JavaScript is disabled in your browser. Please enable JavaScript to view this website.
AB98784

Rabbit Anti-Mouse IgG H&L (Biotin) preadsorbed

1

(1 Review)

|

(0 Publication)

Suitable for ELISA, WB, IHC-P, ICC/IF. Preadsorbed to minimise non-specific binding and high background staining.

View Alternative Names

Igh-4, Ighg1, Ig gamma-1 chain C region secreted form

1 Images
Immunohistochemistry (Formalin/PFA-fixed paraffin-embedded sections) - Rabbit Anti-Mouse IgG H&L (Biotin) preadsorbed (AB98784)
  • IHC-P

AbReview34099****

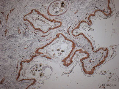
Immunohistochemistry (Formalin/PFA-fixed paraffin-embedded sections) - Rabbit Anti-Mouse IgG H&L (Biotin) preadsorbed (AB98784)

Immunohistochemical analysis of dog skin tissue, detecting staining of NQO1 with ab98784.

Tissue was fixed with formaldehyde and antigen retrieval was by heat mediation in a citrate buffer (pH 6). Samples were incubated with primary antibody (ab28947 Mouse monoclonal [A180] to NQO1 at 1/175 in BSA in TBS) for 45 minutes. ab98784 (1/500) was used as the secondary antibody.

This image is courtesy of an anonymous Abreview

Key facts

Host species

Rabbit

Target species

Mouse

Target isotype

IgG

Target specificity

Heavy & Light chains

Minimal cross-reactivity

Rat, Human

Pre-adsorbed

Yes

Conjugation

Biotin

Excitation/Emission
Applications

ICC/IF, IHC-P, WB, ELISA

applications

Clonality

Polyclonal

Isotype

IgG

Reactivity data

{ "title": "Reactivity Data", "filters": { "stats": ["", "Reactivity", "Dilution Info", "Notes"] }, "values": { "ELISA": { "reactivity":"TESTED_AND_REACTS", "dilution-info":"1/20000 - 1/400000", "notes":"<p>as primary</p>" }, "WB": { "reactivity":"TESTED_AND_REACTS", "dilution-info":"1/20000 - 1/400000", "notes":"<p>chemiluminescent detection</p>" }, "IHC-P": { "reactivity":"TESTED_AND_REACTS", "dilution-info":"1/500 - 1/5000", "notes":"<p></p>" }, "ICC/IF": { "reactivity":"TESTED_AND_REACTS", "dilution-info":"1/200 - 1/1000", "notes":"<p></p>" } } }

Properties and storage information

Form
Liquid
Purification technique
Affinity purification Immunogen
Purification notes
This antibody was isolated by affinity chromatography using antigen coupled to agarose beads and conjugated to Biotin.
Storage buffer
pH: 6.8 - 7.4 Preservative: 0.09% Sodium azide Constituents: PBS, 0.2% BSA
Shipped at conditions
Blue Ice
Appropriate short-term storage duration
1-2 weeks
Appropriate short-term storage conditions
+4°C
Appropriate long-term storage conditions
-20°C
Aliquoting information
Upon delivery aliquot
Storage information
Avoid freeze / thaw cycle

Product protocols

Target data

See full target information Ighg1

Additional targets

Ighg1

Product promise

We are committed to supporting your work with high-quality reagents, and we're here for you every step of the way. In the unlikely event that one of our products does not perform as expected, you're protected by our Product Promise.
For full details, please see our Terms & Conditions

Please note: All products are 'FOR RESEARCH USE ONLY. NOT FOR USE IN DIAGNOSTIC OR THERAPEUTIC PROCEDURES'.

For licensing inquiries, please contact partnerships@abcam.com