JavaScript is disabled in your browser. Please enable JavaScript to view this website.
AB191866

VHH Single Domain Anti-Rabbit IgG Fc (HRP)

5

(2 Reviews)

|

(112 Publications)

Recombinant secondary antibody suitable for IHC-P, WB, ELISA. Ideal for western blot. Cited in 112 publications.

View Alternative Names

Ig gamma 1 chain C region, Ig gamma 3 chain C region, Ig gamma 4 chain C region, Ig gamma chain C region, Ig gamma-2 chain C region, Ig kappa-b4 chain C region, Ig kappa-b5 chain C region, Ig kappa-b9 chain C region, Ig lambda chain C region, Immunoglobin heavy constant gamma 1, Immunoglobulin G, K-BAS

14 Images
Western blot - VHH Single Domain Anti-Rabbit IgG Fc (HRP) (AB191866)
  • WB

AbReview45923****

Western blot - VHH Single Domain Anti-Rabbit IgG Fc (HRP) (AB191866)

Blocking Solution and Diluent 5% milk in TBS

All lanes:

Western blot - Anti-KAT3B / p300 antibody (<a href='/en-us/products/primary-antibodies/kat3b-p300-antibody-ab10485'>ab10485</a>) at 1/5000 dilution

Lane 1:

Human MCF-7 Cell Lysate at 50000 Cells

Lane 2:

MDA-MB-231 Cell Lysate at 50000 Cells

Secondary

All lanes:

Western blot - VHH Single Domain Anti-Rabbit IgG Fc (HRP) (ab191866)

Predicted band size: 264 kDa

true

Exposure time: 3min

This image is courtesy of an anonymous Abreview

Western blot - VHH Single Domain Anti-Rabbit IgG Fc (HRP) (AB191866)
  • WB

Lab

Western blot - VHH Single Domain Anti-Rabbit IgG Fc (HRP) (AB191866)

This blot was produced using a 4-12% Bis-tris gel under the MOPS buffer system. The gel was run at 200V for 50 minutes before being transferred onto a Nitrocellulose membrane at 30V for 70 minutes. The membrane was then blocked for an hour using 1% Milk before being incubated with ab70358 overnight at 4°C. Antibody binding was detected using an anti-rabbit VHH single domain antibody conjugated to HRP, and visualised using ECL development solution ab133406.

Abcam recommends using milk as the blocking agent. Abcam welcomes customer feedback and would appreciate any comments regarding this product and the data presented above.

All lanes:

Western blot - Anti-PCK1/PEPC antibody (<a href='/en-us/products/primary-antibodies/pck1-pepc-antibody-ab70358'>ab70358</a>) at 1 µg

Lane 1:

HepG2 (Human hepatocellular liver carcinoma cell line) Whole Cell Lysate at 10 µg

Lane 2:

Liver (Rat) Tissue Lysate at 10 µg

Lane 3:

Liver (Mouse) Tissue Lysate at 10 µg

Lane 4:

Human liver tissue lysate - total protein (<a href='/en-us/products/unavailable/human-liver-tissue-lysate-total-protein-ab29889'>ab29889</a>) at 10 µg

Secondary

All lanes:

Western blot - VHH Single Domain Anti-Rabbit IgG Fc (HRP) (ab191866) at 1/50000 dilution

Predicted band size: 69 kDa

Observed band size: 32 kDa,45 kDa,69 kDa

true

Exposure time: 20s

Western blot - VHH Single Domain Anti-Rabbit IgG Fc (HRP) (AB191866)
  • WB

Lab

Western blot - VHH Single Domain Anti-Rabbit IgG Fc (HRP) (AB191866)

This blot was produced using a 4-12% Bis-tris gel under the MOPS buffer system. The gel was run at 200V for 50 minutes before being transferred onto a Nitrocellulose membrane at 30V for 70 minutes. The membrane was then blocked for an hour using 2% Bovine Serum Albumin before being incubated with ab25949 overnight at 4°C. Antibody binding was detected using VHH Single Domain Anti-Rabbit IgG Fc (HRP) (ab191866), and visualised using ECL development solution ab133406.

