JavaScript is disabled in your browser. Please enable JavaScript to view this website.
AB6728

Rabbit Anti-Mouse IgG H&L (HRP)

5

(10 Reviews)

|

(1307 Publications)

Rabbit anti-Mouse IgG H&L (HRP) (ab6728) is a horseradish peroxidase (HRP) conjugated secondary antibody suitable for both chemiluminescent and chromogenic detection. Ideal for Western blot, ELISA and IHC applications.

- Proven performance: cited in over 1300 publications

View Alternative Names

Igh-4, Ighg1, Ig gamma-1 chain C region secreted form, Igh-4, Ighg1

21 Images
Immunohistochemistry (Formalin/PFA-fixed paraffin-embedded sections) - Rabbit Anti-Mouse IgG H&L (HRP) (AB6728)
  • IHC-P

AbReview20299****

Immunohistochemistry (Formalin/PFA-fixed paraffin-embedded sections) - Rabbit Anti-Mouse IgG H&L (HRP) (AB6728)

ab81785 staining LC3A/B in Mouse kidney tissue sections by Immunohistochemistry (IHC-P - formaldehyde-fixed, paraffin-embedded sections). Tissue was fixed with formaldehyde and blocked with 5% protein block for 5 minutes at room temperature; antigen retrieval was by heat mediation. Samples were incubated with primary antibody (1/50) for 1 hour. Anti-mouse HRP (ab6728) (1/200) was used as the secondary antibody.

This image is courtesy of an anonymous Abreview.

ELISA - Rabbit Anti-Mouse IgG H&L (HRP) (AB6728)
  • ELISA

Supplier Data

ELISA - Rabbit Anti-Mouse IgG H&L (HRP) (AB6728)

ELISA results of ab6728 against purified Mouse IgG protein. Each well was coated in duplicate with 10 µg of Mouse IgG. The starting dilution of antibody was 5 µg/ml and the X-axis represents the Log10 of a 3-fold dilution. The titer is 1/185,000. This titration is a 4-parameter curve fit where the IC50 is defined as the titer of the antibody. Assay performed using 3% fish gelatin as blocking buffer and TMB substrate.

Western blot - Rabbit Anti-Mouse IgG H&L (HRP) (AB6728)
  • WB

AbReview20304****

Western blot - Rabbit Anti-Mouse IgG H&L (HRP) (AB6728)

Blocking Step : 5% BSA for 1 hour at 23°C

This image was generated from the hybridoma version.

All lanes:

Western blot - Anti-MGMT antibody [MT3.1] (<a href='/en-us/products/primary-antibodies/mgmt-antibody-mt31-ab39253'>ab39253</a>) at 1/500 dilution

All lanes:

Human OE33 cells - whole cell lysate at 20 µg

Secondary

All lanes:

Western blot - Rabbit Anti-Mouse IgG H&L (HRP) (ab6728) at 1/1000 dilution

Predicted band size: 22 kDa

Observed band size: 21 kDa

true

Exposure time: 30s

This image is courtesy of an anonymous Abreview

Western blot - Rabbit Anti-Mouse IgG H&L (HRP) (AB6728)
  • WB

Project

Western blot - Rabbit Anti-Mouse IgG H&L (HRP) (AB6728)

All lanes:

Western blot - Anti-PLK1 antibody [36-298] (<a href='/en-us/products/primary-antibodies/plk1-antibody-36-298-ab17057'>ab17057</a>) at 1 µg/mL

All lanes:

HEK-293 (Human epithelial cell line from embryonic kidney) cell lysate at 20 µg

Secondary

All lanes:

Western blot - Rabbit Anti-Mouse IgG H&L (HRP) (ab6728) at 1/5000 dilution

Predicted band size: 68 kDa

Observed band size: 66 kDa

true

Exposure time: 2min

Western blot - Rabbit Anti-Mouse IgG H&L (HRP) (AB6728)
  • WB

Lab

Western blot - Rabbit Anti-Mouse IgG H&L (HRP) (AB6728)

Blocking and diluting buffer : 5% NFDM/TBST.

