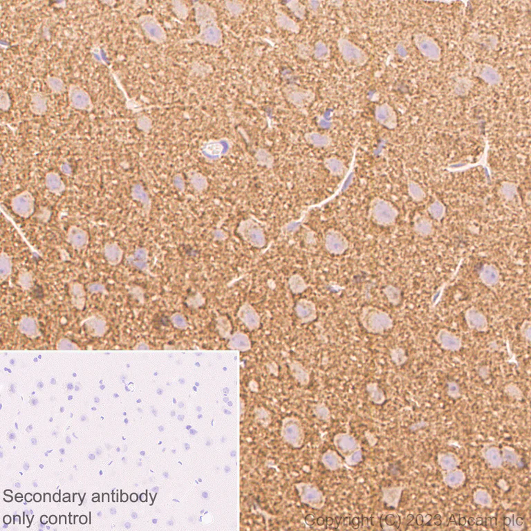
Cytoplasmic staining on rat cerebrum.
The section was incubated with ab317835 for 30 mins at room temperature, followed by anti-mouse IgG1 antibody (ab125913) for 8 mins during the LeicaDS9800 kit staining procedure.
The immunostaining was performed on a Leica Biosystems BOND® RX instrument

Counterstained with Hematoxylin.

Secondary antibody only control : Secondary antibody is a ready to use LeicaDS9800 (Bond™ Polymer Refine Detection).

Heat mediated antigen retrieval was performed with Tris-EDTA buffer (pH 9.0, Epitope Retrieval Solution2) for 20 mins

Immunohistochemistry (Formalin/PFA-fixed paraffin-embedded sections) - Rabbit monoclonal [M1gG51-4] Anti-Mouse IgG1 H&L (AB125913)
  • IHC-P

Supplier Data

Immunohistochemistry (Formalin/PFA-fixed paraffin-embedded sections) - Rabbit monoclonal [M1gG51-4] Anti-Mouse IgG1 H&L (AB125913)
Immunohistochemistry (Formalin/PFA-fixed paraffin-embedded sections) - Rabbit monoclonal [M1gG51-4] Anti-Mouse IgG1 H&L (AB125913)
  • IHC-P

Supplier Data

Immunohistochemistry (Formalin/PFA-fixed paraffin-embedded sections) - Rabbit monoclonal [M1gG51-4] Anti-Mouse IgG1 H&L (AB125913)
Immunohistochemistry (Formalin/PFA-fixed paraffin-embedded sections) - Rabbit monoclonal [M1gG51-4] Anti-Mouse IgG1 H&L (AB125913)
  • IHC-P

Supplier Data

Immunohistochemistry (Formalin/PFA-fixed paraffin-embedded sections) - Rabbit monoclonal [M1gG51-4] Anti-Mouse IgG1 H&L (AB125913)

Immunohistochemical analysis of paraffin-embedded mouse cerebrum tissue labeling CD3 epsilon with ab313799 at 1/100 (9.09 ug/ml) dilution followed by a ready to use LeicaDS9800 (Bond™ Polymer Refine Detection). Negative control : no staining on mouse cerebrum. The section was incubated with ab313799 for 30 mins at room temperature, followed by anti-mouse IgG1 antibody (ab125913) for 8 mins during the LeicaDS9800 kit staining procedure. The immunostaining was performed on a Leica Biosystems BOND® RX instrument. Counterstained with Hematoxylin. Secondary antibody only control : Secondary antibody is a ready to use LeicaDS9800 (Bond™ Polymer Refine Detection). Heat mediated antigen retrieval was performed with Citrate buffer (pH 6.0, Epitope Retrieval Solution 1) for 20 mins.