All lanes:

Western blot - Anti-RBPJK antibody (<a href='/en-us/products/primary-antibodies/rbpjk-antibody-ab25949'>ab25949</a>) at 1 µg/mL

All lanes:

Human pancreas tissue lysate - total protein (<a href='/en-us/products/unavailable/human-pancreas-tissue-lysate-total-protein-ab29816'>ab29816</a>) at 20 µg

Secondary

All lanes:

Western blot - VHH Single Domain Anti-Rabbit IgG Fc (HRP) (ab191866) at 1/50000 dilution

Predicted band size: 56 kDa

Observed band size: 56 kDa,98 kDa

true

Exposure time: 16min

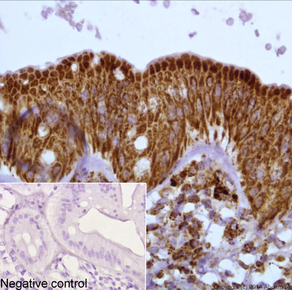
Immunohistochemistry (Formalin/PFA-fixed paraffin-embedded sections) - VHH Single Domain Anti-Rabbit IgG Fc (HRP) (AB191866)
  • IHC-P

Lab

Immunohistochemistry (Formalin/PFA-fixed paraffin-embedded sections) - VHH Single Domain Anti-Rabbit IgG Fc (HRP) (AB191866)

IHC image of VHH Single Domain Anti-Rabbit IgG Fc (HRP) (ab191866) staining in formalin fixed paraffin embedded normal human colon tissue section.

The section was dewaxed and then pre-treated using heat mediated antigen retrieval with sodium citrate buffer (pH6) in a Dako Pascal pressure cooker using the standard factory-set regime. Non-specific protein-protein interactions were then blocked using in TBS containing 0.025% (v/v) Triton X-100, 0.3M (w/v) glycine and 3% (w/v) BSA for 1h at room temperature. The section was then incubated with rabbit polyclonal antibody to Ki67 (ab15580, 0.1μg/ml) in TBS containing 0.025% (v/v) Triton X-100 and 3% (w/v) BSA overnight at +4°C. Endogenous peroxidases were quenched using 1.6% (v/v) hydrogen peroxide in TBS containing 0.025% (v/v) Triton X-100 for 30 minutes at room temperature, with agitation. The secondary antibody, VHH Single Domain Anti-Rabbit IgG Fc (HRP) (ab191866, 0.025μg/ml) was then applied for 1 hour at room temperature in TBS containing 0.025% (v/v) Triton X-100 and 3% (w/v) BSA before being developed for 10 minutes at room temperature using Steady DAB/Plus (ab103723). The section was then counterstained with hematoxylin and mounted with DPX.

The negative control (secondary antibody only, no primary) inset shows no staining, demonstrating secondary antibody specificity.

For other IHC staining systems (automated and non-automated), customers should optimize variable parameters such as antigen retrieval conditions, antibody concentrations and incubation times.

Immunohistochemistry (Formalin/PFA-fixed paraffin-embedded sections) - VHH Single Domain Anti-Rabbit IgG Fc (HRP) (AB191866)
  • IHC-P

Lab

Immunohistochemistry (Formalin/PFA-fixed paraffin-embedded sections) - VHH Single Domain Anti-Rabbit IgG Fc (HRP) (AB191866)

Top left : IHC image of VHH Single Domain Anti-Rabbit IgG Fc (HRP) (ab191866) staining in formalin fixed paraffin embedded normal human colon tissue section.

The section was dewaxed and then pre-treated using heat mediated antigen retrieval with sodium citrate buffer (pH6) in a Dako Pascal pressure cooker using the standard factory-set regime. Non-specific protein-protein interactions were then blocked using in TBS containing 0.025% (v/v) Triton X-100, 0.3M (w/v) glycine and 3% (w/v) BSA for 1h at room temperature. The section was then incubated with rabbit polyclonal antibody to Ki67 (ab15580, 0.1μg/ml) in TBS containing 0.025% (v/v) Triton X-100 and 3% (w/v) BSA overnight at +4°C. Endogenous peroxidases were quenched using 1.6% (v/v) hydrogen peroxide in TBS containing 0.025% (v/v) Triton X-100 for 30 minutes at room temperature, with agitation. The secondary antibody, VHH Single Domain Anti-Rabbit IgG Fc (HRP) (ab191866, 0.1μg/ml) was then applied for 1 hour at room temperature in TBS containing 0.025% (v/v) Triton X-100 and 3% (w/v) BSA before being developed for 10 minutes at room temperature using Steady DAB/Plus (ab103723). The section was then counterstained with hematoxylin and mounted with DPX.