Exposure time : Lane 1 : 30 seconds
Lane 2 : 70 seconds
Lane 3 : 50 seconds

All lanes:

Western blot - Anti-TXNIP antibody [EPR14774] - Mouse IgG2b (Chimeric) (<a href='/en-us/products/primary-antibodies/txnip-antibody-epr14774-mouse-igg2b-chimeric-ab210826'>ab210826</a>) at 1/1000 dilution

Lane 1:

HeLa (Human cervix adenocarcinoma epithelial cell) whole cell lysates at 15 µg

Lane 2:

NIH/3T3 (Mouse embryonic fibroblast) whole cell lysates at 15 µg

Lane 3:

PC-12 (Rat adrenal gland pheochromocytoma) whole cell lysates at 15 µg

Secondary

All lanes:

Western blot - Rabbit Anti-Mouse IgG H&L (HRP) (ab6728) at 1/2000 dilution

Predicted band size: 44 kDa

false

Western blot - Rabbit Anti-Mouse IgG H&L (HRP) (AB6728)
  • WB

Project

Western blot - Rabbit Anti-Mouse IgG H&L (HRP) (AB6728)

This data was developed using the same antibody clone in a different formulation containing PBS and Azide (ab14955).

All lanes:

Western blot - Anti-Histone H3 (phospho S10) antibody [mAbcam 14955] (<a href='/en-us/products/primary-antibodies/histone-h3-phospho-s10-antibody-mabcam-14955-ab14955'>ab14955</a>) at 0.5 µg/mL

Lane 1:

Control HeLa Histone prep at 5 µg

Lane 2:

Colecemid treated HeLa Histone prep at 5 µg

Lane 3:

Control HeLa Histone prep at 5 µg with Human Histone H3 (unmodified) peptide (<a href='/en-us/products/proteins-peptides/human-histone-h3-unmodified-peptide-ab7228'>ab7228</a>)

Lane 4:

Colecemid treated HeLa Histone prep at 5 µg with Human Histone H3 (unmodified) peptide (<a href='/en-us/products/proteins-peptides/human-histone-h3-unmodified-peptide-ab7228'>ab7228</a>)

Lane 5:

Control HeLa Histone prep at 5 µg with Human Histone H3 (phospho S28) peptide (<a href='/en-us/products/unavailable/human-histone-h3-phospho-s28-peptide-ab14793'>ab14793</a>)

Lane 6:

Colecemid treated HeLa Histone prep at 5 µg with Human Histone H3 (phospho S28) peptide (<a href='/en-us/products/unavailable/human-histone-h3-phospho-s28-peptide-ab14793'>ab14793</a>)

Lane 7:

Control HeLa Histone prep at 5 µg with Human Histone H3 (phospho S10) peptide (<a href='/en-us/products/proteins-peptides/human-histone-h3-phospho-s10-peptide-ab11477'>ab11477</a>)

Lane 8:

Colecemid treated HeLa Histone prep at 5 µg with Human Histone H3 (phospho S10) peptide (<a href='/en-us/products/proteins-peptides/human-histone-h3-phospho-s10-peptide-ab11477'>ab11477</a>)

Secondary

All lanes:

Western blot - Rabbit Anti-Mouse IgG H&L (HRP) (ab6728) at 1/5000 dilution

Predicted band size: 15 kDa

Observed band size: 20 kDa

false

Western blot - Rabbit Anti-Mouse IgG H&L (HRP) (AB6728)
  • WB

Unknown

Western blot - Rabbit Anti-Mouse IgG H&L (HRP) (AB6728)

The membrane was blocked in 5% BSA in TBST for 1 hour, then incubated for 1 hour in primary antibody diluted in TBST.