Immunohistochemistry (Formalin/PFA-fixed paraffin-embedded sections) - Rabbit monoclonal [M1gG51-4] Anti-Mouse IgG1 H&L (AB125913)
  • IHC-P

Supplier Data

Immunohistochemistry (Formalin/PFA-fixed paraffin-embedded sections) - Rabbit monoclonal [M1gG51-4] Anti-Mouse IgG1 H&L (AB125913)

Immunohistochemical analysis of paraffin-embedded rat cerebrum tissue labeling CD3 epsilon with ab313799 at 1/100 (9.09 ug/ml) dilution followed by a ready to use LeicaDS9800 (Bond™ Polymer Refine Detection). Negative control : no staining on rat cerebrum. The section was incubated with ab313799 for 30 mins at room temperature, followed by anti-mouse IgG1 antibody (ab125913) for 8 mins during the LeicaDS9800 kit staining procedure. The immunostaining was performed on a Leica Biosystems BOND® RX instrument. Counterstained with Hematoxylin. Secondary antibody only control : Secondary antibody is a ready to use LeicaDS9800 (Bond™ Polymer Refine Detection). Heat mediated antigen retrieval was performed with Citrate buffer (pH 6.0, Epitope Retrieval Solution 1) for 20 mins.

Immunohistochemistry (Formalin/PFA-fixed paraffin-embedded sections) - Rabbit monoclonal [M1gG51-4] Anti-Mouse IgG1 H&L (AB125913)
  • IHC-P

Supplier Data

Immunohistochemistry (Formalin/PFA-fixed paraffin-embedded sections) - Rabbit monoclonal [M1gG51-4] Anti-Mouse IgG1 H&L (AB125913)

Immunohistochemical analysis of paraffin-embedded rat cerebrum tissue labeling Synaptophysin with ab309493 at 1/20000 (0.047 ug/ml) followed by a ready to use LeicaDS9800 (Bond™ Polymer Refine Detection). Positive staining on rat cerebrum. The section was incubated with ab309493 for 30 mins at room temperature, followed by anti-mouse IgG1 antibody (ab125913) for 8 mins during the LeicaDS9800 kit staining procedure. The immunostaining was performed on a Leica Biosystems BOND® RX instrument. Counterstained with Hematoxylin. Secondary antibody only control : Secondary antibody is a ready to use LeicaDS9800 (Bond™ Polymer Refine Detection). Heat mediated antigen retrieval was performed with Tris-EDTA buffer (pH 9.0, Epitope Retrieval Solution2) for 20 mins.

Immunohistochemistry (Formalin/PFA-fixed paraffin-embedded sections) - Rabbit monoclonal [M1gG51-4] Anti-Mouse IgG1 H&L (AB125913)
  • IHC-P

Supplier Data

Immunohistochemistry (Formalin/PFA-fixed paraffin-embedded sections) - Rabbit monoclonal [M1gG51-4] Anti-Mouse IgG1 H&L (AB125913)

Immunohistochemical analysis of paraffin-embedded mouse cerebrum tissue labeling Synaptophysin with ab309493 at 1/20000 (0.047 ug/ml) followed by a ready to use LeicaDS9800 (Bond™ Polymer Refine Detection). Positive staining on mouse cerebrum. The section was incubated with ab309493 for 30 mins at room temperature, followed by anti-mouse IgG1 antibody (ab125913) for 8 mins during the LeicaDS9800 kit staining procedure. The immunostaining was performed on a Leica Biosystems BOND® RX instrument. Counterstained with Hematoxylin. Secondary antibody only control : Secondary antibody is a ready to use LeicaDS9800 (Bond™ Polymer Refine Detection). Heat mediated antigen retrieval was performed with Tris-EDTA buffer (pH 9.0, Epitope Retrieval Solution2) for 20 mins.

Immunohistochemistry (Formalin/PFA-fixed paraffin-embedded sections) - Rabbit monoclonal [M1gG51-4] Anti-Mouse IgG1 H&L (AB125913)
  • IHC-P

Supplier Data

Immunohistochemistry (Formalin/PFA-fixed paraffin-embedded sections) - Rabbit monoclonal [M1gG51-4] Anti-Mouse IgG1 H&L (AB125913)