Top right : this image shares the same experimental design parameters, except the secondary antibody was ab97051, goat anti-rabbit IgG H&L (HRP) (0.1μg/ml). This demonstrates the improved definition of staining given by VHH Single Domain Antibodies over conventional secondaries.

Bottom right : this image shares the same experimental design parameters but is a negative control (no primary antibody) for ab97051, demonstrating specificity of the goat anti-rabbit secondary antibody.

Bottom left : this image shares the same experimental design parameters but is a negative control (no primary antibody) for ab191866, demonstrating the specificity of the VHH-Single Domain Antibody.

For other IHC staining systems (automated and non-automated), customers should optimize variable parameters such as antigen retrieval conditions, antibody concentrations and incubation times.

Immunohistochemistry (Formalin/PFA-fixed paraffin-embedded sections) - VHH Single Domain Anti-Rabbit IgG Fc (HRP) (AB191866)
  • IHC-P

Lab

Immunohistochemistry (Formalin/PFA-fixed paraffin-embedded sections) - VHH Single Domain Anti-Rabbit IgG Fc (HRP) (AB191866)

IHC image of VHH Single Domain Anti-Rabbit IgG Fc (HRP) (ab191866) staining in formalin fixed paraffin embedded normal human colon tissue section.

The section was dewaxed and then pre-treated using heat mediated antigen retrieval with sodium citrate buffer (pH6) in a Dako Pascal pressure cooker using the standard factory-set regime. Non-specific protein-protein interactions were then blocked using in TBS containing 0.025% (v/v) Triton X-100, 0.3M (w/v) glycine and 3% (w/v) BSA for 1h at room temperature. The section was then incubated with rabbit polyclonal antibody to beta tubulin (ab6046, 0.5μg/ml) in TBS containing 0.025% (v/v) Triton X-100 and 3% (w/v) BSA overnight at +4°C. Endogenous peroxidases were quenched using 1.6% (v/v) hydrogen peroxide in TBS containing 0.025% (v/v) Triton X-100 for 30 minutes at room temperature, with agitation. The secondary antibody, VHH Single Domain Anti-Rabbit IgG Fc (HRP) (ab191866, 0.125μg/ml) was then applied for 1 hour at room temperature in TBS containing 0.025% (v/v) Triton X-100 and 3% (w/v) BSA before being developed for 10 minutes at room temperature using Steady DAB/Plus (ab103723). The section was then counterstained with hematoxylin and mounted with DPX.

The negative control (secondary antibody only, no primary) inset shows no staining, demonstrating secondary antibody specificity.

For other IHC staining systems (automated and non-automated), customers should optimize variable parameters such as antigen retrieval conditions, antibody concentrations and incubation times.

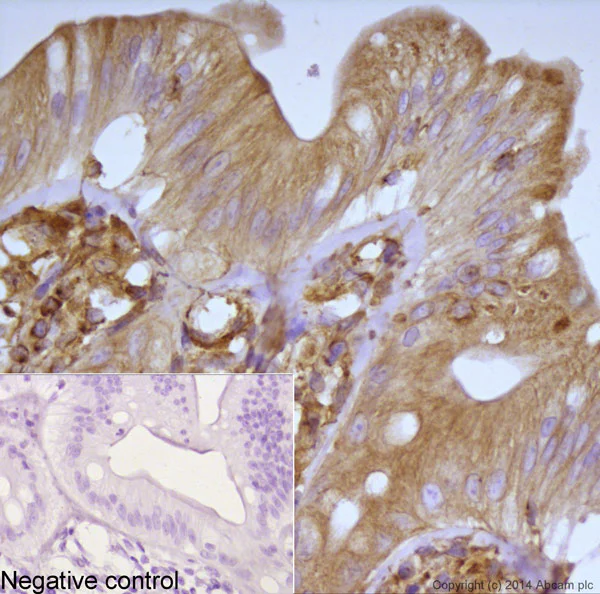
Immunohistochemistry (Formalin/PFA-fixed paraffin-embedded sections) - VHH Single Domain Anti-Rabbit IgG Fc (HRP) (AB191866)
  • IHC-P