All lanes:

Western blot - Anti-GAPDH antibody [mAbcam 9484] - Loading Control (<a href='/en-us/products/primary-antibodies/gapdh-antibody-mabcam-9484-loading-control-ab9484'>ab9484</a>) at 1/5000 dilution

Lane 1:

Hela whole cell (Human)

Lane 2:

3T3 cell (Mouse)

Lane 3:

Rat brain

Lane 4:

Xenopus laevis embryo

Lane 5:

Chicken Liver

Lane 6:

EBTr cell (Cow)

Lane 7:

CHO cell (Chinese hamster)

Lane 8:

Pig liver

Secondary

All lanes:

Western blot - Rabbit Anti-Mouse IgG H&L (HRP) (ab6728) at 1/5000 dilution

Predicted band size: 36 kDa

Observed band size: 40 kDa

false

Exposure time: 10s

Western blot - Rabbit Anti-Mouse IgG H&L (HRP) (AB6728)
  • WB

Unknown

Western blot - Rabbit Anti-Mouse IgG H&L (HRP) (AB6728)

Blocking and diluting buffer : 5% NFDM/TBST

All lanes:

Western blot - Anti-ERG antibody [EPR3864] - Mouse IgG2b (Chimeric) (<a href='/en-us/products/primary-antibodies/erg-antibody-epr3864-mouse-igg2b-chimeric-ab214341'>ab214341</a>) at 1/5000 dilution

All lanes:

HeLa (Human cervix adenocarcinoma epithelial cell) whole cell lysates at 15 µg

Secondary

All lanes:

Western blot - Rabbit Anti-Mouse IgG H&L (HRP) (ab6728) at 1/2000 dilution

Predicted band size: 54 kDa

Observed band size: 55 kDa

false

Western blot - Rabbit Anti-Mouse IgG H&L (HRP) (AB6728)
  • WB

Lab

Western blot - Rabbit Anti-Mouse IgG H&L (HRP) (AB6728)

Blocking and diluting buffer : 5% NFDM/TBST

All lanes:

Western blot - Anti-ERG antibody [EPR3864] - Mouse IgG2b (Chimeric) (<a href='/en-us/products/primary-antibodies/erg-antibody-epr3864-mouse-igg2b-chimeric-ab214341'>ab214341</a>) at 1/1000 dilution

Lane 1:

Rat heart lysates at 20 µg

Lane 2:

Rat brain lysates at 20 µg

Lane 3:

Mouse brain lysates at 20 µg

Secondary

All lanes:

Western blot - Rabbit Anti-Mouse IgG H&L (HRP) (ab6728) at 1/2000 dilution

Predicted band size: 54 kDa

Observed band size: 55 kDa

false

Immunohistochemistry (Formalin/PFA-fixed paraffin-embedded sections) - Rabbit Anti-Mouse IgG H&L (HRP) (AB6728)
  • IHC-P

PubMed

Immunohistochemistry (Formalin/PFA-fixed paraffin-embedded sections) - Rabbit Anti-Mouse IgG H&L (HRP) (AB6728)

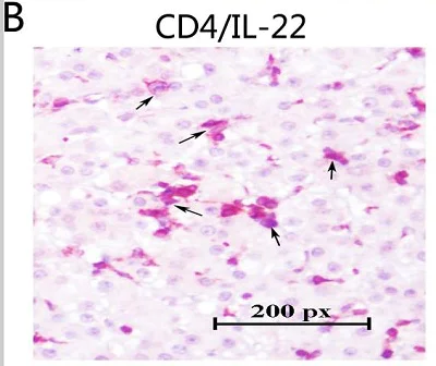
Distribution, expression and correlation of IL-22 cells with liver fibrosis in the liver.

Immunohistochemistry double staining identities IL-22 cells were produced by CD4 cells in liver tissue (Panel B).

Black arrows indicate double-positive cells.

Paraffin-embedded, formalin-fixed human liver tissues were incubated with anti-IL-22 (ab18499) or α-SMA antibody (ab7817) overnight at 4°C followed by heat mediated antigen retrieval with sodium citrate buffer (pH 6.0, 0.1 mol/L) for 20mins and blocking endogenous peroxidase activity with 0.3% H2O2. Revelation of primary antibody was carried out using horseradish peroxidase (HRP)-conjugated rabbit polyclonal anti-mouse (ab6728), secondary antibody followed by diamino-benzidine (DAB) and haematoxylin coloration. Double staining was performed with 3-amino-9-ethyl-carbazole (red color) for IL-22 and BCIP/ NBT (indigo color) for CD4.

Positively stained cells were counted at high-power field (hpf, ×400) according to described protocols.