Immunohistochemical analysis of paraffin-embedded Rat kidney tissue labelling SHP2 with ab290646 at 1/2000 (0.505 ug/ml) followed by a ready to use LeicaDS9800 (Bond Polymer Refine Detection) was used. Positive staining in rat kidney.The section was incubated with ab290646 for 30 mins at room temperature, followed by anti-mouse IgG1 antibody (ab125913) for 8 mins during the LeicaDS9800 kit staining procedure.The immunostaining was performed on a Leica Biosystems BOND® RX instrument Counterstained with Hematoxylin. Secondary antibody only control : Secondary antibody is a ready to use LeicaDS9800 (Bond Polymer Refine Detection) was used. Heat mediated antigen retrieval with Tris-EDTA buffer (pH 9.0, epitope retrieval solution2) for 20 mins

Immunohistochemistry (Formalin/PFA-fixed paraffin-embedded sections) - Rabbit monoclonal [M1gG51-4] Anti-Mouse IgG1 H&L (AB125913)
  • IHC-P

Supplier Data

Immunohistochemistry (Formalin/PFA-fixed paraffin-embedded sections) - Rabbit monoclonal [M1gG51-4] Anti-Mouse IgG1 H&L (AB125913)

Immunohistochemical analysis of paraffin-embedded Mouse kidney tissue labelling SHP2 with ab290646 at 1/2000 (0.505 ug/ml) followed by a ready to use LeicaDS9800 (Bond Polymer Refine Detection) was used. Positive staining in mouse kidney.The section was incubated with ab290646 for 30 mins at room temperature, followed by anti-mouse IgG1 antibody (ab125913) for 8 mins during the LeicaDS9800 kit staining procedure.The immunostaining was performed on a Leica Biosystems BOND® RX instrument Counterstained with Hematoxylin. Secondary antibody only control : Secondary antibody is a ready to use LeicaDS9800 (Bond Polymer Refine Detection) was used. Heat mediated antigen retrieval with Tris-EDTA buffer (pH 9.0, epitope retrieval solution2) for 20 mins

Immunohistochemistry (Formalin/PFA-fixed paraffin-embedded sections) - Rabbit monoclonal [M1gG51-4] Anti-Mouse IgG1 H&L (AB125913)
  • IHC-P

Supplier Data

Immunohistochemistry (Formalin/PFA-fixed paraffin-embedded sections) - Rabbit monoclonal [M1gG51-4] Anti-Mouse IgG1 H&L (AB125913)

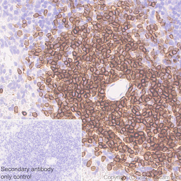
Immunohistochemical analysis of paraffin-embedded mouse spleen tissue labeling CD3 epsilon with ab313799 at 1/100 (9.09 ug/ml) dilution followed by a ready to use LeicaDS9800 (Bond™ Polymer Refine Detection). Positive staining on mouse spleen. The section was incubated with ab313799 for 30 mins at room temperature, followed by anti-mouse IgG1 antibody (ab125913) for 8 mins during the LeicaDS9800 kit staining procedure. The immunostaining was performed on a Leica Biosystems BOND® RX instrument. Counterstained with Hematoxylin. Secondary antibody only control : Secondary antibody is a ready to use LeicaDS9800 (Bond™ Polymer Refine Detection). Heat mediated antigen retrieval was performed with Citrate buffer (pH 6.0, Epitope Retrieval Solution 1) for 20 mins.

Immunohistochemistry (Formalin/PFA-fixed paraffin-embedded sections) - Rabbit monoclonal [M1gG51-4] Anti-Mouse IgG1 H&L (AB125913)
  • IHC-P

Supplier Data

Immunohistochemistry (Formalin/PFA-fixed paraffin-embedded sections) - Rabbit monoclonal [M1gG51-4] Anti-Mouse IgG1 H&L (AB125913)

Immunohistochemical analysis of paraffin-embedded rat spleen tissue labeling CD3 epsilon with ab313799 at 1/100 (9.09 ug/ml) dilution followed by a ready to use LeicaDS9800 (Bond™ Polymer Refine Detection). Positive staining on rat spleen. The section was incubated with ab313799 for 30 mins at room temperature, followed by anti-mouse IgG1 antibody (ab125913) for 8 mins during the LeicaDS9800 kit staining procedure. The immunostaining was performed on a Leica Biosystems BOND® RX instrument. Counterstained with Hematoxylin. Secondary antibody only control : Secondary antibody is a ready to use LeicaDS9800 (Bond™ Polymer Refine Detection). Heat mediated antigen retrieval was performed with Citrate buffer (pH 6.0, Epitope Retrieval Solution 1) for 20 mins.