Lab

Immunohistochemistry (Formalin/PFA-fixed paraffin-embedded sections) - VHH Single Domain Anti-Rabbit IgG Fc (HRP) (AB191866)

IHC image of VHH Single Domain Anti-Rabbit IgG Fc (HRP) (ab191866) staining in formalin fixed paraffin embedded normal human colon tissue section.

The section was dewaxed and then pre-treated using heat mediated antigen retrieval with sodium citrate buffer (pH6) in a Dako Pascal pressure cooker using the standard factory-set regime. Non-specific protein-protein interactions were then blocked using in TBS containing 0.025% (v/v) Triton X-100, 0.3M (w/v) glycine and 3% (w/v) BSA for 1h at room temperature. The section was then incubated with rabbit polyclonal antibody to VDAC1 (ab15895, 1/1000 dilution) in TBS containing 0.025% (v/v) Triton X-100 and 3% (w/v) BSA overnight at +4°C. Endogenous peroxidases were quenched using 1.6% (v/v) hydrogen peroxide in TBS containing 0.025% (v/v) Triton X-100 for 30 minutes at room temperature, with agitation. The secondary antibody, VHH Single Domain Anti-Rabbit IgG Fc (HRP) (ab191866, 0.125μg/ml) was then applied for 1 hour at room temperature in TBS containing 0.025% (v/v) Triton X-100 and 3% (w/v) BSA before being developed for 10 minutes at room temperature using Steady DAB/Plus (ab103723). The section was then counterstained with hematoxylin and mounted with DPX.

The negative control (secondary antibody only, no primary) insert shows no staining, demonstrating secondary antibody specificity.

For other IHC staining systems (automated and non-automated), customers should optimize variable parameters such as antigen retrieval conditions, antibody concentrations and incubation times.

Immunohistochemistry (Formalin/PFA-fixed paraffin-embedded sections) - VHH Single Domain Anti-Rabbit IgG Fc (HRP) (AB191866)
  • IHC-P

Lab

Immunohistochemistry (Formalin/PFA-fixed paraffin-embedded sections) - VHH Single Domain Anti-Rabbit IgG Fc (HRP) (AB191866)

IHC image of VHH Single Domain Anti-Rabbit IgG Fc (HRP) (ab191866) staining in formalin fixed paraffin embedded normal human cerebellum tissue section.

The section was dewaxed and then pre-treated using heat mediated antigen retrieval with sodium citrate buffer (pH6) in a Dako Pascal pressure cooker using the standard factory-set regime. Non-specific protein-protein interactions were then blocked using in TBS containing 0.025% (v/v) Triton X-100, 0.3M (w/v) glycine and 3% (w/v) BSA for 1h at room temperature. The section was then incubated with rabbit monoclonal antibody [EPR12763] to NeuN (ab177487, 0.1μg/ml) in TBS containing 0.025% (v/v) Triton X-100 and 3% (w/v) BSA overnight at +4°C. Endogenous peroxidases were quenched using 1.6% (v/v) hydrogen peroxide in TBS containing 0.025% (v/v) Triton X-100 for 30 minutes at room temperature, with agitation. The secondary antibody, VHH Single Domain Anti-Rabbit IgG Fc (HRP) (ab191866, 1.0μg/ml) was then applied for 1 hour at room temperature in TBS containing 0.025% (v/v) Triton X-100 and 3% (w/v) BSA before being developed for 10 minutes at room temperature using Steady DAB/Plus (ab103723). The section was then counterstained with hematoxylin and mounted with DPX.

The negative control (secondary antibody only, no primary) inset shows no staining, demonstrating secondary antibody specificity.