Gao et al PLoS One. 2016 Apr 28;11(4):e0154419. doi: 10.1371/journal.pone.0154419. eCollection 2016. Fig2. Reproduced under the Creative Commons license http://creativecommons.org/licenses/by/4.0/

ELISA - Rabbit Anti-Mouse IgG H&L (HRP) (AB6728)
  • ELISA

Unknown

ELISA - Rabbit Anti-Mouse IgG H&L (HRP) (AB6728)

ab6728 was used at dilution 1/1000 with the primary antibody ab11038 in ELISA. See the review on ab11038.

Western blot - Rabbit Anti-Mouse IgG H&L (HRP) (AB6728)
  • WB

Project

Western blot - Rabbit Anti-Mouse IgG H&L (HRP) (AB6728)

Note : although S. cerevisiae is not known to express beta Actin, Abcam believes that the band on lane 3 corresponds to Actin 1 (Swissprot ID : P60010, based on sequence similarity).

Secondary antibody - rabbit anti-mouse HRP (ab6728)

All lanes:

Western blot - Anti-beta Actin antibody [mAbcam 8224] - Loading Control (<a href='/en-us/products/primary-antibodies/beta-actin-antibody-mabcam-8224-loading-control-ab8224'>ab8224</a>) at 1 µg/mL

Lane 1:

Drosophila lysate at 20 µg

Lane 2:

S. pombe lysate at 20 µg

Lane 3:

S. cerevisiae lysate (Actin 1 - please see note) at 20 µg

Secondary

All lanes:

Western blot - Rabbit Anti-Mouse IgG H&L (HRP) (ab6728) at 1/5000 dilution

Predicted band size: 41 kDa

Observed band size: 42 kDa

true

Western blot - Rabbit Anti-Mouse IgG H&L (HRP) (AB6728)
  • WB

AbReview20684****

Western blot - Rabbit Anti-Mouse IgG H&L (HRP) (AB6728)

Primary antibody incubated for 16 hours at 4°C.
Blocking step performed using 5% milk for 1 hour at room temperature.

All lanes:

Western blot - Anti-M13 Bacteriophage Coat Protein g8p antibody [RL-ph2] (<a href='/en-us/products/primary-antibodies/m13-bacteriophage-coat-protein-g8p-antibody-rl-ph2-ab9225'>ab9225</a>) at 1/1000 dilution

All lanes:

whole cell lysate prepared from XL10Gold cells at 50 µg

Secondary

All lanes:

Western blot - Rabbit Anti-Mouse IgG H&L (HRP) (ab6728) at 1/2000 dilution

Predicted band size: 8 kDa

Observed band size: 6 kDa

false

Image courtesy of an anonymous Abreview.

Western blot - Rabbit Anti-Mouse IgG H&L (HRP) (AB6728)
  • WB

Ap

Western blot - Rabbit Anti-Mouse IgG H&L (HRP) (AB6728)

Lane 1:

Marker

Lanes 2 - 5:

Western blot - Anti-hnRNP K antibody [F45 P9 C7] (<a href='/en-us/products/primary-antibodies/hnrnp-k-antibody-f45-p9-c7-ab23644'>ab23644</a>) at 1 µg/mL

Lane 2:

HeLa (Human epithelial carcinoma cell line) Nuclear Lysate (ab27251) at 20 µg

Lane 3:

HeLa (Human epithelial carcinoma cell line) Whole Cell Lysate (ab27252) at 20 µg

Lane 4:

Western blot - Jurkat whole cell lysate (<a href='/en-us/products/cell-lysates/jurkat-whole-cell-lysate-ab7899'>ab7899</a>) at 20 µg

Lane 5:

Western blot - HEK-293 whole cell lysate (<a href='/en-us/products/cell-lysates/hek-293-whole-cell-lysate-ab7902'>ab7902</a>) at 20 µg

Secondary

All lanes:

Western blot - Rabbit Anti-Mouse IgG H&L (HRP) (ab6728) at 1/10000 dilution

Predicted band size: 50 kDa

false

Western blot - Rabbit Anti-Mouse IgG H&L (HRP) (AB6728)
  • WB

Unknown

Western blot - Rabbit Anti-Mouse IgG H&L (HRP) (AB6728)