Immunohistochemistry (Formalin/PFA-fixed paraffin-embedded sections) - Rabbit monoclonal [M1gG51-4] Anti-Mouse IgG1 H&L (AB125913)
  • IHC-P

Supplier Data

Immunohistochemistry (Formalin/PFA-fixed paraffin-embedded sections) - Rabbit monoclonal [M1gG51-4] Anti-Mouse IgG1 H&L (AB125913)

Immunohistochemical analysis of paraffin-embedded Rat cerebrum tissue labelling SHP2 with ab290646 at 1/2000 (0.505 ug/ml) followed by a ready to use LeicaDS9800 (Bond Polymer Refine Detection) was used. Positive staining in rat cerebrum.The section was incubated with ab290646 for 30 mins at room temperature, followed by anti-mouse IgG1 antibody (ab125913) for 8 mins during the LeicaDS9800 kit staining procedure.The immunostaining was performed on a Leica Biosystems BOND® RX instrument Counterstained with Hematoxylin. Secondary antibody only control : Secondary antibody is a ready to use LeicaDS9800 (Bond Polymer Refine Detection) was used. Heat mediated antigen retrieval with Tris-EDTA buffer (pH 9.0, epitope retrieval solution2) for 20 mins

Immunohistochemistry (Formalin/PFA-fixed paraffin-embedded sections) - Rabbit monoclonal [M1gG51-4] Anti-Mouse IgG1 H&L (AB125913)
  • IHC-P

Supplier Data

Immunohistochemistry (Formalin/PFA-fixed paraffin-embedded sections) - Rabbit monoclonal [M1gG51-4] Anti-Mouse IgG1 H&L (AB125913)

Immunohistochemical analysis of paraffin-embedded Mouse cerebrum tissue labelling SHP2 with ab290646 at 1/2000 (0.505 ug/ml) followed by a ready to use LeicaDS9800 (Bond Polymer Refine Detection) was used. Positive staining in mouse cerebrum.The section was incubated with ab290646 for 30 mins at room temperature, followed by anti-mouse IgG1 antibody (ab125913) for 8 mins during the LeicaDS9800 kit staining procedure.The immunostaining was performed on a Leica Biosystems BOND® RX instrument Counterstained with Hematoxylin. Secondary antibody only control : Secondary antibody is a ready to use LeicaDS9800 (Bond Polymer Refine Detection) was used. Heat mediated antigen retrieval with Tris-EDTA buffer (pH 9.0, epitope retrieval solution2) for 20 mins

Immunohistochemistry (Formalin/PFA-fixed paraffin-embedded sections) - Rabbit monoclonal [M1gG51-4] Anti-Mouse IgG1 H&L (AB125913)
  • IHC-P

Lab

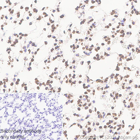
Immunohistochemistry (Formalin/PFA-fixed paraffin-embedded sections) - Rabbit monoclonal [M1gG51-4] Anti-Mouse IgG1 H&L (AB125913)

Nuclear staining in rat lung. The section was heat mediated antigen retrieval with Citrate buffer (pH 6.0, epitope retrieval solution 1) for 20 mins. The section was incubated with ab52484 (1 : 50000 (0.021 μg/ml)) for 10 mins at room temperature, followed by anti-mouse IgG1 antibody (ab125913) for 8 mins during the LeicaDS9800 kit staining procedure. The immunostaining was performed on a Leica Biosystems BOND® RX instrument

Immunohistochemistry (Formalin/PFA-fixed paraffin-embedded sections) - Rabbit monoclonal [M1gG51-4] Anti-Mouse IgG1 H&L (AB125913)
  • IHC-P