For other IHC staining systems (automated and non-automated), customers should optimize variable parameters such as antigen retrieval conditions, antibody concentrations and incubation times.

Western blot - VHH Single Domain Anti-Rabbit IgG Fc (HRP) (AB191866)
  • WB

Lab

Western blot - VHH Single Domain Anti-Rabbit IgG Fc (HRP) (AB191866)

This blot was produced using a 4-12% Bis-tris gel under the MES buffer system. The gel was run at 200V for 35 minutes before being transferred onto a Nitrocellulose membrane at 30V for 70 minutes. The membrane was then blocked for an hour using 2% Bovine Serum Albumin before being incubated with ab5823 overnight at 4°C. Antibody binding was detected using an anti-rabbit antibody conjugated to HRP, and visualised using ECL development solution ab133406.

All lanes:

Western blot - Anti-Histone H4 (symmetric di methyl R3) antibody (<a href='/en-us/products/primary-antibodies/histone-h4-symmetric-di-methyl-r3-antibody-ab5823'>ab5823</a>) at 1 µg

All lanes:

Calf Thymus Histone Preparation Nuclear Lysate at 0.5 µg

Secondary

All lanes:

Western blot - VHH Single Domain Anti-Rabbit IgG Fc (HRP) (ab191866) at 1/50000 dilution

Predicted band size: 11 kDa

Observed band size: 14 kDa

true

Exposure time: 3min

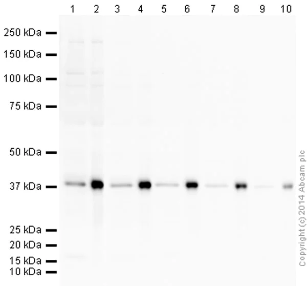
Western blot - VHH Single Domain Anti-Rabbit IgG Fc (HRP) (AB191866)
  • WB

Lab

Western blot - VHH Single Domain Anti-Rabbit IgG Fc (HRP) (AB191866)

This blot was produced using a 4-12% Bis-tris gel under the MOPS buffer system. The gel was run at 200V for 50 minutes before being transferred onto a Nitrocellulose membrane at 30V for 70 minutes. The membrane was then blocked for an hour using 2% Bovine Serum Albumin before being incubated with ab45145 overnight at 4°C. Antibody binding was detected using an anti-rabbit antibody conjugated to HRP, and visualised using ECL development solution ab133406

Lanes 1 - 2:

Western blot - Anti-Aurora B antibody [EP1009Y] (<a href='/en-us/products/primary-antibodies/aurora-b-antibody-ep1009y-ab45145'>ab45145</a>) at 1/1000 dilution

Lanes 3 - 4:

Western blot - Anti-Aurora B antibody [EP1009Y] (<a href='/en-us/products/primary-antibodies/aurora-b-antibody-ep1009y-ab45145'>ab45145</a>) at 1/5000 dilution

Lanes 5 - 6:

Western blot - Anti-Aurora B antibody [EP1009Y] (<a href='/en-us/products/primary-antibodies/aurora-b-antibody-ep1009y-ab45145'>ab45145</a>) at 1/10000 dilution

Lanes 7 - 8:

Western blot - Anti-Aurora B antibody [EP1009Y] (<a href='/en-us/products/primary-antibodies/aurora-b-antibody-ep1009y-ab45145'>ab45145</a>) at 1/50000 dilution

Lanes 9 - 10:

Western blot - Anti-Aurora B antibody [EP1009Y] (<a href='/en-us/products/primary-antibodies/aurora-b-antibody-ep1009y-ab45145'>ab45145</a>) at 1/75000 dilution

Lanes 1, 3, 5, 7 and 9:

HeLa (Human epithelial carcinoma cell line) Whole Cell Lysate at 10 µg

Lanes 2, 4, 6, 8 and 10:

HeLa (Human epithelial carcinoma cell line) Whole Cell Lysate Nocodozole Stimulated at 10 µg

Secondary

All lanes:

Western blot - VHH Single Domain Anti-Rabbit IgG Fc (HRP) (ab191866) at 1/10000 dilution