All lanes:

Western blot - Anti-FOXP3 antibody [mAbcam 450] - Mouse IgG3 (<a href='/en-us/products/primary-antibodies/foxp3-antibody-mabcam-450-mouse-igg3-ab450'>ab450</a>) at 1 µg/mL

Lane 1:

HEK293 cells overexpressing human FOXP3 at 20 µg

Lane 2:

HEK293 cells overexpressing human FOXP3 at 20 µg with Human FOXP3 peptide (<a href='/en-us/products/unavailable/human-foxp3-peptide-ab16809'>ab16809</a>)

Secondary

All lanes:

Western blot - Rabbit Anti-Mouse IgG H&L (HRP) (ab6728) at 1/5000 dilution

Predicted band size: 47 kDa

Observed band size: 50 kDa

false

Exposure time: 45s

Western blot - Rabbit Anti-Mouse IgG H&L (HRP) (AB6728)
  • WB

Project

Western blot - Rabbit Anti-Mouse IgG H&L (HRP) (AB6728)

All lanes:

Western blot - Anti-Histone H3 antibody [mAbcam 24834] - Nuclear Loading Control and ChIP Grade (<a href='/en-us/products/primary-antibodies/histone-h3-antibody-mabcam-24834-nuclear-loading-control-and-chip-grade-ab24834'>ab24834</a>) at 1 µg/mL

All lanes:

HeLa histone prep at 1 µg/mL

Secondary

All lanes:

Western blot - Rabbit Anti-Mouse IgG H&L (HRP) (ab6728) at 1/5000 dilution

Predicted band size: 15 kDa

Observed band size: 18 kDa

false

Western blot - Rabbit Anti-Mouse IgG H&L (HRP) (AB6728)
  • WB

Project

Western blot - Rabbit Anti-Mouse IgG H&L (HRP) (AB6728)

ab8224 used on Xenopus embryo lysate (20 ug of lysate/lane).

Secondary
Rabbit polyclonal anti-mouse HRP was used as the secondary antibody (ab6728) and developed using the ECL technique.
Performed under reducing conditions.

Predicted band size : 42kD

All lanes:

Western blot - Anti-beta Actin antibody [mAbcam 8224] - Loading Control (<a href='/en-us/products/primary-antibodies/beta-actin-antibody-mabcam-8224-loading-control-ab8224'>ab8224</a>)

All lanes:

Xenopus embryo lysate at 20 µg

Secondary

All lanes:

Western blot - Rabbit Anti-Mouse IgG H&L (HRP) (ab6728)

Predicted band size: 41 kDa

true

Western blot - Rabbit Anti-Mouse IgG H&L (HRP) (AB6728)
  • WB

Project

Western blot - Rabbit Anti-Mouse IgG H&L (HRP) (AB6728)

All lanes : Anti-Histone H3 (di methyl K9) antibody [mAbcam 1220] - ChIP Grade (ab1220)

Lane 1 : Calf thymus histone lysate
Lane 2 : Calf thymus histone lysate with Histone H3 peptide - unmodified at 1 μg/ml
Lane 3 : Calf thymus histone lysate with Human Histone H3 (mono methyl K9) peptide (ab1771) at 1 μg/ml
Lane 4 : Calf thymus histone lysate with Human Histone H3 (di methyl K9) peptide (ab1772) at 1 μg/ml
Lane 5 : Calf thymus histone lysate with Human Histone H3 (tri methyl K9) peptide (ab1773) at 1 μg/ml
Lane 6 : Calf thymus histone lysate with Histone H3 (di methyl K4) peptide (ab7768) at 1 μg/ml
Lane 7 : Calf thymus histone lysate with Human Histone H3 (di methyl K27) peptide (ab1781) at 1 μg/ml

Secondary
Rabbit Anti-Mouse IgG H&L (HRP) (ab6728) at 1/5000 dilution
developed using the ECL technique

Performed under reducing conditions.