Lab

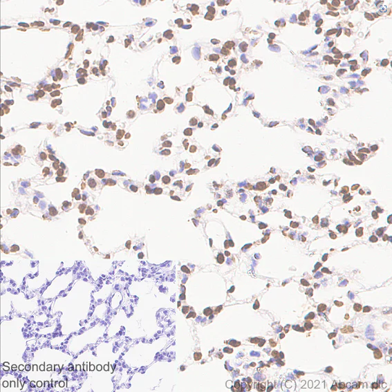
Immunohistochemistry (Formalin/PFA-fixed paraffin-embedded sections) - Rabbit monoclonal [M1gG51-4] Anti-Mouse IgG1 H&L (AB125913)

Nuclear staining in mouse lung. The section was heat mediated antigen retrieval with Citrate buffer (pH 6.0, epitope retrieval solution 1) for 20 mins. The section was incubated with ab52484 (1 : 50000 (0.021 μg/ml)) for 10 mins at room temperature, followed by anti-mouse IgG1 antibody (ab125913) for 8 mins during the LeicaDS9800 kit staining procedure. The immunostaining was performed on a Leica Biosystems BOND® RX instrument

Immunohistochemistry (Formalin/PFA-fixed paraffin-embedded sections) - Rabbit monoclonal [M1gG51-4] Anti-Mouse IgG1 H&L (AB125913)
  • IHC-P

Lab

Immunohistochemistry (Formalin/PFA-fixed paraffin-embedded sections) - Rabbit monoclonal [M1gG51-4] Anti-Mouse IgG1 H&L (AB125913)

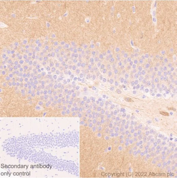
Immunohistochemical analysis of paraffin-embedded Rat hippocampus labeling Glutamate Receptor 1 (AMPA subtype) with ab174785 at 1/10000 dilution, followed by a ready to use LeicaDS9800 (Bond™ Polymer Refine Detection). The immunostaining was performed on a Leica Biosystems BOND® RX instrument. Counterstained with Hematoxylin. Heat mediated antigen retrieval was performed with Tris-EDTA buffer (pH 9.0, epitope retrieval solution 2) for 20 mins.

Immunohistochemistry (Formalin/PFA-fixed paraffin-embedded sections) - Rabbit monoclonal [M1gG51-4] Anti-Mouse IgG1 H&L (AB125913)
  • IHC-P

Lab

Immunohistochemistry (Formalin/PFA-fixed paraffin-embedded sections) - Rabbit monoclonal [M1gG51-4] Anti-Mouse IgG1 H&L (AB125913)

Immunohistochemical analysis of paraffin-embedded Mouse hippocampus labeling Glutamate Receptor 1 (AMPA subtype) with ab174785 at 1/10000 dilution, followed by a ready to use LeicaDS9800 (Bond™ Polymer Refine Detection). The immunostaining was performed on a Leica Biosystems BOND® RX instrument. Counterstained with Hematoxylin. Heat mediated antigen retrieval was performed with Tris-EDTA buffer (pH 9.0, epitope retrieval solution 2) for 20 mins.

Immunohistochemistry (Formalin/PFA-fixed paraffin-embedded sections) - Rabbit monoclonal [M1gG51-4] Anti-Mouse IgG1 H&L (AB125913)
  • IHC-P

Supplier Data

Immunohistochemistry (Formalin/PFA-fixed paraffin-embedded sections) - Rabbit monoclonal [M1gG51-4] Anti-Mouse IgG1 H&L (AB125913)

Immunohistochemical analysis of paraffin-embedded Rat cardiac muscle tissue labeling SH3GL1/Endophilin A2 with ab317835 at 1/1000 (1.094 ug/ml) dilution, followed by a ready to use LeicaDS9800 (Bond™ Polymer Refine Detection).

Low expression : weak staining on rat cardiac muscle.
The section was incubated with ab317835 for 30 mins at room temperature, followed by anti-mouse IgG1 antibody (ab125913) for 8 mins during the LeicaDS9800 kit staining procedure.
The immunostaining was performed on a Leica Biosystems BOND® RX instrument

Counterstained with Hematoxylin.

Secondary antibody only control : Secondary antibody is a ready to use LeicaDS9800 (Bond™ Polymer Refine Detection).