Predicted band size: 39 kDa

Observed band size: 39 kDa

true

Exposure time: 8min

Western blot - VHH Single Domain Anti-Rabbit IgG Fc (HRP) (AB191866)
  • WB

Lab

Western blot - VHH Single Domain Anti-Rabbit IgG Fc (HRP) (AB191866)

This blot was produced using a 4-12% Bis-tris gel under the MOPS buffer system. The gel was run at 200V for 50 minutes before being transferred onto a Nitrocellulose membrane at 30V for 70 minutes. The membrane was then blocked for an hour using 2% Bovine Serum Albumin before being incubated with ab24193 overnight at 4°C. Antibody binding was detected using VHH Single Domain Anti-Rabbit IgG Fc (HRP) (ab191866), and visualised using ECL development solution ab133406.

All lanes:

Western blot - Anti-n-Myc/MYCN antibody (<a href='/en-us/products/primary-antibodies/n-myc-mycn-antibody-ab24193'>ab24193</a>) at 1 µg/mL

Lane 1:

Heart (Human) Whole Cell Lysate - fetal normal tissue at 10 µg

Lane 2:

Heart (Mouse) Tissue Lysate at 10 µg

Lane 3:

Skeletal Muscle (Mouse) Tissue Lysate at 10 µg

Secondary

All lanes:

Western blot - VHH Single Domain Anti-Rabbit IgG Fc (HRP) (ab191866) at 1/50000 dilution

Predicted band size: 50 kDa

Observed band size: 190 kDa,49 kDa

true

Exposure time: 30s

Western blot - VHH Single Domain Anti-Rabbit IgG Fc (HRP) (AB191866)
  • WB

Lab

Western blot - VHH Single Domain Anti-Rabbit IgG Fc (HRP) (AB191866)

All lanes:

Western blot - Anti-GAPDH antibody - Loading Control (<a href='/en-us/products/primary-antibodies/gapdh-antibody-loading-control-ab37168'>ab37168</a>) at 1 µg/mL

Lanes 1 and 3:

HeLa Whole Cell Lysate at 10 µg

Lanes 2 and 4:

Jurkat Whole Cell Lysate at 10 µg

Secondary

Lanes 1 - 2:

Western blot - Goat Anti-Rabbit IgG H&L (HRP) (<a href='/en-us/products/secondary-antibodies/goat-rabbit-igg-h-l-hrp-ab97051'>ab97051</a>) at 0.02 µg/mL

Lanes 3 - 4:

Western blot - VHH Single Domain Anti-Rabbit IgG Fc (HRP) (ab191866) at 0.02 µg/mL

Predicted band size: 11 kDa,54 kDa

true

Western blot - VHH Single Domain Anti-Rabbit IgG Fc (HRP) (AB191866)
  • WB

Lab

Western blot - VHH Single Domain Anti-Rabbit IgG Fc (HRP) (AB191866)

All lanes:

Western blot - Anti-NRG1 type III antibody (<a href='/en-us/products/primary-antibodies/nrg1-type-iii-antibody-ab23248'>ab23248</a>) at 1 µg/mL

Lanes 1 and 3:

Mouse Brain Tissue Lysate at 10 µg

Lanes 2 and 4:

Rat Brain Tissue Lysate at 10 µg

Secondary

Lanes 1 - 2:

Western blot - Goat Anti-Rabbit IgG H&L (HRP) (<a href='/en-us/products/secondary-antibodies/goat-rabbit-igg-h-l-hrp-ab97051'>ab97051</a>) at 0.05 µg/mL

Lanes 3 - 4:

Western blot - VHH Single Domain Anti-Rabbit IgG Fc (HRP) (ab191866) at 0.05 µg/mL

Predicted band size: 11 kDa

true

Western blot - VHH Single Domain Anti-Rabbit IgG Fc (HRP) (AB191866)
  • WB

Lab

Western blot - VHH Single Domain Anti-Rabbit IgG Fc (HRP) (AB191866)

This blot was produced using a 4-12% Bis-tris gel under the MES buffer system. The gel was run at 200V for 35 minutes before being transferred onto a Nitrocellulose membrane at 30V for 70 minutes. The membrane was then blocked for an hour using 2% Bovine Serum Albumin before being incubated with ab16044 overnight at 4°C. Antibody binding was detected using VHH Single Domain Anti-Rabbit IgG Fc (HRP), and visualised using ECL development solution ab133406.