Predicted band size : 17 kDa

Exposure time : 1 minute

All lanes:

Western blot - Anti-Histone H3 (di methyl K9) antibody [mAbcam 1220] - ChIP Grade (<a href='/en-us/products/primary-antibodies/histone-h3-di-methyl-k9-antibody-mabcam-1220-chip-grade-ab1220'>ab1220</a>) at 1 µg/mL

Lane 1:

Calf thymus histone lysate

Lane 2:

Calf thymus histone lysate with Histone H3 peptide - unmodified

Lane 3:

Calf thymus histone lysate with Human Histone H3 (mono methyl K9) peptide (<a href='/en-us/products/proteins-peptides/human-histone-h3-mono-methyl-k9-peptide-ab1771'>ab1771</a>)

Lane 4:

Calf thymus histone lysate with Human Histone H3 (di methyl K9) peptide (<a href='/en-us/products/proteins-peptides/human-histone-h3-di-methyl-k9-peptide-ab1772'>ab1772</a>)

Lane 5:

Calf thymus histone lysate with Human Histone H3 (tri methyl K9) peptide (<a href='/en-us/products/proteins-peptides/human-histone-h3-tri-methyl-k9-peptide-ab1773'>ab1773</a>)

Lane 6:

Calf thymus histone lysate with Human Histone H3 (di methyl K4) peptide (<a href='/en-us/products/proteins-peptides/human-histone-h3-di-methyl-k4-peptide-ab7768'>ab7768</a>)

Lane 7:

Calf thymus histone lysate with Human Histone H3 (di methyl K27) peptide (<a href='/en-us/products/proteins-peptides/human-histone-h3-di-methyl-k27-peptide-ab1781'>ab1781</a>)

Secondary

All lanes:

Western blot - Rabbit Anti-Mouse IgG H&L (HRP) (ab6728) at 1/5000 dilution

Predicted band size: 15 kDa

true

Exposure time: 1min

Western blot - Rabbit Anti-Mouse IgG H&L (HRP) (AB6728)
  • WB

Unknown

Western blot - Rabbit Anti-Mouse IgG H&L (HRP) (AB6728)

Lane 1:

Western blot - Anti-beta Actin antibody [mAbcam 8226] - Loading Control (<a href='/en-us/products/primary-antibodies/beta-actin-antibody-mabcam-8226-loading-control-ab8226'>ab8226</a>) at 1/1000 dilution

Lane 2:

Western blot - Anti-beta Actin antibody [mAbcam 8226] - Loading Control (<a href='/en-us/products/primary-antibodies/beta-actin-antibody-mabcam-8226-loading-control-ab8226'>ab8226</a>) at 1/10000 dilution

Lanes 3 - 4:

Western blot - Anti-beta Actin antibody [mAbcam 8226] - Loading Control (<a href='/en-us/products/primary-antibodies/beta-actin-antibody-mabcam-8226-loading-control-ab8226'>ab8226</a>) at 1/500 dilution

Lanes 1 - 2:

HeLa (Human epithelial cell line from cervix adenocarcinoma) cell lysate at 20 µg

Lane 3:

HEK293 (Human epithelial cell line from embryonic kidney) cell lysate at 20 µg

Lane 4:

NIH/3T3 (Mouse embryo fibroblast cell line) cell lysate at 20 µg

Secondary

All lanes:

Western blot - Rabbit Anti-Mouse IgG H&L (HRP) (ab6728) at 1/5000 dilution

Predicted band size: 41 kDa

false

Exposure time: 10s

Western blot - Rabbit Anti-Mouse IgG H&L (HRP) (AB6728)
  • WB

Unknown

Western blot - Rabbit Anti-Mouse IgG H&L (HRP) (AB6728)

ab6728 was used at dilution 1/2000 with the primary antibody ab72009 in WB. See the review on ab72009.

Secondary

All lanes:

Western blot - Rabbit Anti-Mouse IgG H&L (HRP) (ab6728)

false

Western blot - Rabbit Anti-Mouse IgG H&L (HRP) (AB6728)
  • WB

Supplier Data

Western blot - Rabbit Anti-Mouse IgG H&L (HRP) (AB6728)

Western blot analysis of ab6728 at 1/1000 dilution. Secondary Antibody : Rabbit Anti-Mouse IgG HRP at 1/40000 dilution for 30 mins at RT.