Heat mediated antigen retrieval was performed with Tris-EDTA buffer (pH 9.0, Epitope Retrieval Solution2) for 20 mins

ELISA - Rabbit monoclonal [M1gG51-4] Anti-Mouse IgG1 H&L (AB125913)
  • ELISA

Lab

ELISA - Rabbit monoclonal [M1gG51-4] Anti-Mouse IgG1 H&L (AB125913)

Direct ELISA antibody dose-response curve using ab125913 between 0-1000 ng/ml. Antigen concentration of 1000 ng/mL. An alkaline phosphatase-conjugated goat anti-rabbit IgG (H+L) (1/2500) was used as the secondary antibody.

Key facts

Host species

Rabbit

Target species

Mouse

Target isotype

IgG1

Target specificity

Heavy & Light chains

Minimal cross-reactivity
Pre-adsorbed

No

Applications

ELISA, IHC-P

applications

Clonality

Monoclonal

Clone number

M1gG51-4

Isotype

IgG

Immunogen

The exact immunogen used to generate this antibody is proprietary information.

Specificity

ab125913 is specific for Mouse IgG1. The antibody does not recognise Mouse IgG2a, Mouse IgG2b, Mouse IgG3, Mouse IgA, Mouse IgM, Human IgG or Rat IgG.

Reactivity data

{ "title": "Reactivity Data", "filters": { "stats": ["", "Reactivity", "Dilution Info", "Notes"] }, "values": { "ELISA": { "reactivity":"TESTED_AND_REACTS", "dilution-info":"1/1000", "notes":"<p></p>" }, "IHC-P": { "reactivity":"TESTED_AND_REACTS", "dilution-info":"", "notes":"<p></p>" } } }

Product details

Human, Rat: We have preliminary internal testing data to indicate this antibody may not react with these species. Please contact us for more information.

Patented technology
Our RabMAb® technology is a patented hybridoma-based technology for making rabbit monoclonal antibodies. For details on our patents, please refer to RabMAb® patents.

What are the advantages of a recombinant monoclonal antibody?
This product is a recombinant monoclonal antibody, which offers several advantages including:

  • - High batch-to-batch consistency and reproducibility
  • - Improved sensitivity and specificity
  • - Long-term security of supply
  • - Animal-free batch production

For more information, read more on recombinant antibodies.

Properties and storage information

Form
Liquid
Purification technique
Affinity purification Protein A
Storage buffer
pH: 7.2 - 7.4 Preservative: 0.09% Sodium azide Constituents: PBS
Shipped at conditions
Blue Ice
Appropriate short-term storage duration
1-2 weeks
Appropriate short-term storage conditions
+4°C
Appropriate long-term storage conditions
-20°C
Aliquoting information
Upon delivery aliquot
Storage information
Avoid freeze / thaw cycle

Product protocols

Target data

See full target information Ighg1

Additional targets

Ighg1

Publications (10)

Recent publications for all applications. Explore the full list and refine your search

ACS sensors 10:4622-4633 PubMed40390533

2025

Signal Enhancement in Immunoassays via Coupling to Catalytic Nanoparticles.

Applications

Unspecified application

Species

Unspecified reactive species

Christy J Sadler,Jan P Sandler,André Shamsabadi,Leah C Frenette,Adam Creamer,Molly M Stevens

Nature 634:1196-1203 PubMed39478206

2024

Polyclonality overcomes fitness barriers in Apc-driven tumorigenesis.

Applications

Unspecified application

Species

Unspecified reactive species

Iannish D Sadien,Sam Adler,Shenay Mehmed,Sasha Bailey,Ashley Sawle,Dominique-Laurent Couturier,Matthew Eldridge,David J Adams,Richard Kemp,Filipe C Lourenço,Douglas J Winton

Heliyon 10:e31137 PubMed38778969

2024

The therapeutic effect and targets of on breast cancer and the construction of a prognostic signature consisting of inflammation-related genes.