All lanes:

Western blot - Anti-CD3 antibody (<a href='/en-us/products/primary-antibodies/cd3-antibody-ab16044'>ab16044</a>) at 1 µg/mL

Lane 1:

Jurkat (Human T cell lymphoblast-like cell line) Whole Cell Lysate at 10 µg

Lane 2:

Thymus (Mouse) Tissue Lysate at 20 µg

Lane 3:

Thymus (Rat) Tissue Lysate at 20 µg

Secondary

All lanes:

Western blot - VHH Single Domain Anti-Rabbit IgG Fc (HRP) (ab191866) at 1/50000 dilution

Predicted band size: 19 kDa

Observed band size: 18 kDa,23 kDa,48 kDa,62 kDa

true

Exposure time: 8min

Key facts

Target species

Rabbit

Target isotype

IgG

Target specificity

Fc region

Minimal cross-reactivity
Pre-adsorbed

No

Conjugation

HRP

Excitation/Emission
Applications

WB, IHC-P, ELISA

applications

Clonality

Monoclonal

Clone number

GD001

Specificity

This antibody is a VHH single Domain antibody that recognises Rabbit IgG Fc region.

Reactivity data

{ "title": "Reactivity Data", "filters": { "stats": ["", "Reactivity", "Dilution Info", "Notes"] }, "values": { "IHC-P": { "reactivity":"TESTED_AND_REACTS", "dilution-info":"0.02000-0.20000 µg/mL", "notes":"<p></p>" }, "WB": { "reactivity":"TESTED_AND_REACTS", "dilution-info":"", "notes":"<p></p>" }, "ELISA": { "reactivity":"TESTED_AND_REACTS", "dilution-info":"", "notes":"<p></p>" } } }

You may be interested in:

AB119211

InstantBlue® Coomassie Protein Stain (ISB1L)

5

5 Reviews

View product

We recommend this product because it’s often used in the same experiment or related research.

We advise that you always check the datasheet to ensure it fits your experiments, or contact ourtechnical teamfor help.

Properties and storage information

Form
Liquid
Purification technique
Affinity purification His Tag
Purification notes
This product is a recombinant protein produced in E. coli.
Storage buffer
pH: 7.4 Preservative: 0.1% Proclin 300 Solution Constituents: PBS, Sodium chloride, Sodium phosphate, 30% Glycerol (glycerin, glycerine), 1% BSA
Shipped at conditions
Blue Ice
Appropriate short-term storage duration
1-2 weeks
Appropriate short-term storage conditions
+4°C
Appropriate long-term storage conditions
-20°C
Storage information
Avoid freeze / thaw cycle|Store in the dark

Product protocols

For this product, it's our understanding that no specific protocols are required. You can visit:

Publications (112)

Recent publications for all applications. Explore the full list and refine your search

International journal of molecular sciences 24: PubMed38139144

2023

Dose-Dependent Effect of Mitochondrial Superoxide Dismutase Gene Overexpression on Radioresistance of HEK293T Cells.

Applications

Unspecified application

Species

Unspecified reactive species

Marina M Tavleeva,Elena E Rasova,Anna V Rybak,Elena S Belykh,Elizaveta A Fefilova,Elizaveta M Pnachina,Ilya O Velegzhaninov

Scientific reports 13:18928 PubMed37919373

2023

The role of an amphiphilic helix and transmembrane region in the efficient acylation of the M2 protein from influenza virus.

Applications

Unspecified application

Species

Unspecified reactive species

Xiaorong Meng,Clark Templeton,Cecilia Clementi,Michael Veit

Porcine health management 9:18 PubMed37069650

2023

Differential impact of yeast cell wall products in recovery of porcine intestinal epithelial cell barrier function following Lipopolysaccharide challenge.