All lanes:

Western blot - Rabbit Anti-Mouse IgG H&L (HRP) (ab6728) at 1/1000 dilution

Lanes 2 - 4:

HeLa WC Lysate + GFP protein at 10 µg

Lane 5:

HeLa Whole Cell Lysate at 10 µg

Secondary

All lanes:

Rabbit Anti-Mouse IgG HRP at 1/40000 dilution

false

Key facts

Host species

Rabbit

Target species

Mouse

Target isotype

IgG

Target specificity

Heavy & Light chains

Minimal cross-reactivity
Pre-adsorbed

No

Conjugation

HRP

Excitation/Emission
Applications

WB, ELISA, IHC-P, IHC-Fr

applications

Clonality

Polyclonal

Isotype

IgG

Reactivity data

{ "title": "Reactivity Data", "filters": { "stats": ["", "Reactivity", "Dilution Info", "Notes"] }, "values": { "ELISA": { "reactivity":"TESTED_AND_REACTS", "dilution-info":"1/50000 - 1/300000", "notes":"<p></p>" }, "IHC-Fr": { "reactivity":"TESTED_AND_REACTS", "dilution-info":"", "notes":"<p></p>" }, "IHC-P": { "reactivity":"TESTED_AND_REACTS", "dilution-info":"", "notes":"<p></p>" }, "WB": { "reactivity":"TESTED_AND_REACTS", "dilution-info":"1/10000 - 1/30000", "notes":"<p></p>" } } }

Product details

Many of our customers have reported seeing brown precipitates in the vials. The brown precipitates are very common with HRP conjugated antibodies; we suggest vortexing the vial and using this antibody as normal. Our customer’s feedback says the antibody worked great. If in case the antibody fails to give results then please contact our Scientific Support team for assistance.

When it comes to advancing your immunohistochemistry (IHC) research, Abcam offers a comprehensive suite of IHC kits and secondary antibodies, designed to deliver precise and reliable results.

Properties and storage information

Form
Liquid
Purification technique
Affinity purification
Purification notes
HRP Secondary Antibody Conjugate was prepared from monospecific antiserum by immunoaffinity chromatography using Mouse IgG coupled to agarose beads.
Storage buffer
Preservative: 0.01% Gentamicin sulphate Constituents: 1% BSA, 0.88% Sodium chloride, 0.424% Potassium phosphate solution
Shipped at conditions
Blue Ice
Appropriate short-term storage conditions
+4°C
Appropriate long-term storage conditions
+4°C

Product protocols

Target data

See full target information Ighg1

Additional targets

Ighg1

Publications (1307)

Recent publications for all applications. Explore the full list and refine your search

Frontiers in immunology 16:1675859 PubMed41050708

2025

Heterologous prime-boost vaccination with VLA2001 and an ORFV-based vector enhances spike- and nucleocapsid-specific immunity in mice.

Applications

Unspecified application

Species

Unspecified reactive species

Alena Reguzova,Verena Haug,Carina Metz,Melanie Müller,Madeleine Fandrich,Alex Dulovic,Ralf Amann

Nature communications 16:8337 PubMed41034211

2025

Structural insights into Wnt/β-catenin signaling regulation by LGR4, R-spondin, and ZNRF3.

Applications

Unspecified application

Species

Unspecified reactive species

Yuxuan Peng,Akiko Fujimura,Jinta Asami,Zhikuan Zhang,Toshiyuki Shimizu,Umeharu Ohto

Oncology reports 54: PubMed40999957

2025

Induction of immunogenic necroptosis by shikonin in drug‑resistant head and neck squamous cell carcinoma cells.

Applications

Unspecified application

Species

Unspecified reactive species

Satsuki Kishita,Naoki Umemura,Hiromi Miyazaki,Makoto Adachi,Hideki Yagi,Emika Ohkoshi

International journal of biological sciences 21:5586-5608 PubMed40959291

2025

O-GlcNAcylated Hsp47 as a predictive biomarker in colorectal cancer: Kaempferol targets OGT-collagen axis for therapeutic intervention.