Applications

Unspecified application

Species

Unspecified reactive species

Jie Yuan,Minxia Lin,Shaohua Yang,Hao Yin,Shaoyong Ouyang,Hong Xie,Hongmei Tang,Xiaowei Ou,Zhiqiang Zeng

Disease models & mechanisms 14: PubMed33093165

2020

Heterogeneity in clone dynamics within and adjacent to intestinal tumours identified by Dre-mediated lineage tracing.

Applications

Unspecified application

Species

Unspecified reactive species

Ann-Sofie Thorsen,Doran Khamis,Richard Kemp,Mathilde Colombé,Filipe C Lourenço,Edward Morrissey,Douglas Winton

Skeletal muscle 8:34 PubMed30368252

2018

Myostatin and activin blockade by engineered follistatin results in hypertrophy and improves dystrophic pathology in mdx mouse more than myostatin blockade alone.

Applications

Unspecified application

Species

Unspecified reactive species

Andrea Iskenderian,Nan Liu,Qingwei Deng,Yan Huang,Chuan Shen,Kathleen Palmieri,Robert Crooker,Dianna Lundberg,Niksa Kastrapeli,Brian Pescatore,Alla Romashko,John Dumas,Robert Comeau,Angela Norton,Jing Pan,Haojing Rong,Katayoun Derakhchan,David E Ehmann

Scientific reports 8:5358 PubMed29599473

2018

Epigallocatechin-3-gallate alleviates bladder overactivity in a rat model with metabolic syndrome and ovarian hormone deficiency through mitochondria apoptosis pathways.

Applications

Unspecified application

Species

Unspecified reactive species

Yi-Lun Lee,Kun-Ling Lin,Bin-Nan Wu,Shu-Mien Chuang,Wen-Jeng Wu,Yung-Chin Lee,Wan-Ting Ho,Yung-Shun Juan

Oncotarget 8:37332-37341 PubMed28445153

2017

Increased risk of brain metastases in women with breast cancer and p16 expression in metastatic lymph-nodes.

Applications

Unspecified application

Species

Unspecified reactive species

Elise Furet,Morad El Bouchtaoui,Jean-Paul Feugeas,Catherine Miquel,Christophe Leboeuf,Clémentine Beytout,Philippe Bertheau,Emilie Le Rhun,Jacques Bonneterre,Anne Janin,Guilhem Bousquet

Nature 525:119-23 PubMed26266985

2015

Reactivation of multipotency by oncogenic PIK3CA induces breast tumour heterogeneity.

Applications

Unspecified application

Species

Unspecified reactive species

Alexandra Van Keymeulen,May Yin Lee,Marielle Ousset,Sylvain Brohée,Sandrine Rorive,Rajshekhar R Giraddi,Aline Wuidart,Gaëlle Bouvencourt,Christine Dubois,Isabelle Salmon,Christos Sotiriou,Wayne A Phillips,Cédric Blanpain

Nature methods 11:579-84 PubMed24705472

2014

Fluorescence nanoscopy by polarization modulation and polarization angle narrowing.

Applications

STED micro

Species

Unspecified reactive species

Nour Hafi,Matthias Grunwald,Laura S van den Heuvel,Timo Aspelmeier,Jian-Hua Chen,Marta Zagrebelsky,Ole M Schütte,Claudia Steinem,Martin Korte,Axel Munk,Peter J Walla

PloS one 8:e80323 PubMed24312468

2013

Linkage study and exome sequencing identify a BDP1 mutation associated with hereditary hearing loss.

Applications

Unspecified application

Species

Unspecified reactive species

Giorgia Girotto,Khalid Abdulhadi,Annalisa Buniello,Diego Vozzi,Danilo Licastro,Angela d'Eustacchio,Dragana Vuckovic,Moza Khalifa Alkowari,Karen P Steel,Ramin Badii,Paolo Gasparini
View all publications

Product promise

We are committed to supporting your work with high-quality reagents, and we're here for you every step of the way. In the unlikely event that one of our products does not perform as expected, you're protected by our Product Promise.
For full details, please see our Terms & Conditions

Please note: All products are 'FOR RESEARCH USE ONLY. NOT FOR USE IN DIAGNOSTIC OR THERAPEUTIC PROCEDURES'.

For licensing inquiries, please contact partnerships@abcam.com