Applications

Unspecified application

Species

Unspecified reactive species

Niall Browne,Daniel Daly,Karina Horgan

BMC research notes 16:39 PubMed36941637

2023

An animal-free preclinical drug screening platform based on human precision-cut kidney slices.

Applications

Unspecified application

Species

Unspecified reactive species

Henricus A M Mutsaers,Michael Schou Jensen,Jean-Claude Kresse,Stine Julie Tingskov,Mia Gebauer Madsen,Rikke Nørregaard

Cancers 15: PubMed36980752

2023

Non-Oncogene Addiction of -Mutant Cancers to IL-1β via Versican and Mononuclear IKKβ.

Applications

Unspecified application

Species

Unspecified reactive species

Magda Spella,Giannoula Ntaliarda,Georgios Skiadas,Anne-Sophie Lamort,Malamati Vreka,Antonia Marazioti,Ioannis Lilis,Eleni Bouloukou,Georgia A Giotopoulou,Mario A A Pepe,Stefanie A I Weiss,Agnese Petrera,Stefanie M Hauck,Ina Koch,Michael Lindner,Rudolph A Hatz,Juergen Behr,Kristina A M Arendt,Ioanna Giopanou,David Brunn,Rajkumar Savai,Dieter E Jenne,Maarten de Château,Fiona E Yull,Timothy S Blackwell,Georgios T Stathopoulos

Heliyon 9:e14171 PubMed36938470

2023

Yishen Huashi granule modulated lipid metabolism in diabetic nephropathy via PI3K/AKT/mTOR signaling pathways.

Applications

Unspecified application

Species

Unspecified reactive species

Tingting Zhao,Qian Xiang,Beifeng Lie,Deqi Chen,Minyi Li,Xi Zhang,Junzheng Yang,Bao He,Wei Zhang,Ruixue Dong,Yadi Liu,Junling Gu,Quan Zhu,Yijing Yao,Tingting Duan,Zhenghai Li,Youhua Xu

Journal of assisted reproduction and genetics 40:343-359 PubMed36593322

2023

Granulosa cells from immature follicles exhibit restricted glycolysis and reduced energy production: a dominant problem in polycystic ovary syndrome.

Applications

Unspecified application

Species

Unspecified reactive species

Sahar Mazloomi,Marzieh Sanoee Farimani,Heidar Tavilani,Jamshid Karimi,Iraj Amiri,Ebrahim Abbasi,Iraj Khodadadi

Journal of reproduction & infertility 23:148-159 PubMed36415496

2022

The Association of Mitochondrial Translocator Protein and Voltage-Dependent Anion Channel-1 in Granulosa Cells with Estradiol Levels and Presence of Immature Follicles in Polycystic Ovary Syndrome.

Applications

Unspecified application

Species

Unspecified reactive species

Sahar Mazloomi,Marzieh Sanoeei Farimani,Heidar Tayebinia,Jamshid Karimi,Iraj Amiri,Ebrahim Abbasi,Iraj Khodadadi

Experimental and therapeutic medicine 24:745 PubMed36561980

2022

Natural emodin reduces myocardial ischemia/reperfusion injury by modulating the RUNX1/miR‑142‑3p/DRD2 pathway and attenuating inflammation.

Applications

Unspecified application

Species

Unspecified reactive species

Xuezhi Zhang,Qiaoji Qin,Xianghong Lv,Yongbin Wang,Feng Luo,Li Xue

International journal of molecular sciences 23: PubMed36361998

2022

Using Alphafold2 to Predict the Structure of the Gp5/M Dimer of Porcine Respiratory and Reproductive Syndrome Virus.

Applications

Unspecified application

Species

Unspecified reactive species

Michael Veit,Mohamed Rasheed Gadalla,Minze Zhang
View all publications

Product promise

We are committed to supporting your work with high-quality reagents, and we're here for you every step of the way. In the unlikely event that one of our products does not perform as expected, you're protected by our Product Promise.
For full details, please see our Terms & Conditions

Please note: All products are 'FOR RESEARCH USE ONLY. NOT FOR USE IN DIAGNOSTIC OR THERAPEUTIC PROCEDURES'.

For licensing inquiries, please contact partnerships@abcam.com