Applications

Unspecified application

Species

Unspecified reactive species

Chishun Zhou,Jing Zheng,Zizheng Li,Yu Li,Xin Jin,Yukai Huang,Yuefang Lin,Xinyue Wen,Yin Wang,Jiarun Lin,Ying Wang,Wei Wang,Zhongqiu Liu,Linlin Lu

Journal of extracellular vesicles 14:e70160 PubMed40955457

2025

Epidermal Stem Cell-Derived Extracellular Vesicles Induce Fibroblasts Mesenchymal-Epidermal Transition to Alleviate Hypertrophic Scar Formation via miR-200s Inhibition of ZEB1 and 2.

Applications

Unspecified application

Species

Unspecified reactive species

Miao Zhen,Juntao Xie,Rui Yang,Lijuan Liu,Hengdeng Liu,Xuefeng He,Suyue Gao,Junyou Zhu,Jingting Li,Bin Shu,Peng Wang

Science advances 11:eadx2666 PubMed40929273

2025

Acute REM sleep deprivation alleviated depression-like behavior mediated by inhibiting VIP neurons in the mPFC.

Applications

Unspecified application

Species

Unspecified reactive species

Yuxuan Zhu,Tongrui Wu,Qingyan Jiao,Haitong Chai,Yuang Wang,Chunxiao Tian,Qiuying Xue,Kai Li,Pu Wang,Zibing Li,Hualin He,Bo Chen,Aili Liu,Hui Shen

Cell death discovery 11:418 PubMed40885703

2025

SPANXB1 drives brain metastasis in breast cancer via MMP1 regulation: potential therapeutic insights with metformin.

Applications

Unspecified application

Species

Unspecified reactive species

Qi Wang,Haofeng Wu,Zhaoyi Zhai,Dongliang Fang,Chun Yang,Li Liu,Xiaowei Jia,Baopu Du,Yingqi Lyu,Mingshan Zhang,Tao Lu,Lulu Wang,Yan Gao

International journal of molecular sciences 26: PubMed40869376

2025

Cannabigerol Attenuates Memory Impairments, Neurodegeneration, and Neuroinflammation Caused by Transient Global Cerebral Ischemia in Mice.

Applications

Unspecified application

Species

Unspecified reactive species

Nathalia Akemi Neves Kohara,José Guilherme Pinhatti Carrasco,Luís Fernando Fernandes Miranda,Pablo Pompeu Quini,Elaine Del Bel Guimarães,Humberto Milani,Rúbia Maria Weffort de Oliveira,Cristiano Correia Bacarin

Frontiers in molecular neuroscience 18:1606973 PubMed40881324

2025

ACTN2, regulated by PRDM9, affects the growth and inflammation of vascular smooth muscle cells by interacting with PDLIM1 in intracranial aneurysms.

Applications

Unspecified application

Species

Unspecified reactive species

Guangxu Zhang,Jinbing Zhao,Zhiqiang Yu,Hongyi Liu

Orphanet journal of rare diseases 20:453 PubMed40849475

2025

Alpha-lipoic acid supplementation improves pathological alterations in cellular models of Friedreich ataxia.

Applications

Unspecified application

Species

Unspecified reactive species

Marta Talaverón-Rey,Diana Reche-López,Suleva Povea-Cabello,Mónica Álvarez-Córdoba,David Gómez-Fernández,Ana Romero-González,Paula Cilleros-Holgado,José Manuel Romero-Domínguez,Alejandra López-Cabrera,Rocío Piñero-Pérez,Susana González-Granero,José Manuel García-Verdugo,José A Sánchez-Alcázar
View all publications

Product promise

We are committed to supporting your work with high-quality reagents, and we're here for you every step of the way. In the unlikely event that one of our products does not perform as expected, you're protected by our Product Promise.
For full details, please see our Terms & Conditions

Please note: All products are 'FOR RESEARCH USE ONLY. NOT FOR USE IN DIAGNOSTIC OR THERAPEUTIC PROCEDURES'.

For licensing inquiries, please contact partnerships@abcam.com